Ấu trùng sán lợn (Cysticercosis) hay nhiễm sán dây lợn hiện đang gia tăng và là vấn đề y tếquan tâm tại Mỹ, đặc biệt ở khu vực tây nam và một số vùng khác có sự di cư nhiều của người dân đến các vùng lưu hành bệnh hoặc quần thể dân du lịch đến các vùng lưu hành bệnh nghiêm trọng. Giai đoạn ấu trùng của sán dây lợn Taenia solium, gây ra các biểu hiện lâm sàng của bệnh ấu trùng sán lợn (ATSL), với người là vật chủ cuối cùng của nhiễm trứng T. solium. Hình ảnh các triệu chứng lâm sàng thay đổi tùy thuộc vào vị trí của ấu trùng đóng chỗ, gánh nặng của ấu trùng hay mật độ ấu trùng và phản ứng của vật chủ. Các ảnh hưởng gồm có cơn động kinh, co giật, nhức đầu, các dấu hiệu thần kinh khu trú, nhìn mờ, các nốt tân tạo của nang liên quan đến hệ cơ xương và đau. ATSL nên được cân nhắc và nghĩ đến trên bất kỳ một bệnh nhân nào từ vùng lưu hành bệnh có biểu hiện các triệu chứng.
Điều trị tùy thuộc vào tình trạng lâm sàng, ATSL thần kinh trong nhu mô nói chung được điều trị bằng thuốc Albendazole với steroids để giảm phù nề nhu mô não và thuốc chống động kinh để chống cơn giật. Các hình ảnh bệnh ký ATSL ở mắt và ngoài mắt nói chung phải điều trị can thiệp phẩu thuật. Các nang kén ở hệ cơ xương phẩu thuật loại bỏ chỉ khi nào có dấu hiệu đau. Bởi vì các nang có thể nằm trong nhiều vị trí khác nhau, nên tất cả bệnh nhân bị ATSL nên khám mắt để loại trừ thể liên quan đến mắt và tất cả bệnh nhân có ATSL thể thần kinh nên chụp cộng hưởng từ và cắt lớp não bộ để loại trừ các nguyên nhân khác và phân biệt với neurocysticercosis (American Academy of Family Physicians 2007; 75:91- 6, 98)
Bệnh ATSL là một bệnh ký sinh trùng hay gặp trên thế giới, với ước tính tỷ lệ mắc trên 50 triệu 50 triệu người nhiễm. Tại vùng lưu hành bệnh ở Mexico, Trung và Nam Mỹ, một vài nơi châu Phi, châu Á, Ấn Độ. Bệnh ATSL ở thần kinh, có đặc điểm lâm sàng biểu hiện một bệnh lý ATSL, tỷ lệ nhiễm ở não cao nhất trong số đó trên toàn cầu với hơn 1.000 ca mắc mới mỗi năm được chẩn đoán tại Mỹ. ATSL thể thần kinh là một trong những nguyên nhân gây tử vong hàng đầu trên người lớn có biểu hiện ban đầu là động kinh. Và cũng chính thể bệnh này chiếm 10% trong số các bệnh nhân khởi bệnh động kinh ở Los Angeles, California,…nhập viện khoa cấp cứu.
Dịch tễ học về bệnh ấu trùng sán lợn
Chu kỳ của bệnh ATSL do sán dây lợn Taenia solium, bắt đầu là giai đoạn ấu trùng trong heo. Nhiễm sán dây ở người xảy ra khi các nang T. solium được tiêu hóa vào trong cơ thể do nấu chưa chín thịt heo. Các ấu trùng dính vào ruột và trưởng thành sán. Rồi kế đến sán trưởng thành đẻ ra các proglottids (đốt sán chứa nhiều trứng sán) ra theo phân và có thể nhiễm vào trong các thực phẩm từ thịt heo cung cấp hàng ngày. Các trứng bị tiêu hóa bởi heo phát triển thành giai đoạn ấu trùng, chu du khắp thành ruột, đi vào dòng máu, định vị tại nhiều mô khác nhau của heo và phát triển thành các nang.
Khi người tiêu hóa (nuốt phải) trứng, qua con đường lan truyền phân miệng hoặc khả năng thông qua con đường tự nhiễm, họ trở nên là vật chủ cuối cùng của giai đoạn ấu trùng của ký sinh trùng này và phát triển thành bệnh ATSL tương tự như ở heo. Lây truyền qua đường phân miệng thường xảy ra thông qua thức ăn nhiễm bẩn trên bàn tay người - họ không rửa tay trước khi ăn. Hoặc các loại trái cây hoặc rau quả được tưới bởi phân người nhiễm bệnh.
Chu trình tự nhiễm liên quan đến nhiễm trùng ngược dòng của các đốt sán từ ruột non đến dạ dày và ly giải các trứng của sán dây T. solium bên trong ruột người. Tiêu hóa hoặc ăn phải các thịt heo bị đóng kén nang ấu trùng sẽ không trực tiếp gây ra bệnh ấu trùng sán lợn. Nói đúng hơn, nó sinh ra quá trình nhiễm ở ruột với các sán dây trưởng thành và tình trạng mang mầm bệnh đối với trứng T. solium, khi người tiêu hóa phải sinh ra các triệu chứng lâm sàng của bệnh ấu trùng sán lợn. Thậm chí, ngay cả khi người đó không ăn thịt heo (chẳng hạn rau) có thể phát triển thành bệnh ấu trùng sán lợn. | Hình 1: Chu kỳ của ấu trùng sán dây lợn |
Đặc điểm lâm sàng của ấu trúng sán lợn
Đặc điểm lâm sàng của bệnh ATSL biểu hiện tùy thuộc vào vị trí nang sán và toàn bộ số lượng sán ký sinh. Các sán có thể ẩn cư đóng dính trong não vào trong tủy sống, trong mắt, trong cơ xương và các mô dưới da. Các vị trí đóng dính nang sán tại não và mắt gây nên hầu hết các ca tử vong (não) và đưa ra tỷ lệ mắc bệnh nhiều nhất. Não cũng là vị trí hay gặp nhất của các nang ATSL (60 - 90% trong tổng số các ca) và mắt chiếm tỷ lệ ít nhất (1 - 3%). Tổng số nang sán có thể sắp xếp từ dạng tổn thương đơn lẻ đến vài trăm nang sán. Phản ứng đầu tiên của vật chủ thường được tránh qua suốt quá trình ấu trùng đóng kén - một tiến trình bao gồm cơ chế tự bảo vệ của ấu trùng cũng như sự phá hủy kén từ vật chủ. Giai đoạn này có thể kéo dài nhiều năm và thường các triệu chứng lâm sàng diễn biến im lặng, trừ khi vị trí của nang sán cũng như kích thước nang gây nên các triệu chứng và hội chứng.
Hầu hết các nang sán không thể tồn tại một cách hạn định và khi có sự phá hủy các nang sán sẽ ly giải ra các kháng nguyên ấu trùng và sinh ra một loạt các đáp ứng mạnh từ vật chủ và gây nên các hội chứng lâm sàng thông qua các chất trung gian gây viêm và tổn thương phù nề xung quanh. Sau giai đoạn viêm cấp, các ấu trùng đóng kén nói chung sẽ bị chết, hoàn thành pha phá hủy (degeneration phase) và thường chuyển dạng calci hóa các kén này.
Các kén sán bị calci hóa có thể sinh ra các triệu chứng tiếp sau đó hoặc chết đi.
ATSL thần kinh thể trong nhu mô (neurocysticercosis), nhiễm trùng trong nhu mô não, là một nguyên nhân thường gây động kinh cục bộ hoặc động kinh toàn thể, nhưng hiếm khi có bieur hiện nhức đầu, run giật giống như parkinson (parkinsonism), hoặc các dấu bất thường thần kinh khác. Nếu lượng nang sán hoặc gánh nặng nhiễm ATSL nhiều trong mô thần kinh có thể gây nên các biểu hiện bệnh lý não với sốt, đau đầu, buồn nôn, nôn mửa, thay đổi tri giác, động kinh.
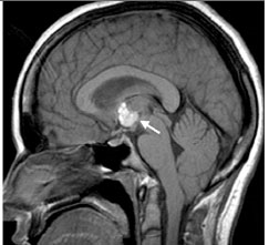
Các nang sán cũng có thể xảy ra khi nằm trong khoang não thất hoặc vùng dưới nhện, đôi khi chúng phát triển đủ lớn để hình thành nên các dấu chứng thần kinh, dấu màng não, não úng thủy, hoặc liệt các dây thần kinh sọ não - khiến cho thầy thuốc lâm sàng nhầm lẫn với các bệnh lý thần kinh khác (entrapment). Hiếm gặp hơn, các nang sán định vị trong cột tủy sống có thể gây ra triệu chứng đau rễ thần kinh hoặc dị cảm khó thể phân biệt với các bệnh lý tủy sống khác.
ATSL cũng có thể xảy ra tại các vị trí cách xa so với hệ thần kinh trung ương. Các đặc điểm lâm sàng tại mắt có thể tìm thấy trong khoang dưới võng mạc (subretinal space) hoặc thủy tinh thể và có thể đe dọa đến tầm nhìn hay thị lực do quá trình viêm hoặc các nang phá hủy, thoái hóa hoặc có thể dẫn đến bong võng mạc. Các nang kén cũng có thể dính và ký sinh trong cơ ngoài mắt. sinh ra chuyển động mắt bị giới hạn và có thể biểu hiện giống như liệt dây thần kinh sọ não. ATSL thể ở cơ xương hoặc mô dưới da có thể gây ra đau tại chỗ và các nốt kén đóng.
Chẩn đoán
Việc chẩn đoán bệnh ATSL trong các vùng không lưu hành bệnh đòi hỏi có các chỉ số nghi ngờ caqo về khía cạnh lâm sàng. Bệnh nhân có tiền sử đi du lịch đến các vùng lưu hành bệnh cũng cần nghi ngờ, nhưng thời gian chính xác không thể giúp gì được vì xu hướng bệnh T. solium có thể kéo dài nhiều năm và giai đoạn lâm sàng có thể tiềm tàng khác nhau. Các tiêu chuẩn đặc biệt đã được các chuyên gia đề nghị đưa ra để chẩn đoán bệnh ấu trùng sán lợn:
Tiêu chuẩn chẩn đoán bệnh ấu trùng sán lợn (Cysticercosis) |
Mức tiêu chuẩn | Các thử nghiệm cận lâm sàng hỗ trợ chẩn đoán |
Tuyệt đối | Bệnh học của ký sinh trùng; tổn thương dạng nang với các scolex tìm thấy trên hình ảnh CT hoặc MRI; có thể nhìn thấy trực tiếp qua soi đáy mắt (thương tổn do nang sán đóng kén tại cơ quan mắt) |
Chính | Các thương tổn gợi ý bệnh lý ấu trùng sán lợn hệ thần kinh (neurocysticercosis) rất cao trên hình ảnh chụp thần kinh; Xét nghiệm ELISA cho kháng thể ấu trùng sán lợn (+); sau khi dùng thuốc trị ký sinh trùng không còn nang sán; các tổn thương tăng chắc đặc, nhỏ mất đi tự phát. |
Phụ | Các thương tổn tương ứng với neurocysticercosis trên hình ảnh não bộ; đặc điểm lâm sàng biểu hiện của cysticercosis; ELISA đối với kháng thể của ấu trùng sán lợn trong dịch não tủy (+); Hoặc kháng nguyên cysticercal antigens (+); hình ảnh bệnh lý cysticercosis ngoài hệ thần kinh trung ương có không. |
Dịch tễ học | Toàn bộ hộ gia đình tiếp xúc với Taenia solium; những người đến từ hoặc đang sống vùng lưu hành có bệnh ấu trùng sán lợn; có tiền tử du lịch đến các vùng lưu hành bệnh. |
Lưu ý: ·Chẩn đoán xác định: 1 tiêu chuẩn tuyệt đốihoặc 2 tiêu chuẩn chính cộng thêm 1 tiêu chuẩn phụ +1 tiêu chuẩn dịch tễ học; ·Chẩn đoán có thể hoặc nghi ngờ cao: là 1 tiểu chuẩn chính + 2 tiêu chuẩn phụ, hoặc 1 tiêu chuẩn chính + 1 tiêu chuẩn phụ + 1 tiêu chuẩn dịch tễ học; hoặc 1 tiêu chuẩn phụ + 3 tiêu chuẩn dịch tễ học; ·Cysticercosis lưu hành tại Mexico, Trung và Nam Mỹ, vùng Ấn Độ, Trung Quốc, cận sa mạc Sahara, châu Phi. (Proposal of diagnostic criteria for human cysticercosis and neurocysticercosis) |
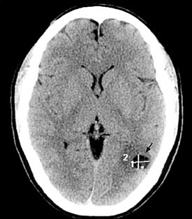
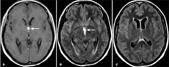
Sau khi thăm khám và điều tra bệnh sử, chụp cắt lớp vi tính có hoặc không có bơm thuốc cản quang đường tĩnh mạch là bước đầu tiên trong chẩn đoán các ca bệnh nghi ngờ ATSL thần kinh. CT não có hoặc không có thuốc cản quan sẽ cho thấy hình ảnh các tổn thương điển hình của ATSL đường kính nhỏ hơn 20mm và không có hình ảnh phản đứng giữa (no midline shift) là hình ảnh gợi ý cao cho thể ATTSL thần kinh (neurocysticercosis). Phần scolex, hoặc phần giác hút của ấu trùng cũng có thể nhìn thấy; đây là đặc trưng bệnh của ATSL thể thần kinh.
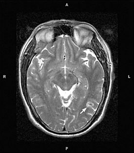
Hình 2. trên hình ảnh CT có nang của ATTSL thể thần kinh trong nhu mo não đặc | Hình 3. hình ảnh cộng hưởng từ cho thấy các nang của ATSL thể thần kinh trong nhu mô |
Số lượng, kích thước và vị trí có nang xuất hiện cũng như giai đoạn chu kỳ của nang sán, có thể xác định và có thể tác động đến việc quyết định điều trị. Các nang là các hình ảnh tổng thương dạng điểm có thể phát triển và tồn tại được, nang không bị thoái hóa. Các tổn thương dạng nang chỉ ra biến tính hoặc thoái hóa có một vài phản ứng viêm bao quanh. Cuối cùng, các nang hình thành calci hóa là một bằng chứng các nang đã tồn tại lâu có thể đã chết. Chăm sóc phải được tiến hành khi có thể còn nghĩ đến nhiều nguyên nhân khác (lao, bệnh ký sinh trùng khác, di căn từ nơi khác đến, hoặc ung thư nguyên phát của não hoặc hình ảnh abces não) khi một tổn thương tìm thấy trên phim chụp cắt lớp.
Hình ảnh trên phim chụp cộng hưởng từ cũng là công cụ hữu ích để chẩn đoán ATSL thể thần kinh và có thể tốt hơn cả chụp cắt lớp CT để phát hiện các thương tổn trong não tủy, trong cuống não, trong não thất. Việc áp dụng nó nên cân nhắc khi CT không chẩn đoán ra. CT và siêu âm là rất nhạy để phát hiện các tổn thương ATSL tại mắt và hệ cơ xương.
Huyết thanh chẩn đoán hiện đang sẵn có trên thị trường để phát hiện các kháng thể của ấu trùng sán lợn qua kỹ thuật ELISA hoặc immunoblot với mẫu bệnh phẩm là huyết thanh hoặc dịch não tủy; các xét nghiệm này có độ nhạy 65 - 98% và độ đặc hiệu đến 67 - 100%, lệ thuộc vào đặc hiệu của test sử dụng, gánh nặng của nang sán, vị trí của sán ký sinh và giai đoạn nhiễm bệnh. Khi có sẵn, các thử nghiệm immunoblot liên kết enzyme (enzyme-linked immunoblot assay) trong mẫu huyết thanh có độ nhạy và độ đặc hiệu cao nhất và tiêu chuẩn chẩn đoán chính lệ thuộc vào lựa chọn test. ELISA với bệnh phẩm dịch não tủy ít đặc hiệu và ít nhạy hơn nhưng vẫn hội đủ tiêu chuẩn chẩn đoán. Các kháng thể có thể tồn tại sau khi nang chết, do vậy, xét nghiệm huyết thanh cũng nên luôn luôn cân nhắc cùng với các triệu chứng lâm sàng và chẩn đoán hình ảnh trong nhận định bệnh.
Sinh thiết não, da, hoặc cơ đưa ra các chẩn đoán xác định trong một bối cảnh hình ảnh lâm sàng có thể mơ hồ và tiến thoái lưỡng nan (otherwise ambiguous clinical situation) và có thể phương pháp chẩn đoán lựa chọn cho cơ mắt, hoặc đau cơ hoặc các nang dưới da. Sinh thiết các tổn thương ở xa so với hệ thần kinh trung ương cung cấp thêm các bằng chứng về bệnh ấu trùng sán lợn hệ thần kinh khi hình ảnh ở não không được chẩn đoán và sinh thiết não không thể thực hiện thoải mái và khả thi. Các xét nghiệm liên quan đến mắt sẽ rất nhạy để phát hiện các nang sán đóng kén trong mắt và rất cần thiết để chẩn đoán bất kỳ bệnh nhân nào nhằm loại trừ các vấn đề liên quan đến mắt. Tương tự như vậy, Chẩn đoán bất kỳ bệnh ATSL không phải thể thần kinh (nonneurologic cysticercosis), chẳng hạn như thể cơ, da,…thì cần đến điều tra bệnh sử, khám thực thể, chẩn đoán hình ảnh sẽ giúp loại trừ nguyên nhân và thể tại mắt.
Thái độ xử trí
Chẩn đoán bệnh ATSL không phải một cách tự ý luôn luôn áp dụng liệu trình điều trị theo một phác đồ kinh điển, đơn giản. Các quy trình đưa ra quyết định điều trị có thể phức tạp, lựa chọn điều trị gồm có thuoocsm phẩu thuật hoặc thận trọng xử trí. Quyết định điều trị phải hội đủ nhiều yếu tố, bao gồm các hội chứng và vị trí, số lượng, giai đoạn, kích thước nang sán. Bàn luận về việc lựa chọn hướng điều trị là rất khó bởi vì số cảnh báo cần cân nhắc và vì các khuyến cáo của các chuyên gia là các khuyến cáo dựa trên y học chứng cứ nên khó loại trừ với các viễn cảnh lâm sàng thuyết phục (chẳng hạn, các nang sán ở hệ thần kinh ở dạng đơn hoặc nhiều nang cùng lúc). Việc đưa ra lòi tham vấn dưới ý kiến chuyên gia cũng nên đảm bảo, đặc biệt các bệnh lý tổn thương dưới nhện hoặc trong não thất và nhiễm một lúc nhiều khối (50 nang sán hoặc hơn).
Điều trị ATSL ở mô mềm hoặc ở cơ tùy thuộc vào vị trí các nang sán. Các nang sán ở hệ cơ xương hoặc dưới da nằm riêng rẻ không đòi hỏi điều trị đặc hiệu trừ khi bị đau, rồi chỉ cần rạch vết nhỏ đơn giản có thể lấy nang sán. Một loạt ca bệnh cho thấy rằng thuốc điều trị ký sinh trùng loại Albendazole (Albenza) hoặc Praziquantel (Biltricide), nói chung khi phối hợp với steroids, hiệu quả trong điều trị các thể bệnh liên quan đến cơ ở mắt. Tuy nhiên, các phẩu tích cũng là một lựa chọn và luôn luôn tư vấn của chuyên khoa mắt để bảo đảm cho điều trị.
Phẩu thuật loại bỏ các nang sán là một lựa chọn cân nhắc điều trịđối với các thể nang sán nội nhãn cầu, mặc dù bằng chứng chủ yếu đến từ các ca bệnh và một loạt ca bệnh minh họa tính ưu việt trong phẩu thuật hơn là dùng thuốc kháng ký sinh trùng. Người ta cũng đã đề nghị rằng thuốc điều trị giun sán nên tránh vì phản ứng viêm có thể dẫn đến và đe dọa đến thị lực. Điều trị các thể ATSL hệ thần kinh dưới nhện và trong não thất có phần phức tạp và rủi ro. Một thử nghiệm gần đây cho thấy rằng liều cao thuốc Albendazole (30 mg/ kg/ngày) tăng khả năng làm sạch nang sán trong vùng dưới nhện và trong não thất so với phác đồ liều thông thường (15 mg/kg.ngày).
Các nang sán nằm trong não thất nói chung phải loại bỏ, nhưng một số ca nhỏ mô tả việc sử dụng Albendazole + steroids là một liệu pháp thành công thay thế cho việc phẩu thuật. Nguy cơ viêm nhiễm gây ra bởi quá trình điều trị và sẽ góp phần vào tỷ lệ mắc bệnh, nên phải thăm khám và nhận tư vấn về thần kinh cùng các bệnh nhiễm trùng cẩn thận trước khi bắt đầu điều trị. Không quan tâm đến lựa chọn điều trị, một chỉ định shunt đặt nối não thất với khoang phúc mạc (ventriculoperitoneal shunt) nên đặt cho tất cả bệnh nhân có bằng chứng cho thấy não úng thủy do tắc nghẽn của nang sán.
Điều trị bệnh ấu trùng sán lợn thể thần kinh trong nhu mô não là có thể một viễn cảnh nghiên cứu lâm sàng tốt trong số các thể ATSL, nhưng điều trị này vẫn còn nhiều tranh luận vì tính đa dạng trong phổ bệnh, vì trong quá trình điều tra bệnh sử không phải lúc nào cũng bắt gặp các hiện tượng phân hủy, thoias hóa nang sán một cách tự phát và toàn bộ chất lượng của nghiên cứu điều trị rất nghèo nàn. Kết quả các nghiên cứu liên quan đến ATSL thể thần kinh trong nhu môvẫn còn tồn tại mâu thuẫn trái ngược nhau. Tuy nhiên, một nghiên cứu đánh giá sóng sót dạng meta-analysis từ các nghiên cứu có chất lượng cao nhất chỉ ra các cơn co giật giảm và việc giải quyết các thương tổn tăng với các tổn thương có hình ảnh “nonenhancing” và “enhancing” trong nhu mô não với liệu pháp thuốc điều trị nang sán.
Nếu dùng liệu pháp điều trị ký sinh trùng trong thể ATSL nhu mô thần kinh trung ương, liệu trình 7 ngày Albendazole dường như hiệu quả tương đương với liệu trình 14 hoặc 28 ngày và có khả năng hiệu quả hơn thuốc Praziquantel. Nhiễm với hơn một vài thương tổn có thể đòi hỏi liệu trình thuốc chống ký sinh trùng dài ngày hơn. Nhiễm trùng hàng loạt nói chung không điều trị bằng thuốc giun sán vì nguy cơ một đáp ứng viêm tràn ngậpdẫn đến hiệu ứng ngược từ hậu quả thuốc phát hủy hàng loạt nang sán. Cần thận trọng cần thiết chỉ định thuốc với các trường hợp nang sán đã can xi hóa (calcified cyst) vì chúng đã chết rồi.
Sử dụng thuốc Steroides, Manitol, thuốc chống co giật như thế nào?
Việc sử dụng thuốc steroids để điều trị phù não, thông thường dùng dạng dexamethasone hoặc prednisolone, đã chỉ ra liệu pháp này là thích hợp hơn trên những bệnh nhân có ATSL thần kinh có động kính. Steroids luôn nên sử dụng trước khi điều trị thuốc giun sán để “hạn chế” phản ứng quá mẫn và đáp ứng viêm quá mạnh - mà điều này có thể dẫn đến tăng cơn động kinh, co giật.
Mannitol (Osmitrol) cũng là một lựa chọn để làm giảm phù não như vai trò của thuốc hỡ trợ cho steroids.
Các thuốc chống chống cơn giật hoặc động kinh với liều chuẩn, thường dùng là phenytoin (Dilantin) và carbamazepine (Tegretol), cũng là khâu chìa khóa trong khống chế triệu chứng. Thời gian sử dụng chưa được xác định chính xác, nhưng các thuốc chống động kinh nên tiếp tục ít nhất 1 năm và rồi giảm liều thấp tùy thuộc hoặc cho liều tùy theo triệu chứng. Một số bệnh nhân đòi hỏi dùng dài ngày với thuốc chống động kinh.
Định hướng tương lai
Các nghiên cứu tiếp theo đòi hỏi làm rõ chế độ điều trị hoặc phác đồ điều trị chuẩn hóa và tối ưu đối với bệnh ấu trùng sán lợn, ngay cả khi các ca bệnh trình bày một cách rõ ràng và điển hình nhất. Chiến lược tương lai có thể tập trung vào phòng ngừa và làm thế nào khỏi lan rộng bệnh sán dây do T. solium. Một báo cáo từ nhóm làm việc Trung tâm Phòng chống bệnh tật về bệnh do ký sinh trùng (CDC_WGPD_Centers for Disease Control and Prevention Working Group on Parasitic Diseases) phân loại rõ ràng bệnh ấu trùng sán lợn như một bệnh có thể tiềm năng loại trừ được. Các nỗ lực có thể bao gồm làm giảm người mang mầm bệnh sán dây lợn và do đó làm giảm đẻ trứng sán dây thông qua việc thanh tra kỹ các chế phẩm từ thịt heo, loại trừ phơi nhiễm heo với phân người. Triển khai và phát triển vaccine ngừa T. solium. Các nghiên cứu gần đây đã chỉ ra tính thiết thực tiềm năng của các loại vaccine khác nhau dùng cho heo, nhưng việc áp dụng rộng rãi chưa thực hiện.
Tài liệu tham khảo
1.Castillo M. Imaging of neurocysticercosis. Semin Roengenol 2004;39:465-73.
2.Hawk MW, Shahlaie K, Kim KD, Theis JH. Neurocysticercosis: a review. Surg Neurol 2005;63:123-32.
3.Psarros TG, Zouros A, Coimbra C. Neurocysticercosis: a neurosurgical perspective. South Med J 2003;96:1019-22.
4.Garcia HH, Del Brutto OH. Taenia solium cysticercosis. Infect Dis Clin North Am 2000;14:97-119.
5.Sawhney IM, Singh G, Lekhra OP, Mathuriya SN, Parihar PS, Prabhakar S. Uncommon presentations of neurocysticercosis. J Neurol Sci 1998;154:94-100.
6.Proaño JV, Madrazo I, García L, García-Torres E, Correa D. Albendazole and praziquantel treatment in neurocysticercosis of the fourth ventricle. J Neurosurg 1997;87:29-33.
7.Garcia HH, Gonzalez AE, Evans CA, Gilman RH, for the Cysticercosis Working Group in Peru. Taenia solium cysticercosis. Lancet 2003;362:547-56.
8.Shandera WX, White AC Jr, Chen JC, Diaz P, Armstrong R. Neurocysticercosis in Houston, Texas. A report of 112 cases. Medicine (Baltimore) 1994;73:37-52.
9.Singhi P, Singhi S. Neurocysticercosis in children. J Child Neurol 2004;19:482-92.
10.Del Brutto OH, Roos KL, Coffey CS, Garcia HH. Meta-analysis: cysticidal drugs for neurocysticercosis: albendazole and praziquantel. Ann Intern Med 2006;145:43-51.
11.Del Brutto OH, Santibañez R, Noboa CA, Aguirre R, Diaz E, Alarcón TA. Epilepsy due to neurocysticercosis: analysis of 203 patients. Neurology 1992;42:389-92.
12.Garcia HH, Evans CA, Nash TE, Takayanagui OM, White AC Jr, Botero D, et al. Current consensus guidelines for treatment of neurocysticercosis. Clin Microbiol Rev 2002;15:747-56.
13.García HH, Pretell EJ, Gilman RH, Martinez SM, Moulton LH, Del Brutto OH, et al. A trial of antiparasitic treatment to reduce the rate of seizures due to cerebral cysticercosis. N Engl J Med 2004;350:249-58.
14.Ong S, Talan DA Moran GJ, Mower W, Newdow M, Tsang VC, et al., for the EMERGEncy ID NET study group. Neurocysticercosis in radiographically imaged seizure patients in U.S. emergency departments. Emerg Infect Dis 2002;8:608-13.
15.Nash TE, Del Brutto OH, Butman JA, Corona T, Delgado-Escueta A, Duron RM, et al. Calcific neurocysticercosis and epileptogenesis. Neurology 2004;62:1934-8.
16.Sharma T, Sinha S, Shah N, Gopal L, Shanmugam MP, Bhende P, et al. Intraocular cysticercosis: clinical characteristics and visual outcome after vitreoretinal surgery. Ophthalmology 2003;110:996-1004.
17.Martinez HR, Rangel-Guerra R, Arredondo-Estrada JH, Marfil A, onofre J. Medical and surgical treatment in neurocysticercosis a magnetic resonance study of 161 cases. J Neurol Sci 1995;130:25-34.
18.Sá DS, Teive HA, Troiano AR, Werneck LC. Parkinsonism associated with neurocysticercosis. Parkinsonism Relat Disord 2005;11:69-72.
19.Proaño JV, Madrazo I, Avelar F, López-Félix B, Díaz G, Grijalva I. Medical treatment for neurocysticercosis characterized by giant subarachnoid cysts. N Engl J Med 2001;345:879-85.
20.Mohan K, Saroha V, Sharma A, Pandav S, Singh U. Extraocular muscle cysticercosis: clinical presentations and outcome of treatment. J Pediatr Ophthalmol Strabismus 2005;42:28-33.
21.Del Brutto OH, Wadia NH, Dumas M, Cruz M, Tsang VC, Schantz PM. Proposal of diagnostic criteria for human cysticercosis and neurocysticercosis. J Neurol Sci 1996;142:1-6.
22.Del Brutto OH, Rajshekhar V, White AC Jr, Tsang VC, Nash TE, Takayanagui OM, et al. Proposed diagnostic criteria for neurocysticercosis. Neurology 2001;57:177-83.
23.Rajshekhar V, Chandy MJ. Validation of diagnostic criteria for solitary cerebral cysticercus granuloma in patients presenting with seizures. Acta Neurol Scand 1997;96:76-81.
24.Sundaram PM, Jayakumar N, Noronha V. Extraocular muscle cysticercosis-a clinical challenge to the ophthalmologists. Orbit 2004;23:255-62.
25.Diaz JF, Verastegui M, Gilman RH, Tsang VC, Pilcher JB, Gallo C, et al. Immunodiagnosis of human cysticercosis (Taenia solium): a field comparison of antibody-enzyme-linked immunosorbent assay (ELISA), an antigen-ELISA, and an enzyme-linked immunoelectrotransfer blot (EITB) assay in Peru. Am J Trop Med Hyg 1992;46:610-5.
26.Gongora-Rivera F, Soto-Hernandez JL, Gonzalez Esquivel D, Cook HJ, Marquez-Caraveo C, Hernandez Davila R, et al. Albendazole trial at 15 or 30 mg/kg/day for subarachnoid and intraventricular cysticercosis. Neurology 2006;66:436-8.
27.Singhi P, Dayal D, Khandelwal N. one week versus four weeks of albendazole therapy for neurocysticercosis in children: a randomized, placebo-controlled double blind trial. Pediatr Infect Dis J 2003; 22:268-72.
28.García HH, Gilman RH, Horton J, Martinez M, Herrera G, Altamirano J, et al. Albendazole therapy for neurocysticercosis: a prospective double-blind trial comparing 7 versus 14 days of treatment. Neurology 1997;48:1421-7.
29.Figueroa JP. Report of the Workgroup on Parasitic Diseases. MMWR Morb Mortal Weekly Rep 1999;48(SU01):118-25. Accessed January 31, 2007. http://www.cdc.gov.
30.Guo A, Jin Z, Zheng Y, Hai G, Yuan G, Li H, et al. Induction of protection against porcine cysticercosis in growing pigs by DNA vaccination. Vaccine 2007;25:170-5.
31.Yancey LS, Diaz-Marchan PJ, White AC. Cysticercosis: recent advances in diagnosis and management of neurocysticercosis. Curr Infect Dis Rep 2005;7:39-47.
32.Các hình ảnh trích và sưu tầm từ Internet: http://www.google.com/Cysticercosis