Tiếp theo Phần 1:Ấu trùng Gnathostoma spp. di chuyển dưới da và phủ tạng (Phần 1)
SINH LÝ BỆNH HỌC VỀ BỆNH DO ẤU TRÙNG Gnathostoma spp.
Người nhiễm ấu trùngGnathostoma spp. có thể gây ra triệu chứng sớm trong 24 giờ sau khi nhiễm. Triệu chứng ban đầu có thể chỉ điểm là sốt, mày đay, chán ăn, buồn nôn, nôn, tiêu lỏng và đau thượng vị. Tăng BCAT thường xuất hiện sớm do ấu trùng xuyên vách dạ dày-ruột non. Khi ấu trùng xâm nhập vào vật chủ mới, chúng thường qua gan, cơ hoành và các mô, gây cảm giác đau. Người không phải là vật chủ chính, nên giun tồn tại nhưng không đạt đến giai đoạn trưởng thành. Gnathostoma spp. gây bệnh theo: Thể bệnh tại da-niêm mạc và thể phủ tạng, thường gọi chung là bệnh ấu trùng giun đầu gai Gnathostoma spp., ngoài ra, có tác giả còn gọi tên theo lâm sàng như hội chứng ban trườn, ATDC, phù Yangtze. Người nhiễm do ăn vật chủ trung gian thứ 2 chứa ấu trùng giai đoạn 3, ấu trùng chui qua vách dạ dày, chu du đến da-niêm mạc, gan, phổi, tim, mắt và ấu trùng có thể phát triển đến giun non. Đến đâu ấu trùng sẽ gây viêm, áp xe, hoại tử, xuất huyết. G. spinigerum gây phù nề mô mạnh hơn các ký sinh trùng khác, vừa gây chấn thương cơ học, vừa tiết ra chất ly giải, độc tố và tiêu mô, nên khi ấu trùng trong cơ, kích thích mô và thương tổn là một khối phù nề lan tỏa.
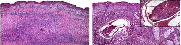
Về mô học trên mẫu sinh thiết da, thân giun bị cắt ngang được nhận ra nhờ lớp biểu bì có gai, cấu trúc thực quản-ruột. Khi ATDC gây phù, xuất huyết, thâm nhiễm BCAT, tế bào lympho và tương bào khi ấu trùngg cố định ở một chổ thì chổ đó có hiện tượng viêm, hoại tử mô và tế bào. Điểm đặc biệt trong thể thần kinh, Gnathostoma spp. có tính xâm nhập cao, nên khi ấu trùng giai đoạn 3 xuyên niêm mạc tiêu hóa, vào hệ TKTU bằng cách xuyên trực tiếp mô liên kết lỗ TK trên nền sọ, dọc theo dây TK sọ não hoặc thông qua các lỗ giữa đốt sống dọc theo TK tủy sống, mạch máu.
Ấu trùng ly giải lượng lớn vào trong môi trường xung quanh để hỗ trợ cho xuyên thấm. Metalloproteinases cơ chất đóng một vai trò quan trọng cho quá trình xâm nhập vào mô. Gnathostoma spp. điển hình đi vào tủy sống theo rễ TK, gây tình trạng viêm rễ tủy TK, tủy sống và não. Hành trình này có thể mất vài năm và đã được minh chứng trên nhiều bệnh nhân Thái Lan qua chụp ảnh liên tục. Chiều dài ATDC trung bình 3,0 mm, khi di chuyển ấu trùng đến TKTU, gây ra tổn thương cơ học trực tiếp vì xé rách mô TK. Dấu hiệu vàng của bệnh lý ấu trùng Gnathostoma spp. thể TK là nhiều vệt chấm xuất huyết dọc theo đường đi của ấu trùng, các vết này đã được nhìn thấy khắp đoạn tủy sống và mô não qua giải phẩu tử thi, cũng như qua hình ảnh chụp TKTU. Xuất huyết dưới nhện có thể là hậu quả do ấu trùng đào hầm qua tiểu động mạch não.

Hình 4. Tổn thương da niêm do ấu trùng Gnathostoma spp. và thâm nhiễm BCAT
Nguồn: BMJ, 2021
Viêm màng não tăng BCATdo Gnathostomaspp. đặc trưng bởi hiện diện hồng cầu trong DNT, gợi ý có thương tổn do ấu trùng. Ngoài tổn thương về cấu trúc, đáp ứng viêm, góp phần cho quá trình phá hủy nhu mô. Khi Gnathostoma spp. xâm nhập vào cơ thể gây ra một số biến đổi trong máu: BCATtăng, biểu hiện đáp ứng cơ thể với tình trạng nhiễm vì toàn thân ký sinh trùng là một “thảm kháng nguyên”: enzyme, hormon hay độc tố do tiết ra trong quá trình chuyển hóa gây ra đáp ứng miễn dịch, dị ứng. Tuy nhiên, BCAT trong phòng vệ lúc ấu trùng mới xâm nhập vẫn chưa được hiểu thấu đáo, kể cả đại thực bào và khi ATDC thì BCATluôn tăng từ 35-80%. Kháng thể IgE toàn phần huyết thanh tăng cao trên các bệnh nhân nhiễm ấu trùng Gnathostoma spp., bình thường giá trị này khoảng 10-180 UI/mL, đôi khi trong hội chứng ATDC thì chỉ số này có thể lên đến 300 UI/mL.
Vì người không phải là vật chủ chính, ấu trùng giai đoạn 3 không thể trưởng thành trong người, nhưng ấu trùng gây tổn thương các mô và cơ quan, sinh ra phản ứng viêm và dị ứng, khi ATDCn và tiết độc tố. L3 có thể gây tổn thương các cơ quan sống còn, dẫn đến hậu quả bất lợi, kể cả tử vong. Ấu trùng tiết ra các sản phẩm tiết ngoại tiết (excretory-secretory-ES) do ATDC dưới da và trong phủ tạng. Nghiên cứu chỉ ra ES của G. spinigerum điều hòa chức năng bạch cầu mono thông qua sự ức chế sự trình diện thụ thể Fc gamma I và thúc đẩy chu trình tự chết của tế bào đơn nhân trong máu ngoại vi, chủ yếu qua đường nội sinh.ATDCqua da đến mô dưới da hoặc mô khác (mắt, tai, vú, phổi, tiêu hóa, tủy sống đoạn ngực, tiết niệu sinh dục và TKTU). Đặc điểm lâm sàng chủ yếu là ATDC ở da, phủ tạng lệ thuộc vào phần nào bị xâm nhập, 1-2 ngày sau ăn phải, ATDC qua đường tiêu hóa và gan, biểu hiện triệu chứng toàn thân như sốt, chán ăn, buồn nôn, nôn mửa đau bụng, đau cơ kéo dài hơn 2 tuần. ATDC da niêm liên quan đến vệt di chuyển là đặc điểm quan trọng để chẩn đoán. Lâm sàng ở cơ quan khác nhiễm Gnathostoma spp. khác nhau, tăng đáng kể BCATthường gặp nhất và có thể là chỉ điểm chẩn đoán. Thể hay gặp nhất ATDC trong mô da niêm mà có thể gây đau, kéo dài đến 3-4 tuần. Bệnh sinh chưa hiểu hết, song triệu chứng do tổn thương cơ học, nhiễm trùng thứ phát, phản ứng tiết, đáp ứng miễn dịch của vật chủ.
Nhiễm Gnathostoma spp. có thể xuất hiện triệu chứng sớm trong 24 giờ sau nhiễm, có thể mệt mỏi, sốt, ngứa, chán ăn, buồn nôn, nôn mửa, tiêu lỏng, đau thượng vị. Tăng BCAT xuất hiện sớm do ấu trùng xuyên thành dạ dày-ruột non và nếu ATDC qua gan, cơ hoành gây cho vật chủ cảm giác đau. G. spinigerum gây bệnh theo dưới hai thể: Thể bệnh tại da niêm-mô mềm và thể bệnh tại phủ tạng, ấu trùng chui qua vách dạ dày và chu du khắp nơi (da niêm mạc, gan, phổi, tim, mắt), có thể thành giun non nhưng không trưởng thành được.
Ấu trùng gây viêm, áp xe, hoại tử, xuất huyết, phù nề do chấn thươngcơ học và tiết chất ly giải-tiêu môkhi ATDC trong cơ, kích thích mô nên khối phù nề rộng. Mô học trên mẩu sinh thiết da, thân ấu trùng bị cắt ngang được nhận ra nhờ lớp biểu bì có gai, cấu trúc thực quản và ruột. Trên đường ATDC có phù, xuất huyết, thâm nhiễm BCAT, tế bào lympho và tương bào, khi viêm nặng dẫn tới hoại tử mô.Ấu trùng có thể vào trong TKTUdo xâm nhập trực tiếp qua mô liên kết lỗ TK trên nền sọ, dọc theo dây TK sọ não, mạch máu hoặc thông qua lỗ giữa đốt sống dọc theo TK tủy sống và mạch máu. Ấu trùng bị ly giải vào trong môi trường xung quanh để hỗ trợ cho xuyên thấm của ấu trùng. Protease là phân tử quan trọng trong số sản phẩm tiết và metalloproteinase cơ chất đóng vai trò cho quá trình xâm nhập vào mô vật chủ. Gnathostoma spp. đi vào tủy sống theo các rễ gây viêm rễ tủy, sau đó chúng lên tủy sống và não.
Tổn thương cũng có thể là một vùng hồng ban, phẳng hoặc nổi gồ lên, hoặc dạng chấm đỏ xuất hiện trên mảng hồng ban, cũng có thể là một khối, vạch phù nề, giới hạn không rõ, làm sưng cả vùng, kèm theo đau, nóng và đỏ, khi ATDC sát da thì khối u có thể gom thành một lằn đỏ hoặc một nốt nhỏ, hoặc đường hầm xuyên da (vùng thân mình, cánh tay, mạng sườn, mắt). ATDC trong cơ, mô mỡ và các mô liên kết dưới da với tốc độ nhanh hoặc chậm.
Biểu hiện đa dạng trên da và mô mềm có thể liên đới đến một hoặc nhiều vùng có thể nhạy cảm với đau, tạo các nốt hoặc búi hoặc khối áp xe, ban trườn, đau, viêm mô mỡ dưới da, phù không ấn lõm. Vị trí tổn thương da trên 300 ca ở Mexiconhận thấy tỷ lệ thương tổn do ATDCở chi trên 27,3%, chi dưới 29,7%, đầu mặt 16% và ở thân mình 27%. Nhiễm Gnathostoma spp.thường có số lượng là một con và khối u di chuyển có thể tồn tại 5-17 năm, nhưng nhiễm nhiều con trên cùng bệnh nhân cũng đã được báo cáo trên y văn.
HÌNH ẢNH TỔN THƯƠNG DA NIÊM MẠCDO ẤU TRÙNG Gnathostoma spp. TRÊN BỆNH NHÂN TẠI VIỆN SỐT RÉT-KÝ SINH TRÙNG-CÔN TRÙNG QUY NHƠN







TÀI LIỆU THAM KHẢO
1.
Hotez PJ, Fenwick A, Savioli L, et al.. Rescuing the bottom billion through control of neglected tropical diseases. Lancet 2009;373:1570–5. 2.Ehrhardt S, Burchard GD. Eosinophilia in returning travelers and migrants. Dtsch Arztebl Int 2008;105:801–7.
3.Bouchaud O, Houzé S, Schiemann R. Cutaneous larva migrans in travelers: a prospective study, with assessment of therapy with ivermectin. Clin Infect Dis 2000;31:493–8.
4.Jelinek T, Maiwald H, Nothdurft HD, et al.. Cutaneous larva migrans in travelers: synopsis of histories, symptoms, and treatment of 98 patients. Clin Infect Dis 1994;19:1062–6.
5.Davies HD, Sakuls P, Keystone JS. Creeping eruption. A review of clinical presentation and management of 60 cases presenting to a tropical disease unit. Arch Dermatol 1993;129:588–91.
6.Blackwell V, Vega-Lopez F. Cutaneous larva migrans: clinical features and management of 44 cases presenting in the returning traveller. Br J Dermatol 2001;145:434–7.
7.Herman JS, Chiodini PL. Gnathostomiasis, another emerging imported disease. Clin Microbiol Rev 2009;22:484-92.
8.Vanhaecke C, Perignon A, Monsel G, et al.. Aetiologies of creeping eruption: 78 cases. Br J Dermatol 2014;170:1166-9.
9.Arthur RP, Shelley WB. Larva currens; a distinctive variant of cutaneous larva migrans due to Strongyloides stercoralis. AMA Arch Derm 1958;78:186-90.
10.Anthony RM, Rutitzky LI, Urban JF, et al.. Protective immune mechanisms in helminth infection. Nat Rev Immunol 2007;7:975-87.
11.Podder I, Chandra S, Gharami RC. Loeffler’s syndrome following cutaneous larva migrans: an uncommon sequel. Indian J Dermatol 2016;61:190-2.
12.Darocha S, Wawrzyńska L, oniszh K, et al.. Eosinophilic pneumonia in response to cutaneous larva migrans syndrome: A case report. Pneumonol Alergol Pol 2011;79:365-70.
13.Te Booij M, de Jong E, Bovenschen HJ. Löffler syndrome caused by extensive cutaneous larva migrans: a case report and review of the literature. Dermatol online J 2010;16:2.
14.Schaub N, Perruchoud AP, Buechner S. Cutaneous larva migrans associated with Löffler’s syndrome. Dermatology 2002;205:207-99.
15.Del Giudice P, Desalvador F, Bernard E, et al.. Loeffler’s syndrome and cutaneous larva migrans: A rare association. Br J Dermatol 2002;147:386-7.
16.Butland RJ, Coulson IH. Pulmonary eosinophilia associated with cutaneous larva migrans. Thorax 1985;40:76-7.
17.Wong-Waldamez A, Silva-Lizama E. Bullous larva migrans accompanied by Loeffler’s syndrome. Int J Dermatol 1995;34:570–1.
18.Le Coulant P, Texier L, Tamisier JM, et al.. Cutaneous larva migrans and Loeffler’s type of pulmonary infiltrate. Bull Soc Fr Dermatol Syphiligr 1969;76:641–2.
19.Guill MA, Odom RB. Larva migrans complicated by Loeffler’s syndrome. Arch Dermatol 1978;114:1525–6.
20.Kalmon EH. Creeping eruption associated with transient pulmonary infiltrations. Radiology 1954;62:222-6.
21.Pasricha JM, Street AC. A rash and cough in a traveler. Clin Infect Dis 2011;53:205–6.
22.Nutman TB. Evaluation and differential diagnosis of marked, persistent eosinophilia. Immunol Allergy Clin North Am 2007;27:529–49.
23.Shin MH, Lee YA, Min DY. Eosinophil-mediated tissue inflammatory responses in helminth infection. Korean J Parasitol 2009;47:125–32.
24.Vanegas ES, Cendejas RF, Mondragon A. Images in clinical tropical medicine: a 41-year-old woman with migratory panniculitis. Am J Trop Med Hyg 2014;90:786-7.
25.Cui J, Wang Y, Wang ZQ. Cutaneous gnathostomiasis with recurrent migratory nodule and persistent eosinophilia: a case report from China. Korean J Parasitol 2013;51:467–70.
26.Laga AC, Lezcano C, Ramos C, et al.. Cutaneous gnathostomiasis: report of 6 cases with emphasis on histopathological demonstration of the larva. J Am Acad Dermatol 2013;68:301–5.
27.Mukherjee A, Ahmed NH, Samantaray JC, et al.. A rare case of cutaneous larva migrans due to Gnathostoma sp. Indian J Med Microbiol 2012;30:356–8.
28.Li DM, Chen XR, Zhou JS, et al.. Short report: case of gnathostomiasis in Beijing, China. Am J Trop Med Hyg 2009;80:185-7.
29.Hung MN, Huang HW, Dekumyoy P, et al.. First case of neurognathostomiasis in Taiwan—a Thai laborer presenting with eosinophilic meningitis and intracranial hemorrhage. J Formos Med Assoc 2015;114:1280–4.
30.Singmaneesakulchai S. 1.316 Acute cerebellar ataxia during stroke like episode in CNS Gnathostomiasis. Parkinsonism Relat Disord 2012;18:S76
31.Katchanov J, Sawanyawisuth K, Chotmongkoi V, et al.. Neurognathostomiasis, a neglected parasitosis of the central nervous system. Emerg Infect Dis 2011;17:1174–80.
32.Germann R, Schächtele M, Nessler G, et al.. Cerebral gnathostomiasis as a cause of an extended intracranial bleeding. Klin Padiatr 2003;215:223–5.
33.Munkong W, Sawanyawisuth K, Pongtipakorn K, et al.. Subarachnoid hemorrhage due to vascular causes and gnathostomiasis: clinical features and laboratory findings. Southeast Asian J Trop Med Public Health 2014;45:984–9.
34.Kulkarni S, Sayed R, Garg M, et al.. Neurognathostomiasis in a young child in India: a case report. Parasitol Int 2015;64:342–4.
35.Boongird P, Phuapradit P, Siridej N, et al.. Neurological manifestations of gnathostomiasis. J Neurol Sci 1977;31:279-91.
36.Suksathien R, Ingkasuthi K, Kunadison S, et al.. Spinal gnathostomiasis: a case report with magnetic resonance imaging and electrophysiological findings. J Med Assoc Thail 2016;99:1367-71.
37.Chotmongkol V, Kitkhuandee A, Sawanyawisuth K. Images in clinical tropical medicine: spinal epidural hematoma and gnathostomiasis. Am J Trop Med Hyg 2015;92:677.
38.Wichianprasat P. A rare case: acute transverse myelitis from gnathosomiasis. Am J Trop Med Hyg 2013;89:360.
39.Nagler A, Pollack S, Hassoun G, et al.. Human pleuropulmonary gnathostomiasis: a case report from Israel. Isr J Med Sci 1983;19:834-7. Parola P, Bordmann G, Brouqui P, et al.. Eosinophilic pleural effusion in gnathostomiasis. Emerg Infect Dis 2004;10:1690–1.
40.Sirikulchayanonta V, Chongchitnant N. Gnathostomiasis, a possible etiologic agent of eosinophilic granuloma of the gastrointestinal tract. Am J Trop Med Hyg 1979;28:42–4.
41.Jongthawin J, Intapan PM, Sanpool O. Three human gnathostomiasis cases in Thailand with molecular identification of causative parasite species. Am J Trop Med Hyg 2015;93:615-8.
42.Buppajarntham A, Apisarnthanarak A, Khawcharoenporn T, et al. Asymptomatic eosinophilia due to gnathostomiasis. Int J Infect Dis 2014;23:14–15.
43.Hennies F, Jappe U, Kapaun A, et al. Gnathostomiasis: import from Laos. J Dtsch Dermatol Ges 2006;4:414–6.
44.Theunissen C, Bottieau E, Van Gompel A, et al.. Presumptive Gnathostoma binucleatum-infection in a Belgian traveler returning from South America. Travel Med Infect Dis 2016;14:170–1.
45.Del Giudice P, Dellamonica P, Durant J, et al.. A case of gnathostomiasis in a European traveller returning from Mexico. Br J Dermatol 2001;145:487-9. Herman JS, Wall EC, van-Tulleken C, et al.. Gnathostomiasis acquired by British tourists in Botswana. Emerg Infect Dis 2009;15:594-7.
46.Jeremiah CJ, Harangozo CS, Fuller AJ. Gnathostomiasis in remote northern Western Australia: the first confirmed cases acquired in Australia. Med J Aust 2011;195:42–4.
47.Diaz JH. Gnathostomiasis: an emerging infection of raw fish consumers in gnathostoma nematode-endemic and nonendemic countries. J Travel Med 2015;22:318-24.
48.Diaz JH. Increasing risk factors for imported and domestic gnathostomiasis in the United States. J La State Med Soc 2015;167:215-9.
49.Kim JH, Lim H, Hwang YS, et al.. Gnathostoma spinigerum infection in the upper lip of a Korean woman: an autochthonous case in Korea. Korean J Parasitol 2013;51:343-7.
50.Jarell AD, Dans MJ, Elston DM, et al.. Gnathostomiasis in a patient who frequently consumes sushi. Am J Dermatopathol 2011;33:e91-3.
51.Thomas B, Ciocan D, Jacobson M, et al. Cutaneous gnathostomiasis in New York City. J Cutan Pathol 2009;36:151.
52.Strady C, Dekumyoy P, Clement-Rigolet M, et al.. Long-term follow-up of imported gnathostomiasis shows frequent treatment failure. Am J Trop Med Hyg 2009;80:33–5.
53.Kraivichian K, Nuchprayoon S, Sitichalernchai P, et al.. Treatment of cutaneous gnathostomiasis with ivermectin. Am J Trop Med Hyg 2004;71:623-8.