Về lịch sử nghiên cứu liên quan đến amip Entamoeba histolyticai ghi nhận:
-Năm 1875, F.A. Lesch lần đầu tiên phát hiện amip trong phân một bệnh nhân lỵ ở Peterburg. Ông đã gây bệnh lỵ amip thực nghiệm cho 4 con chó, vào ngày thứ 18 sau gây nhiễm, mổ chó kiểm tra đại tràng thấy rất nhiều ổ loét và ở những ổ loét này có sự hiện diện nhiều amip;
-Năm 1883, Robert Koch đã nghiên cứu về giải phẫu bệnh lý bệnh lỵ amip trên người tại Ai Cập. Ông tìm thấy amip trên những mảnh mô cắt qua vết loét đại tràng, hay thành ổ áp xe gan ở 4 tử thi;
-Năm 1891, Councilman và Lafleur đã đặt tên bệnh lỵ do E. histolytica là bệnh lỵ amip;
-Năm 1903, Shaudin đã xác định đơn bào thuộc họ Entamoebidae và gọi tên E. histolytica. Chúng có hai thể: Thể hoạt động gây bệnh và thể hoạt đông không gây bệnh.
E. histolytica là loại amíp gây bệnh ở người được biết rất phổ biến, thường ký sinh trong đại tràng và là tác nhân gây bệnh lỵ amip, có thể di chuyển sang các nội tạng, nhất là vào tạng gan.
Hình thê
Thể hoạt động
Thể hoạt động của E. histolytica đóng vai tò quan trọng trong bệnh sinh và tồn tại dưới hai dạng:
-Dạng hoạt động ăn hồng cầu (kiểu magna): Kích thước trung bình từ 20-40 mcm, chuyển động nhanh nhờ bộ phận chân giả nhô ra theo một hướng nhất định. Ngoại nguyên sinh chất phân biệt rõ với nội nguyên sinh chất, nội nguyên sinh chất mịn vì không chứa vi trùng hay các phần tử lạ nhưng đôi khi có chứa hồng cầu đang thoái biến. Nhân E. histolytica hình tròn, đường kính khoảng 5mcm, quanh nhân là một vòng mang nhiều hạt nhiễm sắc thể đều đặn và ngay chính giữa nhân có thể nhân. Dạng này sống trong thành đại tràng hay mô ngoài ruột, là thể gây bệnh và sinh sản theo kiểu trực phân.
-Dạng hoạt động không ăn hồng cầu (kiểu minuta): kích thước nhỏ hơn dạng ăn hồng cầu, trung bình 10-12 mcm. Sống ở trong lòng đại tràng, không gây bệnh, thức ăn của chúng là cặn thức ăn hay vi khuẩn, hiện diện ở phân người lành dạng mang mầm bệnh.
Thể tiền bào nang
Thể này có kích thước nhỏ hơn thể hoạt động, đây là thể hoạt động thu mình co tròn lại, không di chuyển hoặc di chuyển rất chậm, không tấn công mô vật chủ.
Thể bào nang
Thể này có ý nghĩa lây lan trong cộng đồng, hình thể tròn hay bầu dục, đường kính khoảng 10-13 mcm với thành nang trơn, chiết quang, dày khoảng 0,5 mcm. Trong tế bào chất có từ 1-4 nhân, có đám glycogen và những thể vùi có đầu tròn đậm màu. Những thể vùi này thường không còn thấy ở một nửa số bào nang, thể bào nang được đào thải ra theo phân.
Đặc điểm sinh học loài E. histolytica
Một số đặc điểm
Vị trí cư trú của từng thể
-Dạng hoạt động không ăn hồng cầu sống trong lòng đại tràng và trên bề mặt niêm mạc đại tràng, không gây rối loạn, tại đó chúng có hóa bào nang trong điều kiện sống không thuận lợi. Dạng hoạt động không ăn hồng cầu và bào nang tìm thấy trong phân người lành mang mầm bệnh hay giữa hai đợt bệnh ở người;
-Khi gây bệnh, dạng hoạt động sẽ xâm nhập vào thành ruột, ăn hồng cầu, tạo những vết loét có hình đặc trưng cho tổn thương là dạng cái bình, miệng nhỏ, bụng phình ra, rồi vách ruột sẽ bị tróc ra từng mảng khiến cho phân có lẫn chất nhầy và máu đi theo. Vị trí của vết loét thường là ở manh tràng và đại tràng sigma.
Di động
Dạng ăn hồng cầu di động nhanh hơn dạng không ăn hồng cầu. Khi di chuyển, bộ phận chân giả nhô ra theo một hướng nhất định.
Sự sống còn
Thể hoạt động dễ chết khi ra khỏi cơ thể vật chủ hay môi trường nuôi cấy phù hợp. Bào nang co khả năng sống sót lâu hơn, đó là thể chịu đựng của amip trong những điều kiện không thuận lợi. Ở những nơi khô, dưới ánh nắng mặt trời, bào nang chỉ sống được vài ngày; ở nhiệt độ 500C, bào nang chỉ sống được 5 phút, nếu ở nơi ẩm thấp, trong bóng mát, trong nước, bào nang sống được từ 1-4 tuần.
Chu kỳ phát triển
Người bị nhiễm E. histolytica do nuốt phải bào nang nhiễm trong đồ ăn, thức uống, nguồn ô nhiễm bào nang khác.
Chu kỳ sinh học và phát triển của E. histolytica
Nguồn: CDC, 2012
Chu kỳ không gây bệnh
Ở người khỏe mạnh, chu kỳ phát triển không gây bệnh nhưng vẫn duy trì được sự lây lan. Thể bào nang sẽ bị dịch tiêu hóa làm tan vách bào nang, một thể hoạt động có 4 nhân thoát ra khỏi nang, phân chia thành 8 nhân, tạo ra 8 amip nhỏ kiểu minuta. Amip sinh sản bằng phương thức phân đôi, duy trì thể hoạt động trong lòng đại tràng. Khi điều kiện không thuận lợi sẽ hóa thành bào nang rồi sẽ theo phân ra ngoài. Đó là dạng người lành mang mầm bệnh.
Chu kỳ gây bệnh
Trong một số trường hợp, amíp sẽ chuyển từ dạng không gây bệnh minuta sang thể magna cũng sinh sản theo kiểu phân đôi. Dạng hoạt động gây bệnh có khả năng gây hoại tử mô nhờ men proteinase phá hủy. Chúng xâm nhập thành đại tràng, tăng sinh mạnh và ăn hồng cầu và gây bệnh cho người. Dạng này khi đại tiện, một số sẽ theo phân ra ngoài, một số ở trong ổ áp xe vẫn tiếp tục sinh sản, gây bệnh, rồi cũng có thể chuyển qua dạng minuta, trở vào lòng đại tràng và hóa bào nang.
Dịch tễ học
Mầm bệnh
Đơn bào E. histolytica thuộc họ Entamoebidae, bộ Amoebida, ngành Protozoa. Chu kỳ sống của amip chia là 2 giai đoạn (giai đoạn hoạt động và giai đoạn nghỉ hay kén). Tuy vậy, nó có thể chuyển từ dạng hoạt động sang dạng kén hoặc ngược lại tuỳ theo điều kiện dinh dưỡng thuận lợi của môi trường trong cơ thể vật chủ. Dựa vào hình thể và sinh lý của E. histolytica người ta chia mầm bệnh amíp ra thành 3 thể:
-Thể hoạt động lớn (thể Magna) phát hiện ở phân, chỗ nhiều nhầy máu của bệnh nhân lỵ amip, kích thước 15-30mcm, hoạt động mạnh nhất ở nhiệt độ 37°C và độ pH 6,5. Trong bào tương amip có nhiều hồng cầu. E. histolytica thể Magna khi vào tế bào, thường co lại trong bào tương với kích thước 4-8 mcm;
-Thể hoạt động nhỏ (thể Minuta) sống trong lòng đại tràng, có kích thước dao động 8-25 mcm chuyển động chậm hơn thể hoạt động lớn, trong bào tương không có hồng cầu;
-Thể kén (thể Cyst) là thể được tạo thành từ thể hoạt động nhỏ. Thể kén có hình ovan hoặc tròn đường kính từ 10-14 mcm, được bọc bởi 2 lớp vỏ. Thể kén non có 1 nhân nhưng khi già có 4 nhân. Sự tạo thành thể kén là tất yếu trong vòng đời của amip và đóng vai trò lây bệnh.
Nguồn bệnh và yếu tố thuận lợi
Là bệnh nhân nhiễm bệnh cả thể cấp hoặc mạn tính và người lành mang amip thải kén amip theo phân ra ngoài, gây ô nhiễm nguồn thực phẩm và nước uống. Một số động vật như khỉ, chó, mèo, chuột có thể bị bệnh nhưng chúng không thải kén ra ngoài, nên chúng không phải nguồn bệnh.
Một số yếu tố thuận lợi có thể góp phần cho amíp gây bệnh, các yếu tố đó có thể là tùy thuộc chủng amíp, tạp khuẩn ruột sẵn có kết hợp và sức đề kháng của cơ thể:
-Chủng amíp: một số tác giả cho rằng chủng amíp ở các quốc gia vùng Đông Nam Á có tính gây bệnh cao hơn các chủng vùng bắc Phi;
-Tạp khuẩn ruột kết hợp: là một yếu tố quan trọng, khi giết các tạp khuẩn bằng thuốc kháng sinh thì bệnh lỵ amíp cũng giảm đi, người bệnh tưởng rằng mình đã thực sự hết bệnh. Trong thực hành lâm sàng cho thấy bệnh lỵ amíp có thể xảy ra sau bệnh truyền nhiễm như thương hàn hoặc phối hợp với lỵ trực trùng;
-Sức đề kháng: mang mầm bệnh thời gian dài nhưng không bị bệnh, nhân cơ hội nhiễm khuẩn, virus sức đề kháng cơ thể giảm, khi đó bệnh amíp xuất hiện.
Đường lây
Nhiễm amip thường lây qua đường tiêu hoá do thức ăn, nước uống nhiễm kén amip, các trẻ em hoặc người lớn để móng tay dài cũng là điều kiện cho mầm bệnh amip đưa vào miệng sau khi đi vệ sinh, trước khi ăn uống,...kén amip tồn tại ở ngoại cảnh tương đối ổn định, chẳng hạn ở điều kiện nhiệt độ 17 - 20°C, chúng tồn tại hàng tháng; ở 45°C, kén chết sau 30 phút, ở 85°C chết nhanh sau vài giây. Với các thuốc khử trùng crezyl 1/250 có thể diệt kén amip trong vòng 5 - 15 phút và thuốc này cũng thường đề cập trong các tài liệu nhiễm khuẩn bệnh viện.
Cơ thể cảm thụ - miễn dịch
- Mọi lứa tuổi, không kể giới tính đều có thể nhiễm amip, nhưng khoảng 90% người nhiễm không có triệu chứng (asymptomatic carrier), nên tình trạng mang mầm bệnh có thể kéo dài hàng năm trước khi xảy ra bệnh. Chỉ có 10% số người bị nhiễm có biểu hiện triệu chứng bệnh lỵ amip hoặc áp xe ở các cơ quan khác nhau như gan, não;
-Người nhiễm E. histolytica sẽ hình thành miễn dịch tại chỗ (ở thành ruột) và toàn thân nhưng không có khả năng bảo vệ chắc chắn và bền vững khi có mầm bệnh xâm nhập.
Tính chất dịch
-Bệnh thường biểu hiện tản phát, ca bệnh rải rác được báo cáo;
-Tại một số nước nhiệt đới, cận nhiệt đới có đời sống kinh tế, xã hội thấp, tình trạng vệ sinh kém nên bệnh có thể gây thành những vụ dịch lớn.
Giải phẫu và sinh lý bệnh
Kén amip qua thức ăn, nước uống bị ô nhiễm xâm nhập vào cơ thể người qua đường tiêu hoá, khi tới dạ dày, nhờ tác dụng của dịch vị phá vỡ vỏ kén, 4 nhân trong kén được ly giải phát triển thành 4 amip nhỏ (thể Minuta), sau đó chúng di chuyển xuống cư trú ở đoạn hồi manh tràng (nơi giàu chất dinh dưỡng, pH thích hợp và có nhiều vi khuẩn cộng sinh). Bình thường amip nhỏ không xâm nhập được vào thành ruột để gây bệnh mà theo phân xuống đại tràng thải ra ngoài. Một số amip nhỏ co lại thành kén và cũng được thải theo phân ra ngoài là nguy cơ lây lan cho người khác.
Khi thành ruột bị tổn thương (do vi khuẩn khác hoặc tổn thương viêm loét), amip nhỏ mới tấn công được vào thành ruột, sinh sản tại đó và tiết ra các men tiêu protein dẫn đến hoại tử tế bào niêm mạc ruột. Tại thành ruột, lúc đầu amip gây ra những điểm sung huyết ở niêm mạc, sau đó tạo nên các cục nhỏ trên mặt niêm mạc rồi dần dần hoại tử và tạo thành những vết loét đặc trưng. Các vết loét có thể rộng tới 2-2,5cm, xung quanh bờ sưng phồng, phù nề và sung huyết. Đáy vết loét sâu tới lớp hạ niêm mạc và phủ bởi lớp mủ. Những vết loét gần nhau có thể thông với nhau tạo thành vết loét lớn hơn, sâu tới lớp cơ và cùng với các vi khuẩn tạo nên các ổ áp xe sâu, có thể gây thủng ruột và viêm phúc mạc mủ. Amip còn tạo nên các u hạt ở thành ruột đôi khi rất khó phân biệt với ung thư đại tràng.
Khi các vết loét gây tổn thương mạch máu thành ruột, amip có thể thâm nhập vào máu và theo dòng máu đi khắp cơ thể gây tổn thương các cơ quan khác ngoài ruột như gan, phổi, não do amip có thể tạo thành các ổ áp xe.
Bệnh học
Bệnh amíp là một bệnh với phổ lâm sàng đa dạng với nhiều thể bệnh trong ruột và ngoài ruột. Chủ yếu là bệnh ở đường tiêu hóa, sau đó là biến chứng tại chỗ hay đi vào các cơ quan ngoài ruột như gan, phổi, não. Nhiễm trùng các cơ quan ngoài ruột xảy ra khi mà hội chứng lỵ đã đi qua và có thương tổn mạch máu do các vết loét của amip đường ruột gây nên trước đó.
Bệnh amip ở ruột
Thể cấp tính
-Khởi đầu có thể là một cơn đau bụng, tiêu chảy không có gì đặc biệt, thường đi sau những thời điểm mà bệnh nhân trước đó làm việc mệt mỏi, cật lực thay đổi chế độ ăn uống, thay đổi khí hậu, mất cân bằng của nhóm tạp khuẩn ruột do dùng kháng sinh phổ rộng điều trị nhiễm trùng toàn thân;
-Đau bụng không cố định ở một vị trí nhất định cũng như về cường độ đau, đôi khi thấy đau dữ dội, hay đau quặn bụng dọc theo khung đại tràng, gây cảm giác cho bệnh nhan phải đại tiện gấp;
-Cảm giác buốt rát hậu môn sau nhiều lần đại tiện lỏng, sự co cứng và đau của cơ thắt hậu môn tạo nên cảm giác muốn đi tiêu nhưng không đi được;
-Đi đại tiện nhiều lần trong ngày (5-15 lần), số lượng phân không nhiều, gồm chất nhầy lẫn dịch máu, đôi khi có một ít phân lỏng;
-Thể tạng bệnh nhân nhìn chung bình thường trong một thời gian, nếu bị suy nhược, mất nước, sụt cân mà không bù kịp thì thể trạng trở nên suy nhược. Phần lớn, dấu mất nước cũng vừa phải, không sốt (trẻ em đôi khi có sốt). Nếu có sốt, thầy thuốc lâm sàng phải thận trọng nghĩ đến khả năng amíp bắt đầu tấn công đến cơ quan ngoài ruột hoặc bội nhiễm, nhất là trên cơ địa suy giảm miễn dịch.
Khám lâm sàng
Khám thực thể cho thấy bụng nhạy cảm khi sờ chạm, đặc biệt vùng manh tràng và vùng đại tràng sigma thường hay co cứng và đau. Gan có kích thước bình thường và rung, sờ không đau. Thăm dò hậu môn thấy trực tràng trống rỗng, chỉ có chất nhầy và máu.
Nếu điều trị tích cực thể bệnh cấp tính, bệnh nhân đáp ứng tốt và hồi phục nhanh, không để lại di chứng. Không điều trị hoặc điều trị không tích cực, đúng và đủ liều thuốc, bệnh sẽ diễn biến xấu và có biến chứng nghiêm trọng. Biến chứng có thể tại chỗ như chảy máu đường ruột, phần lớ tại đại tràng, thủng ruột hoặc có thể mầm bệnh di chuyển vào các cơ quan khác như gan, phổi.
Thể bệnh bán cấp
Đau bụng lâm râm kèm theo những cơn tiêu chảy, phân lỏng có lẫn chất nhầy, máu xen kẽ với táo bón. Điểm lâm sàng như thế khó nghĩ đến chẩn đoán nguyên nhân amíp. Nếu xét nghiệm phân có thể thấy amíp ăn hồng cầu.
Việc điều trị là cần thiết và rất quan trọng vì khả năng diễn biến không khác gì thể cấp tính.
Thể bệnh ác tính
Thể bệnh này hay xảy ra trên những người suy giảm miễn dịch, suy dinh dưỡng, bệnh nhân ung thư, lao, hay đang dùng thuốc chống thải ghép, thuốc corticoides. Thường kết hợp với một bệnh ký sinh trùng khác hay với một vi khuẩn đường ruột (thương hàn, trực trùng, tụ cầu,…). Bệnh thể hiện bằng một hội chứng lỵ rất nặng kèm hội chứng nhiễm độc nghiêm trọng, cơ thắt hậu môn mở rộng, phân có máu và nhầy tự nhiên chảy ra.
Chẩn đoán dựa trên sự phát hiện amíp ăn hồng cầu trong phân. Mặc dù điều trị cấp cứu, tích cực, nhưng tiên lượng bệnh thường không tốt. Người bệnh thường chết vì các biến chứng sốc, xuất huyết tiêu hóa, hội chứng nhiễm trùng nhiễm độc, hoặc do amíp đi vào các tạng gan, phổi, não.
Thể bệnh phối hợp
Khi lỵ amip phối hợp với lỵ trực trùng sẽ là một bệnh nhiễm trùng nặng, phân sẽ nhiều hơn, sốt cao và mất nước và suy dưỡng nhanh chóng. Hoặc bệnh phối hợp với ký sinh trùng như giun/ sán (giun lươn, giun đầu gai) hay Giardia sp. thì bệnh không nặng lắm, ngoại trừ có biến chứng và trên cơ địa bệnh lý nền hoặc suy giảm miễn dịch.
Thể bệnh mạn tính
Bệnh diễn tiến mạn tính được biểu hiện bằng một tình trạng bệnh lý viêm đại tràng mạn tính sau nhiều cơn lỵ cấp tính, tạo nên những sẹo của vết loét cũ ở thành ruột, khiến tạo các vết xơ, cứng và hẹp lòng ruột, đầu tận của dây thần kinh của ruột có thể bị phá hủy, nên chức năng ruột không còn bình thường, thường có rối loạn tiêu hóa nhẹ hay trung bình và táo bón. Đau bụng lâm râm, mơ hồ liên tục hay từng cơn diễn tiến kéo dài, thể tích gan có thể to ra. Vì thời gian mắc bệnh lâu ngày, nên bệnh nhân hay bị suy nhược, chán ăn, sụt cân và suy dưỡng. Các bệnh lý khác như viêm loét đại trực tràng, ung thư đại tràng cần phải chẩn đoán phân biệt trong tình huống này.
Xét nghiệm phân thường khó tìm thấy amíp, nên cũng khó kết luận được nguyên nhân amíp của tình trạng viêm đại tràng mạn tính, nên cần thiết xét nghiệm nhiều lần.
Tiến triển bệnh thường dai dẳng, tái phát nên đòi hỏi theo dõi và điều trị nhiều đợt cho tiệt căn. Việc điều trị cần phối hợp nhiều liệu pháp để diệt tận gốc amip và điều trị triệu chứng.
Khối u do amíp
Khối u amíp là bệnh hiếm gặp của bệnh lý đường ruột mạn tính, xuất hiện sau lần nhiễm amíp đầu tiên từ một vài tháng đến hàng chục năm. Chẩn đoán khối u amíp khó, thường chẩn đoán nhầm với các khối u thật sự của đoạn đại tràng. Khối u amíp thường nằm ở vùng manh tràng hay đại tràng sigma. Xét nghiệm phân thường cho kết quả âm tính nhưng phân tích giải phẩu bệnh cho thấy giữa khối u có amíp ăn hồng cầu. Có thể xác định bệnh bằng cách điều trị thử qua cách dùng ngay thuốc điều trị đặc hiệu amíp, nếu khối u “nhạy” với thuốc thì đúng là khối u amíp.
Chẩn đoán bệnh amíp ở ruột
Xét nghiệm phân
-Bệnh phẩm để xét nghiệm tìm đơn bào là mẫu phân bệnh nhân: Quan sát đại thể lượng phân người bệnh vừa đi được sẽ thấy chất nhầy lẫn máu, chất nhầy hay bao quanh khối phân. E. historytica là một đơn bào có màng tế bào chất rất mỏng, dễ bị hủy ở môi trường ngoài cơ thể, nên để xét nghiệm có kết quả chính xác cần phải tôn trọng điều kiện thời qian, xét nghiệm ngay sau khi đi đại tiện, không nên để quá 2 giờ. Để chủ động, có thể dùng dung dịch cố định phân, trong dung dịch này, thể hoạt động, thể bào nang của amíp, trứng, ấu trùng giun sán sẽ mất tính nhiễm nhưng vẫn giữ nguyên hình dạng và được nhuộm màu (dung dịch F2AM gồm formol, phenol, alcool, xanh methylen);
-Nếu là bệnh cấp tính, thể hoạt động Magna có khi thấy được hồng cầu bên trong và nếu người lành mang mầm bệnh, thì thể hoạt động Minuta và thể bào nang. Cần lưu ý, dù đã tôn trọng các điều kiện vừa kể trên, nhưng một kết quả xét nghiệm soi âm tính cũng không đủ để kết luận không nhiễm amíp vì người bệnh thường tự điều trị trước khi nhập viện. Dù uống không đúng thuốc, chưa đủ liều, nhưng cũng làm cho amíp tạm thời giảm khả năng tăng sinh, đễ đưa đến kết quả âm tính giả;
-Lưu ý là có nhiều loại amíp khác có hình dạng giống như E. histolytica nhưng không gây bệnh, cần phải phân biệt dựa vào lâm sàng và hình thái học;
-Chẩn đoán huyết thanh miễn dịch tìm kháng nguyên amíp trong phân hoặc kháng thể trong máu cho giá trị hỗ trợ chẩn đoán.
Nội soi đại trực tràng
-Công thức máu toàn phần và tốc độ lắng máu trong giới hạn bình thường;
-Soi trực tràng gây không nên tiến hành thường quy ở tất cả bệnh nhân vì có thể gây stress đau, chỉ cần thiết khi xét nghiệm phân âm tính và xuất huyết tiêu hóa và nghi ngờ ung thư đại trực tràng. Thủ thuật nội soi cho thấy niêm mạc trực tràng bị viêm rải rác, có những đốm loét hình miệng núi lửa, bao phủ một lớp nhày có chứa amíp ăn hồng cầu;
-Trong viêm loét đại tràng do amip, nhìn thấy niêm mạc phù nề, sưng đỏ, có sang thương loét nông hoặc sâu, nơi đấy có nhiều amíp.
Chẩn đoán phân biệt lỵ amíp và lỵ trực trùng
Bệnh | Dịch học | Tiến triển | Biểu hiện lâm sàng | Biến chứng | Chẩn đoán |
Lỵ amíp | Lẻ tẻ | Mạn tính | - Không sốt (trừ trẻ em) - Phân có nhầy, máu; - Số lần: 5-15 lần/ ngày | Dễ xảy ra | - Soi trực tiếp phân tươi. - Dùng dung dịch cố định. |
Lỵ trực trùng | Hàng loạt | Cấp tính | - Có sốt - Đi nhiều lần hơn, mất nước nhiều hơn | Hiếm xảy ra | Cấy phân |
Bệnh amip ở gan
Bệnh amíp ở gan là một biến chứng thường xảy ra sau bệnh amíp đường ruột cấp tính, đang tiến triển hay bệnh đã mắc từ lâu nhưng bệnh nhân không quan tâm. Xuất phát từ các sang thương ở đại tràng, thể hoạt động dưới dạng hoạt động ăn hồng cầu theo đường tĩnh mạch cửa vào gan. Mỗi amíp sẽ tăng sinh tạo thành một vết loét, nhiều vết loét kết hợp vào nhau tạo thành áp xe lớn. Trong áp xe có mủ màu sôcôla do máu trộn với mật trong hệ thống đường mật.
Biểu hiện lâm sàng
-Đau chính là biểu hiện chính, đau vùng hạ sườn phải với một cường độ thay đổi, không nhất định, đau nhói khi hít vào mạnh và đau lan ra sau hoặc xuyên lên vai phải;
-Nếu ổ áp xe gần với mặt trên gan sẽ gây kích thích phế mạc;
-Thường bệnh nhân sốt cao (39 - 400C);
-Gan to là một biểu hiện khá trung thực trong chẩn đoán, khám ấn bờ dưới gan đau, thường gan to nhưng không kèm lách to, không có dịch ổ bụng, không biểu hiện vàng da.
Chẩn đoán bệnh
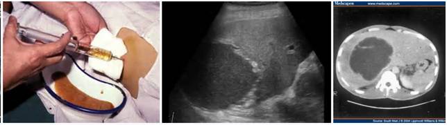
-Trước đây, khi một chẩn đoán nghi ngờ áp xe gan do amip thì thủ thuật chọc dò gan vừa thăm dò, vừa chẩn đoán rất phổ biến và như một bước thường quy. Chọc dò là một xét nghiệm xâm lấn, gây đau và nguy hiểm vì amíp có thể theo kim chọc dò lây sang các mô khác của cơ thể;
-Nếu đúng là áp xe gan do amíp sẽ hút ra mủ màu sôcôla, thường rất khó tìm sự hiện diện amíp trong mủ vì dạng hoạt động ký sinh ở vách áp xe chứ không ở trong mủ;
-X-quang cho thấy hình ảnh cơ hoành bên (P) ít di động, nổi vòng lên, đáy màng phổi có thể phát hiện tràn dịch, đôi khi nhu mô phổi dưới bị mờ đục; chiếu x-quang thấy giảm di động cơ hoành, thậm chí có thể tràn dịch màng phổi;
-Xét nghiệm công thức máu toàn phần, bạch cầu đa nhân trung tính tăng, tốc độ máu lắng tăng, và đặc biệt các xét nghiệm chức năng gan mật không thay đổi nhiều, đôi lúc tăng nhẹ.
-Xét nghiệm phân ít có giá trị;
-Xét nghiệm miễn dịch, phát hiện kháng thể kháng amíp trong huyết thanh bệnh nhân hiện nay đang là xét nghiệm được áp dụng phổ biến do dễ thực hiện, cho kết quả tương đối chính xác;
-Siêu âm gan mật cho thấy hình ảnh đặc trưng của ổ áp xe có bờ rõ nhưng áp xe nhỏ quá đôi khi bỏ sót chẩn đoán. Khối áp xe thường ở các vị trí thuộc hạ phân thùy của gan phải, hiếm khi nhìn thấy ở thùy vuông hay hạ phân thùy 1, có lẽ do cấu trúc giải phẩu và tính ưu thế;
-Chụp cắt lớp vi tính hay chụp cộng hưởng từ (CT-scan hay MRI) cho thấy hình ảnh sang thương có bờ rõ nét nhưng hiếm khi chỉ định và công cụ này có giá thành mỗi lần chụp cao. Một số ca nếu can thiệp chụp cắt lớp như ca áp xe làm thủng một mạch máu to gây chảy máunặng, áp xe có thể lan rộng vào vùng lân cận màng phổi, phổi, màng ngoài tim, màng bụng, tụy,…
Chẩn đoán phân biệt
Tuỳ theo từng thể và giai đoạn bệnh mà cần phải chẩn đoán phân biệt với những bệnh lý khác nhau.
Đối với amip ở đường ruột
-Với bệnh lỵ trực khuẩn vì hai bệnh cảnh đều có hội chứng lỵ. Tuy nhiên, lỵ trực khuẩn thường diễn biến cấp tính với hội chứng nhiễm trùng - nhiễm độc rõ ràng. Các triệu chứng của hội chứng lỵ cũng nặng hơn: đau bụng dọc theo khung đại tràng, đặc biệt là đại tràng sigma và cảm giác mót rát trực tràng-hậu môn, đi ngoài nhiều lần, phân nhầy đục lẫn máu, hoặc loãng như nước rửa thịt;
-Với viêm đại tràng mạn tính, với bệnh Crohn, bệnh viêm loét đại tràng, rối loạn khuẩn ruột, nhiễm độc kim loại nặng (chì, thuỷ ngân,...), với hội chứng tăng urê huyết;
-Với các khối u đại trực tràng, khối u vùng tiểu khung.
Đối với áp xe gan do amip:
-Khối áp xe do vi khuẩn: bệnh ít xảy ra hơn, có thể phân lập được vi khuẩn qau nuôi cấy định danh, nhưng khó phân biệt được một áp xe do vi khuẩn tiên phát với với một bệnh nhân áp xe gan do amíp gan bội nhiễm vi khuẩn;
-Khối áp xe do sán lá gan lớn Fasciola sp. thường bệnh nhân đau vùng thượng vị, hạ sườn (P) đau lan ra sau lưng và/ hoặc đau lên hai vai, ngứa và dị ứng, sốt có thể có hoặc không. Trên siêu âm, cho hình ảnh tổn thương áp xe không có bờ viền rõ ràng giới hạn, có thể có nhiều ổ microáp xe, hoặc ổ áp xe lớn có cấu trúc giảm âm hoặc hỗn hợp âm, kích thước lớn nhỏ khác nhau, các thương tổn thường nằm gan phải nhiều hơn gan trái, phần lớn các bác sĩ siêu âm dễ dàng phân biệt khối áp xe do sán lá gan lớn Fasciola sp. với khối áp xe gan do amip. Cần thiết có thêm xét nghiệm bạch cầu ái toan trong máu ngoại vi và huyết thanh chẩn đoán qua các bộ chẩn đoán ELISA hoặc Western blot;
-Ung thư gan tiên phát: hình ảnh giống bệnh áp xe gan amíp, nhưng điều trị thuốc đặc hiệu thửkhông thuyên giảm khối u. Một số xét nghiệm cần bổ sung để gián biệt như đo nồng độ chỉ điểm ung thư tiêu hóa, ung thư gan như alpha foetoproteine (α-FP), marker viêm gan virus;
-Xơ gan: bệnh nhân thường có cảm giác đau diễn tiến mạn tính, có thể có sốt, vàng da nhẹ, dịch báng, phù chi và các dấu hiệu tăng áp tĩnh mạch cửa.
Tiến triển của bệnh
-Tiến triển bệnh lệ thuộc vào tiến trình chẩn đoán sớm và điều trị kịp thời với vác thuốc đặc hiệu. Nếu phát hiện và chẩn đoán đúng bệnh thì nhiều trường hợp không cần đến sự can thiệp của ngoại khoa, chỉ cần điều trị nội khoa vẫn đạt kết quả tốt.
-Khi tác nhân amip nhạy cảm, đáp ứng với thuốc thì thường sau 3 ngày điều trị, thân nhiệt trở lại bình thường, triệu chứng đau và gan to cũng cải thiện giảm dần, khối áp xe thay đổi tính chất và có dấu hiệu tăng âm sau khoảng ½ tháng. Tốc độ máu lắng và số lượng bạch cầu đa nhân trung tính trở lại bình thường. Phản ứng miễn dịch kháng thể trở về âm tính chậm hơn, có thể sau nhiều tháng hay nhiều năm.
Bệnh amíp ở phổi - màng phổi
Bệnh amip ở phổi hay màng phổi thường là do biến chứng của amíp ở gan. Amíp vào phổi do xuyên qua cơ hoành và thường khu trú ở phổi màng phổi (P), có thể phản ứng màng phổi (P). Amip có thể tới phổi theo đường máu hoặc các ổ áp xe gan sát với mặt trên vỡ, gây thủng cơ hoành, mủ tràn lên phổi (P) gây viêm phổi, màng phổi hoặc áp xe do amip. Rất hiếm khi bệnh xảy ra tiên phát do amíp vào phổi bằng đường máu. Nếu theo đường máu thì vị trí áp xe sẽ ở bất kỳ nơi nào của nhu mô phổi.
Biểu hiện lâm sàng: có hai thể bệnh:
-Thể không mưng mủ, viêm màng phổi vùng bên (P) ở phía dưới, xoang sườn hoành đầy dịch rỉ;
-Thể mưng mủ, áp xe thường ở phần nhu mô phổi, phía dưới bên (P), bệnh nhân có thể khạc ra mủ màu socola, có thể bội nhiễm vi khuẩn.
Bệnh nhân xuất hiện đau ngực, ho khan hoặc có đờm đặc, đôi khi dính máu. Sốt nhẹ hoặc không sốt. Nghe phổi có ran nổ nhỏ hạt. X-quang phổi thấy những đám thâm nhiễm, xét nghiệm máu ngoại vi thấy bạch cầu chung và bạch cầu đa nhân trung tính tăng, hoặc bạch cầu ái toan tăng chiếm ưu thế (tùy thuộc hình thái nhiễm trùng có bội nhiễm vi khuẩn hay không), tốc độ máu lắng tăng. Nếu bệnh nhân không được điều trị đặc hiệu, viêm phổi - màng phổi sẽ chuyển thành áp xe phổi do amip.
Áp xe phổi do amip thường tiến triển mạn tính, bệnh nhân sốt nhẹ sốt vừa hoặc sốt cao, sốt dao động. Ho nhiều đờm màu sôcôla. Soi đờm có thể thấy E. histolytica nhưng hiếm. X-quang phổi sẽ thấy những ổ tổn thương có mức dịch nằm ngang. Một số trường hợp áp xe phổi do amip có thể dẫn tới viêm mủ màng phổi, tràn mủ - tràn khí, đường dò thông nhu mô gan và phổi.
Chẩn đoán
-Dựa vào phổ lâm sàng tùy thuộc vào thể bệnh, kết hợp với yếu tố dịch tễ và căn cứ vào kết quả xét nghiệm cận lâm sàng và chẩn đoán hình ảnh;
-Chẩn đoán quyết định phải dựa vào việc xác định E. histolytica ở trong phân, mủ các ổ áp xe của bệnh nhân. Phương pháp thông thường nhất là lấy bệnh phẩm soi tươi trên kính hiển vi quang học (phải soi ngay sau khi lấy bệnh phẩm);
-Ngoài ra, có thể ứng dụng phương pháp huyết thanh chẩn đoán phát hiện kháng nguyên E. histolytica hoặc kháng thể chống E. histolytica trong máu. Một số khác như miễn dịch huỳnh quang, phản ứng kết hợp bổ thể hoặc nuôi cấy amip ở môi trường nhân tạo và cấy truyền bệnh cho động vật thực nghiệm;
-Rất ít khi thấy amíp trong bệnh phẩm mủ khạc ra;
-Siêu âm bụng tổng quát khảo sát thấy mức dịch nhạy hơn trên phim chụp x - quang;
-Chụp x quang phổi thẳng có thể nhìn thấy thương tổn dạng áp xe (dạng đám mờ) và có thể có mức dịch nằm ngang;
-Trong một số trường hợp, tổn thương không thể loại trừ, có thể chẩn đoán thông qua điều trị thử bằng thuốc đặc hiệu với amíp E. histolytica.
Bệnh amip các cơ quan khác
-Áp xe não do amip: E. histolytica từ ruột vào vòng tuần hoàn lớn tới não gây ra các ổ áp xe ởbán cầu đại não. Bệnh nhân có hội chứng tăng áp lực nội sọ, đau đầu dữ dội, nôn và buồn nôn, hội chứng nhiễm trùng nhiễm độc ở nhiều mức độ khác nhau. Các triệu chứng tâm thần kinh phụ thuộc vào vị trí tổn thương ở não do amip. Cần chẩn đoán phân biệt với một số bệnh lý áp xe não màng não tiên phát có tăng bạch cầu ái toan do amip (Primary amoebic meningoencephalitis) do amip ăn não Naegleria fowleri và Acanthamoeba sp;
-Áp xe lách, áp xe thận, áp xe cơ quan sinh dục nữ có thể gặp nhưng rất hiếm;
-Amip da: bệnh amip da là bệnh lý thứ phát. Tổn thương da thường thấy ở vùng quanh hậu môn, tầng sinh môn tạo thành những đám đỏ da, sau thành những vết loét. Amip da xảy ra ở chỗ vết mổ hoặc ở quanh hậu môn trong lúc bị lỵ cấp. Amip còn có thể tạo nên các lỗ dò quanh gan hoặc gần những vết mổ áp xe gan, phổi.
Biến chứng
-Biến chứng do vỡ ổ áp-xe hay gặp nhất và nguy hiểm nhất. Vỡ vào màng tim, khi vị trí ổ áp-xe nằm ở gan trái, bệnh nhân đột ngột khó thở, tím tái, vã mồ hôi, nghe tiếng tim mờ, nếu không bệnh nhân chết vì bị ép tim cấp;
-Vỡ vào ổ bụng gây nhiễm trùng toàn ổ bụng gọi là viêm phúc mạc: Đột nhiên bệnh nhân đau toàn bụng dữ dội, sốt tăng lên, bụng cứng. Cần phải kịp thời dẫn lưu ổ bụng hoặc phải mổ cấp cứu đề phòng bệnh nhân chết vì choáng nhiễm khuẩn;
-Vỡ vào ổ bụng gây viêm phúc mạc khu trú do các mạch nối và các tạng bao vây tạo nên ổ mủ khu trú. Ngoài ra, ổ áp-xe có thể vỡ vào ống tiêu hóa như dạ dày, đại tràng làm người bệnh nôn ra mủ, ỉa ra máu hoặc vỡ vào cơ thành bụng gây áp-xe cơ thành bụng hoặc tạo thành lỗ dò chảy mủ.
-Biến chứng tiếp do mưng mủ kéo dài làm người bệnh suy kiệt.
Điều trị
Điều trị đặc hiệu - các thuốc diệt amip được phân ra theo nhóm:
Thuốc tác dụng trực tiếp do tiếp xúc
-Chiniofon (biệt dược Mixiot, Yatren), viên 0,2 hoặc 0,25g dùng với liều 1,5 g/ngày trong 10 ngày liên tục, có thể kết hợp với thuốc chiniofon thụt giữ vào lòng đại tràng (1-2 g pha với 200 ml nước ấm);
-Iodoquinol viên 650mg/ngày, dùng liên tục trong 10 ngày.
-Các hình thức áp dụng thuốc trên hiện không còn khuyến cáo.
Thuốc tác dụng tới amip trong tế bào (niêm mạc ruột)
Đây là các thuốc diệt amíp E. histolytica có khả năng khuyếch tán vào trong các mô, theo máu vào đến tận trong các mô và diệt amíp ăn hồng cầu tại nơi đó.
-Emetin: là loại hoạt chất alkaloid chiết xuất từ cây Ipeca, dạng chlorhydrate, tiêm dưới da 1mg/kg/ngày trong 10 ngày liên tiếp. Thuốc có nhiều độc tính và tích tụ trong cơ thể gây độc tính ở tim, thận, hệ thần kinh nên hiện nay ít dùng và được thay thế bằng dẫn chất tổng hợp là dehydroemetin ít độc hơn. Thuốc có tác dụng ngăn cản không hồi phục quá trình tổng hợp protein của amip. Không dùng thuốc cho phụ nữ có thai. Thời gian giữa hai đợt điều trị là 45 ngày, trong quá trình điều trị cần phải theo dõi diễn biến bệnh tim mạch, lưu ý các biểu hiện triệu chứng ngộ độc và tác dụng ngoại ý của emetin là buồn nôn, ói mửa, tiêu chảy, hạ huyết áp. Một số tác giả khuyên cần phối hợp với vitamin B1 trước và sau khi tiêm thuốc;
-Dehydroemetin (biệt dược Dametin, Mebadin) là dẫn xuất tổng hợp của emetin, có tác dụng dược lý tương tự nhưng ít độc hơn emetin. Thuốc có tác dụng diệt amip ở trong các mô, ít có tác dụng trên amip ở ruột. Dehydroemetin có tác dụng diệt amip trực tiếp do cản trở sự chuyển dịch phân tử ARN thông tin dọc theo ribosom nên ức chế không phục hồi sự tổng hợp protein của amip. Thuốc hấp thu kém qua đường tiêu hóa. Sau khi tiêm bắp, dehydroemetin được phân bố vào nhiều mô, tích luỹ ở gan, phổi, lách và thận.
-Dehydroemetin thải trừ qua nước tiểu nhanh hơn emetin nên ít tích luỹ hơn và do đó ít độc hơn emetin. Tác dụng không mong muốn của thuốc cũng tương tự như khi dùng emetin nhưng nhẹ và ít gặp hơn (tại vùng tiêm thường bị đau, dễ tạo thành áp-xe vô trùng, có thể gặp phát ban kiểu eczema). Dehydrooemetin được chỉ định khi bị lỵ amip nặng, áp-xe gan do amip và chỉ nên sử dụng khi không có các thuốc khác an toàn hơn hoặc bị chống chỉ định. Tác dụng trên thần kinh cơ, thường gặp mệt mỏi và đau cơ, đặc biệt ở chân tay và cổ. Các triệu chứng này phụ thuộc vào liều dùng và là dấu hiệu báo trước độc tính trên tim. Hạ huyết áp, đau vùng trước tim, nhịp tim nhanh và loạn nhịp là những biểu hiện thường gặp khi bị tổn thương tim. Thuốc cũng gây buồn nôn, nôn, đau bụng, tiêu chảy. Ngoài ra còn có thể gặp các triệu chứng: ngứa, run, dị cảm.
Trong quá trình dùng thuốc phải có sự theo dõi sát sao của thầy thuốc. Đối với phụ nữ có thai tuyệt đối không được dùng dehydroemetin vì thuốc độc với thai nhi. Trong điều trị lỵ do amip, dùng thêm tetracyclin để giảm nguy cơ bội nhiễm. Khi điều trị áp xe gan do amip phải uống thêm cloroquin đồng thời hoặc ngay sau đó. Sau điều trị, tất cả bệnh nhân nên uống thêm diloxanid để loại trừ amip còn sống sót ở kết tràng, đề phòng tái phát. Thuốc có tác dụng mạnh gấp 2 lần thuốc emetin và ít độc hơn. Liều dùng 1mg/kg cân nặng/ngày, tiêm bắp trong 5-7 ngày. Lưu ý các thuốc trên do đặc tính độc ở người, nên hiện nay không khuyến cáo sản xuất và không còn sử dụng điều trị cho bệnh nhân nữa.
-Diloxanid furoat là dẫn xuất dicloro acetamid có tác dụng diệt trực tiếp amip trong lòng ruột nên được dùng để điều trị các bệnh amip ở ruột. Diloxanid có hiệu lực cao đối với bào nang amip (không có triệu chứng lâm sàng ở những vùng không có dịch bệnh lưu hành). Thuốc còn được phối hợp với metronidazol để diệt amip thể hoạt động ở trong lòng ruột. Thuốc dung nạp tốt ngay cả khi dùng liều cao. Diloxanid ít gây các phản ứng phụ nghiêm trọng (trướng bụng, chán ăn, nôn, tiêu chảy, co cứng bụng). Các triệu chứng ít gặp trên hệ thần kinh trung ương như nhức đầu, ngủ lịm, chóng mặt, hoa mắt, nhìn đôi, dị cảm. Không nên dùng thuốc cho phụ nữ có thai (3 tháng đầu) và trẻ em dưới 2 tuổi.
Thuốc tác dụng trên cả thể amip và thể kén
-Metronidazol (biệt dược Flagyl, Klion) viên nén 0,25g, liều dùng 25-30mg/kg/ngày trong 10-14 ngày. là thuốc thuộc nhóm imidazole, có hiệu quả cao trong điều trị bệnh amip ngoài ruột (áp xe gan, amip ở não, phổi và lách). Thuốc có tác dụng diệt amip thể hoạt động nhưng ít ảnh hưởng đến thể bào nang. Thuốc khuếch tán, thâm nhập sâu vào bên trong và phá huỷ hay ức chế sự tổng hợp ADN của ký sinh trùng, do thuốc này có ưu điểm diệt được cả thể kén và thể đơn bào amip, nhưng khi dùng thuốc kéo dài cần lưu ý vì có thể gặp tác dụng phụ như chóng mặt, buồn nôn, nôn, chán ăn, khô miệng, đau vùng thượng vị, nổi mày đay, đau đầu, chóng mặt, buồn ngủ.... các dấu hiệu này thường nhẹ và hết sau khi cơ thể đào thải hết. Khi dùng liều cao, kéo dài, thuốc có thể gây cơn động kinh, rối loạn tâm thần, viêm đa dây thần kinh ngoại biên, viêm tụy. Đặc biệt đối với bệnh nhân có tiền sử rối loạn huyết động học khi sử dụng dài ngày loại thuốc này nhất thiết phải được theo dõi công thức bạch cầu. Thuốc này không được dùng cho phụ nữ có thai 3 tháng đầu hoặc trong thời kỳ cho con bú. Không dùng đồng thời metronidazol với warfarin vì thuốc làm tăng tác dụng chống đông máu của các thuốc kháng vitamin K nên có thể gây chảy máu. Không được uống rượu trong thời gian dùng thuốc;
-Một số thuốc khác thế hệ như secnidazole, nimorazole, tinidazole, hay ornidazole có thể dùng thay thế có hiệu quả và có thể rút ngắn liệu trình điều trị, tránh tái phát cao;
-Một số thuốc tác dụng trực tiếp trong lòng đại tràng, tác dụng lên thể amíp không ăn hồng cầu như metronidazole, các dẫn xuất arsen (difetarsone, stovarsol), hoặc các chất oxyquinolein, diiodohydro-quinoleine (Direxiode), chloroiodoquin (Enterovioform), lưu ý một số thuốc có thể gây tai biến ở thần kinh mắt, do đó cần dùng từng đợt ngắn;
-Iodoquinol là một dẫn xuất halogen của hydroxyquinolein, có tác dụng diệt amip ở trong lòng ruột nhưng không ảnh hưởng đến amip ở thành ruột và trong các tổ chức. Thuốc hấp thu rất kém qua đường tiêu hóa (90% thuốc không được hấp thu). Phần thuốc vào được vòng tuần hoàn có thời gian bán thải khoảng 11 - 14 giờ và thải trừ qua nước tiểu. Thuốc phối hợp để điều trị các trường hợp nhiễm amip ở ruột (thể nhẹ và trung bình). Với liều điều trị, iodoquinol có thể gây một số tác dụng không mong muốn nhẹ và thoáng qua như: buồn nôn, nôn, tiêu chảy (thường hết sau vài ngày), chán ăn, viêm dạ dày, khó chịu vùng bụng, đau đầu, ban đỏ, ngứa... Khi dùng liều cao và kéo dài, iodoquinol có thể gây những phản ứng có hại trên hệ thần kinh trung ương. Thuốc dễ gây phản ứng có hại ở trẻ em hơn ở người lớn;
-Nhóm di-iodohydroxyquinolin là những thuốc trị amip bằng cách tiếp xúc. Không nên dùng phối hợp các thuốc nhóm này với nhau hay dùng liều cao liên tục vì thuốc gây viêm tuỷ bán cấp, viêm dây thần kinh ngoại biên và tổn thương thị giác. Thuốc này không dùng cho phụ nữ có thai, trẻ còn bú, bệnh nhân cường giáp. Tác dụng phụ có thể gặp là buồn nôn, đau dạ dày, dị ứng da, có thể gây rối loạn chức năng tuyến giáp.
Thuốc điều trị phối hợp, giảm triệu chứng
-Các thuốc giảm đau và băng se niêm mạc ruột: trong trường hợp bệnh nhân đau bụng nhiều do co thắt đại tràng thì dùng các thuốc giảm đau, giãn cơ, chống co thắt đường tiêu hóa có thành phần Hyoscine-N-butylbromide như Nospa, Buscopan, Papaverin, Spasmaverin;
-Không nên dùng các thuốc băng se niêm mạc ruột như các muối Bismuth, Smecta,...;
-Trong trường hợp áp xe gan, áp xe phổi có bội nhiễm vi khuẩn thì phải phối hợp thuốc diệt amip với thuốc kháng sinh phổ rộng hoặc dùng thuốc kháng sinh dựa trên kết quả kháng sinh đồ, đồng thời phải giải quyết ổ áp xe bằng chọc hút hoặc phẫu thuật khi ổ áp xe gan do amíp quá lớn không thể giải quyết triệt để bằng đường nội khoa (đường kính ổ áp xe lớn hơn 6-8cm).
Phòng bệnh
-Biện pháp phòng bệnh chủ yếu là vệ sinh ăn uống, tránh để lây nhiễm kén amip vào thức ăn, nước uống; hay giải quyết vấn đề môi sinh (phân, nước, rác, an toàn thực phẩm, nước uống, ruồi gián,…). Tuân thủ thói quen ăn chín, uống nước hợp vệ sinh và “bàn tay sạch”;
-Tuyệt đối không dùng phân tươi bón rau, quả. Khi dùng rau quả tươi phải rửa sạch, phải khử trùng hoặc có xử lý bằng tia cực tím để diệt kén amip;
-Xétnghiệm và điều trị người lành mang bào nang, đặc biệt những người phục vụ ăn uống. Điều trị những người mang kén amip bằng thuốc metronidazol;
-Truyền thông giáo dục sức khỏe về phòng chống bệnh nói chung và bệnh do amíp nói riêng.