Giới thiệu
Angiostrongylus cantonensis là một loại giun ký sinh ở phổi của chuột, đầu tiên được phát hiện trên chuột bởi tại Canton (Chen và cs.,1935). Ký sinh trùng giun tròn loại Angiostrongylus cantonensis còn gọi là giun mạch hoặc tên đồng nghĩa Parastrongylus cantonensis, theo phân loại ký sinh trung giun sán thì đây là loài giun tròn. Ký sinh trùng Angiostrongylus cantonensis nhiễm cho người do nhiễm tình cờ qua nhiều phương thức khác nhau, bình thường chúng ta hay gặp ký sinh trên chuột. Nhiễm giun do ăn phải các loại nhuyễn thể hoặc ốc nước ngọt xử lý, chưa nấu chín và đó cũng là các vật chủ trung gian chủ yếu của loài KST này hoặc các loại rau xanh nhiễm ấu trùng trong chất nhờn của các con ốc, con sên hoặc các sinh vật dẹp bám dính trên đất. Ấu trùng di chuyển đến màng não, ký sinh và gây bệnh và có thể phát hiện được trong dịch não tủy. Chúng di hành trong nhu mô não, đôi khi đến mắt, nơi đó chúng tăng lên và gây phản ứng viêm cấp với biểu hiện tăng bạch cầu eosine. Màng não có thể biểu hiện các tổn thương và xuất hiện triệu chứng màng não hoặc vỏ não, các triệu chứng, biến chứng đó liên quan đến các ổ abces tăng nhiễm eosin, xuất huyết và vệt giun chứa các tinh thể Charcot-Leyden xung quanh mô hoặc nốt giun đóng kém chết bên trong. Khi giun gần trưởng thành, chúng di chuyển đến các nhánh động mạch phổi. Ở chuột (vật chủ tự nhiên của loài KST này), các trứng và ấu trùng sinh ra phản ứng viêm ít hơn nhưng ở con người, chu kỳ có thể kết thúc khi giun chết bên trong động mạch phổi.
Phân bố bệnh giun mạch Angiostrongylus cantonensis
Trường hợp bệnh viêm màng não-não do A. cantonensis ở người đầu tiên được phát hiện ở một bé trai tại Ðài Loan (Nomura và Lin., 1945), khi đó 6 con giun trong dịch não tủy của bệnh nhi này. Trên người, giun có thể gây viêm não, màng não với sự gia bạch cầu toan tính, hoặc ái tính với mô mắt. Bệnh lưu hành phổ biến ở Viễn Ðông, một số đảo ở Thái Bình Dương, Ðông Nam Á, nhất là Ðài Loan, Nhật Bản, Thái Lan. Theo một nghiên cứu tổng thể của John H.Cross, thuộc khoa Khoa học sức khỏe, đại học y khoa Hebert, Bethesda, Maryland, Hoa Kỳ tổng kết loài ký sinh trùng Angiostrongylus cantonensis phân bố nhiều ở Philippines, Indonesia, Malaysia, Thái Lan,Việt Nam, Đài Loan, Hồng Kông, Nhật Bản, đảo Tahiti, New Caledonia, Papua New Guinea, Australia, Cuba, Puerto Rico, Hawaii. Tính đến năm 2000, tổng số hơn 3.500 trường hợp viêm màng não tăng bạch cầu ái toan do ký sinh trùng này được báo cáo tại trên 30 quốc gia trên thế giới.
Tại Mỹ thì loài KST này tìm thấy trên chuột, các loài nhuyễn thể và một trường hợp được báo cáo từ New Orleans; ở châu Phi (Madagascar) thì A.cantonensis được phát hiện ở chuột. Riêng tại Việt Nam, kể từ năm 1960 thì số trường hợp viêm màng não-não nghi ngờ do A. cantonensis cũng được ghi nhận và báo cáo, đặc biệt là trường hợp bệnh nhân mổ tử thi phát hiện giun này (Phan Trinh và cs., 1974). Từ đó đến nay số ca phát hiện ngày một tăng lên, mỗi năm khoảng gần 70-100 trường hợp được phát hiện trên phạm vi toàn quốc, số ca được phát hiện quá thấp so với số ca được xét nghiệm dương tính đến nhiều lần (mặcdù có tỷ lệ dương tính giả cao), song điều đó có nghĩa là bệnh nhiễm KST này mới chỉ được các thầy thuốc lưu tâm trong 10 năm qua cùng với sự tiến bộ của y học chẩn đoán, đặc biệt lĩnh vực huyết thanh chẩn đoán.
Đặc điểm bệnh nhân nhiễm A.cantonensis là có thể gặp ở mọi lứa tuổi, nhưng thường gặp (58- 76%) trong độ tuổi lao động (15-55 tuổi), trẻ dưới 15 tuổi cũng chiếm tỷ lệ không nhỏ đến 10-24%. Giới nam gặp nhiều hơn nữ qua nhiều báo cáo trong nước và y văn thế giới, chiếm tỷ lệ trên 70%, có lẽ nam giới thường ăn những thức ăn tái, sống, trộn hơn là nữ giới (N.T.Xuân., 2005; H.H.Quang và cs.,2007). Đa số bệnh nhân là dân lao động (70-90%), nông dân và ngư dân chiếm số lớn và điều kiện làm việc của họ tiếp xúc với mầm bệnh (bắt ốc, sò huyết, ốc nhảy, hàu, vẹm đỏ, vẹm xanh, ốc sống). Cách chế biến của họ cũng đơn giản thường ăn sống chấm với hỗn dịch [mù tạt + xì dầu hay tương đen] hoặc thái mỏng trộn gỏi, hấp ăn với gừng, xả,…chưa đủ đảm bảo chết ấu trùng giai đoạn nhiễm.
Hình thái học giun mạch Angiostrongylus cantonensis
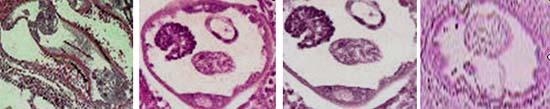
Vi phẩu tích các con giun trưởng thànhA.cantonensis nằm tại bên trong mạch máu phổi. Các bệnh phẩm cắt ra cho thấy ống sinh sản nằm một bên và ruột của giun (thông qua nhuộm bệnh phẩm bằng hematoxylin và eosin). Qua lam nhuộm, ký sinh trùng A.cantonensis con trưởng thành có kích thước tương đối, con đực 20-22mm x 320-420µm, con cái 22-34mm x 340-560µm, sống bên trong mao mạch của phổi chuột và tại đó chúng đẻ trứng, rồi cho ra ấu trùng giai đoạn 1 (L1).
Chu kỳ sinh học của Angiostrongylus cantonensis
A.cantonensis ký sinh trong một vài loài ốc sống trên mặt đất (Achatina fulica, loại ốc lớn ở châu Phi), ốc sống dưới nước (Pila spp., Viviparus javanica), hoặc sên (Veronicella alte và siamensis) có thể đóng vai trò vật chủ trung gian cho sự phát triển của ấu trùng L3. Sự tồn tại của các vật chủ trung gian chính được mô tả: trong các loài tôm nước ngọt, cua đất và ếch sống nhờ ăn ốc và sên, ấu trùng vẫn duy trì thể nhiễm (L3)trong một số giai đoạn và có thể nhiễm vào chuột, hoặc con người khi ăn các vật chủ trung gian như Achatina fulica.
Người bị nhiễm do ăn phải ốc, con sên, rau hoặc vật chủ truyền nào đó chưa được nấu chín; ở người, ấu trùng di chuyển đến hệ thần kinh trung ương, ở đó sự phát triển của chúng dừng lại và gây ra viêm não- màng não tăng bạch cầu eosine. Khi chúng đẻ và giải phóng ra ấu trùng giai đoạn 1 (L1), ấu trùng này sẽ di chuyển đếnruột non thông qua đường khoang phế nang, khí quản, hầu và thực quản; rồi ấu trùng đào thải cùng với phân. Ấu trùng L1 nhiễm vào các vật chủ trung gian thứ nhất là các loài nhuyễn thể (ốc và sên), ở đó chúng phát triển thành ấu trùng gây nhiễm giai đoạn ba (L3). Các con chuột bị nhiễm do ăn phải ốc hoặc sên có dính ấu trùng L3, ấu trùng trong chuột sẽ di chuyển từ ruột đến hệ thần kinh trung ương và trưởng thành tại đó trải qua 2 giai đoạn phát triển trong thời gian 2 đến 3 tuần. Tiếp đến các con giun trưởng thành đến khoang dưới nhện, vào trong hệ tĩnh mạch, vào động mạch phổi và trưởng thành đến giai đoạn hoàn chỉnh. Ấu trùng có thể phát hiện ở phân chuột trong vòng 40-60 ngày sau nhiễm.
Giải phẫu hình thái giun mạch Angiostrongylus cantonensis:
Cắt con giun A.cantonensis trong khoang dưới nhện với tổ chức viêm và xuất huyết (khi nhuộm hematoxylin và eosin), bệnh sinh do A.cantonensis tùy dựa vào tổn thương trực tiếp gây ra bởi ấu trùng di chuyển và giun còn non (dài 7-13mm x 100-260µm) và phản ứng u hạt viêm.
Xét nghiệm mô học cho thấy lát cắt của giun bao bọc xung quanh bởi các tế bào viêm (bao gồm bạch cầu neutrophil và eosinophil), sung huyết mao mạch, xuất huyết khoang dưới nhện và dưới màng cứng, hoại tử ổ tại chỗ và xuất huyết trong não. Mặt cắt các con giun non trưởng thành của A. cantonensis trong não không có đáp ứng viêm; mặt cắt phẩu tích giun trưởng thành còn non, tổn thương ở phổi của A.cantonensis hoặc trong não cũng được nhìn thấy rõ qua nhuộm hematoxylin và eosin; một vài giun trưởng thành, con cái và đực có thể nằm bên trong cùng mao mạch phổi.
Bệnh học và chẩn đoán:
Chẩn đoán lâm sàng
Bệnh do Angiostrongylus cantonensis có thời gian ủ bệnh từ 1-5 tuần (trung bình 2 tuần), hoặc 15-17 ngày (Tsai và cs., 2004) hoặc chỉ 11-13 ngày (Trevor và cs., 2005), triệu chứng bệnh thường có sốt, nhức đầu là hai triệu chứng hay gặp nhất (đau đầu khu trú chủ yếu vùng chẩm và thái dương), cứng gáy, buồn nôn, nôn mửa, sốt thường nhẹ (37.8-390C), phát ban đỏ, ngứa, đau bụng và một số triệu chứng toàn thân; sốt có khi không rõ ràng, nhiều trường hợp hết sốt khi nhập viện mặc dù chưa điều trị bất kỳ một loại thuốc đặc hiệu. Đây là bệnh viêm màng não (do ký sinh trùng) nhưng dấu hiệu màng não khá ít, chỉ khoảng 30-48% số bệnh nhân.
Bệnh nhân thường nhập viện trễ, trên 50% số ca đến nhập viện khi bệnh đã kéo dài hơn 2 tuần với một số chẩn đoán trước đó khá đa dạng là đau đầu do viêm mạch Horton, viêm màngnão mủ, viêm não do virus, u não,… Tử vong do bệnh nhiễm KST này rất hiếm gặp.
Triệu chứng hệ thần kinh do A.cantonensis thường gây ra một số triệu chứng màng não, liệt một số dây thần kinh sọ não như dây III, IV, VI, VII, nhưng dấu thần kinh định vị chiếm tỷ lệ cao là ở liệt dây thần kinh sọ não VI, VII thường gặp nhất, 7-12% bệnh nhân có biểu hiện triệu chứng tổn thương tủy sống (yếu, liệt một hoặc 2 chi dưới, rối loạn cơ vòng). Tỷ lệ bệnh nhân có rối loạn tri giác cũng cao, nhưng mức độ rối loạn tri giác thường không nghiêm trọng, các triệu chứng khác như đau cơ, rối loạn cảm giác, hồng ban cũng khá thường gặp với tỷ lệ lần lượt 14%; 17% và 8% (T.T.Xuân và cs., 2004); dị cảm ở mặt, đau, yếu chi là các dấu chứng cũng thường gặp (H.H.Quang và cs., 2006).
Chẩn đoán hình ảnh
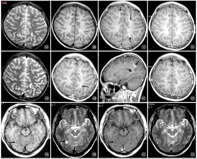
Phần lớn các trường hợp nhiễm Angiostrongylus cantonensis có hình ảnh tổn thương khá rõ, song không điển hình cho một bệnh lý nào, tuy nhiên nếu kết hợp một số xét nghiệm khác như công thức bạch cầu, huyết thanh miễn dịch có thể cho chẩn đoán thấu đáo hơn. Trên hình ảnh lát cắt của phim chụp CT_Scanner hoặc MRI cho các hình ảnh nốt canxi hóa, vôi hóa trong nhu mô não, rãnh não,…
Thể bệnh ký sinh hoặc di chuyển trong hệ thần kinh và sang bộ phận thị giác, ở mắt có hiện diện của giun trưởng thành còn non A. cantonensis bên trong buồng trước của nhãn cầu đã được mô tả, hoặc có giảm thị lực, đau nhức hố mắt, sụp mi hoặc sa mi mắt (blepharospasm), viêm mống mắt thể mi (iridocyclitis) và tăng co giật nhãn cầu trên một số bệnh nhân.
Triệu chứng ở phổi do A.cantonensis là triệu chứng khá điển hình phổ biến nhưng hiếm, một vài giun có thể di chuyển đến phổi gây viêm phổi nặng, dạng abces ổ trong nhu mô phổi, xuất tiết và xuất huyết.
Khai thác bệnh sử một số nhóm nghiên cứu ghi nhận bệnh nhân mắc loại KST này có liên quan đến bệnh là có tiền sử ăn ốc sống hoặc các chế phẩm tái sống từ ốc, hoặc ăn các loại rau thủy sinh dính chất nhớt từ ốc (52-64%) trước đó. Tuy nhiên, đây có thể là tập quán ăn uống và thói quen ăn uống của học nên chỉ xếp vào loại có nguy cơ (!). Bệnh nhân nhập viện nhiều nhất vào 3 tháng cuối năm ở các quốc gia có khí hậu nóng ẩm, thời điểm này là 3 tháng cuối mùa mưa, ốc cũng như các loài nghuyễn thể, thực vật thủy sinh, phát triển mạnh nhất, con người khi đó lại sử dụng nhiều rau, ốc, tôm, cá làm thức ăn chính và nếu không được nấu chín thì dễ dàng nhiễm bệnh.
Chẩn đoán cận lâm sàng
Chẩn đoán xét nghiệm ký sinh trùng A.cantonensis dựa vào sự có mặt loại bạch cầu eosine trong dịch não tủy tăng cao, có kèm hay không tăng lympho bào (500 - 5.000 tế bào/mm3, với 20 - 90% là eosin), nhất là những trường hợp viêm màng não đến muộn, tăng proteine và giảm nhẹ glucose trong dịch não tủy. Hai yếu tố đóng góp rất quan trọng trong chẩn đoán bệnh do Angiostrongyliasis là tiền sử có ăn các loại vật chủ trung gian nhiễm bệnh chính trong vùngvà bằng chứng về kháng nguyên hoặc kháng thể trong dịch não tủy hoặc trong mắt.
Khoảng 27% số ca nhiễm giun A.cantonensis, người ta phát hiện tinh thể Charcot-Leyden có mặt trong dịch não tủy, cùng tăng bạch cầu, với tỷ lệ eosin ưu thế (> 10%), chẩn đoán có thể xác định bởi xét nghiệm huyết thanh miễn dịch như IF, EIA hoặc ELISA.
Chẩn đoán huyết thanh miễn dịch ELISA với bệnh giun Angiostrongylus cantonensis
Đa số trường hợp viêm màng não-não nghi do giun A.cantonensis khó chẩn đoán chắc chắn vì không thể bắt được giun làm “chẩn đoán chuẩn vàng”, có lẽ một xét nghiệm có độ đặc hiệu và độ chính xác cao là cần thiết để xác định chẩn đoán nguyên nhân, rất tiếc điều này vẫn đang ở phía trước và trong giai đoạn nghiên cứu; thực tiễn lâm sàng bệnh do A. cantonensis được xác định khi bắt được giun trong dịch não tủy, mà điều này lại hiếm khi thực hiện được. Vì vậy, trên thế giới, người ta đã nghiên cứu nhiều kỹ thuật chẩn đoán gián tiếp nhưng đặc hiệu như kỹ thuật huyết thanh miễn dịch (phản ứng kết tủa, ngưng kết hồng cầu thụ động, ngưng kết latex, miễn dịch hấp thụ liên kết men, miễn dịch phóng xạ, khuyếch tán gel kép,…). Trong số đó, kỹ thuật miễn dịch hấp phụ men (ELISA) tỏ ra thích hợp hơn trong chẩn đoán các bệnh KST thường quy tại các phòng xét nghiệm (do ít tốn sinh phẩm, hoá chất, thao tác đơn giản và có thể tự động hoá được). Ngoài ra, kỹ thuậy này có thể phát hiện được kháng thể (Ab-ELISA) và kháng nguyên lưu hành (Ag-ELISA).
Với mục đích góp phần chẩn đoán bệnh nhiễm ký sinh trùng Angiostrongylus cantonensis ở người, nhiều kit ELISA ra đời để phát hiện ra kháng thể đặc hiệu với kháng nguyên A. cantonensis (specific Ab-Ag), kỹ thuật miễn dịch hấp thụ men (ELISA) được nghiên cứu để chẩn đoán rất nhiều bệnh do ký sinh trùng, trong đó có bệnh A. cantonensis ở người. Kháng nguyên A. cantonensis ở nồng độ 3ng/ml gắn kết với kháng thể có trong huyết thanh chứng (+) tạo thành phức hợp kháng nguyên-kháng thể (Ag-Ab). Phức hợp này được phát hiện bởi cộng hợp IgG thỏ kháng IgG người có gắn peroxydase với sự hiện diện của chất nền.
Hiệu giá kháng thể của các trường hợp nhiễm Angiostrongylus cantonensis được ghi nhận từ 1/400-1/ 6400 (tùy thuộc vào từng kit ELISA của các hàng khác nhau Song song với thử nghiệm, người ta cũng làm với mẫu huyết thanh của nguời tình nguyện khoẻ mạnh có hiệu giá kháng thể dao động từ 1/50-1/200.
Phản ứng chéo (cross-reaction) cũng được ghi nhận giữa A. cantonensis với Gnathostoma spinigerum, sán lá phổi Paragonimus sp. và giun đũa chó Toxocara canis theo một số nghiên cứuy văn trong nước và thế giới. Dù thế nào chăng nữa trong thời gian đến, cần có nghiên cứu nhân rộng đánh giá độ nhạy, độ chính xác, độ đặc hiệu và độ tương đồng (Kappa’ test) của ELISA với một số xét nghiệm cao cấp hơn.
Chẩn đoán dựa vào kỹ thuật sinh học phân tử PCR cũng cho phép xác định sự có mặt của ký sinh trùng A.cantonensis trong nhu mô não, hoặc một số xét nghiệm miễn dịch khác được áp dụng trong nghiên cứu, song kết quả không đáng tin cậy trong chẩn đoán xác định bệnh như IFA, IHA, CIE.
Điều trị:
Đến thời điểm này, chưa có loại thuốc điều trị nào tỏ ra có hiệu quả chữa khỏi hoàn toàn bệnh viêm màng não do giun A.cantonensis, ngay cả các thuốc chống giun sán thông thường cũng không được khuyến cáo là chắc chắn. Một số nghiên cứu trong y văn và thực hành lâm sàng cho biết một số phác đồ điều trị tỏ ra có hiệu quả phần nào, đặc biệt chú ý di chứng thần kinh sau điều trị vẫn còn đến khi đã xuất viện.Do vậy, quản lý và giám sát điều trị ca bệnh đặc biệt về mặt chăm sóc theo chuyên khoa thần kinh, chú ý tránh các biến chứng nhiễm trùng.
Phác đồ điều trị bằng albendazole, thời gian trung bình là 14-21 ngày, có hoặc không kèm theo dùng corticoisteroides, nếu có thì rút ngắn thời gian điều trị còn 1 tuần. kết quả điều trị khoảng chừng 30-45%, song vẫn còn một số dấu chứng thần kinh định vị, rối loạn trị giác, nhức đầu,…; có thể thêm thuốc giảm đau, chống phù não,…
Phác đồ Albendazole và prednisolone trong 2 tuần cũng cho hiệu quả và an toàn cao (trên 35 bệnh nhân bị VMNTBCAT);
Phác đồ với Mebendazole và/ hoặc Interleukin hiện đang thử nghiệm điều trị trên chuột, bước đầu cho hiệu quả cao với 100mg x 2 lần. ngày trong 5 ngày;
Nghệ-sản phẩm tự nhiên có tác dụng chống viêm, chống oxy hóa, và chống ung thư, gần đây người ta ghi nhận có tác dụng giảm triệu chứng viêm màng não do tăng bạch cầu eosin, kết quả cho biết nghệ có thể giết chết ấu trùng của A,cantonensis, bạch cầu eosin giảm nhanh chóng;
Phòng bệnh:
Vì bệnh do A.cantonensis có thể dễ dàng loại bỏ bằng cách nấu chín các loại thức ăn từ thực phẩm rau thủy sinh hoặc động vật nhuyễn thể, các biện pháp truyền thông giáo dục sức khỏe là ưu tiên triển khai cho chiến lược phòng bệnh, tránh những hậu quả và di chứng nghiêm trọng cho cộng đồng.
Sơ đồ bên có thể cho phép chúng ta hình dung được biện pháp nào để cắt đứt các khâu lan truyền bệnh do loài ký sinh trùng nguy hiểm này.
Tài liệu tham khảo:
1.Pipitgool V, Sithithaworn P, Pongmuttasaya P, Hinz E. Angiostrongylus infections in rats and snails in northeast Thailand. Southeast Asian J Trop Med Pub Health 1997 ;28: 190-3.
2.Radomyos P, Tungtrongchitr A, Praewanich R. Experimental infection of yellow tree monitor (Varanus bengalensis) and related species with Angiostrongylus cantonensis . Southeast Asian J Trop Med Pub Health 1992 ;23: 167-8 .
3.Bartschi E, Bordmann G, Blum J, Rothen M. Eosinophilic meningitis due to Angiostrongylus cantonensis in Switzerland. Infection 2004; 32 :116-8.
4.Kanpittaya J, Jitpimolmard S, Tiamkao S. MR Findings of Eosinophilic Meningoencephalitis Attributed to Angiostrongylus cantonensis. Am J Neuroradiol 2000; 21 :1090-4.
5.Jaroonvesama N. Differential diagnosis of eosinophilic meningitis. Parasitol Today 1988; 4 :262-6.
6.Slom T, Johnson S. Eosinophilic Meningitis. Curr Infect Dis Rep 2003; 5 :322-8.
7.Chotmongkol V, Wongjitrat C et al. Treatment of eosinophilic meningitis with a combination of albendazole and corticosteroid. Southeast Asian J Trop Med Pub Health 2004; 35 :172-4.
8.http://www.cdc.gov/ncidod/dpd/parasites/angiostrongylus/factsht_angiostrongylus.htm
9.http://www.dpd.cdc.gov/dpdx/HTML/angiostrongyliasis.htm