Tiền phong
Phát hiện ca nhiễm trùng roi đầu tiên trên người
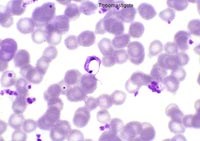
Kết quả định danh cho thấy một phụ nữ ở Đồng Nai đã bị nhiễm trùng roi Trypanosoma evansi - vốn chỉ mới ghi nhận gây bệnh trên các loại gia súc tại Việt Nam. Và theo BV Bệnh Nhiệt đới TPHCM, đây là ca nhiễm trùng roi đầu tiên mà nơi này tiếp nhận. Bệnh nhân B.T.C. (38 tuổi, ngụ Đồng Nai) nhập viện tại Bệnh viện Đa khoa Đồng Nai trong tình trạng sốt kéo dài gần 20 ngày, kèm nhức đầu, đau 2 khớp gối. Tại đây, chị C. được chỉ định theo dõi nhiễm giun chỉ. Tuy nhiên, do sốt cao tiếp tục kéo dài, ngày 18/3, bệnh nhân được chuyển đến BV Bệnh Nhiệt đới TPHCM để điều trị. Trao đổi với báo chí chiều 20/4, bác sĩ Lê Bửu Chân - Trưởng Khoa nhiễm B - cho biết, lúc nhập viện chị C. sốt cao (39,50C), ớn lạnh, đau 2 khớp gối, đau nhức đầu, gan to, không dấu màng não. Các xét nghiệm cho thấy bệnh nhân còn tổn thương gan, thận, giảm 3 dòng tế bào máu ngoại biên và nhiễm trùng nặng. Các xét nghiệm máu và tủy xương đều thấy trùng roi. Kết quả xét nghiệm sinh học phân tử (PCR) sau đó tại Thái Lan đã định danh chính xác tên loài ký sinh trùng sống trên cơ thể bệnh nhân C. chính là trùng roi Trypanosoma evansi. Theo bác sĩ Chân, các biểu hiện sốt kéo dài, ớn lạnh, nhức đầu, đau các khớp mà chị C. gặp phải là triệu chứng của nhiễm trùng roi Trypanosoma evansi, rất dễ nhầm lẫn với các loại nhiễm trùng khác như lao màng não hay bệnh lý miễn dịch. Thông thường, loại trùng roi này chỉ gây bệnh cho các loài gia súc như trâu, bò, ngựa. Loại trùng roi gây bệnh trên người từng được ghi nhận ở châu Phi là Trypanosoma brucei gây bệnh ngủ. Hoặc ở Nam Mỹ có ghi nhận trùng roi Trypanosoma cruzi gây bệnh Chagas trên người. Người mắc bệnh sẽ bị các biến chứng ở hệ tiêu hóa và tim mạch, có trường hợp chết đột ngột do loạn nhịp tim, ngưng tim. Còn tại Việt Nam, đây là ca nhiễm trùng roi đầu tiên ở người mà Bệnh viện Bệnh Nhiệt đới TPHCM ghi nhận. Ở phía Bắc, từ hàng chục năm nay chỉ ghi nhận trùng roi Trypanosoma evansi gây bệnh trên trâu, bò. Bệnh chủ yếu nhiễm qua đường máu do các loại ruồi, muỗi hút máu từ trâu, bò bệnh rồi truyền bệnh cho nhau. Vì là bệnh hiếm gặp, nên hầu như không thể tìm các loại thuốc đặc hiệu. Trường hợp chị C. đã đáp ứng khá tốt với điều trị của bệnh viện nên sức khỏe đã phục hồi và hiện vẫn được theo dõi sức khỏe định kỳ tại bệnh viện. Bác sĩ Nguyễn Văn Vĩnh Châu - Giám đốc Bệnh viện Bệnh Nhiệt đới TPHCM - cho biết, bệnh viện đang cùng với các chuyên gia thuộc Đại học Oxford tiếp tục phối hợp với ngành y tế dự phòng và thú y tiến hành các khảo sát nghiên cứu chi tiết hơn về trường hợp hiếm gặp này.
Mổ tim cho bé sơ sinh ngay tại phòng sinh
Đội ngũ y bác sĩ đã phẫu thuật nâng nhịp tim từ 38 lên 136 lần một phút, cứu trẻ sơ sinh thoát chết một cách ngoạn mục. Chiều 22/4/2015, BV Nhi Đồng 2 cho biết đã cứu sống thành công một cháu bé sơ sinh có nhịp tim chỉ 38 lần một phút. Được biết, thai đến tuần 25, thai phụ đi khám và bác sĩ thông báo, thai nhi bị block nhĩ – thất độ III, nhịp tim chỉ khoảng 30 đến 40 lần một phút. Trong khi đó, nhịp tim bình thường của trẻ mới sinh cho hết năm đầu đời là khoảng 140 - 150 lần một phút. Khi thai nhi đến 28 tuần tuổi, bác sĩ khám và xác định bị suy tim nặng, khó có thể sống sót. Thai phụ nhất quyết giữ giọt máu của mình dù gặp bất trắc lớn khi sinh. Thai nhi có thể chết ngay trong phòng sinh. Sáng 22/4, khi nhận được trường hợp thai phụ 37 tuần này sinh tại BV Từ Dũ, đội ngũ y bác sĩ, ekip gây mê hồi sức-phẫu thuật tim đã có mặt để trợ giúp. Cháu bé sinh ra nặng 2,6 kg. Ngay trong phòng sinh, ekip quyết định phẫu thuật tại chỗ, đặt ngay máy tạo nhịp để nâng nhịp tim từ 38 lên 136 lần một phút. Sau đó, cháu bé tiếp tục sống. Bác sĩ Định cho biết, do bệnh nhi còn quá nhỏ, sức khỏe kém nên việc phẫu thuật gặp phải nhiều khó khăn. Tuy nhiên, nhờ vào sự tận tâm của ekip nên cháu bé đã được cứu sống. “Đây là một ca phẫu thuật ngoạn mục”, ông nói. Hiện tại, cháu đang được chăm sóc an toàn tại khoa Hồi sức sơ sinh BV Nhi Đồng 2.
Hiến mô tạng để nhân lên sự sống
Một số bạn trẻ tiên phong tình nguyện hiến mô, tạng (sau khi chết) với ước vọng một phần cơ thể của mình sẽ giúp những người kém may mắn vượt qua bạo bệnh, sống khỏe mạnh, hạnh phúc. Việc làm nhân văn này đang tạo hiệu ứng, lan tỏa những giá trị đẹp trong cộng đồng.
Nhân lên sự sống
Anh Vũ Minh Lý, Phó trưởng Ban Đoàn kết tập hợp thanh niên T.Ư Đoàn, Giám đốc Trung tâm Tình nguyện Quốc gia được xem là cán bộ Đoàn tiên phong làm đơn tình nguyện hiến mô, tạng của mình sau khi qua đời. Anh Lý cho rằng đó là việc làm rất bình thường để mang lại hạnh phúc cho người khác và cho chính mình. Là người trực tiếp tham gia nhiều chương trình tình nguyện, đặc biệt là các hoạt động hiến máu nhân đạo, anh nhận thấy rất nhiều bệnh nhân mắc bệnh hiểm nghèo không có thuốc nào chữa được nếu không được ghép mô, tạng. Tuy nhiên, số bệnh nhân được nhận ghép mô, tạng chỉ đếm trên đầu ngón tay. Tết Nguyên đán vừa rồi, anh đến nghĩa trang Văn Điển thắp hương cho người thân. Chỉ trong khoảng thời gian ngắn, anh chứng kiến có 4 đám tang dùng hình thức hỏa táng. “Phút giây đó, tôi suy nghĩ rất nhiều về sự sống và cái chết. Con người ta khi mất đi chỉ là một nắm tro tàn. Nếu để lại một phần cơ thể mình giúp hồi sinh những sự sống khác thì ý nghĩa biết bao”, anh Lý tâm sự. Với suy nghĩ đó, anh tìm hiểu về việc hiến mô, tạng. Một thời gian sau anh làm đơn. “Khi đưa lá đơn này cho bố mẹ và vợ xem, ban đầu mọi người rất ngạc nhiên. Nhưng sau khi nghe tôi giải thích, người thân dần hiểu và đồng cảm”, anh nói. Anh Lý đăng lá đơn của mình lên facebook cá nhân và nhận được rất nhiều sự chia sẻ, hưởng ứng của đông đảo bạn trẻ.
Lan tỏa
Chị Vũ Thị Phương Anh, sinh năm 1983, trưởng nhóm thiện nguyện Minh Tâm, Trưởng phòng một Cty chứng khoán ở Hà Nội là một trong những người đầu tiên làm đơn đăng ký nhờ anh Lý chuyển đến Trung tâm hiến mô, tạng Quốc gia. Chị cho biết, chỉ trong vòng 5 năm, 4 người thân của chị qua đời vì căn bệnh ung thư quái ác. Đau đớn không kể sao cho xiết. “Những lúc đau nhất, hình ảnh nhân vật trong bộ phim năm nào tôi xem lại ùa về. Tôi ước mình làm được việc ý nghĩa như nhân vật đó là hiến mô, tạng để có thể cứu lấy những người không may mắn như 4 người thân của tôi”, chị Phương Anh nói. Một lần vô tình đọc được lá đơn tình nguyện hiến mô, tạng của anh Vũ Minh Lý trên facebook, không cần suy nghĩ nhiều, chị làm đơn đăng ký. “Hiến mô, tạng sau khi qua đời còn khá xa lạ. Tôi lại nghĩ khác, nếu chết mà một phần cơ thể của mình được để lại giúp ích cho đời thì đó là một điều hạnh phúc lớn lao, nên làm”. Chị tích cực kêu gọi thêm bạn bè cùng tham gia. Hiện tại, chị đã kêu gọi được 8 bạn trẻ làm đơn tình nguyện hiến mô, tạng.
Phát triển thành phong trào
Anh Vũ Minh Lý đang chuẩn bị thành lập và ra mắt CLB thanh niên tình nguyện Sẻ chia sự sống trực thuộc Trung tâm Tình nguyện Quốc gia với thành viên nòng cốt ban đầu là gần 30 bạn trẻ, những người đã tiên phong đăng ký hiến mô, tạng. CLB sẽ xây dựng các video, clip, vẽ tranh cổ động và các hoạt động tuyên truyền khác để tác động đến nhận thức giới trẻ và người dân, dần dần đưa hiến mô, tạng trở thành một phong trào rộng lớn. Ngày 19/3 vừa qua, anh Lý tổ chức một buổi chia sẻ với chủ đề “Hiến tặng mô tạng - Trao tặng sự sống” tại Đại học Điện lực với sự tham gia của hơn 300 sinh viên. Tại buổi giao lưu này, anh Đặng Thành Chung, Bí thư Đoàn trường Đại học Điện lực đã tiên phong làm đơn hiến tặng mô, tạng và kêu gọi sinh viên trong toàn trường cùng anh thực hiện công việc tình nguyện mang ý nghĩa nhân văn sâu sắc này.
Thanh niên
Phẫu thuật lấy khối bướu 26 kg trong tử cung
Ngày 20.4, các bác sĩ Khoa Ngoại I (Bệnh viện Ung bướu, TP.HCM) phẫu thuật lấy ra khối bướu nặng đến 26 kg từ tử cung của một bệnh nhân. Bệnh nhân H.T.P (52 tuổi, ngụ TX.Long Khánh, Đồng Nai) vào viện trong tình trạng suy kiệt, bụng rất to, khối bướu chèn ép gây khó thở... Bệnh nhân cho biết khối bướu xuất hiện 4 năm nay nhưng không đi điều trị. Theo bác sĩ Nguyễn Văn Tiến, Phó trưởng khoa Ngoại I (phẫu thuật viên chính), do bướu quá lớn, chèn ép các cơ quan như niệu quản, trực tràng... nguy cơ chảy máu rất cao, nên các phẫu thuật viên tiến hành rất thận trọng và chính xác, khống chế tối đa chảy máu, lấy thành công khối bướu, cắt bỏ tử cung.
Xây dựng hệ thống cảnh báo rủi ro về thiết bị y tế
Từ ngày 20 - 22.4, tại Hà Nội diễn ra hội thảo quốc tế phổ biến các quy định quản lý trang thiết bị y tế (TTBYT) hội nhập ASEAN và quốc tế. Ông Nguyễn Minh Tuấn, Vụ trưởng Vụ Trang thiết bị và công trình y tế Bộ Y tế cho biết cơ quan này đang phối hợp với các bộ ngành liên quan xây dựng dự thảo Nghị định về quản lý TTBYT với mục tiêu hình thành hệ thống quản lý TTBYT hội nhập, trong đó có bộ mẫu hồ sơ chung về kỹ thuật cho các sản phẩm TTBYT; xây dựng hệ thống cảnh báo sau bán hàng cho TTBYT kém chất lượng hoặc không an toàn. Ông Tuấn cho biết TTBYT giúp điều trị, can thiệp bệnh lý nhưng cũng có nguy cơ cho con người trong quá trình vận hành, sử dụng. Tuy nhiên, các năm qua chúng ta mới chỉ trông chờ vào các cảnh báo chủ động từ các hãng các nhà sản xuất thiết bị, còn hầu như chưa nhận được báo cáo từ đơn vị sử dụng, vận hành TTBYT. Nguyên nhân do ít sự cố nhưng cũng do các bệnh viện, đơn vị sử dụng chưa chú trọng về việc thông báo khi gặp các sự cố, lỗi liên quan đến TTBYT.
Sản xuất thành công vắc xin cúm A/H5N1
Ngày 22.4, tại Nha Trang (Khánh Hòa), Viện Vắc xin và sinh phẩm y tế (IVAC) đã công bố kết quả thực nghiệm lâm sàng pha 1 vắc xin cúm A/H5N1 (IVACFLU - A/H5N1) do Viện này sản xuất. Tiến sĩ Lê Văn Bé, Viện trưởng Viện Vắc xin và sinh phẩm y tế nói: “Vắc xin IVACFLU-A/H5N1do IVAC sản xuất đủ điều kiện tiến hành thực nghiệm lâm sàng giai đoạn 2 và 3. Chúng tôi mong muốn được tiếp tục hợp tác với những đồng nghiệp đã gắn bó với chúng tôi của các tổ chức BARDA, WHO và PATH để tiến đến viejc vắc xin dự tuyển này được cấp phép và sản xuất trên quy mô công nghiệp, đáp ứng nhu cầu sử dụng trong nước, cung cấp trong khu vực và trên toàn cầu trong tình huống đại dịch xảy ra”. Cũng theo tiến sĩ Lê Văn Bé, sau khi sản xuất thành công vắc xin cúm A/H5N1 (IVACFLU - A/H5N1) đơn giá, Viện đã phối hợp với Viện Pasteur TP.HCM thử nghiệm lâm sàng vào tháng 4. 2014 và được Ban đánh giá các vấn đề đạo đức Bộ Y tế nghiệm thu tháng 3.2015. Trước đó, tháng 5.2011, được sự giúp đỡ của các chuyên gia kỹ thuật thuộc Tổ chức Y tế thế giới (WHO, PATH) và Cơ quan phát triển tiên tiến về Y sinh học (BARDA), thuộc Bộ Y tế và phúc lợi con người Mỹ, IVAC đã xây dựng thành công quy trình “lõi” cho phép sản xuất vắc xin cúm trên dây chuyền công nghệ này để dự tuyển thử nghiệm lâm sàng. Ngay sau đó Viện đã sản xuất thành công vắc xin cúm A/H1N1/09 (IVACFLU - A/H1N1/09) đơn giá và được Ban đánh giá các vấn đề đạo đức Bộ Y tế nghiệm thu năm 2013. Do tình hình dịch tễ của virus cúm A trên thế giới cũng như ở Việt Nam vẫn đang diễn ra phức tạp, cùng với thói quen nuôi gia cầm ngay tại nhà của người dân, nguy cơ bùng phát các dịch cúm ở Việt Nam là rất lớn. Vì vậy, việc nghiên cứu thành công quy trình sản xuất vắc xin cúm A/H5N1 và cúm A/H1N1/09 có ý nghĩa rất quan trọng, góp phần chủ động phòng chống dịch bệnh và hạn chế tối đa lây lan trong cộng đồng.
Đường dây nóng Bộ Y tế nhận gần 3.500 cuộc gọi
Ngày 22.4, Bộ Y tế tổ chức hội nghị trực tuyến đến 715 cơ sở y tế tại 63 tỉnh, thành để bàn về đổi mới toàn diện phong cách, thái độ phục vụ của y bác sĩ, hướng đến sự hài lòng của người bệnh. Bộ trưởng Bộ Y tế cho rằng đổi mới phong cách phục vụ không phải hô hào phong trào mà là nhiệm vụ phải thực hiện quyết liệt trong toàn ngành. Theo Bộ Y tế, 3 tháng đầu năm nay, có 3.448 cuộc gọi đến đường dây nóng phản ánh, trong đó phản ánh về tình trạng xuống cấp của cơ sở vật chất chiếm tỷ lệ cao nhất (27,1%), tiếp đến phản ánh quy trình chuyên môn (26,9%), thái độ, tinh thần trách nhiệm của y bác sĩ (21,1%)... Bệnh viện K T.Ư là đơn vị mà đường dây nóng nhận được nhiều cuộc gọi phàn nàn, phản ánh những tiêu cực vòi vĩnh, hối lộ.
Công an nhân dân
Đắk Lắk: Cứu sống nạn nhân bị vỡ tim gan, dập phổi
BVĐK tỉnh Đắk Lắk vừa cứu sống 1 nạn nhân bị đa thương tích đặc biệt nghiêm trọng do tai nạn giao thông. Sau ca phẫu thuật dài hơn 4 tiếng, nạn nhân đã qua cơn nguy kịch. Ngày 20/4/2015, bác sĩ Đoàn Nghĩa Hưng- Trưởng Khoa Phẫu thuật, gây mê hồi sức bệnh viện Đa khoa tỉnh Đắk Lắk cho biết: Khoảng 22h đêm 19/4 bệnh viện tiếp nhận bệnh nhân Lương Ngọc Linh, sinh năm 1996, trú thôn 3, xã Hòa Thành, huyện Krông Bông, tỉnh Đắk Lắk trong tình trạng nguy kịch, da xanh, môi tím tái, khó thở. Bệnh nhân bị đa chấn thương ngực bụng kín, vỡ 3cm tâm nhĩ phải, vỡ gan lớn, rách màng ngoài tim, dập phổi, trào nhiều máu. Bệnh viện huy động bác sĩ của các khoa khác phối hợp xử lý các tổn thương dập vỡ nghiêm trọng, làm sạch khoang phổi, hút ra khoảng 1.000ml máu không đông và 100g máu cục. Ca phẫu thuật dài hơn 4 tiếng, phải tiếp máu cho bệnh nhân trong quá trình mổ. Hiện, bệnh nhân đã tỉnh , đang được chăm sóc tích cực.
Lao động
Ngành y quyết “chuyển từ ban ơn sang phục vụ”
Ngày 22.4, lần đầu tiên, ngành y tế tổ chức một cuộc họp trực tuyến “Đổi mới phong cách, thái độ phục vụ của cán bộ y tế hướng tới sự hài lòng của người bệnh”, với hơn 700 điểm cầu tại 63 tỉnh, thành cả nước, để xốc lại thái độ, tinh thần của nhân viên y tế hiện nay.
Bộ Y tế quyết tâm thay đổi toàn diện
Có một câu chuyện thường được Bộ trưởng Bộ Y tế đưa ra làm ví dụ mỗi khi nói đến thái độ phục vụ của nhân viên y tế (YT): Một Bí thư Tỉnh ủy vào bệnh viện (BV) thăm người thân, đến cửa khoa khám bệnh hỏi nhân viên BV thì bị quát “suốt ngày toàn người hỏi”. Đến khu phòng bệnh, thấy mấy điều dưỡng đang đứng buôn chuyện, ông vào hỏi phòng bệnh nhân thì một cô hất hàm: “Có chỉ dẫn hết trên tường đó”. Những câu chuyện nhức nhối trong ngành y liên quan đến thái độ phục vụ đã nghe nhiều, nói nhiều. Để khắc phục không phải ngày một, ngày hai. “Gần đây Bộ YT đã có những thay đổi tích cực như ban hành quy định về Quy tắc ứng xử của công chức, viên chức, người lao động tại các cơ sở YT; tổ chức tập huấn về quy tắc ứng xử cho nhân viên YT, thiết lập hệ thống đường dây nóng. Thông qua đường dây nóng, Bộ Y tế đã xử lý hơn 150 cán bộ YT với các hình thức kỷ luật khác nhau từ buộc thôi việc đến cảnh cáo. Tuy nhiên, vẫn còn một bộ phận cán bộ chưa tuân thủ đúng các quy trình chuyên môn, thái độ không đúng đắn, thiếu văn hóa, thiếu giáo dục y đức, thậm chí có hành vi tiêu cực. Đó là “những con sâu làm rầu nồi canh”, đã làm ảnh hưởng rất lớn đến hình ảnh người cán bộ YT. Nếu không có một thay đổi toàn diện, sẽ có ngày nhân viên YT ngồi chơi” - Bộ trưởng băn khoăn. Từ những tồn tại của ngành, lần này Bộ YT quyết tâm “thay máu” cung cách phục vụ. PGS-TS Lương Ngọc Khuê - Cục trưởng Cục Quản lý khám chữa bệnh (Bộ YT) - khẳng định: “Bộ YT quyết tâm đổi mới nhận thức của đội ngũ y-bác sĩ, chuyển từ ban ơn cho người bệnh sang phục vụ, lấy người bệnh làm trung tâm với sự hài lòng của người bệnh là số một. Theo đó, việc thay đổi được triển khai ở tất cả các khâu, từ tiếp đón bệnh nhân đến khâu điều trị cho đến khi ra viện. Bởi người bệnh là đối tượng rất đặc biệt, tâm lý của họ luôn mong đợi sự chăm sóc khác với người bình thường. Vì vậy, thái độ phục vụ của cán bộ YT cần phải thay đổi, ngay từ nụ cười cũng phải đặt đúng chỗ, đúng lúc”.
Toàn ngành hứa thay đổi
Việc đầu tiên trong lần thay đổi này của ngành y là thay đổi trang phục, tránh để người bệnh nhầm lẫn bác sĩ với nhân viên YT. “Có khi điều dưỡng, y tá… có thái độ không đúng, người nhà bệnh nhân thấy mặc áo trắng đều phản ánh bác sĩ mắng. Đa số các BV đều ủng hộ thay đổi trang phục, tránh nhầm lẫn” - Bộ trưởng Nguyễn Thị Kim Tiến nói. PGS-TS Nguyễn Quốc Anh - GĐ BV Bạch Mai (BV đầu tiên thực hiện chủ trương này) - thừa nhận đúng là vẫn có nhân viên YT có thái độ chưa đúng mực do nhiều nguyên nhân. BV ủng hộ chủ trương thay đổi của Bộ YT đưa ra. Ngay trong tháng 5 này sẽ mở những lớp bồi dưỡng cho nhân viên YT, có sự tham gia của chuyên gia tâm lý, thành lập bộ phận chăm sóc khách hàng, chấn chỉnh, xây dựng phong cách phục vụ của cán bộ YT theo phương châm “đến đón tiếp niềm nở, ở chăm sóc tận tình, về dặn dò chu đáo”, lấy người bệnh làm trung tâm…Trước đó, BV Bạch Mai đã từng bước thay đổi phong cách, thái độ phục vụ, nhưng do BV có quy mô quá lớn nên chưa hiệu quả. Nắm được hạn chế đó, ban GĐ BV đã chia nhỏ từng bộ phận triển khai, không làm một lúc cả BV. Trong số 34 cuộc gọi phản ánh về Bộ YT liên quan đến BV trong năm 2014, chỉ có 1 cuộc phản ánh thái độ nhân viên, nhưng khi xác minh lại thông tin không rõ ràng. Các BV lớn như Việt-Đức, Chợ Rẫy, Nhân Dân 115, Nhi Trung ương… sẽ là những BV đầu tiên đặt bút ký cam kết đổi mới phong cách, thái độ phục vụ. Đại diện các BV đều hứa sẽ thực hiện tốt cam kết đã ký với Bộ YT. Bộ trưởng Nguyễn Thị Kim Tiến cho rằng, YT cũng là ngành dịch vụ, phải thay đổi được suy nghĩ của y-bác sĩ, nhân viên YT, phải coi người bệnh là khách hàng, là người đem đến thu nhập cho mình và cần phải chăm sóc chu đáo. Sự thay đổi này phải từ đội ngũ trông giữ xe, bảo vệ BV, đến điều dưỡng, bác sĩ. Bộ trưởng yêu cầu ngay trong tháng 5, các BV phải thực hiện thay đổi phong cách, thái độ phục vụ hướng tới sự hài lòng của người bệnh. Bộ trưởng kỳ vọng, với việc thực hiện đổi mới từ trang phục nhân viên YT, thái độ giao tiếp đến việc hướng dẫn, tiếp đón người bệnh, tôn trọng, lắng nghe người bệnh, nâng cao chất lượng chăm sóc và điều trị…, người bệnh sẽ là khách hàng đúng nghĩa khi đến các cơ sở khám-chữa bệnh.
Nội dung “Đổi mới phong cách, thái độ phục vụ của cán bộ Y tế hướng tới sự hài lòng của người bệnh”: Thay đổi trang phục các loại hình cán bộ trong cơ sở y tế. Chấn chỉnh, xây dựng phong cách phục vụ của cán bộ YT theo phương châm “đến đón tiếp niềm nở, ở chăm sóc tận tình, về dặn dò chu đáo” lấy người bệnh làm trung tâm. Thành lập Bộ phận chăm sóc khách hàng. Tiếp tục đẩy mạnh việc triển khai “Đường dây nóng Bộ YT”. Thiết lập thêm kênh thu thập thông tin của người dân thông qua “hòm thư góp ý”. Triển khai đề án “Tiếp sức người bệnh” do các thầy thuốc trẻ và sinh viên tình nguyện hướng dẫn, giúp đỡ người bệnh trong các BV. Ký cam kết thực hiện nội dung đổi mới phong cách phục vụ người bệnh của cán bộ YT (ký kết giữa các GĐ BV trực thuộc Bộ YT với Bộ trưởng Bộ YT và giữa GĐ BV thuộc Sở YT với GĐ Sở YT). Bộ YT, Sở YT các tỉnh, thành phố và các đơn vị liên quan sẽ thực hiện giám sát việc triển khai các hoạt động, để kịp thời biểu dương khen thưởng những gương điển hình và xử lý những sai phạm nếu có.
Pháp luật Tp. Hồ Chí Minh
Cứu sống bé gái rơi từ độ cao 4 mét xuống đất
Ngày 20-4, BV Nhi Đồng Nai cho biết, vừa cứu sống được bệnh nhi hơn 4 tuổi rơi từ lầu độ cao 4m xuống đất. Theo thông tin từ phía bệnh viện, vào ngày 13-4, bé T.T (hơn 4 tuổi) chơi trên tầng 1 của tòa nhà 3 tầng ở phường Long Bình (TP Biên Hòa, Đồng Nai) nhưng do bất cẩn nên bị rơi qua lỗ thông gió xuống đất với độ cao khoảng 4 mét khiến cháu bị bất tỉnh, chấn thương và chảy máu vùng đầu rất nhiều. Ngay sau đó bé gái được đưa vào cấp cứu tại Bệnh viện Nhi Đồng Nai. Các bác sĩ tại đây xác định bé T khi nhập viện hôn mê, chấn thương sọ não, có một vết thương lõm sọ vùng chẩm bên phải, chảy máu nhiều, rối loạn huyết động. Khi chụp CT phát hiện bệnh nhân bị tổn thương tụ khí nội sọ, dập não, mảnh xương gãy lún vào nhu mô não và xoang tĩnh mạch ngang chẩm phải có nguy cơ tử vong. Bệnh nhi được hồi sức truyền máu và thực hiện phẫu thuật ngay lập tức. Các bác đã tiến hành mổ cắt lọc vết thương, lấy mảnh xương sọ bị vỡ lún, cầm máu do rách xoang tĩnh mạch ngang. Ca mỗ kéo dài 90 phút, cứu sống được bệnh nhi qua giai đoạn nguy kịch. Sau mổ, bệnh nhi được các bác sĩ khoa Phẫu thuật gây mê hồi sức, tiếp tục hồi sức tích cực và sau 6 ngày, bệnh nhi đã hồi tỉnh hoàn toàn, có thể vận động tay chân, tự uống sữa và biết gọi cha mẹ.
Khoe giới tính thai nhi: Không thể phạt!
Một số báo cho rằng người mang thai công bố giới tính thai nhi là vi phạm pháp luật và sẽ bị xử phạt. Gần đây, thông tin diễn viên, người mẫu, ca sĩ… khoe giới tính của con còn đang nằm trong bụng được một số báo chí khai thác. Có lẽ kiện tướng dancesport Khánh Thi được một số báo khơi chuyện công bố giới tính nhiều nhất. Một tờ báo viết: “Nghệ sĩ hồn nhiên khoe mình đang mang thai con trai gần đây nhất là kiện tướng dancesport Khánh Thi. Trong buổi tiệc mừng sinh nhật cô tổ chức vào ngày 23-3 vừa qua, Khánh Thi tiết lộ đang mang thai con trai đầu lòng năm tháng rưỡi và được mọi người có mặt dành tràng vỗ tay chúc mừng”. Một tờ báo khác dẫn điều luật và cho rằng Khánh Thi có thể bị phạt từ 3 triệu đến 15 triệu đồng theo Nghị định 114/2006 quy định xử phạt vi phạm hành chính về dân số và trẻ em. Đồng thời, việc Khánh Thi là người của công chúng nên cô còn có thể bị chính quyền địa phương hoặc cơ quan có thẩm quyền quản lý nghề nghiệp nhắc nhở, răn đe. Điều đáng nói Nghị định 114/2006 mà tờ báo trên đề cập hiện không còn hiệu lực và đã được thay thế bằng Nghị định 176/2013 quy định xử phạt vi phạm hành chính trong lĩnh vực y tế và không có cơ sở để xử phạt hành vi tiết lộ giới tính thai nhi của Khánh Nhiều người hiểu nhầm rằng người mang thai tiết lộ giới tính thì sẽ bị xử phạt hành chính nhưng thật sự không phải vậy. BS Trần Văn Trị, Phó Chi cục trưởng Chi cục Dân số-Kế hoạch hóa gia đình TP.HCM, cho biết Điều 84 Nghị định 176/2013 có nội dung phạt tiền từ 3 triệu đến 5 triệu đồng đối với hành vi loại bỏ thai nhi vì lý do lựa chọn giới tính. “Quy định này không đề cập đến hành vi tiết lộ giới tính thai nhi của người mang thai. trường hợp người mang thai vui mừng khoe mọi người giới tính đứa con trong bụng là chuyện bình thường, không thể xử phạt họ được” - BS Trị nói. Về việc xử phạt đối với nhân viên y tế tiết lộ, cung cấp thông tin về giới tính thai nhi theo Điều 82 nghị định 176/2013, BS Trị nói: “theo quan điểm cá nhân của tôi, chúng ta không nên cực đoan mà hãy thoáng đôi chút. Chỉ khi nào nhân viên y tế tiết lộ giới tính thai nhi cho sản phụ với mục đích lựa chọn giới tính thai nhi, dẫn đến phá thai thì mới phạt. Nếu không vì mục đích lựa chọn giới tính thai nhi thì nên linh hoạt không xử phạt bởi không ảnh hưởng gì lắm. Thực tế cho thấy cơ quan chức năng TP.HCM chưa phạt bất kỳ trường hợp nhân viên y tế tiết lộ giới tính thai nhi cho sản phụ” - BS Trị cho biết thêm. BS Nguyễn Ngọc Thông, Giám đốc Trung tâm Chăm sóc sức khỏe sinh sản TP.HCM, bổ sung: “Cho dù sản phụ tiết lộ giới tính thai nhi, sau đó phá thai thì cũng không thể phạt bởi phá thai vì một lý do nào đó là quyền của sản phụ. Hơn nữa, phạt hành vi phá thai vì lựa chọn giới tính thai nhi phải có chứng cứ và xác lập hồ sơ đàng hoàng. Tuy nhiên, điều này không dễ thực hiện trên thực tế”. Bên cạnh đó, nhân viên y tế tiết lộ giới tính cho sản phụ với nhiều hình thức khác nhau (ví dụ như trong lúc siêu âm, nhân viên y tế bảo: “Chà, đứa bé giống cha như đúc”) thì cũng khó có bằng chứng để xử phạt. “Khoe với mọi người đang mang thai con trai hay con gái khiến tinh thần sản phụ thoải mái, luôn sống trong tâm trạng vui vẻ càng ảnh hưởng tốt đến thai nhi thì sao lại phạt họ”. Phạt tiền từ 5 triệu đến 10 triệu đồng đối với hành vi bắt mạch hoặc siêu âm hoặc xét nghiệm cho người đang mang thai để chẩn đoán và tiết lộ, cung cấp thông tin về giới tính thai nhi, trừ trường hợp pháp luật có quy định khác. Hình thức xử phạt bổ sung: Tước quyền sử dụng giấy phép hoạt động, chứng chỉ hành nghề trong thời hạn từ một tháng đến ba tháng. Phạt tiền từ 3 triệu đến 5 triệu đồng đối với hành vi loại bỏ thai nhi vì lý do lựa chọn giới tính của người mang thai mà không bị ép buộc. (Theo điều 82, điều 84 Nghị định 176/2013)
Báo mới
TPHCM thiếu bác sĩ gây mê hồi sức
Tại TPHCM hiện nay số lượng bác sĩ gây mê hồi sức rất ít và thiếu vì không có nhiều sinh viên chịu theo ngành này. Đó là nhận định mà BS. Nguyễn Ngọc Anh, Chủ tịch Hội Gây mê hồi sức TPHCM chia sẻ bên lề Hội nghị Khoa học về gây mê hồi sức khu vực Châu Á Thái Bình Dương, diễn ra trong 2 ngày 18 & 19-4 tại TPHCM do văn phòng đại diện AbbVie Việt Nam phối hợp với Hội Gây Mê Hồi Sức TPHCM tổ chức. Hội nghị có hơn 500 khách mời trong nước và 50 khách mời quốc tế, cùng những chuyên gia hàng đầu về gây mê hồi sức đến từ Châu Âu và các nước trong khu vực. TPHCM có khoảng 10 triệu dân, với hơn 100 bệnh viện, trong đó có hơn 600 thành viên làm công tác gây mê hồi sức, nhưng mỗi năm thực hiện đến 200.000 ca phẫu thuật. Mặc dù bác sĩ gây mê hồi sức là người rất quan trọng quyết định thành công của ca mổ nhưng khi nhắc đến ca mổ thường người ta chỉ nhắc đến bàn tay vàng của bác sĩ phẫu thuật, và gia đình bệnh nhân cũng cảm ơn bác sĩ phẫu thuật là chính. Bác sỹ gây mê hồi sức là người không thể thiếu được trong các ca phẫu thuật, cũng như nhiều những thủ thuật khác: nội soi tiêu hóa, mở khí quản, các thủ thuật tại khoa x-quang can thiệp như: nong và đặt stent động mạch vành, chụp mạch não và các thủ thuật can thiệp như tắc túi phình động mạch não, dị dạng động tĩnh mạch não, tiêu sợi huyết mạch máu não qua đường động mạch… Trên thực tế, chuyên ngành gây mê hồi sức ở Việt Nam chưa bao giờ là một chuyên ngành hấp dẫn sinh viên và các bác sĩ trẻ theo học. Lý giải thực trạng này, các lãnh đạo bệnh viện cho rằng, đây là một chuyên ngành khó vì phải liên quan đến nhiều chuyên khoa. Bác sĩ gây mê hồi sức phải đánh giá được bệnh nhân trước khi phẫu thuật, phải đọc được quá trình diễn biến của người bệnh trong suốt quá trình phẫu thuật và tiên lượng được khả năng hồi phục của bệnh nhân sau mổ. Để làm được điều đó họ phải có kiến thức về nội khoa, ngoại khoa và dược lý... Mặt khác, gây mê hồi sức là công việc vất vả, thu nhập thấp hơn so với các chuyên ngành khác, luôn phải đối mặt với rủi ro nghề nghiệp cao và khó tìm được việc làm ngoài phòng khám. BS Ngọc Anh cũng cho biết, mục tiêu của Hội nghị Khoa học về gây mê hồi sức khu vực Châu Á Thái Bình Dương lần này tại TPHCM nhằm giúp các bác sĩ gây mê hồi sức tại TPHCM và Việt Nam có điều kiện chia sẻ, học tập kinh nghiệm của các đồng nghiệp trên thế giới.
Phẫu thuật cho trẻ hở môi, hàm ếch
Tổ chức Operation Smile có kế hoạch phẫu thuật dành cho các bệnh nhân mang dị tật khe hở môi, hàm ếch đợt tháng 5-2015. Chương trình tại BV Đại học Y dược TPHCM (215 Hồng Bàng, P11Q5) từ ngày 9 đến 15-5 (khám ngày 9-5, phẫu thuật từ 11 đến 15-5), số bệnh nhân dự kiến: 70 trẻ. BV quận Thủ Đức (số 29 đường Phú Châu, khu phố 5, P.Tam Phú, Q.Thủ Đức, TPHCM) từ 18 đến 22-5 (khám ngày 18-5, phẫu thuật từ 19 đến 22-5), số bệnh nhân dự kiến: 30 trẻ. Chương trình tại BV Hữu Nghị Việt Nam - Cuba Hà Nội (37 Hai Bà Trưng, quận Hoàn Kiếm, Hà Nội) từ 18 đến 29-5 (khám ngày 18 và 25-5, phẫu thuật từ 19 đến 29-5), số bệnh nhân dự kiến: 90 em. Tiêu chí lựa chọn: trẻ bị khe hở môi phải được ít nhất 6 tháng tuổi, nặng từ 8kg trở lên; trẻ bị khe hở hàm ếch phải được ít nhất 18 tháng tuổi, nặng từ 10 - 12kg trở lên. Tất cả không bị bệnh tim, động kinh, thần kinh... đồng thời không bị ốm, sốt hoặc viêm nhiễm trong thời điểm đi khám. Tất cả các ca phẫu thuật sẽ được thực hiện miễn phí. Ngoài ra, bệnh nhân được hỗ trợ đi lại và ăn uống trong thời gian ở lại bệnh viện. Mọi đăng ký phẫu thuật xin vui lòng liên lạc trực tiếp với Operation Smile theo số 0904.885.555 hoặc 04.3936.5426 (Hà Nội), hoặc 08.2222.1008 (TPHCM).
Thay đổi trang phục cho nhân viên y tế: đổi mới toàn diện phong cách phục vụ người bệnh
Cùng với việc thay đổi trang phục cho nhân viên y tế, Bộ Y tế sẽ tiến tới mô hình bệnh viện (BV) xanh-sạch-đẹp, lập trung tâm dịch vụ khách hàng để quyết liệt cải thiện chất lượng, đổi mới phong cách phục vụ người bệnh của nhân viên y tế. Đó là những thông tin được Bộ Y tế cho biết ngày 20-4. Theo Bộ trưởng Bộ Y tế Nguyễn Thị Kim Tiến, thời gian qua, trên trang mạng xã hội cá nhân của mình, Bộ trưởng nhận được nhiều phản ánh của người dân về thái độ ứng xử của nhân viên y tế. Chẳng hạn như bệnh nhân phản ánh việc khi vào BV, hỏi cán bộ y tế đến 3 lần mà họ vẫn không trả lời, không hướng dẫn… Nếu không may xảy ra tai biến thì tâm lý chung họ sẽ rất bức xúc. Tất nhiên, tử vong vì bệnh trọng, tử vong vì ngoài khả năng chữa trị là bất khả kháng. Nhưng điều quan trọng là cách giải thích của cán bộ y tế phải thoả đáng, chia sẻ với người nhà bệnh nhân như thế nào để họ hiểu. “Khi có người thân qua đời, người nhà họ đã quá đau buồn, do vậy, nếu nhân viên y tế giải thích không thoả đáng sẽ gây bức xúc tất yếu sẽ khiến người bệnh không hài lòng thái độ nhân viên y tế, thậm chí khiếu kiện”, Bộ trưởng Bộ Y tế bày tỏ Bên cạnh việc đổi mới toàn diện về cải cách thủ tục hành chính, nâng cao chất lượng khám chữa bệnh bệnh, tới đây, ngành y tế sẽ tập trung vào việc thay đổi trang phục cho nhân viên y tế để từ đó hướng họ tới việc phục vụ, chăm sóc người bệnh tốt hơn. Tại Việt Nam, trang phục của nhân viên y tế ở các vị trí đều là màu trắng nên rất khó nhận diện. Hiện chỉ có trang phục trong phòng mổ là màu xanh, khác biệt với trang phục mặc thông thường màu trắng trong BV. Việc thay đổi trang phục dựa trên thực tế, trong quá trình người dân đi khám bệnh đã không ít trường hợp nhầm lẫn vị trí các nhân viên y tế, cần gọi điều dưỡng kiểm tra đường truyền dịch, thở máy thì lại gọi ngay bác sĩ. Hay đưa con em đi khám bệnh, thấy học sinh thực tập mặc áo blouse màu trắng ngồi lại ngỡ là bác sĩ mà không khám bệnh cho trẻ...Về vấn đề này, ông Nguyễn Đình Anh, Phó Vụ trưởng Vụ Truyền thông-Thi đua khen thưởng (Bộ Y tế) cũng cho rằng, đây là một việc nên làm. Việc thay đổi, theo hướng phân biệt riêng các màu sắc cho từng vị trí công việc tạo thuận tiện cho công việc của cán bộ y tế, đồng thời giúp người bệnh phân biệt được đâu là y tá, đâu là điều dưỡng, bác sĩ. Một số nước đã phân loại màu áo đồng phục để dễ nhận diện như: bác sĩ phòng mổ mặc áo màu xanh lá cây hoặc xanh nước biển. Bác sĩ phòng khám là màu trắng, điều dưỡng màu hồng nhạt... Được biết, khi Bộ Y tế đưa ra phương án thay đổi trang phục cho nhân viên y tế, tại các BV, nhiều bác sĩ đều ủng hộ phương án thay đổi màu sắc trang phục để phân biệt các vị trí. Bác sĩ Chu Thanh Hương, BV Đại học Y Hà Nội cho rằng, trang phục của nhân viên y tế hiện nay, gồm cả bác sĩ, điều dưỡng, thậm chí là học sinh, sinh viên các trường y dược khi thực tập tại BV chủ yếu đều là màu trắng. Chỉ người trong ngành mới nhận diện được từng vị trí của nhân viên trong BV qua sự khác nhau của cổ áo, ve áo trên trang phục. Tuy nhiên, với người bệnh và người nhà bệnh nhân thì chỉ có cách nhìn vào biển chức danh đeo trên áo. “Việc thay đổi trang phục đối với nhân viên y tế là vô cùng cần thiết. Tuy nhiên, các y bác sĩ đều mong muốn giữ nguyên màu áo blouse trắng. Bởi vì đây là màu truyền thống của ngành y tế, gắn với hình ảnh người thầy thuốc từ bao đời nay”. Sắp tới, việc thay đổi trang phục cho nhân viên chỉ là thay đổi về màu sắc quần áo của điều dưỡng, bác sĩ, kỹ thuật viên, hành chính, còn kiểu dáng trang phục vẫn giữ nguyên. Bên cạnh đó, các BV cũng phải tiến tới thực hiện mô hình BV xanh-sạch-đẹp, đồng thời thành lập đơn vị chăm sóc “khách hàng” ở BV để hỗ trợ người bệnh, cung cấp các thông tin khi người bệnh đến khám chữa bệnh. Bộ trưởng Bộ Y tế Nguyễn Thị Kim Tiến khẳng định, thời gian tới, ngành y tế quyết tâm đổi mới toàn diện phong cách, hình ảnh, chân dung người thầy thuốc, cán bộ y tế. Ngày 22-4 tới, Bộ Y tế lần đầu tiên tổ chức hội nghị trực tuyến “Đổi mới phong cách, thái độ phục của cán bộ y tế hướng tới sự hài lòng của người bệnh” với hơn 700 điểm cầu tại khắp các tỉnh, thành trên cả nước. Dự kiến, hội nghị này sẽ có hơn 10.000 cán bộ y tế tham dự. Trước đó, tại hội nghị sơ kết 2 năm triển khai đề án BV vệ tinh diễn ra tuần qua, Bộ trưởng Bộ Y tế Nguyễn Thị Kim Tiến đã nhấn mạnh đến việc người bệnh đến BV phải được coi là một khách hàng, họ phải được cung cấp dịch vụ tốt nhất. Tới đây, theo lộ trình điều chỉnh giá dịch vụ y tế, khi giá dịch vụ y tế được tính đúng, tính đủ 7/7 yếu tố, nếu BV không nâng cao chất lượng, không thay đổi thái độ ứng xử với người bệnh thì có lẽ đến lúc BV phải “ngồi chơi xơi nước” vì không có bệnh nhân nào đến khám.
Bệnh lạ: Người bệnh chết chỉ trong 24 giờ
Cục Y tế dự phòng cho biết, theo nguồn tin của Hãng Thông tấn AFP ngày 19/4/2015, một dịch bệnh “bí ẩn” đã làm 18 người ở thị trấn Ode-Irele miền đông nam Nigeria tử vong trong vòng 24 giờ sau khi có biểu hiện triệu chứng. Máu và nước tiểu của 2 bệnh nhân và dịch não-tủy của bệnh nhân khác đã được gửi đến Bệnh viện Đại học Lagos xét nghiệm. Theo Phát ngôn viên của Bang ondo - Nigeria, những người nhiễm bệnh đều có biểu hiện triệu chứng như: đau đầu, sụt cân, mờ mắt và mất ý thức sau đó tử vong trong vòng 24 giờ. Kết quả xét nghiệm đến nay loại trừ khả năng bệnh nhân nhiễm vi rút Ebola (hiện vi rút Ebola đang gây dịch tại các nước Tây Phi). Tổ chức Y tế thế giới (WHO) cho biết, hiện WHO đã có thông tin của 14 trường hợp trong đó có ít nhất 12 trường hợp đã tử vong. Phát ngôn viên của WHO, Dr. Gregory Hartl đã trao đổi với Hãng Thông tấn AFP rằng theo số liệu báo cáo ban đầu thì tất cả các trường hợp nhiễm bệnh đều bắt đầu xuất hiện các triệu chứng từ ngày 13 - 15/4/2015. Hiện nay, các nhân viên y tế, các chuyên gia của Nigeria, các cơ quan cứu trợ và các chuyên gia dịch tễ học của WHO cũng đã đến Ode-Irele để điều tra căn nguyên dịch bệnh. Các mẫu bệnh phẩm máu, nước tiểu, dịch não tủy từ các bệnh nhân đã được lấy và gửi tới Bệnh viện Trường đại học Lagos sáng ngày 19/4 để xét nghiệm chẩn đoán, hiện vẫn đang chờ kết quả. Phát ngôn viên của Bang ondo - Nigeria cũng cho rằng “không có bệnh nhân nào mắc dịch bệnh kỳ lạ này đang nằm điều trị trong bệnh viện, và hiện dịch bệnh này vẫn chưa lây lan ra khỏi phạm vi của thị trấn”.
Hà Nội triển khai 2 đợt tiêm chủng/tháng
Nhằm đáp ứng nhu cầu của người dân, tăng khả năng trẻ nhỏ được tiếp cận dịch vụ tiêm chủng đúng lịch, TP Hà Nội đã quyết định triển khai 2 đợt tiêm chủng trong tháng, thay vì một đợt/tháng trước đây. Các đợt tiêm chủng kéo dài khoảng 1 - 3 ngày; đối với các xã, phường có nhiều đối tượng trong độ tuổi tiêm chủng, mỗi đợt tiêm sẽ kéo dài từ 3 - 5 ngày. Đặc biệt với những xã, phường cần tập trung đáp ứng nhu cầu lớn của người dân, cán bộ y tế sẽ tổ chức đợt tiêm chủng kéo dài một tuần. Lý do đưa ra quyết định này là bởi theo kết quả giám sát dịch bệnh, hiện nay vẫn ghi nhận các trường hợp trẻ em mắc bệnh ho gà và các bệnh truyền nhiễm do không được tiêm hoặc chưa được tiêm đầy đủ vaccine phòng bệnh đúng lịch.
Dịch sởi được khống chế nhờ 20 triệu trẻ đi tiêm chủng
Nếu như cùng thời điểm này năm ngoái dịch sởi đang bùng phát mạnh với hàng trăm ca mắc, nhiều ca tử vong thì từ đầu năm 2015 đến nay chỉ ghi nhận rải rác, không xuất hiện ổ dịch. PGS.TS Trần Đắc Phu, Cục trưởng Cục Y tế dự phòng - Bộ Y tế cho biết, chiến dịch tiêm chủng mở rộng vaccine sởi - rubella với gần 20 triệu trẻ trên toàn quốc được tiêm đã góp phần quan trọng vào kết quả này. Trao đổi với báo chí, Cục trưởng Cục Y tế dự phòng Trần Đắc Phu cho biết, đến thời điểm này, chiến dịch tiêm vaccine sởi - rubella cho trẻ từ 1 đến 14 tuổi trên toàn quốc đã được tổ chức thành công với gần 20 triệu trẻ được tiêm chủng an toàn, đạt tỷ lệ lên đến 97,4%. Trong suốt chiến dịch, công tác an toàn tiêm chủng luôn được quan tâm nên rất ít các trường hợp phản ứng sau tiêm chủng xảy ra, chỉ ghi nhận một số trường hợp sốt nhẹ, nhức đầu do phản ứng tâm lý dây chuyền ở nhóm trẻ vị thành niên… chiếm khoảng 0,04% (thấp hơn khuyến cáo của Tổ chức Y tế thế giới là từ 5-15%). Cục trưởng Cục Y tế dự phòng nhấn mạnh, thành công của Chiến dịch tiêm vaccine sởi - rubella được thể hiện và minh chứng rõ nhất thông qua thực tiễn là từ đầu năm 2015 đến nay không xuất hiện dịch bệnh sởi, rubella trên cả nước, mặc dù hiện đang là mùa dịch sởi và dịch sởi vẫn đang được ghi nhận tại các nước phát triển như Mỹ, Canada hay một số nước trong khu vực. Đơn cử như tại Hà Nội, theo báo cáo của Sở Y tế, trong quý I-2015 toàn thành phố mới chỉ ghi nhận 101 ca sốt phát ban nghi sởi, giảm 94% so với cùng kỳ 2014. Điều này cũng chứng tỏ trong cộng đồng dân cư đã có miễn dịch đầy đủ.
Bỏ sót đối tượng tiêm là rất nguy hiểu.
Tuy nhiên, việc triển khai chiến dịch tiêm chủng mở rộng vaccine sởi- rubella cũng gặp phải một số khó khăn trong việc quản lý, điều tra đối tượng, nhất là ở những thành phố lớn có nhiều biến động dân cư, nhiều khu công nghiệp. Ông Trần Đắc Phu cho biết, thực tế khó khăn này đã xảy ra tại Hà Nội, TP.HCM, riêng TP.HCM hiện nay vẫn đang khẩn trương triển khai chiến dịch đợt 3 và tiêm vét vaccine sởi - rubella nhằm đạt tỷ lệ tiêm chủng theo yêu cầu. Ngoài ra tại những thành phố lớn này, do người dân có điều kiện kinh tế tốt hơn nên một số người có tâm lý chờ đợi, tin tưởng hơn vào tiêm vaccine dịch vụ. Để khắc phục, Bộ Y tế đã yêu cầu từng tỉnh, thành phố phải rà soát, báo cáo và nắm xem còn bao nhiêu xã, phường trên địa bàn chưa đạt tỷ lệ tiêm chủng trên 95% để tăng cường giám sát, khẩn trương tổ chức tiêm vét nhằm đạt tỷ lệ tiêm chủng. Đồng thời, Bộ Y tế cũng đã chỉ đạo các tỉnh, thành phố tăng cường vận động các đối tượng trong độ tuổi bắt buộc phải tiêm vaccine sởi - rubella mà chưa được tiêm phải đi tiêm chủng để đạt tỷ lệ cao. Ông Trần Đắc Phu nhấn mạnh: “Việc bỏ sót đối tượng bắt buộc phải sử dụng vaccine là rất nguy hiểm vì nếu không được tiêm trẻ sẽ rất dễ bị mắc bệnh sởi, rubella, đồng thời là nguồn lây nhiễm trong cộng đồng”. “Bộ Y tế mong muốn các bậc cha mẹ hoặc người giám hộ của trẻ và mọi người dân có trách nhiệm đưa con em đi tiêm chủng đầy đủ, đúng lịch, bởi đây là biện pháp hữu hiệu để phòng chống dịch bệnh nguy hiểm ở trẻ em. Đừng nên bỏ lỡ cơ hội tiêm chủng, dẫn đến nguy cơ mắc bệnh truyền nhiễm nguy hiểm” – ông Trần Đắc Phu nói. Cũng liên quan đến vấn đề này, mới đây, Phó Bí thư Thành ủy, Phó Chủ tịch UBND TP Hà Nội Nguyễn Thị Bích Ngọc đã yêu cầu Sở Y tế Hà Nội chỉ đạo Trung tâm Y tế dự phòng thành phố theo dõi sát, nắm chắc các đơn vị có tỷ lệ tiêm chủng mở rộng còn thấp để kịp thời chấn chỉnh. Đồng thời Phó Chủ tịch UBND TP Nguyễn Thị Bích Ngọc cũng yêu cầu ngành y tế Thủ đô phải nhanh chóng khắc phục tình trạng khan hiếm, thiếu một số loại vaccine dịch vụ hiện nay để đáp ứng nhu cầu của người dân.
Afamily
"Thủ phạm" giết chết 18 người Nigeria có thể là thuốc diệt cỏ
Ngộ độc thuốc trừ sâu có thể là nguyên nhân của căn bệnh lạ, khiến ít nhất 18 người Nigeria tử vong, Tổ chức Y tế Thế giới cho biết ngày 19/4.Bệnh lạ giết chết ít nhất 18 người Nigeria trong vòng 24 giờ Mắc bệnh lạ, cô gái 19 tuổi "mắc kẹt" trong hình hài em bé "Chúng tôi đưa ra giả thuyết nguyên nhân gây ra hàng loạt vụ tử vong có thể là do thuốc diệt cỏ", đại diện WHO Gregory Hartl cho biết. "Các cuộc thử nghiệm được thực hiện cho đến nay đều cho thấy người mắc bệnh lạ âm tính với virus và vi khuẩn". Các nạn nhân bắt đầu có triệu chứng vào đầu tuần trước. Người mắc bệnh bị đau đầu, sút cân, mờ mắt, mất ý thức và tử vong chỉ trong vòng 1 ngày. Tất cả các nạn nhân đều sống ở thị trấn Ode-Irele, tây nam bang ondo, Nigeria. Trước đó, ông Dayo Adeyanju, ủy viên hội đồng bang ondo phụ trách y tế, vào ngày 18/4 tuyên bố có 23 người đã mắc căn bệnh lạ này. Khi hàng loạt bệnh nhân tử vong chỉ trong vòng 24 giờ, người phát ngôn bang ondo Kayode Akinmade đã gọi đây là "một căn bệnh bí ẩn", làm dấy lên lo ngại về sự bùng phát một đại dịch mới ở quốc gia vừa bị virus Ebola tàn phá. Ngay khi nhận được thông tin, các nhân viên, chuyên gia y tế từ tổ chức từ thiện và tổ chức nhà nước, cũng như các nhà dịch tễ học WHO đã tới Ode-Irele để điều tra nguyên nhân gây bệnh. Các cuộc thử nghiệm đang tiếp tục được tiến hành tại Bệnh viện Giảng dạy Đại học Lagos, WHO cho biết.
Báo điện tử Chính phủ
Quản lý giá thuốc theo cơ chế thị trường
Quản lý giá thuốc theo cơ chế thị trường, tôn trọng quyền tự định giá, cạnh tranh về giá của tổ chức, cá nhân kinh doanh thuốc theo quy định của pháp luật. Bảo đảm công khai, minh bạch giá thuốc khi lưu hành thuốc trên thị trường...Đây là nguyên tắc quản lý giá thuốc mà Bộ Y tế đề xuất tại dự thảo Luật dược (sửa đổi). Bộ Y tế cho biết, giá thuốc ở Việt Nam phụ thuộc nhiều vào thị trường bên ngoài với hơn 50% giá trị thuốc thành phẩm và trên 90% nguyên liệu sản xuất thuốc nhập khẩu. Về cơ sở xác định giá thuốc, Luật dược hiện hành quy định việc kê khai và kê khai lại giá thuốc phải “bảo đảm giá thuốc không cao hơn giá thuốc tại các nước trong khu vực có điều kiện y tế, thương mại tương tự như Việt Nam”. Trên cơ sở đó, Nghị định số 79/2006/NĐ-CP ngày 9/8/2006 của Chính phủ quy định “Bộ Y tế chủ trì, phối hợp với Bộ Thương mại và các Bộ, ngành liên quan công bố cụ thể danh sách các nước trong khu vực có điều kiện y tế, thương mại tương tự Việt Nam”. Tuy nhiên, cho đến nay liên bộ vẫn chưa ban hành được danh sách này do khó khăn trong việc xác định điều kiện y tế, thương mại của các nước tương tự Việt Nam. Bên cạnh đó, quy định “Cơ quan nhà nước có thẩm quyền định kỳ công bố giá tối đa đối với các loại thuốc do ngân sách nhà nước và bảo hiểm y tế chi trả” (điểm d khoản 2 Điều 5 Luật dược) chưa thực hiện được do số lượng thuốc sản xuất lưu hành tại Việt Nam hiện có khoảng hơn 25.000 mặt hàng, với trên 1.500 hoạt chất. Mỗi hoạt chất có rất nhiều chủng loại, hàm lượng, quy cách đóng gói, dạng bào chế, nhà sản xuất khác nhau nên việc xác định mức giá tối đa cho tất cả các mặt hàng nêu trên là không khả thi. Mặt khác, cơ quan chức năng cũng gặp khó khăn trong việc xác định cơ sở xây dựng giá tối đa đối với các loại thuốc do ngân sách nhà nước và bảo hiểm y tế chi trả vì nếu công bố giá tối đa theo giá mặt hàng thuốc thấp nhất thì sẽ không bảo đảm có đủ thuốc cung ứng, nếu công bố giá tối đa theo giá mặt hàng thuốc cao nhất thì giá thuốc sẽ tăng theo. Ngoài ra, việc Luật dược 2005 chỉ giao một Bộ (Bộ Y tế) làm đầu mối mà không phân công nhiệm vụ cụ thể giữa các bộ, ngành trong quản lý giá thuốc làm cho quá trình thực hiện gặp nhiều khó khăn. Vì vậy, tại dự thảo, Bộ Y tế đã đề xuất 1 chương quy định về quản lý giá thuốc. Trong đó, Bộ đưa ra 6 biện pháp quản lý giá thuốc như sau: 1- Đấu thầu theo quy định tại Luật đấu thầu đối với thuốc mua từ nguồn ngân sách nhà nước, kinh phí do quỹ bảo hiểm y tế chi trả và các nguồn thu hợp pháp khác của các cơ sở y tế nhà nước; 2- Kê khai giá đối với thuốc của cơ sở sản xuất, cơ sở nhập khẩu thuốc thuộc Danh mục thuốc do quỹ bảo hiểm y tế chi trả và thuốc mua từ nguồn ngân sách nhà nước trước khi lưu hành trên thị trường; 3- Đàm phán giá đối với thuốc chỉ có từ một đến hai nhà sản xuất; biệt dược, thuốc hiếm, thuốc trong thời gian còn bản quyền và các trường hợp đặc thù khác; 4- Thực hiện các biện pháp bình ổn giá thuốc theo quy định của Luật giá đối với thuốc thuộc Danh mục thuốc do quỹ bảo hiểm y tế chi trả và thuốc mua từ nguồn ngân sách nhà nước khi có biến động bất thường về giá hoặc mặt bằng giá biến động ảnh hưởng đến sự ổn định kinh tế - xã hội; 5- Đặt hàng hoặc giao kế hoạch đối với các thuốc phục vụ chương trình mục tiêu quốc gia, thuốc phòng chống dịch bệnh, thiên tai, thảm họa và thuốc dự trữ quốc gia theo quy định của pháp luật về cung ứng dịch vụ, sản phẩm công ích; 6- Niêm yết giá thuốc tại cơ sở mua, bán thuốc. Bên cạnh đó, tại dự thảo, Bộ Y tế cũng đề xuất rõ trách nhiệm quản lý nhà nước về giá thuốc của Bộ Y tế, Bộ Tài Chính, Bộ Công Thương và UBND tỉnh, thành phố trực thuộc trung ương.
Khám phá
Úc mạnh tay chi tiền thúc đẩy tiêm chủng mở rộng
Chính phủ Úc vừa thông qua một khoản ngân sách bổ sung cho tháng 5/2015 trị giá 26 triệu đô la nhằm thúc đẩy tỷ lệ tiêm chủng ở trẻ em. Số tiền này sẽ được chi trực tiếp cho chiến dịch tiêm chủng quốc gia, bao gồm một chiến dịch truyền thông lớn. Bộ trưởng Y tế liên bang Sussan Ley cho biết, chiến dịch sẽ tập trung vào việc nâng cao nhận thức cho các bậc cha mẹ về sự cần thiết của việc tiêm chủng, đồng thời cũng giải quyết các lo lắng của họ về các nguy cơ mất an toàn cho trẻ khi tiêm chủng. "Chiến dịch truyền thông sẽ tập trung vào các tài liệu dành cho bác sĩ. Chính các bác sĩ sẽ là một phần của chiến dịch tuyên truyền. Thông điệp chúng tôi muốn gửi đến tất cả phụ huynh về tính hiệu quả và tầm quan trọng của chương trình tiêm chủng quốc gia. Tôi tin rằng hầu hết các bậc cha mẹ đã thực sự lo lắng về mối nguy cơ lan truyền bệnh dịch khi một số người không tiêm chủng cho con cái họ", bà Ley bày tỏ. Theo Bộ trưởng Y tế Úc Sussan Ley, gói ngân sách mới được thông qua sẽ bao gồm một khoản chi cho chiến dịch truyền thông nhằm nâng cao hiểu biết cho các bậc cha mẹ về tầm quan trọng của việc tiêm chủng. Bà Ley cũng công bố một chương trình tiêm vắc-xin cúm mới sẽ được triển khai bắt đầu từ thứ đầu tuần này. Đây là một phần của Chương trình Tiêm chủng Quốc gia nhằm loại bỏ ba chủng cúm phổ biến nhất sau dịch cúm mùa kỷ lục xảy ra ở Úc vào năm ngoái. Bộ trưởng Y tế cho biết, chương trình tiêm chủng năm nay được tiến hành muộn hơn những năm trước vì được điều chỉnh để đưa thêm vào một loại vắc-xin mới. Nó sẽ là cách bảo vệ tốt nhất chống lại bệnh cúm mùa, căn bệnh hàng năm đã cướp đi sinh mạng của hơn 3.000 người ở Úc. "Càng nhiều người được tiêm chủng, thì cơ hội cho các bệnh truyền nhiễm lây lan trong cộng đồng sẽ giảm đi. Điều này đặc biệt đúng đối với những người bị bệnh, những người có sức đề kháng yếu, phụ nữ có thai và người cao tuổi. Danh sách các loại vắc-xin dùng cho tiêm chủng quốc gia cũng đã được thay đổi ở phút cuối cùng để đảm bảo bổ sung thêm các loại mới. Điều đó có nghĩa rằng Úc sẽ được bảo vệ trước hầu hết tất cả các chủng cúm trong mùa đông sắp tới”, bà nói thêm. "Thông điệp của chúng tôi rất đơn giản: Hãy tiêm phòng cúm trước khi cúm ghé thăm bạn trong mùa đông này". Theo số liệu thống kê vào năm ngoái, ở Úc đã có ít nhất 166.000 trẻ em quá thời gian tiêm chủng hơn hai tháng. Ngoài ra, còn có 39.000 trẻ em không được tiêm vắc-xin do sự lo ngại của cha mẹ chúng về các ảnh hưởng của vắc-xin đối với sự phát triển của trẻ. Điều này đã được các nhà khoa học chứng minh là hoàn toàn không đúng. Bà Ley nói thêm rằng, trong năm 2014 đã có khoảng 68.000 người bị cúm, tăng đột biến so với 28.312 trường hợp vào năm 2013. Và đây là con số còn lớn hơn cả năm 2009, năm của dịch cúm lợn với 59.027 ca nhiễm.
Tuổi trẻ
Bác sĩ Trung Quốc không còn uy tín ở VN
Cục YDCT Bộ Y tế nói như vậysau vụ bệnh nhân đi phá thai suýt tử vong tại phòng khám do bác sĩ Trung Quốc thực hiện.- Hiện tại Cục YDCT có 25 bác sĩ Trung Quốc đăng ký hành nghề bác sĩ đông y tại Việt Nam, nhưng theo khảo sát chỉ còn 2 người đang tiếp tục hành nghề.
* Lý do vì sao phòng khám đông y một thời nở rộ hiện lại “heo hút” như vậy, thưa ông?
- Tôi cho rằng số còn lại đã về nước hết do Trung y mất uy tín ở Việt Nam, có bác sĩ Trung Quốc còn nói với tôi là người bệnh vào phòng khám hỏi bác sĩ Trung Quốc hay Việt Nam, nếu bác sĩ Trung Quốc là họ về luôn không khám bệnh nữa. Có bốn lý do khiến bác sĩ Trung y mất uy tín ở Việt Nam thời gian qua, và bốn lý do này tôi cũng nói với cán bộ Đại sứ quán Trung Quốc tại Việt Nam khi hai bên có dịp làm việc gần đây. Đó là thầy thuốc Trung Quốc sang Việt Nam làm việc khi chưa có giấy phép đã hành nghề, khi có đoàn kiểm tra đến họ chạy trốn khắp nơi, trốn cả vào nhà vệ sinh và báo chí đăng tải khiến họ mất uy tín. Thứ hai là quảng cáo quá mức cho phép, thứ nữa là hiệu quả khám chữa bệnh không cao hơn thầy thuốc Việt Nam chứ chưa nói là thấp hơn, trong khi giá cả cao hơn nhiều. Điểm thứ tư là nguồn gốc thuốc bán ra không rõ ràng, nhiều khi là hàng xách tay không có số đăng ký lưu hành.
* Ông đánh giá như thế nào về trình độ của bác sĩ Trung Quốc đến hành nghề tại Việt Nam? Họ có giỏi như quảng cáo?
- Các bác sĩ đông y Trung Quốc sang Việt Nam không phải là người có tay nghề cao, vì người có tay nghề cao làm việc trong nước đã phát đạt rồi, làm gì phải đi nước khác làm việc. Ở Việt Nam do liên tiếp bị xử phạt và mất uy tín, bác sĩ đông y Trung Quốc có đăng ký hành nghề tại Việt Nam đã về nước gần hết, nhưng gần đây lại xuất hiện ngày càng nhiều bác sĩ tây y Trung Quốc đến làm việc. Tai biến gần đây tại TP.HCM làm thủng tử cung một phụ nữ cũng liên quan đến bác sĩ tây y Trung Quốc. Có những dấu hiệu cho thấy lượng bác sĩ Trung Quốc đến hành nghề đang dịch chuyển từ đông y sang tây y. Học đại học y ở Trung Quốc chỉ kéo dài năm năm, trong khi tại Việt Nam phải học sáu năm. Sinh viên Việt Nam học y khoa ở Trung Quốc bắt đầu tốt nghiệp và về nước nhiều, riêng học Trung y, đông y cũng phải hàng trăm em, nhưng việc thống nhất học vị của các em như thế nào thì vẫn đang bàn, có khi họ sẽ được gọi là cử nhân chứ chưa phải là bác sĩ ngay như người tốt nghiệp đại học y khoa ở Việt Nam.
* Câu chuyện tai biến và rắc rối ở các phòng khám Trung Quốc nhiều năm qua đã gây bức xúc cho dư luận, nhưng vì sao nó vẫn tồn tại được và lại tiếp tục gây tai biến cho bệnh nhân như trường hợp mới đây ở TP.HCM, thưa ông?
- Nguyên nhân tai biến có thể do tiên lượng bệnh chưa đầy đủ, có thể do cơ địa người bệnh, quy trình kỹ thuật..., cần phải xem lại đã đúng với quy trình của ngành y tế hay chưa. Về hoạt động của các phòng khám Trung Quốc, trước đây đông y sang nhiều, nay đông y không sang nữa mà tây y lại sang nhiều, quy trình kiểm tra vẫn thực hiện như trước đây là kiểm tra quy chế chuyên môn, thủ tục hành chính, còn việc các phòng khám có bác sĩ Trung Quốc vẫn hoạt động thì thực hiện theo luật, nếu họ đầy đủ hồ sơ giấy tờ thì phải cấp giấy phép cho họ. Luật khám chữa bệnh quy định các thủ tục để bác sĩ nước ngoài đến Việt Nam làm việc rất kỹ càng, nhưng nếu đủ tiêu chuẩn bộ và sở phải cấp phép hoạt động. Trong quá trình hoạt động, có khi Bộ Y tế cấp phép nhưng sở y tế vẫn phải theo dõi, giám sát.
* Nhưng việc vẫn để “lọt” những phòng khám không chất lượng, như vụ tai biến vừa qua ở TP.HCM, theo ông, lỗi từ khâu nào?
- Phòng khám và bác sĩ có đầy đủ giấy phép, nhưng vấn đề thiếu sót là quy trình chuyên môn, không hỏi bệnh nhân xem họ có tiền sử như thế nào, đã đi khám ở đâu..., nên nhân dịp này cần tăng cường công tác kiểm tra, xem hoạt động có gì sai phạm để ngăn chặn sớm các nguy cơ gây tai biến có thể xảy ra. Còn với người bệnh, khi khám chữa bệnh nên chọn các cơ sở có uy tín, có giấy phép hoạt động, thầy thuốc có chứng chỉ hành nghề. Với phòng khám đông y, tôi cho rằng nên chọn các phòng chẩn trị y học cổ truyền có uy tín và thầy thuốc có thâm niên.
Sai quy trình chuyên môn
- Tôi cho rằng bác sĩ tây y Trung Quốc đến hành nghề tại Việt Nam đã xuất hiện trong vài năm gần đây, như phòng khám Maria ở Hà Nội trước đây cũng là tây y. Vấn đề ở chỗ Maria thì giấy tờ thủ tục hồ sơ còn chưa đủ, còn vụ ở TP.HCM vừa qua giấy tờ đầy đủ nhưng hành nghề thì sai về quy trình chuyên môn. Khi làm sai quy trình chuyên môn, Sở Y tế TP.HCM cần lập hội đồng, xem sai quy trình ở khâu nào, lỗi ở đâu và xử lý theo quy trình trong Luật khám chữa bệnh.
* Khâu nào đã để “lọt” trong vụ tai biến này? Tại TP.HCM còn rất nhiều phòng khám quảng cáo sai, thu tiền cao như đã xảy ra ở các phòng khám Trung Quốc thời gian trước đây?
- Tôi đã có văn bản đề nghị Sở Y tế TP.HCM kiểm tra, làm rõ và xử lý nghiêm sai phạm. Nếu sở giải quyết chưa thấu đáo, Bộ Y tế sẽ lập đoàn thanh tra đột xuất để làm rõ. Bên cạnh khâu cấp phép, địa phương quản lý hoạt động của các phòng khám trên địa bàn, xem hoạt động chuyên môn nghiệp vụ có theo quy trình, phát hiện ngăn chặn sai phạm là rất quan trọng.
Tránh gây sốc khi báo bệnh ung thư
Người nhà tôi bị ung thư. Khi phát hiện bệnh thì một bệnh viện chỉ thông báo với người nhà, còn nhân viên bệnh viện khác lại nói thẳng với bệnh nhân. Bác sĩ sẽ lựa chọn thời điểm phù hợp để thông báo tình hình cho người bệnh. Trong ảnh: bác sĩ Bệnh viện Ung bướu TP.HCM khám cho một bệnh nhân - Ảnh: Hữu Khoa
Tôi không hiểu sao lại có cách làm khác nhau như vậy?
Chú tôi đã hơn 70 tuổi, ở Tiền Giang, được bác sĩ bệnh viện tỉnh chẩn đoán bệnh ung thư vòm họng. Cả nhà bất ngờ vì trông chú tôi khá khỏe mạnh, lâu nay không có biểu hiện bệnh gì. Nghĩ là bệnh viện tỉnh có khi xác định bệnh không đúng, gia đình đưa ông lên xét nghiệm, sinh thiết tại một bệnh viện ở TP.HCM. Kết quả là ông bị bệnh ung thư. Cả gia đình chú tôi buồn bã, lo lắng. Mọi người bàn nhau có nên nói rõ bệnh tình cho chú biết không. Có người nói không nên vì nếu biết mình bị ung thư chú sẽ sớm suy sụp, dẫn đến sức khỏe xuống nhanh. Có người bảo cứ nói thật bệnh tình để chú chuẩn bị, trăng trối con cháu vì bệnh ung thư của chú dù sao cũng đã ở giai đoạn cuối. Sau thời gian bàn bạc, cả gia đình quyết định không nói ra bệnh thật cho chú biết, để chú vui sống ngày nào hay ngày ấy. Khi đưa chú nhập viện ở bệnh viện tại TP.HCM, gia đình giải thích với chú là bị bướu lành, cần phải mổ, điều trị mới hết bệnh. Chú tôi cũng tin điều này, cho đến một hôm cô y tá đến chăm sóc ông, sau khi xong công việc đã thản nhiên thông báo: “Ông bị ung thư nhé!”. Người nhà chú tôi lúc ấy khá bất ngờ, không thể ngăn cản kịp. Chú tôi lúc ấy sững sờ, không nói được điều gì. Kể từ đó ông cứ buồn bã, rồi trách cứ người nhà giấu bệnh của ông và không chịu điều trị tiếp.
Tôi rất băn khoăn vì sao khi bác sĩ ở bệnh viện tỉnh Tiền Giang phát hiện chú tôi bị ung thư thì chỉ thông báo cho người nhà chú tôi biết mà ở bệnh viện tại TP.HCM thì y tá lại công khai cho bệnh nhân? Cách thông báo nào sẽ phù hợp với người bị bệnh ung thư?
Tôi nghĩ nếu cần thiết cho bệnh nhân biết bệnh của mình thì bệnh viện có thể yêu cầu người nhà tìm cách báo cho bệnh nhân, hoặc bệnh viện tìm cách thông báo sao cho khéo léo, chứ nói đột ngột như cách cô y tá đã làm với chú tôi thì quả thật là đã gây sốc cho bệnh nhân.
Lựa chọn thời điểm phù hợp
Theo Luật khám chữa bệnh, người bệnh và gia đình người bệnh (người đại diện cho những người thân thuộc nhất như bố mẹ, vợ con, anh chị em ruột) phải được biết thông tin đầy đủ, chính xác về căn bệnh của bệnh nhân như chẩn đoán, phương pháp điều trị, khả năng điều trị, các tai biến có thể xảy ra...Người chịu trách nhiệm chính trong việc thông tin này thường là bác sĩ điều trị trực tiếp vì họ nắm rõ tình trạng bệnh tật của bệnh nhân nhất. Các nhân viên y tế khác như điều dưỡng, hộ lý... không được giao nhiệm vụ này. Đối với bệnh ung thư, việc thông báo cho bệnh nhân và gia đình bệnh nhân biết rõ chẩn đoán, giai đoạn bệnh nặng hay nhẹ, phương pháp điều trị ra sao, khả năng chữa khỏi đến đâu, thời gian sống còn lại của người bệnh ước chừng bao lâu... là rất cần thiết, nhằm giúp bệnh nhân và gia đình bệnh nhân hợp tác điều trị, cũng như dự tính các kế hoạch riêng cho tương lai. Về nguyên tắc, nếu chính bệnh nhân yêu cầu phải cung cấp thông tin đầy đủ thì bác sĩ phải có nghĩa vụ cung cấp cho người bệnh. Tuy nhiên, trong thực tế tùy theo trạng thái tâm lý của bệnh nhân khi tiếp xúc và yêu cầu của gia đình mà bác sĩ sẽ lựa chọn thời điểm thông tin cho phù hợp. Đối với các bệnh nhân có trạng thái tâm lý hoang mang, bác sĩ có thể sẽ chưa cung cấp hết ngay những thông tin bất lợi của căn bệnh cho chính bệnh nhân, mà chỉ giải thích cặn kẽ cho gia đình người bệnh biết trước. Sau đó, trong quá trình điều trị người bệnh dần dần hiểu ra căn bệnh của mình hơn thông qua tiếp xúc với những người bệnh xung quanh cũng như với người nhà, khi đó bác sĩ sẽ tiếp tục cung cấp liều lượng thông tin cho phù hợp. Tuy khả năng của y học có thể chữa khỏi căn bệnh ung thư ngày càng cao, nhưng nhìn chung đây vẫn còn là căn bệnh gây lo sợ cho nhiều người, chính vì vậy luôn đòi hỏi nhân viên y tế phải có kỹ năng thông tin và hiểu biết tâm lý mới có thể giúp bệnh nhân an tâm điều trị.
Tùy theo sự cân nhắc của bác sĩ
Trong nhiều năm làm bác sĩ điều trị ung thư, tôi không có thống kê về số lượng bệnh nhân mà bác sĩ có thể nói thẳng là họ đã mắc ung thư, nhưng tỉ lệ thông thường thì một nửa số bệnh nhân có thể nhận thông báo trực tiếp. Với một nửa số bệnh nhân còn lại, chỉ nên nói rõ cho người nhà về bệnh trạng của bệnh nhân, để người nhà hỗ trợ bệnh nhân phối hợp với bác sĩ trong quá trình điều trị, còn với người bệnh phải lùi thời gian một chút để tránh sốc cho bệnh nhân. Về lý thuyết, hiệu quả điều trị không phụ thuộc việc bệnh nhân có bị sốc hay không ở thời điểm được thông báo bị ung thư, mà phụ thuộc vào thể trạng bệnh nhân. Tuy nhiên những người bệnh có tinh thần vững vàng, có thể đương đầu trong những trường hợp khó khăn sẽ có tinh thần hợp tác tốt hơn với bác sĩ trong quá trình điều trị. Việc nói cho bệnh nhân, hay lùi lại một chút để giải thích dần cho bệnh nhân tùy vào từng bác sĩ, nếu thấy bệnh nhân tinh thần không vững vàng thì tốt nhất là chưa nên nói ngay cho họ biết.
Khám, phát thuốc miễn phí cho 400 người nghèo
Phần lớn họ là người già, có hoàn cảnh khó khăn, mắc nhiều chứng bệnh nhưng chưa được chữa trị khỏi sống tại các xã của huyện Thống Nhất (Đồng Nai). 400 người dân nghèo đang sinh sống tại các xã của huyện Thống Nhất (Đồng Nai) vừa được đoàn bác sĩ hơn 20 người cùng 30 điều dưỡng Bệnh viện Tai mũi họng Sài Gòn khám bệnh, phát thuốc miễn phí vào ngày 19-4. Người dân được khám tổng quát, đo huyết áp, đo lượng đường trong máu, siêu âm, đo điện tim... “Những người nghèo được khám miễn phí, nếu phát hiện có bệnh nặng về tai, mũi, họng và họ có nhu cầu sẽ được đưa về bệnh viện tại Sài Gòn để mổ miễn phí. Mỗi ca phẫu thuật có chi phí khoảng 40 triệu đồng sẽ được bệnh viện tài trợ toàn bộ” - bác sĩ Hoàng Lương, giám đốc bệnh viện, cho biết. Ngoài ra bệnh viện cũng dành tặng 100 phần quà gồm vở và cặp học sinh cho 100 học sinh nghèo của huyện.
Ngôi sao
Bác sĩ bỏ chạy vì bố bệnh nhi nổi cáu
Đưa con bị ngã dập môi đi cấp cứu nhưng bác sĩ nói 'không sao', phụ huynh tức giận đập gãy bàn làm việc của bệnh viện. Sự việc khiến khu lọc bệnh cấp cứu Bệnh viện Nhi Đồng 1 (TP HCM) nhốn nháo. Các bác sĩ và điều dưỡng đang làm việc phải bỏ chạy. Theo ghi nhận từ công an phường 10, quận 10, sự việc xảy ra cuối tuần qua, một người đàn ông đưa con đến bệnh viện cấp cứu trong tình trạng môi bé bị dập chảy máu sau cú ngã đập mặt. Bé được các bác sĩ chuyển đến khu khám khoa Ngoại để chẩn đoán nhưng đánh giá tổn thương không nghiêm trọng nên chuyển bé trở về phòng lọc bệnh để theo dõi. Cho rằng con mình bị tổn thương nghiêm trọng nhưng không được điều trị tận tâm, phụ huynh gây gổ với nhân viên y tế. "Lời qua tiếng lại, thấy không ổn, chúng tôi gọi bảo vệ đến thì anh này đập vỡ bàn làm việc và tấn công cả bảo vệ. Sợ quá chúng tôi phải bỏ chạy", một nhân viên y tế thuật chuyện. Sự việc nghiêm trọng đã khiến đại diện bệnh viện báo công an đến can thiệp. Phụ huynh được mời về phường để làm rõ vụ việc. Các bác sĩ Bệnh viện Nhi Đồng 1 cho biết đây không phải là lần đầu tiên các bác sĩ hoảng loạn vì bị phụ huynh nổi đóa. "Chúng tôi biết cần phải làm gì tốt nhất cho bệnh nhân nhưng đôi khi người nhà vì quá nóng lòng nên nghĩ cứ nghĩ chúng tôi chưa hết lòng chữa trị", một bác sĩ nói.
Lần đầu phát hiện người nhiễm ký sinh trùng gây bệnh ngủ
Bệnh nhân là một phụ nữ 38 tuổi ở Đồng Nai và đây cũng là trường hợp đầu tiên tại Việt Nam được ghi nhận mắc bệnh vốn chỉ có ở châu Phi. Bệnh nhân đến Bệnh viện đa khoa Đồng Nai sau khi sốt kéo dài 18 ngày, nhức đầu, đau 2 khớp gối. Tại đây bệnh nhân được chẩn đoán sốt kéo dài chưa rõ nguyên nhân, theo dõi nhiễm giun chỉ và chuyển tuyến trên. Ký sinh trùng gây bệnh ngủ vốn chỉ có ở châu Phi được phát hiện trong máu nữ bệnh nhân. Tại Bệnh viện Bệnh Nhiệt Đới TP HCM, người bệnh sốt cao 39,5 độ C, kèm ớn lạnh, đau 2 khớp gối, nhức đầu, gan to, không dấu màng não. Các xét nghiệm cho thấy bệnh nhân có tổn thương gan, thận, giảm 3 dòng tế bào máu ngoại biên và có bằng chứng nhiễm trùng nặng. Phết máu ngoại biên và phết tủy xương soi đều thấy trùng roi dạng Trypanosoma. Bệnh nhân được điều trị với amphotericin B truyền tĩnh mạch. Sức khỏe người bệnh cải thiện nhanh chóng, hết sốt sau 24 giờ, chức năng các cơ quan hồi phục dần, kết quả phết máu soi âm tính sau 4 ngày điều trị. Khi ra viện tình trạng bệnh nhân hồi phục hoàn toàn và ổn định cho đến nay. Những người trong cùng gia đình không ai bị bệnh tương tự. Thông qua chương trình hợp tác với ĐH Oxford Anh quốc, mẫu bệnh phẩm của bà này đã được gởi Phòng Ký sinh trùng, Khoa Thú Y, Đại học Kasetsart, Thái Lan và kết quả sinh học phân tử xác định đây là chủng Trypanosoma evansi. Theo tiến sĩ - bác sĩ Nguyễn Văn Vĩnh Châu, Giám đốc Bệnh viện Bệnh Nhiệt đới TP HCM, Phó Trưởng bộ Môn Nhiễm ĐH Y Dược TP HCM, Trypanosoma là một loài ký sinh trùng đơn bào có tiêm mao (roi), nên được gọi là trùng roi hay tiêm mao trùng. Những loài Trypanosome khác nhau sẽ nhiễm bệnh cho các loài động vật có xương sống khác nhau, bao gồm cả động vật và con người. Đa số lây bệnh qua trung gian côn trùng đốt. "Chúng xâm nhập vào máu, rồi vào dịch não tủy, tấn công làm tổn thương hệ thần kinh, bệnh nhân bắt đầu có biểu hiện thay đổi hành vi, lú lẫn, rối loạn giấc ngủ, sau đó ngủ mê man và tử vong. Tuy nhiên cho đến hiện nay ký sinh trùng này chỉ có ở vùng nhiệt đới châu Phi, do đó, còn gọi là ký sinh trùng gây bệnh Trypanosoma châu Phi", ông Châu cho biết. Tại Việt Nam, từ hàng chục năm nay, các chuyên gia thú y ở các tỉnh phía Bắc đã ghi nhận Trypanosoma evansi gây bệnh cho trâu bò. Bệnh chủ yếu nhiễm qua đường máu do các loại ruồi muỗi hút máu từ trâu, bò bệnh rồi hút máu trâu bò khỏe và truyền bệnh cho chúng…Tiên mao trùng kí sinh trong máu hút chất dinh dưỡng và tiết ra độc tố gây sốt ở con vật. Độc tố Trypanoxin hủy hoại hồng cầu và ức chế cơ quan tạo máu, độc tố này gây viêm ruột tiêu chảy. Đây là trường hợp nhiễm Trypanosoma evansi ở người lần đầu tiên gặp tại bệnh viện Bệnh Nhiệt đới và cũng là ca đầu tiên mắc ký sinh trùng gây bệnh ngủ được ghi nhận tại Việt Nam. "Bệnh nhân của chúng tôi đáp ứng tốt trong quá trình điều trị và hiện tại vẫn được theo dõi sức khỏe định kỳ tại bệnh viện. Vì là bệnh hiếm gặp ở nước ta nên các thuốc đặc trị chưa có tại Việt Nam. Bệnh viện đã liên hệ với Văn phòng kiểm soát các bệnh do Trypanosoma của WHO tại Geneva để nhờ hỗ trợ thêm các thuốc đặc trị dự phòng trường hợp ca bệnh tái phát hoặc phát hiện thêm các ca bệnh mới", bác sĩ Châu nói.
Gia đình xã hội
Cảnh giác với các vết bầm trên da
Hemophilia là bệnh rối loạn tiểu cầu di truyền và thiếu hụt các yếu tố đông máu (còn gọi là bệnh ưa chảy máu). Bệnh nhân nếu không được điều trị đúng cách sẽ dẫn đến chảy máu kéo dài, ảnh hưởng tới tính mạng. Tuy nhiên, nếu được chẩn đoán sớm, điều trị đầy đủ thì người bệnh vẫn có thể sống như người bình thường. Hiện nước ta có khoảng 6.000 bệnh nhân Hemophilia, trong đó chỉ khoảng gần 40% bệnh nhân được chăm sóc thường xuyên. Anh Nguyễn Văn Trường (ở xóm 2, xã Xuân Tiến, huyện Xuân Trường, Nam Định) có ba người con đều bị bệnh Hemophilia. Mặc dù đã cố gắng bươn chải, làm đủ mọi việc nhưng gia đình anh vẫn không có khả năng cho các con được điều trị đầy đủ. Hơn 6 tháng nay, cháu Nguyễn Duy Đan (con trai lớn của anh), vì bị chảy máu khớp tái phát nhiều lần gây ra biến dạng khớp, không thể đi lại bình thường được. Người bố phải cõng con lớn trên lưng, tay dắt hai đứa nhỏ từ quê lên viện điều trị. Anh chị không dám nghĩ đến một ngày nào đó, hai đứa em sẽ lại bị giống như anh trai(!?). Cũng giống trường hợp anh Trường, chị Vũ Thị Lụa, quê ở Nam Định có hai con đều mắc bệnh Hemophilia là cháu Đồng Vũ Xuân Dương (8 tuổi) và cháu Đồng Hoàng Anh (4 tuổi). Chồng chị tâm thần không ổn định, cả ngày đi lang thang khắp làng không đỡ đần được vợ con. Gánh nặng gia đình chồng chất lên đôi vai của người phụ nữ nhỏ bé. Một mình là trụ cột gia đình với hai con mắc bệnh hiểm nghèo, chị Lụa chỉ có một mong ước: "Tôi mong các nhà hảo tâm giúp đỡ phần nào để gia đình đỡ khó khăn. Gia đình cố gắng chạy chữa, chỉ sợ các cháu trở thành tàn tật, sẽ khổ cả đời!”. Theo thông tin từ Viện Huyết học - Truyền máu Trung ương, bệnh ưa chảy máu nếu được chẩn đoán sớm, điều trị và bổ sung yếu tố đông máu theo định kỳ, thì ngay cả khi xảy ra chấn thương cũng không để lại hậu quả nặng nề cho người bệnh. Ở các nước tiên tiến trên thế giới và ngay cả ở nước ta, bệnh nhân Hemophilia được chăm sóc, điều trị tốt vẫn có thể có cuộc sống bình thường và còn đóng góp cho gia đình, xã hội. Bác sỹ Nguyễn Thị Mai- Trưởng khoa Hemophilia, Viện Huyết học -Truyền máu Trung ương cho biết, những người bị bệnh ưa chảy máu có thể bị xuất huyết không kiểm soát do một chấn thương dù rất nhỏ hay chảy máu vào các khớp và cơ bắp gây đau dữ dội, dẫn tới tàn tật, thậm chí có thể tử vong. Theo bác sỹ Mai, do thiếu hiểu biết nên hầu hết người bệnh được phát hiện muộn gây khó khăn cho việc điều trị. Vì vậy, khi thấy xuất hiện các dấu hiệu như bầm tím, chảy máu khó cầm, ngay cả đối với những chấn thương nhỏ thì mọi người cần đi khám tại cơ sở y tế để được chẩn đoán bệnh sớm. Các triệu chứng dễ nhận thấy của bệnh như: Xuất hiện vết bầm tím sâu trên da; Cảm giác đau, khớp sưng do chảy máu nội bộ, có máu lẫn trong nước tiểu hoặc phân; Chảy máu kéo dài từ vết thương sau phẫu thuật hoặc nhổ răng; Chảy máu cam không rõ nguyên nhân… Các chuyên gia khuyến cáo, máu khó đông là bệnh rối loạn chảy máu do thiếu yếu tố cần thiết để làm đông máu. Gene sản xuất yếu tố đông máu chỉ nằm trên nhiễm sắc thể giới tính X, có tính di truyền. Nam giới (có bộ nhiễm sắc thể XY), khi nhận X bệnh từ mẹ thì chắc chắn sẽ biểu hiện bệnh. Còn nữ giới (bộ nhiễm sắc thể XX), chỉ biểu hiện thành bệnh khi cả hai nhiễm sắc thể này đều trục trặc, nghĩa là cả bố và mẹ cùng mang gene bệnh. Nếu bé gái đó chỉ chứa một nhiễm sắc thể X bệnh thì sẽ không biểu hiện ra ngoài tuy vẫn có thể truyền cho con. Vì thế, bệnh máu khó đông hầu như chỉ thấy ở nam giới, còn nữ giới rất ít bị vì xác suất cả bố và mẹ cùng mang gene bệnh là rất thấp. Chỉ cần làm xét nghiệm, chẩn đoán gene bệnh là có thể lựa chọn để thế hệ sau sinh ra khỏe mạnh. Tuy nhiên, không phải người bệnh nào cũng ý thức được điều này! GS.TS Nguyễn Anh Trí – Viện trưởng Viện Huyết học - Truyền máu Trung ương, Chủ tịch Hội Rối loạn đông máu Việt Nam cho biết, hiện Trung tâm Hemophilia của Viện Huyết học-Truyền máu Trung ương đã áp dụng các biện pháp chuyên môn sâu nhằm nâng cao chất lượng chẩn đoán, điều trị; phát hiện sớm, phát hiện mới bệnh nhân Hemophilia tại cộng đồng. Nếu được chẩn đoán sớm và được cộng đồng dành sự quan tâm thì người có Hemophilia hoàn toàn có thể tự lập, tạo được cuộc sống ổn định và đóng góp cho xã hội. Điều quan trọng là mỗi chúng ta cần chung tay hỗ trợ và sẵn sàng giúp đỡ họ như những người thân trong gia đình.
Kinh tế đô thị
Việt Nam sẽ sản xuất được vaccine “6 trong 1”
Theo thông tin từ Bộ Y tế, đoàn công tác của Tổ chức Y tế thế giới (WHO) đã đến Việt Nam để đánh giá về hệ thống quản lý quốc gia về vaccine. Các chuyên gia của WHO đánh giá, Việt Nam đạt tất cả yêu cầu về hệ thống quản lý quốc gia về vaccine, các chỉ số đều đạt trên 90%, nhiều chỉ số đạt 98 - 100%. Với kết quả này, ngành y tế Việt Nam có thể tự tin các tiêu chuẩn quản lý vaccine của Việt Nam đã được nâng lên đạt tiêu chuẩn quốc tế, vaccine sản xuất tại Việt Nam không chỉ được sử dụng tại Việt Nam mà có thể xuất khẩu sang các nước khác trên thế giới. Để đạt được kết quả này là nỗ lực trong gần hai năm qua của ngành y tế cùng sự giúp đỡ nhiệt tình của WHO khu vực Tây Thái Bình Dương (WPRO), Văn phòng WHO tại Việt Nam và các tổ chức khác như JICA, PATH, Liên minh toàn cầu về vaccine và tiêm chủng (GAVI)… Dự kiến, ngày 21/6 tới, WHO sẽ trao chứng nhận này cho Việt Nam và khi đó, Việt Nam có thể đăng ký sản phẩm vaccine để WHO đánh giá. Cũng theo các chuyên gia của WHO, số nước sản xuất vaccine đã giảm từ 63 quốc gia (năm 1990) xuống còn 44 quốc gia, nên trong 20 - 30 năm tới, Việt Nam có thể là nước sản xuất vaccine nhiều nhất trên thế giới; cơ quan quản lý của Việt Nam có đủ năng lực giám sát chất lượng vaccine đưa ra thị trường và xuất khẩu. Hiện tại, theo Thứ trưởng Bộ Y tế Nguyễn Thanh Long, Việt Nam hy vọng sẽ sản xuất được vaccine "6 trong 1" vào năm 2018, dự kiến loại có thể được xuất khẩu sớm nhất là vaccine sởi.
Công an
Người lớn sốt xuất huyết dễ tử vong hơn trẻ em
Theo Cục Y tế dự phòng (Bộ Y tế), tình hình bệnh sốt xuất huyết ở người lớn đang có xu hướng gia tăng, đặc biệt ở những tỉnh thành trọng điểm như Lâm Đồng, TP.HCM, Bình Dương, Bình Phước, Đồng Nai…Theo Viện Pasteur TP.HCM, số mắc và tử vong vì sốt xuất huyết ở khu vực phía Nam trong ba tháng đầu năm 2015 tăng mạnh so với năm 2014. Trong ba tháng đầu năm 2015, cả nước ghi nhận 8.320 ca mắc; riêng miền Nam số ca mắc tăng hơn 35% so với cùng kỳ năm ngoái. Ngành y tế cũng ghi nhận có 6 trường hợp tử vong, trong đó TP.HCM có 2 ca. Trước đây sốt xuất huyết được ghi nhận ở trẻ em nhiều hơn người lớn nhưng gần đây sốt xuất huyết ở người lớn gia tăng. Đây là điều rất đáng lo ngại vì người lớn bị sốt xuất huyết dễ tử vong hơn trẻ em. Nhiều người lớn mắc sốt xuất huyết mà cứ nghĩ là cảm cúm, sốt thông thường nên tự uống thuốc, dễ dẫn đến hậu quả đáng tiếc. Mùa mưa sắp tới, nếu không triển khai tốt các biện pháp phòng, chống thì dịch sẽ bùng phát tại những điểm có nguy cơ cao. Bệnh sốt xuất huyết hiện nay vẫn chưa có vắc xin phòng ngừa và thuốc điều trị đặc hiệu. Cộng đồng cần phải chung tay phòng, chống dịch bệnh bằng những biện pháp đơn giản nhưng hiệu quả là vệ sinh môi trường, diệt lăng quăng và ngủ trong mùng.
Petrotimes
Y tế tư nhân khổ vì “phân biệt đối xử”
Mặc dù được coi là lực lượng góp phần giảm tải đóng góp không nhỏ vào hoạt động chữa trị, chăm sóc sức khỏe nhân dân, thế nhưng y tế tư nhân vẫn bị phân biệt đối xử bất công khi chịu nhiều bó buộc trên bước đường phát triển. Theo bác sĩ Phạm Thành Vận, Chủ tịch Hội Ngành nghề y tư nhân Việt Nam, y tế tư nhân đang phải chịu khó khăn, bó buộc từ thủ tục hành chính trong xin phép thành lập bệnh viện cho đến hỗ trợ chuyên môn, chuyển giao công nghệ của y tế công rồi cả Luật Bảo hiểm y tế hạn chế sự phát triển của hệ thống y tế này… Cụ thể như ông Vũ Thế Hùng, Tổng giám đốc Bệnh viện Đa khoa Tràng An, Hà Nội phản ánh: “Năm 2009, chúng tôi xin nâng cấp từ phòng khám lên bệnh viện, riêng khâu hồ sơ đã làm hết 2 năm nhưng một vị cán bộ của bộ phận chức năng ở Bộ Y tế đã không phê duyệt. Mỗi lần đến trình hồ sơ lên vị này đều bảo chờ mà không có bất cứ lý do gì. Phải đến khi Trưởng phòng Quản lý y tế tư nhân, Sở Y tế Hà Nội phải đi cùng chúng tôi lên “khóc lóc” mới giải quyết được. Tương tự, bác sĩ Phạm Thành Vận chia sẻ: “Các bệnh viện phòng khám tư nhân phải đối mặt với những khó dễ, rườm rà về mặt giấy tờ hành chính, tốn thời gian chờ đợi khá nhiều để giải quyết các vấn đề cần thiết. Chưa kể đến có tuần bệnh viện chúng tôi phải tiếp đến 7 đoàn thanh tra. Nhưng điều đáng nói là có những thanh tra không có chuyên môn, mặc dù là bác sĩ song cứ bắt chúng tôi phải trình an toàn bức xạ trong khi cộng hưởng từ chẩn đoán là nam châm vĩnh cửu và radio. Hay có ngày chúng tôi phải nhận đến 20 công văn với nhiều nội dung khác nhau. Chỉ ngồi đọc và hiểu số công văn đó thôi cũng đã đủ khiến người hành nghề tư nhân khốn đốn và còn thời gian đâu chữa trị cho bệnh nhân…”. Trước vấn đề này, ngay ông Nguyễn Văn Tiên, Phó chủ tịch Ủy ban các vấn đề xã hội của Quốc hội cũng thẳng thắn nhìn nhận: “Trên thực tế, rất nhiều bệnh viện công đang nợ giấy phép nhưng vẫn được hoạt động, cụ thể như nhiều bệnh viện công chưa hoàn thiện hệ thống xử lý nước thải. Nhưng với bệnh viện tư phải có đủ các giấy phép theo quy định mới được hoạt động”. Tại buổi làm việc giữa Ủy ban các vấn đề xã hội của Quốc hội và Hội Hành nghề y tế tư nhân Việt Nam mới đây, hầu hết lãnh đạo các bệnh viện y tế tư nhân đều cho rằng xã hội hóa y tế là một trong những chủ trương được Nhà nước ưu tiên. Tuy nhiên, thông qua những phiền phức trên đây cùng với nhiều nhiêu khê khác mà y tế tư nhân đang phải chịu cho thấy thực tế việc xã hội hóa này chỉ là hình thức. Bác sĩ Nguyễn Đăng Quảng, phòng khám Lê Hữu Trác, Hà Nội dẫn chứng: “Y tế tư nhân có truyền thống từ xa xưa. Tại các quốc gia khác, lĩnh vực y tế tư nhận được ưu tiên phát triển và chiếm đại đa số các cơ sở khám chữa bệnh. Tuy nhiên, Việt Nam đang tập trung phát triển y tế công, việc đầu tư vừa tốn kém về ngân sách, công sức, trí tuệ nhưng thực tế rất đáng buồn. Chủ trương xã hội hóa y tế đã có nhiều năm nay song muốn xã hội hóa để cống hiến sức mình cho đất nước cũng không được”. Đồng quan điểm, bác sĩ Vũ Thế Hùng, Phó chủ tịch Hội Ngành nghề y tư nhân Việt Nam nêu vấn đề, trong khi y tế tư nhân đang phải tự thân vận động về nguồn vốn, tự mua đất hoặc thuê đất xây dựng, dốc hết tài sản ra để đầu tư phòng khám, bệnh viện, trong khi bệnh viện Nhà nước được cấp đất, ở vị trí đắc địa vậy mà vẫn “bị hành”. Vậy “Chủ trương xã hội hóa là như thế nào, thực tế đã triển khai ra sao? Đây là vấn đề cần làm rõ, không thể đánh đồng khái niệm để lấy thành tích, nỗ lực của cá nhân hay tập thể đạt được làm thành tựu của xã hội hóa lĩnh vực y tế”, ông Hùng khẳng khái. Không chỉ trong khâu thủ tục hành chính, đầu tư cơ sở hạ tầng theo hình thức xã hội hóa mà ngay cả Luật Khám chữa bệnh, Luật Bảo hiểm y tế mới đây cũng được nhận định đang gây khó dễ cho y tế tư nhân, đặc biệt là trong việc thu hút bệnh nhân đến khám, chữa trị. Điển hình như luật quy định bắt buộc phải có lý lịch tư pháp khi yêu cầu cấp chứng chỉ hành nghề, trong khi bác sĩ đã có đầy đủ văn bằng, lý lịch cá nhân thì yêu cầu này theo các bác sĩ đang hành nghề tại cơ sở y tế tư nhân hiện nay là không cần thiết. Chưa kể đến thời gian làm lý lịch tư pháp phải mất vài tháng đến cả năm mới xong cho nên khoảng thời gian đó coi như là thời gian “chết” của các bác sĩ. Bác sĩ Phạm Thành Vận kiến nghị: “Đề nghị bỏ lý lịch tư pháp vì chúng tôi không phải tội phạm, chưa quốc gia nào trên thế giới có điều luật lạ lùng như thế này”. Cũng liên quan đến Luật Khám chữa bệnh, bác sĩ Vận cho rằng phải có quy định bổ sung về việc cấp chứng chỉ cho bác sĩ đã qua 18 tháng thực tập và đã học chuyên khoa 1 năm thuộc các chuyên khoa hiếm như: chẩn đoán hình ảnh, sinh hóa, xét nghiệm, sinh học phân tử… để tạo điều kiện thuận lợi cho các bác sĩ làm việc. Chứ hiện nay quy định này đang bó buộc các bác sĩ chuyên khoa nói trên trong việc hành nghề. Còn Luật Bảo hiểm y tế quy định, người có thẻ bảo hiểm y tế khi khám bệnh trái tuyến tại các trạm y tế xã, phường và tại các cơ sở khám chữa bệnh tuyến huyện khác, trong đó có phòng khám đa khoa tư nhân, phòng khám đa khoa khu vực sẽ không được thanh toán bảo hiểm y tế. Điều đó có nghĩa là khi bệnh nhân bảo hiểm y tế đi khám, chữa bệnh trái tuyến ở phòng khám tư nhân phải chi trả 100% chi phí. Như vậy, theo các bác sĩ thuộc hệ thống y tế ngoài công lập đây chính là nguyên nhân làm cho các phòng khám tư không thể thu hút bệnh nhân, dù họ muốn lựa chọn nơi đây vì dịch vụ tốt, chất lượng khám chữa bệnh cao. Mặt khác, luật này còn quy định việc chi trả bảo hiểm y tế phải phân theo xếp hạng bệnh viện chứ không dựa theo chất lượng dịch vụ đã làm cho y tế tư nhân không thiết tha đầu tư chất lượng dịch vụ, kỹ thuật cao vì thu sẽ không đủ bù chi trong trường hợp đầu tư như vậy. Mà nếu vậy thì rõ ràng xã hội hóa y tế theo chủ trương của Nhà nước không đạt hiệu quả cao. Một bác sĩ đã đề xuất: “Phải tạo công bằng giữa khối y tế tư nhân và y tế công lập trong việc cùng tham gia khám chữa bệnh bằng bảo hiểm y tế bằng cách bỏ quyền được phân thẻ bảo hiểm y tế hằng năm và để nhân dân tự chọn nơi khám chữa bệnh ban đầu theo đúng Luật Bảo hiểm y tế…”.Trước các vấn đề trên, Bộ trưởng Bộ Y tế Nguyễn Thị Kim Tiến cũng phải thừa nhận: “Có cái gì đó chưa thực sự công bằng giữa y tế tư nhân và Nhà nước. Chúng tôi sẽ xem xét và điều chỉnh”. Tuy nhiên, trước mắt theo Bộ trưởng, các giải pháp đưa ra tháo gỡ khó khăn cho khối y tế tư nhân sẽ là đề nghị các Sở Y tế đơn giản hóa thủ tục cấp chứng chỉ hành nghề, đồng thời ban hành chính sách để bệnh viện tư nhân tham gia vào hệ thống bệnh viện vệ tinh, phòng khám vệ tinh và tham gia vào đề án chuyển giao chuyên môn kỹ thuật (Đề án 1816). Bên cạnh đó, Bộ Y tế cũng sẽ nghiên cứu để có thông tư hướng dẫn cho cả y tế Nhà nước và y tế tư nhân trong việc giải quyết các trường hợp tai biến y khoa nhằm bảo vệ quyền lợi của người bệnh và bảo vệ y, bác sĩ trong quá trình hành nghề. Bộ cũng đã yêu cầu các sở y tế và cấp thẩm quyền liên quan hoàn tất việc cấp chứng chỉ hành nghề cho người đủ điều kiện từ nay đến hết ngày 31-12-2015.
Vietstock
Bốn đề xuất mới trong Dự thảo Luật Dược (sửa đổi)
Bộ Y tế vừa công bố Dự thảo Luật Dược (sửa đổi). Trong đó, vấn đề về việc đảm bảo cung ứng đủ thuốc chất lượng đã được nhấn mạnh trong Dự thảo. Đây là một trong những điểm mới trong Dự thảo Luật lần này so với Luật Dược năm 2005. Cụ thể, Dự thảo nêu rõ 4 đề xuất chính sách của Nhà nước về lĩnh vực dược đó là: (i) Bảo đảm cung ứng đủ thuốc có chất lượng, giá hợp lý cho nhu cầu phòng bệnh, chữa bệnh của nhân dân; phù hợp với cơ cấu bệnh tật, đáp ứng kịp thời yêu cầu an ninh, quốc phòng, thiên tai, dịch bệnh và các nhu cầu khẩn cấp khác. (ii) Kết hợp đầu tư ngân sách với huy động các nguồn lực khác cho phát triển công nghiệp sản xuất thuốc generic, vắc xin, thuốc dược liệu và hóa dược. (iii) Ưu tiên sử dụng thuốc sản xuất trong nước đáp ứng yêu cầu điều trị, giá thuốc và khả năng cung cấp tại các cơ sở y tế nhà nước, các chương trình y tế quốc gia và trong đấu thầu mua thuốc từ nguồn ngân sách nhà nước, nguồn kinh phí bảo hiểm y tế. (iv) Sử dụng thuốc hợp lý, an toàn, hiệu quả; đẩy mạnh hoạt động dược lâm sàng và cảnh giác dược, trong đó ưu tiên đào tạo, đào tạo lại nguồn nhân lực cho hoạt động dược lâm sàng. Đó chính là một trong những yếu tố để nâng cao chất lượng khám, chữa bệnh, chăm sóc sức khỏe toàn dân trong thời gian tới của ngành y tế. Nhất là trong bối cảnh thời gian qua ở trong nước và quốc tế xuất hiện nhiều loại dịch bệnh diễn biến phức tạp, cũng như vấn đề thuốc, vacxin kém chất lượng đang thực sự gây “hoang mang” đối với người dân.Bên cạnh đó, vấn đề phát triển công nghiệp dược cũng được Bộ Y tế nhấn mạnh trong một chương riêng (Chương II). Theo đó, phát triển công nghiệp dược bao gồm phát triển công nghiệp hóa dược, công nghiệp bào chế thuốc, dược liệu. Trong đó, Dự thảo nêu rõ ưu tiên nghiên cứu sản xuất các loại dược chất, tá dược từ nguồn nguyên liệu sẵn có tại Việt Nam để phục vụ công nghiệp bào chế; sản xuất thuốc generic, vắc xin, sinh phẩm điều trị, dự phòng và thuốc dược liệu; nuôi trồng dược liệu; bảo tồn nguồn gen và những loài dược liệu quý, hiếm. Quy hoạch phát triển công nghiệp dược phải phù hợp với chiến lược phát triển kinh tế - xã hội của cả nước trong từng giai đoạn; bảo vệ môi trường và phát triển bên vững. Đồng thời, vừa phải đáp ứng được yêu cầu dự báo khoa học, vừa đáp ứng được yêu cầu thực tế và phù hợp với xu thế phát triển, hội nhập quốc tế. Ngoài ra, còn phải bảo đảm khai thác và sử dụng hợp lý tài nguyên thiên nhiên; phù hợp với điều kiện thổ nhưỡng, khí hậu, sinh thái và điều kiện tự nhiên, xã hội của từng địa phương. Sẽ ưu đãi về thuế, sử dụng đất và tín dụng theo quy định của pháp luật về đầu tư đối với các lĩnh vực ưu tiên trong phát triển công nghiệp dược. UBND các tỉnh, thành phố có trách nhiệm ưu tiên về quỹ đất sạch cho xây dựng các nhà máy, khu công nghiệp dược; ưu tiên bố trí giao đất cho các dự án phát triển dược liệu./.
Hà Nội mới
Hà Nội có thêm đợt tiêm vét vắc xin miễn phí hằng tháng
Tối 19-4, trao đổi với phóng viên Báo Hànộimới, Giám đốc Trung tâm Y tế dự phòng Hà Nội Nguyễn Nhật Cảm cho biết, ngay trong tháng 4, tất cả các điểm tiêm chủng thường xuyên tại 584 trạm y tế xã, phường trên địa bàn Hà Nội sẽ tổ chức thêm đợt tiêm vét vắc xin miễn phí hằng tháng trong khuôn khổ Chương trình tiêm chủng mở. Cụ thể, ngoài lịch tiêm chủng thường xuyên được thực hiện trong 10 ngày đầu tháng, sẽ có thêm đợt tiêm vét kế tiếp ngay trong tháng để giúp các bậc phụ huynh có thể cho con đi tiêm bù sớm, đúng lịch, tránh nguy cơ bị mắc bệnh nguy hiểm do trì hoãn tiêm. Do đó, phụ huynh cần nắm rõ lịch tiêm chủng chính thức trong những ngày đầu của tháng. Với những trường hợp phải hoãn tiêm do ốm, sốt sẽ được tiêm vét ngay khi đợt tiêm chính thức kết thúc. Cũng theo Trung tâm Y tế dự phòng Hà Nội, từ tháng 4 này, vắc xin viêm não Nhật Bản sẽ chính thức được đưa vào chương trình TCMR tổ chức hằng tháng tại các điểm tiêm chủng miễn phí thay vì chỉ tổ chức tiêm 2 lần/năm như trước đây.
Đổi mới phong cách, thái độ phục vụ của cán bộ y tế
Đây là chủ đề hội nghị trực tuyến do Bộ Y tế tổ chức sáng 22/4 tại hơn 700 điểm cầu trên cả nước. Hội nghị nhằm mục tiêu tạo ra đột phá về phong cách, thái độ phục vụ người bệnh của cán bộ y tế, góp phần đổi mới toàn diện công tác y tế, cung cấp dịch vụ chăm sóc sức khỏe cho người dân.Đây là lần đầu tiên hội nghị trực tuyến với hơn 700 điểm cầu trên cả nước của ngành y được tổ chức. Tham dự hội nghị có sự tham dự của tất cả các bệnh viện công lập và tư nhân từ trung ương đến địa phương.Hội nghị tập trung vào các nội dung: Quy định trang phục của cán bộ y tế; thành lập các đơn vị chăm sóc khách hàng thuộc Phòng Công tác xã hội đặt tại Khoa Khám bệnh; quy định về hộp thư góp ý; Nâng cao kỹ năng giao tiếp cho cán bộ y tế; triển khai phong trào “áo xanh tình nguyện trong bệnh viện”; tiếp tục thực hiện đường dây nóng…Phát biểu khai mạc, Bộ trưởng Bộ Y tế cho rằng, nghề y là nghề cung cấp dịch vụ khám chữa bệnh, mang đậm nét văn hóa và giao tiếp nghề nghiệp. Người bệnh đến khám, chữa bệnh cần được quan tâm, chia sẻ, chăm sóc và nâng đỡ. Người đứng đầu ngành y tế cũng thừa nhận, hiện còn một bộ phận cán bộ y tế có thái độ không đúng đắn với bệnh nhân, thiếu đạo đức nghề y, làm ảnh hưởng đến hình ảnh chung của nghề y, tác động xấu đến hình ảnh đa số cán bộ y tế chân chính.Vì vậy, “ngành kiên quyết đưa ra khỏi ngành những “con sâu làm rầu nồi canh” này, và hội nghị trực tuyến hôm nay là để hướng đến điều đó, đặc biệt khi mà tiến trình giá dịch vụ y tế sẽ được tính đúng tính đủ" - Bộ trưởng Bộ Y tế nhấn mạnh.Ngành y tế sẽ lấy người bệnh làm trung tâm, tức khi bệnh nhân đến khám thì được đón tiếp niềm nở, điều trị được chăm sóc tận tình, khi ra viện được dặn dò kỹ càng, chu đáo, cẩn thận.Bà cũng nhấn mạnh, các nội dung tại hội nghị sẽ được ban hành bằng thông tư. Vi vậy, đây không phải là thi đua mà là thực hiện quy định, chính sách, có giám sát thực hiện của đơn vị chức năng.Có thể nói, việc đổi mới phong cách, thái độ phục vụ của cán bộ y tế hướng tới sự hài lòng của người bệnh là bước đột phá mới của ngành y tế sau một loạt những giải pháp quyết liệt nâng cao chất lượng khám chữa bệnh, giảm tải bệnh viện.Bộ Y tế hy vọng với việc thực hiện đổi mới từ trang phục nhân viên y tế, thái độ giao tiếp đến việc hướng dẫn, tiếp đón người bệnh; tôn trọng, lắng nghe người bệnh, nâng cao chất lượng chăm sóc và điều trị…, ngành y tế mong muốn người bệnh sẽ là “khách hàng” đúng nghĩa khi đến các cơ sở khám, chữa bệnh.
Tin tức
Phẫu thuật sọ não cứu sống bệnh nhi 4 tuổi
Sau khi được các bác sĩ của Bệnh viện Nhi Đồng Nai tiến hành phẫu thuật sọ não (cắt lọc vết thương, lấy mảnh xương sọ bị vỡ lún, cầm máu ở xoang tĩnh mạch ngang), chiều 20/4, bệnh nhi Nguyễn Thị T. T. (4 tuổi, quê thành phố Mỹ Tho, tỉnh Tiền Giang) đã hoàn toàn hồi tỉnh, vận động được tay chân. Bé còn có thể tự uống sữa và gọi được tên người thân. Theo bác sĩ Vũ Đông Đoài, Trưởng khoa Chấn thương chỉnh hình – Bỏng (Bệnh viện Nhi Đồng Nai), ngày 13/4, bé T. được đưa đến viện trong tình trạng bất tỉnh, phần đầu bé bị chấn thương nhiều chỗ (do bé ngã từ trên cao xuống đất). Đặc biệt bé bị một vết thương nghiêm trọng làm lõm sọ vùng bên phải, rối loạn huyết động. Kết quả chụp hình ảnh cho thấy, bệnh nhi bị tổn thương tụ khí nội sọ, dập não, mảnh xương gãy lún vào nhu mô não và xoang tĩnh mạch, nguy cơ tử vong rất cao. Sau hội chẩn, các bác sĩ đã quyết định phẫu thuật khẩn cấp cứu bé T. Ca mổ kéo dài gần 2 giờ đồng hồ, sau phẫu thuật, bé T. tiếp tục được hồi sức tích cực trong 7 ngày. Cũng theo bác sĩ Vũ Đông Đoài, thực hiện đề án “Bệnh viện vệ tinh”, gần 1 năm qua, Bệnh viện Nhi Đồng Nai dưới sự hỗ trợ của Bệnh viện Nhi đồng 2 (Thành phố Hồ Chí Minh) đã thực hiện thành công 9 ca phẫu thuật sọ não bằng kỹ thuật mổ vi phẫu. Nhưng đây là ca đầu tiên bệnh viện phẫu thuật thành công mà không có sự hỗ trợ, hướng dẫn của bác sĩ Bệnh viện Nhi đồng 2.
Người lao dộng
“Thần y” diễn trò ở khu công nghiệp
Thời gian gần đây, tại các KCN ở TP HCM xuất hiện nhiều nhóm diễn trò ảo thuật, sau đó lừa bán thuốc đông y không rõ nguồn gốc Những ngày này, bãi đất trống ngay Quốc lộ 1, cạnh KCN Pou Yuen (quận Bình Tân, TP HCM), xuất hiện nhóm “thần y” gồm 5 người. Qua điều tra, chúng tôi nhận thấy nhóm này do ông Thanh (45 tuổi) cầm đầu, có hộ khẩu thường trú tại tỉnh Trà Vinh. Mỗi chiều, lúc công nhân tan ca, nhóm này thường tổ chức biểu diễn ảo thuật để thu hút mọi người đến xem, khi thấy lượng người tụ tập đông thì giở trò lừa đảo. Chiều 19-4, ông Thanh yêu cầu 2 người trong nhóm ra trước cổng KCN dụ dỗ công nhân đến xem ảo thuật miễn phí. Trong khi đó, tại bãi đất trống, ông ta mở nhạc ầm ĩ để thu hút người đi đường. Khi thấy có khoảng 30 người dựng xe chờ đợi, ông Thanh bắt đầu biểu diễn ảo thuật với những trò hô biến giấy thành tiền, biến mất đồng xu... Trong lúc biểu diễn, ông Thanh luôn miệng hô hào ảo thuật miễn phí, góp vui cho bà con là chính. Một lúc sau, ông ta lôi từ hộp gỗ ra một con trăn để trổ tài. Lúc này, bản chất bán thuốc để trục lợi bắt đầu lộ diện. Người đàn ông này tự xưng mình là thầy thuốc, có khả năng thu phục được nhiều mãng xà, trăn thần để lấy cao, xương trị bách bệnh. “Có duyên tôi mới gặp được quý bà con tại đây. Hôm nay, tôi xin phép tặng 10 người miếng cao nưa để làm quen” - ông ta nói. Khi thấy có nhiều người muốn lấy thuốc, ông Thanh bắt đầu tung chiêu: “Tôi xin nói thật, quý bà con nào có bệnh thì mới mua. Tuy nhiên, ở đây quá nhiều người nên tôi sẽ bán giá rẻ để làm tin. Nếu hết bệnh, xin quay lại để tôi tặng thêm vài miếng”. Giá miếng cao mà ông Thanh đưa ra là 100.000 đồng/100 g. Theo ông ta, loại cao này được bào chế rất công phu, có khả năng trị bách bệnh, pha với rượu uống hoặc xé nhỏ ra ăn với bữa cơm sẽ có tác dụng ngay trong vòng nửa tháng. Để tạo lòng tin, ông ta quả quyết: “Nếu nói xạo, xin quý bà con mỗi người hãy tát một chiếc dép vào miệng tôi”. Trong lúc “thần y” đang diễn trò thì một số người đi chung nhóm lôi kéo từng công nhân vào một góc riêng để tư vấn sức khỏe. Chúng tôi được bà Kiều (46 tuổi) dẫn vào phía sau bãi đất trống và kéo tay áo lên bắt mạch. Sau 3 giây khám bệnh, bà ta quả quyết: “Với mạch chạy đứt quãng thế này thì cậu đã có bệnh. Tôi hỏi, cậu phải trả lời thật. Buổi tối ngủ thường xuyên đi tiểu nhiều lần đúng không? Hay có biểu hiện đau xương sống, khi ngồi xuống cảm thấy tức lưng?”. Chúng tôi chưa kịp trả lời thì bà Kiều vội lôi trong túi xách ra một chai nước màu vàng óng, nói: “Đây là rượu được ngâm với nhân sâm, thảo mộc quý trị bệnh yếu sinh lý, mộng tinh, liệt dương và bổ thận. Hôm nay có duyên gặp nhau, tôi lấy giá 1 triệu đồng/chai”. Trong lúc chúng tôi săm soi chai rượu, bà Kiều tiếp tục lôi ra nhiều sản phẩm khác để tiếp thị, như: kem bôi trị mụn, thuốc nghệ trị bao tử…, mỗi món giá 200.000 đồng. “Nếu cậu mua tất cả thì tôi sẽ giảm giá hết cỡ” - bà Kiều nói giọng nhân nghĩa. Theo quan sát, chỉ trong buổi chiều đã có gần 30 công nhân nghe lời “mật ngọt” của nhóm “thần y” mua những miếng cao, lọ thuốc không rõ nguồn gốc. Ước tính, số tiền nhóm này thu về trên 2,5 triệu đồng. Ông Thanh đang dùng chiêu diễn ảo thuật để bán thuốc dỏm (ảnh trên) và gói bột không rõ nguồn gốc được cho là thần dược Tại bãi đất gần KCN Vĩnh Lộc (huyện Bình Chánh, TP HCM) cũng xuất hiện một nhóm 10 người, do Tâm “béo” cầm đầu. Nhóm này thuê trọ ở cuối đường Lê Trọng Tấn, quận Bình Tân. Gần nửa tháng nay, buổi sáng nhóm di chuyển xuống KCN Nhơn Trạch (Đồng Nai), trưa về xã Tam Phước (TP Biên Hòa), chiều lại tung hoành ở KCN Vĩnh Lộc để diễn xiếc, bán thuốc không rõ nguồn gốc. Sản phẩm mà nhóm của Tâm “béo” bán là loại thuốc viên, trên hộp ghi: “Trật đà tê thất hoàn”, được chào giá 50.000 đồng/hộp, nếu ai mua 2 hộp sẽ tặng thêm 1 hộp. Qua tìm hiểu, chúng tôi còn phát hiện một nhóm khác gồm 7 người cư ngụ trên đường Hậu Giang (quận 6, TP HCM), chuyên bán thuốc dỏm, gồm: Lan, Thúy, Kiều, Trung, Liên, Ánh, Hải. Chiêu trò của nhóm này là trà trộn vào các khu chợ tự phát ở TânTạo (quận Bình Tân), KCN Sóng Thần (Bình Dương)... để bán thảo dược trị nám, mụn, điều kinh, tăng cường sinh lý với giá 10.000 đồng/gói. Chúng tôi chủ động liên hệ “thần y” Thanh với nhã ý muốn đi theo để “học đạo” thì được ông ta hẹn ở một quán nước ven Tỉnh lộ 10B (quận Bình Tân). Tại đây, “thần y” tuyên bố không nhận đệ tử nhưng sẽ truyền nghề để mở nhóm hoạt động riêng và mỗi tháng đóng “hụi” 2 triệu đồng. “Chỉ cần bỏ 1 ngày, tôi sẽ chỉ cậu các món nghề để làm thần y, giá hữu nghị 5 triệu đồng” - ông Thanh nói. “Thế mấy miếng cao mà ông bán cho khách có nguồn gốc từ đâu?” - chúng tôi hỏi. Ông Thanh thành thật: “Thứ này chỉ là cao bào chế từ thảo mộc, tôi mua lại ở mấy hiệu thuốc, sau đó mang đi rang với ít dầu mỡ là xong”. Nói đoạn, ông Thanh cho biết nếu muốn người dân tin mình là thần y thì phải mua một con trăn nặng ít nhất 5 kg, giá tầm 4 triệu đồng, sau đó lựa khu nào nhiều dân lao động mà hành nghề. Quan sát ở trước nhà trọ của Tâm “béo”, chúng tôi nhận thấy ngổn ngang cành cây, nhánh cỏ. Bà H., một hộ dân sống gần đó, cho biết nhóm này ban ngày kéo nhau đi làm, tối về nhậu nhẹt bí tỉ, văng tục chửi thề đủ kiểu. “Trước kia, có 2 người trong nhóm từng làm thuê ở xưởng cơ khí trên đường Tân Kỳ - Tân Quý, quận Tân Phú. Sau đó, do làm biếng nên bị đuổi và kéo thêm một số người cùng quê lên làm thầy thuốc, bán khắp Sài Gòn” - bà H. kể.
Địa chỉ “ma”
Theo tìm hiểu của chúng tôi, hầu hết địa chỉ được in trên các hộp thuốc đều không tồn tại. Hộp thuốc của nhóm ông Thanh ghi rõ: “Thuốc gia truyền Nhân Hòa; địa chỉ 3A Lê Hồng Phong, phường 1, quận 10, TP HCM”. Tuy nhiên, khi chúng tôi tới địa chỉ nói trên thì đây là một khách sạn hoạt động đã hơn 10 năm. Chủ khách sạn tỏ vẻ mệt mỏi: “Mỗi ngày, gần 10 người tìm đến đây hỏi phải chỗ bán thuốc không. Tôi chưa hề kinh doanh thứ này và cũng chẳng biết người nào tên Thanh”. Còn nhóm của Tâm “béo”, các nhãn thuốc đều ghi nguồn gốc từ nhà thuốc đông y Thiện Chí; địa chỉ 44 Minh Phụng, phường 5, quận 6, TP HCM. Khi chúng tôi đến gặp, chị Hoa (chủ nhà) ngao ngán: “Năm 2000, ba tôi (lương y Nguyễn Son) mất và không ai còn bào chế loại thuốc nói trên. Không ít người sau khi uống thuốc đã đến đây đòi tiền”. Gói thuốc 10.000 đồng, trị nhiều bệnh do nhóm của bà Lan bán thực chất là tự bào chế, sau đó in nhãn với địa chỉ 125 Hải Thượng Lãn Ông (quận 5, TP HCM). Tuy nhiên, địa chỉ này là dãy chung cư có trên 20 cửa hàng bán sỉ thuốc đông y. Lương y Trần Đình Phúc, chủ hiệu thuốc đông dược Minh Long, cho biết: “Hôm trước cũng có người đến đây hỏi thăm, họ bảo bỏ gần 400.000 đồng để mua thuốc về uống nhưng bệnh không hết mà lại bị tiêu chảy, da thì sưng tấy vì dị ứng”.
Nhân dân
Tháo gỡ vướng mắc trong thực hiện Luật Bảo hiểm y tế sửa đổi
Luật Bảo hiểm y tế (BHYT) sửa đổi có hiệu lực được hơn ba tháng. Mặc dù luật mới có nhiều ưu điểm, nhưng cũng gây không ít khó khăn cho người bệnh và cả những người làm công tác BHYT. Vấn đề này cần sớm được tháo gỡ để tạo thuận lợi cho người dân trong việc khám, chữa bệnh. Trước đây, do tình trạng quá tải, Bệnh viện Ung bướu TP Hồ Chí Minh đã thỏa thuận chuyển hơn 400 bệnh nhân từ nội trú sang ngoại trú để dành giường điều trị cho những bệnh nhân nặng hơn. Khi Luật BHYT sửa đổi có hiệu lực, những người bệnh này không được hưởng BHYT vì chưa có giấy chuyển tuyến, thuộc diện điều trị ngoại trú trái tuyến. Do Luật BHYT sửa đổi lần này đưa ra quy định chuyển tuyến rất khắt khe, người bệnh phải đến nơi đăng ký khám, chữa bệnh ban đầu để khám, chữa bệnh, khi nào bệnh vượt quá khả năng kỹ thuật, cũng như khả năng điều trị ở đây thì mới chuyển lên bệnh viện tuyến trên. Trong khi đó, tâm lý của người bệnh luôn muốn lên tuyến trên để điều trị. Một khi quy định chuyển tuyến quá khắt khe, người bệnh khó có giấy chuyển tuyến, muốn lên tuyến trên phải chấp nhận trái tuyến, không được hưởng chế độ BHYT (thay vì trước đây được hưởng trái tuyến 30%). Như vậy, chỉ có điều trị nội trú trái tuyến mới được BHYT chi trả. Tuy nhiên, người bệnh muốn điều trị nội trú không phải dễ, vì nhiều bệnh viện tuyến trên luôn trong tình trạng quá tải, chỉ những bệnh thật sự nặng, cần thiết phải theo dõi thường xuyên, bệnh viện mới cho nhập viện điều trị nội trú. Ngay khi được điều trị nội trú, nhưng với trường hợp này cũng chỉ được chi trả 40% số tiền viện phí ở tuyến Trung ương. Do đó, nếu bệnh nhân không có điều kiện thì chấp nhận điều trị ở tuyến dưới để được hưởng BHYT đúng tuyến. Điều này làm mất đi quyền lợi rất lớn của những bệnh nhân nghèo, không có điều kiện. Trong khi đó, theo Phó Giám đốc Bảo hiểm xã hội (BHXH) TP Hồ Chí Minh Lưu Thị Thanh Huyền, Luật BHYT sửa đổi khiến thành phố mở rộng đối tượng tham gia BHYT gặp rất nhiều khó khăn, vì luật không cho phép từng cá nhân mua BHYT mà phải mua theo hộ gia đình. Do đó, nhiều cá nhân muốn mua BHYT không được mua. “Nhiều người trong gia đình đi làm ăn xa, đi du học nước ngoài không thể mua BHYT ở địa phương. Như vậy, những người thân còn lại trong gia đình sẽ không được địa phương bán BHYT. Nếu muốn mua thì những người này phải trải qua rất nhiều cơ quan chức năng để xác nhận sự việc trên mới được mua. Điều này là một trong những nguyên nhân khiến TP Hồ Chí Minh có tỷ lệ người dân mua BHYT thấp”, bà Huyền cho biết như vậy.
Tháo gỡ bằng cách nào?
Mới đây, tại hội nghị cung cấp thông tin về điều chỉnh giá dịch vụ y tế gắn với lộ trình BHYT toàn dân và nâng cao chất lượng khám, chữa bệnh, Bộ Y tế cho rằng, trong thời gian tới, nếu người dân không có BHYT sẽ ảnh hưởng rất lớn trong việc khám, chữa bệnh. Theo Bộ Y tế, bắt đầu từ nay đến năm 2020, giá dịch vụ y tế sẽ được điều chỉnh theo hướng tính đúng, tính đủ. Khi đó, đến năm 2020, giá dịch vụ y tế sẽ được cấu thành từ bảy yếu tố thay vì ba yếu tố như hiện nay. “Như vậy, bắt đầu từ nay đến thời điểm năm 2020, chi phí khám, chữa bệnh sẽ bắt đầu tăng lên. Nếu người bệnh không có BHYT, khi đi khám, chữa bệnh sẽ phải chi phí lớn hơn nhiều so với hiện nay. Vì vậy, nếu không có BHYT, người dân sẽ rất khó tiếp cận được các dịch vụ khám, chữa bệnh”, Vụ trưởng Kế hoạch-Tài chính (Bộ Y tế) Nguyễn Nam Liên cho biết. Trước tình hình trên, để tháo gỡ khó khăn cho những người chưa có BHYT, Bộ Y tế đề nghị, đối với trường hợp đã mua BHYT cá nhân ở những năm trước thì năm nay tiếp tục bán BHYT theo hình thức cá nhân, không cần quan tâm gia đình người đó đã mua BHYT hay chưa. Bên cạnh đó, các địa phương cần linh hoạt trong việc bán BHYT cho người dân. Những trường hợp thông báo có người thân trong gia đình đã mua BHYT ở nơi khác hoặc đi lao động nước ngoài, du học… thì vẫn bán cho những trường hợp còn lại, nhưng phải bổ sung chứng cứ sau đó. Theo ông Nguyễn Nam Liên, ngoài những người nghèo, đồng bào dân tộc thiểu số, các đối tượng chính sách, trẻ em dưới 6 tuổi… được Nhà nước cấp thẻ BHYT, thì những hộ cận nghèo cũng sẽ được địa phương và Bộ Y tế sử dụng các nguồn vốn để hỗ trợ mua thẻ BHYT, phấn đấu 100% số hộ cận nghèo đều có thẻ BHYT. Riêng những người làm nông nghiệp, lâm nghiệp, diêm nghiệp, ngư nghiệp có mức sống trung bình, Chính phủ cũng đã chỉ đạo hỗ trợ tối thiểu 30% mệnh giá BHYT, giảm mức đóng BHYT khi tham gia BHYT hộ gia đình…Ông Liên cho biết, mục tiêu mà Quốc hội đặt ra là thực hiện BHYT toàn dân và phấn đấu đến năm 2020 phải đạt ít nhất 80% dân số tham gia BHYT.
Xốc lại tinh thần, thái độ phục vụ của cán bộ y tế
Ngày 22-4, lần đầu tiên, ngành y tế tổ chức hội nghị trực tuyến "đổi mới phong cách, thái độ phục vụ của cán bộ y tế hướng tới sự hài lòng của người bệnh" với 715 điểm cầu tại 63 tỉnh, thành phố để xốc lại thái độ, tinh thần của nhân viên y tế. Việc đổi mới phong cách, thái độ của nhân viên y tế hướng tới sự hài lòng của người bệnh được xem là bước đột phá của ngành y tế sau những giải pháp quyết liệt nâng cao chất lượng khám, chữa bệnh, giảm tải bệnh viện. Trong cuộc sống thường ngày, xuất hiện không ít những tấm gương thầy thuốc là những điển hình tiên tiến, nhiều tập thể và cá nhân đã không quản khó khăn, gian khổ, hết lòng vì tính mạng, sức khỏe của người bệnh, được dư luận xã hội đánh giá cao. Tuy vậy, vẫn còn một bộ phận cán bộ y tế chưa tuân thủ đúng các quy trình chuyên môn, thái độ không đúng đắn, thiếu văn hóa, thậm chí có hành vi tiêu cực. Ðó là "những con sâu làm rầu nồi canh", đã làm ảnh hưởng rất lớn đến hình ảnh người cán bộ y tế. Nghiêm trọng hơn, nó làm xói mòn niềm tin của nhân dân đối với hơn 400 nghìn cán bộ y tế và tác động tiêu cực đến hình ảnh của đa số các cán bộ y tế chân chính đang ngày đêm lặng lẽ, quên mình với nhân cách, trí tuệ để chữa trị, giành giật sự sống cho người bệnh và chăm sóc sức khỏe cho người dân. Bộ trưởng Y tế Nguyễn Thị Kim Tiến khẳng định: Chúng tôi, những người thầy thuốc luôn tôn vinh và trân trọng những người cán bộ đã làm tốt và làm đúng trách nhiệm của mình, nhưng cũng kiên quyết đưa ra khỏi ngành những "con sâu làm rầu nồi canh" mà xã hội đang lên án, bức xúc. Quá tải người bệnh, thường xuyên đối diện với nỗi đau đớn, mệt mỏi của họ, nhân viên y tế không thể lúc nào cũng cười, nhưng cần có thái độ, lời nói, cử chỉ đúng mực với những người không may mắn đó. Ðể khắc phục các hạn chế nêu trên, Bộ Y tế quyết tâm thực hiện "cuộc cách mạng" về phong cách, thái độ phục vụ của cán bộ y tế. Nhận thức của đội ngũ y, bác sĩ sẽ chuyển từ "ban ơn" sang phục vụ, lấy người bệnh làm trung tâm với sự hài lòng của người bệnh là quan trọng nhất. Theo đó, việc thay đổi được triển khai ở tất cả các khâu, từ tiếp đón người bệnh, quá trình điều trị cho đến khi ra viện. PGS, TS Lương Ngọc Khuê, Cục trưởng Cục Quản lý khám chữa bệnh (Bộ Y tế) chia sẻ: Người bệnh là đối tượng rất đặc biệt, tâm lý của họ luôn mong đợi sự chăm sóc khác với người bình thường, cho nên cần sự thay đổi, ngay từ nụ cười cũng phải đặt đúng chỗ, đúng lúc. Chấn chỉnh, xây dựng phong cách phục vụ của cán bộ y tế theo phương châm "đến đón tiếp niềm nở, ở chăm sóc tận tình, về dặn dò chu đáo" lấy người bệnh làm trung tâm. PGS, TS Nguyễn Quốc Anh, Giám đốc Bệnh viện Bạch Mai phân tích: Một bệnh viện hiện đại cần bốn yếu tố: thầy thuốc giỏi, cơ sở vật chất tốt, máy móc tốt và thái độ phục vụ của nhân viên y tế. Các nước trên thế giới chỉ cần ba yếu tố đầu vì thái độ phục vụ người bệnh của họ quá tốt. Nhưng đối với chúng ta thì yếu tố đó xem ra khó thực hiện. Vì quá tải đã tạo áp lực cho cán bộ y tế. Mặt khác, người nhà người bệnh vì quá lo lắng nên có thái độ thiếu công bằng với người thầy thuốc và đẩy họ vào thế phản kháng trở lại, khiến sự việc rất dễ vượt tầm kiểm soát. Chính vì vậy, bên cạnh việc chấn chỉnh lại tinh thần, thái độ, bệnh viện sẽ mời chuyên gia tâm lý triển khai các lớp tập huấn cho nhân viên y tế. Từ đó, trang bị cho họ kiến thức tâm lý để có thái độ ứng xử đúng đắn, biết cách chia sẻ có tình, có lý cho cả người bệnh và người nhà người bệnh. Hoạt động hướng dẫn, tiếp đón, nâng cao chất lượng chăm sóc và điều trị... sẽ được thực hiện đồng bộ. Các bệnh viện thành lập bộ phận chăm sóc khách hàng với nhiệm vụ đón tiếp, hướng dẫn, chỉ dẫn người bệnh, gia đình người bệnh khi đến bệnh viện. Bên cạnh tiếp tục duy trì triển khai "Ðường dây nóng", các bệnh viện cũng thiết lập thêm kênh thu thập thông tin của người dân thông qua "hòm thư góp ý" do cơ quan quản lý cấp trên trực tiếp đặt tại các vị trí thuận tiện tại cơ sở y tế và trực tiếp mở hòm thư để thu thập thông tin, phản ánh của người dân. Hưởng ứng hoạt động này, Hội thầy thuốc trẻ xây dựng và triển khai đề án "Tiếp sức người bệnh" do các thầy thuốc trẻ và sinh viên tình nguyện hướng dẫn, giúp đỡ người bệnh trong các bệnh viện. Ðề án nhằm phát huy tinh thần xung kích, tình nguyện của tuổi trẻ trong giúp đỡ người bệnh và người nhà người bệnh đến khám, điều trị, góp phần giảm tình trạng quá tải trong đón tiếp, chăm sóc người bệnh. Bộ Y tế xác định đổi mới phong cách phục vụ đáp ứng sự hài lòng của người bệnh là việc cần và phải làm. Nhưng muốn làm tốt cũng cần sự vào cuộc và chỉ đạo của các cấp ủy Ðảng, chính quyền, trách nhiệm của những người đứng đầu các cơ sở khám, chữa bệnh và nhất là mỗi cá nhân thầy thuốc để xây dựng chân dung, hình ảnh của đội ngũ thầy thuốc tận tâm vì công việc, đáp ứng sự hài lòng của người bệnh. Ngay tại hội nghị triển khai này, các bệnh viện lớn như: Hữu nghị Việt – Ðức, Chợ Rẫy, Nhân dân 115, Nhi T.Ư… ký cam kết đổi mới phong cách, thái độ phục vụ. Bộ trưởng Y tế Nguyễn Thị Kim Tiến kỳ vọng, với việc thực hiện đổi mới từ trang phục nhân viên y tế, thái độ giao tiếp đến việc tiếp đón, hướng dẫn, nâng cao chất lượng chăm sóc, điều trị… người bệnh sẽ là khách hàng đúng nghĩa khi đến các cơ sở khám, chữa bệnh.