Để khống chế quá trình truyền bệnh sốt rét, hiện nay phần lớn các phương pháp điều khiển bệnh đều tập trung trên vector truyền bệnh, vector này chính là muỗi. Muỗi cái truyền bệnh sốt rét từ người này sang người khác sau khi hút máu người mang mầm bệnh chứa ký sinh trùnng Plasmodium và chuyền sang cho người lành. Bên cạnh những biện pháp cổ điển vẫn còn tỏ ra hữu dụng như thuốc trừ côn trùng để hạn chế muỗi trong cộng đồng dân cư, hay phương pháp hiện đại như cải biến di truyền giống muỗi truyền bệnh sốt rét sao cho chúng có thể kháng lại ký sinh trùng Plasmodium này. Hai nghiên cứu mới nhất gần đây trên tờ Science (Blanford, S. et al. Science 308, 1638−1641 (2005) và Scholte, E. -J. et al. Science 308, 1641−1642 (2005).) mô tả một khuynh hướng hòan tòan mới đó là dùng nấm mốc để tiêu diệt muỗi.
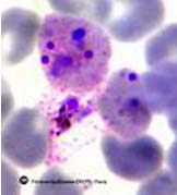
Blanford và cộng sự nghiên cứu tác động của nhiều lòai nấm mốc khác nhau trên muỗi trên mô hình bệnh sốt rét trên chuột. Các tác giả nhận thấy chỉ sau 14 ngày, trên 80% muỗi bị chết dưới ảnh hưởng của những chủng nấm này. Mười bốn ngày là thời gian tương ứng cho một vòng đời của Plasmodium trong cơ thể muỗi và nghĩa là thế hệ Plasmodium mới sẵn sàng truyền từ người sang người. Nghiên cứu cụ thể trên một lòai nấm mốc vốn là một thành phần trong thuốc trừ sâu nông nghiệp, các tác giả nhận thấy là lòai nấm mốc này thực sự cũng đã tác động trực tiếp lên sự phát triển của Plasmodium trong cơ thể muỗi. Cụ thể các tác giả nhận thấy sau 14 ngày bị nhiễm cả ký sinh trùng lẫn nấm mốc thì chỉ có 8% muỗi sống sót, so với nhóm đối chứng là chỉ nhiễm mỗi Plasmodium thì tỷ lệ muỗi sống sót là 35%.
Xem xét sự tác động của nấm mốc lên sự phát triển của cả muỗi và Plasmodium, nấm mốc có thể làm giảm khả năng truyền bệnh của muỗi xuống hơn 80 lần. Theo nhận định thì con số này thực tế có thể cao hơn. Điều này cho thấy việc bị nhiễm nấm mốc có thể khiến cho muỗi cái giảm việc hút máu người.
Blanford và cộng sự còn tiến hành nhiều thí nghiệm khác với hai chủng nấm mốc phân lập được và vài dòng sốt rét khác. Họ kiểm tra các cách thức lam sao đưa nấm mốc vào muỗi. Mặc dù cho ra nhiều kết luận thú vị nhưng các tác giả nhận định rằng sốt rét trên chuột và sốt rét trên người có những khác biệt rất đáng kể, do vậy việc ứng dụng kết quả nghiên cứu này mặc dù là hòan tòan khả thi nhưng cần thêm rất nhiều hiệu chỉnh.
Bổ sung cho các nghiên cứu trong phòng thí nghiệm của Blanford và cộng sự, các kết quả của Scholte và cộng sự cho thấy nhiều vấn đề thú vị khi đưa những chủng nấm mốc diệt Plasmodium ra thực tế. Nhóm Scholte cấy những nấm mốc này lên trên những sản phẩm dệt may thông dụng (như rèm của, mùng, mền ...) thường gặp ở vùng nông thôn Tanzania. Khi muỗi đậu trên những ổ nấm mốc này, chúng dễ dàng bị nấm mốc xâm nhiễm.. kết quả đã xác nhận kết luận của nhóm Blandford là số lượng muỗi giảm đáng kể khi bị nhiễm nấm. Hơn nữa, nhóm Scholte còn tiến hành các thống kê dịch tễ học và cho thấy số lượng ước tính trung bình số người bị muỗi nhiễm Plasmodium chích cắn trong một năm giảm từ 262 xuống còn 64. Các tác giả ước tính nếu gia tăng số lượng các sản phẩm dệt may có tẩm nấm mốc thì con số này có thể giảm còn 10.
Kết quả của hai nhóm tác giả này thực sự không có gì đáng nghi ngờ khả năng ứng dụng, nhưng vẫn còn nhiều câu hỏi về sinh thái và cả tiến hóa phải cần đặt ra.
Thứ nhất là tính đặt hiệu của chủng nấm mốc đang được sử dụng. Theo đó, thì hai chủng nấm mốc thể hiện khả năng giết Plasmodium do nhóm Blandforf phân lập và nhóm Scholte dùng ngòai thực tế thì một có nguồn gốc từ bọ cánh cứng và một từ bướm. Hai chủng nấm này thực sự không có tính đặc hiệu, tức là chúng có thể giết luôn không chỉ các lòai côn trùng khác mà còn nhiều sinh vật khác khi những sinh vật này bị chúng xâm nhiễm. Mặc dù chưa ghi nhận trường hợp nào con người bị hai chủng nấm mốc này gây nguy hiểm đến sức khỏe nhưng không thể bỏ qua vấn đề này. Do vậy mặc dù tính đặc hiệu của hai chủng nấm mốc này không phải là một vấn đề quá nghiêm trong nhưng rất cần những nghiên cứu sâu hơn trong tương lai.
Thứ hai, đó là khả năng muỗi và Plasmodium kháng lại hai chủng nấm mốc này. Các kết quả quá khứ cho thấy khi dùng thuốc trừ côn trùng diệt muỗi hay dùng Chloroquine kháng lại Plasmodium đều cho thấy là cả đều kháng lại những hóa chất này. Do đó trong tương lại, liệu nấm mốc có tốt hơn thuốc diệt côn trùng và Chloroqine hay không? Theo các nhà nghiên cứu thì muỗi có thể tiến hóa nhiều phương cách để ngăn cản nấm mốc xâm nhập cơ thể hoặc giới hạn khả năng phát triển của những chủng nấm này. Nhưng họ cũng tin là trong trường hợp nấm mốc xâm nhiễm hay thậm chí muỗi kháng được nấm thì độc lực và khả năng lan truyền của Plasmodium không thể tăng lên được.
Một trường hợp chống lại nấm mốc khác là muỗi thay đổi tập quán chích hút máu. Do muỗi hút máu cả người và động vật, nên ký chủ mà muỗi hút máu đã được xác định về mặc di truyền. Khi nấm mốc có khả năng diệt muỗi được áp dụng rộng rãi, muỗi sẽ có khả năng nhận biết khi hút máu ký chủ “trong nhà” khiến cho chúng bị giảm sức họat động sinh học và có thể chết, do đó chúng sẽ thay đổi tập tính bằng cách chỉ hút máu những ký chủ “ngòai cửa” như các lòai thú nuôi gia súc khác. Việc thay đổi ký chủ từ người sang thú nuôi một mặt có thể làm giảm mức độ truyền bệnh sốt rét giữa người và người (do Plasmodium chỉ phát triển đầy đủ trong máu người) nhưng mặc khác lại có thể gia tăng bệnh truyền nhiễm khác giữa thú nuôi với nhau. Tuy nhiên việc này có vẻ là vấn đề kinh tế hơn là vấn đề sức khỏe cộng đồng.
Một vấn đề khác, điều này có lẽ do quá lo lắng, đó là tốc độ phát triển của Plasmodium sẽ tăng nhanh, tức là vòng đời của chúng sẽ rút ngắn, Plasmodium tạo ra thế hệ Plasmodium mới và đủ độc lực truyền nhiễm trước khi muỗi bị nấm mốc tiêu diệt. Nếu điều này xảy ra thì nó sẽ gây ra hai vấn đề khá nguy hiểm.
Một đó là thời gian thế hệ của Plasmodium sẽ giảm xuống tức là số ký sinh trùng được sinh ra theo đơn vị thời gian sẽ tăng lên. Cho đến nay chúng ta thực sự không hiểu rõ tại sao Plasmodium cần nhiều thời gian để phát triển đầy đủ độc lực, nhưng dưới ảnh hưởng tiêu cực của nấm mốc có thể khiến cho chúng phát triển nhanh hơn.
Thứ hai, sự phát triển nhanh hơn của Plasmodium có thể sẽ khiến cho độc lực của lòai ký sinh trùng này trong cơ thể người tăng theo.
Do tương quan giữa các dòng Plasmodium khác nhau và vật chủ khác nhau chưa được hiểu biết đầy đủ, do đó các nhà nghiên cứu kêu gọi cần phải phân tích sâu hơn sự tương quan giữa thời gian phát triển và độc lực của các dòng Plasmodium khác nhau trong các ký chủ khác nhau.
Mặc dù có nhiều lo ngại như vậy, nhưng các nhà nghiên cứu hòan tòan tin tưởng vào khả năng sử dụng nấm mốc để diệt muỗi. Khuynh hướng này hòan tòan sạch sẽ về mặt môi trường, ít ra là khi so sánh với cách thức xịt phun thuốc diệt côn trùng lên bề mặt nước.
Cuối cùng, cuộc chiến chống bệnh sốt rét dường như không bao giờ chấm dứt và chúng ta luôn có những vũ khí mới, những chiến minh mới xuất hiện đúng lúc.