Tiếp theo Phần 3
Plasmodium cynomolgi
Bên cạnh sự nỗi trội lan truyền sốt rét từ động vật sang người do P.knowlesi, một số loài KSTSR khác ở khỉ cũng được chú ý tại các khu vực khác trên thế giới hiện nay. Ví dụ, P. cynomolgi ở Đông Nam Á và P. brasilianum và P. simium ở Nam Mỹ, những loài này đã được chứng minh có thể truyền sang người thông qua muỗi, điều này gia tăng thêm nguy cơ lây truyền bệnh sốt rét từ động vật sang người. Khả năng lây bệnh từ động vật sang người bị ảnh hưởng bởi nơi cư trú và hành vi của con người cũng như khả năng thích ứng của KSTSR và trung gian truyền bệnh.
P. cynomolgi được phát hiện lần đầu tiên vào năm 1907 trên khỉ đuôi dài Macaca fascicularis được nhập khẩu vào Đức từ đảo Java. Trường hợp đầu tiên nhiễm P. cynomolgi ở người một cách tự nhiên đã được báo cáo ở bán đảo Malaysia vào năm 2014. Gần đây, các ca nhiễm P. knowlesi và P. cynomolgi không triệu chứng ở người được phát hiện ở miền Tây Campuchia. Nhiễm trùng không triệu chứng với KSTSR ở động vật truyền sang người được tìm thấy ở 21 người sống gần khu vực có rừng; P. cynomolgi được tìm thấy ở 11 trường hợp, P. knowlesi được tìm thấy ở 8 trường hợp, P. vivax và P. cynomolgi được tìm thấy ở 2 trường hợp. Chỉ có 2 đối tượng là nữ và 14 đối tượng là nam giới ở trong độ tuổi 20-40. Mật độ ký sinh trùng trung bình là 3.604 KST/mL ở trường hợp nhiễm P. cynomolgi và 52.488 KST/mL ở trường hợp nhiễm P. knowlesi. Tất cả loài P. cynomolgi đều có gen dihydrofolate reductase kiểu hoang dã, trái ngược với tỷ lệ đột biến rất cao ở KSTSR ở người. Sự tái xuất hiện không triệu chứng của P. cynomolgi xảy ra ở 2 người 3 tháng sau kể từ lần nhiễm đầu tiên.
P. cynomolgi có mức độ tương đồng cao về hình thái và sinh học phân tử với P. vivax, khiến khó có thể phân biệt được hai loài này. Do đó, có thể suy đoán rằng một số ca nhiễm P. cynomolgi có thể bị chẩn đoán nhầm là P. vivax. Trong giai đoạn đầu, sự trương to kích thước đường kính của hồng cầu nhiễm trở nên đáng chú ý khi các ký sinh trùng trẻ phát triển đến đường kính khoảng một nửa so với tế bào hồng cầu của vật chủ ban đầu. Cuối cùng, chấm và hạt sắc tố Schüffner trở nên nổi bật hơn khi ký sinh trùng tiến triển qua các giai đoạn phát triển. 
Giai đoạn tư dưỡng trưởng thành (già) của P. cynomolgi gần giống với P. vivax,với sự hiện diện của các hạt Schüffner ở cả thể tư dưỡng và thể phân liệt như đối với P. vivax. Khi trưởng thành, số lượng thể hoa thị dao động từ 14 đến 20, trung bình là 16. Thời gian chu kỳ giai đoạn hồng cầu của P. cynomolgi là 48 giờ, với giai đoạn ủ bệnh là 19 ngày được quan sát ghi nhận ở người. Ở trên M. speciosa và M. mulatta, thời gian ủ bệnh dao động từ 7 đến 16 ngày. Hai chủng P. cynomolgi được nghiên cứu nhiều nhất trên vật chủ thí nghiệm M. mulatta là chủng Mulligan/chủng M và phân loài P. c. bastianellii/chủng B. Tỷ lệ ký sinh trùng trung bình ở chủng B cao hơn chủng M. Trong quá trình nhiễm trùng tiên phát ở khỉ, quan sát thấy thiếu máu từ nhẹ đến nặng, kèm theo giảm tiểu cầu nhẹ ở tất cả các khỉ bị nhiễm bệnh.

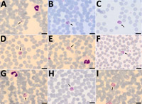
Hình 9. Plasmodium cynomolgi (mũi tên) trong lam máu nhuộm giêm sa của một du khách trở về từ Đông Nam Á đến Đan Mạch
Nguồn: Hartmeyer GN, Stensvold CR, Fabricius T, Marmolin ES, Hoegh SV, Nielsen HV, Kemp M, Vestergaard LS.
Plasmodium cynomolgi as Cause of Malaria in Tourist to Southeast Asia, 2018. 
Emerg Infect Dis. 2019 Oct;25(10):1936-1939. doi: 10.3201/eid2510.190448. PMID: 31538931; PMCID: PMC6759256.
Các ca mắc P. cynomolgi trong phòng thí nghiệm có các triệu chứng lâm sàng bao gồm thiếu máu, giảm bạch cầu, tiểu cầu, tốc độ lắng hồng cầu tăng cao, giảm albumin và tăng globulin máu. Những bệnh nhân nhiễm P. cynomolgi mắc phải tự nhiên có triệu chứng không đặc hiệu giống như hội chứng giống cúm.Trong một trường hợp gần đây do nhiễm trùng mắc phải tự nhiên ở người, bệnh nhân bị đau cơ, sốt, nhức đầu và đau bụng do nhiễm KSTSR ở mức độ thấp. Các giai đoạn KSTSR khác nhau được nhìn thấy trong phết máu của bệnh nhân giống với P. vivax với những khác biệt nhỏ về hình thái. Từ lâu người ta đã xác định rằng P. cynomolgi là bệnh sốt rét tái phát ở khỉ. Tuy nhiên, đến nay chưa có nghiên cứu nào được báo cáo về bất kỳ trường hợp tái phát nào trong các bệnh nhiễm trùng mắc phải tự nhiên ở người.
Plasmodium simium
P. simium lần đầu tiên được xác định vào năm 1951 trên một con khỉ ở bang São Paolo, Brazil. Về mặt hình thái, di truyền và miễn dịch, nó tương tự như P. vivax. Tuy nhiên, thể tư dưỡng của P. simium với các hạt Schüffner thô hơn và nổi bật hơn P. vivax. Các hạt Schüffner rất khác biệt ở tất cả giai đoạn, ngoại trừ ở giai đoạn thể nhẫn non và có thể thấy lấp đầy toàn bộ tế bào vật chủ. Hồng cầu non bị nhiễm P. simium phát triển muộn thường biểu hiện nhiều vết nứt trên bề mặt và các vi hạt liên quan đến tế bào chất (hạt Schüffner). 
Nhiễm trùng kép khá phổ biến ở bệnh sốt rét khỉ. Các thể phân liệt trưởng thành của P. simium tạo ra 12 đến 18 thể hoa thị. Chu kỳ giai đoạn máu vô tính là khoảng 48 giờ. Ở khỉ sóc, mật độ ký sinh trùng trung bình có thể lớn hơn 10.000/µL vào ngày thứ 8 và có thể duy trì ở mức này hoặc cao hơn trong 25 ngày.Bệnh nhân nhiễm P. simium mắc phải tự nhiên đã báo cáo các triệu chứng lâm sàng phù hợp với triệu chứng sốt rét do P. vivax. Những bệnh nhân này đáp ứng thuốc tốt với chloroquine và primaquine, không tái phát hoặc tử vong. 
Ngưỡng gây sốt của nhiễm trùng P. simium là cực kỳ thấp, điều này vẫn chưa được lý giải rõ ràng. Cần có những nghiên cứu sâu hơn để xác định xem liệu P. simium có khả năng tạo ra thể ngủ và từ đó gây tái phát hay không.

Hình 10. Plasmodium simium trên lam nhuộm giêm sa ở bệnh nhân tạiRio de Janeiro, Brazil
Nguồn: Brasil P, Zalis MG, de Pina-Costa A, Siqueira AM, Júnior CB, Silva S, Areas ALL,
Pelajo-Machado M, de Alvarenga DAM, da Silva Santelli ACF, Albuquerque HG, Cravo P, 
Santos de Abreu FV, Peterka CL, Zanini GM, Suárez Mutis MC, Pissinatti A, Lourenço-de-Oliveira R,
de Brito CFA, de Fátima Ferreira-da-Cruz M, Culleton R, Daniel-Ribeiro CT. 
Outbreak of human malaria caused by Plasmodium simium in the Atlantic Forest in Rio de Janeiro: a molecular epidemiological investigation.
Lancet Glob Health. 2017 Oct;5(10):e1038-e1046.
Plasmodium brasilianum
P. brasilianum được mô tả lần đầu tiên ở khỉ vào đầu thế kỷ 20. Đến nay, không có sự khác biệt nhất quán về hình thái, miễn dịch hoặc di truyền giữa hai loài P. brasilianum và P. malariae được xác định. Loài P. brasilianum có chu kỳ gây sốt rét cách 3 ngày vì nó có chu kỳ hồng cầu 72 giờ. Ở các vùng lưu hành sốt rét, việc đồng nhiễm P. brasilianum với các loài Plasmodium spp. khác khá phổ biến. Ở các khu vực Nam Mỹ, nơi cả người và khỉ cùng tồn tại, việc phân biệt nhiễm trùng P. malariae và P. brasilianum là không thể, do mức độ tương đồng về hình thái cao của chúng. 
Vì mật độ KSTSR trong vật chủ ở người thấp và số lượng ký sinh trùng hiếm khi vượt quá 50/µL, nên các trường hợp đồng nhiễm thường khó được phát hiện bằng kính hiển vi.Hiện tượng các hạt Ziemann có thể được quan sát ở giai đoạn cuối của chu kỳ. Sau khi trưởng thành, thể phân liệt sẽ giải phóng từ 8 đến 12 thể hoa thị. Tương tự, P. malariae sinh số lượng thể hoa thị tương đối thấp (từ 6 đến 14, trung bình là 8) trên mỗi chu kỳ hồng cầu. Nhiễm loài P. brasilianum gây ra sự hình thành các núm lồi, khe hở ngắn và dài trên bề mặt hồng cầu- tất cả điều này cũng có thể được quan sát thấy trong hồng cầu nhiễm P. malariae. Các gai, nhìn bề ngoài tương tự như các núm, cũng hiện diện với số lượng lớn trên hồng cầu bị nhiễm P. brasilianum và P. malariae. 

Hình 11. Phân bố P.malariae và P.brasilianum trên thế giới
Nguồn: Bajic M, Ravishankar S, Sheth M, Rowe LA, Pacheco MA, Patel DS, Batra D, Loparev V,
Olsen C, Escalante AA, Vannberg F, Udhayakumar V, Barnwell JW, Talundzic E. 
The first complete genome of the simian malaria parasite Plasmodium brasilianum. 
Sci Rep. 2022 Nov 17;12(1):19802.
Mặc dù những gai này cũng có trong hồng cầu nhiễm P. ovale, nhưng chúng thường có ít hơn và có kích thước lớn hơn. Những cấu trúc này dường như chứa các kháng nguyên khác nhau của P. brasilianum, cho thấy mỗi cấu trúc có chức năng độc lập trong việc vận chuyển protein P. brasilianum đến bề mặt hồng cầu.Trong quá trình lây nhiễm ở khỉ Ateles, mật độ ký sinh trùng có thể tăng và giảm theo một mô hình đã định trước. Sự gia tăng ban đầu về số lượng ký sinh trùng được theo sau bởi sự giảm đáng kể, nhiễm trùng máu ở mức độ thấp và cuối cùng là các giai đoạn ngắn của ký sinh trùng dưới mức phát tán xen kẽ với sự tái phát. Sự tái phát có thể xảy ra khi vật chủ phải chịu tình trạng căng thẳng hoặc bị suy giảm miễn dịch. 
Trong khi sự lây nhiễm ở khỉ Ateles và Saimiri có thể tiếp tục trong ít nhất 249 ngày, thì sự lây nhiễm ký sinh trùng ở người nhiễm P. brasilianum không quá 27 ngày. Các biểu hiện lâm sàng nhìn chung nhẹ hơn so với các trường hợp nhiễm P. cynomolgi hoặc P. knowlesi. Loài P. brasilianum có thể gây ra bệnh lý thận khi nó tồn tại dai dẳng như một bệnh nhiễm trùng mãn tính ở người. 
Còn nữa àTiếp theo Phần 5