Một số đơn bào có các giai đoạn đời sống thay đổi giữa các giai đoạn tăng sinh (ví dụ thể tư dưỡng) và nang “ngủ”. Như các nang, đơn bào có thể sống sót trong điều kiện khắc nghiệt như khi phơi nhiễm trong điều kiện nhiệt độ quá mức hoặc hóa chất độc hại, hay vẫn tồn tại trong thời gian dài không có chất dinh dưỡng, nước, oxy. Một nang của các loài ký sinh trùng có thể sống bên ngoài vật chủ và cho phép lan truyền từ vật chủ này sang vật chủ khác.
Khi đơn bào ở thể tư dưỡng (trophozoites, gốc từ Hy Lạp tropho có nghĩa là nuôi dưỡng), chúng lấy thức ăn chủ động. Sự chuyển đổi từ mọt thể tư dưỡng sang thể bào nang, gọi là hình thành nang (encystation), trong khi quá trình chuyển dạng ngược lại gọi là thoát nang (excystation). Các đơn bào có thể thực hiện sinh sản bằng cách sinh sản phân chia đôi hay sinh sản nhân lên. Một số đơn bào sinh sản hữu tính, một số khác lại sinh sản vô tính, một số khác sinh sản phối hợp cả hai (ví dụ Coccidia).
Entamoeba histolytica: Clinical Update and Vaccine Prospects.
Petri WA.
Curr Infect Dis Rep. 2002 Apr;4(2):124-129.
PMID: 11927043 Similar articles Select item 28817707129.
Microbiome-mediated neutrophil recruitment via CXCR2 and protection from amebic colitis.
Watanabe K, Gilchrist CA, Uddin MJ, Burgess SL, Abhyankar MM, Moonah SN, Noor Z, Donowitz JR, Schneider BN, Arju T, Ahmed E, Kabir M, Alam M, Haque R, Pramoonjago P, Mehrad B, Petri WA Jr.
PLoS Pathog. 2017 Aug 17;13(8):e1006513. doi: 10.1371/journal.ppat.1006513. eCollection 2017 Aug.
PMID: 28817707 Free PMC Article Similar articles Select item 1569636130.
Age-specific sero-prevalence of amoebiasis and giardiasis in southern Indian infants and children.
Shetty N, Narasimha M, Elliott E, Raj IS, Macaden R.
J Trop Pediatr. 1992 Apr;38(2):57-63. doi: 10.1093/tropej/38.2.57.
PMID: 1569636 Similar articles Select item 197276131.

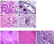
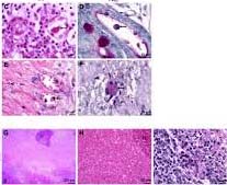
Hình 1
Amebiasis. An increasing problem among homosexuals in New York City.
Schmerin MJ, Gelston A, Jones TC.
JAMA. 1977 Sep 26;238(13):1386-7.
PMID: 197276 Similar articles Select item 4021544132.
Entamoeba polecki infection in Southeast Asian refugees: multiple cases of a rarely reported parasite.
Gay JD, Abell TL, Thompson JH Jr, Loth V.
Mayo Clin Proc. 1985 Aug;60(8):523-30.
PMID: 4021544 Similar articles Select item 29279094133.
Entamoeba histolytica infection in wild lemurs associated with proximity to humans.
Ragazzo LJ, Zohdy S, Velonabison M, Herrera J, Wright PC, Gillespie TR.
Vet Parasitol. 2018 Jan 15;249:98-101. doi: 10.1016/j.vetpar.2017.12.002. Epub 2017 Dec 5.
PMID: 29279094 Similar articles Select item 12370386134.
The mouse model of amebic colitis reveals mouse strain susceptibility to infection and exacerbation of disease by CD4+ T cells.
Houpt ER, Glembocki DJ, Obrig TG, Moskaluk CA, Lockhart LA, Wright RL, Seaner RM, Keepers TR, Wilkins TD, Petri WA Jr.
J Immunol. 2002 Oct 15;169(8):4496-503.
PMID: 12370386 Free Article Similar articles Select item 4284970135.
Incidence of intestinal amoebiasis.
Antia FP, Desai HG, Jeejeebhoy KN, Borkar AV.
Gut. 1965 Oct;6(5):454-7. No abstract available.
PMID: 4284970 Free PMC Article Similar articles Select item 2185002136.
Appendiceal infection by Entamoeba histolytica and Strongyloides stercoralis presenting like acute appendicitis.
Nadler S, Cappell MS, Bhatt B, Matano S, Kure K.
Dig Dis Sci. 1990 May;35(5):603-8. Review.
PMID: 2185002 Similar articles Select item 28186296137.
Entamoeba histolytica-Encoded Homolog of Macrophage Migration Inhibitory Factor Contributes to Mucosal Inflammation during Amebic Colitis.
Ngobeni R, Abhyankar MM, Jiang NM, Farr LA, Samie A, Haque R, Moonah SN.
J Infect Dis. 2017 Apr 15;215(8):1294-1302. doi: 10.1093/infdis/jix076.
PMID: 28186296 Free PMC Article Similar articles Select item 12841407138.
Amebiasis in the newborn.
Güven A.
Indian J Pediatr. 2003 May;70(5):437-8.
PMID: 12841407 Similar articles Select item 21124310139.
Leptin signaling in intestinal epithelium mediates resistance to enteric infection by Entamoeba histolytica.
Guo X, Roberts MR, Becker SM, Podd B, Zhang Y, Chua SC Jr, Myers MG Jr, Duggal P, Houpt ER, Petri WA Jr.
Mucosal Immunol. 2011 May;4(3):294-303. doi: 10.1038/mi.2010.76. Epub 2010 Dec 1.
PMID: 21124310 Free PMC Article Similar articles Select item 16222550140.
Hemolytic uremic syndrome associated with Entamoeba histolytica intestinal infection.
Cavagnaro F, Guzmán C, Harris P.
Pediatr Nephrol. 2006 Jan;21(1):126-8. Epub 2005 Oct 13.
PMID: 16222550 Similar articles
The dynamic interdependence of amebiasis, innate immunity, and undernutrition.
Verkerke HP, Petri WA Jr, Marie CS.
Semin Immunopathol. 2012 Nov;34(6):771-85. doi: 10.1007/s00281-012-0349-1. Epub 2012 Nov 1. Review.
PMID: 23114864 Free PMC Article Similar articles Select item 2542927142.
Delayed-type hypersensitivity to Entamoeba histolytica in mice and hamsters: a comparison.
Gold D.
Parasitol Res. 1989;75(5):335-42.
PMID: 2542927 Similar articles Select item 1631737143.
[Antibodies against Entamoeba histolytica in the Mexican Republic. 1974].
Gutiérrez G, Ludlow A, Espinoza G, Herrera S, Muńoz O, Rattoni N, Sepúlveda B.
Salud Publica Mex. 1992 Mar-Apr;34(2):242-54. Spanish. No abstract available.
PMID: 1631737 Similar articles Select item 26919716144.

Hình 2
Lower prevalence of Entamoeba species in children with vertically transmitted HIV infection in Western Kenya.
Matey EJ, Tokoro M, Nagamoto T, Mizuno T, Saina MC, Bi X, Oyombra JA, Okumu P, Langat BK, Sang WK, Songok EM, Ichimura H.
AIDS. 2016 Mar 13;30(5):803-5. doi: 10.1097/QAD.0000000000001002.
PMID: 26919716 Similar articles Select item 8621966145.
[A case of amoebiasis as a latent infection].
Takenaka H, Konishi M, Takeuchi S, Maeda K, Mikasa K, Sawaki M, Narita N, Nishiyama T, Araki T, Higashiguchi R, Ohnuki M.
Kansenshogaku Zasshi. 1996 Mar;70(3):247-50. Japanese.
PMID: 8621966 Similar articles Select item 28837696146.
The macrophage cytoskeleton acts as a contact sensor upon interaction with Entamoeba histolytica to trigger IL-1β secretion.
St-Pierre J, Moreau F, Cornick S, Quach J, Begum S, Aracely Fernandez L, Gorman H, Chadee K.
PLoS Pathog. 2017 Aug 24;13(8):e1006592. doi: 10.1371/journal.ppat.1006592. eCollection 2017 Aug.
PMID: 28837696 Free PMC Article Similar articles Select item 13731405147.
Amebiasis with complicating encephalitis probably due to Entamoeba histolytica.
OSER BM, HOSLER RS.
Ohio State Med J. 1960 Nov;56:1502-3. No abstract available.
PMID: 13731405 Similar articles Select item 12700377148.
Amebiasis.
Haque R, Huston CD, Hughes M, Houpt E, Petri WA Jr.
N Engl J Med. 2003 Apr 17;348(16):1565-73. Review. No abstract available.
PMID: 12700377 Similar articles Select item 816701149.
[Intestinal amebiasis].
Badell Urdaneta A, Villasmil Morillo A, Prieto Núnez A, Bolaño Albarran H.
G E N. 1975 Jan-Jun;29(3-4):125-51. Spanish.
PMID: 816701 Similar articles Select item 201784150.
Amebic balanitis.
Rodrigue RB.
JAMA. 1978 Jan 9;239(2):109. No abstract available.
PMID: 201784 Similar articles Select item 184910151.
Entamoeba histolytica infection in a German shepherd dog.
Wittnich C.
Can Vet J. 1976 Oct;17(10):259-63. No abstract available.
PMID: 184910 Free PMC Article Similar articles
Select item 9252762152.
Cutaneous amebiasis in an Iranian immunodeficient alcoholic: immunochemical and histological study.
Loschiavo F, Guarneri B, Ventura-Spagnolo T, Purello D'Ambrosio F, Ricciardi L, Cannavò SP.
Dermatology. 1997;194(4):370-1. Review. No abstract available.
PMID: 9252762 Free Article Similar articles Select item 2867035153.
Which amoebae are harmful?
Vinayak VK.
Indian J Pediatr. 1985 Sep-Oct;52(418):452-4. No abstract available.
PMID: 2867035 Similar articles Select item 27525214154.
The Intestinal Bacterial Microbiome and E. histolytica Infection.
Burgess SL, Petri WA Jr.
Curr Trop Med Rep. 2016;3:71-74. Epub 2016 Jun 30. Review.
PMID: 27525214 Free PMC Article Similar articles Select item 22932710155.
Entamoeba bangladeshi nov. sp., Bangladesh.
Royer TL, Gilchrist C, Kabir M, Arju T, Ralston KS, Haque R, Clark CG, Petri WA Jr.
Emerg Infect Dis. 2012 Sep;18(9):1543-5. doi: 10.3201/eid1809.120122. No abstract available.
PMID: 22932710 Free PMC Article Similar articles Select item 3974067156.
Leads from the MMWR. Pseudo-outbreak of intestinal amebiasis--California.
[No authors listed]
JAMA. 1985 Apr 5;253(13):1861. No abstract available.
PMID: 3974067 Similar articles Select item 29159248157.
Massive perianal ulceration: Entamoeba histolytica and Candida albicans co-infection.
Davis MJ, Templeton SF, Dickensheets DL, Gross AS.
JAAD Case Rep. 2017 Nov 8;3(6):553-555. doi: 10.1016/j.jdcr.2017.07.020. eCollection 2017 Nov. No abstract available.
PMID: 29159248 Free PMC Article
Primary pulmonary amebic abscess in a patient with pulmonary adenocarcinoma: a case report
Yuan-Yuan Liu, Yue Ying, Chong Chen, Yue-Kai Hu, Fei-Fei Yang, Ling-Yun Shao, Xun-Jia Cheng, Yu-Xian Huang
Infect Dis Poverty. 2018; 7: 34. Published online 2018 Apr 27. doi: 10.1186/s40249-018-0419-2
PMCID: PMC5921995 Article PubReader PDF–1.2MCitation
Increases in Entamoeba histolytica Antibody–Positive Rates in Human Immunodeficiency Virus–Infected and Noninfected Patients in Japan: A 10-Year Hospital-Based Study of 3,514 Patients
Yasuaki Yanagawa, Naoyoshi Nagata, Koji Watanabe, Kunihisa Tsukada, Katsuji Teruya, Yoshimi Kikuchi, Hiroyuki Gatanaga, Junichi Akiyama, Naomi Uemura, Shinichi Oka
Am J Trop Med Hyg. 2016 Sep 7; 95(3): 604–609. doi: 10.4269/ajtmh.16-0134
PMCID: PMC5014266 Article PubReader PDF–1009KCitation
Serological Surveillance Development for Tropical Infectious Diseases Using Simultaneous Microsphere-Based Multiplex Assays and Finite Mixture Models
Yoshito Fujii, Satoshi Kaneko, Samson Muuo Nzou, Matilu Mwau, Sammy M. Njenga, Chihiro Tanigawa, James Kimotho, Anne Wanjiru Mwangi, Ibrahim Kiche, Sohkichi Matsumoto, Mamiko Niki, Mayuko Osada-Oka, Yoshio Ichinose, Manabu Inoue, Makoto Itoh, Hiroshi Tachibana, Kazunari Ishii, Takafumi Tsuboi, Lay Myint Yoshida, Dinesh Mondal, Rashidul Haque, Shinjiro Hamano, Mwatasa Changoma, Tomonori Hoshi, Ken-ichi Kamo, Mohamed Karama, Masashi Miura, Kenji Hirayama
PLoS Negl Trop Dis. 2014 Jul; 8(7): e3040. Published online 2014 Jul 31. doi: 10.1371/journal.pntd.0003040
PMCID: PMC4117437 Article PubReader PDF–5.9MCitation
Seroprevalence of Entamoeba histolytica Infection among Chinese Men Who Have Sex with Men
Feng Zhou, Mufei Li, Xiangwei Li, Yu Yang, Cong Gao, Qi Jin, Lei Gao
PLoS Negl Trop Dis. 2013 May; 7(5): e2232. Published online 2013 May 23. doi: 10.1371/journal.pntd.0002232
PMCID: PMC3662687 Article PubReader PDF–182KCitation
G protein signaling in the parasite Entamoeba histolytica
Dustin E Bosch, David P Siderovski
Exp Mol Med. 2013 Mar; 45(3): e15. Published online 2013 Mar 22. doi: 10.1038/emm.2013.30
PMCID: PMC3641396 Article PubReader PDF–1.0MCitation
Seroprevalence of Entamoeba histolytica infection in China.
Yang B, Chen Y, Wu L, Xu L, Tachibana H, Cheng X.
Am J Trop Med Hyg. 2012 Jul;87(1):97-103. doi: 10.4269/ajtmh.2012.11-0626.
PMID: 22764298 Free PMC Article Similar articles
Select item 237176992.
Seroprevalence of Entamoeba histolytica infection among Chinese men who have sex with men.
Zhou F, Li M, Li X, Yang Y, Gao C, Jin Q, Gao L.
PLoS Negl Trop Dis. 2013 May 23;7(5):e2232. doi: 10.1371/journal.pntd.0002232. Print 2013.
PMID: 23717699 Free PMC Article Similar articles Select item 179843353.
Seroprevalence of Entamoeba histolytica infection in HIV-infected patients in China.
Chen Y, Zhang Y, Yang B, Qi T, Lu H, Cheng X, Tachibana H.
Am J Trop Med Hyg. 2007 Nov;77(5):825-8.
PMID: 17984335 Similar articles Select item 237400194.
High occurrence of Entamoeba histolytica in the municipalities of Ariquemes and Monte Negro, State of Rondônia, Western Amazonia, Brazil.
Santos RV, Nunes Jda S, Camargo JA, Rocha EM, Fontes G, Camargo LM.
Rev Inst Med Trop Sao Paulo. 2013;55(3). pii: S0036-46652013000300193. doi: 10.1590/S0036-46652013000300010.
PMID: 23740019 Free Article Similar articles Select item 90257005.
Seroepidemiology of Entamoeba histolytica in a slum in northeastern Brazil.
Braga LL, Lima AA, Sears CL, Newman RD, Wuhib T, Paiva CA, Guerrant RL, Mann BJ.
Am J Trop Med Hyg. 1996 Dec;55(6):693-7.
PMID: 9025700 Similar articles Select item 116938676.
Household epidemiology of Entamoeba histolytica infection in an urban community in northeastern Brazil.
Braga LL, Gomes ML, Da Silva MW, Façanha FE Jr, Fiuza L, Mann BJ.
Am J Trop Med Hyg. 2001 Oct;65(4):268-71.
PMID: 11693867 Similar articles Select item 157383697.
Invasive amebiasis as an emerging parasitic disease in patients with human immunodeficiency virus type 1 infection in Taiwan.
Hung CC, Deng HY, Hsiao WH, Hsieh SM, Hsiao CF, Chen MY, Chang SC, Su KE.
Arch Intern Med. 2005 Feb 28;165(4):409-15.
PMID: 15738369 Similar articles

Hình 3
Detection of Entamoeba histolytica antigen in stool samples in Mersin, Turkey.
Delialioglu N, Aslan G, Ozturk C, Ozturhan H, Sen S, Emekdas G.
J Parasitol. 2008 Apr;94(2):530-2. doi: 10.1645/GE-1355.1.
PMID: 18564756 Similar articles
Prevalence of Entamoeba histolytica -like cysts compared to E. histolytica antigens detected by ELISA in the stools of 600 patients from three socioeconomic communities in the Metropolitan City of Lahore, Pakistan.
Alam MA, Maqbool A, Nazir MM, Lateef M, Khan MS, Ahmed AN, Ziaullah M, Lindsay DS.
J Parasitol. 2015 Apr;101(2):236-9. doi: 10.1645/14-560.1. Epub 2014 Sep 5.
PMID: 25189631 Similar articles
Select item 2088989110.
Seroprevalence of Entamoeba histolytica infection among men who have sex with men in Sydney, Australia.
James R, Barratt J, Marriott D, Harkness J, Stark D.
Am J Trop Med Hyg. 2010 Oct;83(4):914-6. doi: 10.4269/ajtmh.2010.10-0231.
PMID: 20889891 Free PMC Article Similar articles Select item 1588099511.
Entamoeba histolytica or Entamoeba dispar among children in Gaza, Gaza Strip?
Al-Hindi A, Shubair ME, Marshall I, Ashford RW, Sharif FA, Abed AA, Kamel EG.
J Egypt Soc Parasitol. 2005 Apr;35(1):59-68.
PMID: 15880995 Similar articles Select item 1040333812.
Prevalence and immune response to Entamoeba histolytica infection in preschool children in Bangladesh.
Haque R, Ali IM, Petri WA Jr.
Am J Trop Med Hyg. 1999 Jun;60(6):1031-4.
PMID: 10403338 Similar articles Select item 2014929213.

Hình 4
Seroprevalence of Entamoeba histolytica in the context of HIV and AIDS: the case of Vhembe district, in South Africa's Limpopo province.
Samie A, Barrett LJ, Bessong PO, Ramalivhana JN, Mavhandu LG, Njayou M, Guerrant RL.
Ann Trop Med Parasitol. 2010 Jan;104(1):55-63. doi: 10.1179/136485910X12607012373911.
PMID: 20149292 Similar articles Select item 1500405514.
Evaluation of recombinant fragments of Entamoeba histolytica Gal/GalNAc lectin intermediate subunit for serodiagnosis of amebiasis.
Tachibana H, Cheng XJ, Masuda G, Horiki N, Takeuchi T.
J Clin Microbiol. 2004 Mar;42(3):1069-74.
PMID: 15004055 Free PMC Article Similar articles Select item 1586805715.
[Determination of Entamoeba histolytica infection in patients from Greater Metropolitan Belém, Para, Brazil, by enzyme-linked immunosorbent assay (ELISA) for antigen detection].
Silva MC, Monteiro Cdo S, Araújo Bdos A, Silva JV, Póvoa MM.
Cad Saude Publica. 2005 May-Jun;21(3):969-73. Epub 2005 May 2. Portuguese.
PMID: 15868057 Free Article Similar articles Select item 1499363616.
Determination of the prevalence of Entamoeba histolytica and E. dispar in the pernambuco state of northeastern Brazil by a polymerase chain reaction.
Pinheiro SM, Carneiro RM, Aca IS, Irmão JI, Morais MA Jr, Coimbra MR, Carvalho LB Jr.
Am J Trop Med Hyg. 2004 Feb;70(2):221-4.
PMID: 14993636 Similar articles 17.

Hình 5
Detection of Entamoeba histolytica/dispar in stool specimens by using enzyme-linked immunosorbent assay in the population of Jeddah City, Saudi Arabia.
Barnawi AB, Tonkal AM, Fouad MA, Al-Braiken FA.
J Egypt Soc Parasitol. 2007 Apr;37(1):143-50.
PMID: 17580574 Similar articles Select item 134031618.
Serodiagnosis of invasive amebiasis using a recombinant Entamoeba histolytica antigen-based ELISA.
Myung K, Burch D, Jackson TF, Stanley SL Jr.
Arch Med Res. 1992;23(2):285-8.
PMID: 1340316 Similar articles Select item 182066619.
Seroepidemiology of anti-Entamoeba histolytica antibody by enzyme-linked immunosorbent assay in the greater Tokyo area.
Tanaka T, Kaneda Y.
Tokai J Exp Clin Med. 1991 Dec;16(5-6):253-8.
PMID: 1820666 Similar articles Select item 1595533320.

Hình 6
Entamoeba histolytica and Entamoeba dispar: prevalence infection in a rural Mexican community.
Ramos F, Morán P, González E, García G, Ramiro M, Gómez A, de León Mdel C, Melendro EI, Valadez A, Ximénez C.
Exp Parasitol. 2005 Jul;110(3):327-30. Epub 2005 Apr 20.
PMID: 15955333 Similar articles Evaluation of newer diagnostic methods for the detection and differentiation of Entamoeba histolytica in an endemic area.
Sharma AK, Chibbar S, Bansal G, Kaur U, Vohra H.
Trans R Soc Trop Med Hyg. 2003 Jul-Aug;97(4):396-7.
PMID: 15259465 Similar articles Select item 1850316422.

Hình 7
Seroprevalence of Entamoeba histolytica infection in female outpatients at a sexually transmitted disease sentinel clinic in Tokyo, Japan.
Suzuki J, Kobayashi S, Iku I, Murata R, Yanagawa Y, Takeuchi T.
Jpn J Infect Dis. 2008 May;61(3):175-8.
PMID: 18503164 Free Article Similar articles Select item 1097036423.
Diagnosis of amebic liver abscess and intestinal infection with the TechLab Entamoeba histolytica II antigen detection and antibody tests.
Haque R, Mollah NU, Ali IK, Alam K, Eubanks A, Lyerly D, Petri WA Jr.
J Clin Microbiol. 2000 Sep;38(9):3235-9.
PMID: 10970364 Free PMC Article Similar articles Select item 1128966724.
Comparison of antigen-capture ELISA to stool-culture methods for the detection of asymptomatic Entamoeba species infection in Kafer Daoud, Egypt.
Abd-Alla MD, Wahib AA, Ravdin JI.
Am J Trop Med Hyg. 2000 May;62(5):579-82.
PMID: 11289667 Similar articles Select item 238931825.
High seropositivity for Entamoeba histolytica infection in Japanese homosexual men: further evidence for the occurrence of pathogenic strains.
Takeuchi T, Miyahira Y, Kobayashi S, Nozaki T, Motta SR, Matsuda J.
Trans R Soc Trop Med Hyg. 1990 Mar-Apr;84(2):250-1. No abstract available.
PMID: 2389318 Similar articles Select item 1610359326.

Hình 8
Infection by human immunodeficiency virus-1 is not a risk factor for amebiasis.
Morán P, Ramos F, Ramiro M, Curiel O, González E, Valadez A, Gómez A, García G, Melendro EI, Ximénez C.
Am J Trop Med Hyg. 2005 Aug;73(2):296-300.
PMID: 16103593 Similar articles Select item 1830173027.
Increased risk for Entamoeba histolytica infection and invasive amebiasis in HIV seropositive men who have sex with men in Taiwan.
Hung CC, Ji DD, Sun HY, Lee YT, Hsu SY, Chang SY, Wu CH, Chan YH, Hsiao CF, Liu WC, Colebunders R.
PLoS Negl Trop Dis. 2008 Feb 27;2(2):e175. doi: 10.1371/journal.pntd.0000175.
PMID: 18301730 Free PMC Article Similar articles Select item 1918029728.

Hình 9
[Detection and differentiation of Entamoeba histolytica and Entamoeba dispar by polymerase chain reaction in a community in Zulia State, Venezuela].
Rivero Z, Bracho A, Calchi M, Díaz I, Acurero E, Maldonado A, Chourio G, Arráiz N, Corzo G.
Cad Saude Publica. 2009 Jan;25(1):151-9. Spanish.
PMID: 19180297 Free Article Similar articles Select item 924232229.
Differentiation of Entamoeba histolytica and Entamoeba dispar from German travelers and residents of endemic areas.
Walderich B, Weber A, Knobloch J.
Am J Trop Med Hyg. 1997 Jul;57(1):70-4.
PMID: 9242322 Similar articles Select item 927642530.
Comparison of use of enzyme-linked immunosorbent assay-based kits and PCR amplification of rRNA genes for simultaneous detection of Entamoeba histolytica and E. dispar.
Mirelman D, Nuchamowitz Y, Stolarsky T.
J Clin Microbiol. 1997 Sep;35(9):2405-7.
PMID: 9276425 Free PMC Article Similar articles Select item 2759428331.
Prevalence of Entamoeba spp. in Stool Samples of Patients with Amebiasis Suspect by Native-Lugol and ELISA.
Beyhan YE, Yılmaz H, Taş Cengiz Z.
Turkiye Parazitol Derg. 2016 Jun;40(2):59-62. doi: 10.5152/tpd.2016.4424.
PMID: 27594283 Free Article Similar articles Select item 1062263932.
Application of the polymerase chain reaction (PCR) in the epidemiology of Entamoeba histolytica and Entamoeba dispar infections.
Rivera WL, Tachibana H, Kanbara H.
Tokai J Exp Clin Med. 1998 Dec;23(6):413-5. Review.
PMID: 10622639 Similar articles Select item 1768464133.
Comparison of multiplex-PCR and antigen detection for differential diagnosis of Entamoeba histolytica.
Santos HL, Peralta RH, de Macedo HW, Barreto MG, Peralta JM.
Braz J Infect Dis. 2007 Jun;11(3):365-70.
PMID: 17684641 Free Article Similar articles Select item 231346534.

Hình 10
Evaluation of the ELISA test for detection of Entamoeba histolytica in feces.
Merino E, Glender W, del Muro R, Ortiz-Ortiz L.
J Clin Lab Anal. 1990;4(1):39-42.
PMID: 2313465 Similar articlesSelect item 1675333935.
Diagnostic methods for differentiation of Entamoeba histolytica and Entamoeba dispar in carriers: performance and clinical implications in a non-endemic setting.
Visser LG, Verweij JJ, Van Esbroeck M, Edeling WM, Clerinx J, Polderman AM.
Int J Med Microbiol. 2006 Oct;296(6):397-403. Epub 2006 Jun 6.
PMID: 16753339 Similar articles Select item 144077836.
Enzyme-linked immunosorbent assay based on monoclonal and polyclonal antibodies for the detection of Entamoeba histolytica antigens in faecal specimens.
Wonsit R, Thammapalerd N, Tharavanij S, Radomyos P, Bunnag D.
Trans R Soc Trop Med Hyg. 1992 Mar-Apr;86(2):166-9.
PMID: 1440778 Similar articles Select item 2294743037.

Hình 11
Differentiating Entamoeba histolytica, Entamoeba dispar and Entamoeba moshkovskii using nested polymerase chain reaction (PCR) in rural communities in Malaysia.
Ngui R, Angal L, Fakhrurrazi SA, Lian YL, Ling LY, Ibrahim J, Mahmud R.
Parasit Vectors. 2012 Sep 4;5:187.
PMID: 22947430 Free PMC Article Similar articles Select item 1629574338.
Comparative evaluation of hexokinase isoenzyme typing and antigen detection for differentiation of Entamoeba histolytica and Entamoeba dispar.
Bansal D, Sehgal R, Chawla Y, Mahajan RC, Malla N.
Nepal Med Coll J. 2004 Dec;6(2):123-5.
PMID: 16295743 Similar articles Select item 290270539.
The prevalence of Entamoeba histolytica in lactating women and in their infants in Bangladesh.
Islam A, Stoll BJ, Ljungstrom I, Biswas J, Nazrul H, Huldt G.
Trans R Soc Trop Med Hyg. 1988;82(1):99-103.
PMID: 2902705 Similar articles Select item 1612657040.
PCR differentiation of Entamoeba histolytica and Entamoeba dispar from patients with amoeba infection initially diagnosed by microscopy.
Lebbad M, Svärd SG.
Scand J Infect Dis. 2005;37(9):680-5.
PMID: 16126570 Similar articles
Comparison of a stool antigen detection kit and PCR for diagnosis of Entamoeba histolytica and Entamoeba dispar infections in asymptomatic cyst passers in Iran.
Solaymani-Mohammadi S, Rezaian M, Babaei Z, Rajabpour A, Meamar AR, Pourbabai AA, Petri WA Jr.
J Clin Microbiol. 2006 Jun;44(6):2258-61.
PMID: 16757634 Free PMC Article Similar articles Select item 826316542.
Differentiation of pathogenic Entamoeba histolytica infections from nonpathogenic infections by detection of galactose-inhibitable adherence protein antigen in sera and feces.
Abd-Alla MD, Jackson TF, Gathiram V, el-Hawey AM, Ravdin JI.
J Clin Microbiol. 1993 Nov;31(11):2845-50.
PMID: 8263165 Free PMC Article Similar articles Select item 829299243.