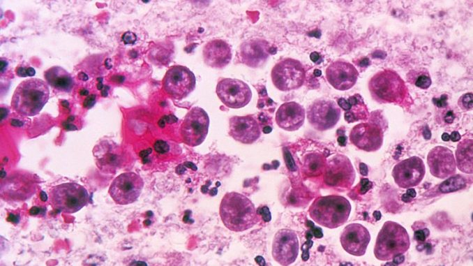
Naegleria fowleri phát triển trong môi trường các vật dụng nước ngọt ấm (warm freshwater bodies) và đi vào cơ thể người thông qua đường mũi. Sau đó, nó đi vào trong não ăn các tế bào mạch máu và mô não, gây nên nhu mô não sưng phồng. Nó có thẻ giết chết người trong vòng 1 tuần. Trong số 143 ca được ghi nhận kể từ năm 1962, chỉ có 4 ca sống sót và nhiễm trùng thì rất hiếm.
Từ năm 2007-2016, có tất cả 40 ca tại Mỹ và phần lớn ở các bang chưa có ca bệnh ít nhất từ năm 1962. Số ca bệnh do Naegleria fowleri tại Mỹ từ năm 1962-2016 theo báo cáo của Trung tâm Center for Disease Control and Prevention như bản đồ dưới đây.
Primary amoebic meningoencephalitis with Naegleria fowleri: clinical review.
Barnett ND, Kaplan AM, Hopkin RJ, Saubolle MA, Rudinsky MF.
Pediatr Neurol. 1996 Oct;15(3):230-4. Review.
PMID: 8916161 Similar articles Select item 2577295295.
Naegleria fowleri in Pakistan - an emerging catastrophe.
Mahmood K.
J Coll Physicians Surg Pak. 2015 Mar;25(3):159-60. doi: 03.2015/JCPSP.159160. No abstract available.
PMID: 25772952 Similar articlesSelect item 1520851596.

Hình 1
Review of clinical presentations in Thai patients with primary amoebic meningoencephalitis.
Wiwanitkit V.
MedGenMed. 2004 Mar 8;6(1):2. Review.
PMID: 15208515 Free PMC Article Similar articlesSelect item 2507325697.
Emerging trends in free-living amebic infections of the brain: implications for organ transplantation.
Diaz JH, Boudreaux JP.
J La State Med Soc. 2013 Nov-Dec;165(6):314-8. Review.
PMID: 25073256 Similar articlesSelect item 2692258398.
Comparison of the clinical presentations of Naegleria fowleri primary amoebic meningoencephalitis with pneumococcal meningitis: a case-control study.
Zahid MF, Saad Shaukat MH, Ahmed B, Beg MA, Kadir MM, Mahmood SF.
Infection. 2016 Aug;44(4):505-11. doi: 10.1007/s15010-016-0878-y. Epub 2016 Feb 27.
PMID: 26922583 Similar articlesSelect item 2362105399.
Primary amebic meningoencephalitis in Florida: a case report and epidemiological review of Florida cases.
Budge PJ, Lazensky B, Van Zile KW, Elliott KE, Dooyema CA, Visvesvara GS, Beach MJ, Yoder JS.
J Environ Health. 2013 Apr;75(8):26-31.
PMID: 23621053 Similar articlesSelect item 23914650100.
Naeglaeria infection of the central nervous system, CT scan findings: a case series.
Naqi R, Azeemuddin M.
J Pak Med Assoc. 2013 Mar;63(3):399-402.
PMID: 23914650 Free Article Similar articles
Primary amoebic meningoencephalitis: a new case from Venezuela.
Caruzo G, Cardozo J.
Trop Doct. 2008 Oct;38(4):256-7. doi: 10.1258/td.2008.070426.
PMID: 18820207 Similar articlesSelect item 10417693102.

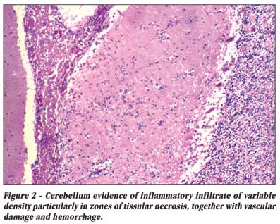
Hình 2
Primary amebic meningoencephalitis due to Naegleria fowleri: an autopsy case in Japan.
Sugita Y, Fujii T, Hayashi I, Aoki T, Yokoyama T, Morimatsu M, Fukuma T, Takamiya Y.
Pathol Int. 1999 May;49(5):468-70.
PMID: 10417693 Similar articlesSelect item 18374627103.
Characterization of brain inflammation during primary amoebic meningoencephalitis.
Cervantes-Sandoval I, Serrano-Luna Jde J, García-Latorre E, Tsutsumi V, Shibayama M.
Parasitol Int. 2008 Sep;57(3):307-13. doi: 10.1016/j.parint.2008.01.006. Epub 2008 Apr 18.
PMID: 18374627 Similar articlesSelect item 28919331104.
Production and characterization of monoclonal antibodies against cathepsin B and cathepsin B-Like proteins of Naegleria fowleri.
Seong GS, Sohn HJ, Kang H, Seo GE, Kim JH, Shin HJ.
Exp Parasitol. 2017 Dec;183:171-177. doi: 10.1016/j.exppara.2017.09.004. Epub 2017 Sep 14.
PMID: 28919331 Similar articlesSelect item 24967566105.
The occurrence of Naegleria fowleri in recreational waters in Arizona.
Sifuentes LY, Choate BL, Gerba CP, Bright KR.
J Environ Sci Health A Tox Hazard Subst Environ Eng. 2014 Sep 19;49(11):1322-30. doi: 10.1080/10934529.2014.910342.
PMID: 24967566 Similar articlesSelect item 28290675106.
Development of Untargeted Metabolomics Methods for the Rapid Detection of Pathogenic Naegleria fowleri.
Yu Z, Miller HC, Puzon GJ, Clowers BH.
Environ Sci Technol. 2017 Apr 18;51(8):4210-4219. doi: 10.1021/acs.est.6b05969. Epub 2017 Mar 29.
PMID: 28290675 Similar articles Select item 2133420107.
Pathogenic free-living amoebae.
Im KI.
Kisaengchunghak Chapchi. 1990 Dec;28 Suppl:29-39. Review.
PMID: 2133420 Free Article Similar articlesSelect item 16906250108.
Meningoencephalitis by Naegleria fowleri: epidemiological study in Anzoategui state, Venezuela.
Cermeño JR, Hernández I, El Yasin H, Tinedo R, Sánchez R, Pérez G, Gravano R, Ruiz A.
Rev Soc Bras Med Trop. 2006 May-Jun;39(3):264-8.
PMID: 16906250 Free Article Similar articles Select item 11831777109.
Isolation of a unique membrane protein from Naegleria fowleri.
Réveiller FL, Suh SJ, Sullivan K, Cabanes PA, Marciano-Cabral F.
J Eukaryot Microbiol. 2001 Nov-Dec;48(6):676-82.
PMID: 11831777 Similar articles Select item 20099054110.
[Molecular diagnosis of a fatal primary amoebic meningoencephalitis in Guadeloupe (French West Indies)].
Nicolas M, De Jonckheere JF, Pernin P, Bataille H, Le Bris V, Herrmann-Storck C.
Bull Soc Pathol Exot. 2010 Feb;103(1):14-8. doi: 10.1007/s13149-009-0028-1. Epub 2010 Jan 22. French.
PMID: 20099054 Similar articlesSelect item 8885886111.
Dependence of growth, metabolic expression, and pathogenicity of Naegleria fowleri on exogenous porphyrins.
Bradley SG, Toney DM, Zhang Y, Marciano-Cabral F.
J Parasitol. 1996 Oct;82(5):763-8.
PMID: 8885886 Similar articlesSelect item 16149694112.
Amphizoic amoebae: pathogenic free-living protozoa; review of the literature and review of cases in Thailand.
Siripanth C.
J Med Assoc Thai. 2005 May;88(5):701-7. Review.
PMID: 16149694 Similar articlesSelect item 15504272113.

Hình 3
Fatal Naegleria fowleri meningoencephalitis, Italy.
Cogo PE, Scagli M, Gatti S, Rossetti F, Alaggio R, Laverda AM, Zhou L, Xiao L, Visvesvara GS.
Emerg Infect Dis. 2004 Oct;10(10):1835-7.
PMID: 15504272 Free PMC Article Similar articlesSelect item 23258265114.
Disruption of MDCK cell tight junctions by the free-living amoeba Naegleria fowleri.
Shibayama M, Martínez-Castillo M, Silva-Olivares A, Galindo-Gómez S, Navarro-García F, Escobar-Herrera J, Sabanero M, Tsutsumi V, Serrano-Luna J.
Microbiology. 2013 Feb;159(Pt 2):392-401. doi: 10.1099/mic.0.063255-0. Epub 2012 Dec 20.
PMID: 23258265 Similar articles Select item 19671781115.
Primary amoebic meningoencephalitis: two new cases from Pakistan.
Saleem T, Rabbani M, Jamil B.
Trop Doct. 2009 Oct;39(4):242-3. doi: 10.1258/td.2009.090032. Epub 2009 Aug 11.
PMID: 19671781 Similar articles Select item 24226628116.
Notes from the field: primary amebic meningoencephalitis associated with ritual nasal rinsing--St. Thomas, U.S. Virgin islands, 2012.
Centers for Disease Control and Prevention (CDC).
MMWR Morb Mortal Wkly Rep. 2013 Nov 15;62(45):903.
PMID: 24226628 Free PMC Article Similar articlesSelect item 15119487117.
Naegleria fowleri hemorrhagic meningoencephalitis: report of two fatalities in children.
Okuda DT, Hanna HJ, Coons SW, Bodensteiner JB.
J Child Neurol. 2004 Mar;19(3):231-3.
PMID: 15119487 Similar articlesSelect item 8242970118.
Successful treatment of amoebic meningoencephalitis in a Chinese living in Hong Kong.
Wang A, Kay R, Poon WS, Ng HK.
Clin Neurol Neurosurg. 1993 Sep;95(3):249-52.
PMID: 8242970 Similar articlesSelect item 11773141119.

Hình 4
Primary meningoencephalitis by Naegleria fowleri: first reported case from Mangalore, South India.
Shenoy S, Wilson G, Prashanth HV, Vidyalakshmi K, Dhanashree B, Bharath R.
J Clin Microbiol. 2002 Jan;40(1):309-10.
PMID: 11773141 Free PMC Article Similar articles Select item 24387688120.
Biocidal efficacy of monochloramine against planktonic and biofilm-associated Naegleria fowleri cells.
Goudot S, Herbelin P, Mathieu L, Soreau S, Banas S, Jorand FP.
J Appl Microbiol. 2014 Apr;116(4):1055-65. doi: 10.1111/jam.12429. Epub 2014 Jan 30.
PMID: 24387688 Free Article Similar articles
Naegleria fowleri infections.
Linam WM, Cope JR.
Travel Med Infect Dis. 2017 Nov - Dec;20:65. doi: 10.1016/j.tmaid.2017.05.007. Epub 2017 May 10. No abstract available.
PMID: 28501613 Similar articlesSelect item 29206032122.
Brain-Eating Amoebae: Silver Nanoparticle Conjugation Enhanced Efficacy of Anti-Amoebic Drugs against Naegleria fowleri.
Rajendran K, Anwar A, Khan NA, Siddiqui R.
ACS Chem Neurosci. 2017 Dec 20;8(12):2626-2630. doi: 10.1021/acschemneuro.7b00430. Epub 2017 Dec 5.
PMID: 29206032 Similar articlesSelect item 28225265123.
Targeting Brain-Eating Amoebae Infections.
Khan NA, ong TYY, Siddiqui R.
ACS Chem Neurosci. 2017 Apr 19;8(4):687-688. doi: 10.1021/acschemneuro.7b00049. Epub 2017 Feb 22.
PMID: 28225265 Similar articlesSelect item 28404683124.

Hình 5
Brain-Eating Amoebae: Predilection Sites in the Brain and Disease Outcome.
Ong TYY, Khan NA, Siddiqui R.
J Clin Microbiol. 2017 Jul;55(7):1989-1997. doi: 10.1128/JCM.02300-16. Epub 2017 Apr 12. Review.
PMID: 28404683 Free PMC Article Similar articlesSelect item 28389055125.
Primary Amebic Meningoencephalitis in Children: A Report of Two Fatal Cases and Review of the Literature.
Stowe RC, Pehlivan D, Friederich KE, Lopez MA, DiCarlo SM, Boerwinkle VL.
Pediatr Neurol. 2017 May;70:75-79. doi: 10.1016/j.pediatrneurol.2017.02.004. Epub 2017 Feb 22. Review.
PMID: 28389055 Similar articles Select item 27381464126.
Naegleria fowleri after 50 years: is it a neglected pathogen?
Martínez-Castillo M, Cárdenas-Zúñiga R, Coronado-Velázquez D, Debnath A, Serrano-Luna J, Shibayama M.
J Med Microbiol. 2016 Sep;65(9):885-896. doi: 10.1099/jmm.0.000303. Epub 2016 Jul 4.
PMID: 27381464 Similar articlesSelect item 15900627127.
Successful treatment of Naegleria fowleri meningoencephalitis by using intravenous amphotericin B, fluconazole and rifampicin.
Vargas-Zepeda J, Gómez-Alcalá AV, Vásquez-Morales JA, Licea-Amaya L, De Jonckheere JF, Lares-Villa F.
Arch Med Res. 2005 Jan-Feb;36(1):83-6.
PMID: 15900627 Similar articles Select item 18214541128.

Hình 6
Cytopathogenesis of Naegleria fowleri Thai strains for cultured human neuroblastoma cells.
Tiewcharoen S, Malainual N, Junnu V, Chetanachan P, Rabablert J.
Parasitol Res. 2008 Apr;102(5):997-1000. doi: 10.1007/s00436-007-0866-3. Epub 2008 Jan 24.
PMID: 18214541 Similar articlesSelect item 14532037129.
Identification of Naegleria fowleri in domestic water sources by nested PCR.
Marciano-Cabral F, MacLean R, Mensah A, LaPat-Polasko L.
Appl Environ Microbiol. 2003 Oct;69(10):5864-9.
PMID: 14532037 Free PMC Article Similar articlesSelect item 27648572130.
Naegleria fowleri Meningoencephalitis Associated with Public Water Supply, Pakistan, 2014.
Ghanchi NK, Khan E, Khan A, Muhammad W, Malik FR, Zafar A.
Emerg Infect Dis. 2016 Oct;22(10):1835-7. doi: 10.3201/eid2210.151236. No abstract available.
PMID: 27648572 Free PMC Article Similar articlesSelect item 27035434131.
Population Structure in Naegleria fowleri as Revealed by Microsatellite Markers.
Coupat-Goutaland B, Régoudis E, Besseyrias M, Mularoni A, Binet M, Herbelin P, Pélandakis M.
PLoS one. 2016 Apr 1;11(4):e0152434. doi: 10.1371/journal.pone.0152434. eCollection 2016.
PMID: 27035434 Free PMC Article Similar articlesSelect item 27217384132.
Photo Quiz: An 8-Year-Old Boy with Meningoencephalitis.
Dallas SD, Greebon LJ, Qiao JC, Arora K.
J Clin Microbiol. 2016 Jun;54(6):1411. doi: 10.1128/JCM.00401-14. No abstract available.
PMID: 27217384 Free PMC Article Similar articlesSelect item 15138806133.
The identification of Naegleria fowleri from water and soil samples by nested PCR.
Maclean RC, Richardson DJ, LePardo R, Marciano-Cabral F.
Parasitol Res. 2004 Jun;93(3):211-7.
PMID: 15138806 Similar articlesSelect item 15338291134.
The involvement of an integrin-like protein and protein kinase C in amoebic adhesion to fibronectin and amoebic cytotoxicity.
Han KL, Lee HJ, Shin MH, Shin HJ, Im KI, Park SJ.
Parasitol Res. 2004 Sep;94(1):53-60. Epub 2004 Jul 31.
PMID: 15338291 Similar articles Select item 9847525135.
[Experimental infection of Naegleria fowleri in mice].
Kuroki T, Yagita K, Sugiyama H, Yamai S, Fukuma T, Katsube Y, Endo T.
Kansenshogaku Zasshi. 1998 Oct;72(10):1064-9. Japanese.
PMID: 9847525 Similar articles Select item 27217389136.
Answer to June 2016 Photo Quiz.
Dallas SD, Greebon LJ, Qiao JC, Arora K.
J Clin Microbiol. 2016 Jun;54(6):1673. doi: 10.1128/JCM.00402-14. No abstract available.
PMID: 27217389 Free PMC Article Similar articlesSelect item 27974249137.

Hình 7
Elimination of Naegleria fowleri from bulk water and biofilm in an operational drinking water distribution system.
Miller HC, Morgan MJ, Wylie JT, Kaksonen AH, Sutton D, Braun K, Puzon GJ.
Water Res. 2017 Mar 1;110:15-26. doi: 10.1016/j.watres.2016.11.061. Epub 2016 Nov 27.
PMID: 27974249 Similar articlesSelect item 26853055138.
Characterization of a Drinking Water Distribution Pipeline Terminally Colonized by Naegleria fowleri.
Morgan MJ, Halstrom S, Wylie JT, Walsh T, Kaksonen AH, Sutton D, Braun K, Puzon GJ.
Environ Sci Technol. 2016 Mar 15;50(6):2890-8. doi: 10.1021/acs.est.5b05657. Epub 2016 Feb 24.
PMID: 26853055 Similar articlesSelect item 27123690139.
Notes from the Field: Primary Amebic Meningoencephalitis Associated with Exposure to Swimming Pool Water Supplied by an Overland Pipe - Inyo County, California, 2015.
Johnson RO, Cope JR, Moskowitz M, Kahler A, Hill V, Behrendt K, Molina L, Fullerton KE, Beach MJ.
MMWR Morb Mortal Wkly Rep. 2016 Apr 29;65(16):424. doi: 10.15585/mmwr.mm6516a4.
PMID: 27123690 Free Article Similar articlesSelect item 29128927140.
Toll-like receptors participate in Naegleria fowleri recognition.
Martínez-Castillo M, Santos-Argumedo L, Galván-Moroyoqui JM, Serrano-Luna J, Shibayama M.
Parasitol Res. 2018 Jan;117(1):75-87. doi: 10.1007/s00436-017-5666-9. Epub 2017 Nov 11.
PMID: 29128927 Similar articles
Fatal primary amoebic meningoencephalitis in a Norwegian tourist returning from Thailand.
Stubhaug TT, Reiakvam OM, Stensvold CR, Hermansen NO, Holberg-Petersen M, Antal EA, Gaustad K, Førde IS, Heger B.
JMM Case Rep. 2016 Jun 25;3(3):e005042. doi: 10.1099/jmmcr.0.005042. eCollection 2016 Jun.
PMID: 28348761 Free PMC Article Similar articlesSelect item 28334109142.

Hình 8
Comparison of biofilm ecology supporting growth of individual Naegleria species in a drinking water distribution system.
Puzon GJ, Wylie JT, Walsh T, Braun K, Morgan MJ.
FEMS Microbiol Ecol. 2017 Apr 1;93(4). doi: 10.1093/femsec/fix017.
PMID: 28334109 Similar articles Select item 28664704143.
Human infections caused by free-living amoebae.
Król-Turmińska K, Olender A.
Ann Agric Environ Med. 2017 May 11;24(2):254-260. doi: 10.5604/12321966.1233568. Review.
PMID: 28664704 Free Article Similar articles Select item 29783165144.
Preferential feeding in Naegleria fowleri; intracellular bacteria isolated from amoebae in operational drinking water distribution systems.
Miller HC, Morgan MJ, Walsh T, Wylie JT, Kaksonen AH, Puzon GJ.
Water Res. 2018 May 6;141:126-134. doi: 10.1016/j.watres.2018.05.004. [Epub ahead of print]
PMID: 29783165 Similar articles Select item 29241583145.
Surviving Naegleria fowleri infections: Response.
Heggie TW.
Travel Med Infect Dis. 2017 Nov - Dec;20:66. doi: 10.1016/j.tmaid.2017.11.010. No abstract available.
PMID: 29241583 Similar articlesSelect item 17610083146.
Production of Nfa1-specific monoclonal antibodies that influences the in vitro cytotoxicity of Naegleria fowleri trophozoites on microglial cells.
Lee YJ, Kim JH, Jeong SR, Song KJ, Kim K, Park S, Park MS, Shin HJ.
Parasitol Res. 2007 Oct;101(5):1191-6. Epub 2007 Jul 4.
PMID: 17610083 Similar articlesSelect item 25352239147.
Soil is the origin for the presence of Naegleria fowleri in the thermal recreational waters.
Moussa M, Tissot O, Guerlotté J, De Jonckheere JF, Talarmin A.
Parasitol Res. 2015 Jan;114(1):311-5. doi: 10.1007/s00436-014-4197-x. Epub 2014 Oct 30.
PMID: 25352239 Similar articlesSelect item 22544673148.
Youngest survivor of naegleria meningitis.
Yadav D, Aneja S, Dutta R, Maheshwari A, Seth A.
Indian J Pediatr. 2013 Mar;80(3):253-4. doi: 10.1007/s12098-012-0756-2. Epub 2012 Apr 28.
PMID: 22544673 Similar articlesSelect item 25855343149.

Hình 9
Comparison of real-time PCR methods for the detection of Naegleria fowleri in surface water and sediment.
Streby A, Mull BJ, Levy K, Hill VR.
Parasitol Res. 2015 May;114(5):1739-46. doi: 10.1007/s00436-015-4359-5. Epub 2015 Feb 18.
PMID: 25855343 Free PMC Article Similar articlesSelect item 28451034150.
Free-living amoebae isolated in the Central African Republic: epidemiological and molecular aspects.
Farra A, Bekondi C, Tricou V, Mbecko JR, Talarmin A.
Pan Afr Med J. 2017 Feb 1;26:57. doi: 10.11604/pamj.2017.26.57.9021. eCollection 2017.
PMID: 28451034 Free PMC Article Similar articles Select item 6279166151.
Elevated levels of cellular and extracellular phospholipases from pathogenic Naegleria fowleri.
Hysmith RM, Franson RC.
Biochim Biophys Acta. 1982 Apr 15;711(1):26-32.
PMID: 6279166 Similar articles Select item 19756751152.
Immunodominant antigens in Naegleria fowleri excretory--secretory proteins were potential pathogenic factors.
Kim JH, Yang AH, Sohn HJ, Kim D, Song KJ, Shin HJ.
Parasitol Res. 2009 Nov;105(6):1675-81. doi: 10.1007/s00436-009-1610-y. Epub 2009 Sep 16.
PMID: 19756751 Similar articlesSelect item 18685867153.
Scanning electron microscopic study of human neuroblastoma cells affected with Naegleria fowleri Thai strains.
Tiewcharoen S, Rabablert J, Chetanachan P, Junnu V, Worawirounwong D, Malainual N.
Parasitol Res. 2008 Oct;103(5):1119-23. doi: 10.1007/s00436-008-1103-4. Epub 2008 Aug 7.
PMID: 18685867 Similar articles Select item 18421477154.
Heat shock protein 70 of Naegleria fowleri is important factor for proliferation and in vitro cytotoxicity.
Song KJ, Song KH, Kim JH, Sohn HJ, Lee YJ, Park CE, Shin HJ.
Parasitol Res. 2008 Jul;103(2):313-7. doi: 10.1007/s00436-008-0972-x. Epub 2008 Apr 18.
PMID: 18421477 Similar articlesSelect item 26770029155.

Hình 10
Computational identification of putative miRNAs and their target genes in pathogenic amoeba Naegleria fowleri.
Padmashree D, Swamy NR.
Bioinformation. 2015 Dec 31;11(12):550-7. doi: 10.6026/97320630011550. eCollection 2015.
PMID: 26770029 Free PMC Article Similar articles Select item 29390181156.
Competition between Naegleria fowleri and Free Living Amoeba Colonizing Laboratory Scale and Operational Drinking Water Distribution Systems.
Miller HC, Wylie JT, Kaksonen AH, Sutton D, Puzon GJ.
Environ Sci Technol. 2018 Mar 6;52(5):2549-2557. doi: 10.1021/acs.est.7b05717. Epub 2018 Feb 21.
PMID: 29390181 Similar articlesSelect item 28608712157.
Nf-GH, a glycosidase secreted by Naegleria fowleri, causes mucin degradation: an in vitro and in vivo study.
Martínez-Castillo M, Cárdenas-Guerra RE, Arroyo R, Debnath A, Rodríguez MA, Sabanero M, Flores-Sánchez F, Navarro-Garcia F, Serrano-Luna J, Shibayama M.
Future Microbiol. 2017 Jul;12:781-799. doi: 10.2217/fmb-2016-0230. Epub 2017 Jun 13.
PMID: 28608712 Similar articlesSelect item 7769177158.

Hình 11
Parasitic infections of the central nervous system in children. Part I: Congenital infections and meningoencephalitis.
Lowichik A, Siegel JD.
J Child Neurol. 1995 Jan;10(1):4-17. Review.
PMID: 7769177 Similar articlesSelect item 19136411159.
A 22-year-old man with headache and stiff neck after a water skiing fall.
Jones K, Singhatiraj E, MacDougall R, Beaver TR, Nugent K.
Chest. 2009 Jan;135(1):225-227. doi: 10.1378/chest.08-0984. No abstract available.
PMID: 19136411 Similar articlesSelect item 29220778160.
Quantitative assessment of Naegleria fowleri and fecal indicator bacteria in brackish water of Lake Pontchartrain, Louisiana.
Xue J, Lamar FG, Zhang B, Lin S, Lamori JG, Sherchan SP.
Sci Total Environ. 2018 May 1;622-623:8-16. doi: 10.1016/j.scitotenv.2017.11.308. Epub 2017 Dec 13.
PMID: 29220778 Similar articles
Expression, purification, enzymatic characterization and crystallization of glyceraldehyde-3-phosphate dehydrogenase from Naegleria gruberi, the first one from phylum Percolozoa.
Machado ATP, Silva M, Iulek J.
Protein Expr Purif. 2016 Nov;127:125-130. doi: 10.1016/j.pep.2016.07.007. Epub 2016 Jul 15. Review.
PMID: 27426132 Similar articlesSelect item 28501667162.
Update and new insights in encephalitis.
Mailles A, Stahl JP, Bloch KC.
Clin Microbiol Infect. 2017 Sep;23(9):607-613. doi: 10.1016/j.cmi.2017.05.002. Epub 2017 May 10. Review.
PMID: 28501667 Similar articles Select item 22899941163.

Hình 12
Primary amoebic meningoencephalitis in an Iranian infant.
Movahedi Z, Shokrollahi MR, Aghaali M, Heydari H.
Case Rep Med. 2012;2012:782854. doi: 10.1155/2012/782854. Epub 2012 Jul 26.
PMID: 22899941 Free PMC Article Similar articles Select item 27614893164.
Primary Amebic Meningoencephalitis: What Have We Learned in the Last 5 Years?
Cope JR, Ali IK.
Curr Infect Dis Rep. 2016 Sep;18(10):31. doi: 10.1007/s11908-016-0539-4. Review.
PMID: 27614893 Free PMC Article Similar articles Select item 29655298165.
An In Vitro Model of the Blood-Brain Barrier: Naegleria fowleri Affects the Tight Junction Proteins and Activates the Microvascular Endothelial Cells.
Coronado-Velázquez D, Betanzos A, Serrano-Luna J, Shibayama M.
J Eukaryot Microbiol. 2018 Apr 14. doi: 10.1111/jeu.12522. [Epub ahead of print]
PMID: 29655298 Similar articlesSelect item 29744128166.

Hình 13
Fatal case of amoebic encephalitis masquerading as herpes.
Baral R, Vaidya B.
Oxf Med Case Reports. 2018 May 3;2018(5):omy010. doi: 10.1093/omcr/omy010. eCollection 2018 May.
PMID: 29744128 Free PMC Article Similar articles Select item 26981318167.
Pharmacy Students' Knowledge Assessment of Naegleria fowleri Infection.
Shakeel S, Iffat W, Khan M.
Scientifica (Cairo). 2016;2016:2498283. doi: 10.1155/2016/2498283. Epub 2016 Feb 15.
PMID: 26981318 Free PMC Article Similar articlesSelect item 28933530168.
Future Priorities in Tackling Infections Due to Brain-Eating Amoebae.
Khan NA, Anwar A, Siddiqui R.
ACS Chem Neurosci. 2017 Nov 15;8(11):2355. doi: 10.1021/acschemneuro.7b00343. Epub 2017 Sep 21.
PMID: 28933530 Similar articles
Primary amebic meningoencephalitis: a review of the clinical literature.
Hannisch W, Hallagan LF.
Wilderness Environ Med. 1997 Nov;8(4):211-3. Review.
PMID: 11990164 Similar articles Select item 1142570422.
Assessing the risk of primary amoebic meningoencephalitis from swimming in the presence of environmental Naegleria fowleri.
Cabanes PA, Wallet F, Pringuez E, Pernin P.
Appl Environ Microbiol. 2001 Jul;67(7):2927-31.
PMID: 11425704 Free PMC Article Similar articles Select item 1984599523.
The epidemiology of primary amoebic meningoencephalitis in the USA, 1962-2008.
Yoder JS, Eddy BA, Visvesvara GS, Capewell L, Beach MJ.
Epidemiol Infect. 2010 Jul;138(7):968-75. doi: 10.1017/S0950268809991014. Epub 2009 Oct 22.
PMID: 19845995 Similar articles Select item 1649339924.

Hình 14
Proteinases in Naegleria Fowleri (strain NF3), a pathogenic amoeba: a preliminary study.
Mat Amin N.
Trop Biomed. 2004 Dec;21(2):57-60.
PMID: 16493399 Free Article Similar articles Select item 1706052225.
Synergistic activities of azithromycin and amphotericin B against Naegleria fowleri in vitro and in a mouse model of primary amebic meningoencephalitis.
Soltow SM, Brenner GM.
Antimicrob Agents Chemother. 2007 Jan;51(1):23-7. Epub 2006 Oct 23.
PMID: 17060522 Free PMC Article Similar articlesSelect item 1091660926.
Naegleria fowleri: a free living amoeba of emerging medical importance.
Parija SC, Jayakeerthee SR.
J Commun Dis. 1999 Sep;31(3):153-9. Review.
PMID: 10916609 Similar articles Select item 2427990827.
Risk for transmission of Naegleria fowleri from solid organ transplantation.
Roy SL, Metzger R, Chen JG, Laham FR, Martin M, Kipper SW, Smith LE, Lyon GM 3rd, Haffner J, Ross JE, Rye AK, Johnson W, Bodager D, Friedman M, Walsh DJ, Collins C, Inman B, Davis BJ, Robinson T, Paddock C, Zaki SR, Kuehnert M, DaSilva A, Qvarnstrom Y, Sriram R, Visvesvara GS.
Am J Transplant. 2014 Jan;14(1):163-71. doi: 10.1111/ajt.12536. Epub 2013 Nov 26.
PMID: 24279908 Free PMC Article Similar articlesSelect item 2625979728.
Naegleria fowleri: pathogenesis, diagnosis, and treatment options.
Grace E, Asbill S, Virga K.
Antimicrob Agents Chemother. 2015 Nov;59(11):6677-81. doi: 10.1128/AAC.01293-15. Epub 2015 Aug 10. Review.
PMID: 26259797 Free PMC Article Similar articlesSelect item 2829067529.
Development of Untargeted Metabolomics Methods for the Rapid Detection of Pathogenic Naegleria fowleri.
Yu Z, Miller HC, Puzon GJ, Clowers BH.
Environ Sci Technol. 2017 Apr 18;51(8):4210-4219. doi: 10.1021/acs.est.6b05969. Epub 2017 Mar 29.
PMID: 28290675 Similar articles Select item 2677002930.
Computational identification of putative miRNAs and their target genes in pathogenic amoeba Naegleria fowleri.
Padmashree D, Swamy NR.
Bioinformation. 2015 Dec 31;11(12):550-7. doi: 10.6026/97320630011550. eCollection 2015.
PMID: 26770029 Free PMC Article Similar articlesSelect item 2768197531.
Primary amoebic meningoencephalitis in North Queensland: the paediatric experience.
Nicholls CL, Parsonson F, Gray LE, Heyer A, Donohue S, Wiseman G, Norton R.
Med J Aust. 2016 Oct 3;205(7):325-8. Review.
PMID: 27681975 Similar articles Select item 2192652332.
Primary amoebic meningoencephalitis with subsequent organ procurement: a case study.
Tuppeny M.
J Neurosci Nurs. 2011 Oct;43(5):274-9. doi: 10.1097/JNN.0b013e318227ef6e.
PMID: 21926523 Similar articles Select item 2560536333.

Hình 15
Bis-benzimidazole hits against Naegleria fowleri discovered with new high-throughput screens.
Rice CA, Colon BL, Alp M, Göker H, Boykin DW, Kyle DE.
Antimicrob Agents Chemother. 2015 Apr;59(4):2037-44. doi: 10.1128/AAC.05122-14. Epub 2015 Jan 20.
PMID: 25605363 Free PMC Article Similar articlesSelect item 1789480434.
The immune response to Naegleria fowleri amebae and pathogenesis of infection.
Marciano-Cabral F, Cabral GA.
FEMS Immunol Med Microbiol. 2007 Nov;51(2):243-59. Epub 2007 Sep 21. Review.
PMID: 17894804 Free Article Similar articles Select item 2560467235.
Protective immunity against Naegleria fowleri infection on mice immunized with the rNfa1 protein using mucosal adjuvants.
Lee J, Yoo JK, Sohn HJ, Kang HK, Kim D, Shin HJ, Kim JH.
Parasitol Res. 2015 Apr;114(4):1377-85. doi: 10.1007/s00436-015-4316-3. Epub 2015 Jan 22.
PMID: 25604672 Similar articlesSelect item 1615699036.