Đơn bào đứng về thuyết tiến hóa là những động vật hình thành sớm nhất, nên được gọi là nguyên sinh động vật để phân biệt với hậu sinh động vật (sinh vật đa bào). Chúng có phân bố ở khắp nơi (đất, nước ngọt, nước mặn, trong cơ thể sinh vật khác). Đây là nét khác biệt chính so với thực vật nguyên sinh (được xem là những sinh vật đơn bào không có khả năng chuyển động và thực hiện trao đổi chất qua quá trình quang hợp).
Động vật nguyên sinh ước tính hiện có khoảng 25.000-30.000 loài, trong đó một số cũng có cả khả năng quang hợp. Động vật nguyên sinh là một dạng sống đơn giản, mặc dù cơ thể chỉ có một tế bào, nhưng có khả năng thực hiện đầy đủ các hoạt động sống như một cơ thể đa bào hoàn chỉnh, chúng có thể thu lấy thức ăn, tiêu hóa, tổng hợp, hô hấp, bài tiết, điều hòa điện giải ion và điều hòa áp suất thẩm thấu, di chuyển và sinh sản. Sở dĩ chúng có thể thực hiện được các hoạt động sống đó là vì trong cơ thể cũng có những bộ phận giống với các bộ phận ở tế bào của cơ thể đa bào như nhân, ty thể, nguyên sinh chất, bộ, Golgi, không bào co bóp và không bào tiêu hóa. Một số động vật nguyên sinh còn có bào hầu nối liền bào khẩu với túi tiêu hóa, tiêm mao hoặc chiên mao hoạt động được nhờ thể gốc. Động vật nguyên sinh thường có kích thước 0,01 – 0,05mm và không phải là động vật thực sự. Trong khi chưa có định nghĩa nào chính xác về thuật ngữ protozoa, người ta thường ám chỉ như các sinh vật nguyên sinh đơn nhân dị dưỡng, chẳng hạn amip và trùng lông. Thuật ngữ algae thường sử dụng cho các vi sinh vật có tính quang hợp. Tuy nhiên, sự phân biệt giữa protozoa và algae thường không rõ ràng. Chẳng hạn, alga Dinobryon có chloroplast để quang hợp, nhưng chúng có thể ăn các chất hữu cơ và có thể di động.
Entamoeba histolytica cysteine proteinases disrupt the polymeric structure of colonic mucin and alter its protective function.
Moncada D, Keller K, Chadee K.
Infect Immun. 2003 Feb;71(2):838-44.
PMID: 12540564 Free PMC Article Similar articles Select item 786823286.

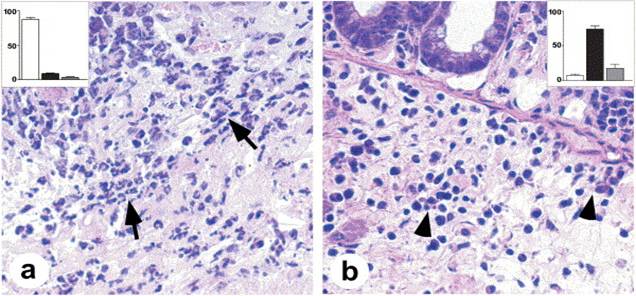
Hình 1
Entamoeba histolytica suppresses gamma interferon-induced macrophage class II major histocompatibility complex Ia molecule and I-A beta mRNA expression by a prostaglandin E2-dependent mechanism.
Wang W, Chadee K.
Infect Immun. 1995 Mar;63(3):1089-94.
PMID: 7868232 Free PMC Article Similar articles Select item 288573387.
Ameba-bacterium relationship in amebiasis.
Mirelman D.
Microbiol Rev. 1987 Jun;51(2):272-84. Review. No abstract available.
PMID: 2885733 Free PMC Article Similar articles Select item 1044557388.
Asymptomatic amebic colitis in a homosexual man.
Yoshikawa I, Murata I, Yano K, Kume K, Otsuki M.
Am J Gastroenterol. 1999 Aug;94(8):2306-8.
PMID: 10445573 Similar articles Select item 172666389.

Hình 2
[The eosinophil and Entamoeba histolytica. II. Testicular amebic lesions produced in eosinophilic rats].
López-Osuna M, Pérez-Tamayo R, Frenk P, Kretschmer R.
Arch Invest Med (Mex). 1990;21 Suppl 1:263-5. Spanish.
PMID: 1726663 Similar articles Select item 1675322990.
Increased expression of the major cysteine proteinases by stable episomal transfection underlines the important role of EhCP5 for the pathogenicity of Entamoeba histolytica.
Tillack M, Nowak N, Lotter H, Bracha R, Mirelman D, Tannich E, Bruchhaus I.
Mol Biochem Parasitol. 2006 Sep;149(1):58-64. Epub 2006 May 19.
PMID: 16753229 Similar articles Select item 158248091.
An experimental model of ameboma in guinea pig.
Bhatti HS, Bhushnurmath S, Mahajan RC, Ganguly NK, Sehgal R.
Exp Parasitol. 1992 May;74(3):283-9.
PMID: 1582480 Similar articles Select item 1798433592.
Seroprevalence of Entamoeba histolytica infection in HIV-infected patients in China.
Chen Y, Zhang Y, Yang B, Qi T, Lu H, Cheng X, Tachibana H.
Am J Trop Med Hyg. 2007 Nov;77(5):825-8.
PMID: 17984335 Similar articles Select item 1579195693.

Hình 3
Entamoeba histolytica activates host cell caspases during contact-dependent cell killing.
Boettner DR, Petri WA.
Curr Top Microbiol Immunol. 2005;289:175-84. Review.
PMID: 15791956 Similar articles Select item 2551661494.
Leptin receptor mutation results in defective neutrophil recruitment to the colon during Entamoeba histolytica infection.
Naylor C, Burgess S, Madan R, Buonomo E, Razzaq K, Ralston K, Petri WA Jr.
MBio. 2014 Dec 16;5(6). pii: e02046-14. doi: 10.1128/mBio.02046-14.
PMID: 25516614 Free PMC Article Similar articles Select item 1602663095.

Hình 4
Cellular and molecular mechanisms that underlie Entamoeba histolytica pathogenesis: prospects for intervention.
Laughlin RC, Temesvari LA.
Expert Rev Mol Med. 2005 Jul 18;7(13):1-19. Review.
PMID: 16026630 Similar articles Select item 2535269396.
Degradation of the transcription factors NF-κB, STAT3, and STAT5 is involved in Entamoeba histolytica-induced cell death in Caco-2 colonic epithelial cells.
Kim KA, Min A, Lee YA, Shin MH.
Korean J Parasitol. 2014 Oct;52(5):459-69. doi: 10.3347/kjp.2014.52.5.459. Epub 2014 Oct 22.
PMID: 25352693 Free PMC Article Similar articles Select item 841557097.
Dose- and time-dependent functional and structural damage to the colon mucosa by Entamoeba histolytica trophozoite lysates.
Navarro-García F, López-Revilla R, Tstusumi V.
Parasitol Res. 1993;79(6):517-22.
PMID: 8415570 Similar articles Select item 2968598298.

Hình 5
Entamoeba histolytica Alters ileal Paneth Cell Functions in Intact and Muc2 Mucin Deficiency.
Cobo ER, Holani R, Moreau F, Nakamura K, Ayabe T, Mastroianni JR, Ouellette A, Chadee K.
Infect Immun. 2018 Apr 23. pii: IAI.00208-18. doi: 10.1128/IAI.00208-18. [Epub ahead of print]
PMID: 29685982 Similar articles Select item 2925507699.
Intestinal Inflammation-Mediated Clearance of Amebic Parasites Is Dependent on IFN-γ.
Shimokawa C, Senba M, Kobayashi S, Kikuchi M, Obi S, Olia A, Hamano S, Hisaeda H.
J Immunol. 2018 Feb 1;200(3):1101-1109. doi: 10.4049/jimmunol.1700806. Epub 2017 Dec 18.
PMID: 29255076 Similar articles

Hình 6
An amebic protein disulfide isomerase (PDI) complements the yeast PDI1 mutation but is unable to support cell viability under ER or thermal stress
Rosa E. Mares, Marco A. Ramos
FEBS Open Bio. 2018 Jan; 8(1): 49–55. Published online 2017 Nov 29. doi: 10.1002/2211-5463.12350
PMCID: PMC5757170 Article PubReader PDF–404KCitation
Sirtuin-3 Is Expressed by Enteric Neurons but It Does not Play a Major Role in Their Regulation of Oxidative Stress
Rebecca K. Bubenheimer, Isola A. M. Brown, David E. Fried, Jonathon L. McClain, Brian D. Gulbransen
Front Cell Neurosci. 2016; 10: 73. Published online 2016 Mar 22. doi: 10.3389/fncel.2016.00073
PMCID: PMC4801875 Article PubReader PDF–1.2MCitation
Gastrointestinal Parasites and the Neural Control of Gut Functions
Marie C. M. Halliez, André G. Buret
Front Cell Neurosci. 2015; 9: 452. Published online 2015 Nov 25. doi: 10.3389/fncel.2015.00452
PMCID: PMC4658430 Article PubReader PDF–530KCitation

Hình 7
Administration of defined microbiota is protective in a murine Salmonella infection model
Sarah-Lynn E. Martz, Julie A. K. McDonald, Jun Sun, Yong-guo Zhang, Gregory B. Gloor, Curtis Noordhof, Shu-Mei He, Teklu K. Gerbaba, Michael Blennerhassett, David J. Hurlbut, Emma Allen-Vercoe, Erika C. Claud, Elaine O. Petrof
Sci Rep. 2015; 5: 16094. Published online 2015 Nov 4. doi: 10.1038/srep16094
PMCID: PMC4632038 Article PubReader PDF–1.8MCitation
Globalised world, globalised diseases: A case report on an amoebiasis-associated colon perforation
Marcus Redaèlli, Jawad Mahmoohdzad, Rahim Lang, Martin Schencking
World J Clin Cases. 2013 May 16; 1(2): 79–81. Published online 2013 May 16. doi: 10.12998/wjcc.v1.i2.79
PMCID: PMC3845938 Article PubReader PDF–790KCitation
Effect of the Leptin Receptor Q223R Polymorphism on the Host Transcriptome following Infection with Entamoeba histolytica
Nicole M. Mackey-Lawrence, Xiaoti Guo, Daniel E. Sturdevant, Kimmo Virtaneva, Matthew M. Hernandez, Eric Houpt, Alan Sher, Stephen F. Porcella, William A. Petri, Jr.
Infect Immun. 2013 May; 81(5): 1460–1470. doi: 10.1128/IAI.01383-12
Correction in: Infect Immun. 2013 Nov; 81(11): 4322.
PMCID: PMC3647980 Article PubReader PDF–2.3MCitation
MECHANSIMS OF SMOOTH MUSCLE REPSONSES TO INFLAMMATION
Terez Shea-Donohue, Luigi Notari, Rex Sun, Aiping Zhao
Neurogastroenterol Motil. Author manuscript; available in PMC 2014 Jun 24.
Published in final edited form as: Neurogastroenterol Motil. 2012 Sep; 24(9): 802–811. doi: 10.1111/j.1365-2982.2012.01986.x
PMCID: PMC4068333 Article PubReader PDF–97KCitation
Entamoeba histolytica infection in children and protection from subsequent amebiasis.
Haque R, Mondal D, Duggal P, Kabir M, Roy S, Farr BM, Sack RB, Petri WA Jr.
Infect Immun. 2006 Feb;74(2):904-9.
PMID: 16428733 Free PMC Article Similar articles Select item 104033382.

Hình 8
Prevalence and immune response to Entamoeba histolytica infection in preschool children in Bangladesh.
Haque R, Ali IM, Petri WA Jr.
Am J Trop Med Hyg. 1999 Jun;60(6):1031-4.
PMID: 10403338 Similar articles Select item 146405003.
Epidemiologic and clinical characteristics of acute diarrhea with emphasis on Entamoeba histolytica infections in preschool children in an urban slum of Dhaka, Bangladesh.
Haque R, Mondal D, Kirkpatrick BD, Akther S, Farr BM, Sack RB, Petri WA Jr.
Am J Trop Med Hyg. 2003 Oct;69(4):398-405.
PMID: 14640500 Similar articles Select item 267129504.
Role of the Gut Microbiota of Children in Diarrhea Due to the Protozoan Parasite Entamoeba histolytica.
Gilchrist CA, Petri SE, Schneider BN, Reichman DJ, Jiang N, Begum S, Watanabe K, Jansen CS, Elliott KP, Burgess SL, Ma JZ, Alam M, Kabir M, Haque R, Petri WA Jr.
J Infect Dis. 2016 May 15;213(10):1579-85. doi: 10.1093/infdis/jiv772. Epub 2015 Dec 27.
PMID: 26712950 Free PMC Article Similar articles Select item 113720325.
Amebiasis and mucosal IgA antibody against the Entamoeba histolytica adherence lectin in Bangladeshi children.
Haque R, Ali IM, Sack RB, Farr BM, Ramakrishnan G, Petri WA Jr.
J Infect Dis. 2001 Jun 15;183(12):1787-93. Epub 2001 May 15.
PMID: 11372032 Similar articles Select item 121953836.
Innate and acquired resistance to amebiasis in bangladeshi children.
Haque R, Duggal P, Ali IM, Hossain MB, Mondal D, Sack RB, Farr BM, Beaty TH, Petri WA Jr.
J Infect Dis. 2002 Aug 15;186(4):547-52. Epub 2002 Jul 19.
PMID: 12195383 Similar articles Select item 109703647.
Diagnosis of amebic liver abscess and intestinal infection with the TechLab Entamoeba histolytica II antigen detection and antibody tests.
Haque R, Mollah NU, Ali IK, Alam K, Eubanks A, Lyerly D, Petri WA Jr.
J Clin Microbiol. 2000 Sep;38(9):3235-9.
PMID: 10970364 Free PMC Article Similar articles Select item 147411528.
Prevention of intestinal amebiasis by vaccination with the Entamoeba histolytica Gal/GalNac lectin.
Houpt E, Barroso L, Lockhart L, Wright R, Cramer C, Lyerly D, Petri WA.
Vaccine. 2004 Jan 26;22(5-6):611-7.
PMID: 14741152 Similar articles Select item 97380649.
Seropositivity for and intestinal colonization with Entamoeba histolytica and entamoeba dispar in individuals in northeastern Brazil.
Braga LL, Mendonca Y, Paiva CA, Sales A, Cavalcante AL, Mann BJ.
J Clin Microbiol. 1998 Oct;36(10):3044-5.
PMID: 9738064 Free PMC Article Similar articles Select item 1147110910.
Protective immunity to amebiasis: new insights and new challenges.
Stanley SL Jr.
J Infect Dis. 2001 Aug 15;184(4):504-6. Epub 2001 Jul 6. Review.
PMID: 11471109 Similar articles Select item 902570011.

Hình 9
Seroepidemiology of Entamoeba histolytica in a slum in northeastern Brazil.
Braga LL, Lima AA, Sears CL, Newman RD, Wuhib T, Paiva CA, Guerrant RL, Mann BJ.
Am J Trop Med Hyg. 1996 Dec;55(6):693-7.
PMID: 9025700 Similar articles Select item 1729704612.
Correlation of interferon-gamma production by peripheral blood mononuclear cells with childhood malnutrition and susceptibility to amebiasis.
Haque R, Mondal D, Shu J, Roy S, Kabir M, Davis AN, Duggal P, Petri WA Jr.
Am J Trop Med Hyg. 2007 Feb;76(2):340-4.
PMID: 17297046 Similar articles Select item 1463877813.
Intestinal antilectin immunoglobulin A antibody response and immunity to Entamoeba dispar infection following cure of amebic liver abscess.
Ravdin JI, Abd-Alla MD, Welles SL, Reddy S, Jackson TF.
Infect Immun. 2003 Dec;71(12):6899-905.
PMID: 14638778 Free PMC Article Similar articles Select item 1722986414.

Hình 10
PCR detection of Entamoeba histolytica, Entamoeba dispar, and Entamoeba moshkovskii in stool samples from Sydney, Australia.
Fotedar R, Stark D, Beebe N, Marriott D, Ellis J, Harkness J.
J Clin Microbiol. 2007 Mar;45(3):1035-7. Epub 2007 Jan 17.
PMID: 17229864 Free PMC Article Similar articles Select item 1990622515.
Association of malnutrition with amebiasis.
Petri WA Jr, Mondal D, Peterson KM, Duggal P, Haque R.
Nutr Rev. 2009 Nov;67 Suppl 2:S207-15. doi: 10.1111/j.1753-4887.2009.00242.x. Review.
PMID: 19906225 Similar articles Select item 134031516.
Further diagnostic use of an invasive-specific monoclonal antibody against Entamoeba histolytica.
González-Ruíz A, Haque R, Rehman T, Aguirre A, Castañón G, Hall A, Guhl F, Ruíz-Palacios G, Warhurst DC, Miles MA.
Arch Med Res. 1992;23(2):281-3.
PMID: 1340315 Similar articles Select item 2761615017.
Entamoeba histolytica: Overexpression of the gal/galnac lectin, ehcp2 and ehcp5 genes in an in vivo model of amebiasis.
Sánchez V, Serrano-Luna J, Ramírez-Moreno E, Tsutsumi V, Shibayama M.
Parasitol Int. 2016 Dec;65(6 Pt A):665-667. doi: 10.1016/j.parint.2016.08.009. Epub 2016 Sep 5.
PMID: 27616150 Similar articles Select item 1474571118.

Hình 11
Influence of human leukocyte antigen class II alleles on susceptibility to Entamoeba histolytica infection in Bangladeshi children.
Duggal P, Haque R, Roy S, Mondal D, Sack RB, Farr BM, Beaty TH, Petri WA Jr.
J Infect Dis. 2004 Feb 1;189(3):520-6. Epub 2004 Jan 20.
PMID: 14745711 Similar articles Select item 1573836919.
Invasive amebiasis as an emerging parasitic disease in patients with human immunodeficiency virus type 1 infection in Taiwan.
Hung CC, Deng HY, Hsiao WH, Hsieh SM, Hsiao CF, Chen MY, Chang SC, Su KE.
Arch Intern Med. 2005 Feb 28;165(4):409-15.
PMID: 15738369 Similar articles Select item 290270520.
The prevalence of Entamoeba histolytica in lactating women and in their infants in Bangladesh.
Islam A, Stoll BJ, Ljungstrom I, Biswas J, Nazrul H, Huldt G.
Trans R Soc Trop Med Hyg. 1988;82(1):99-103.
PMID: 2902705 Similar articles
Amebiasis and comparison of microscopy to ELISA technique in detection of Entamoeba histolytica and Entamoeba dispar.
Nesbitt RA, Mosha FW, Katki HA, Ashraf M, Assenga C, Lee CM.
J Natl Med Assoc. 2004 May;96(5):671-7.
PMID: 15160983 Free PMC Article Similar articles Select item 904135722.
Entamoeba histolytica and Entamoeba dispar infection in children in Bangladesh.
Haque R, Faruque AS, Hahn P, Lyerly DM, Petri WA Jr.
J Infect Dis. 1997 Mar;175(3):734-6.
PMID: 9041357 Similar articles Select item 1595533223.


Hình 12+13
Comparison of two methods (microscopy and enzyme-linked immunosorbent assay) for the diagnosis of amebiasis.
Tanyuksel M, Yilmaz H, Ulukanligil M, Araz E, Cicek M, Koru O, Tas Z, Petri WA Jr.
Exp Parasitol. 2005 Jul;110(3):322-6. Epub 2005 Mar 23.
PMID: 15955332 Similar articles Select item 886303624.
Protozoa. Amebiasis.
Li E, Stanley SL Jr.
Gastroenterol Clin North Am. 1996 Sep;25(3):471-92. Review.
PMID: 8863036 Similar articles Select item 1799134625.
Amebic colitis: new insights into pathogenesis and treatment.
Bercu TE, Petri WA, Behm JW.
Curr Gastroenterol Rep. 2007 Oct;9(5):429-33. Review.
PMID: 17991346 Similar articles Select item 802735126.

Hình 13
Diagnosis of amebic dysentery by detection of Entamoeba histolytica fecal antigen by an invasive strain-specific, monoclonal antibody-based enzyme-linked immunosorbent assay.
Gonzalez-Ruiz A, Haque R, Rehman T, Aguirre A, Hall A, Guhl F, Warhurst DC, Miles MA.
J Clin Microbiol. 1994 Apr;32(4):964-70.
PMID: 8027351 Free PMC Article Similar articles Select item 820372227.
Role of mucosal secretory immunity in the development of an amebiasis vaccine.
Ravdin JI, Kelsall BL.
Am J Trop Med Hyg. 1994;50(5 Suppl):36-41. Review.
PMID: 8203722 Similar articles Select item 134031028.
A survey of Entamoeba histolytica and Entamoeba dispar (Brumpt) infections on Mahé, the Seychelles.
Sargeaunt PG.
Arch Med Res. 1992;23(2):265-7.
PMID: 1340310 Similar articles Select item 2240645729.
Efficacy of a Gal-lectin subunit vaccine against experimental Entamoeba histolytica infection and colitis in baboons (Papio sp.).
Abd Alla MD, Wolf R, White GL, Kosanke SD, Cary D, Verweij JJ, Zhang MJ, Ravdin JI.
Vaccine. 2012 Apr 26;30(20):3068-75. doi: 10.1016/j.vaccine.2012.02.066. Epub 2012 Mar 8.
PMID: 22406457 Similar articles Select item 2759428330.
Prevalence of Entamoeba spp. in Stool Samples of Patients with Amebiasis Suspect by Native-Lugol and ELISA.
Beyhan YE, Yılmaz H, Taş Cengiz Z.
Turkiye Parazitol Derg. 2016 Jun;40(2):59-62. doi: 10.5152/tpd.2016.4424.
PMID: 27594283 Free Article Similar articles Select item 1218315131.
Opportunities and obstacles in developing a vaccine for Entamoeba histolytica.
Miller-Sims VC, Petri WA Jr.
Curr Opin Immunol. 2002 Oct;14(5):549-52. Review.
PMID: 12183151 Similar articles Select item 2892790632.
IL-17A contributes to reducing IFN-γ/IL-4 ratio and persistence of Entamoeba histolytica during intestinal amebiasis.
Deloer S, Nakamura R, Kikuchi M, Moriyasu T, Kalenda YDJ, Mohammed ES, Senba M, Iwakura Y, Yoshida H, Hamano S.
Parasitol Int. 2017 Dec;66(6):817-823. doi: 10.1016/j.parint.2017.09.011. Epub 2017 Sep 18.
PMID: 28927906 Similar articles Select item 288497333.
Epidemiology of amebiasis in a rural community of Mexico: serologic and coproparasitoscopic survey.
Martínez MC, Hernández-Velarde R, Castro-Delgado JM, Ramos-Ramírez L, Muńoz O, Gutiérrez G.
Arch Invest Med (Mex). 1986;17 Suppl 1:369-74. No abstract available.
PMID: 2884973 Similar articles Select item 2510155734.
Noninvasive intestinal amebiasis: Entamoeba histolytica colonization without invasion.
Nair GV, Variyam EP.
Curr Opin Infect Dis. 2014 Oct;27(5):465-9. doi: 10.1097/QCO.0000000000000095. Review.
PMID: 25101557 Similar articles Select item 238931835.
High seropositivity for Entamoeba histolytica infection in Japanese homosexual men: further evidence for the occurrence of pathogenic strains.
Takeuchi T, Miyahira Y, Kobayashi S, Nozaki T, Motta SR, Matsuda J.
Trans R Soc Trop Med Hyg. 1990 Mar-Apr;84(2):250-1. No abstract available.
PMID: 2389318 Similar articles Select item 18355536.

Hình 15
Seroepidemiology of amebiasis in the Orang Asli (Western Malaysian aborigine) and other Malaysians.
Gilman RH, Davis C, Gan E, Bolton M.
Am J Trop Med Hyg. 1976 Sep;25(5):663-6.
PMID: 183555 Similar articles
Select item 181534137.
Protective immunity to entamoeba histolytica infection in subjects with antiamoebic antibodies residing in a hyperendemic zone.
Choudhuri G, Prakash V, Kumar A, Shahi SK, Sharma M.
Scand J Infect Dis. 1991;23(6):771-6.
PMID: 1815341 Similar articles Select item 1830173038.
Increased risk for Entamoeba histolytica infection and invasive amebiasis in HIV seropositive men who have sex with men in Taiwan.
Hung CC, Ji DD, Sun HY, Lee YT, Hsu SY, Chang SY, Wu CH, Chan YH, Hsiao CF, Liu WC, Colebunders R.
PLoS Negl Trop Dis. 2008 Feb 27;2(2):e175. doi: 10.1371/journal.pntd.0000175.
PMID: 18301730 Free PMC Article Similar articles Select item 903311239.
Detection of anti-Entamoeba histolytica IgA salivary antibodies: evaluation of its diagnostic capability in a rural setting.
Escandón Romero C, Gómez Hernández JL, Cabral Soto J, Hernández Ramos JM, Escobedo-de la Peña J, Olvera Alvarez J.
Arch Med Res. 1997;28 Spec No:306-8. No abstract available.
PMID: 9033112 Similar articles Select item 1169386740.
Household epidemiology of Entamoeba histolytica infection in an urban community in northeastern Brazil.
Braga LL, Gomes ML, Da Silva MW, Façanha FE Jr, Fiuza L, Mann BJ.
Am J Trop Med Hyg. 2001 Oct;65(4):268-71.
PMID: 11693867 Similar articles
Infection and immunity mediated by the carbohydrate recognition domain of the Entamoeba histolytica Gal/GalNAc lectin.
Dodson JM, Lenkowski PW Jr, Eubanks AC, Jackson TF, Napodano J, Lyerly DM, Lockhart LA, Mann BJ, Petri WA Jr.
J Infect Dis. 1999 Feb;179(2):460-6.
PMID: 9878032 Similar articles Select item 2139614442.
Entamoeba species associated with chronic diarrhoea in Pakistan.
Yakoob J, Abbas Z, Beg MA, Naz S, Khan R, Jafri W.
Epidemiol Infect. 2012 Feb;140(2):323-8. doi: 10.1017/S0950268811000215. Epub 2011 Mar 14.
PMID: 21396144 Similar articles Select item 1638033443.
Adherence-blocking vaccine for amebiasis.
Petri WA Jr, Chaudhry O, Haque R, Houpt E.
Arch Med Res. 2006 Feb;37(2):288-91. Review.
PMID: 16380334 Similar articles Select item 629696444.
Amebiasis: host-pathogen biology.
Sepúlveda B.
Rev Infect Dis. 1982 Nov-Dec;4(6):1247-53. Review.
PMID: 6296964 Similar articles Select item 2522922945.
Prevalence of Entamoeba histolytica/Entamoeba dispar in the city of Campina Grande, in northeastern Brazil.
Silva MT, Santana JV, Bragagnoli G, Marinho AM, Malagueño E.
Rev Inst Med Trop Sao Paulo. 2014 Sep-Oct;56(5):451-4.
PMID: 25229229 Free PMC Article Similar articles Select item 253678646.
Entamoeba histolytica: from adherence to enteropathy.
Ravdin JI.
J Infect Dis. 1989 Mar;159(3):420-9. Review.
PMID: 2536786 Similar articles Select item 876857947.
[The absence of invasive amebiasis in male homosexual AIDS patients in Recife].
de Alencar LC, Magalhães V, de Melo VM, Aka I, Magalhães M, Kobayashi S.
Rev Soc Bras Med Trop. 1996 Jul-Aug;29(4):319-22. Portuguese.
PMID: 8768579 Similar articles Select item 2483785448.
Epidemiological features of intestinal infection with Entamoeba histolytica in Taiwan, 2002-2010.
Leung PO, Chen KH, Chen KL, Tsai YT, Liu SY, Chen KT.
Travel Med Infect Dis. 2014 Nov-Dec;12(6 Pt A):673-9. doi: 10.1016/j.tmaid.2014.04.010. Epub 2014 May 5.
PMID: 24837854 Similar articles Select item 2464087249.
Natural infection of baboons by Entamoeba histolytica elicits anti- gal-lectin heavy subunit IgA and IgG antibodies with shared epitope specificity to that of humans.
Abd-Alla MD, Wolf RF, White GL, Kosanke SD, Carey DW, Verweij JJ, El-Dessouky YM, Zhang MJ, Ravdin JI.
J Egypt Soc Parasitol. 2013 Dec;43(3):723-35.
PMID: 24640872 Similar articles Select item 625977850.
Specific anti-amoebic immunoglobulins and the cellulose acetate precipitin test in Entamoeba histolytica infection.
Osisanya JO, Warhurst DC.
Trans R Soc Trop Med Hyg. 1980;74(5):605-8.
PMID: 6259778 Similar articles Select item 983226151.
Host-pathogen interaction in amebiasis and progress in vaccine development.
Huston CD, Petri WA Jr.
Eur J Clin Microbiol Infect Dis. 1998 Sep;17(9):601-14. Review.
PMID: 9832261 Similar articles Select item 134030952.
Amebiasis in Nicaragua: class specific serum antibody responses.
Tellez Sierra A, Cortez Ruiz L, Aust Kettis A, Huldt G, Jonsson J, Schröder H.
Arch Med Res. 1992;23(2):261-4.
PMID: 1340309 Similar articles Select item 2682482853.