Sán lá gan lớn (SLGL) do hai loài sán lá có tên khoa học Fasciola gigantica và Fasciola hepatica là loại ký sinh trùng gây bệnh ở động vật ăn cỏ và người đã được các nhà thú y mô tả từ lâu. Sán lá gan lớn gây bệnh ở người được xem như ký sinh lạc chủ, song hiện nay đã có bằng chứng bệnh lây truyền trực tiếp từ người sang người, nên Tổ chức Y tế thế giới đề nghị xem đó là căn bệnh ký sinh trùng quan trọng ở người (WHO, 2013). Bệnh SLGL ở người đã được thông báo ở các nước thuộc châu Âu, châu Mỹ, châu Phi.
Ở Việt Nam, từ năm 1997, Trần Vinh Hiển và cộng sự đã cho thấy lượng bệnh nhân SLGL được chẩn đoán bằng huyết thanh miễn dịch cũng như ca bệnh xác định tại các cơ sở điều trị ở thành phố Hồ Chí Minh xuất hiện ngày càng tăng, phần lớn đến từ các tỉnh miền Trung, đặc biệt kể từ năm 2003-2018, hàng ngàn ca bệnh xác định đủ tiêu chuẩn được ghi nhận tại ít nhất 47/ 63 tỉnh thành phố trong cả nước, trong đó bao phủ trên 15 tỉnh miền Trung-Tây Nguyên. Sự gia tăng nhanh chóng của bệnh sán lá gan lớn là mối quan tâm của cộng đồng do gây nhiều tác hại trên sức khỏe con người và kinh tế vật nuôi (sản lượng thịt, sức lao động, sản lượng sữa của gia súc).
Việt Nam nói chung và khu vực miền Trung-Tây Nguyên nói riêng vốn sống phần lớn dựa vào nông nghiệp kết hợp kinh tế chăn nuôi gia súc, gia cầm. Đặc biệt, gần đây, bò nhập ngoại và nuôi bò sữa phát triển, số lượng đàn bò được chăn thả gia tăng. Bên cạnh đó, hoạt động trồng rau xanh hay rau thủy sinh phục vụ cho nhu cầu thực phẩm hằng ngày như rau ngổ, rau cải xoong, rau muống, rau răm, rau đắng, thậm chí ăn uống sống nước giã vắt từ rau thủy sinh hoặc gan động vật còn sống để chữa bệnh, chính đó là yếu tố nguy cơ và làm dễ gây bệnh sán lá gan lớn cho người.

Hình 1
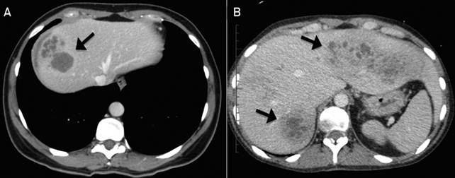
Việc chẩn đoán bệnh sán lá gan lớn ở người thường dựa vào phổ lâm sàng và xét nghiệm gồm có soi tìm trứng sán trong phân (song việc phát hiện trứng sán thường hiếm khi thành công vì người không phải là vât chủ chính), xét nghiệm huyết thanh miễn dịch ELISA hoặc Western blot (chỉ thực hiện tại một số bệnh viện hoặc trung tâm y tế chuyên khoa), siêu âm, chụp cắt lớp vi tính và chụp cộng hưởng từ được áp dụng phát hiện tổn thương là những công cụ chẩn đoán thường quy tại nhiều cơ sở y tế, giúp phát hiện và chẩn đoán tổn thương sán lá gan lớn rất hiệu quả. Để nhiều đồng nghiệp quan tâm đến bệnh sán lá gan lớn một cách tổng thể nhất, đặc biệt là phương diện chẩn đoán hình ảnh.

Hình 2
Chúng tôi xin chia sẻ trên 200 bài báo đã được ấn bản trên tạp chí trong nước và quốc tế về bệnh sán lá gan lớn để cùng nghiên cứu:
Tài liệu trong nước:
1.Đỗ Ngọc Ánh, Nguyễn Duy Bắc, Nguyễn Khắc Lực, Nguyễn Thị Vân, Lê Trần Anh (2011). Xác định loài và tỷ lệ nhiễm sán lá gan lớn ở trâu bò tại huyện Đại Lộc, Quảng Nam. Viện Sốt rét-KST-CT TƯ, Công trình khoa học báo cáo tại Hội nghị khoa học Ký sinh trùng toàn Quốc lần thứ 38, tập II, Ký sinh trùng-Côn trùng y học, NXB Y học, Hà Nội, tr.151-156.
2.Bộ Y tế (2006). Hướng dẫn chẩn đoán và điều trị bệnh sán lá gan lớn ở người. Ban hành theo Quyết định số 3420/QĐ-BYT, Hà Nội, 2006
3.Bộ Y tế-Viện Sốt rét-KST-CT Trung ương (2015). Dịch tễ học ký sinh trùng y học (Giáo trình giảng dạy sau đại học). Nhà xuất bản Y học, Hà Nội 2015. Mã số sách chuẩn Quốc tế ISBN:978-604-66-1469-2.
4.Bộ Y tế-Viện Sốt rét-KST-CT Trung ương (2016). Ký sinh trùng y học (Giáo trình giảng dạy sau đại học). Nhà xuất bản Y học, Hà Nội 2016. Mã số sách chuẩn Quốc tế ISBN: 978-604-66-1888-1.
5.Nguyễn Văn Chương, Triệu Nguyên Trung và cs. (2006). Nghiên cứu một số đặc điểm dịch tễ học của bệnh sán lá gan lớn ở một số điểm của 2 tỉnh miền Trung. Kỷ yếu công trình NCKH (2001-2006). Viện Sốt rét-KST-CT Quy Nhơn. NXB Y học. Hà Nội, tr. 410-416.
6.Nguyễn Văn Chương, Huỳnh Hồng Quang, Triệu Nguyên Trung, Nguyễn Văn Khá (2007). Nhận xét đặc điểm lâm sàng và cận lâm sàng của bệnh nhân sán lá gan lớn. Viện Sốt rét-KST-CT Quy Nhơn. Kỷ yếu công trình NCKH (2001-2006), NXB Y học, tr. 417-423.
7.Nguyễn Văn Chương, Triệu Nguyên Trung và cs (2009). Nghiên cứu kỹ thuật chẩn đoán và điều trị thử nghiệm bệnh sán lá gan lớn tại cộng đồng thuộc 2 tỉnh Bình Định và Phú Yên. Tạp chí Y dược học Quân sự. Cục Quân Y xuất bản, Hà Nội, tr. 71-81.
8.Nguyễn Văn Chương, Triệu Nguyên Trung và cs. (2009). Nghiên cứu tỷ lệ và một số yếu tố ảnh hưởng đến nhiễm sán lá gan lớn ở người tại các tỉnh Quảng Nam, Quảng Ngãi và Gia Lai. Tạp chí Y học Quân sự. Cục Quân y xuất bản, Hà Nội, tr. 82-87.
9.Nguyễn Văn Chương, Bùi Văn Tuấn, Huỳnh Hồng Quang và cs., (2015). Một số đặc điểm dịch tễ học bệnh sán lá gan lớn tại xã Xuân Hải và Quảng Sơn, Ninh Thuận, 2014. Báo cáo Khoa học toàn văn. HN Ký sinh trùng toàn quốc lần thứ 42, Nghệ An. Nhà xuất bản KHTN-CN. ISBN: 978-604-913-380-0, tr.152-160.
10.Trần Thị Kim Dung, Phan Anh Tuấn và cs., (1994). Chẩn đoán bệnh sán lá gan lớn ở gan Fasciola sp. bằng phương pháp huyết thanh miễn dịch ELISA và huỳnh quang. Tạp chí Y họcĐại học y dược TP. Hồ Chí Minh, tr. 201-204.
11.Nguyễn Văn Đề, Lê Thị Xuân, Lê Văn Châu, Nguyễn Văn Khá, Bùi Văn Tuấn, Lê Văn Duy (2003). Kết quả bước đầu điều tra bệnh sán lá gan lớn ở Khánh Hòa. Tạp chí Y học thực hành, Số 3, tr. 77-80.
12.Nguyễn Văn Đề, Lê Thanh Hòa, Nguyễn Quốc Doanh (2003). Kết quả bước đầu ứng dụng sinh học phân tử để giám định thành phần loài sán lá, sán dây ở Việt Nam. Tạp chí Y học thực hành, Số 11, tr. 34-37.
13.Nguyễn Văn Đề, Lê Khánh Thuận (2004). Sán lá gan. Nhà xuất bản Y học. Hà Nội, tr. 40-70.
14.Nguyễn Văn Đề, Nguyễn Văn Chương, Đặng Thị Cẩm Thạch, Đoàn Hạnh Nguyên, Lê Khánh Thuận, Triệu Nguyên Trung (2006). Đánh giá tác dụng của triclabendazole trong điều trị bệnh sán lá gan lớn tại Việt Nam. Viện Sốt rét-KST-CT TƯ, Công trình NCKH, Báo cáo tại Hội nghị khoa học toàn quốc chuyên ngành Sốt rét-KST-CT giai đoạn 2001-2005, tập 2, tr. 45-53.

Hình 3
15.Nguyễn Văn Đề, Phạm Văn Thân (2006). Vài nét về thành phần loài và phân bố sán lá truyền qua đường ăn uống trên người ở Việt Nam. Hội thảo chuyên ngành Ký sinh trùng lần thứ 32, Hà Nội.
16.Nguyễn Văn Đề, Lê Thanh Hòa và cs., (2007). Tình hình nhiễm sán lá gan ở người và thành phần loài sán lá gan ở Việt Nam. Viện Sốt rét-KST-CT Quy Nhơn, Kỷ yếu công trình NCKH (2001-2006), NXB Y học, tr. 474-482.
17.Trần Vinh Hiển, Trần Thị Kim Dung (1998). Nhân 125 trường hợp nhiễm sán lá gan lớn Fasciola gigantica phát hiên ở người trong năm 1997. Thông tin phòng chống bệnh sốt rét và các bệnh ký sinh trùng, 2, tr. 44-47.
18.Trần Vinh Hiển, Trần Thị Kim Dung, Nguyễn Hữu Trí và cs., (2001). Bệnh sán lá gan lớn Fasciola sp. trên người tại Việt Nam. Tạp chí Y học thành phố Hồ Chí Minh, 5(1), tr. 75-78.
19.Trần Vinh Hiển, Trần Thị Kim Dung (2004). Các bộ sinh phẩm chẩn đoán bệnh do ký sinh trùng. Tạp chí Y học thực hành số 447. Bộ Y tế, Hà Nội.
20.Trần Vinh Hiển, Phan Anh Tuấn, Đặng Tất Thế, Nguyễn Khắc Lực (2008). Tỷ lệ nhiễm sán lá gan lớn tại hai xã Chư Pah và H’Bông, tỉnh Gia Lai. Tạp chí Y học Quân sự, 2, tr. 75-78.
21.Phạm Ngọc Hoa, Lê Văn Phước (1999). Hình ảnh tổn thương gan do sán lá gan lớn Fasciola hepatica trên chụp cắt lớp điện toán (CT) và cộng hưởng từ (MRI). Tạp chí Y học Việt Nam, 236-237 (6-7), tr. 89-93.
22.Lê Thanh Hòa, Nguyễn Văn Đề (2002). Xác định sán lá gan lớn (Fasciola sp.) ở Việt Nam bằng phương pháp sinh học phân tử hệ gen ty thể sử dụng gen nad1 (nicotinamide dehydrogenase subunit 1). Tạp chí Phòng chống bệnh Sốt rét và các bệnh ký sinh trùng, 4, tr. 53-58.
23.Lê Thanh Hòa, Nguyễn Văn Đề (2007). Xác định lai ngoại loài giữa Fasciola gigantica và Fasciola hepatica trong quần thể sán lá gan lớn (Fasciola sp.) ở Việt Nam trên cơ sở phân tích sinh học phân tử. Tạp chí Y học thành phố Hồ Chí Minh, Số 2, tr. 89-97.
24.Nguyễn Duy Huề, Phạm Thị Kim Ngân (2006). Đặc điểm hình ảnh siêu âm của tổn thương gan do sán lá gan lớn trên siêu âm và chụp cắt lớp vi tính. Tạp chí Y học thực hành, Số 3, Bộ Y tế, Hà Nội, tr. 61-64.
25.Lê Quang Hùng, Hồ Việt Mỹ, Nguyễn Hoàng Minh và cs. (2009). Nghiên cứu hiệu quả điều trị của Triclabendazole đối với bệnh sán lá gan lớn tại Bình Định. Tạp chí Nội khoa. Tổng hội Y học Việt Nam, Hà Nội.
26.Lê Quang Hùng, Hồ Việt Mỹ, Võ Hưng, Nguyễn Văn Quốc và cs., (2003). Nghiên cứu định loài và đặc điểm dịch tễ học sán lá gan lớn tại Bình Định. Báo cáo Hội nghị phòng chống các bệnh sán lá ở người do WHO và FAO tổ chức, Hà Nội, ngày 26-28/11/2002.
27.Nguyễn Thu Hương, Nguyễn Thị Việt Hòa, Lê Xuân Hùng (2010). Đánh giá hiệu quả phát hiện trứng giun sán bằng phương pháp Forrmalin-ether cải tiến. Tạp chí Phòng chống bệnh sốt rét và các bệnh ký sinh trùng, Số 3, trang 71-77.

Hình 4
28.Nguyễn Thu Hương, Lê Xuân Hùng (2011). Đặc điểm hình thể trứng và con sán lá gan lớn tại tỉnh Quảng Ngãi. Tạp chíPhòng chống bệnh sốt rét và các bệnh ký sinh trùng, Số 6, trang 83-91.
29.Nguyễn Thu Hương, Lê Xuân Hùng, Nguyễn Mạnh Hùng (2011). Kết hợp chẩn đoán hình thể trứng và chẩn đoán miễn dịch trong các định loài sán lá gan lớn. Tạp chíPhòng chống bệnh sốt rét và các bệnh ký sinh trùng, Số 3, trang 63-69.
30.Nguyễn Thu Hương (2012). Nghiên cứu một số đặc điểm dịch tễ học và hiệu quả điều trị sán lá gan lớn của triclabendazole tại hai xã Tịnh Kỳ và Nghĩa Sơn, tỉnh Quảng Ngãi (2008-2011). Luận án tiến sĩ y học chuyên ngành ký sinh trùng, Viện Sốt rét-KST-CT Trung ương, Hà Nội.
31.Nguyễn Văn Khá (2005). Nghiên cứu thực trạng nhiễm sán lá gan lớn và yếu tố nguy cơ ở một số điểm tại tỉnh Phú Yên, Khánh Hòa. Luận văn thạc sỹ y học chuyên ngành Ký sinh trùng, Đại học Y Hà Nội.
32.Phạm Ngọc Lai, Nguyễn Anh Dũng, Nguyễn Thanh Minh (2001). Nhân một trường hợp giả u đại tràng do sán lá gan lớn. Tạp chí Y học thành phố Hồ Chí Minh, 5(1), tr. 84-86.
33.Trần Văn Lang, Huỳnh Hồng Quang, Nguyễn Văn Khá (2008). Hình ảnh siêu âm của tổn thương hệ gan mật gây ra bởi Fasciola sp. Tạp chí Gan mật Việt Nam,Hội thảo Gan mật toàn quốc, Tạp chí Hội Nghiên cứu gan mật Việt Nam (VASLD), số đặc biệt tháng 8.2008: 70-77.
34.Nguyễn Thị Lê (1995). Danh mục những loài sán lá (Trematoda) ký sinh ở chim và thú ở Việt Nam. NXB Khoa học kỹ thuật Hà Nội, tr. 29-31.
35.Nguyễn Khắc Lực, Đặng Thị Cẩm Thạch, Tô Mười (2008). Nhiễm Sán lá gan lớn ở huyện Đại Lộc, tỉnh Quảng Nam và hiệu quả biện pháp phòng chống bệnh tại cộng đồng. Tạp chí Y dược học quân sự, Số 2, tr. 67-71.

Hình 5
36.Nguyễn Khắc Lực (2010). Nghiên cứu một số đặc điểm nhiễm sán lá gan lớn (Fasciola sp.) và hiệu quả biện pháp can thiệp tại huyện Đại Lộc, tỉnh Quảng Nam, Luận án tiến sỹ y học chuyên ngành ký sinh trùng, Học viện Quân y.
37.Nguyễn Khắc Lực, Đỗ Ngọc Ánh, Nguyễn Ngọc San (2011). Xác định tình trạng nhiễm sán lá gan lớn ở trâu/ bò và một số yếu tố nguy cơ lây truyền sang người, tại huyện Đại Lộc, Quảng Nam. Tạp chí Phòng chống sốt rét và các bệnh ký sinh trùng, Viện Sốt rét-KST-CT TƯ, Số (3), tr.76- 82.
38.Lê Đình Vĩnh Phúc, Lê Hữu Lợi, Huỳnh Hồng Quang (2017). Báo cáo một trường hợp viêm giả u đại tràng do Fasciola spp. tại Trung tâm Y khoa Medic, TP. Hồ Chí Minh. Tạp chí Phòng chống sốt rét và các bệnh ký sinh trùng, Viện Sốt rét-KST-CT TƯ, Số (3), tr.76- 82.
39.Huỳnh Hồng Quang, Nguyễn Văn Chương, Triệu Nguyên Trung (2006). Hiệu lực phác đồ Triclabendazole trong điều trị sán lá gan lớn loại F. gigantica tại một số tỉnh khu vực miền Trung - Tây Nguyên, Việt Nam(2004-2006). Tạp chí Y học thực hành, Vol.10, phụ bản số 4/2006, ấn bản đặc biệt, Đại học Y dược thành phố Hồ Chí Minh: 360-368.

Hình 6
40.Huỳnh Hồng Quang, Nguyễn Văn Chương, Triệu Nguyên Trung và cs., (2007). Hiệu lực và tính dung nạp của triclabendazole (TCZ) trong điều trị bệnh nhân mắc sán lá gan lớn và hiệu quả bước đầu sử dụng metronidazole trong trường hợp SLGL kháng TCZ tại một số tỉnh thành khu vực miền Trung-Tây Nguyên, Việt Nam. Tạp chí Y học Thành phố Hồ Chí Minh, Vol.11-phụ bản số 2: 117-126.
41.Huỳnh Hồng Quang, Nguyễn Văn Văn (2011). Sán lá gan lớn lạc chỗ ở người: Báo cáo loạt ca bệnh và tổng hợp y văn thế giới và Việt Nam 2000-2011. Tạp chí Y học thực hành, Bộ Y tế, số (781), tr.129-131.
42.Huỳnh Hồng Quang, Nguyễn Thanh Tòng, Vũ Thị Yên (2007). Báo cáo ca bệnh sán máng Schistosoma mansoni: Ca bệnh đầu tiên được phát hiện tại Tây Nguyên, Việt Nam. Hội nghị Quốc gia về bệnh ký sinh trùng lần thứ 34, Đại học Y khoa Phạm Ngọc Thạch:18-21.
43.Huỳnh Hồng Quang, Triệu Nguyên Trung và cs., (2007). Một số khía cạnh dich tễ học, đặc điểm lâm sàng và cận lâm sàng, hiệu lực phác đồ thuốc Triclabendazole (TCBZ) tại huyện đảo Lý Sơn, Quảng Ngãi, Việt Nam (2004-2007). Tạp chí Y học thực hành, số 588/2007, ISSN 1859-1663: 168-175.
44.Huỳnh Hồng Quang, Lê Quang Quốc Ánh, Bùi Quang Đi và cs., (2007). Tràn khí, tràn dịch màng phổi, tràn dịch dưới bao gan, tràn dịch dưới cơ hoành kèm theo mủ, máu và dịch mật: Biến chứng do sán lá gan lớn F. gigantica. Kỷ yếu công trình NCKH, Viện Sốt rét KST-CT Quy Nhơn (2001-2006): 457-461.
45.Huỳnh Hồng Quang, Lê Quang Quốc Ánh và cs., (2007). Một trường hợp ngoại lệ viêm tụy cấp do sán lá gan lớn Fasciola gigantica. Kỷ yếu công trình NCKH, Viện Sốt rét KST-CT Quy Nhơn (2001-2006): tr. 466-469.

Hình 7
46.Huỳnh Hồng Quang, Nguyễn Văn Khá, Đinh Trọng Sơn (2007). Hình ảnh siêu âm và CT-scan trong tổn thương gan mật do sán lá gan Fasciola sp. Hội thảo Quốc gia về ứng dụng y sinh học phân tử trong ngành ký sinh trùng học, Hà Nội, Việt Nam: 54-61
47.Huỳnh Hồng Quang, Nguyễn Ngọc Vinh, Nguyễn Duy Sơn và cs., (2008). Đánh giá đặc điểm lâm sàng, xét nghiệm và chẩn đoán hình ảnh trên bệnh nhân sán lá gan lớn tại một số vùng lưu hành bệnh tại Việt Nam (2006-2008). Tạp chí Y học thành phố Hồ Chí Minh, Vol.12 - phụ bản số 4: 11-18
48.Huỳnh Hồng Quang, Hồ Văn Hoàng và cs., (2008). Đánh giá đặc điểm lâm sàng, cận lâm sàng và chẩn đoán hình ảnh trên các bệnh nhân sán lá gan lớn tại một số tỉnh miền Trung, Việt Nam (2006-2008). Hội thảo Gan mật toàn quốc, Hội Nghiên cứu gan mật Việt Nam (VASLD). Tạp chí Gan mật Việt Nam, số đặc biệt tháng 8.2008: 53-60.
49.Huỳnh Hồng Quang, Nguyễn Văn Khá và cs., (2008). Sán lá gan lớn trong nhi khoa: Đặc điểm lâm sàng, cận lâm sàng và hiệu lực phác đồ triclabendazole tại một số tỉnh miền Trung-Tây Nguyên, Việt Nam (2005-2007). Tạp chí Y dược học quân sự, ISSN 1859-0748, Vol.33, số.2: 59-66.
50.Huỳnh Hồng Quang, Nguyễn Văn Chương, Phan Văn Trọng, Thân Trọng Quang, Phạm Văn Thân (2016). Cập nhật nghiên cứu về sán lá gan lớn Fasciola sp. ở người và động vật trên thế giới bằng các kỹ thuật hình thái học và sinh học phân tử. Báo cáo khoa học toàn văn. Hội nghị Ký sinh trùng học toàn quốc lần thứ 43, Buôn Ma Thuột, Đăk Lăk, 01.04.2016. NXB Khoa học Tự nhiên và Công nghệ. ISBN:978-604-913-442-5, tr.191-198.

Hình 8
51.Huỳnh Hồng Quang, Nguyễn Ngọc Vinh, Nguyễn Duy Sơn (2008). Nghiên cứu đặc điểm lâm sàng, cận lâm sàng trên bệnh nhân nhiễm sán lá gan lớn Fasciola sp. tại khu vực miền Trung-Tây Nguyên, Việt Nam 2006-2008. Y học TP. Hồ Chí Minh, tập 12, phụ bản số 4.2008, tr.11-18.
52.Huỳnh Hồng Quang, Triệu Nguyên Trung (2009). Nghiên cứu đặc điểm lâm sàng và cận lâm sàng của bệnh nhân sán lá gan lớn ở phụ nữ mang thai. Tạp chí Y học Quân sự. Cục Quân Y xuất bản, tr.82-87.
53.Đặng Thị Cẩm Thạch, Đỗ Trung Dũng, Lê Ngọc Loan và cs., (2008). Tình hình nhiễm sán lá gan lớn ở Việt Nam năm 2007 và đề xuất biện pháp phòng chống. Tạp chí Phòng chống sốt rét và các bệnh ký sinh trùng, số(4), tr.31-37.
54.Đặng Thị Cẩm Thạch, Tô Mười (2010). Đặc điểm lâm sàng, cận lâm sàng và hiệu quả điều trị cả triclabendazole trên bệnh nhân sán lá gan lớn tại Bệnh viện đa khoa khu vực miền núi phía Bắc Quảng Nam (2006-2009), Tạp chí Phòng chống sốt rét và các bệnh ký sinh trùng, số(4), tr.45-55.
55.Đặng Thị Cẩm Thạch, Nguyễn Xuân Thao, Nguyễn Mạnh Hùng, Triệu Nguyên Trung và cs., (2011). Đặc điểm dich tễ học và biện pháp phòng chống bệnh sán lá gan lớn ở Việt Nam. Đề tài Cấp Nhà nước, Mã sốKC 10.26/06-10.
56.Phạm Văn Thân, Huỳnh Hồng Quang (2007). Đặc điểm sinh học và một số khía cạnh dịch tễ học bệnh sán lá gan lớn ở người Fasciola hepatica và Fasciola gigantica. Tạp chí Y học Thành phố Hồ Chí Minh, Vol.11,phụ bản số 2: 15-23.
57.Phạm Thị Thu Thủy, Nguyễn Thiện Hùng (2006). Đặc điểm siêu âm tổn thương gan do sán lá gan lớn. Tài liệu lưu hành nội bộ, Trung tâm MEDIC thành phố Hồ Chí Minh, Việt Nam.
58.Nguyễn Ngọc San, Nguyễn Trường Trọng Tuấn (2009). Nghiên cứu xác định tỷ lệ, yếu tố nguy cơ nhiễm sán lá gan lớn và đề xuất biện pháp phòng chống. Y học Quân sự, Cục Quân Y, Hà Nội, tr.66-70.
59.Đặng Thị Cẩm Thạch, Đỗ Trung Dũng, Lê Ngọc Loan (2008). Tình hình nhiễm sán lá gan lớn ở Việt Nam năm 2007 và đề xuất biện pháp phòng chống. Tạp chí Phòng chống bệnh Sốt rét và các bệnh ký sinh trùng. Viện Sốt rét-KST-CT Trung ương, số 4, tr. 31-37.
60.Nguyễn Thị Giang Thanh, Lê Thanh Hoà (2006), Bệnh sán lá gan lớn Fasciola sp. ở gia súc tại Việt Nam. Hội thảo chuyên ngành Ký sinh trùng lần 32, Hà Nội.
61.Phạm Văn Thân, Huỳnh Hồng Quang, Triệu Nguyên Trung (2013). Cập nhật một số điểm khác biệt trong SLGL do Fasciola hepatica và Fasciola gigantica giữa người và gia súc. Tạp chí Phòng chống bệnh sốt rét và các bệnh ký sinh trùng, Số chuyên đề Hội nghị Nghiên cứu sinh lần thứ 1, ISSN 0868-3735, tr.50-58.
62.Đặng Tất Thế, Lê Quang Hùng và cs. (2001). Bước đầu giám định loài sán lá gan lớn Fasciola sp. gây bệnh ở người. Thông tin Y học lâm sàng Số 4, Hà Nội.
63.Trần Huy Thọ, Đinh Tuấn Đức, Trần Thanh Dương, Tạ Thị Tĩnh (2016). Điều trị bệnh sán lá gan lớn bằng triclabendazole liều 10mg tại Viện Sốt rét-KST-CT TƯ. Tạp chí Y học Việt Nam, Vol.1, tháng 6, tr.118.
64.Trần Huy Thọ, Đinh Tuấn Đức, Trần Thanh Dương, Tạ Thị Tĩnh (2016). Đánh giá sự cải thiện triệu chứng lâm sàng sau điều trị bệnh sán lá gan lớn bằng hai phác đồ triclabendazole ở liều 10mg và 20mg. Tạp chí Y học Dự phòng, tập XXVI, số 8(181) 2016, tr.187.
65.Triệu Nguyên Trung, Huỳnh Hồng Quang (2008). Cập nhật thông tin về định loại Fasciola sp. trên thế giới bằng kỹ thuật cổ điển và hiện đại. Tạp chí Y dược học quân sự, ISSN 1859-0748, Vol.33, số.2: 98-103.

Hình 9
66.Triệu Nguyên Trung, Nguyễn Văn Chương, Huỳnh Hồng Quang và cs., (2010). Hiệu quả phòng chống bệnh sán lá gan lớn tại khu vực miền Trung-Tây Nguyên (2006-2009). Hội nghị Quốc tế về kinh tế y tế tại Hà Nội, Việt Nam: 169-175.
67.Nguyễn Văn Văn, Huỳnh Hồng Quang (2009). Nhân một trường hợp sán lá gan lớn Fasciola gigantica gây biến chứng tắc mật vàng da. Tạp chí Y dược lâm sàng 108, tập 4 - Số đặc biệt tháng 10/ 2009, trang 183-187.
68.Nguyễn Văn Văn (2011). Nghiên cứu thực trạng sán lá gan lớn ở người và hiệu quả một số biện pháp can thiệp tại cộng đồng dân cư tỉnh Quảng Nam (2009-2011), Luận án tiến sỹ y học, chuyên ngành Ký sinh trùng, Viện Sốt rét-KST-CT Trung ương, Hà Nội.

Hình 10
Tài liệu nưới ngoài:
69.Abdul-Hamid Settenda Lukambagire, Deborah N Mchaile (2015). Diagnosis of human fascioliasis in Arusha region, northern Tanzania by microscopy and clinical manifestations in patients. BMC Infect Dis 2015 23 !important;15:578.
70.Abdoreza Salahi-Moghaddam, Fereydoun Arfaa (2013). Epidemiology of human Fascioliasis outbreaks in Iran. J Arch Mil Med. 2013; 1(1): 6-12.
71.Adachi S., Kotani K., Shimizu T., Tanaka K et al., (2005). Asymptomatic fascioliasis. Internal medicine, 44(9): 1013-1014.
72.Adam Novobilský, Jakub Novák, Camilla Björkman (2014). Impact of meteorological and environmental factors on the spatial distribution of Fasciola hepatica in beef cattle herds in Sweden. BMC Veterinary Research 11:128.
73.Adel M Farghaly, Soad MM Nada, Wafaa A Emam et al.,(2009). Role of fast-ELISA and Western blot in diagnosis of human fascioliasis using crude adult worm and excretory/ secretory Fasciola antigens. Parasitologists United Journal (PUJ) Vol. 2, No.1:55-65.
74.M Adela Valero, M Dolores Bargues, Messaoud Khoubbane et al., (2016). Higher physiopathogenicity by Fasciola gigantica than by the genetically close F. hepatica: Experimental long-term follow-up of biochemical markers. Trans R Soc Trop Med Hyg 2016 !important;110(1):55-66
75.P. Agnamey, E. Fortes-Lopes, C. P. Raccurt, J. Boncy (2012). Cross-sectional serological survey of human fascioliasis in Haiti. Journal of Parasitology Research, Vol 2012, Article ID 751951.
76.Agnieszka Gajewska, Katarzyna Smaga-Kozłowska (2005). Pathological changes of liver in infection of Fasciola hepatica. Wiad. Parazytol !important;51(2):115-23
77.Ah Jin Kim, Chang Hwan Choi, Sun Keun Choi et al., (2015). Ectopic human Fasciola hepatica infection by an adult worm in the mesocolon. Korean J Parasitol 2015 Dec. 31 !important;53(6):725-30.
78.Aksoy DY, Kerimoglu U, Oto A. et al., (2006). Fasciola hepatica infection: Clinical and computerized tomographic findings of ten patients. Turk J Gastroenterol, (17), pp. 40-45.
79.Ai L, Li C, Elsheikha HM, Hong SJ, Chen JX (2010). Rapid identification and differentiation of Fasciola hepatica and Fasciola gigantica by a loop-mediated isothermal amplification (LAMP) assay. Vet Parasitol. 174(3-4):228-133.
80.Ai L, Dong SJ, Zhang WY, Elsheikha HM, Mahmmod YS et al., (2010). Specific PCR-based assays for the identification of Fasciola species: Their development, evaluation and potential usefulness in prevalence surveys. Ann Trop Med Parasitol. 2010 Jan !important;104(1):65-72.
81.Alatoom A, Sheffield J, Gander RM, Shaw J (2008). Fascioliasis in pregnancy. Obstet gynecol. !important;112(2 Pt 2):483-5.

Hình 11
82.A. A. Aliyu, I. A. Ajogi, O. J. Ajanusi and R. C. Reuben (2014). Epidemiological studies of Fasciola gigantica in cattle in Zaria, Nigeria using coprology and serology. Academic journal, vol. 6(2):85-91.
83.Alvarez, A.I., Solana, H.D., Mottier et al., (2005). Altered drug influx/efflux and enhanced metabolic activity in triclabendazole-resistant liver flukes. Parasitology (131), 501-510.
84.Alvarez-Sanchez MA, Mainar-Jaime RC et al., (2006). Resistance of Fasciola hepatica to triclabendazole and albendazole in sheep in Spain. Vet Rec 159: 424-425.
85.Amor N, Farjallah S, Salem M, Lamine DM et al., (2011). Molecular characterization of Fasciola gigantica from Mauritania based o­ !important;n mitochondrial and nuclear ribosomal DNA sequences. Exp Parasitol. 2011 !important;129(2):127-36.
86.Amor N, Farjallah S, Salem M, Lamine DM et al., (2011). Molecular characterization of Fasciola gigantica from Mauritania based o­ !important;n mitochondrial and nuclear ribosomal DNA sequences. Exp Parasitol., 129(2), pp.127-136.
87.Anawat Phalee, Chalobol Wongsawad, Amnat Rojanapaibul et al., (2015). Experimental life history and biological characteristics of Fasciola gigantica (Digenea: Fasciolidae). Korean J Parasitol Vol. 53, No.1:59-64.
88.Apt W, Aguilera X, Vega F, Miranda C et al., (1995). Treatment of human chronic fascioliasis with triclabendazole: Drug efficacy and serologic response. Am J Trop Med Hyg 52: 532-535.
89.Aubert A, Meduri B, Prat F et al., (2001). Fascioliasis of the common bile duct: endoscopic ultrasonographic diagnosis and endoscopic sphincterotomy. Gastroenterol Clin biol. 2001, 70:3-6.
90.Ashrafi K, J Massoud, K Holakouei, M Mahmoodiet al., (2004). Evidence suggesting that Fasciola gigantica might be the most prevalent causal agent of fascioliasis in Northern. Iranian Journal of parasitology.33 (4):31-37.

Hình 12
91.Asma W Qureshi, Akhtar Tanveer, Santiago Mas-Coma (2016). Epidemiological analysis of human fascioliasis in north-eastern Punjab, Pakistan. Acta Trop 2016 Apr 4 !important;156:157-64.
92.Beatrice Divina Barda, Laura Rinaldi, Davide Ianniello et al., (2013). Mini-FLOTAC, an innovative direct diagnostic technique for intestinal parasitic infections: Experience from the field. PLoS Negl Trop Dis. 2013; 7(8): e2344
93.J Black, DipHIVMan, Cert ID et al., (2013). Human fascioliasis in South Africa. S Afr Med J;103(9):658-659.
94.Borrmann S, Szlezak N, Faucher JF, Matsiegui PB et al., (2001). Artesunate and praziquantel for the treatment of Schistosoma haematobium infections: a double-blind, randomized, placebo-controlled study. J Infect Dis 184: 1363-1366
95.G.P. Brennan, I. Fairweather, A. Trudgett et al., (2007). Understanding triclabendazole resistance.Experimental and molecular pathology 82:104-109.
96.CDC (2013). Fascioliasis: FAQs on Fascioliasis
97.Cantisani V., Cantisani C. et al., (2010). Diagnotic imaging in the study of human hepatobiliary fascioliasis. Radiol med, (115), pp.83-92.
98.Cengizhan Sezgi, Muttalip Cicek et al., (2013). Pulmonary findings in patients with fascioliasis. Acta Medica Mediterranea, 2013, 29: 841
99.Chand M.A., Herman J.S., Partridge D.G., Hewitt K et al., (2009). Imported human fascioliasis, United Kingdom. Emerging Infectious Diseases, 15(11): 1876-1877.
100.Changklungmoa N, Chaithirayanon K, Kueakhai P et al., (2012). Molecular cloning and characterization of leucine aminopeptidase from Fasciola gigantica. Exp Parasitol. 2012 Jul !important;131(3):283-91
101.Chen M.G, Mott K. E. et al., (1990). Progress in assessment in morbidity due to Fasciola hepatica infection: A review of recent literature. Trop. Dis. Bull, (87), pp.1-38.
102.U. Chaudhry, B. van Paridon, M.Z. Shabbir et al., (2015). Molecular evidence shows that the liver fluke Fasciola gigantica is the predominant Fasciola species in ruminants from Pakistan. Journal of Helminthology, pp.1-8


Hình 13
103.E. Chauke, Z. Dhlamini, J. Mbanga, S. Dube et al. (2014). Characterization of Fasciola gigantica isolates from cattle from South-Western Zimbabwe using RAPD-PCR. IOSR Journal of Agriculture and Veterinary Science, Vol 7, Issue. 2, Ver. I,pp. 19-25.
104.G.D. Gray, R.S. Copland, D.B. Copeman (2008). Options for the control of liver fluke. Overcoming liver fluke in South-East Asia. Australian Centre for International Agricultural Research 2008
105.Curtale F, Hassanein YA, Savioli L et al., (2005). Control of human fascioliasis by selective chemotherapy: Design, cost and effect of the first public health, school-based intervention implemented in endemic areas of the Nile delta, Egypt. Trans R Soc Trop Med Hyg 99:599-609.
106.Thanh T.H.D, Tuan V.B, Emmanuel Nji Abatih, Sarah Gabriël, Thanh T.GN, Quang H.H, Chuong V.N, Pierre Dorny (2016). Opisthorchis viverrini infections and associated risk factors in a lowland area of Binh Dinh Province, Central Vietnam. Acta Tropica 157: 151-157.
107.De Clercq D, Vercruysse J, Kongs A, Verle P et al., (2002). Efficacy of artesunate and praziquantel in Schistosoma haematobium infected schoolchildren. Acta Trop 82: 61-66.
108.Nguyen Van De, KD Murrell et al. (2003). The Food-borne Trematode zoonoses of Viet Nam. The current status of parasitic diseases in Viet Nam. Southeast Asian Journal of Tropical Medicine and Public Health. Vol.34 Supp. 1. p12-34.
109.Dreyfuss G, Rondelaud D (1995). Comparative studies on the productivity of Fasciola gigantica and F. hepatica sporocysts in L. tomentosa that died after a cercarial shedding or without emission. Vet Res;81: 531-536.
110.Dreyfuss G, Rondelaud D (1997). F. gigantica and F. hepatica: A comparative study of some characteristics of Fasciola infection in Lymnaea truncatula infected by either of the two trematodes. Vet Res;28: 123-130.
111.El-Karaksy H, Hassanein B, Okasha S, Behairy B et al., (1999). Human fascioliasis in Egyptian children: successful treatment with triclabendazole. J Trop Pediatr 45: 135-138.

Hình 14
112.Elsayed M. Bayoumy, Gehan ElEnain, Abeer Mahgoub et al., (2013). Evaluation of F. gigantica metacercarial antigen for early diagnosis of fascioliasis in sheep. World journal of medical sciences 9 (3):128-135.
113.Espino A.M. et al. (1998). Dynamics of antigenemia and coproantigens during a human Fasciola hepatica outbreak. Journal of Clinical microbiology, 36(9): 2723-2726.
114.Espinoza J.R., Maco V., Marcos L., Saez S. et al., (2007). Evaluation of Fas2-ELISA for the serological detection of Fasciola hepatica infection in humans.Am. J. Trop. Med. Hyg., 76(5), pp.977-982.
115.Espinoza J.R., Terashima A., Herrera- Velit P., Marcos L.A. et al., (2010). Human and animal fascioliasis in Peru: impact in the economy of endemic zones. Rev Peru Med Exp Salud Publica, 27(4):604-612.
116.Esteban JG, Gonzalez C, Curtale F, Munoz-Antoli C et al., (2003). Hyperendemic fascioliasis associated with schistosomiasis in villages in the Nile delta of Egypt. Am J Trop Med Hyg 69:429-437.
117.Favennec L, Jave Ortiz J, Gargala G, Lopez Chegne N et al., (2003). Double-blind, randomized, placebo-controlled study of nitazoxanide in the treatment of fascioliasis in adults and children from northern Peru. Aliment Pharmacol Ther 17:265-270.
118.Fazly Ann Zainalabidin, Muhamad Syamsul Naim Noor Azmi et al., (2015). Screening for zoonotic fascioliasis in slaughtered large ruminants in abattoirs in Perak, Malaysia.Trop Life Sci Res 2015 !important;26(2):121-4
Hình 15
119.Feng Chen, Yu-hua Liu, Hui Yang, Yii-chun Duan et al., (2015). Epidemiological investigation o­ !important;n fascioliasis and its risk factors in population of Binchuan County, Yunnan Province. Zhongguo Xue Xi Chong Bing Fang Zhi Za Zhi; 27(4):399-402 (summary in English).
120.V Fernández, S Estein, P Ortiz, P Luchessi, V Solana, H Solana (2015). A single amino acid substitution in isozyme GST mu in triclabendazole resistant Fasciola hepatica (Sligo strain) can substantially influence the manifestation of anthelmintic resistance. Exp Parasitol 2015 Dec 2 !important;159:274-9.
121.Gaasenbeek CP, Moll L, Cornelissen JB, Vellema P et al., (2001). An experimental study on triclabendazole resistance of Fasciola hepatica in sheep. Vet Parasitol 95: 37-43.
122.Ghanaei F. M., Alizadeh A., Pourrasoull Z. et al., (2006). Sonographic findings of human fascioliasis. Iran. J. Radiol, 4(1):11-15.
123.Ghasem Hosseini, Bahador Sarkari, Abdolali Moshfe (2015). Epidemiology of human fascioliasis and intestinal helminthes in rural areas of Boyer-Ahmad township, Southwest Iran: A population based study. Iran J Public Health !important; 44(11):1520-5.
124.Gonzales Santana B, Dalton JP, Vasquez Camargo F et al., (2013). The Diagnosis of human Fascioliasis by enzyme-linked Immunosorbent Assay (ELISA) using recombinant cathepsin L protease. PLoS Negl Trop Dis 7(9): e2414.
125.Grove D.I. et al., (1990). A history of human helminthology. CAB International, London, United Kingdom, pp.103-126.

Hình 16
126.Gulsen M. T. M. C., Savas M. Koruk A. et al., (2006). Fascioliasis: A report of five cases presentating with common bile duct obstruction. The Netherland journal of medicine, 64(1), pp.17-19.
127.Gülhan Belgin, Kanık Yüksek S, Tezer H, Özkaya Parlakay A (2015). Partial hepatectomy for the resistant Fasciola hepatica infection in a child. APSP J Case rep 2015 !important;6(3):27.
128.Hakan Önder, Faysal Ekici, Emin Adin et al., (2013). An incidental case of biliary fascioliasis with subtle clinical findings: US and MRCP findings. Radiology and o­ !important;ncology, Vol. 47, Issue 2, pp. 125-127.
129.Haseeb A. N., el- Shazly A. M., Arafa M. A., Morsy A. T. et al., (2002). A review on fascioliasis in Egypt. J. Egypt Soc. Parasitol, (32), pp.317-354.
130.Tran Tinh Hien, Nguyen Thanh Truong, Nguyen Hoang Minh, James I Campbell,Jeremy J. Farrar, Jeremy N. Day (2008). A randomized controlled pilot study of artesunate versus triclabendazole for human fascioliasis in Central Vietnam. Am. J. Trop. Med. Hyg, 78(3): 388-392.
131.Thanh Hoa Le, Khue Thi Nguyen, Nga Thi Bich Nguyen et al., (2012). Development and evaluation of a single step duplex PCR for simultaneous detection of Fasciola hepatica and Fasciola gigantica (Family: Fasciolidae !important; Class: Trematoda; phylum: Platyhelminthes). J Clin Microbiol. 2012 vol. 50 No. 8 2720-2726.
132.Le Thanh Hoa, Nguyen Van De, Takeshi Agatsuma, David Blair, Jozef Vercrysse, Pierre Dorny, Nguyen Thi Giang Thanh et al., (2007). Molecular confirmation that Fasciola gigantica can undertake abberant migrations in human host. J Clin Microbiol, 45(2), pp. 648-650.
133.Hussein AN, Khalifa RM et al., (2008). Experimental infections with Fasciola sp. in snails, mice and rabbits. Parasitol Res ;102: 1165-1170.
134.Inoue K, Kanemasa H, Inoue K, Matsumoto M, Kajita Y (2007). A case of human fasciolosis: Discrepancy between egg size and genotype of Fasciola sp. Parasitol Res;100:665-667.
135.In-Wook Choi, Hwang-Yong Kim, Juan-Hua Quan et al., (2015). Monitoring of Fasciola species contamination in water dropwort by COX1 mitochondrial and ITS-2 rDNA sequencing analysis. Korean J Parasitol 2015 !important;53(5):641-5.
136.Z. Islam, M. Z. Alam, S. Akter, B. C. Roy et al., (2012). Distribution patterns of vector snails and trematode cercaria in their vectors in some selected areas of Mymensingh. J. Environ. Sci. & Natural Resources, 5(2):37-46

Hình 17
137.Jane M.Kelley, Timothy P.Elliott, Travis Beddoe et al., (2016). Current threat of triclabendazole resistance in Fasciola hepatica. Trends in parasitology, dx.doi.org/10.1016/j.pt.2016.03.002
138.Jefferies, J.R., Campbell, A.M., van Rossum, A., Barrett et al., (2001). roteomic analysis of the excretory-secretory products of the digenean parasite Fasciola hepatica. Proteomics 1:1128-1132.
139.Jing Xia, Shi-chen Jiang, Hong-Juan Peng (2015). Association between liver fluke infection and hepatobiliary pathological changes: A systematic review and meta-analysis. PLoS o­ !important;ne 17;10(7):e0132673.
140.Jorge Enrique Perez-C, Etna Julieth Giraldo-Pinzon (2016). First report of human fascioliasis in an endemic region of bovine fascioliasis in Caldas-Colombia. Vector borne zoonotic dis 2016 !important;16(6):377-81.
141.Joseph Boray et al., (2002). Control of human fascioliassis in South East Asia. Report Joint WHO/FAO Workshop on Foodborne trematode infections in Asia. Ha Noi, Viet Nam. Nov.2002.
142.Juan Carlos Milan, Mull R, Freise S, Richter J et al., (2000). The efficacy and tolerability oftriclabendazole in Cuban patient with latent and chronic Fasciola hepatica infection. Am J Trop Med Hyg !important;63(5-6):264-9.

Hình 18
143.Kabaalioglu A., Ceken K., Alimoglu E., Saba R. et al., (2007). Hepatobiliary fascioliasis: Sonographic and CT findings in 87 patients during the initial phase and long-term follow up. AJR. (189):824-828.
144.Kanoksil W, Wattanatranon D, Wilasrusmee C et al., (2006). Endoscopic removal of one live biliary Fasciola gigantica. J Med Assoc Thai; 89:2150-2154.
145.Keyhan Ashrafi (2015). The status of human and animal fascioliasis in Iran: A narrative review article. Iran J Parasitol 2015 !important; 10(3):306-28.
146.Keiser J., Utzinger J. et al., (2005). Emerging foodborne trematodiasis. Emerging Infectious Diseases, (11):1507-1514.
147.Keiser J., Utzinger J. et al., (2009). Food-Borne trematodiases. Clinical microbiology reviews, pp.466-483.