Understanding triclabendazole resistance.
Brennan GP, Fairweather I, Trudgett A, Hoey E, McCoy, McConville M, Meaney M, Robinson M, McFerran N, Ryan L, Lanusse C, Mottier L, Alvarez L, Solana H, Virkel G, Brophy PM.
Exp Mol Pathol. 2007 Apr;82(2):104-9. Epub 2007 Feb 15. Review.
PMID: 17398281
Current Threat of Triclabendazole Resistance in Fasciola hepatica.
Kelley JM, Elliott TP, Beddoe T, Anderson G, Skuce P, Spithill TW.
Trends Parasitol. 2016 Jun;32(6):458-469. doi: 10.1016/j.pt.2016.03.002. Epub 2016 Apr 2. Review.
PMID: 27049013
Triclabendazole progress report, 2005-2009: an advancement of learning?
Fairweather I.
J Helminthol. 2009 Jun;83(2):139-50. doi: 10.1017/S0022149X09321173. Epub 2009 Apr 15. Review.
PMID: 19366485
Fasciola hepatica: a comparative survey of adult fluke resistance to triclabendazole, nitroxynil and closantel on selected upland and lowland sheep farms in Northern Ireland using faecal egg counting, coproantigen ELISA testing and fluke histology.
Hanna RE, McMahon C, Ellison S, Edgar HW, Kajugu PE, Gordon A, Irwin D, Barley JP, Malone FE, Brennan GP, Fairweather I.
Vet Parasitol. 2015 Jan 15;207(1-2):34-43. doi: 10.1016/j.vetpar.2014.11.016. Epub 2014 Nov 24.
PMID: 25529143

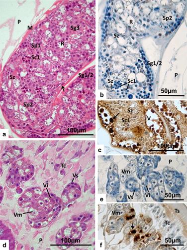
Hình 1
Reducing the future threat from (liver) fluke: realistic prospect or quixotic fantasy?
Fairweather I.
Vet Parasitol. 2011 Aug 4;180(1-2):133-43. doi: 10.1016/j.vetpar.2011.05.034. Epub 2011 May 27. Review.
PMID: 21703766
Triclabendazole: new skills to unravel an old(ish) enigma.
Fairweather I.
J Helminthol. 2005 Sep;79(3):227-34. Review.
PMID: 16153316
Fasciola hepatica: histological changes in the reproductive structures of triclabendazole (TCBZ)-sensitive and TCBZ-resistant flukes after treatment in vivo with TCBZ and the related benzimidazole derivative, Compound Alpha.
Hanna RE, Edgar HW, McConnell S, Toner E, McConville M, Brennan GP, Devine C, Flanagan A, Halferty L, Meaney M, Shaw L, Moffett D, McCoy M, Fairweather I.
Vet Parasitol. 2010 Mar 25;168(3-4):240-54. doi: 10.1016/j.vetpar.2009.11.014. Epub 2009 Nov 27.
PMID: 20053501
The T687G SNP in a P-glycoprotein gene of Fasciola hepatica is not associated with resistance to triclabendazole in two resistant Australian populations.
Elliott TP, Spithill TW.
Mol Biochem Parasitol. 2014 Nov;198(1):45-7. doi: 10.1016/j.molbiopara.2014.11.006. Epub 2014 Dec 4.
PMID: 25481750

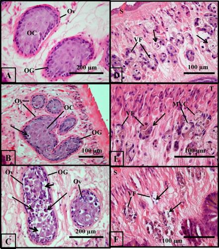
Hình 2
Potentiation of triclabendazole action in vivo against a triclabendazole-resistant isolate of Fasciola hepatica following its co-administration with the metabolic inhibitor, ketoconazole.
Devine C, Brennan GP, Lanusse CE, Alvarez LI, Trudgett A, Hoey E, Fairweather I.
Vet Parasitol. 2012 Feb 28;184(1):37-47. doi: 10.1016/j.vetpar.2011.08.006. Epub 2011 Aug 6.
PMID: 21872399
Evidence for high genetic diversity of NAD1 and COX1 mitochondrial haplotypes among triclabendazole resistant and susceptible populations and field isolates of Fasciola hepatica (liver fluke) in Australia.
Elliott T, Muller A, Brockwell Y, Murphy N, Grillo V, Toet HM, Anderson G, Sangster N, Spithill TW.
Vet Parasitol. 2014 Feb 24;200(1-2):90-6. doi: 10.1016/j.vetpar.2013.11.019. Epub 2013 Dec 1.
PMID: 24360656
Comparative proteomic analysis of triclabendazole response in the liver fluke Fasciola hepatica.
Chemale G, Perally S, LaCourse EJ, Prescott MC, Jones LM, Ward D, Meaney M, Hoey E, Brennan GP, Fairweather I, Trudgett A, Brophy PM.
J Proteome Res. 2010 Oct 1;9(10):4940-51. doi: 10.1021/pr1000785.
PMID: 20726552
Altered drug influx/efflux and enhanced metabolic activity in triclabendazole-resistant liver flukes.
Alvarez LI, Solana HD, Mottier ML, Virkel GL, Fairweather I, Lanusse CE.
Parasitology. 2005 Oct;131(Pt 4):501-10.
PMID: 16174415
Resistance of Fasciola hepatica against triclabendazole in cattle and sheep in The netherlands.
Moll L, Gaasenbeek CP, Vellema P, Borgsteede FH.
Vet Parasitol. 2000 Jul 24;91(1-2):153-8.
PMID: 10889368

Hình 3
High prevalence of fasciolosis and evaluation of drug efficacy against Fasciola hepatica in dairy cattle in the Maffra and Bairnsdale districts of Gippsland, Victoria, Australia.
Elliott TP, Kelley JM, Rawlin G, Spithill TW.
Vet Parasitol. 2015 Apr 15;209(1-2):117-24. doi: 10.1016/j.vetpar.2015.02.014. Epub 2015 Feb 23.
PMID: 25771931
Disruption of vitellogenesis and spermatogenesis by triclabendazole (TCBZ) in a TCBZ-resistant isolate of Fasciola hepatica following incubation in vitro with a P-glycoprotein inhibitor.
Savage J, Meaney M, Brennan GP, Hoey E, Trudgett A, Fairweather I.
Parasitology. 2014 Jul;141(8):1064-79. doi: 10.1017/S0031182014000377.
PMID: 24889697
Unchanged triclabendazole kinetics after co-administration with ivermectin and methimazole: failure of its therapeutic activity against triclabendazole-resistant liver flukes.
Ceballos L, Moreno L, Alvarez L, Shaw L, Fairweather I, Lanusse C.
BMC Vet Res. 2010 Feb 3;6:8. doi: 10.1186/1746-6148-6-8.
PMID: 20128898 Free PMC Article
Increase of gluthatione S-transferase, carboxyl esterase and carbonyl reductase in Fasciola hepatica recovered from triclabendazole treated sheep.
Scarcella S, Solana MV, Fernandez V, Lamenza P, Ceballos L, Solana H.
Mol Biochem Parasitol. 2013 Oct;191(2):63-5. doi: 10.1016/j.molbiopara.2013.09.002. Epub 2013 Sep 13.
PMID: 24041589
Inhibition of triclabendazole metabolism in vitro by ketoconazole increases disruption to the tegument of a triclabendazole-resistant isolate of Fasciola hepatica.
Devine C, Brennan GP, Lanusse CE, Alvarez LI, Trudgett A, Hoey E, Fairweather I.
Parasitol Res. 2011 Oct;109(4):981-95. doi: 10.1007/s00436-011-2304-9. Epub 2011 Mar 26. Corrected and republished in: Parasitol Res. 2011 Oct;109(4):1209-23.
PMID: 21442257

Hình 4
Lack of reversion in triclabendazole-resistant Fasciola hepatica.
Borgsteede FH, Moll L, Vellema P, Gaasenbeek CP.
Vet Rec. 2005 Mar 12;156(11):350-1. No abstract available.
PMID: 15789649
Evaluation of the comparative efficacy of a moxidectin plus triclabendazole pour-on solution against adult and immature liver fluke, Fasciola hepatica, in cattle.
Geurden T, Bartram D, Van Brussel L, Bo L, Scott-Baird E, Rugg D.
Vet Parasitol. 2012 Oct 26;189(2-4):227-32. doi: 10.1016/j.vetpar.2012.04.019. Epub 2012 Apr 20.
PMID: 22579500 Similar articles
Resistance of Fasciola hepatica against triclabendazole in cattle in Patagonia (Argentina).
Olaechea F, Lovera V, Larroza M, Raffo F, Cabrera R.
Vet Parasitol. 2011 Jun 10;178(3-4):364-6. doi: 10.1016/j.vetpar.2010.12.047. Epub 2011 Jan 11.
PMID: 21277090
An evaluation of the efficacy of compound alpha and triclabendazole against two isolates of Fasciola hepatica.
McConville M, Brennan GP, Flanagan A, Edgar HW, Hanna RE, McCoy M, Gordon AW, Castillo R, Hernández-Campos A, Fairweather I.
Vet Parasitol. 2009 May 26;162(1-2):75-88. doi: 10.1016/j.vetpar.2009.02.004. Epub 2009 Feb 12.
PMID: 19282108
Standardisation of a coproantigen reduction test (CRT) protocol for the diagnosis of resistance to triclabendazole in Fasciola hepatica.
Flanagan AM, Edgar HW, Forster F, Gordon A, Hanna RE, McCoy M, Brennan GP, Fairweather I.
Vet Parasitol. 2011 Feb 28;176(1):34-42. doi: 10.1016/j.vetpar.2010.10.037. Epub 2010 Oct 27.
PMID: 21093156
Fasciola hepatica: histological demonstration of apoptosis in the reproductive organs of flukes of triclabendazole-sensitive and triclabendazole-resistant isolates, and in field-derived flukes from triclabendazole-treated hosts, using in situ hybridisation to visualise endonuclease-generated DNA strand breaks.
Hanna RE, Forster FI, Brennan GP, Fairweather I.
Vet Parasitol. 2013 Jan 31;191(3-4):240-51. doi: 10.1016/j.vetpar.2012.09.014. Epub 2012 Sep 18.
PMID: 23062689
Resistance of Fasciola hepatica against Triclabendazole in cattle in Cajamarca (Peru): a clinical trial and an in vivo efficacy test in sheep.
Ortiz P, Scarcella S, Cerna C, Rosales C, Cabrera M, Guzmán M, Lamenza P, Solana H.
Vet Parasitol. 2013 Jul 1;195(1-2):118-21. doi: 10.1016/j.vetpar.2013.01.001. Epub 2013 Jan 10.
PMID: 23352107

Hình 5
Activity of closantel against adult triclabendazole-resistant Fasciola hepatica.
Coles GC, Rhodes AC, Stafford KA.
Vet Rec. 2000 Apr 22;146(17):504. No abstract available.
PMID: 10888001
Diagnosis of triclabendazole resistance in Fasciola hepatica.
Sargison N.
Vet Rec. 2012 Aug 11;171(6):151-2. doi: 10.1136/vr.e5357. No abstract available.
PMID: 22890399
Triclabendazole-resistant liver fluke in Scottish sheep.
Mitchell GB, Maris L, Bonniwell MA.
Vet Rec. 1998 Oct 3;143(14):399. No abstract available.
PMID: 9802201
Triclabendazole-resistant Fasciola hepatica in southwest Wales.
Thomas I, Coles GC, Duffus K.
Vet Rec. 2000 Feb 12;146(7):200. No abstract available.
PMID: 10718597 Similar articles
Fasciola hepatica: ultrastructural effects of a combination of triclabendazole and clorsulon against mature fluke.
Meaney M, Allister J, McKinstry B, McLaughlin K, Brennan GP, Forbes AB, Fairweather I.
Parasitol Res. 2007 Apr;100(5):1091-104. Epub 2006 Dec 19.
PMID: 17180691
Resistance of Fasciola hepatica to triclabendazole and albendazole in sheep in Spain.
Alvarez-Sánchez MA, Mainar-Jaime RC, Pérez-García J, Rojo-Vázquez FA.
Vet Rec. 2006 Sep 23;159(13):424-5. No abstract available.
PMID: 16998003 Similar articles
Albendazole enantiomeric metabolism and binding to cytosolic proteins in the liver fluke Fasciola hepatica.
Solana H, Scarcella S, Virkel G, Ceriani C, Rodríguez J, Lanusse C.
Vet Res Commun. 2009 Feb;33(2):163-73. doi: 10.1007/s11259-008-9166-3. Epub 2008 Aug 26.
PMID: 18726703 Similar articles
Time-course and accumulation of triclabendazole and its metabolites in bile, liver tissues and flukes collected from treated sheep.
Moreno L, Ceballos L, Fairweather I, Lanusse C, Alvarez L.
Exp Parasitol. 2014 Jan;136:14-9. doi: 10.1016/j.exppara.2013.10.014. Epub 2013 Nov 7.
PMID: 24211244

Hình 6
In vivo and in vitro sensitivity of Fasciola hepatica to triclabendazole combined with artesunate, artemether, or OZ78.
Duthaler U, Smith TA, Keiser J.
Antimicrob Agents Chemother. 2010 Nov;54(11):4596-604. doi: 10.1128/AAC.00828-10. Epub 2010 Aug 23.
PMID: 20733042 Free PMC Article
Apparent triclabendazole-resistant human Fasciola hepatica infection, the Netherlands.
Winkelhagen AJ, Mank T, de Vries PJ, Soetekouw R.
Emerg Infect Dis. 2012 Jun;18(6):1028-9. doi: 10.3201/eid1806.120302. No abstract available.
PMID: 22607719 Free PMC Article
Liver fluke control on sheep farms in Northern Ireland: A survey of changing management practices in relation to disease prevalence and perceived triclabendazole resistance.
McMahon C, Edgar HW, Hanna RE, Ellison SE, Flanagan AM, McCoy M, Kajugu PE, Gordon AW, Irwin D, Barley JE, Malone FE, Brennan GP, Fairweather I.
Vet Parasitol. 2016 Jan 30;216:72-83. doi: 10.1016/j.vetpar.2015.11.018. Epub 2015 Dec 12.
PMID: 26801598 Similar articles
Anthelmintic efficacy of triclabendazole against Fasciola hepatica in sheep.
Turner K, Armour J, Richards RJ.
Vet Rec. 1984 Jan 14;114(2):41-2. No abstract available.
PMID: 6719804 Similar articles
Identification of putative markers of triclabendazole resistance by a genome-wide analysis of genetically recombinant Fasciola hepatica.
Hodgkinson J, Cwiklinski K, Beesley NJ, Paterson S, Williams DJ.
Parasitology. 2013 Oct;140(12):1523-33. doi: 10.1017/S0031182013000528. Epub 2013 May 31.
PMID: 23721579 Similar articles

Hình 7
Increased action of triclabendazole (TCBZ) in vitro against a TCBZ-resistant isolate of Fasciola hepatica following its co-incubation with the P-glycoprotein inhibitor, R(+)-verapamil.
Savage J, Meaney M, Brennan GP, Hoey E, Trudgett A, Fairweather I.
Exp Parasitol. 2013 Nov;135(3):642-53. doi: 10.1016/j.exppara.2013.09.015. Epub 2013 Oct 1.
PMID: 24090567 Similar articles
Increase of carboxylesterase activity in Fasciola hepatica recovered from triclabendazole treated sheep.
Scarcella S, Miranda-Miranda E, Cossío-Bayúgar R, Ceballos L, Fernandez V, Solana H.
Mol Biochem Parasitol. 2012 Oct;185(2):151-3. doi: 10.1016/j.molbiopara.2012.07.001. Epub 2012 Jul 16.
PMID: 22814337 Similar articles
A single amino acid substitution in isozyme GST mu in Triclabendazole resistant Fasciola hepatica (Sligo strain) can substantially influence the manifestation of anthelmintic resistance.
Fernández V, Estein S, Ortiz P, Luchessi P, Solana V, Solana H.
Exp Parasitol. 2015 Dec;159:274-9. doi: 10.1016/j.exppara.2015.10.007. Epub 2015 Nov 2.
PMID: 26542261 Similar articles
Resistance-induced changes in triclabendazole transport in Fasciola hepatica: ivermectin reversal effect.
Mottier L, Alvarez L, Fairweather I, Lanusse C.
J Parasitol. 2006 Dec;92(6):1355-60.
PMID: 17304820 Similar articles
Raising the bar on reporting 'triclabendazole resistance'.
Fairweather I.
Vet Rec. 2011 May 14;168(19):514-5. doi: 10.1136/vr.d2867. No abstract available.
PMID: 21571852 Similar articles
In vitro effects of triclabendazole (TCBZ) on the excretory-secretory products (ESP) of Fasciola spp parasites.
Farahnak A, Golmohamdi T, Eshraghian M.
Acta Med Iran. 2012;50(3):164-8.
PMID: 22418984 Free Article
Efficacy of an anthelmintic combination in sheep infected with Fasciola hepatica resistant to albendazole and clorsulon.
Martínez-Valladares M, Cordero-Pérez C, Rojo-Vázquez FA.
Exp Parasitol. 2014 Jan;136:59-62. doi: 10.1016/j.exppara.2013.10.010. Epub 2013 Nov 6.
PMID: 24211419 Similar articles
Effect of the P-glycoprotein inhibitor, R(+)-verapamil on the drug susceptibility of a triclabendazole-resistant isolate of Fasciola hepatica.
Savage J, Meaney M, Brennan GP, Hoey E, Trudgett A, Fairweather I.
Vet Parasitol. 2013 Jul 1;195(1-2):72-86. doi: 10.1016/j.vetpar.2013.03.007. Epub 2013 Mar 22.
PMID: 23597772 Similar articles
Anthelmintic resistance: potential benefits of 'over-diagnosis'.
Sargison ND, Scott PR.
Vet Rec. 2011 Jun 18;168(24):646-7. doi: 10.1136/vr.d3740. No abstract available.
PMID: 21685422 Similar articles
The field evaluation of albendazole and triclabendazole efficacy against Fasciola hepatica by coproantigen ELISA in naturally infected sheep.
Novobilský A, Averpil HB, Höglund J.
Vet Parasitol. 2012 Nov 23;190(1-2):272-6. doi: 10.1016/j.vetpar.2012.06.022. Epub 2012 Jun 26.
PMID: 22818198 Similar articles

Hình 8
Fasciolicides: efficacy, actions, resistance and its management.
Fairweather I, Boray JC.
Vet J. 1999 Sep;158(2):81-112. Review.
PMID: 10489266 Similar articles
Composite faecal egg count reduction test to detect resistance to triclabendazole in Fasciola hepatica.
Daniel R, van Dijk J, Jenkins T, Akca A, Mearns R, Williams DJ.
Vet Rec. 2012 Aug 11;171(6):153, 1-5. doi: 10.1136/vr.100588. Epub 2012 Jul 11.
PMID: 22791519 Similar articles
Resistance of Fasciola hepatica to triclabendazole.
Overend DJ, Bowen FL.
Aust Vet J. 1995 Jul;72(7):275-6. No abstract available.
PMID: 8534235 Similar articles
Efficacy of nitroxynil against Fasciola hepatica resistant to triclabendazole in a naturally infected sheep flock.
Martínez-Valladares M, del Rosario Famularo M, Fernández-Pato N, Castañón-Ordóñez L, Cordero-Pérez C, Rojo-Vázquez FA.
Parasitol Res. 2010 Oct;107(5):1205-11. doi: 10.1007/s00436-010-1989-5. Epub 2010 Aug 3.
PMID: 20680341 Similar articles
The efficacy of triclabendazole (Fasinex) against immature and adult Fasciola hepatica in experimentally infected cattle.
Shi FH, Lin BF, Qian CG, Li M, Fang MB, Ma JL, Shen W, Wang SW, Jian XL.
Vet Parasitol. 1989 Sep;33(2):117-24.
PMID: 2800300 Similar articles
Diagnosis of resistance to triclabendazole.
Jones EM, Daniel R, Coles GC.
Vet Rec. 2014 May 31;174(22):560. doi: 10.1136/vr.g3566. No abstract available.
PMID: 24920715 Similar articles
Tegumental surface changes in juvenile Fasciola hepatica in response to treatment in vivo with triclabendazole.
Halferty L, Brennan GP, Hanna RE, Edgar HW, Meaney MM, McConville M, Trudgett A, Hoey L, Fairweather I.
Vet Parasitol. 2008 Aug 1;155(1-2):49-58. doi: 10.1016/j.vetpar.2008.04.011. Epub 2008 Apr 22.
PMID: 18511199 Similar articles

Hình 9
Efficacy of triclabendazole against Fasciola hepatica in sheep and goats.
Wolff K, Eckert J, Schneiter G, Lutz H.
Vet Parasitol. 1983 Sep;13(2):145-50.
PMID: 6685399 Similar articles
Increased susceptibility of a triclabendazole (TCBZ)-resistant isolate of Fasciola hepatica to TCBZ following co-incubation in vitro with the P-glycoprotein inhibitor, R(+)-verapamil.
Meaney M, Savage J, Brennan GP, Hoey E, Trudgett A, Fairweather I.
Parasitology. 2013 Sep;140(10):1287-303. doi: 10.1017/S0031182013000759. Epub 2013 Jun 12.
PMID: 23756576 Similar articles
Potentiation of triclabendazole sulphoxide-induced tegumental disruption by methimazole in a triclabendazole-resistant isolate of Fasciola hepatica.
Devine C, Brennan GP, Lanusse CE, Alvarez LI, Trudgett A, Hoey E, Fairweather I.
Parasitol Res. 2010 May;106(6):1351-63. doi: 10.1007/s00436-010-1806-1. Epub 2010 Mar 25.
PMID: 20336319 Similar articles
Piperonyl butoxide enhances triclabendazole action against triclabendazole-resistant Fasciola hepatica.
Devine C, Brennan GP, Lanusse CE, Alvarez LI, Trudgett A, Hoey E, Fairweather I.
Parasitology. 2011 Feb;138(2):224-36. doi: 10.1017/S0031182010001125. Epub 2010 Oct 15.
PMID: 20946692 Similar articles
Triclabendazole resistance involving Fasciola hepatica in sheep and goats during an outbreak in Almirante Tamandare, Paraná, Brazil.
Oliveira DR, Ferreira DM, Stival CC, Romero F, Cavagnolli F, Kloss A, Araújo FB, Molento MB.
Rev Bras Parasitol Vet. 2008 Sep;17 Suppl 1:149-53.
PMID: 20059835 Similar articles
A study of a restricted programme of strategic dosing against Fasciola hepatica with triclabendazole.
Fawcett AR.
Vet Rec. 1990 Nov 17;127(20):492-3.
PMID: 2275087 Similar articles
Identification of a field isolate of Fasciola hepatica resistant to albendazole and susceptible to triclabendazole.
Sanabria R, Ceballos L, Moreno L, Romero J, Lanusse C, Alvarez L.
Vet Parasitol. 2013 Mar 31;193(1-3):105-10. doi: 10.1016/j.vetpar.2012.11.033. Epub 2012 Dec 5.
PMID: 23273779 Similar articles
Efficacy against Fasciola hepatica and the pharmacokinetics of triclabendazole administered by oral and topical routes.
Martin P, Chambers M, Hennessy D.
Aust Vet J. 2009 May;87(5):200-3. doi: 10.1111/j.1751-0813.2009.00425.x.
PMID: 19382929 Similar articles
Comparative assessment of albendazole and triclabendazole ovicidal activity on Fasciola hepatica eggs.
Alvarez L, Moreno G, Moreno L, Ceballos L, Shaw L, Fairweather I, Lanusse C.
Vet Parasitol. 2009 Oct 14;164(2-4):211-6. doi: 10.1016/j.vetpar.2009.05.014. Epub 2009 May 20.
PMID: 19560276 Similar articles
Enhancement of triclabendazole action in vivo against a triclabendazole-resistant isolate of Fasciola hepatica by co-treatment with ketoconazole.
Devine C, Brennan GP, Lanusse CE, Alvarez LI, Trudgett A, Hoey E, Fairweather I.
Vet Parasitol. 2011 May 11;177(3-4):305-15. doi: 10.1016/j.vetpar.2010.12.002. Epub 2010 Dec 13.
PMID: 21208747 Similar articles
Tegumental surface changes in adult Fasciola hepatica in response to treatment in vivo with triclabendazole in the sheep host.
Toner E, Brennan GP, Hanna RE, Edgar HW, Fairweather I.
Vet Parasitol. 2010 Sep 20;172(3-4):238-48. doi: 10.1016/j.vetpar.2010.05.012. Epub 2010 May 16.
PMID: 20627418 Similar articles
The efficacy of formulations of triclabendazole and ivermectin in combination against liver fluke (Fasciola hepatica) and gastro-intestinal nematodes in cattle and sheep and sucking lice species in cattle.
Stevenson CR, Mahoney RH, Fisara P, Strehlau G, Reichel MP.
Aust Vet J. 2002 Nov;80(11):698-701.
PMID: 12465830 Similar articles
Experiments on anthelmintic control of Fasciola hepatica in Brazil.
Echevarria FA, Correa MB, Wehrle RD, Correa IF.
Vet Parasitol. 1992 Jul;43(3-4):211-22.
PMID: 1413453 Similar articles
On farm evaluation of the coproantigen ELISA and coproantigen reduction test in Scottish sheep naturally infected with Fasciola hepatica.
Gordon DK, Zadoks RN, Stevenson H, Sargison ND, Skuce PJ.
Vet Parasitol. 2012 Jul 6;187(3-4):436-44. doi: 10.1016/j.vetpar.2012.02.009. Epub 2012 Feb 21.
PMID: 22421492 Similar articles
Diagnosis and economic consequences of triclabendazole resistance in Fasciola hepatica in a sheep flock in south-east Scotland.
Sargison ND, Scott PR.
Vet Rec. 2011 Feb 12;168(6):159. doi: 10.1136/vr.c5332. Epub 2011 Feb 1.
PMID: 21493511 Similar articles
Early onset of changes to the reproductive system of Fasciola hepatica following in vivo treatment with triclabendazole.
Hanna RE, Scarcella S, Solana H, McConnell S, Fairweather I.
Vet Parasitol. 2012 Mar 23;184(2-4):341-7. doi: 10.1016/j.vetpar.2011.08.023. Epub 2011 Aug 19.
PMID: 21944196 Similar articles
Time-dependent changes to the tegumental system and gastrodermis of adult Fasciola hepatica following treatment in vivo with triclabendazole in the sheep host.
Toner E, Brennan GP, Hanna RE, Edgar HW, Fairweather I.
Vet Parasitol. 2010 Dec 15;174(3-4):218-27. doi: 10.1016/j.vetpar.2010.09.008. Epub 2010 Sep 16.
PMID: 20933333 Similar articles
Comparative kinetics of serological and coproantigen ELISA and faecal egg count in cattle experimentally infected with Fasciola hepatica and following treatment with TCBZ.
Brockwell YM, Spithill TW, Anderson GR, Grillo V, Sangster NC.
Vet Parasitol. 2013 Sep 23;196(3-4):417-26. doi: 10.1016/j.vetpar.2013.04.012. Epub 2013 Apr 16.
PMID: 23643623 Similar articles
Relative activity of triclabendazole metabolites against the liver fluke, Fasciola hepatica.
Halferty L, Brennan GP, Trudgett A, Hoey L, Fairweather I.
Vet Parasitol. 2009 Feb 5;159(2):126-38. doi: 10.1016/j.vetpar.2008.10.007. Epub 2008 Oct 11.
PMID: 19027238 Similar articles
Field trials of triclabendazole against mixed age infections of Fasciola hepatica in sheep and cattle.
Stansfield DG, Lonsdale B, Lowndes PA, Reeves EW, Schofield DM.
Vet Rec. 1987 May 9;120(19):459-60. No abstract available.
PMID: 3603987 Similar articles
Adult triclabendazole-resistant Fasciola hepatica: surface and subsurface tegumental responses to in vitro treatment with the sulphoxide metabolite of the experimental fasciolicide compound alpha.
McConville M, Brennan GP, McCoy M, Castillo R, Hernandez-Campos A, Ibarra F, Fairweather I.
Parasitology. 2006 Aug;133(Pt 2):195-208. Epub 2006 May 2.
PMID: 16650337 Similar articles
Comparative assessment of the access of albendazole, fenbendazole and triclabendazole to Fasciola hepatica: effect of bile in the incubation medium.
Alvarez LI, Mottier ML, Lanusse CE.
Parasitology. 2004 Jan;128(Pt 1):73-81.
PMID: 15002906 Similar articles
A transmission electron microscope study on the route of entry of triclabendazole into the liver fluke, Fasciola hepatica.
Toner E, Brennan GP, McConvery F, Meaney M, Fairweather I.
Parasitology. 2010 Apr;137(5):855-70. doi: 10.1017/S0031182009991247. Epub 2009 Dec 24.
PMID: 20030907 Similar articles
Characterisation of a beta-tubulin gene from the liver fluke, Fasciola hepatica.
Robinson MW, Hoey EM, Fairweather I, Dalton JP, McGonigle S, Trudgett A.
Int J Parasitol. 2001 Sep;31(11):1264-8.
PMID: 11513896 Similar articles
Potential role of hares in the spread of liver fluke in the Netherlands.
Walker SM, Johnston C, Hoey EM, Fairweather I, Borgsteede FH, Gaasenbeek CP, Prodohl PA, Trudgett A.
Vet Parasitol. 2011 Apr 19;177(1-2):179-81. doi: 10.1016/j.vetpar.2010.11.043. Epub 2010 Dec 3.
PMID: 21232871 Similar articles
Efficacy of an injectable combination anthelmintic (nitroxynil+clorsulon+ivermectin) against early immature Fasciola hepatica compared to triclabendazole combination flukicides given orally or topically to cattle.
Hutchinson GW, Dawson K, Fitzgibbon CC, Martin PJ.
Vet Parasitol. 2009 Jun 10;162(3-4):278-84. doi: 10.1016/j.vetpar.2009.03.032. Epub 2009 Mar 27.
PMID: 19375232 Similar articles
Enhancement of the drug susceptibility of a triclabendazole-resistant isolate of Fasciola hepatica using the metabolic inhibitor ketoconazole.
Devine C, Brennan GP, Lanusse CE, Alvarez LI, Trudgett A, Hoey E, Fairweather I.
Parasitol Res. 2010 Jul;107(2):337-53. doi: 10.1007/s00436-010-1866-2. Epub 2010 May 30.
PMID: 20512589 Similar articles
Disruption of egg formation by Fasciola hepatica following treatment in vivo with triclabendazole in the sheep host.
Toner E, Brennan GP, Hanna RE, Edgar HW, Fairweather I.
Vet Parasitol. 2011 Apr 19;177(1-2):79-89. doi: 10.1016/j.vetpar.2010.11.032. Epub 2010 Nov 25.
PMID: 21163580 Similar articles
Treatment Failure after Multiple Courses of Triclabendazole among Patients with Fascioliasis in Cusco, Peru: A Case Series.
Cabada MM, Lopez M, Cruz M, Delgado JR, Hill V, White AC Jr.
PLoS Negl Trop Dis. 2016 Jan 25;10(1):e0004361. doi: 10.1371/journal.pntd.0004361. eCollection 2016 Jan.
PMID: 26808543 Free PMC Article
Efficacy of triclabendazole against Fasciola hepatica and Fascioloides magna in naturally infected calves.
Craig TM, Huey RL.
Am J Vet Res. 1984 Aug;45(8):1644-5.
PMID: 6476577 Similar articles
First report of closantel treatment failure against Fasciola hepatica in cattle.
Novobilský A, Höglund J.
Int J Parasitol Drugs Drug Resist. 2015 Aug 28;5(3):172-7. doi: 10.1016/j.ijpddr.2015.07.003. eCollection 2015 Dec.
PMID: 26448903 Free PMC Article
Treatment of immature and mature Fasciola hepatica infections in sheep with triclabendazole.
Boray JC, Crowfoot PD, Strong MB, Allison JR, Schellenbaum M, Von Orelli M, Sarasin G.
Vet Rec. 1983 Oct 1;113(14):315-7.
PMID: 6649348
Reduced reproductive potential of Fasciola hepatica surviving in cattle treated with albendazole.
Lang BZ, Hall RF, Kirstein KW, Wescott RB.
Vet Med Small Anim Clin. 1980 Dec;75(12):1853-7. No abstract available.
PMID: 6906899
An amino acid substitution in Fasciola hepatica P-glycoprotein from triclabendazole-resistant and triclabendazole-susceptible populations.
Wilkinson R, Law CJ, Hoey EM, Fairweather I, Brennan GP, Trudgett A.
Mol Biochem Parasitol. 2012 Nov;186(1):69-72. doi: 10.1016/j.molbiopara.2012.08.008. Epub 2012 Sep 12.
PMID: 22982092
Experimental infection of liver flukes, Fasciola hepatica and Fascioloides magna, in Bison (Bison bison).
Foreyt WJ, Drew ML.
J Wildl Dis. 2010 Jan;46(1):283-6.
PMID: 20090045
The activity of triclabendazole against immature and adult Fasciola hepatica infections in sheep.
Smeal MG, Hall CA.
Aust Vet J. 1983 Nov;60(11):329-31.
PMID: 6667209 Similar articles
Extension of the prepatent period of Fasciola hepatica in infected animals following treatment with triclabendazole.
Büscher G, Bowen FL, Strong MB, Allison JR, Richards RJ.
Vet Rec. 1987 May 9;120(19):460-1. No abstract available.
PMID: 3603988 Similar articles
Triclabendazole-resistant Fasciola hepatica: beta-tubulin and response to in vitro treatment with triclabendazole.
Robinson MW, Trudgett A, Hoey EM, Fairweather I.
Parasitology. 2002 Mar;124(Pt 3):325-38.
PMID: 11922434 Similar articles
Triclabendazole for the treatment of fascioliasis and paragonimiasis.
Keiser J, Engels D, Büscher G, Utzinger J.
Expert Opin Investig Drugs. 2005 Dec;14(12):1513-26. Review.
PMID: 16307491 Similar articles
Human fascioliasis successfully treated with triclabendazole.
Laird PP, Boray JC.
Aust N Z J Med. 1992 Feb;22(1):45-7.
PMID: 1580862 Similar articles
Intraspecific mitochondrial DNA variation of Fasciola hepatica eggs from sheep with different level of anthelmintic resistance.
Martínez-Valladares M, Rojo-Vázquez FA.
Parasitol Res. 2014 Jul;113(7):2733-41. doi: 10.1007/s00436-014-3934-5. Epub 2014 May 16.
PMID: 24832814 Similar articles
Comparative efficacy of closantel and triclabendazole against Fasciola hepatica in experimentally infected sheep.
Maes L, Vanparijs O, Lauwers H, Deckers W.
Vet Rec. 1990 Nov 3;127(18):450-2.
PMID: 2275080
Isothermal microcalorimetry to study the activity of triclabendazole and its metabolites on juvenile and adult Fasciola hepatica.
Keiser J, Manneck T, Kirchhofer C, Braissant O.
Exp Parasitol. 2013 Mar;133(3):265-8. doi: 10.1016/j.exppara.2012.11.020. Epub 2012 Dec 1.
PMID: 23206957
Efficacy of triclabendazole against Fasciola hepatica in the donkey (Equus asinus).
Trawford AF, Tremlett JG.
Vet Rec. 1996 Aug 10;139(6):142-3. No abstract available.
PMID: 8863404
Comparative efficacy of triclabendazole, nitroxynil and rafoxanide against immature and mature Fasciola hepatica in naturally infected cattle.
Rapic D, Dzakula N, Sakar D, Richards RJ.
Vet Rec. 1988 Jan 16;122(3):59-62.
PMID: 3354156 Similar articles
Fasciola hepatica: morphological effects of a combination of triclabendazole and clorsulon against mature fluke.
Meaney M, Allister J, McKinstry B, McLaughlin K, Brennan GP, Forbes AB, Fairweather I.
Parasitol Res. 2006 Oct;99(5):609-21. Epub 2006 Aug 2.
PMID: 16896655
Time-dependent tegumental surface changes in juvenile Fasciola gigantica in response to triclabendazole treatment in goat.
Shareef PA, Brennan GP, McVeigh P, Khan MA, Morphew RM, Mousley A, Marks NJ, Saifullah MK, Brophy PM, Maule AG, Abidi SM.
Acta Trop. 2014 Aug;136:108-17. doi: 10.1016/j.actatropica.2014.04.011. Epub 2014 Apr 15.
PMID: 24742909 Similar articles
Disruption of egg production by triclabendazole-resistant Fasciola hepatica following treatment with a commercial preparation of myrrh (Mirazid).
Abdelaal MMO, Brennan GP, Hanna REB, Abdel-Aziz A, Fairweather I.
Acta Parasitol. 2017 Jun 1;62(2):336-347. doi: 10.1515/ap-2017-0041.
PMID: 28426420 Similar articles
Effect of Fascioliasis on the pharmacokinetic parameters of triclabendazole in human subjects.
El-Tantawy WH, Salem HF, Mohammed Safwat NA.
Pharm World Sci. 2007 Jun;29(3):190-8. Epub 2007 Jan 30.
PMID: 17265093 Similar articles
Acute and subacute Fasciolosis of alpacas (Lama pacos) and treatment with triclabendazole.
Puente GL.
Trop Anim Health Prod. 1997 Feb;29(1):31-2. No abstract available.
PMID: 9090014
[Clinical and therapeutic behaviour of Fasciola hepatica in a series of 87 patients].
Díaz Fernández R, Garcés Martínez M, Millán Alvarez LM, Pérez Lastre J, Millán Marcelo JC.
Rev Cubana Med Trop. 2011 Sep-Dec;63(3):268-74. Spanish.
PMID: 23444618
The role of evolutionary biology in research and control of liver flukes in Southeast Asia.
Echaubard P, Sripa B, Mallory FF, Wilcox BA.
Infect Genet Evol. 2016 Sep;43:381-97. doi: 10.1016/j.meegid.2016.05.019. Epub 2016 May 16. Review.
PMID: 27197053 Free PMC Article
Novel triclabendazole prodrug: A highly water soluble alternative for the treatment of fasciolosis.
Flores-Ramos M, Ibarra-Velarde F, Jung-Cook H, Hernández-Campos A, Vera-Montenegro Y, Castillo R.
Bioorg Med Chem Lett. 2017 Feb 1;27(3):616-619. doi: 10.1016/j.bmcl.2016.12.004. Epub 2016 Dec 2.
PMID: 28027870
Erratum to: inhibition of triclabendazole metabolism in vitro by ketoconazole increases disruption to the tegument of a triclabendazole-resistant isolate of Fasciola hepatica.
Devine C, Brennan GP, Lanusse CE, Alvarez LI, Trudgett A, Hoey E, Fairweather I.
Parasitol Res. 2011 Oct;109(4):1209-23. doi: 10.1007/s00436-011-2554-6. Epub 2011 Aug 14.
PMID: 21858480
Liver fluke β-tubulin isotype 2 binds albendazole and is thus a probable target of this drug.
Chambers E, Ryan LA, Hoey EM, Trudgett A, McFerran NV, Fairweather I, Timson DJ.
Parasitol Res. 2010 Oct;107(5):1257-64. doi: 10.1007/s00436-010-1997-5. Epub 2010 Jul 31.
PMID: 20676683
Exploring and Expanding the Fatty-Acid-Binding Protein Superfamily in Fasciola Species.
Morphew RM, Wilkinson TJ, Mackintosh N, Jahndel V, Paterson S, McVeigh P, Abbas Abidi SM, Saifullah K, Raman M, Ravikumar G, LaCourse J, Maule A, Brophy PM.
J Proteome Res. 2016 Sep 2;15(9):3308-21. doi: 10.1021/acs.jproteome.6b00331. Epub 2016 Aug 16.
PMID: 27495901
Pleiotropic alterations in gene expression in Latin American Fasciola hepatica isolates with different susceptibility to drugs.
Radio S, Fontenla S, Solana V, Matos Salim AC, Araújo FMG, Ortiz P, Hoban C, Miranda E, Gayo V, Pais FS, Solana H, Oliveira G, Smircich P, Tort JF.
Parasit Vectors. 2018 Jan 24;11(1):56. doi: 10.1186/s13071-017-2553-2.
PMID: 29368659 Free PMC Article
The global burden of fasciolosis in domestic animals with an outlook on the contribution of new approaches for diagnosis and control.
Khan MK, Sajid MS, Riaz H, Ahmad NE, He L, Shahzad M, Hussain A, Khan MN, Iqbal Z, Zhao J.
Parasitol Res. 2013 Jul;112(7):2421-30. doi: 10.1007/s00436-013-3464-6. Epub 2013 Jun 1. Review.
PMID: 23728732