Mắt người là một phần của não hình thành từ tuần thứ 3 của phôi kỳ dưới dạng hai túi thị nguyên thủy, phát triển và lồi dần ra phía trước tạo thành võng mạc, thể thủy tinh và các thành phần hoàn chỉnh khác. Cặp mắt là một trong năm giác quan quan trọng, giúp con người quan sát và kiểm soát môi trường chung quanh. Con người có khả năng dùng mắt để liên hệ, trao đổi thông tin với nhau thay lời nói. Do đó trong văn học, mắt có khi được gọi là cửa sổ tâm hồn. Mắt người nằm trong hai lỗ hốc hai bên sống mũi, trên có gò lông mày và trán, dưới giáp xương má. Màng mạc bọc xương của hốc mắt nối tiếp bên sau với màng cứng của não, bọc theo dai dây thần kinh thị giác. Bên ngoài có hai mí mắt khi nhắm lại che kín hốc mắt. Mí trên có lông mi dài cong, lông mi của mí dưới ít hơn và ngắn hơn. Bên trong hốc mắt có các tuyến nước mắt, các bắp thịt di chuyển mắt, trong cùng là các mô mỡ chêm đệm không cho mắt bị kéo vào phía sau bởi các bắp thịt.
Tròng mắt là một hình cầu, lớp củng mạc phía ngoài, màu trắng đục (tròng trắng), phía trước bọc bởi một lớp trong gọi là kết mạc. Giác mạc nối tiếp củng mạc lồi ra phía trước, trong suốt để lộ phía trong cầu mắt, tạo thành tròng đen. Bên sau giác mạc theo thứ tự từ ngoài vào trong là khối lỏng thủy dịch, vòng cơ mi (con ngươi), thủy tinh thể nằm trong trung tâm phía sau cơ mi, khối lỏng dịch thủy tinh, và sau cùng, lót phía trong cầu mắt là võng mạc, nơi ánh sáng tác động lên nhiều đầu dây thần kinh hình nón và hình gậy. Những dây thần kinh tụ lại tại một điểm ra phía sau cầu mắt theo dây thần kinh thị giác vào não. Vì điểm này của võng mạc không có dầu thần kinh đón nhận ánh sáng nên gọi là điểm mù. Ánh sáng đi qua thủy tinh thể hội tụ rõ nhất tại hố thị giác trên võng mạc. Cầu mắt di động nhờ sức kéo của 6 bắp thịt: 4 cơ trực - trên, dưới, ngoài, trong; 2 cơ chéo - trên và dưới. Hai cơ trực ngoài và trực trong chỉ đơn giản quay ra ngoài và vào trong. Cơ trực trên quay cầu lên và chếch vào trong 1 chút, cơ chéo dưới, quay lên và ra ngoài 1 chút. Hai cơ này có tác động chung là đưa hướng nhìn lên (tác động ngoài-trong bị khử nhau). Tương tự, cơ trực dưới quay cầu xuống và vào trong 1 chút, cơ chéo trên quay xuống và ra ngoài 1 chút. Hai cơ có tác động chung là nhìn xuống (Khi xét nghiệm hai cơ trực trên và dưới nên bảo bệnh nhân nhìn vào trong 1 chút để tránh tác động của hai cơ chéo. Tương tự, khi xét nghiệm hai cơ chéo trên và dưới nên bảo bệnh nhân nhìn ra ngoài 1 chút để tránh tác độngcủa hai cơ trực).
A. BỆNH MẮT DO GIUN KÝ SINH hoặc LẠC CHỖ & GÂY BỆNH
Trên thế giới, tại một số vùng nhiệt đới và cận nhiệt đới như châu Á, châu Phi, khu vực Nam Mỹ, Trung Mỹ,…thì bệnh mắt do tác nhân ký sinh trùng và đơn bào tương đối hay gặp và rất nhiều công trình nghiên cứu khá chi tiết về các loại bệnh như thế và công việc chẩn đoán và điều trị có lẽ đã trở nên quen thuộc đối với họ. Riêng ở Việt Nam, các bệnh lý như thế khá hiếm gặp, song thời gian 10 năm trở lại đây, một số cơ sở điều trị nhãn khoa như các bệnh viện mắt tuyến TƯ, tỉnh đôi lúc gặp các trường hợp nhiễm giun, sán,…song quá trình chẩn đoán và định danh còn gặp nhiều khó khăn và rất ít công trình nghiên cứu đến loại hình bệnh lý này nhiều. Thực tế lam sàng cho thấy nhiều bệnh nhân mắc phải nhưng không được phát hiện ra bệnh trong một thời gian dài, mãi đến khi giun tự đục thủng một bộ phận nào đó của mắt chui ra thì khi đó hậu quả rất nghiêm trọng (viêm cấu trúc ổ mắt, viêm nội nhãn, viêm giác mạc, kết mạc, viêm màng bồ đào, viêm hắc võng mạc, đục dịch kính, giảm thị lực, mù hoàn toàn, viêm hoặc teo thị thần kinh). Các loại ký sinh trùng và đơn bào gây bệnh ở mắt là amíp Acanthamoeba, Toxoplasmose, các loài giun, sán...Việc điều trị các bệnh lý như thế đôi khi gặp khó khăn vì không được xử lý ổ nhiễm ký sinh trùng triệt để.
Bệnh giun chỉ Thelazia callipaeda. ở mắt
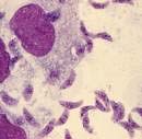
Bệnh mắt do giun chỉ không phổ biến ở Việt Nam, song thời gian qua Bệnh viện Mắt Trung ương luôn tiếp nhận nhiều bệnh nhân đến trong tình trạng kết mạc viêm, mi mắt có u hạt, xung huyết,... Sau khi làm xét nghiệm, các bác sĩ phát hiện trên mi mắt người bệnh có ấu trùng sán dây lợn, sán nhái nằm và một số tác nhân khác nằm dưới võng mạc trung tâm. Một số bệnh nhân vào viện với nhiều bệnh cảnh đa dạng: khi thì mắt bị vướng cộm, kết mạc góc ngoài vùng khe mi mắt có một khối đỏ, kích thước to nhanh. Khám lâm sàng và một số xét nghiệm chẩn đoán không có gì đặc biệt, nhưng xét nghiệm mô bệnh học, sinh thiết tại mắt cho thấy ngoài cùng là vỏ bao xơ, tiếp theo là tổ chức hạt viêm với các tân mạch và nhiều loại tế bào viêm như bạch cầu đa nhân trung tính, lymphocyte, trong cùng là các khúc giun cắt ngang qua hoặc hơi chéo với vỏ kitin dày, các lớp cơ bên trong chứa các ấu trùng giun chỉ onchocerca. Hoặc bệnh nhân trước khi vào viện 10 ngày bị sưng nề mi mắt trên bên phải, đều trị kháng sinh nhỏ tại chỗ không đỡ. Vào Bệnh viện Mắt Trung ương khám, làm xét nghiệm phát hiện, trong mi mắt trên bên phải của bệnh nhân có một khối u kích thước 0.5cm, mật độ chắc, di động, ấn không đau, kết mạc xung huyết nhẹ. Bệnh nhân được phẫu thuật cắt u. Sau khi dùng kìm cocher bóc tách u, vỏ bọc vỡ một chất nhầy màu vàng chảy ra và theo đó là đầu giun còn sống. Các bác sĩ phải lấy pince kéo ra 2 con giun dài 4cm, vỏ kitin dày, bên trong chứa nhiều ấu trùng Thelazia (năm 2008).
Đến tháng 8 và 9/2008, theo tin từ Thái Nguyên, vừa qua các nhà ký sinh trùng Việt Nam lần đầu tiên phát hiện loài giun vốn bản chất ký sinh và gây bệnh trên động vật, nhất là chó, mèo nay lại ký sinh và gây bệnh cho người. Đó là trường hợp bệnh nhân Nguyễn Thế Ð., 26 tuổi, ngụ tại xã Hợp Tiến, huyện Ðồng Hỷ, tỉnh Thái Nguyên vừa gây ngỡ ngàng cho y giới Việt Nam sau khi họ tìm thấy một loại giun trong mắt (T) của bà. Cách ngày nhập viện không lâu, bà cảm thấy mắt có vật lạ, cồm cộm, đi khám ở bệnh viện Đa khoa Thái Nguyên, các bác sĩ nhãn khoa gắp giun ra, tiếp đó chuyển bà tới Bộ môn ký sinh trùng của Ðại học y khoa Thái Nguyên, tại đây bắt thêm 1 con giun nữa (cả thảy là 5 con), giun bắt ra còn sống, có hình ống, màu trắng sữa, dài từ 10-15mm, đầu nhọn và đuôi cong.
Tiếp đó, giun được bảo quản và chuyển về bộ môn ký sinh trùng, trường Ðại học y Hà Nội, qua kết quả định loại bằng hình thái học và định loài bằng sinh học phân tử đã xác định đây là loại giun tròn Thelazia callipaeda.
Giới thiệu một số ca bệnh do loài giun này trên thế giới
- Ca bệnh nhiễm giun T. californiensis ở mắt con người: Viêm kết mạc mắt do Thelazia californiensis là một trường hợp do nhóm tác giả [My paper] R Knierim, M K Jack phát hiện: một bệnh nhân viêm kết mạc mạn tính, được khám và phát hiện nhiễm loại giun tròn ở vùng kết mạc. Ký sinh trùng này được tìm thấy trong cul-de-sac của kết mạc, tất cả đều di động. Điều trị bằng cách loại bỏ ký sinh trùng và theo dõi một thời gian.
- Nhiễm trùng ở mắt do loài Thelazia spp. ở Ấn Độ và Mỹ. Nhóm tác giả J Mahanta, J Alger, P Bordoloi thuộc bệnh viện Oil India Hospital, Duliajan, Assam, Ấn Độ và trường Đại học y tế công cộng New Orleans, Mỹ phối hợp nghiên cứu về các chủng của giống Thelazia ký sinh và gây bệnh trên kết mạc và tuyến lệ của nhiều loại động vật có vú trên khắp thế giới. Hầu hết các thành viên của giống Thelazia nằm ở gia súc, cừu, dê, trâu, chó, thỏ và lừa. Tỷ lệ mắc mới ở gia súc dao động từ 5-42% trong các quốc gia khác nhau. Nhiễm bệnh trên người được công bố là do 2 chủng: T.callipaeda và T.californiensis. Về kinh điển, đây chỉ loài ký sinh trùng gây bệnh trên chó, mèo, thỏ tại các quốc gia châu Á, bao gồm Ấn Độ, Trung và Viễn Đông. Giun trưởng thành có màu trắng kem, trông giống sợi chỉ, chiều dài có thể đến 2cm. Sự có mặt của loài giun này trong mắt dẫn đến tăng tiết nước mắt, tăng tiết chất nhầy, gây tác hại đến kết mạc và giác mạc. Giun cái đẻ trứng, trứng được thụ tinh hoặc ấu trùng sẽ nằm lẫn trong nước mắt hoặc các chất tiết, loài ruồi liên quan thuộc giống Fannia và Musca. Một khi ấu trùng phát triển đến giai đoạn gây nhiễm, chúng di chuyển đến phần miệng của ruồi và từ đó lây truyền cho vật chủ khác. Trong nghiên cứu này, các bác sĩ mô tả loài giun tròn này được lấy ra từ thủy tinh thể.
- Nhiễm ký sinh trùng Thelazia callipaeda ở thành phố Hiroshima: tại Nhật Bản, đến thời điểm này có khoảng 100 trường hợp nhiễm Thelazia ở người, phần lớn ca bệnh đều ở phía tây của Nhật, nhất là Kyusyu. Đây là báo cáo về một số ca bệnh đặc biệt được trích ra do tác giả Imada Masaki, Sugihara Aya và Mizote Hideaki cùng một số cộng sự ghi nhận: Thelazia callipaeda, loài giun tròn phuowng đông, phân bố khắp Đông Nam Á. Tiên khởi, loài giun này ký sinh và gây bệnh liên quan đến kết mạc, giác mạc và thủy tinh thể của chó, khỉ, gấu trúc bắc Mỹ, nhưng thỉnh thoảng lại ký sinh trên người. T. callipaeda nhiễm bệnh ở túi kết mạc gây ra nhiều triệu chứng về mắt.
Bệnh mắt do nhiễm giun chỉ Wuchereria bancrofti
Giun chỉ Wuchereria bancrofti ký sinh ở người trưởng thành trong hạch và ống bạch huyết. giun chỉ trưởng thành dài 25-100mm, bệnh lưu hành nhiều quốc gia châu Á và châu Phi, Nam Mỹ và một vài quốc gia châu Âu (như Ý, Tây Ban Nha) và Việt Nam trước đây cũng có những vùng lưu hành bệnh này như Khánh Hòa, Ninh Thuận…
Khi nhiễm giun chỉ loại này ở mắt. Mắt sẽ bị phù, ngứa, đôi khi thấy được con giun di chuyển dưới lớp da căng phồng; túi lệ đôi lúc có thể tìm thấy giun chỉ chui vào và gây viêm túi lệ; ở kết mạc có thể thấy giun chỉ di động dưới kết mạc, có khi gây xuất huyết dưới kết mạc tái hồi. Riêng tại mống mắt thể mi, lúc giun chỉ chui vào thể mi sẽ gây viêm mống mắt rất nặng, đau dữ dội; tiền phòng có thể nhìn thấy giun chỉ màu trắng, di chuyển tương đối nhanh, ngoằn nghoèo; ở dịch kính đôi khi thấy đầu con giun chỉ cắm vào võng mạc, còn thân thì lư lửng trong dịch kính, dịch kính vẩn đục thể hiện tình trạng viêm. Đáy mắt có biểu hiện tình trạng viêm màng bồ đào, gai thị kèm theo viêm mống mắt thể mi, có khi thấy đuowjc giun chỉ dưới võng mạc đi đôi với những đám xuất huyết và dịch tiết.
Bệnh mắt do giun chỉ Loa loa
Bệnh do ký sinh trùng này rất phổ biến ở vùng châu Phi xích đạo và vùng Tây Phi, nhất là Cameroon và Nigeria. Biểu hiện toàn thần khi nhiễm là hình vảnh phù kiểu Calabar (phù luôn thay đổi vị trí, kèm theo ngứa). đau các khớp, viêm thận, đôi khi bị bệnh tim và não.
Khi bệnh diễn ra tại mắt thì mi mắt phù nề và ngứa, đôi lúc thấy giun dưới da và có thể sờ thấy được. Kết mạc phù, viêm kết mạc cấp, ngứa dữ dội, đôi khi thấy được giun chỉ màu vàng nhạt, mảnh dẻ, dài từ 3-6cm rất di động.
Bệnh mắt do giun chỉ Onchocerca volulus (bệnh Roble)
Bệnh do ký sinh trùng này rất phổ biến ở vùng châu Phi, Tây Phi, do loài Onchocerca volulus gây nên. Biểu hiện toàn thân của bệnh trông giống như ghẻ rải rác dưới da khắp thân người và chân tay. Mặt bì phù, có u dưới da, phù voi, viêm khớp.
Biểu hiện khi nhiễm giun chỉ này tại mắt: giác mạc viêm nông dưới biểu mô hoặc có hìnhđồng tiền với những ổ màu trắng nhạt hoặc hình thái chấm. Đôi khi có những ấu trùng giun chỉ ngoằn nghoèo, còn sống và di chuyển chậm. Tiền phòng thường óc từ 20-30 ấu trùng giun chỉ còn sống, ngoằn ngoèo, di chuyển nhanh. Trong tiền phòng còn có mủ tiền phòng màu nâu xám, chứa ấu trùng giun chỉ đã chết, tỏa màu nâu ánh vàng. Mốngmắt thể mi viêm cấp, sau đó xuất hiện teo mống mắt. Dịch kính viêm, đục dịch kính, trong dịch kính có những ấu trùng giun chỉ, còn sống lẫn con đã chết, con sống thì cong queo, bò chậm chậm, con chết thì nằm thẳng bất động. Đáy mắt thoái hóa hắc võng mạc kiểu Ridley, xơ cứng củng mạc. Điện võng mạc đồ đôi khi bị hủy, các đường thần kinhthị giác có thể teo. Một trong những biến chứng để lại là glaucom thứ phát.
Bệnh mắt do nhiễm giun đũa chó, mèo (Toxocara canis, Toxocara cati)
Trước đó, khoảng trung tuần tháng 8/2008, báo chí Việt Nam đã từng đưa cảnh báo về tình trạng ngày một nhiều người Việt Nam bị tổn thương não do thói quen thường xuyên ôm ấp chó, mèo rồi nhiễm giun đũa chó; Báo điện tử VnExpress cho biết, một phụ nữ ở An Giang đã được bệnh viện Chợ Rẫy cứu sống sau khi bị phù não do nhiễm Toxocara canis (loại giun đũa có ký sinh trên chó). Hoặc một trường hợp khác là bệnh nhi Nguyễn Thị H., 7 tuổi, ở Ðồng Nai thường xuyên bị động kinh. Kết quả chẩn đoán của khoa nội thần kinh thuộc bệnh viện Nhi, Ðồng Nai xác định, nguyên nhân cũng vì nhiễm Toxocara canis. Theo thống kê, mỗi năm, có hàng chục ca mà bệnh nhi nhiễm giun đũa chó được đưa vào cấp cứu tại bệnh viện Nhi Ðồng 2 ở thành phố Hồ Chí Minh sau khi bệnh viện tại các tỉnh không chẩn đoán được nguyên nhân bị bệnh. Hầu hết các bệnh nhân này đều có những biểu hiện giống nhau: nhức đầu, động kinh, cử động bất thường, rối loạn hành vi thậm chí liệt,... và tất cả đều do nhiễm Toxocara canis.
Thông tin từ khoa nội thần kinh, bệnh viện Chợ Rẫy cho biết tại Việt Nam, tỷ lệ nhiễm ấu trùng giun đũa có trong chó rất cao do môi trường thuận lợi cho sự phát triển các loại ký sinh trùng và thói quen nuôi, ẵm bồng chó như con của nhiều người. Số bệnh nhân có biểu hiện thần kinh phải vào điều trị ở khoa nội thần kinh và được xác định là nhiễm Toxocara canis chiếm tỷ lệ cao nhất so với các loại ký sinh trùng khác. Khoảng 32.5% người nhiễm Toxocara canis có triệu chứng lâm sàng là động kinh, 10% bị viêm màng não...vì trứng của Toxocara canis thường nằm ở miệng, mũi, mắt, hậu môn... của chó, mèo. Khi con người tiếp xúc với chó, mèo, ấu trùng Toxocara canis sẽ nhiễm vào cơ thể rồi theo đường máu đến gan, phổi và những nội tạng khác. Ấu trùng có thể tồn tại hàng tháng hoặc nằm im thành những vật lạ gây viêm và kích thích tạo u hạt. Chính vì thế, những ca nhiễm Toxocara canis thường có lượng bạch cầu tăng rất cao. Ðáng ngại là vì có nhiều biểu hiện khác nhau nên việc chẩn đoán bệnh này gặp nhiều khó khăn và rất dễ nhầm với bệnh khác”
Bệnh mắt do giun tóc Trichuris trichiura
Giun tóc là loại giun phân bố rộng khắp trên thế giới, đặc biệt là ở những vùng dân cư đông, chật chội, môi trường ô nhiễm, sử dụng phân người trong canh tác. Giun tóc ký sinh trong cơ thể sẽ gây rối loạn tiêu hóa và nhiều biến chứng nguy hiểm. Khả năng chịu đựng ngoại cảnh cao, giun tóc có chu kỳ gần giống giun đũa, trứng giun tóc sẽ theo phân ra ngoài. Gặp điều kiện thuận lợi trứng phát triển thành ấu trùng có khả năng gây nhiễm ở bên trong trứng. Nhiệt độ thích hợp nhất để trứng có ấu trùng là 25-30oC, trứng giun tóc có khả năng chịu đựng với điều kiện ngoại cảnh bất lợi thậm chí trứng có ấu trùng tồn tại được 5 năm ở ngoại cảnh. Khi người ăn phải trứng giun có chứa ấu trùng (ăn rau sống rửa chưa sạch, chân tay bẩn…) trứng theo thức ăn vào ruột, lúc này ấu trùng sẽ thoát ra khỏi vỏ trứng và di chuyển xuống ruột già để sống ký sinh. Thời gian để ấu trùng phát triển thành giun trưởng thành ở trong ruột già là 1 tháng, khi đó giun có thể đẻ trứng để tiếp tục vòng đời mới.
Do giun tóc có phần đầu nhỏ như một sợi tóc, phần đuôi lớn hơn, dài khoảng 30-38cm (tùy giun cái hoặc giun đực), thường màu hồng nhạt hoặc màu trắng. Khi mắc bệnh tại mắt, thường biểu hiện mi mắt phù mi, mề đay; ở kết mạc có những phỏng nước, xuất huyết dưới kết mạc; tại đáy mắt có viêm võng mạc và gây thiếu máu; vận nhãn có thể là lác, rung giật nhãn cầu, rối loạn điều tiết.
Ngoài các triệu chứng tại mắt, có thêm các tình trạng kích thích niêm mạc ruột có thể đưa đến hậu quả lòi rom, hoặc có thể gây nhiễm trùng thứ phát như thương hàn, nhiễm vi trùng sinh mủ. Một số trường hợp giun tóc có thể chui vào ruột thừa gây viêm ruột thừa, nếu không được xử trí sớm có thể dẫn đến viêm phúc mạc, thậm chí tử vong. Những bệnh nhân có giun tóc còn hay bị nổi mẩn ngứa, dị ứng, nếu số lượng giun tóc nhiều bệnh nhân còn có biểu hiện thiếu máu, người mệt mỏi, da xanh, niêm mạc nhợt, hay bị hoa mắt chóng mặt ù tai, tóc khô dễ rụng, móng tay nhiều khía dễ gãy, biểu hiện rối loạn sinh lý, nữ bị rối loạn kinh nguyệt, nam thì bị yếu sinh lý hoặc bất lực.
Bệnh mắt do giun đũa Ascaris lumbricoides
Giun đũa là loại ký sinh trùng gây bệnh phổ biến ở người. Tại Việt Nam, giun đũa đứng hàng thứ nhất trong các loại giun sán ký sinh đường ruột. Khi giun đũa ký sinh và gây bệnh tại mắt thì biểu hiện: ở mi mắt có mi mắt bị phù, da mi nổi mề đay, viêm bờ mi; tại kết mạc có viêm kết mạc, có hột, đôi khi có giun giai đoạn còn non ở túi cùng; tại giác mạc sẽ biểu hiện viêm giác mạc bọng, viêm giác mạc nhu mô; tại đáy mắt có thể thấy xuất huyết võng mạc tái phát, phù ở cực sau võng mạc; vận động trong và ngoài nhãn cầu như nháy mắt, co quắp mi, đồng tử một bên to, một bên nhỏ, giãn đồng tử hoặc co đồng tử.
Nhận biết ánh sáng có biểu hiện quáng gà và đường thị giác cho thấy viêm thần kinh sau nhãn cầu, viêm thị thần kinh và teo thần kinh thị.
Bệnh mắt do giun kim Enterobius vermicularis
Giun kim là loại giun nhỏ, ký sinh chủ yếu trên trẻ em nhiều hơn người lớn, trú thường tại rìa hậu môn của trẻ. Bệnh cũng lưu hành khá phổ biến tại các vùng nhiệt đới và cận nhiệt đới trên thế giới.
Khi mắt bị nhiễm giun kim, biểu hiện thường không điển hình: ở mi mắt có viêm quấng nâu, quanh mi mắt, phù, nổi mề đay dị ứng; ở kết mạc có viêm dạng bọng nước hoặc lâu có thể viêm kết mạc mạn tính; đáy mắt xuất huyết võng mạc; vận nhãn ngoại lai thường nháy mắt, co quắp mi, lác đồng hành; vẫn nhãn nội tại có giãn đồng tử, co quắp điều tiết; nhận biết ánh sáng là rất sợ ánh sáng.
Bệnh mắt do giun móc, mỏ
Giun móc thường gây các rối loạn tính ở ruột, thiếu máu và một số tác hại nghiêm trọng khác. Bệnh thường nhiễm cao tại các vùng có người làm việc trong môi trường ẩm ướt, như hầm mỏ, khu mỏ than, nông thôn,…Khi nhiễm giun móc mỏ tại mắt, biểu hiện hơi khác so với một số loài giun sán khác tại cơ quan này. Tại mi mắt biểu hiện viêm phù nề mi trên, dị ứng; tuyến lệ chảy nước mắt liên tục do xuất tiết hoặc phản xạ; ở củng mạc, phần trên của củn mạc có những chấm xám và những đám màu xanh nước biển; kết mạc khô; đáy mắt có viêm võng mạc do thiếu máunuôi dưỡng, xuất huyết dạng chấm trước tiên ở vùng chu biên rồi sau đó choán cả vùng cực sau nhãn cầu; vận nhãn ngoại lai có thể có liệt dây thần kinh số III, co quắp điều tiết, rung giật nhãn cầu hoặc rối loạn điều tiết trong vận nhãn nội tại; các đường thị giác cho thấy viêm thị thần kinh, viêm thị thần kinh hậu nhãn cầu xảy ra đột ngột, nếu không điều trị kịp thời sẽ bị teo thị thần kinh thứ phát.
Bệnh mắt do giun xoắn Trichinella spiralis
Giun xoắn là một loại ký sinh trùng rất nhỏ, thường gây bệnh cấp tính nguy hiểm, thậm chí đe dọa tính mạng, bệnh phát triển có khi gây thành dịch nhỏ. Giun xoắn trưởng thành sống trong ruột non của vật chủ (đôi khi phát hiện chúng ở trong đoạn đại tràng). Ấu trùng giun xoắn di chuyển đến các cơ và đóng kén tại đó. Những súc vật có thể nhiễm giun xoắn như lợn, chó, mèo, chuột,…thì số lượng giun xoắn trong máu và cơ rất nhiều, còn ở những gia cầm thì đến nay chưa thấy báo cóa nào đề cập nhiễm giun xoắn.
Khi nhiễm giun xoắn tại mắt, hốc mắt cho thấy lồi cả hai bên, có khi một bên to, một bên nhỏ; mi mắt phù nề cả 2 mi, phù lan cả lên trán, xuống má, có khi phù cả mặt; kết mạc phù cao, có khi kết mạc phòi qua khe mi; thần kinh vận động nhãn cầu bị liệt, mắt không liếc qua liếc lại được, cũng không nhìn lên nhìn xuống được; đồng tử dãn to; đáy mắt có thể thấy phù võng mạc, những chấm xuất huyết nhỏ, rải rác có vài ba đám chất tiết màu trắng hay vàng nhạt; dây thần kinh thị giác cũng có thể bị viêm.
Bệnh mắt do giun lươn Strongyloides stercoralis
Giun lươn (Strongyloides stercoralis hoặc Anguillula stercoralis) phân bố rộng khắp, nhưng tỷ lệ không cao. Thực tế cho thấy những nơi có nhiễm giun móc, mỏ nhiều là có xu hướng giun lươn cũng cao. Giun lươn cái trưởng thành dài 2cm, chiều ngang khoảng 35mm, có đầu và đuôi nhọn, vỏ thân giun có khía ngang. Giun thường ký sinh trong niêm mạc ruột và bám thành ruột để hút máu. Biểu hiện bệnh giun lươn ở mắt thường là vẩn đục dịch kính; đáy mắt nhạt màu, dãn tĩnh mạch võng mạc, co thắt động mạch võng mạc, xuất huyết võng mạc nhiều hình thái khác nhau.
Bệnh mắt do giun đầu gai Gnathostoma spinigerum
Loại giun này chúng ta thường gặp ở các vùng nhiệt đới và cận nhiệt đới, trong đó có Việt Nam. Khi mắc bệnh, biểu hiện toàn thân là có những nốt abces dưới da, bệnh nhân đau nhiều trong lúc giun di chuyển trong cơ thể. Bệnh biểu hiện có thể tại nhiều bộ phận trong cơ thể, nhất là khi chúng lên não sẽ gây ra các biến chứng nghiêm trọng có thể đe dọa tử vong.
Biểu hiện tại mắt ở 3 chỗ: trong tiền phòng có giun non dài từ 2-5mm, đôi khi nhìn thấy được, kèm theo có chảy máu tiền phòng. Tại mống mắt có nốt màu xám nhạt (chứa giun), viêm mống mắt thể mi cấp hay tái phát. Đáy mắt thể hiện bằng viêm hắc mạc, xuất huyết võng mạc.
Bệnh mắt do giun Philophtalmus
Đây là loại ký sinh trùng truyền sang người thường gặp ở các vùng nam Mỹ, châu Âu và Nam Á. Biểu hiện bệnh ở mắt là các tổn thương ở kết mạc có viêm hột cấp hay khối u nhỏ màu đỏ ở kết mạc hay túi cùng, trong có ký sinh trùng dài từ 2-4mm, ngang 1mm.
Bệnh mắt do giun Porocephalus
Đây là loại ký sinh trùng truyền hiếm khi truyền sang người, bệnh lưu hành nhiều ở vùng châu Phi do ấu trùng giun Porocephalus armillatus gây ra. Biểu hiện ở mắt là các sang thương / tổn thương ở kết mạc: thấy ấu trùng dưới kết mạc nang hóa, màu trắng, có đốt, cong queo, dài từ 1-2cm. Tại tiền phòng thấy có ấu trùng di chuyển trong thủy dịch, viêm mống mắt thể mi thứ phát.
B. BỆNH MẮT DO SÁN KÝ SINH hoặc LẠC CHỖ & GÂY BỆNH
Bệnh mắt do nhiễm ấu trùng sán lợn Cysticercosis
Một vài số liệu về các ca bệnh cho biết gần đây có nhiều ca bệnh liên quan đến ấu trùng sán lợn ở não rối ảnh hưởng hoặc tác động trực tiếp đến mắt do loài sán dây này. Đơn cử trường hợp bệnh nhân Tống Thị H. (38 tuổi, Bắc Giang) đi chữa mắt suốt hai năm nay và vẫn không nhìn thấy gì. Cuối năm 2005, chị H. bắt đầu thấy đau đầu, lên cơn động kinh, phù mặt, mắt bị lồi rồi mất thị lực. Đi khám nhiều nơi, chị được chẩn đoán là bị bệnh tim, thận, rối loạn tuần hoàn não. Đến khi chụp cắt lớp, nguyên nhân thật mới được phát hiện. Những nang sán khu trú trên não lâu năm đã khiến chị bị giãn não thất. Bệnh nhân đã bán đi nửa gia sản và 3 sào đất để chữa bệnh, đến nay đã qua 9 đợt mà bệnh vẫn chưa mấy cải thiện. Bệnh nhân cho rằng ấu trùng sán vào cơ thể chị qua món nem thính, đặc sản Bắc Giang. Miếng thịt nạc ngon được chần qua nước sôi, có nơi để sống, thái mỏng, bóp gia vị hành tỏi đầy đủ và trộn thính. Hiện đây vẫn là món ít khi vắng mặt trong mâm cỗ ngày hiếu hỉ hay tiếp khách ở quê hương chị. Trường hợp thứ 2 là bệnh nhân Phạm Hồng Đ. (57 tuổi, Giao Thuỷ, Nam Định) phát hiện ra bệnh khi các nang sán đã nằm trong não. Lúc đầu, ông bị co quắp không đi được, tiếp sau là mất trí nhớ, phù nề, co giật, động kinh. Theo lời kể của bệnh nhân, nhiều năm nay ông rất mê món nem thính. Trường hợp thứ 3 là bệnh nhân C. 64 tuổi, ông vốn rất "nghiện" nem chua và tiết canh. Gần đây, ông thấy đau mắt, nhức răng mới đi khám và phát hiện nhiễm sán. Hiện bệnh nhân ấu trùng sán lợn đã được phát hiện tại ít nhất 50 tỉnh, thành trong cả nước, số bệnh nhân mắc ấu trùng sán lợn tăng cao trong mấy năm qua, khu vực miền Bắc hầu như tỉnh nào cũng có bệnh nhân; trong đó nhiều nhất là ở Bắc Giang và Bắc Ninh là những nơi có tập quán ăn "nem thính" thịt lợn sống.
Tại Trung Quốc, một quốc gia láng giềng với chúng ta cũng có báo cáo nhiều trường hợp tương tự, như trường hợp các bác sĩ Trung Quốc đã rất bất ngờ khi phát hiện cả một ổ sán sống ký sinh trong mắt của một bệnh nhân nhi hơn 1 tuổi hoặc ca bệnh nhân nam 6 tuổi ở Ngũ Châu, Quảng Tây, Trung Quốc bị sưng tấy đỏ. Bố mẹ đi làm xa, em ở với ông bà. Hơn một năm qua, mắt em bây giờ sưng bằng củ lạc. Ông bà đưa em đến bệnh viện Quảng Tây, bác sỹ đã khám và tiêm kháng sinh cho em, nhưng chỉ đỡ phần nào. Khi chuyển lên bệnh viện mắt Nhân dân 2 Quảng Đông, bác sỹ phát hiện dưới mí mắt của em có 1u nhỏ, bề ngoài nhẵn bóng, ấn vào thấy lung bùng nhưng không đau. Khi phẫu thuật, thật sự bất ngờ, bên trong có ba kén nhỏ, cắt ra có 3 con sán tự bò ra, mỗi con dài khoảng 20mm, màu trắng đục. Bác sĩ cho rằng kén đã tồn tại một thời gian và do sán lợn ký sinh. Loài sán này xâm nhập do ăn uống, do ăn thịt lợn bị nhiễm sán, ấu trùng sán mà chưa nấu chín kỹ, hoặc hoa quả chưa rửa sạch. Vì vậy cần rửa tay trước khi ăn, sau khi đi vệ sinh. Bác sỹ cho biết, tuy đã được phẫu thuật lấy ra ba con sán lợn, nhưng kí sinh trùng có thể còn tồn tại trong cơ thể bệnh nhân, loại sán này rất dễ xâm nhập lên não, nhãn cầu gây mù loà và có nguy cơ dẫn đến tử vong.
Biểu hiện bệnh ở mắt do ấu trùng sán lợn là khu trú nhiều trên mắt, đa số chỉ có một mắt độc nhất, thường gặp nhất là ấu trùng sán nội nhãn. Khu trú hốc mắt ít gặp, nếu có ấu trúngán xuất hiện dưới dạng một u nông căng mộng, tròn hay bầu dục, u di động, xuất hiện đồng thời với tình trạng viêm cấp. Nếu khu trú ở kết mạc, dưới hình thức một nang hình tròn, phần lớn các nang này nằm ở cùng đồ hay ở góc trong của mắt, thường kèm nhiễm khuẩn, nang sẽ tiến triển thành một abces dưới kết mạc. Tiền phòng có ấu trùng dưới dạng một túi màu trắng nhạt, trong mờ, đôi lúc ở bề mặt của nó có một chấm trắng (đầu của ấu trùng); ở thành của túi có những nhu động biểu hiện hoạt động của ấu trùng, phần lớn các ca như thế thì ký sinh trùng cố định vào mống mắt, nhưng cũng có khi tự nó trôi tự do trong tiền phòng. Trong dịch kính, ấu trùng sán dưới dạng một túi tròn, trắng nhạt, đục mờ, có bờ óng ánh màu xanh ngả vàng. Phần lớn các ca bệnh, ấu trùng ở thể tự do di động trong dịch kính và dịch kính bị viêm thứ phát. Đáy mắt có ấu trùng sán dưới dạng một u nang dưới võng mạchình tròn hay hình bầu dục, màu xám nhạt hay xanh lục nhạt, có đường viền rõ nét. Đôi khi nang sán phập phồng như đang thở. Cũng có trường hợp người ta thấy được đầu sán dưới dạng một chấm trắng đục. ngoài nang sán, đôi khi còn có thể phát có bong võng mạc thứ phát.
Bệnh mắt do sán nhái Sparganum mansoni
Đây là bệnh lý ký sinh trùng do loài sán Sparganum mansoni gây ra, sán trưởng thành thường gặp ở ruột non chó, mèo. Trứng sán sau 3 tuần sẽ nở ra ấu trùng có lông, ấu trùng vào cơ thể các loại ếch nhái, khu trú tại một số cơ quan trên cơ thể, nhất là bộ phận đùi ếch và màng bụng. Lúc đắp ếch nhái lên mắt người (với mục đích chữa bệnh,…), ấu trùng có điều kiện chui lên đó rồi tiến triển thành u sán nhái.
Biểu hiện triệu chứng khi mắt bị mắc phải sán nhái là thông thường mỗi mắt chỉ có một ấu trùng sán nhái, những cũng có ca bệnh nhiều ấu trùng sán, từ 12 ấu trùng (Kelller và cs.,1936) đến 30 ấu trùng (Caseaux và cs) trên bệnh nhân người Việt Nam. U sán nhái thường có biểu hiện ngứa và kích thước u lúc to, lúc nhỏ; nếu u sán ở trong hốc mắt ta sẽ thấy lồi mắt do viêm; ở mi mắt thì u sán nhái có 1 hay nhiều bướu, ngứa, rắn, phối hợp với phù mềm, lan tỏa. U lúc to lúc nhỏ, không có hạch đi kèm; tại kết mạc, u sán thường ỏ nông, đôi khi kèm theo phù kết mạc.
Bệnh mắt do sán dây Echinococcus granulosus
Bệnh ký sinh trùng trưởng thành hoặc ấu trùng này thường gặp ở những vùng chăn nuôi cừu, chó,…thuộc bắc Phi. Ở Việt Nam hiện chưa thấy đề cập nhiều đến vấn đề này. Sán Echinococcus granulosus là loại sán dây rất nhỏ, chiều dài từ 3-6mm, ngang khoảng 300mm, cổ sán ngắn, có từ 3-4 đốt, sán rất bé nhưng ấu trùng sán lại tạo thành nang rất lớn. Nang sán gồm một lopứ vỏ bên ngoài, bên trong là màng phôi có những đầu sán, trong nang chứa một chẫt dịch lỏng trong suốt.
Biểu hiện toàn thân khi nhiễm loại sán này là khu trú rất nhiều chỗ khác nhau ở gan, phổi, hốc mắt,…bệnh thường xảy ra trên đối tượng là người trẻ và trẻ em. Biểu hiện tại mắt khá đa dạng: ở hốc mắt thường chỉ một bào nang sán duy nhất, bào nang này có thành đục mờ, chứa một chất lỏng trong suốt. Bào nang gây ra lồi mắt 1 bên kèm theo đau nhức, các rối loạn vận nhãn và sụp mi. Đôi khi có kèm theo tổn thương của dây thần kinh thị giác, biểu hiện bằng phù gai thị, teo gai thị. Bào nang sán làm thành một khối u sờ thấy được, bề mặt nhẵn, đàn hồi, di động và không có giới hạn rõ rệt. Đôi khi khối u có những đợt viêm.
Trong dịch kính, bào nang sán làm thành một túi nhỏ màu xám nhạt, đục mờ, hình tròn hay bầu dục. Bào nang lơ lửng trong dịch kính. Thông thường chỉ có một bào nang độc nhất (ít khi có 2-3 bào nang), bào nang sán dây có thể gây ra các biến chứng nguy hiểm: glaucom, giả ung thư võng mạc, đục thủy tinh thể thứ phát. Đáy mắt có thể thấy bong võng mạc và thấy nang sán dưới võng mạc.
C. BỆNH MẮT DO ĐƠN BÀO KÝ SINH hoặc LẠC CHỖ & GÂY BỆNH
Bệnh mắt do đơn bào amíp Acanthamoeba
Bệnh mắt do đơn bào amíp có thể do Entamoeba histolytica và Acanthamoeba qua đường thức ăn và vệ sinh. Các loài ký sinh trùng này thường ký sinh tại đường tiêu hóa và gây triệu chứng khá điển hình. Song, thực tiễn lâm sàng cũng cho biết một số bệnh nhân nhiễm amíp ở mắt.
Khi đơn bào ký sinh và gây bệnh tại mắt, biểu hiện viêm giác mạc; viêm mống mắt thể mi cấp, thường có mủ tiền phòng, viêm mống mắt thể mo mạn tính; tại đáy mắt biểu thị một tình trạng viêm hắc mạc trung tâm thường có ở 2 bên, cấu trúc nang vùng hoàng điểm đôi khi được phủ bởi một khối vàng đặc tạo bởi các lắng đọng hạt, kèm theo xuất huyết võng mạc, viêm hắc võng mạc hai bên lan tỏa với các đám sắc tố lớn, chủ yếu ở vùng cực sau, nhồi máu tính mạch võng mạc, cuất huyết võng mạc.
Xét nghiệm trong chất tiết hoặc mảnh mô cho thấy đơn bào. Điều trị bằng thuốc metronidazole hoặc tinidazolekèm theo vệ sinh mắt tại các phòng mạch chuyên khoa.
Bệnh mắt do nhiễm Toxoplasma gondii.
Toxoplasma gondii là một ký sinh trùng nội bào bắt buộc, có thể gây tổn thương nhiều cơ quan, nhất là khi nhiễm bẩm sinh qua đường nhau thai, có thể để lại hậu quả nặng nề cho gia đình và xã hội. Bệnh chủ yếu gây tổn thương và biểu hiện tại các cơ quan gan, phổi, não và võngmạc.
Nếu là bệnh Toxoplasma bẩm sinh:
Khi bệnh tại mắt do loài đơn bào này thường biểu hiện cả 2 bên mắt và rất thường gặp (80%), nguyên do là viêm hoặc dị dạng, có thể biểu hiện tật khúc xạ,; nhãn cầu nhỏ một hoặc 2 bên (4)%), teo nhãn cầu sau viêm; giác mạc đục lan tỏa, loạn dưỡng thành dải, giác mạc to; viêm mống mắt thể mi cấp hoặc mạn tính, thường 2 bên, tồn lưu màng đồng tử (10%), không có mống mắt hoặc khuyết mống mắt; dịch kính tồn lưu động mạch dịch kính, tồn lưu dịch kính nguyên thủy.
Đáng chú ý nhất là tổn thương mắt do Toxoplasma là tại đáy mắt: có thể viêm hắc võng mạc thường thành 1 hoặc nhiều ổ, 2 bên mắt, thông thường là vùng trung tâm, 90% được phát hiện ở giai đoạn làm sẹo (mảng teo có kích thước thay đổi, màu trắng hoặc trắng vàng, bờ nét, có viền sắc tố, đôi khi lan tới trung tâm có hình ảnh như hoa cúc hoặc giả khuyết có sắc tố, tái phát sớm hoặc muộn, thường sẹo, đôi khi có tăng sinh thần kinh đệm nhô cao phối hợp viêm hắc võng mạc. Ổ thông thường, khoiử đầu muộn sau vài ngày hoặc vài tuần (giống như nhiễm toxoplassma mắc phải), phù gai thị thường là hai bên, bong võng mạc, giả u vùng hoàng điểm; giả u thần kinh đệm vô mạch (tổ chức hóa một phần dịch kính), giả tăng sản xơ sau thể thủy tinh; giả bệnh võng mạc sắc tố; nếp hình liềm võng mạc; khuyết hoắc mạc, khuyết thần kinh thị, umạch hắc mạc hoặc võng mạc;
Ảnh hưởng thần kinh vận nhãn ngoài là rung giật nhãn cầu thể quả lắc, lác đồng hành, liệt vận động phối hợp liệt vận nhãn, sụp mi; đường thị giác có teo gai thị (30%) một phần hoặc toàn phần, thường là kiểu nguyên phát, bất sản thị thần kinh (không có gai thị và mạch máu võng mạc).
Nếu là bệnh toxoplasma mắc phải:
Ngoại trừ các triệu chứng liên quan đến viêm não-màng não thì biều hiện hiếm gẳptong những hình thái mắc phải, toàn thân thường là biểu hiện khu trú, xảy ra dưới 30 tuổi. Thường là những đợt tái phát của tổn thương bẩm sinh tiềm tàng cũ. Biểu hiện tại hốc mắt là lồi mắt do viêm (ngoại lệ), tại kết mạc là viêm kết mạc cấp ngoại sinh (tai biến trong phòng thí nghiệm) hoặc nội sinh; đáy mắt có viêm hắc võng mạc ổ với hình ảnh một ổ rộng, phù nhiều kèm theo xuất huyết và đục dịch kính khu trú, thường ở hậu cực, một bên hay 2 bên hay tái phát, hay có kèm theo phản ứng mống mắt-thể mi, đôi lúc có viêm mạch máu vùng lân cận; hiếm gặp viêm hắc mạc nhiều ổ hoặc lan tỏa, thường có sẹo phối hợp bên cạnh (một hình ảnh gợi ý đến Toxoplasma bẩm sinh tái viêm) hoặc ở cách xa, hoặc ở mắt bên kia.
Khi có tổn thương màng bồ đào, hệ số Desmont sẽ có ích trong chẩn đoán tỷ số giữa hàm lượng kháng thể trong thủy dịch so với trong huyết thanh ( hiệu chỉnh theo gammaglobulin hoặc protein của 2 môi trường) dương tính thì hệ số này ≥ 4.
Bệnh mắt do nhiễm Trypanosoma (bệnh ngủ)
Bệnh hay xảy ra ở châu Phi, do loài Trypanosoma gambien gây ra. Khi bị bệnh, biểu hiện toàn thân là sốt, ngủ li bì, nổi nhiều hạch, lách to, đôi khi nổi ban, về sau xuất hiện hội chứng thần kinh với run tay, chân và lưỡi, đau khi ấn vào các cơ ở trong sâu, suy nhược cơ thể nhanh chóng nếu không phát hiện và điều trị kịp thời.
Biểu hiện tại mắt là viêm giác mạc nhu mô một bên (có thể phát hiện thấy ký sinh trùng trong mô một bên); viêm mống mắt thể mi kèm viêm giác mạc, có khi chỉ là vấn đề viêm mống mắt thể mi đơn thuần một bên mắt có những chấm xuất huyết nhỏ trên mống mắt.
Bệnh mắt do đơn bào/ ký sinh trùng sốt rét
Sốt rét là bệnh ký sinh trùng Plasmodium, có thể sốt rét lâm sàng, sốt rét thường hoặc sốt rét có biến chứng. Trong một số trường hợp sốt rét ác tính, biểu hiện tại mắt có xuất huyết võng mạc, viêm võng mạc tăng sinh, viêm tắc tĩnh mạch võng mạc phù nề quanh gai thị, có những chấm sắc tố trên võng mạc; các đường thị giác cho thấy trong hình thái não của sốt rét thỉnh thoảng gặp mù vĩnh viễn do tổn thương nặng ở vỏ não.
Việc xử lý trước hết phải chẩn đoán và điều trị kịp thời bệnh sốt rét bằng các thuốc đặc hiệu như Artemisinine và dẫn suất, hoặc một số thuốc nhóm phối hợp dựa trên nền artemisinine (ACTs).
D. VIÊM KẾT MẠC KHÔNG DO NHIỄM TRÙNG
Viêm kết mạc có thể do những nấm như Candida Albicans, Sporothrix schenkii, Allescheria, Aspergillus và Mucor hay do ký sinh trùng như Onchocerca volvulus, Loa loa, Wulchereria bancroftii, Trichinella spiralus, Schistosoma haematobium, Taenia solium, Echinococcus và Thelazia spp. Song song, bệnh có thể nhiễm trùng lan tỏa do ký sinh trùng mang vi khuẩn vấy bẩn vào trong nội nhãn, viêm hoại tử và xuất huyết dưới kết mạc (do máu chảy từng vùng dưới kết mạc, mắt đỏ lòm và không đau, bất chợt xuất hiện hay cũng có thể vì day tay mạnh vào mắt khi bị ngứa mắt). Hoặc có thể giun, sán sống trong ổ mắt một lúc nào đó đục thủng cấu trúc, tổ chức chui ra khỏi mắt, kèm theo xuất huyết mắt (dịch viêm đi theo).
Viêm màng mach nho phía sau do nhiều vi trùng và siêu vi trùng như Toxoplasma gondii, Toxocara, Cryptococcus neoformans, Histoplasma capsulatum, Mycobacterium tuberculosis, Human Herpesvirus 5 (cytomegalovirus), Human Herpesvirus 1 (Herpes simplex 1 virus) và HIV.
Nhiễm vi trùng bên trong mắt là bệnh nguy hiểm có thể làm hư và mù mắt do thương tích mắt, hậu giải phẫu mắt, hay nhiễm trùng máu. Điều trị khẩn cấp may ra tránh khỏi bị mù mắt.
Một số phương cách phòng bệnh quan trọng nhất
- Phòng bệnh là khâu rất quan trọng, đầu tiên phải quản lý nguồn phân, dùng hố xí hai ngăn với thời gian ủ đảm bảo hoặc hố xí, không cho trẻ em đại tiện bừa bãi ra đất hoặc ở gần nguồn nước, không dùng phân tươi bón cây, rau quả vì sẽ gây ô nhiễm môi trường đất, nước;
- Bên cạnh đó, xây dựng tập quán vệ sinh trong ăn uống rửa tay sạch trước khi ăn, sau khi đại tiện hoặc trước khi làm thức ăn cho trẻ em, cần thực hiện ăn chín uống sôi, đảm bảo vệ sinh nguồn nước, tiêu diệt ruồi, muỗi, gián là những động vật trung gian truyền bệnh;
- Cần thận trọng khi đi du lịch đến một số vùng có bệnh lưu hành;
- Cuối cùng là nâng cao thể trạng ăn uổng đủ vi chất dinh dưỡng, cần tẩy giun định kỳ.