Trypanosoma cruzi là một trùng roi thuộc bộ Kinetoplastida, họ Trypanosomatidae, đặc trưng bởi sự hiện diện của một flagellum và một hệ mitochondrion duy nhất tại vị trí Kinetoplast, một bào tử organelle chứa DNA đặc biệt. Việc xác định ký sinh trùng bằng hình thái học và đặc điểm sinh học không mấy khó khăn và cần phân biệt với Trypanosoma rangeli, một loại trùng roi không gây bệnh trên người tại một số vùng của Trung và Nam Mỹ và được truyền qua bởi một vài vector giống như truyền bệnh do T. cruzi.
T. cruzi không phải là một quần thể đồng nhất và nó bao gồm các chủng lưu hành trên cả chu kỳ của các vật nuôi trong nhà và hoang dại/ rừng liên quan đến con người, các vectors và các ổ chứa động vật đối với ký sinh trùng. Phân lập và nghiên cứu về quần thể T. cruzi từ các nguồn gốc khác nhau cho thấy sự hiện diện của một phạm vi số chủng rất lớn với các đặc tính và đặc điểm khác nhau. Sự biến đối bên trong nội loài có dính líu đã được điều tra mở rộng bằng các đặc tính sinh học, bao gồm hình thái học của các thể trùng roi trong máu, đường cong mật độ ký sinh trùng trong máu, độc lực, tính sinh bệnh và tính nhạy với các thuốc điều trị. Tính kháng nguyên của các quần thể khác nhau cũng được nghiên cứu thông qua phân tích thành phần bề mặt màng tế bào óc nhuộm chất phóng xạ iod và phân bố dải băng trong kết quả điện di SDS-Page gel cũng như dựa trên các kháng thể đơn dòng. Phản ứng chéo cũng như kháng nguyên đặc hiệu chủng (strain specific antigen) đã được phát hiện (Zigman Brener và cs).
Vì các đặc điểm của chủng có thể bị ảnh hưởng bởi các điều kiện môi trường hoặc thao tác trong phòng thí nghiệm, các tiếp cận mới đã được giới thiệu gần đây về đặc điểm của T. cruzi về mức độ phân tử. Do vậy, các lectin với các đặc điểm đặc biệt sự tồn lưu carbohydrate trên bề mặt màng sử dụng cho mục đích phan loại học của loài ký sinh trùng này. Các Isoenzyme (các dạng phân tử khác của cùng một loại enzyme được phát hiện thông qua điện di) được sử dụng phổ biến để phân loại T. cruzi. Các zymodeme khác (một nhóm các chủng chia sẻ cùng một mô hình isoenzyme cho bộ enzyme) cũng đã được phát hiện trong các chủng được phập trên nhiều vật chủ khác nhau và vùng địa lý khác nhau cho phép trong phân loại quần thể. Các kết quả điện di Kinetoplast DNA minicircles phân đoạn bằng restriction-endonucleases (REs) cho phép xác định các mô hình khác nhau của "schizodemes". Một số chủng T. cruzi lớn đã được đưa ra đánh giá về mặt chất lượng lẫn số lượng.
Các minicircles của Kineplast DNA từ con T. cruzi cho thấy các các vùng bảo tồn và các vùng thay đổi. Những nơi các vật dò phân tử của trình tự bảo tồn DNA được dùng để phát hiện ký sinh trùng trong máu hoặc trong vector, các vật dò của vùng các vùng thay đổi cao của minicircle được dùng làm nhóm quần thể phụ của T. cruzi. Trình tự của DNA có thể thay đổi cao có thể được khuếch đại bằng phản ứng cho các vật dò dùng để giải trình tự một số lớn các chủng T. cruzi.
Các phương pháp đa dạng đang sẵn có dùng để giải trình tự các nhóm chủng T. cruzicó thể đối mặt với các trở ngại can thiệp vào trong kết quả. Chẳng hạn, phân lập các quần thể T.cruzi từ các vật chủ hơn là một chủng dơn thuần; sự lựa chọn quần thể trong quá trình duy trì các chủng trong điều kiện la bô hoặc trong khi khuếch đại trên mô hình thực nghiệm động vật hoặc trong môi trường nuôi cấy; cách quản lý hoặc đặt tên sai của quần thể ký sinh trùng trong la bô. Tuy nhiên, một số tác giả thường tiếp nối điều đó cho các chủng T. cruzi sử dụng phối hợp các thông số như hình thái học, mật độ trong máu và phân bố trong mô của ký sinh trùng. Ngoài ra, nghiên cứu về isoenzyme đã phát hiện các chỉ điểm chủng (strain makers) trong một số hoàn cảnh cho phép đánh dấu trở lại các dòng của quần thể T. cruzi trong số các chu kỳ của nhiễm trùng nội hoặc hoang dại.
Các giai đoạn phát triển
T. cruzi biểu hiện trong chu kỳ của nó với nhiều thể khác nhau đã được xác định nhờ vào các vị trí tương đối của kinetoplast trong mối liên quan đến các nhân tế bào và xuất hiện các flagellum. Trong giai đoạn trypomastigote, kinetoplast nằm ở phía sau cuối của nhân ký sinh trùng; các flagellum nổi lên từ các túi flagella nằm gần kinetoplast. Vào giai đoạn epimastigotes các Kinetoplast và túi flagella tìm thấy trong một vị trí trước nhân. Cuối cùng, giai đoạn amastigote được xem là giai đoạn “bao quanh” dưới kính hiển vi điện tử cho thấy hình ảnh là một flagellum khó thấy, các giai đoạn này nhân lên trong các tế bào vật chủ.
Về mặt hình thái học
Như theo các mô tả về T. cruzi trước đây cho thấy có mitochondrion hình ống đơn, chia rẻ với các bào quan từ các tế bào động vật có vú một số đặc điểm như sự hiện diện của DNA, cristae và một số enzyme được phát hiện phía trong màng của nó. Kinetoplast, một mạng lưới sợi của DNA chiếm gần 20-25% toàn bộ DNA của ký sinh trùng, nằm ở vị trí của phần ty thể. Các nghiên cứu dưới kính hiển vi điện tử cho thấy các phân tử K-DNA được tổ chức/ sắp xếp như có liên quan đến các minicircles và maxicircles. Mặc dù mỗi kinetoplast gồm có 20.000 - 25.000 minicircle, nhưng vai trò là nhờ vào K-DNA chưa được rõ ràng. Tuy nhiên, bằng chứng từ một số cặp base và khả năng mã hóa của các mincircle cho thấy chúng chỉ dịch mã một số nhỏ protein tồn tại và điều quan trọng vẫn chưa mở ra hết. Song, các maxicircle, nhờ vào kích thước của chúng và trọng lượng phân tử có thể mã hóa cho các enzyme tham gia vào chuyển hóa của ký sinh trùng. Những gì chúng có vai trò, K-DNA dường như cần thiết cho biến hóa và sống của ký sinh trùng. Tình trạng "dyskinetoplastic" bao gồm thuốc của các thể T. cruzi (các giai đoạn phát triển thiếu kinetoplast) không thể thực hiện một chu kỳ bình thường được. Có bằng chứng về các loài khác của trypanosome trong các giai đoạn "dyskinetoplastic" thường tìm thấy một cách tự nhiên như là một Trypanosoma equiperdum, T. evansi, extra-nuclear DNA dường như phân bố trong hệ ty thể.
Kích thước và hình dáng của kinetoplast có thể thay đổi theo các giai đoạn phát triển khác nhau. Trong các trypomastigotes chúng cho thấy một hình ảnh giống như cái giỏ do sự sắp xếp dị thường của các vành hoặc thòng lọng của DNA trong một số lớp ngược lại trong các epi-và amastigotes có hình ảnh giống như cái roi hơn.
Phần cuối của râu T. cruzi gắn với vật thể đáy và nổi lên như một hình ảnh lồng vào nhau, các túi râu dường như có liên quan đến vấn đề tiêu hóa và thu nhận chất dinh dưỡng của môi trường ngoài. Quan điểm kinh điển mà sự dính của roi vào cơ thể tế bào do sự tồn tại của một màng hoàn toàn thật đã bỉ bác bỏ nhưng cơ chế của sự gắn kết này lâu nay vẫn chưa chắc chắn. Các quan sát gần đây thông qua kính hiển vi điện tử và phân cắt lạnh có tính thuyết phục coa hơn rằng các chùm phân tử phân bố tại các khoảng không được sắp xếp bình thường hoặc trong một cách bố trí thẳng hàng được nhìn thấy trong flagellum và màng tế bào bề mặt của trypomastigotes có thể đại diện cho các thể liên kết sơ khai ("rudimentary desmosomes") tham gia vào tiến trình dính kết này.
Một đặc tính khác của trypanosomatids trong các cấu trúc vi ống được sắp xếp như một hệ khung xương tế bào (cytoskeleton) của ký sinh trùng nhưng cũng đóng một vai trò quan trọng trong nhiều chức năng phức hợp khác như là quy trình của sự biệt hóa tế bào, tính động và di chuyển trong mô. Rất ít biết vè cấu trúc của T. cruzi cytoskeleton nhưng gần đây các sợi actin và cấu trúc vi ống a- và b - tubulins có liên quan đến vi ống cũng đã được báo cáo.
Một điều thú vị, các túi flagella thiếu các vi ống dưới lớp bì mỏng (subpellicular microtubule) nhưng tại vùng này là đại diện cho các túi ẩm bào không dính vào các đại phân tử và các chất khác từ môi trường ngoài và bào tương của vật chủ. Các cytostome, sự xen kẻ và lồng vào nhau của các lớp màng bề mặt, là một vùng khác trong đó có sự hợp nhất của túi ẩm bào và các phần tử lớn hơn xảy ra. Ngoài ra, các cấu trúc và bào quan này được mô tả ở trên đặc hiệu cho trypanosoma, nhóm đơn bào này cùng chia sẻ với các tế bào eucariotic của hệ lưới nội mô, ribosome và phức hợp Golghi. Sự hiện diện của các peroxisome, xác định như các bào quan thuộc bào tương gắn kết với màng chứa các enzyme như catalase và oxidase, đã được báo cáo về loài T. cruzi, song hoạt tính của nó dường như có ý nghĩa thấp hơn trên các tế bào động vật có vú, có thể nồng độ enzyme thấp hơn. Một tài liệu tổng hợp chi tiết về hình thái và sinh học của T. cruzi, gồm chức năng của các bào tử đã được đăng tải bởi tác giả De Souza.
Vì T. cruzi thực hiện một chu kỳ nội bào bên trong các vật chủ chỉ ra mối tương tác với một số lượng tế bào khác nhau và vì đáp ứng miễn dịch mạnh trên các vật chủ nhiễm bệnh hầu như sinh ra do kháng nguyên bề mặt, màng bào tương của T. cruzi cũng được khám phá chi tiết nhiều năm qua tại phòng thí nghiệm. Một số lượng lớn phức hợp đại phân tử trên bề mặt đã biết, proteins, polysaccharides và lipid, cho phép làm sáng tỏ chẩn đoán, miễn dịch bảo vệ, miễn dịch bệnh lý và các khía cạnh khác. Các thành phần màng bề mặt của T. cruzi liên quan đến sự nhận biết tế bào sẽ được thảo luận sau.
Tính đa hình của trùng roi T.cruzi
Sự khác biệt của các thể trypomastigote của T. cruzi trong máu được mô tả bởi tác giả Chagas năm 1909 trong tài liệu cổ điển về khám phá bệnh Chagas. Các điều tra gần đây biểu hiện sự tồn tại của các mô hình hình thái học khác nhau của các thể trong máu mà chúng có liên quan đến đặc tính sinh học của loài ký sinh trùng này. Các nghiên cứu được tiến hành với các chủng có cực của T. cruzi là Y và CL chỉ ra rằng các động vật bị nhiễm bệnh có ký sinh trùng trong máu là các hình ảnh thanh mảnh và trypomastigote mở rộng. Ngoài ra, sự khác biệt đáng chú ý cũng được nhìn thấy trong đường cong mật độ KST do cả các chủng trong các vật chủ thực nghiệm chuột, chó và thỏ. Trên các chuột gây nhiễm thực nghiệm, chủng Y biểu hiện tính hướng kích thích đối với tế bào từ từ hệ thống thực bào đơn nhân, cho biết tính ký sinh lạ thường của các đại thực bào trong lách, gan và tủy xương. Ngược lại, các chủng CL thì cho thấy hiện tượng ký sinh không đáng kể trong những tế bào này.
Vì cả hai chủng nhiễm trong các tế bào cơ, quan điểm về các chủng thực bào và không thực bào ("macrophagic" và "non-macrophagic" strains) đã được đề nghị là đặc tính của tính hướng kích thích. Trong các thực nghiệm In vitro với các đại thực bào trong phúc mạc chuột được xác định trong các thử nghiệm in vivo. Ngoài ra, các thể trong máu của chủng Y (nhưng không phải chủng CL) thu thập được từ các con chuột nhiễm trong pha cấp bị ly giải nhanh chóng bởi các thành phần thông qua các globulin miễn dịch gắn màng đặc biệt. Sự đề kháng của chủng CL với sự ly giải qua trung gian các bổ thể (complement-mediated lysis) có sức thuyết phục cao các thể trong máu được hỗ trợ bởi cơ chế xâm nhập thiếu đi quần thể Y (Brener và cs).
Sự khác biệt về mặt huyết học của thể phát triển trong cơ bệnh Chagas do T. cruzi
Nghiên cứu dưới đây do tác giả Sherwin F. Wood thuộc đại họcLos Angeles, California tiến hành và báo cáo cho biết: các metacyclic Trypanosoma cruzi chuyển dạng trong mô cơ thành một thể trypanosome mở rộng và dày hơn trong khi những thay đổi từ một thể giống hình dải băng (ribbonlike) sang một thể nhưu hình liềm (crescentic body form), phát triển nhiều hạt volutin và nhiều không bào. Các nhân bị nén phía sau, hình oval, kéo dài thành hình oval và sau đó là tròn, trong khi kinetoplast hình oval lại thành hình tam giác. Sự biến mất của các hình ảnh của trypanosome dẫn đến hình thể khác của ký sinh trùng nhờ vào oc ngắn hơn hoặc biến mất flagellum đi kèm với phát triển của các kinetoplast hình roi, trở thành các ký sinh trùng thể leishmaniform.
Kích thước lớn của các bào quanđặc trưng cho giai đoạn phân chia leishmaniform. Sự giảm đi thành phần volutin, các không bào và thể tích tế bào, với sự duy trì của các kinetoplast hình roi và nhân hình tròn, mô tả cho ký sinh trùng thể leishmaniform. Chuyển dạng cho thấy một kinetoplast hình oval và flagellum (phần cuối của roi/râu) với dạng màng hình dáng nhấp nhô. Nếu quá trình kéo dài xảy ra, các ký sinh trùng có các dòng bào tương và nhân chạy dọc theo sự phát triển của màng và flagellum, sự chuyển dạng từ thể ngắn sang các dạng trypanoform đặc chắc hơn. Nếu flagella tiếp tục phát triển qua nhiều vòng, tiến triển và chuyển dạng cytosome, một vết lõm vào hình chữ V-xuất hiện giữa nền/ đáy của flagellum tự do và vùng kinetoplast và lơi ra khỏi ký sinh trùng, tạo thành một thể ký sinh trùng chắc hơn.
Các ký sinh trùng dạng trypanoform này thay thế bằng các thể mỏng hơn, kéo dài và bị nén nhân, cũng như hóa đặc của kinetoplast, trở nên trypanosome đi đến máu ngoại vi. Vì các giai đoạn của Leishmaniform khác nhau về kích cỡ, thể nhỏ phát triển thành thể nhỏ hơn, chuyển dạng và phát triển thành thể mảnh, gọi là progressive trypanosomes. Các ký sinh trùng leishmaniform lớn hơn kéo dài dưới áp lực của mô, dẫn đến dài, mảnh mai. Các thể trypanosome trung gian và lớn, dưới sự thay đổi mô trường hóa học của máu vật chủ, chuyển dạng thành thể trypanosomes thoái lui và có thể tái xâm nhập vào các mô và thiết lập lại chu kỳ.
Hiểu biết mới về hình thái học của Trypanosoma cruzi reservosome.
Các nhà nghiên cứu gồm Sant'Anna C, Pereira MG, Lemgruber L, de Souza W, Cunha e Silva NL đang làm việc tại la bô siêu cấu trúc tế bào Hertha Meyer, Viện sinh học Carlos Chagas Filho, đại học Rio de Janeiro, Brasil cho biết reservosomes là các endosome giai đoạn muộn chỉ trong một số thành viên của giống phụ Schizotrypanum của giống Trypanosoma và được xác định như một vị trí tích chứa của các đại phân tử nội bào và các lysosomal enzymes. Họ cũng mô tả rõ ràng các epimastigote của Trypanosoma cruzi: gắn nhau bởi một đơn vị màng, cho hình ảnh cơ chất chắc đặc của protein, kể cả các lipid trong suốt ở lớp màng bên trong. Họ cũng đã phân tihcs chi tiết siêu cấu trúc của các bào quan nhờ vào kỹ thuật kính hiển vi điện tử (US_ultrathin sectioning, nhuộm UA_uranyl và các mảnh đông lạnh) đối với các epimastigotes nguyên vẹn hoặc trong các reservosomes được phân lập. Các thông tin mới đã ghi nhận, trước hết cả reservosomes phân lập và lấy tại chỗ cho biết dữ liệu nhỏ về cấu trúc màng bên trong có hình thái học tương tự màng bao quanh các bào quan. Trong phản ứng và kỹ thuật UA, các màng bên trong có vẻ ra ngoài và dài hơn là khi chúng chụp hình ảnh US và đặc biệt các túi ẩm bào cũng nhìn thấy.
Thứ 2, các nội dung trong nội bào không liên quan đến túi bên trong và đi đến reservosomes trong một loạt các túi. Thứ 3, các vật thể trong suốt có lõi lipid bão hòa được bao quanh bởi một lớp đơn màng và có hình ảnh tam giác rất kỳ lạ. Thứ 4, có thể chỉ ra sự hiện diện các phân tử nọi màng trên bề mặt E của cả túi bên trong và màng bên ngoài. Nói chung, kết quả nghiên cứu này cho thấy reservosomes có một cấu trúc bên trong phức tạp, có thể có liên quan đến đa chức năng.
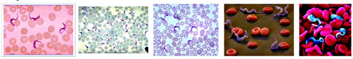
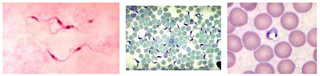
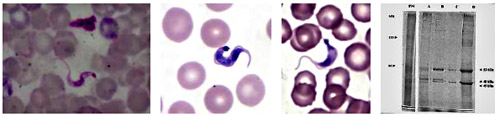
Trong bài viết, chúng tôi có một số thuật ngữ chuyên ngành ký sinh trùng, đặc biệt về Trypanosoma spp, giữ nguyên (tạm không dịch) và chi sẻ với quý bạn đồng nghiệp một số hình ảnh trong Atlas ảnh Trypanosoma spp gây bệnh qua nhuộm giêm sa và chụp dưới kính hiển vi điện tử trích từ internet.