Ngày 7/5/2015. PLOS - Thuốc chủng ngừa cho bệnh Chagas cho thấy có tác dụng bảo vệ lâu dài ở chuột (Chagas disease vaccine shows long-term protection in mice). Bệnh Chagas, do ký sinh trùng Trypanosoma cruzi và được truyền bởi côn trùng ở Mỹ Latin là một trong những bệnh nhiệt đới phổ biến nhất, và cho đến nay không có thuốc chủng ngừa có hiệu quả. Một nghiên cứu mới hiện nay cho thấy rằng một vaccine ứng cử viên có thể tạo ra miễn dịch kéo dài chống lại ký sinh trùng này ở chuột.
Bệnh Chagas do ký sinh trùng Trypanosoma cruzi và được truyền bởi côn trùng ở Mỹ Latin là một trong những bệnh nhiệt đới phổ biến nhất, và cho đến nay không có thuốc chủng ngừa có hiệu quả. Một nghiên cứu được công bố vào ngày 7/5/2015 trên Tạp chí PLoS Pathogens hiện nay cho thấy rằng vaccine có thể tạo ra miễn dịch kéo dài chống lại ký sinh trùng này ở chuột. Giai đoạn cấp tính tương đối nhẹ của bệnh Chagas được theo sau giai đoạn mãn tính nguy hiểm hơn, trong giai đoạn đó ký sinh trùng chọn nơi cư trú ở vật chủ, chủ yếu ở các cơ của tim và dạ dày. Khoảng một phần ba số người bị nhiễm bệnh (có lẽ là những người có số ký sinh trùng mãn tính cao hơn) phát triển bệnh tim nghiêm trọng hoặc các biến chứng đường tiêu hóa trong nhiều năm sau nhiễm trùng đầu tiên. Một vaccine lý tưởng cho bệnh Chagas sẽ ngăn ngừa nhiễm trùng hoàn toàn nhưng một sự ngăn chặn các biến chứng trong giai đoạn mãn tính bằng cách giữ số ký sinh trùng thấp sẽ loại bỏ hầu hết các gánh nặng bệnh tật.

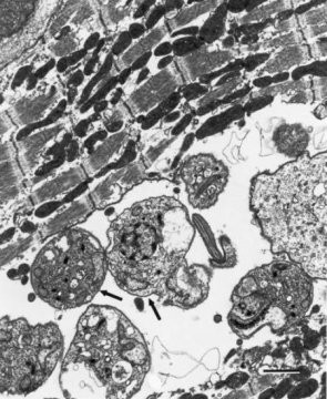
T. cruzi (một số được đánh dấu bởi mũi tên) ở tim
Ảnh: Nisha J. Garg, CC-BY
Shivali Gupta và Nisha Garg, từ Đại học Y khoa Texas ở Galveston, Mỹ, trước đây đã chỉ ra rằng một loại vaccine có chứa ba protein ký sinh trùng đặc biệt là một ứng cử viên tốt: Những con chuột bị nhiễm T. cruzi ngay lập tức sau khi chủng ngừa đã có thể giữ số ký sinh trùng xuống thấp trong nhiễm trùng cấp và cho thấy không xuất hiện tình trạng viêm ở mô cơ được nhìn thấy sau khi gây nhiễm cho chuột chưa được chủng ngừa. Trong nghiên cứu này, các nhà nghiên cứu đã kiểm tra liệu những con chuột được tiêm phòng sẽ được bảo vệ trong thời gian dài hay không. Để làm điều này, họ tiêm chủng cho chuột với một sự kết hợp của hai trong số các protein của T. cruzi (gọi là TcG2 và TcG4) và chúng cho thấy có hiệu lực mạnh nhất trong việc kích động cả một kháng thể và đáp ứng miễn dịch tế bào T. Việc chủng ngừa đã được thực hiện theo hai bước: bước đầu tiên là tiêm có chứa mã hóa DNA với các protein TcG2 và TcG4, và bước thứ hai vào ba tuần sau đó, một sự kết hợp của hai loại protein (phác đồ D / P). Một số con chuột cũng được cho một liều chủng ngừa bổ sung ba tháng sau đó, bao gồm một sự kết hợp của hai loại protein (phác đồ D / P / P) thêm một lần nữa. Mặc dù không có liều nhắc lại nhưng phác đồ D/P gây miễn dịch kéo dài, đặc hiệu với T. cruzi gây ra những thay đổi trong hệ thống miễn dịch. Thuốc chủng tạo ra một sự gộp lại các tế bào TH1 CD4 + T (còn gọi là tế bào T) mà nó là cần thiết cho một đáp ứng kháng thể hiệu quả cũng như một sự ổn định của các tế bào bộ nhớ CD8 + T. Cả hai tế bào gộp lại này được mở rộng một cách nhanh chóng khi những con chuột bị nhiễm bởi T. cruzi 4 tháng sau khi tiêm chủng, và các con chuột được tiêm đã có thể giữ số lượng ký sinh trùng thấp hơn 2-3 lần so với những con chuột bị nhiễm không được chủng ngừa.
Những con chuột đã nhận được ba mũi chích ở ba tháng (phác đồ D/P/ P) và bị nhiễm bốn tháng sau đó đã có một đáp ứng miễn dịch thậm chí còn mạnh hơn số ký sinh trùng của chúng là thấp hơn khoảng 5 lần so với những con chuột đối chứng không được chủng ngừa. Miễn dịch do vaccine giảm nhẹ trong vòng sáu tháng sau khi tiêm chủng bổ sungnhưng vẫn đủ để cung cấp sự phòng chống gấp 2 lần về sự xâm nhập của các mầm bệnh. Điều này là đủ để phá vỡ chu trình lây lan của ký sinh trùng (côn trùng cắn không nhận đủ số lượng ký sinh trùng để lây nhiễm cho vật chủ tiếp theo) và ngăn chặn các triệu chứng bệnh mãn tính ở vật chủ được tiêm phòng. Các nhà nghiên cứu kết luận rằng "vaccine TcG2/TcG4 D/P cung cấp miễn dịch tế bào T lâu dài chống lại T. Cruzi, và chủng ngừa bổ sung sẽ là một chiến lược hiệu quả để duy trì hoặc tăng cường miễn dịch bảo vệ được tạo ra bởi vaccine nhằm chống lại việc nhiễm T. cruzi và bệnh Chagas". Họ đề nghị các bước tiếp theo là hướng tới các nghiên cứu lâm sàng ở người bao gồm "đặc trưng về chất lượng và số lượng của miễn dịch đối với các ứng cử viên vaccine ở những người chưa bị nhiễm".