Viêm não Nhật Bản là bệnh truyền nhiễm cấp tính lây truyền theo đường máu do virút viêm não Nhật Bản B gây ra, qua trung gian truyền bệnh chủ yếu là hai loài muỗi Culex tritaeniorhynchus và Culex vishnui. Bệnh có đặc điểm lâm sàng là hội chứng nhiễm trùng nhiễm độc toàn thân nặng cùngvới sự phát triển của viêm não tuỷ nặng và tỷ lệ tử vong cao.
Những dữ liệu quan trọng của bệnh viêm não Nhật Bản
·  !important; Viêm não Nhật Bản (VNNB) là bệnh do nhiễm virus flavivirus - có liên quan với sốt xuất huyết dengue, sốt vàng, virus Tây sông Nile và tất cả được lan truyền do muỗi đốt;
·  !important; VNNB là nguyên nhân chính gây bệnh viêm não virus ở các quốc gia châu Á với 68.000 ca lâm sàng mỗi năm;
·  !important; Mặc dù, biểu hiện lâm sàng của VNNB là rất hiếm, tỷ lệ ca tử vong do viêm não là rất cao lên đến 30%. Di chứng thần kinh vĩnh viễn hoặc di chứng tâm thần kinh có thể xảy ra trong 30-50% những người có bệnh viêm não;
·  !important; Có 24 quốc gia ở khu vực Đông Nam Á và Tây Thái Bình Dươngxảy ra lan truyềnVNNB, trong đó có hơn 3 tỷ ngườicó nguy cơlây nhiễm;
·  !important; Bệnh không có thuốc điều trị đặc hiệu, do vậy điều trị bệnh tập trung vào việc làm giảm các dấu hiệu lâm sàng nặng và hỗ trợ bệnh nhân phục hồi khi nhiễm bệnh;
·  !important; Bệnh đã có vaccine an toàn và hiệu quả để ngăn chặn sự lây lan của VNNB. Do vậy, Tổ chức Y tế thế giới (TCYTTG) khuyến cáo nên tiêm vaccine để chống lại bệnh VNNBở tất cả các vùng mà bệnh VNNB được công nhận là một vấn đề y tế cộng đồng.
Virus gây viêm não Nhật Bản và lịch sử bệnhVirus gây VNNB là một trong 70 loại virus thuộc giống flavivirus, họ Flaviviridae. Về mặt hình thái flavivirus là một sợi đơn ARN có dạng hình cầu, đường kính khoảng 40-50nm, với màng lipid bao quanh lõi nhân nucleocapsid có cùng đường kính khoảng 30nm. Nhô ra khỏi bề mặt của màng gồm vỏ bao glycosylate E và màng protein M, một dạng hoàn chỉnh của protein trước màng prM. ARN của virus VNNB có chiều dài 10,976 bp, mã hóa cho một khung đọc mở liên tục (open reading frame: ORF), nằm ở bên sườn trước 95 và 585 base các cùng không phiên mã ở đầu 5’ và 3’ theo thứ tự. thứ tự của các protein mã hóa trong ORF của virus VNNB như Flavivirus là 5’-C-prM-E-NS1-NS2A-NS2B-NS3-NS4A-NS4B-NS5-3’. Các Flavivirus sao chép ở một loại của các tế bào nuôi cấy có nguồn gốc từ động vật có xương sống và động vật chân đốt.
 |
Bệnh viêm não Nhật Bản đã được biết hơn 100 năm trước đây. Cuối thế kỷ XIX liên tiếp các vụ dịch xảy ra ở các vùng núi Nhật Bản vào mùa hè - thu với nhiều bệnh nhân nặng và tỷ lệ tử vong tới 60%. Năm 1933Hayashi (người Nhật) phân lập được virút viêm não Nhật Bản từ não bệnh nhân chết. Ông đã lấy dịch chất não bệnh nhân tiêm và gây bệnh được cho khỉ.
Vào những năm 1933-1936 các nhà nghiên cứu Nhật Bản đã chứng minh rằng virut này được truyền qua muỗi đốt là loại muỗi Culex. Năm 1954 đã chế được vac xin phòng bệnh viêm não Nhật bản lần đầu ở Nhật bản. Các vụ dịch viêm não Nhật Bản đã được thông báo ởcác nước như: Nhật Bản, Trung Quốc, Triều Tiên, Miến Điện, indonexia, malaixia, Philippin, ấn độ, Liên Xô, Thái Lan, Việt Nam và các vùng khác thuộc châu úc và châu Phi.
VNNB là nguyên nhân quan trọng nhất của viêm não do virus ở các quốc gia khu vực châu Á. Đây là bệnh do flavivirus lan truyền qua muỗi, nghĩa là bệnh có liên quan đến bệnh virus gây sốt xuất huyết Dengue, sốt vàng, virus West Nile. Ca bệnh đầu tiên của VNNB được ghi nhận vào năm 1871 ở Nhật Bản.
Dịch VNNB lớn nhất xảy ra vào năm 1924 với hơn 6.000 ca mắc và 60% trong số mắc đã tử vong. Năm 1934, tác giả Hayasi qua thực nghiệm đã chuyển bệnh vào khỉ. Sau một thời gian, sự phân lập virus VNNB và các loại virus viêm não St Loui có mối quan hệ với nhau (St.Louis encephalitis - SLE) và được xác nhận huyết thanh học từ mô bệnh của các trường hợp từ năm 1934-1935 ở Bắc Kinh. Đầu tiên virus này được gọi là VNNB type B để phân biệt với type A của Von Economo, có sự khác nhau giữa đặc điểm dịch tễ học và bệnh lý.
Phương thức của muỗi mang truyền virus VNNB được giải thích với sự phân lập virus VNNB từ muỗi Culex tritaeniorhunchus vào năm 1938. sau đó những nghiên cứu đã thiết lập được vai trò của các loài chim nước và heo trong chu trình gây bệnh của virus. Các virus được phân lập từ các bệnh nhân ở Nhật Bản vào năm 1935 và ở Bắc Kinh năm 1949 với các dòng đầu tiên là Nakayama, Beijing và P3. Hầu hết các dòng hoang dại đều được sử dụng trong sản xuất vaccine.
Tỷ lệnhiễm bệnh lâm sàng hàng năm khác nhau cả ở trên thể giới cũng như ở các quốc gia dao động từ nhỏ hơn 10 trường hợp mắc/100.000 dân đến lớn hơn 100trường hợp mắc/100.000 dân. Một tài liệu gần đây ước tính, có khoảng 68.000 ca mắc và 20.400 trường hợp tử vong do VNNB trên toàn cầu mỗi năm (WHO, 2011). Bệnh VNNB chủ yếu ảnh hưởng đến trẻ em. Hầu hết những người trưởng thành ở các nước lưu hành bệnh đều có khả năng miễn dịch tự nhiên sau khi nhiễm virus này lúc còn trẻ, nhưng tất cả mọi người ở mọi lứa tuổi đều có thể bị ảnh hưởng.
Lan truyền bệnh
Khởi đầu từ các ổ chứa virus mà lợn là động vật đóng vai trò chính. Khi muỗi hút máu của lợn có chứa virus và sau đó đốt người sẽ truyền virus sang người. Đây là con đường duy nhất khiến lây nhiễm bệnh viêm não Nhật Bản. Cho tới nay chưa thấy có sự lây truyền bệnh từ người sang người.
Sau khi bị nhiễm virus viêm não Nhật Bản, lợn không bị bệnh, nhưng nguy hiểm ở chỗ nó trở thành kho chứa, duy trì virus trong thiên nhiên, đồng thời lại là nguồn cung ứng quan trọng nhất cho muỗi đưa virus viêm não Nhật Bản lây sang người. Có nhiều loài muỗi có khả năng truyền bệnh, nhưng chủ yếu vẫn là hai loài muỗi Culex Tritaeniorhynchus và Culex vishnui. Hai loài muỗi này thường sống ở ruộng lúa nước và chập choạng tối sẽ bay đến nơi có người và súc vật sinh sống để hút máu. Có 24 quốc gia thuộc khu vực Tây Thái Bình Dương có nguy cơ lan truyền virusVNNB, trong đó có hơn 3 tỷ người có nguy cơ lây nhiễm.
Virus VNNB lan truyền sang người thông qua vết đốt của các loài muỗi Culex nhiễm virus (chủ yếu là loài muỗi Cx. tritaeniorhynchus). Con người khi bị nhiễm bệnh nhưng không phát triển đủ lượng virus để lây nhiễm cho muỗi khi đốt. Do vậy, virus VNNB tồn tại chính trong chu trình lan truyền giữa muỗi, lợn và/ hoặc các loài chim nước (vòng đời bệnh động vật). Bệnh được tìm thấy chủ yếu ở các vùng nông thôn và ven đô, nơi con người sống gần gũi với các vật chủ là động vật có xương sống.
Ở hầu hết các vùng ôn đới của châu Á, virus VNNB được lây truyền chủ yếu trong mùa có khí hậu ấm áp và các vụ dịch lớn có thể xảy ra. Ở vùng nhiệt đới và cận nhiệt đới, lan truyền có thể xảy ra quanh năm nhưng thường tăng cao vào mùa mưa và giai đoạn trước khi thu hoạch ở các vùng trồng lúa.
Các dấu hiệu và biểu hiện lâm sàng
Hầu hết nhiễm virus VNNB đều nhẹ (sốt và đau đầu) hoặc không có biểu hiện triệu chứng rõ ràng, song cũng có khoảng 1/250 trường hợp nhiễm phát triển bệnh nặng với đặc trưng là bệnh khởi phát nhanh với các triệu chứng như sốt cao, đau đầu, cứng cổ, mất phương hướng, hôn mê, co giật, liệt co cứng và tử vong.
Tỷ lệ các trường hợp tử vong có thể lên đến 30% trong số những người có triệu chứng bệnh.
Trong số những người sống sót sau khi bị nhiễm bệnh thì có khoảng 20-30% để lại nhiều di chứng nặng liên quan đến phát triển trí tuệ, rối loạn hành vi hoặc thần kinh như tê liệt, co giật tái phát hoặc không có khả năng giao tiếp.
Về cơ chế bệnh sinh, Quá trình bệnh viêm não nhật bản phụ thuộc vào các yếu tô của vật chủ cảm nhiễm và tác nhân gây bệnh là vi rút viêm não nhật bản. Vi rút được muỗi truyền vào máu, chúng phát triển ở trong máu và đi khắp cơ thể. Nhờ hướng tính thần kinh, vi rút xâm nhập vào các tế bào thần kinh, sinh sản và phát triển nhanh ở đó. Sau khi đã đạt được mật độ cao ở các tế bào thần kinh, vi rút lại từ đó xâm nhập lần thứ 2 vào máu. Nhiễm virut lần thứ hai ở máu bắt đầu gây nên phản ứng sốt. Trên lâm sàng nó tương ứng với sự bắt đầu của giai đoạn cấp tính của bệnh. Khi vi rút viêm não nhật bản đã xâm nhập đến hệ thần kinh trung ương, chúng có khả năng nhân lên ở những neuron thần kinh sẽ gây nên các phản ứng viêm ở não và sự sản sinh kháng thể tại chỗ chống lại vi rút ở hệ thần kinh trung ương cũng như miễn dịch tế bào sẽ thúc đẩy các triệu chứng tinh thần kinh xuất hiện cũng như tiên lượng của bệnh.
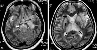
Về giải phẩu bệnh, thông thường các phân tích sau khi đã có kết quả giải phẩu tử thi. Sự biến đổi bệnh lý rõ rệt nhất ở hệ thống thần kinh. Trên kính hiển vi người ta có thể thấy những biến đổi đó là: Phù nề màng não và tổ chức não, các động mạch và tĩnh mạch não dãn rộng và ứ máu, xuất huyết đốm nhỏ ở tổ chức não và màng mềm. Trong tổ chức não và đặc biệt là vùng đồi thị, thể vân và cả sừng amon có những ổ nhũn não và xuất huyết.
Trong các cơ quan nội tạng đều có ứ máu, có nhiều đốm xuất huyết ở niêm mạc và thanh mạc. Thoái hoá tổ chức cơ tim, gan, thận và phát sinh viêm phổi ổ. Viêm xuất huyết và thoái hoá màng não - tuỷ và cả chất não - tuỷ. Ngoài phù nề và xuất huyết đốm ra còn thấy thâm nhiễm quanh các huyết quản của tổ chức não, tủy sống, tạo nên các ổ viêm quanh huyết quản, các ổ quá sản tế bào thần kinh đệm,các ổ hoại tử và nhũn não nhỏ. Những thay đổi bệnh lý nặng nhất xảy ra ở vùng đồi thị, chất xám, nhân đỏ, thể trán và tiểu não.
Triệu chứng học các thể lâm sàng
Thể điển hình
Thời kỳ nung bệnh: Kéo dài từ 5-14 ngày, trung bình là 1 tuần.
Thời kỳ khởi phát: Bệnh khởi phát rất đột ngột bằng sốt cao 39-40°C hoặc hơn. Bệnh nhân đau đầu, đặc biệt là vùng trán, đau bụng, buồn nôn và nôn. Ngay trong 1-2 ngày đầu của bệnh đã xuất hiện cứng gáy, tăng trương lực cơ, rối loạn sự vận động nhãn cầu. Về tâm thần kinh có thể xuất hiện lú lẫn hoặc mất ý thức. Những ngày đầu phản xạ gân xương tăng, xung huyết giãn mạch rõ. ở một số trẻ nhỏ tuổi, ngoài sốt cao có thể thấy đi lỏng, đau bụng, nôn giống như nhiễm khuẩn - nhiễm độc ăn uống.
Tóm lại trong thời kỳ khởi phát đặc điểm nổi bật của bệnh là sốt cao đột ngột, hội chứng màng não và rối loạn ý thức từ nhẹ đến nặng (ly bì, kích thích, vật vã, u ám, mất ý thức hoàn toàn). Thời kỳ khởi phát của bệnh tương ứng với lúc vi rút vượt qua hàng rào mạch máu - não tổn thương vào tổ chức não và gây nên phù nề não.
Thời kỳ toàn phát (Từ ngày thứ 3-4 đến ngày thứ 6-7 của bệnh).
Bước sang ngày thứ 3-4 của bệnh các triệu chứng của thời kỳ khởi phát không giảm mà lại tăng lên. Từ mê sảng kích thích, u ám lúc đầu, dần dần bệnh nhân đi vào hôn mê sâu dần.
Các triệu chứng rối loạn thần kinh thực vật cũng tăng lên: vã nhiều mồ hôi, da lúc đỏ, lúc tái, rối loạn nhịp thở và tăng tiết trong lòng khí phế quản do vậy khi nghe phổi có thể thấy nhiều ran rít, ran ngáy và cả ran nổ. Mạch ở bệnh nhân thường nhanh và yếu. Nổi bật trong giai đoạn toàn phát là sự xuất hiện các triệu chứng tổn thương não nói chung và tổn thương thần kinh khu trú . Bệnh nhân cuồng sảng, ảo giác, kích động, tăng trương lực cơ kiểu ngoại tháp làm cho bệnh nhân nằm co quắp và có các cơn xoắn vặn. Trong trường hợp tổn thương hệ thống tháp nặng có thể thấy co giật cứng hoặc giật rung các cơ mặt và cơ chi hoặc bại, liệt cứng. ở một số bệnh nhân xuất hiện trạng thái định hình, giữ nguyên tư thế (catalepsia).
Do rối loạn chức năng vùng dưới đồi làm cho mạch nhanh 120-140 lần/phút, tăng áp lực động mạch và co mạch ngoại vi. Các dây thần kinh sọ não cũng bị tổn thương, đặc biệt là các dây thần kinh vận nhãn (III, IV, VI) và dây VII. Rối loạn trung khu hô hấp dẫn tới thở nhanh nông, xuất tiết nhiều ở khí phế quản và có thể thấy viêm phổi đốm hoặc viêm phổi thuỳ.
Về xét nghiệm: Ngay từ những ngày đầu bạch cầu thường tăng cao 15.000-20.000/mm3, trong đó bạch cầu đa nhân trung tính tăng tới 75-85%, bạch cầu ái toan và lympho giảm. Tốc độ máu lắng hầu hết ở các bệnh nhân tăng (tới 20-30mm/giờ đầu).
Xét nghiệm dịch não tuỷ: Áp lực dịch não tuỷ tăng, dịch trong vắt, Protein tăng nhẹ (60-70mg%) tế bào tăng nhẹ (dưới 100 tế bào/mm3) và lúc đầu là bạch cầu đa nhân và về sau là lympho chiếm ưu thế, Glucoza trong dịch não tuỷ ít thay đổi hoặc tăng nhẹ...Soi đáy mắt trong giai đoạn cấp tính thường thấy xung huyết gai thị, đôi khi thấy cả phù nề và xuất huyết. Bệnh nhân rối loạn nhận cảm mầu sắc và ánh sáng, thị trường bị thu hẹp.
Thời kỳ này tương ứng với thời kỳ virut xâm nhập vào các tế bào não gây huỷ hoại các tế bào thần kinh. Tóm lại thời kỳ toàn phát của bệnh viêm não Nhật Bản diễn ra ngắn. Do tổn thương các tế bào thần kinh ở não, vùng dưới đồi và rối loạn các trung khu dưới vỏ đã làm cho bệnh nhân rơi vào trạng thái hôn mê sâu với sự rối loạn các chức năng sống. Do vậy bệnh nhân thường tử vong trong vòng 7 ngày đầu. Những bệnh nhân vượt qua được thời kỳ này thì tiên lượng tốt hơn.
Thời kỳ lui bệnh:
Với những biến chứng và di chứng (từ ngày thứ 7, 8 trở đi).
Thông thường bước sang tuần thứ 2 của bệnh, bệnh nhân đỡ dần, nhiệt độ giảm từ sốt cao xuống sốt nhẹ và vào khoảng từ ngày thứ 10 trở đi nhiệt độ trở về bình thường nếu như không có bội nhiễm vi khuẩn khác. Cùng với nhiệt độ, mạch cũng chậm dần về bình thường, thở không rối loạn. Hội chứng não - màng não cũng dần dần mất: bệnh nhân từ hôn mê dần dần tỉnh, trương lực cơ giảm dần và không còn những cơn co cứng. Bệnh nhân hết nôn và đau đầu, gáy mềm, các dấu hiệu màng não cũng trở về âm tính.
Trong khi hội chứng nhiễm trùng nhiễm độc và hội chứng não - màng não giảm dần thì các tổn thương thần kinh khu trú lại rõ hơn trước. Bệnh nhân có thể bại và liệt chi hoặc liệt các dây thần kinh sọ não hoặc rối loạn sự phối hợp vận động v.v... Thời kỳ này có thể xuất hiện những biến chứng sớm như: Viêm phế quản, viêm phổi hoặc viêm phế quản - phổi do bội nhiễm; viêm bể thận, bàng quang do phải thông đái hoặc đặt sond dẫn lưu; loét và viêm tắc tĩnh mạch do nằm và rối loạn dinh dưỡng... Những di chứng sớm có thể gặp là: Bại hoặc liệt nửa người, mất ngôn ngữ, múa giật múa vờn, rối loạn phối hợp vận động, giảm trí nhớ nghiêm trọng, rối loạn tâm thần, co cứng mất não …
Biến chứng và di chứng: từ cuối tuần thứ 2 trở đi là thời kỳ của những biến chứng và di chứng muộn. Những biến chứng muộn có thể gặp là: Phế viêm, viêm bể thận - bàng quang, loét nhiễm trùng, rối loạn giao cảm, rối loạn chuyển hoá. Những di chứng muộn có thể xuất hiện sau vài năm hoặc thậm chí hàng chục năm mà thường gặp là động kinh. Bệnh có tỷ lệ tử vong cao (25% ở các nước nhiệt đới) và di chứng thần kinh tâm thần là khoảng 50%. ở nước ta theo thông báo của một số cơ sở điều trị (khoa thần kinh - BV Bạch mai và khoa truyền nhiễm-Viện bảo vệ sức khoẻ trẻ em) tỷ lệ tử vong đã giảm còn khoảng 10%. Tử vong thường xảy ra trong 7 ngày đầu khi bệnh nhân có hôn mê sâu, co giật và những triệu chứng tổn thương hành não dẫn đến rối loạn hô hấp, tim mạch trầm trọng. Tử vong ở giai đoạn sau chủ yếu do các biến chứng đặc biệt như: Viêm phổi, suy kiệt...
Chẩn đoán phân biệt
Viêm não Nhật Bản đôi khi cũng cần chẩn đoán phân biệt với viêm não màng não do các nguyên nhân hay tác nhân khác. Nguyên nhân của viêm não thường gặp nhất là nhiễm virus. Một số ví dụ điển hình là do herpes virus, do arbovirus lây truyền do muỗi, bét hoặc các côn trùng khác, bệnh dại gây nên do vết cắn của một số động vật nhiễm bệnh như chó, mèo. Viêm não có hai thể phân theo phương thức virus sử dụng gây nhiễm trùng ở hệ thần kinh trung ương:
Viêm não tiên phát: Viêm não này xuất hiện khi virus trực tiếp tấn công não và tủy sống (tủy gai). Thể viêm não này có thể xuất hiện vào bất cứ thời gian nào trong năm (viêm não tản phát: sporadic encephalitis) hoặc có thể xuất hiện theo mùa đôi khi thành dịch (viêm não dịch tễ: epidemic encephalitis).
Viêm não thứ phát (viêm não sau nhiễm trùng (post-infectious encephalitis): Hình thức viêm não này xuất hiện khi virus gây bệnh ở một số cơ quan khác bên ngoài hệ thần kinh trung ương và sau đó mới ảnh hưởng đến hệ này. Tương tự, các bệnh lý nhiễm khuẩn cũng đôi khi gây nên viêm não như bệnh Lyme hoặc một số nhiễm ký sinh trùng cũng có thể gây viêm não như trong trường hợp Toxoplasma (ở những bệnh nhân suy giảm miễn dịch) và thậm chí cả giun nữa.
Sau đây là một số nguyên nhân gây viêm não thường gặp:
Nguyên nhân do các Arbovirus
Virus này được lây truyền thông qua muỗi và bét là những động vật chân đốt nên có tên là arbovirus. Các virus này là nguyên nhân thường gặp nhất của viêm não dịch tễ. Trong những năm gần đây, viêm não dịch tễ chiếm số lượng bệnh viêm não cao nhất trong các công trình nghiên cứu đã được công bố. Ở Việt Nam, điển hình là VNNB thường xuất hiện vào mùa hè khi mà lượng muỗi trong môi trường sống đạt mật độ cao nhất trong năm. Các sinh vật truyền bệnh từ một cơ thể vật chủ này sang một vật chủ khác được gọi là vector truyền bệnh. Muỗi là một vector truyền bệnh quan trọng, đặc biệt là tryền virus từ chim và các động vật gặm nhấm sang người. Một điều đáng lưu ý là khi muỗi chích các động vật máu nóng (trong đó có người) thì trước khi hút máu chúng phải bơm nước bọt có chứa chất chống đông máu vào để thuận lợi cho quá trình hút máu. Tuy nhiên nếu muỗi này đã có chứa virus gây bệnh thì virus cũng theo nước bọt bơm vào đó để đi vào hệ tuần hoàn động vật bị hút máu.
Các loài chim sống trong khu vực có nhiều nguồn nước đứng như các ao, hồ, đầm lầy thường dễ nhiễm virus gây viêm não. Khi chim nhiễm virus viêm não, lượng virus trong máu của chúng tồn tại ở mật độ rất cao trước khi chim lành bệnh và xuất hiện miễn dịch chống bệnh. Nếu muỗi hút máu chim trong giai đoạn này thì chúng sẽ trở thành vector mang bệnh suốt đời. Chính muỗi mang virus gây bệnh này khi hút máu một con chim lành khác thì sẽ truyền vurus cho chim này và rồi có thể chim này lại chuyển virus gây bệnh cho một con muỗi khác nữa. Chính nhờ quá trình này mà virus được lưu hành rộng rãi trong quần thể các loài chim.
Thông thường thì phương thức truyền virus trên đây không ảnh hưởng gì đến sức khỏe của cả muỗi và chim và cũng không gây nguy hiểm cho con người. Một phần là do muỗi thường chỉ thích hút máu các loài chim và các động vật có vú nhỏ. Người chỉ là một lựa chọn thứ hai. Tuy nhiên trong điều kiện môi trường thay đổi như thời tiết bất thường hay thay đổi khí hậu, lượng chim nhiễm bệnh và lượng muỗi tăng lên rất nhiều. Trong những rường hợp như thế, người sẽ đứng trước nguy cơ nhiễm bệnh cao hơn. Ở Việt Nam, VNNB B là một đe dọa sức khỏe cộng đồng, đặc biệt là trẻ em vào mùa hè. Xin xem thêm bài chính VNNB.
Một số các arbovirus gây viêm não được đề cập trong y văn gồm:
- Viêm não ngựa miền Đông (Eastern equine encephalitis): Như tên bệnh cho biết, viêm não này xuất hiện chủ yếu ở ngựa, ít gặp ở người và thường gặp ở khu vực miền Đông Hoa Kỳ. Bệnh có thể xảy ra quanh năm nhưng thường nhất là vào mùa hè. Virus này thường hiện diện ở các laòi chim sống trong các đầm nước ngọt. Viêm não thường nặng nề và gây tử vong. Bệnh thường xảy ra 10 ngày sau khi bị muỗi đốt.
- Viêm não ngựa miền Tây (Western equine encephalitis): Hầu hết các báo cáo về bệnh này xảy ra ở bình nguyên miền Tây Hoa Kỳ. Các loài chim sống trên các cánh đồng có hệ thống thủy lợi hoặc trên các trang tại thường nhiễm virus. Bệnh xảy ra chủ yếu ở ngựa, hiếm gặp ở người. Thường cao điểm vào tháng Sáu và tháng Bảy. Bệnh nhẹ hơn người chị em của nó ở miền Đông tuy nhiên trẻ nhỏ mắc bệnh sẽ biểu hiện nặng nề.
- Viêm não St. Louis (St. Louis encephalitis): Bệnh này cùng từ chim lan sang muỗi. Người già mắc bệnh nặng hơn. Tỷ lệ tử vong khoảng từ 2 đến 20%.
- Viêm não La Crosse (La Crosse encephalitis): La Crosse là nơi phát hiện viêm não này lần đầu tiên vào năm 1963. Bệnh thường gặp ở trẻ em.
- Viêm não Tây sông Nile (West Nile encephalitis). Bệnh lưu hành ở châu Phi, Trung Đông, một phần châu Âu, Nga, Ấn độ và Indonesia. Bệnh phát hiện ở Hoa Kỳ lần đầu tiên vào năm 1999. Cũng giống như các arbovirus khác, virus gây viêm não Tây sông Nile có ổ chứa là chim và vector truyền bệnh là muỗi tuy nhiên trong một số hiếm trường hợp, bệnh lây truyền qua truyền máu hay ghép tạng hay cho bú. Bệnh thường nhẹ nhưng cũng có thể trầm trọng nếu bệnh nhân bị suy giảm miễn dịch;
- Herpes virus: một số virus thuộc họ này thường gây những bệnh lý thông thường thì cũng có thể gây viêm não:
+  !important; Virus herpes simplex: Có hai type herpes simplex virus (HSV) là HSV type 1 và HSV type 2. HSV type 1 thường gây bệnh ở miệng tạo thành các vết loét rất đau hoặc các mụn rộp xung quanh miệng (dân gian hay gọi là chứng nhiệt). HSV type 2 thường gây bệnh ở cơ quan sinh dục. HSV-1 gây viêm não tản phát. Phụ nữ mang thai nhiễm HSV đường sinh dục có thể truyền virus cho con lúc sinh gây nên bệnh cảnh viêm não cực kỳ nặng nề với tỉ lệ tử vong rất cao.
+  !important; Virus varicella-zoster: Virus này gây nên bệnh thủy đậu (bệnh xuất hiện trong nhiễm trùng tiên phát) và bệnh dời leo (do sự tái hoạt động của virus trong cơ thể). Virus này có thê gây nên viêm não và có thể đưa đến tử vong.
+  !important; Virus Epstein-Barr: Virus này gây nên chứng tăng bạch cầu đơn nhân nhiễm trùng (infectious mononucleosis). Virus có thể gây viêm não và thường nhẹ tuy nhiên trong một số trường hợp có thể đưa đến tử vong.
- Các bệnh nhiễm trùng thông thường ở trẻ em gây viêm não: trong một số trường hợp hiếm gặp, viêm não thứ phát có thể xuất hiện sau khi trẻ mắc một số bệnh nhiễm trùng thường gặp, bao gồm: sởi, quai bị và sởi Đức. Trong những trường hợp này, viêm não có thể là do đáp ứng quá mẫn, một đáp ứng quá mức của hệ miễn dịch đối với các chất lạ. Tuy nhiên trong bệnh sởi, ngoài viêm não do quá mẫn (xuất hiện khá sớm sau sởi) thì còn biến chứng viêm não xơ hóa bán cấp tiến triển do virus cư trú trong tế bào thần kinh trung ương.
- Các enterovirus cũng có thể gây nên viêm não nặng nề như enterovirus 71 ngoài biểu hiện nhẹ của nó là bệnh tay chân miệng.
Chẩn đoán & Điều trị
Các cá nhân sống hoặc đã đi du lịch đến khu vực lưu hành bệnh VNNB và đã chẩn đoán viêm não thì được xem là một trường hợp nghi ngờ mắc bệnh VNNB. Để xác nhận nhiễm VNNB và loại trừ các nguyên nhân gây viêm não khác, bác sĩcần yêu cầu xét nghiệm huyết thanh hoặc ưu tiên lấy dịch não tủy để xét nghiệm trong phòng thí nghiệm.
Giám sát bệnh chủ yếu là giám sát hội chứng viêm não cấp tính. Xác định bằng cách xét nghiệm kiểm tra trong phòng thí nghiệm thường được tiến hành ở những điểm trọng điểm và những nỗ lực được thực hiện để mở rộng giám sát dựa vào phòng thí nghiệm. Giám sát dựa vào ca bệnh được thành lập tại các quốc gia có hiệu quả kiểm soát bệnh VNNB thông qua tiêm vaccine.
Hiện không có thuốc điều trị đặc trị virus cho bệnh nhân VNNB, do vậy điều trị hỗ trợ để giảm các triệu chứng và hõ trợ cho bệnh nhân. Hướng dẫn chăm sóc lâm sàng đã được phát triển bởi cơ quan PATH
Phòng chống và kiểm soát bệnh
Đã có vaccine VNNB an toàn và hiệu quả để phòng ngừa bệnh. TCYTTG khuyến cáo phải có các hoạt động phòng chống và kiểm soát mạnh mẽ bao gồm tiêm vaccine phòng bệnh VNNB ở tất cả các vùng mà bệnh này được công nhận là một vấn đề y tế cộng đồng, cùng với việc tăng cường giám sát và cơ chế báo cáo. Các biện pháp kiểm soát khác như kiểm soát muỗi hoặc kiểm soát các trang trại lợn đã chứng minh là ít hiệu quả và ít đáng tin cậy.
Có bốn loại vaccine VNNB chính hiện đang sử dụng, gồm vaccine bất hoạt được tạo ra từ não chuột (inactivated mouse brain-based vaccines), vaccine bất hoạt được phát triển từ tế bào (inactivated cell-based vaccines), vaccine sống giảm độclực (live attenuated vaccines) và vaccine có nhiều mô khác nahu về gen sống (live chimeric vaccines). Theo kinh điển, vaccine sử dụng rộng rãi nhất là một sản phẩm bất hoạt tinh khiết được làm từ chủng Nakayama hoặc Băc Kinh nuôi cấy trong mô não chuột. Nó vẫn được sản xuất và sử dụng ở một số quốc gia.
Trong những năm qua, vaccine sống giảm độc lực SA14-14-2 được sản xuất tại Trung Quốc đã trở thành vaccine được sử dụng rộng rãi nhất ở các quốc gia lưu hành bệnh và nó đã được chọn bởi TCYTTG vào tháng 12/2013. Vaccine bất hoạt dựa vào nuôi cấy tế bào cũng đã được cấp phép (và một sản phẩm TCYTTG tuyển chọn), như có một sản phẩm tái tổ hợp trực tiếp dựa trên chủng vaccine bệnh sốt vàng. Vào tháng 11 năm 2013, GAVI đã mở một quỹ tài trợ để hỗ trợ các chiến dịch tiêm vaccine VNNB ở các nước đủ điều kiện.
Tất cả các du khách đến các khu vực VNNB lưu hành nên thực hiện biện pháp phòng ngừa nhằm tránh bị muỗi đốt để giảm nguy cơ mắc bệnh VNNB. Các biện pháp bảo vệ cá nhân bao gồm việc sử dụng các chất xua đuổi côn trùng, mặc quần áo dài tay, cuộc nhang muỗi và bình xịt muỗi. Các vụ dịch VNNB chính xảy ra chu kỳ khoảng từ 2-15 năm. Lan truyền VNNB gia tăng vào mùa mưa trong thời gian mà quần thể véc tơ gia tăng. Tuy nhiên, chưa có bằng chứng về lan truyền VNNB gia tăng sau trận lũ lớn hoặc sóng thần. Sự lây lan bệnh VNNB ở các khu vực mới có liên quan đến việc phát triển nông nghiệp và thâm canh lúa được hỗ trợ bởi chương trình thủy lợi
Đáp ứng của TCYTTG đối với bệnh VNNB. ·  !important; Cung cấp các khuyến nghị toàn cầu để kiểm soát VNNB, bao gồm cả việc sử dụng vaccine. TCYTTG khuyến cáo tiêm chủng VNNB ở tất cả các vùng mà bệnh này được công nhận là một vấn đề y tế cộng đồng và hỗ trợ thực hiện.
·  !important; Cung cấp hỗ trợ kỹ thuật để giám sát VNNB, giới thiệu vaccine VNNB và các chiến lược tiêm chủng VNNB quy mô lớn.