Bệnh Babesia (gọi theo tên tiếng Anh là Babesiosis) là một bệnh do đơn bào giống như ký sinh trùng sốt rét, gây ra bởi tác nhân Babesia, một genus của protozoal piroplasms. Sau trypanosomes, Babesia được xem như là tác nhân ký sinh trùng đường máu hay gặp nhất trên các động vật có vú và có thể có tác động rất lớn lên sức khoẻ gia súc tại những vùng mà không có mùa đông nghiêm trọng. Bệnh babesiosis ở người không thường gặp những đã có báo cáo số ca gia tăng gần đây vì kiến thức y học đang phát triển và cập nhật thông tin. Bệnh được đặt tên theo giống của tác nhân gây bệnh và sau đó đặt tên theo tên của nhà vi trùng học Victor Babes. Bệnh Babesiosis ở ngựa được xem là một bệnh piroplasmosis.
Lịch sử và phân loại học của Babesiosis
Nhiều thể kỷ qua, bệnh babesiosis được biết như là một căn bệnh cực kỳ nghiêm trọng cho các động vật hoang dại và động vật nuôi. Victor Babeş- một nhà khoa học người Romania lần đầu tiên mô ta về bệnh này vào năm 1888, đã chi tiết các triệu chứng, hội chứng của bệnh lý tan máu nghiêm trọng này như thể độc nhất vô nhị trên gia súc và cừu. Một vài năm sau đó, Americans Theobald Smith và Fred Kilborne đã xác định ra ký sinh trùng này gây bệnh Texas Cattle Fever, một căn bệnh tuowng tự được mô tả bởi Babeş. Smith và Kilborne cũng xác định tick như là một tác nhân trong lây truyền bệnh-được đề nghị đưa ra đầu tiên với ý niệm là bệnh do loài chân đốt đóng vai trò vector truyền. Một thời gian khá dài người ta tin rằng bệnh chỉ ảnh hưởng lên các động vật có vú chứ không gây bệnh trên người, mãi cho đến năm 1957 ca bệnh đầu tiên của babesiosis mới được báo cáo ở người. Ca bệnh đầu tiên này được phát hiện trên một bệnh nhân cắt lách và sau đó đến một loạt cao báo cáo năm 1969 cũng tương tự. Tiếp sau đó, các nhà y học cũng phát hiện cả những ca trên những người không cắt lách và kết luận rằng các nhân này có thể gây nhiễm trên tất cả mọi người.
Về phân loại, Babesia là một ký sinh trùng đơn bào mà trong số đó có 2 loài Babesia microti và Babesia divergens thường gặp nhiễm trên người nhất. Nhiễm các loài khác của Babesia cũng đã được báo cáo trên người nhưng không phải là thường xuyên. Babesiosis cũng được biết như là bệnh Piroplasmosis. Do sự phân loại nhầm lẫn trước đây, đơn bào này được đánh dấu bằng nhiều tên khác nhau mà đến nay không còn dùng nữa. Tên thông dụng của bệnh tại một số nơi gọi là Texas Cattle Fever, Redwater Fever, Tick Fever, Nantucket Fever.
Babesia là một ký sinh trùng đơn bào trong máu, gây ra bệnh lý tan máu của Babesiosis. Hiện có hơn 100 loài Babesia được xác định; Tuy nhiên, chỉ có một số ít được trình bày như là bệnh sinh ở người. Tại Mỹ, Babesia microti là dòng thường gặp nhất có liên quan đến người, trong khi các loài khác thì nhiễm trên gia súc, gia cầm và đôi khi lên các vật nuôi gia đình. Khi con nguowif bị nhiễm bệnh, biểu hiện triệu chứng giống như sốt rét, vì thế dễ chẩn đoán nhầm là sốt rét trong nhiều trường hợp.
Đặc điểm lâm sàng
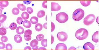
Tính nghiêm trọng của nhiễm bệnh do tác nhân B. microti thay đổi khác nhau. Khoảng chứng 25% số ca trên người lớn và 50% số ca trẻ em là không có triệu chứng hoặc triệu chứng nhẹ giống như giả cúm. Trong những trường hợp có biểu hiện triệu chứng, thì biểu hiện đặc trưng làsốt không theo quy luật, rét run, nhức đầu, hôn mê hoặc ngủ lịm, mệt mỏi toàn thân, đau và suy nhược nặng. Một số ca nặng có dấu hiệu thiếu máu tan máu, vàng da, thở nhanh, xuất hiện Hb niệu do tác động và ảnh hưởng của hiệu ứng tan máu do tăng sinh ký sinh trùng. Những cá nhân có đầy đủ miễn dịch và lách khỏe mạnh sẽ hồi phục mà không cần điều trị. Những bệnh nhân đã bị cắt lách thường nhạy cảm với nhiễm bệnh và quá trình nhiễm thường dẫn đến kết cục tử vong trong vòng 5-8 ngày kể từ khi xuất hiện triệu chứng. Mật độ ký sinh trùng trong máu có thể đạt đến 85% trong những bệnh nhân không có lách so với chỉ 1-10% những bệnh nhân có lách và khỏe mạnh. Các bệnh nhân đã bị cắt lách thường chịu các cơn thiếu máu tán huyết nặng và dẫn đến tình trạng gan lách to.
Các biến chứng gia tăng từ nhiễm B. microti gồm có suy hô hấp cấp, suy tiêm sung huyết và suy thận, nhiễm trùng có thể dẫn đến tử vong từ 5-10% con số bệnh nhân nhập viện, và tăng nguy cơ tử vong lên trên nhóm đối tượng suy giảm miễn dịch, người già và khi đồng nhiễm với bệnh Lyme. Nhiễm trùng với B. divergens có tỷ lệ tử vong cao hơn nhiều (42%) và thường biểu hiện hội chứng và triệu chứng nặng nề. Những cá nhân nhiễm thường có Hb niệu, theo sau vàng da, sốt cao liên tục, rét run và vả mồ hôi. Nếu không điều trị, các ca nhiễm B. divergens có thể chuyển sang hội chứng giống như sốc nhiễm trùng kèm theo phù phổi và suy thận. Các triệu chứng của nhiễm trùng thường tăng lên trong vòng 1-8 tuần sau khi bị tick nhiễm tác nhân ký sinh trùng đốt vào người. Nhiễm B. divergens có giai đoạn tiềm tàng ngắn hơn, khoảng chứng 1–3 tuần.
Một số nét về dịch tễ học và quá trình lan truyền bệnh
Bệnh Babesiosis là bệnh lây truyền qua vector và thường lây truyền thông qua con Ixodid ticks. Babesia microti sử dụng các trung gian truyền bệnh là ve (tick) giống nhau loại Ixodes scapularis, như trong bệnh Lyme và bệnh Ehrlichiosis, có thể xảy ra đồng thời với các bệnh này. Trong các vùng lưu hành bệnh, vi sinh vật cũng có thể truyền theo con đường truyền máu. Tại Bắc Mỹ, bệnh thường tìm thấy nổi trội ưu thế ở vùng đông Long-Island, ranh giới các đảo, Fire Island và các đảo của Nantucket và Martha's Vineyard của bờ biển Massachusetts. Nhìn chung, nó có thể tìm thấy trên một diện rộng của khu vực bắc phía tây và bang New England. Đôi khi chúng được gọi theo một cái tên là sốt rét đông bắc ("The Malaria of The Northeast"). Những trường hợp babesiosis đã được báo cáo trong một khu vực rất rộng của các quốc gia châu Âu. Bệnh ở châu Âu thường do nhiễm loài Babesia divergens, trong khi ở Mỹ thì thường nhiễm loài Babesia microti và Babesia duncani có liên quan đến nhiễm bệnh trên người. Bệnh babesiosis cũng được phát hiện tại Hàn Quốc.
Hầu hết những trường hợp nhiễm babesia đều không có triệu chứng hoặc chỉ sốt nhẹ, và thiếu máu nên ít khi được để ý đến. Những ca nặng hơn, biểu hiện triệu chứng giống như sốt rét, sốt có thể lên đến 40°C, rét run và thiếu máu nặng (dạng thiếu máu do tan máu). Suy các cơ quan có thể gồm cả suy hô hấp. Một số ca nặng xảy ra hầu khắp trên các người đã cắt lách. Các ca nặng cũng có thể xảy ra trên người rất trẻ, rất già hoặc người suy giảm miễn dịch như bị HIV/AIDS. Một số người bị babesiosis có thêm các triệu chứng của bệnh lý do ve truyền hoặc bệnh Lyme.
Một báo cáo gần đây cho thấy có sự gia tăng số ca babesiosis trong những năm 2000 vì có sự hiểu biết về bệnh, xét nghiệm chỉ định rộng rãi đối với bệnh này và tăng số người suy giảm miễn dịch tiếp xúc hoặc phơi nhiễm với các trung gian truyền bệnh ve, bét hoặc các bệnh vector khác. Liên quan đến dữ liệu sự xuất hiện của các loài Babesia tại các vùng có lưu hành sốt rét thì còn hạn chế và chính những nơi ấy dễ chẩn đoán nhầm giữa sốt rét với bệnh do Babesia.
Một trong những loài gây nhiễm ở người thì B. microti là loài gây bệnh quan trọng nhất tại châu Mỹ, ngược lại B. divergens là dòng ưu thế tìm thấy ở châu Âu. Tại các vùng lưu hành có sự hiện diện của tick sống, bao gồm cả vùng rừng núi của đông bắc Mỹ và vùng ôn đới của châu Âu. Ixodidae, loại ve trung gian truyền bệnh của B. microti được biết cũng lan truyền bệnh Lyme rất thường. Vì nhiều lý do chưa rõ, một số vùng lưu hành bệnh hiện nay có cả bệnh Lyme và bệnh Babesiosis. Sự lan truyền bệnh Lyme chiếm ưu thế và nhiều hơn trong các vùng này. Tỷ lệ mắc bệnh Babesiosis trong các vùng lưu hành sốt rét vẫn chưa biết rõ là bao nhiêu do khả năng chẩn đoán nhầm với sốt rét khá nhiều. Vì biểu hiện bệnh phần đông là thường không có triệu chứng, nhiều quần thể có thể có tỷ lệ dương tính huyết thanh (seroprevalence) cao mà không có biểu hiện bệnh. Chẳng hạn, ở Rhode Island và Nantucket, tỷ lệ dương tính huyết thanh khoảng 20-25%. Tỷ lệ bệnh Babesiosis chiếm hầu như nhiều nhất là trong tháng 5 đến tháng 9, nơi mà thời điểm hoạt động của các ve nhiều nhất, mạnh nhất ở trong các vùng như vậy.
Quá trình lan truyền
Babesia lây truyền qua đường nước bọt của ve khi nó đốt người. Vào giai đoạn nymphae, một con vesẽ đốt / cắn vào da người để hút máu. Nếu con ve không được loại bỏ ra, chúng sẽ ở lại và dính trong 3-6 ngày hoặc thời gian dài hơn để lấy thức ăn, liên quan đến khả năng mắc và nhiễm bệnh do loài đơn bào này rất cao. Ký sinh trùng có thể sống trong cơ thể ve với nhiều giai đoạn phát triển khác nhau, cho nên tất cả giai đoạn đều là nguồn nhiễm tiềm tàng. Một số loài của Babesia có thể truyền từ con ve cái đến giai đoạn con của chúng trước khi chúng di chuyển đến tuyến nước bọt. B. microti, là loài hay gặp nhất của Babesia ở người song vẫn chưa biểu hiện rõ lây truyền qua transovaria.
Tại châu Mỹ, ve Ixodes scapularis là vector trung gian phổ biến nhất, loài ve cứng này thường được xem là ve trên hươu nai (deer tick) và cũng là một trong những trung gian truyền bệnh của các bệnh lý khác như bệnh Lyme. Nhiều loài Babesia chỉ gây nhiễm trên các động vật có vú không phải người, phần lớn là các gia súc, ngựa và cừu. B. microti và B. divergens vẫn là 2 loài chính gây bệnh ở người. Ổ chứa của chúng đến này vãn còn nhiều giả thuyết có thể là chuột chân trắng (Peromuscus leucopus Rafinesque), microtus voles (Microtus spp.) và hươu nai đuôi trắng (Odocoileus virginianus). Các ổ chứa là các động vật sống trong rừng này là giả thuyết bởi vì chúng được biết đến là nơi trú ngụ của bệnh trên đó, complete reservoir competence has not yet been shown.
Hầu hết các trường hợp lây truyền giữa người với nhau là quy kết do ve. Tuy nhiên, năm 2003 Trung tâm CDC, Mỹ đã đưa ra 40 ca bệnh Babesiosis nhiễm do truyền hồng cầu khối (packed red blood cell_PRBC) cho người bệnh trong lúc nằm viện và 2 trường hợp nhiễm là do ghép tạng. Truyền PRBC gây ra nhiễm trùng được xác định thông qua xét nghiệm máu người cho có kahngs thể B. microti. Sự xuất hiện tác nhân gây bệnh qua phương thức truyền PRBC như là một cơ chế lây truyền của bệnh Babesia đặt ra một áp lực rất lớn cho các tổ chức chính phủ như CDC để nhằm đưa ra các biện pháp sàng lọc người hiến máu một cách chuẩn y hơn.
Hình thái học và chu kỳ sinh học
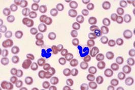
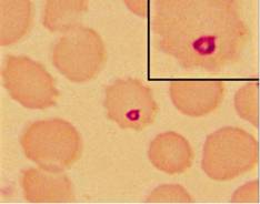
Babesia đi vào hồng cầu giai đoạn thoi trùng. Trong các tế bào hồng cầu, đơn bào này đi theo chu kỳ và phát triển thành thể nhẫn tư dưỡng. Hình thái của các thể tư dưỡng chuyển thành các merozoite, tạo thành một cấu trúc bộ bốn hình đồng tiền như dạng Maltese-cross. Hình thái học bộ bốn có thể nhìn thấy trên lam máu nhuộm Geimsa và là lam giọt mỏng, chỉ duy nhất là các hình ảnh của Babesia cần phân biệt với các loài Plasmodium falciparum-một đơn bào sốt rét có hình thái giống như Babesia. Các trophozoite và merozoite phát triển rồi vỡ hồng cầu của vật chủ dẫn đến ly giải nhiều vermicules, đây là các thể nhiễm nhanh chóng lan rộng khắp hệ tuần hoàn máu.
Chu kỳ sinh học của B. microti đòi hỏi một giai đoạn sinh học trong loài gặm nhấm hoặc vật chủ là hươu nai. Để bắt đầu, các ve Ixodidae sẽ đưa các thoi trùng vào trong các loài gặm nhấm khi ve hút máu những con vật này. Các thoi trùng đi vào các tế bào hồng cầu trong máu và bắt đầu chu kỳ phát triển giữa trophozoites và merozoites. Càng sinh nhiều trophozoite, càng có nhiều merozoites và sẽ sản sinh nhiều gametocyte. Các vật chủ chính ve loại Ixodidae, sẽ tiêu hóa gametocytes khi chúng tiếp đến bữa ăn máu sau. Các giao tử được thụ tinh nhau trong ruột của ve và tiếp tục phát triển thành các thoi trùng đi ra tuyến nước bọt. Khi các thoi trùng đi vào người thông qua vết cắn của ve bị nhiễm, thạm chí khi một vật chủ tình cờ thì các giai đoạn thay đổi trong ký sinh trùng giống như trong cơ thể người vậy. Babesia có thể chẩn đoán ở giai đoạn thoi trùng và có thể truyền từ người sang người thông qua ve đốt hoặc truyền máu có nhiễm tác nhân gây bệnh.
Sinh lý bệnh học
Ký sinh trùng Babesia sinh sản bên trong hồng cầu, khi đó chúng có thể có hình ảnh giống chữa thập (cross-shaped) do 4 merozoites vô tính bắt đầu nảy nở nhưng dính với nhau tạo thành một dạng cấu trúc trông giống như một "Maltese Cross" và thể này có thể gây thiếu máu huyết tán tương tự như sốt rét. Điều đáng chú ý là không giống như ký sinh trùng sốt rét, các loài Babesia thiếu một giai đoạn ngoại hồng cầu, vì thế gan thường không bị ảnh hưởng.
Trên các dộng vật, Babesia canis rossi, Babesia bigemina, Babesia bovis đặc biệt có thể gây các thể bệnh nặng, gồm có thiếu máu tan máu nặng với kết quả test ngưng kết hồng cầu trong dung dịch muối dương tính, chỉ ra một thành phần qua trung gian miễn dịch có liên quan đến cơ chế tán huyết này. Các di chứng thường thấy là đái máu, Hb niệu, đông máu nội mạch rải rác (DIC) và bệnh lý babesiosis ở não do hiện tượng ký sinh trùng ký sinh hồng cầu gây tắc nghẽn các mao mạch não.
Chẩn đoán và điều trị
Chẩn đoán
Một chỉ số ngi ngờ cao cần thiết để chẩn đoán bệnh babesiosis. Babesiosis chỉ phát triển trên các bệnh nhân đã và đang sống hoặc đi du lịch đến các vùng lưu hành bệnh hoặc nhận truyền máu bị nhiễm trong vòng 9 tuần sau khi có phơi nhiễm. Do vậy cần thiết phải điều tả bệnh sử là rất quan trọng. Bệnh lý Babesiosis được đặt ra hay được nghĩ đến khi một người có tiền sử phơi nhiễm rồi phát thành các cơn sốt dai dẳng cùng với thiếu máu tan máu.
-Các thử nghiệm chẩn đoán xác định bệnh babesiosis chủ yếu là xác định ký sinh trùng trên lam mỏng nhuộm Giemsa, hình ảnh nhìn thấy là "Maltese cross” trên lam máu giọt mỏng, nếu có là chẩn đoán xác định babesiosis. Chẩn đoán phân biệt đầu tiên phải là sốt rét, do đó trong tình huống nghi ngờ thì cần làm nhiều lam máu vì Babesia có thể chỉ nhiễm < 1% trong toàn bộ tuần hoàn máunên rất dễ bị bỏ sót;
-Vì đây là một ký sinh trùng nên hướng tốt nhất và hiệu quả nhất xác định nhiễm Babesia là tìm ký sinh trùng trong máu. Điều quan trọng là cần đặc biệt lưu ý hình thái học của Babesia trên lam máu vì có nhiều hình ảnh giống như ký sinh trùng sốt rét Plasmodium falciparum dẫn đến chẩn đoán nhầm giữa 2 bệnh này. Một vài yếu tố phân biệt cho Babesia là đơn bào hình và kích cỡ khác nhau, có thể có khoang không bào và thiếu sư sinh ra các hạt pigment. Các thể tư dưỡng trong hồng cầu dường như là dạng hình bậc bốn, đan chéo như chữ thập cũng chỉ ra là Babesia. Do vật huấn tập khâu nhận ra hình ảnh của 2 loại ký sinh trùng này là rất quan trọng.
-Các xét nghiệm huyết thanh học để tìm kháng thể kháng Babesia (cả IgG và IgM) có thể phát hiện ngay cả những ca nhiễm mật độ thấp khi có nghi ngờ về triệu chứng lâm sàng cao nhưng xét nghiệm lam máu âm tính. Chẩn đoán huyết thanh cũng có ích để chẩn đoán phân biệt các bệnh khác với babesia khi vùng có nguy cơ cao nhiễm cả 2 hoặc nhiều tác nhân gây bệnh. Vì đáp ứng kháng thể có thể phát hiện được khoảng đọ 1 tuần sau khi nhiễm nên các test huyết thanh này có thể cho kết quả âm tính giả trong giai đoạn sớm của bênh, cần lưu ý;
-Nhiều nghiên cứu về Babesiosis và sốt rét đã cho biết chẩn đoán nhầm khi xét nghiệm lam máu thường xảy ra và coi đó là một vấn đề. Để bổ sung coh kết quả lam máu, các xét nghiệm huyết thanh học như phát hiện kháng thể gián tiếp (indirect fluorescent antibody)IFA). IFA có độ đặc hiệu cao hơn xét nghiệm lam máu với phát hiện kháng thể có thể 88-96% trong số các bệnh nhân. Các xét nghiệm tìm kháng thể rất có ích để xác định tỷ lẹ dương tính huyết thanh trên nhóm đối tượng nhiễm bệnh không triệu chứng. Do tính lan truyền của Babesia qua đường truyền máu là có thể, nên test IFA sẽ có hiệu quả trong sàng lọc bệnh ở những người cho máu.
-Phản ứng PCR phát hiện được Babesia từ máu ngoại vi. PCR có độ nhạy và độ đặc hiệu ít nhất cũng bằng xét nghiệm lam mỏng nhuộm giêm sa trong chẩn đoán babesiosis, mặc dù người ta cũng lưu ý đến vấn đề chi phí đắt của kỹ thuật này. Phần lớn xét nghiệm bằng kỹ thuật PCR được sử dụng như là cầu nối trong giải quyết các xét nghiệm liên quan như lam máu giêm sa và xét nghiệm huyết thanh học;
-Các thông số khác về huyết học là chỉ số hồng cầu, tiểu cầu trong công thức máu toàn phần giảm.
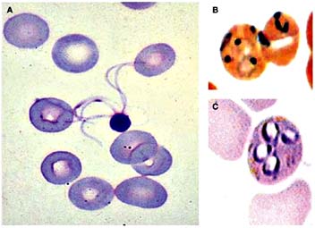
Trên bệnh babesiosis ở động vật nếu nghi ngờ thông qua các triệu chứng lâm sàng (Hb niệu và thiếu máu) ở các động vật khi chúng ở trong vùng lưu hành bệnh. Chẩn đoán được xác định nhờ vào thấy được các merozoite trên lam giọt mỏng qua nhuộm Romonovski (methylene blue và eosin). Đây cũng là một xét nghiệm thường quy chẩn đoán trong thú y ở chó và các động vật nhai lại trong vùng nghi ngờ có bệnh babesiosis. Babesia canis và Babesia bigemina là các loài babesias lớn mà hình thành cặp đôi merozoites trong hồng cầu, thường được mô tả như cặp quả lê treo cùng nhau ("two pears hanging together"), hơn là hình ảnh thường thấy trên người dạng "Maltese Cross". Các merozoite của các babesia lớn này có kích thước gấp 2 lần so với các babesia nhỏ.
Bệnh babesiosis ở não nghi ngờ trên lâm sàng khi có các dấu chứng thần kinh (thường là nặng) nhìn thấy trên các gia súc, đặc biệt là bò. Sự biến mất màu đỏ của chất xám ở não sau khi mổ tử thi càng làm cho nghi ngờ thêm bệnh babesiosis thần kinh. Chẩn đoán được xác định sau khi giiar phẩu tử thi khi có xét nghiệm thấy hồng cầu nhiễm babesia ký sinh trong các mao mạch ở vùng vỏ não trên mẫu bệnh phẩm cắt ra từ não.
Thái độ điều trị
Nhiều biện pháp để quản lý và điều trị bệnh babesiosis trên động vật. Nhiều trường hợp bệnh nhân tự phục hồi nếu triệu chứng nhẹ và hoặc không biểu hiện. Hầu hết số ca đều do loài B. microti, thường gặp ở Mỹ. Đối với loài B. divergens và nghiêm trọng hơn là nhiễm loài B. microti, điều trị chuẩn đối với những trường hợp không triệu chứng là dùng Clindamycin đường tĩnh mạch hoặc đường uống kèm với quinine đường uống. Tuy nhiên, với các kết quả nghiên cứu hoàn thành vào năm 2000, liệu trình điều trị đã hướng đến dùng Atovaquone kèm với Azithromycin đường uống. Các thuốc sau này được xem là có hiệu quả tương đương và chú ý một số tác dụng phụ. Trong một số trường hợp nặng, truyền máu cũng đã được thực hiện để làm giảm thấp mật độ ký sinh trùng trên bệnh nhấn.
Hầu hết các trường hợp babesiosis được giải quyết mà không cần điều trị gì đặc hiệu. Đối với bệnh nhân có triệu chứng, điều trị thường theo phác đồ 2 thuốc, như phác đồ quinine và clindamycin đã được sử dụng, nhưng dung nạp kém; các bằng chứng gần đây cho thấy một phác đồ gồm atovaquone và azithromycin có thể cho hiệu quả tương tự. Trong những trường hợp đe dọa tính mạng có thể thực hiện truyền máu trao đổi, khi đó hồng cầu nhiễm sẽ bị loại bỏ và thay bằng hồng cầu tươi.
Về khía cạnh thú y, điều trị bệnh babesiosis thường không sử dụng kháng sinh, mà khi đó các thuốc diminazen (Berenil), imidocarb hoặc trypan blue sẽ là các thuốc lựa chọn điều trị Babesia canis rossi (chó ở châu Phi), Babesia bovis và Babesia bigemina (gia súc ở nam Phi).
Phòng bệnh
Biện pháp y tế công cộng hiệu quả nhất đối với Babesia là tranh phơi nhiễm hoặc tiếp xúc với ve, điều này có thể thực hiện bằng cách các chiến lược bảo vệ cá nhân như tránh các vùng có ve nhiễm bệnh (đặc biệt thời điểm mùa sinh sôi của ve cao, từ tháng 5-9). Loại bỏ các ve bám vào da, mặc áo tay dài, che phủ tránh ve đốt. Các biện pháp phòng bệnh khác bao gồm dùng thuốc Diethyltoluamide (DEET), một loại thuốc thoa xua các con bọ và có hiệu quả với ve. Nếu người đó phản ứng với thuốc DEET, có thể dùng thuốc xua khác.
Về mặt quy mô, có thể các đơn vị y tế có chiến dịch loại trừ ve là có thể. Năm 1906, các nổ lực loại trừ ve để traqnhs bệnh cho bò ở Mỹ đã thực hiện, và chiến dịch này đã thành công trong 4 thập niên sau đó. Các nỗ lực loại trừ hoàn toàn có thể là một dự án lâu dài, giảm tỷ lệ bệnh Babesiosis và bệnh Lyme một cách có ý nghĩa. Tuy nhiên, bộ phận y tế công cộng thường thiếungân quỹ, nên các biện pháp phòng bệnh dường như khuyến cáo hơn là phòng chống vector. Do tỷ lệ mắc bệnh ở người tương đối thấp và sự có mặt vài ổ chứa, nên bệnh Babesiosis hiện vẫn chưa có một vaccine ứng cử cho phòng bệnh ở người.
Có một loại vaccine đặc hiệu chống lại Babesia canis canis (chó ở vùng Trung Đông) nhưng lại không hiệu quả chống lại Babesia canis rossi. Babesia imitans gây ra thể bệnh nhẹ thường tự hồi phục mà không cần điều trị (chó ở Đông Nam Á).
Các địa chỉ liên hệ hoặc lấy tài liệu về bệnh Babesia
·Lyme and Tick-Borne Diseases Research Center: Babesiosis
·Connecticut Department of Public Health: Babesiosis Fact Sheet
·New York State Department of Health: Babesiosis
·Centers for Disease Control and Prevention: Babesia
·DPDx: Laboratory Identification of Parasites of Public Health Concern: Babesiosis
Tài liệu tham khảo
1.Khayat, Abeer; Rathore, Mobeen (2008). The Neurological Manifestations of Pediatric Infectious Diseases and Immunodeficiency Syndromes. Humana Press. pp. 343–346 (Chap 36).
2.National Center for Biotechnology Information: Taxonomy Browser
3.DPDx: Laboratory Identification of Parasites of Public Health Concern. Babesiosis. CDC. Retrieved on 2009-03-05.
4.Despommier, Dickson D.; et al. (1995). Parasitic Diseases. Ed 3. New York City, New York: Spinger-Verlag Inc. pp. 224–226.
5.Ristic, M. et al. Ed. (1984). Malaria and Babesiosis: New Perspectives in Clinical Microbiology. Dordrecht, The Netherlands: Martinus Nijhoff Publishers. pp. 100–170.
6.Schultz, Myron (December 2008). "Photo Quiz: Theobald Smith". Emerg Infect Dis 14 (12): 1939. doi:10.3201/eid1412.081188. ISSN 1080-6059. http://www.cdc.gov/eid/content/14/12/1939.htm.
7.Beaver; Paul Chester, et al.. Clinical Parasitology. Philadelphia, Pennsylvania: Lea and Febiger. pp. 205–208.
8.Gelfand, Jeffrey A.; Vannier, Edouard. Harrison's Principles of Internal Medicine, 17e - Babesiosis. McGraw-Hill’s Access Medicine. pp. Chap 204.
9.Babesiosis National Institute of Allergy and Infectious Diseases, National Institutes of Health.
10.Karbowiak G (2004). "Zoonotic reservoir of Babesia microti in Poland". Pol. J. Microbiol. 53 Suppl: 61–5.
11.Telford SR, Spielman A (1993). "Reservoir competence of white-footed mice for Babesia microti". J. Med. Entomol. 30 (1): 223–7.
12.Lux JZ, Weiss D, Linden JV, et al. (2003). "Transfusion-associated babesiosis after heart transplant". Emerging Infect. Dis. 9 (1): 116–9.
13.Herwaldt BL, Cacciò S, Gherlinzoni F, et al. (2003). "Molecular characterization of a non-Babesia divergens organism causing zoonotic babesiosis in Europe". Emerging Infect. Dis. 9 (8): 942–8.
14.Krause PJ, Lepore T, Sikand VK, et al. (2000). "Atovaquone and azithromycin for the treatment of babesiosis". N. Engl. J. Med. 343 (20): 1454–8.
15.Herwaldt BL, Persing DH, Précigout EA, et al. (1996). "A fatal case of babesiosis in Missouri: Identification of another piroplasm that infect humans". Annals of Internal Medicine 124 (7): 643–650.
16.Hunfeld KP, Hildebrandt A, Gray JS (2008). "Babesiosis: Recent insights into an ancient disease". Int J Parasitol 38 (11): 1219–37.
17.AJ Giannini, HR Black , RL Goettsche. The Psychiatric, Psychogenic and Somatopsychic Disorders Handbook. Garden City, NY. Medical Examination Publishing Co., 1978. ISBN 0-87488-596-5.
18.Belluck, Pam (2009). "Tick-Borne Illnesses Have Nantucket Considering Some Deer-Based Solutions". New York Times. http://www.nytimes.com.
19."When to Suspect and How to Monitor Babesiosis". American Family Physician (American Academny of Family Physicians). May 15, 2001. http://www.aafp.org/afp/20010515/1969.html. Retrieved September 6, 2009. (Am Fam Physician 2001;63:1969-74,1976.)
20.Division of Parasitic Diseases, National Center for Zoonotic, Vector-Borne, and Enteric Diseases (May 5, 2009). "Babesiosis Fact Sheet". Centers for Disease Control and Prevention. http://www.cdc.gov/babesiosis/factsheet.html. Retrieved September 6, 2009.
21.Kim JY, Cho SH, Joo HN, et al. (2007). "First case of human babesiosis in Korea: detection and characterization of a novel type of Babesia sp. (KO1) similar to ovine babesia". J. Clin. Microbiol. 45 (6): 2084–7.
22.Noskoviak K, Broome E. (2008). "Images in clinical medicine. Babesiosis". N Engl J Med. 358 (17).
23.Wormser GP, Dattwyler RJ, Shapiro ED, et al. (2006). "The clinical assessment, treatment, and prevention of lyme disease, human granulocytic anaplasmosis, and babesiosis: clinical practice guidelines by the Infectious Diseases Society of America". Clin. Infect. Dis. 43 (9): 1089–134.
24.Krause PJ (2003). "Babesiosis diagnosis and treatment". Vector Borne Zoonotic Dis. 3 (1): 45–51.
25.Krause PJ, Telford SR, Ryan R, et al. (1994). "Diagnosis of babesiosis: evaluation of a serologic test for the detection of Babesia microti antibody". J. Infect. Dis. 169 (4): 923–6.
26.Persing DH, Mathiesen D, Marshall WF, et al. (1992). "Detection of Babesia microti by polymerase chain reaction". J. Clin. Microbiol. 30 (8): 2097–103.
27.Krause PJ, Telford S, Spielman A, et al. (1996). "Comparison of PCR with blood smear and inoculation of small animals for diagnosis of Babesia microti parasitemia". J. Clin. Microbiol. 34 (11): 2791–4.
28.Setty S, Khalil Z, Schori P, Azar M, Ferrieri P (2003). "Babesiosis. Two atypical cases from Minnesota and a review". Am. J. Clin. Pathol. 120 (4): 554–9.
29.Krause P, Lepore T, Sikand V, Gadbaw J, Burke G, Telford S, Brassard P, Pearl D, Azlanzadeh J, Christianson D, McGrath D, Spielman A (2000). "Atovaquone and azithromycin for the treatment of babesiosis". N Engl J Med 343 (20): 1454–8.