Trong thực hành lâm sàng bệnh ký sinh trùng hoặc da liễu thực hành gần đây hay gặp các bệnh nhân đến khám với triệu chứng ngứa, khó chịu và cảm giác tê tê, châm chích trên vùng da mặt, hoặc kèm theo cả vùng nang lông, chân tóc và tuyến bã nhờn trên vùng cổ, gáy và chân tóc. Khi xét nghiệm, các kỹ thuật viên đã phát hiện ra các động vật chân khớp li ti ký sinh trong nang nông, tuyến bã và trên vùng da nhờn. Nếu không hỏi bệnh kỹ và khu trú theo kinh nghiệm lâm sàng sẽ dẫn đến chỉ định “tràn lan” vô số xét nghiệm không cần thiết và có thể dẫn đến điều trị bao vây.
Theo các nhà nghiên cứu, loài Demodex spp. có người gọi là ký sinh trùng động vật chân khớp, chân đốt, hay rận ve, ngoại ký sinh trùng. Về phân loại khoa học, Demodex spp. thuộc giới Animalia, ngành Arthropoda, ngành phụ Chelicerata, lớp Arachnida, bộ Trombidiformes, họ Demodicidae, giống Demodex (Owen, 1843). Đến nay, các nhà khoa học phát hiện và định loài có ít nhất 65 loài Demodex spp., Trong đó đáng chú ý các loàiDemodex aries, Demodex aurati, Demodex brevis, Demodex bovis, Demodex canis, Demodex caprae, Demodex caballi, Demodex cati, Demodex conicus, Demodex cornei, Demodex criceti, Demodex cyonis, Demodex equi, Demodex folliculorum, Demodex foveolator,Demodex gapperi, Demodex gatoi, Demodex huttereri, Demodex injai, Demodex leucogasteri, Demodex microti, Demodex ovis, Demodex phyloides, Demodex ponderosus, Demodex vibrissae, Demodex zalophi. Trong đó, hai loài Demodex brevis và Demodex folliculorum gây ảnh hưởng sức khỏe con người.

Hình 1
Thông thường khi các loài ký sinh trùng hay côn trùng này có mặt trên da không gây hại với cơ thể người và có lẽ bất kỳ ai đang sống cũng có thể có chúng ở trên mặt mình với mật độ ít nhiều khác nhau, khi đủ nhiều chúng có thể gây ra các triệu chứng khó chịu mà các thầy thuốc hay gặp trên lâm sàng.Điều đầu tiên là bạn không nhìn thấy chúng bằng mắt thường, vì có như vậy thì chúng mới có thể sống “thoải mái và tự do” trên da mặt của mỗi người. Nhưng thực ra nếu "cố gắng", với sự trợ giúp của kính lúp hoặc kính hiển vi, bạn có thể thấy loài này có hình dạng như giun hoặc sâu này đang bò dưới lớp da của mình.
Như trên có đề cập, hai loài hay thích sống trên mặt người là Demodex folliculorum (D. folliculorum) và D. brevis (cùng gọi Demodex spp.). Tuy có vẻ ngoài giống sâu, nhưng chúng thực sự là những loài côn trùng. Cấu tạo của Demodex spp. gồm phần đầu với 8 cái chân ngắn và mập chia đều ra 2 bên, phần thân và đuôi có kích thước bằng nhau và kéo dài thành một đoạn lớn khiến chúng nhìn giống như con sâu. Nhưng do sự bất đối xứng quá lớn như vậy nên Demodex spp. di chuyển rất chậm. Dưới kính hiển vi, Demodex spp. trông như đang bơi trong các "bể" dầu mỡ nằm dưới lớp da con người.
2 loài Demodex spp. này được phân biệt chủ yếu qua vị trí ký sinh sống gởi. Loài D. folliculorum thường thích ngụ cư gần bề mặt da, trong các lỗ chân lông hoặc chân tóc. Còn D. brevis sống ở lớp sâu hơn, phía dưới biểu bì của da, bên trong tuyến nhờn bao quanh chân lông của người. So với các phần khác của cơ thể, lỗ chân lông ở mặt người có kích thước rộng hơn và cũng có nhiều tuyến nhờn. Đó cũng là lý do mà rận Demodex spp. ưa ký sinh tại đây hơn các vùng khác. Tuy nhiên, vì một số lý do "nhạy cảm" nào đó, Demodex spp. cũng được tìm thấy quanh vòng một của phụ nữ cũng như khu vực bẹn mu.
Trên thực tế giới khoa học đã biết đến Demodex spp. từ khá lâu:
Năm 1842, loài D. folliculorum được phát hiện có trong ráy tai người tại nước Pháp. Song chúng không được nghiên cứu kỹ cho tới tận bây giờ;
Năm 2014, các nhà nghiên cứu thuộc ĐH Bang Bắc Carolina (Mỹ) mới tìm hiểu về loài này. Trong số tất cả người được nghiên cứu, có tới 14% số họ có thể tìm thấy được loài rận trên sống trên da mặt. Toàn bộ những người còn lại đều có dấu vết DNA của Demodex spp. sau khi chúng đã chết!

Hình 2. Dưới mỗi chân lông mi có thể là một con rận Demodex spp.
Điều này dẫn tới nghi vấn rằng bất kỳ ai trong chúng ta cũng đều có rận Demodex spp., nếu không muốn nói chúng có số lượng rất lớn trên cơ thể mỗi người. Megan Thoemmes, người đứng đầu nhóm nghiên cứu, cho biết rằng vẫn hơi khó để có thể xác định chính xác số lượng nhưng một quần thể rận nhỏ có thể lên tới hàng trăm con. Một quần thể cỡ lớn có thể lên đến hàng ngàn con. Nói theo cách khác, có thể dưới mỗi chân lông mi của bạn đều có một con rận bơi trong đó.
Lẽ tất nhiên, sẽ có những nơi bị nhiều rận hơn người khác và ngược lại. Cũng có thể trên cùng một người nhưng phần mặt bên trái sẽ có nhiều hơn bên phải hoặc ngược lại. Song các nhà nghiên cứu chưa giải đáp được câu hỏi - loài rận này tìm kiếm gì trên mặt của chúng ta? Trên thực tế, chúng ta cũng chưa xác định rõ được khẩu phần của Demodex spp. là gì. Vài người cho rằng chúng ăn những vi khuẩn thường sống trên da chúng ta. Số tác giả khác lại nghĩ chúng ăn các tế bào chết trên da theo thời gian. Một số người nữa cho rằng chúng ăn những chất dầu sinh ra từ tuyến nhờn. Hiện nay, tác giả Thoemmes và cộng sự đang phân tích các mẫu vi sinh vật có trong ruột của Demodex spp., từ những sinh vật được phát hiện này có thể giúp hình dung ra loài rận này tiêu thụ cái gì trên mặt chúng ta.
Sự sinh sản của loài rận này cũng là một vấn đề đáng quan tâm. Mặc dù đến nay, Demodex spp. được xem là vô hại nhưng chắc hẳn không ít người muốn loại bỏ chúng bởi các triệu chứng khó chịu, làm ảnh hưởng sinh hoạt, thẩm mỹ. Thế nên Demodex spp. sinh sản như thế nào cũng là điều cần tìm hiểu. Xét tới các loài rận khác, cách thức sinh sản của chúng rất đa dạng, từ quan hệ kiểu truyền thống cho đến loạn luân và ăn thịt bạn tình đều có đủ. Nhưng loài Demodex spp. có vẻ lành tính hơn hẳn. Chưa có ghi nhận nào cho việc chúng ăn thịt con khác. Có vẻ là chúng chỉ rời tổ vào ban đêm để tìm bạn tình và quay trở về sau ấy- Thoemmes nhận xét. Song, nhóm các nghiên cứu biết rõ về việc đẻ trứng của Demodex spp. Cụ thể các con Demodex spp. cái đẻ trứng ngay trong cái lỗ chân lông mà chúng đang ở. Demodex spp. không đẻ nhiều, gần như chỉ có một trứng cho một lần đẻ, trứng của chúng thực sự lớn, từ 1/3 cho đến 1/2 kích thước cơ thể chúng, điều đó sẽ đòi hỏi chúng phải bồi bổ lại cơ thể rất nhiều. Trứng của chúng lớn đến nỗi chúng gần như chỉ đẻ được một trứng tại một thời điểm.
Loài rận Demodex spp. này có một điểm rất kỳ lạ rằng chúng không có hậu môn. Vậy chúng "ngũ cốc luân hồi" như thế nào? Tất nhiên, chúng vẫn cần phải "xả ra ngoài", song theo một cách rất kịch tính là rận Demodex spp. nổ tung sau khi chết. Dường như loài vật này tích trữ các chất thải trong suốt cuộc đời của mình, vì vậy mà chúng có phần thân và đuôi dài như giun. Sau khi quá trình trao đổi vật chất trong cơ thể đã ngưng, cơ thể Demodex spp. bị khô đi và mọi chất thải của chúng vương vãi ra xung quanh. Cụm từ "nổ tung" có thể hơi cường điệu hoá song rõ ràng lúc chết, phân của loài này nằm rải rác trên da mặt bệnh nhân.

Hình 3
Đã từng có những nghiên cứu cho thấy mối quan hệ giữa rận Demodex spp. và bệnh mụn trứng cá đỏ và viêm da dầu. Cụ thể là một số người ban đầu bị ửng đỏ mặt, sau đấy chuyển sang trình trạng mạn tính, xuất hiện các nốt đỏ đậm hơn và trở nên nhạy cảm với sự thay đổi nhiệt độ môi trường. Các nghiên cứu trên phát hiện ra rằng ở những người bị chứng này thường có nhiều rận Demodex spp. hơn người bình thường. Ví dụ thay vì chỉ có 1-2 con/cm2 thì ở họ lên tới 10-20 con/cm2. Song điều đó không có nghĩa rằng chúng là tác nhân gây ra trứng cá đỏ. Số lượng rận Demodex spp. có thể chỉ là hệ quả của bệnh.
Kevin Kavanagh đang công tác tại ĐH Maynooth, Ireland nhận định rằng những con rận có liên quan tới chứng trứng cá đỏ, nhưng chúng không phải là nguyên nhân. Trong nghiên cứu của ông hồi 2012, Kavanagh kết luận nguyên nhân của sự gia tăng "dân số" Demodex spp. đến từ sự thay đổi của da người. Cụ thể, da chúng ta thay đổi theo thời gian, cũng như điều kiện sinh hoạt và môi trường sống. Các tác động này khiến cho tuyến nhờn bên dưới da chúng ta tiết ra nhiều chất nhờn dạng béo hơn, nhằm giữ cho da luôn ẩm và rất có thể Demodex spp. ăn các chất nhờn trên, nên nếu tuyến nhờn tiết ra càng nhiều thì chúng càng có nhiều thức ăn hơn và Kết quả là mật độ Demodex spp. tăng nhanh. Kavanagh mô tả hiệntượng này dẫn tới tình trạng sưng tấy trên khuôn mặt chúng ta, vì khi đó có quá nhiều rận sinh ra. Khi đám rận chết đi, chúng giải phóng các chất có trong cơ thể mình. Những thứ đó có chứa nhiều vi khuẩn cùng độc chất dẫn tới việc gây ngứa và viêm nhiễm tại chỗ. Nhưng việc Demodex spp. chết đi có lẽ liên quan tới hệ miễn dịch của cơ thể hơn. Thoemmes cho biết ở những bệnh nhân có hệ miễn dịch bị suy yếu như người bị HIV/AIDS hoặc ung thư, đái tháo đường nặng, số lượng Demodex spp. trở nên tăng đáng kể. Đám Demodex spp. ị nổ tung vì cơ thể bạn có phản ứng miễn dịch với thứ gì đó có trên chúng.Trứng cá đỏ chỉ là một phản ứng. Khi hệ miễn dịch suy yếu, những phản ứng như thế không còn nhiều nên Demodex spp. phát triển nhanh chóng.
Trên thực tế, mối quan hệ giữa người và Demodex spp. vẫn chưa hoàn toàn được làm rõ. Ký sinh hay cộng sinh vẫn là câu hỏi chưa được giải đáp (!). Mặc dù Demodex spp. có liên hệ với bệnh trứng cá đỏ, song không phải ai cũng bị bệnh trên và với người bị HIV/AIDS hay đang ung thư, họ cũng dễ dàng bị các bệnh khác đến từ sự suy yếu của hệ miễn dịch. Điều đáng nói là dù Demodex spp. có mặt ở hầu hết mọi người, nhưng chúng ta hầu như không cảm thấy khó chịu gì về chúng. Nếu giả thuyết rằng Demodex spp. có ăn vi khuẩn sống trên da hoặc tế bào chết ngoài thực đơn chất béo ra là đúng thì rõ ràng chúng có ích cho cơ thể con người. Hãy hình dung tới các công nhân vệ sinh đang "cần mẫn" lau dọn văn phòng của bạn, rận Demodex spp. rất có thể đang thực hiện vai trò đấy.

Hình 4
Mặc dù có một số phương pháp để loại bỏ Demodex spp. nhưng chúng vẫn tái xuất hiện trở lại. Khoảng thời gian kéo dài khoảng 6 tuần và nguồn lây nhiễm tất nhiên là từ những đồ vật xung quanh ta, những người sống quanh ta. Chúng ta bị lây chúng từ những người mà chúng ta có tiếp xúc, từ chăn chiếu, gối ôm, khăn tắm, có những bằng chứng rõ ràng về việc chúng ta trao đổi chúng qua lại giữa từng người - Kavanagh cho hay. Demodex spp. có ái tính với khuôn mặt của người. Dù lây nhiễm thế nào, chúng cũng luôn tìm cách bò lên trên mặt. Việc loài rận này xuất hiện ở khu vực vòng một của phụ nữ cũng có thể là cách để chúng lây nhiễm lên các đứa trẻ sơ sinh, khi bà mẹ cho con bú có áp thân mình của mẹ với trẻ. Quan hệ tình dục giữa người với người cũng là một con đường phơi nhiễm tốt cho Demodex spp. lây nhiễm và tiếp tục phác triển.
Đặc biệt khi con người già đi, số lượng Demodex spp. ngày càng nhiều hơn (như trên đã giải thích). Nghiên cứu của Thoemmes cho thấy hoạt động của Demodex spp. ở những người trên 18 tuổi nhiều hơn hẳn các nhóm thiếu niên. Rất có thể vì hoạt động của tuyến bả nhờn hoặc sự thay đổi của da mặt theo tuổi tác đã kích thích quần thể Demodex spp. tăng trưởng. Nhưng hơn hết, loài này có nguồn gốc từ đâu? Lẽ tất nhiên chúng không tự sinh ra trên mặt của chúng ta mà lây từ người khác. Vậy đâu là cái gốc? Vẫn còn quá ít thông tin để có câu trả lời chính xác, nhưng dường như Demodex spp. đã đi cùng với sự tiến hoá của nhân loại. Có thể đã xuất hiện với con người kể từ khi chúng ta tiến hoá từ các tổ tiên, tức là Demodex spp. đã đồng hành với nhân loại ít nhất 20.000 năm qua.
Nhưng cũng có khả năng con người đã bị lây giống D. brevis từ một loài tương tự sống trên chó. Khi nhân loại đồng hoá chó hoang thành chó nhà mà đặc biệt là sói, có lẽ sự trao đổi đã diễn ra. Tổ tiên chúng ta đã sống gần gũi với chúng, để săn bắn và kiếm ăn và bị nhiễm từ đấy - Thoemmes nhận xét. Dù là cách nào, thì mối quan hệ giữa con người và Demodex spp. là rất lâu đời. Theo Thoemmes, Demodex spp. có thể giúp tìm hiểu quá trình di trú của nhân loại trong hàng ngàn năm qua. Khi quan sát các mẫu DNA của đám rận Demodex spp., Thoemmes phát hiện nhóm rận thu được ở cộng đồng người Hoa khác hẳn với cộng đồng người ở Bắc Mỹ và Nam Mỹ. Chi tiết này cho thấy nghiên cứu về rận Demodex spp. có thể cung cấp thêm thông tin về lịch sử của loài người.
Thoemmes còn nhận xét rằng chúng ta có thể hình dung ra các mối quan hệ trong cộng đồng loài người. Những mối quan hệ mà trước đây chúng ta chưa từng nghĩ tới, chẳng hạn quá trình thực dân hoá Trung Mỹ và Nam Mỹ, dòng người nào chiếm vai trò chính. Có rất nhiều giả thuyết khác nhau về cộng đồng người nào đã thực dân hoá Brazil và lai tạo với dân bản địa. Cũng còn khá nhiều điều khác để nghiên cứu về loài Demodex spp. Ví dụ, chúng đã biến đổi thế nào khi lây qua người, hoặc con người đã thay đổi ra sao kể từ khi có chúng thích nghi và tồn tại. Tất nhiên, không hẳn thắc mắc hoặc giả thuyết nào cũng có thể đúng. Nhưng sau cùng, Demodex spp. chỉ là một trong số hàng trăm loài ký sinh trùng khác có trên cơ thể con người như ve, bọ chét, vi khuẩn, giun sán. Điều này nói lên một bài học khác về cơ thể người, cơ thể đơn giản biết di chuyển, là một phần của cộng đồng người và cũng là một quần xã với hàng trăm loài khác cùng chia sẻ cơ thể ấy.
Điều trị và quản lý viêm da do Demodex spp. có phải khó không?
Trên các diễn đàn y khoa đang chia sẻ thông tin cũng như về cách trị bệnh viêm da do Demodex spp. Tuy nhiên, cần thận trọng và chắt lọc thông tin một cách khoa học và có cơ sở dựa trên y học chứng cứ. Tài liệu mô tả viêm da Demodex spp. là loại gây nên bởi một loại động vật chân khớp, ký sinh tạm thời ở nang lông, tuyến bã ở người và súc vật. Demodex spp. trở thành tác nhân gây bệnh khi tập trung với số lượng lớn trên vảy da, nang lông. Bệnh viêm da do Demodex spp. đã được y văn trên thế giới đề cập từ khá lâu, từ thập niên 50 của thế kỷ 20. Năm 1840, Tulk là người đầu tiên công bố Demodex spp. ký sinh ở chó. D. folliculorum được mô tả bởi Berger năm 1842 và D. brevis đã tìm được trên da người năm 1963. Demodex spp. thuộc họ ve mạt, sống ký sinh trong nang lông hoặc vùng gần nang lông trên người và thú.

Hình 5
Demodex spp. làm tắc nghẽn các bọc nang và ống dẫn tuyến bã nhờn làm tăng sản biểu mô, xác và chất thải của Demodex spp. có thể gây ra phản ứng dị ứng. Các loại tổn thương do Demodex spp. gây ra các đám đỏ da, mụn mủ nếu có bộ nhiễm vi khuẩn, sẩn đỏ, giãn mạch, có thể gây rụng lông mày, lông mi, rụng tóc, viêm bờ mi và ngứa, rát vùng tổn thương. Thường gặp ở những người sử dụng thuốc, chế phẩm hoặc mỹ phẩm chứa corticoids dài ngày. Thời gian gần đây tình trạng phụ nữ hay một số nam giới dùng mỹ phẩm, chất dưỡng da trôi nổi, không rõ xuất xứ làm trắng da, trị nám hoặc trị mụn trứng cá trở nên phổ biến. Thành phần chính của các mỹ phẩm này là corticoids dẫn đến teo da, dãn mạch, phát ban dạng trứng cá và bệnh viêm da do Demodex spp. Do vậy, các bệnh nhân viêm da Demodex spp. thường đi khám với triệu chứng không đặc hiệu như ngứa mặt kèm theo đỏ da, vẩy da, mụn mủ ở nang lông, viêm da quanh miệng, viêm bờ mi, viêm da dầu hoặc dạng trứng cá đỏ. Do vậy, nhiều bệnh nhân có sự nhìn nhận không đúng về bệnh của mình?
Các nghiên cứu đã phát hiện trong điều trị viêm da Demodex spp. rằng khi những người sử dụng thuốc hoặc mỹ phẩm chứa corticoids dài ngày với mục đích trị nám da hoặc trị mụn trứng cá mà trong thành phần chính của các mỹ phẩm này là corticoids. Đây chính là hiện tượng dị ứng mỹ phẩm do bị corticoides làm hỏng da, làm mất khả năng miễn dịch trên da, nên các vi khuẩn có điều kiện xâm nhập vào da dễ dàng và mụn trứng cá hình thành và nặng hơn, mất khả năng miễn dịch thì lớp da yếu mỏng thì da sẽ có phản ứng tự vệ khi dừng đó là đỏ sần da khô, nổi mụn rôm. Người ta đem soi da của các bạn bảo là viêm da do có con Demodex spp.
Nếu đúng là do nguyên nhân Demodex spp. gây ra điều trị nó quá đơn giản vì các yếu tố nguy cơ và yếu tố liên quan làm dễ dẫn đến giải quyết bài toán các chế phẩm có chứa trong thành phần corticoides chứ không đi giải quyết tác nhân ký sinh trùng Demodex spp. Việc điều trị khi đó cần dừng các chế phẩm và mỹ phẩm đang điều trị nám da, dưỡng da và diệt Demodex spp. đồng thời sẽ mang lại kết quả hồi phục bề mặt và lớp thượng bì của cấu trúc da như bình thường và sạch Demodex spp., tránh tái phát.
Lý thuyết và các giả thuyết khoa học cần phải kiểm chứng bằng y học chứng cứ.Demodex spp. là một loại ký sinh trùng thuộc ngành động vật chân khớp, kích thước nhỏ với khoảng 65 loài khác nhau. Ký sinh trùng có tên Demodex spp. ký sinh chủ yếu ở nang lông của những vùng da dầu như trán, gò má, hai bên cánh mũi, lông mày, lông mi, lông nách, hoặc ở các vùng kín.
Trong số 65 loài thì có ít nhất là 2 loài Demodex spp. ký sinh trên da người tại nang lông, chân tóc và tuyến bã. Chu kỳ sinh học và phát triển của Demodex spp. bao gồm 5 giai đoạn: Trứng, ấu trùng, tiền nhộng, nhộng và phát triển thành con trưởng thành. Từ giai đoạn trứng tới tiền nhộng là 3-4 ngày và từ nhộng phát triển thành Demodex spp. trưởng thành là 7 ngày. Demodex spp. thường sống thành từng đôi, ký sinh trên vật chủ với vòng đời từ 18-24 ngày trên vật chủ. Sau khi giao phối, chúng lẩn sâu và trong da và đẻ trứng tại nang lông và tuyến bã, mang theo vi khuẩn, bài tiết chất thải, và chết ở trong da ngay sau đẻ trứng. Sau khi Demodex spp. chết, xác của chúng hóa lỏng, phân hủy trong da từ đó gây phản ứng dị ứng trên da, đốm đỏ. Viêm da, dị ứng da tại chỗ, nổi ban đỏ, sẩn và mụn mủ là phản ứng của hệ thống miễn dịch và phản ứng viêm tại chỗ. Con cái Demodex spp. thường đẻ 20-24 trứng trong nang tóc.
Các dấu hiệu viêm da Demodex spp. thường thấy tại vùng da mặt, người ở độ tuổi trung niên là đối tượng hay mắc bệnh, nhất là khi hệ thống miễn dịch bị suy yếu thì Demodex spp. nhanh chóng tăng sinh về số lượng và khi đó gây ra tình trạng viêm nhiễm tại chỗ và mau chóng lan rộng. Bệnh này có thể lây qua tiếp xúc trực tiếp hoặc cũng có thể do bụi chứa trứng bám da vào da hoặc sử dụng chung đồ dùng. Nếu da tiết nhiều bã nhờn, da mặt bẩn, có vết thương, ở môi trường độ ẩm cao, kích ứng mỹ phẩm là các điều kiện thuận lợi để bệnh phát triển và nhanh chóng lan rộng. Demodex spp. có thể ký sinh mọi nơi trên cơ thể, đặc biệt là ở các vị trí có nang lông và tuyến bã như hai bên cánh mũi, cánh mũi, trán, cằm và má. Những vị trí này là nơi có điều kiện thích hợp để chúng sống, sinh sản và phát triển. Loài D. folliculorum thường ký sinh ở chân lông mi và có thể đó là lý do dẫn tới viêm, ngứa và nhiễm khuẩn mi mắt, có thể dẫn đến rụng lông mi. Nếu bị nhiễm khuẩn chân tóc sẽ có biểu hiện ngứa da đầu.
Demodex spp. khi sống bên trong các tuyến bã nhờn và nang lông, sau khi giao phối chúng đào hang trên da, đẻ trứng, khiến da bị viêm nhiễm. Trong chu kỳ phát triển, loại ký sinh trùng này phá hủy lớp da tại nơi chúng ký sinh hoặc các vị trí da hay bài tiết chất nhờn để tại đó chúng đẻ trứng rồi chết đi. Sau khi chết, xác Demodex spp. biến thành chất lỏng và phân hủy bên trong da tạo ra phản ứng kích ứng ngứa da, viêm da do Demodex spp.
Viêm da Demodex spp. có biểu hiện đa dạng: ký sinh trùng Demodex spp. có thể tồn tại trên da của người khỏe mà không có biểu hiện lâm sàng. Đa số bệnh nhân bị bỏ sót không được chẩn đoán viêm da do Demodex spp. gây nên mà thường chẩn đoán nhầm thành bệnh viêm da tiếp xúc, nấm da hoặc trứng cá đỏ, viêm da quanh miệng. Tổn thương viêm da do Demodex spp. thường gặp ở vùng mặt nên ảnh hưởng lớn đến khía cạnh thẩm mỹ và chất lượng cuộc sống bệnh nhân, nhất là phụ nữ. Nếu bệnh nhân có một số lượng lớn Demodex spp. ký sinh trên da, nang lông hay khi cơ thể suy giảm miễn dịch chúng sẽ gây bệnh.
Vì vùng miệng của Demodex spp. rất sắc nên chúng có thể cắn đốt trong tế bào hút chất dinh dưỡng của cơ thể, ăn các tế bào chết, chất dầu có trong bã nhờn tiết ra từ những tuyến dầu bề mặt da, tốc độ di chuyển của Demodex spp. chậm với vận tốc khoảng 8-16 cm/ giờ và thích hợp trong môi trường ấm, ẩm và chúng thường hoạt động mạnh vào ban đêm. Viêm da demodex có 3 thể bệnh:
(i)Thể viêm nang lông dạng vảy phấn là thể nhẹ nhất với các biểu hiện xuất hiện các đám da đỏ, bề mặt có vảy da, dày sừng nang lông, có cảm giác như kiến bò trên da;
(ii) Thể viêm dạng trứng cá do Demodex spp.;
(iii) Thể trứng cá đỏ dạng u hạt, thường gặp ở người bị suy giảm miễn dịch (HIV/AIDS, lao, đái tháo đường, suy thận mạn tính, đang điều trị thuốc ung thư,…).
Tổn thương do ký sinh trùng Demodex spp. gây ra là các đám đỏ da, nổi mụn mủ, sẩn đỏ, giãn mạch trên da, có thể gây rụng lông mày, lông mi, viêm bờ mi, rụng tóc, ngứa như kiến bò trên da, rát tại vùng da tổn thương. Nếu ở độ tuổi thành niên thường bị chẩn đoán nhầm thành mụn trứng cá. Nếu viêm nhiều lần và nặng thường khiến da mặt thô ráp và thô ráp, xấu.
Khi điều trị viêm da Demodex spp. việc đầu tiên là phải diệt ký sinh trùng này càng sớm càng tốt và chống bội nhiễm trên da. Sau khi đã loại bỏ được Demodex spp. thì tình trạng nhiễm khuẩn trên da sẽ ngừng lại, vết thương lành hẳn, lỗ chân lông thu hẹp, giảm tiết chất dầu. Để điều trị viêm da Demodex spp., thầy thuốc có thể chỉ định bôi thuốc mỡ hoặc gel metronidazole kèm theo đó là uống metronidazole hay ivermectin sẽ giảm nhanh triệu chứng viêm da Demodex spp. cho bệnh nhân. Bệnh nhân nên thoa thuốc tại lông mi vào ban đêm để tránh hiện tượng đào hầm, đẻ trứng hay loại ký sinh trùng ra khỏi vùng nhiễm nang lông vì loài ký sinh trùng này ăn, ngủ, giao phối và chết trên da mặt người.
Việc phòng bệnh viêm da do Demodex spp. rất quan trọng vì loại ký sinh trùng này rất dễ lây lan từ người này sang người khác. Vì thế, bệnh nhân nên nên vệ sinh da mặt nhiều lần hàng ngày; định kỳ tẩy tế bào chết để loại bỏ nơi trú ngụ và thức ăn của Demodex spp. Bệnh nhân chỉ cần chăm sóc tại nhà, gồm lau rửa mí mắt 2 lần mỗi ngày và dùng thuốc mỡ kháng sinh metronidazole vào ban đêm cho tới khi hết các triệu chứng. Gội đầu mỗi ngày bằng dầu gội chuyên dụng nếu có viêm chân tóc và nang lông do Demodex spp. được xác định. Thường xuyên giặt khăn, ga trải giường, vỏ gối. Hạn chế tiếp xúc với bệnh nhân như bắt tay, sử dụng chung quần áo hay ôm, hôn nhau khi đang mắc bệnh.
Demodex folliculorum (D. folliculorum) và Demodex brevis (D. brevis) là hai loài rận chuyên ký sinh trên da mặt người, có hình dáng giống sâu nhưng thực chất là loài giáp xác như cua. Demodex spp. có 8 chân ngắn mập mạp, mọc gần đầu. Cơ thể chúng thon dài, giống con sâu. Quan sát dưới kính hiển vi cho thấy, khi di chuyển, chúng như bơi qua bể dầu là các tuyến bã nhờn, với tốc độ trung bình. Hai loài này phân biệt nhờ khu vực sống. D. folliculorum thích sống ở bề mặt da như chân lông và nang tóc, còn D. brevis thích sống ở sâu dưới lớp biểu bì, trong tuyến nhờn bao quanh lỗ chân lông. So với các bộ phận khác trên cơ thể, da mặt có lỗ chân lông rộng và nhiều tuyến bã nhờn hơn. Đó là lý do Demodex spp. thích sống ở đó. Tuy nhiên, chúng cũng ngụ cư ở một vài khu vực khác như ngực và bộ phận sinh dục.

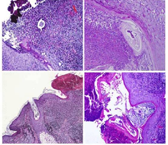
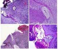
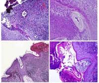
Hình 7. Sinh thiết da niêm mạc một số Demodex spp. có thể nhìn thấy trong vùng thâm nhiễm:
ảnh trên bên (T) là hình ảnh cắt ngang ký sinh trùng;
ảnh trên bên (P) Demodex spp. trong nang lông có nhiều bã nhờn.
Nhiễm trùng Demodex spp. liên quan đến rối loạn da mạn tính
Các nhà khoa học phát hiện ký sinh trùng Demodex spp. liên quan đến chứng rối loạn da mạn tính mụn trứng cá đỏ. Người bệnh ban đầu biểu hiện mặt ửng đỏ, sau đó xuất hiện nhiều nốt đỏ đậm hơn, cảm giác ngứa khó chịu. Trên da mặt người bệnh có số lượng Demodex spp. lên tới 10-20 con/cm2, gấp hàng chục lần so với người bình thường là chỉ 1-2 con/ cm2. Tuy nhiên, Demodex spp. không phải lúc nào cũng là nguyên nhân gây bệnh. Một số nghiên cứu cho thấy có liên quan tới chứng rối loạn da mạn tính, nhưng không phải nguyên nhân gây bệnh (Kevin Kavanagh, 2012). Da người thay đổi dần dần theo năm tháng, theo tuổi tác và thời tiết. Điều này khiến các tuyến bã nhờn sản xuất nhiều chất béo hơn, để giữ ẩm cho da. Demodex spp. ăn chất béo này, kết quả là dân số loài ký sinh trùng này tăng vọt.

Hình 8
Ngoài ra, có thể lượng vi khuẩn từ chất thải của Demodex spp. chết cũng là yếu tố tác động tới chứng rối loạn da. Khi Demodex spp. chết, chúng giải phóng các chất trong cơ thể, các chất này chứa vi khuẩn và độc tố gây kích ứng và viêm tấy da tại chỗ. Tuy nhiên, lượng Demodex spp. có liên quan tới hội chứng suy giảm miễn dịch ở người. Những người có hệ thống miễn dịch suy yếu, thường có lượng lớn loài Demodex spp. này sống trên da. Trên thực tế, loài ký sinh trùng này và con người có mối quan hệ hội sinh. Điều này có nghĩa là dù chúng ăn thứ gì đó trên cơ thể người, nhưng không gây hại cho người. Hoặc thậm chí, chúng còn có lợi cho người, khi ăn hết da chết hoặc vi khuẩn có hại cho da.
Mặc dù có nhiều liệu pháp đề nghị diệt trừ ký sinh tùng Demodex spp., nhưng việc loại bỏ triệt để là vấn đề rất khó khăn và nguy cơ tái nhiễm dễ dàng nếu bệnh nhân tiếp tục phơi nhiễm, thông thường Demodex spp. sẽ xuất hiện trở lại sau 6 tuần. Chúng ta lây Demodex spp. khi tiếp xúc với người khác hoặc từ chăn ga, gối đệm hay khăn tắm (Kavanagh và cs., 2013). Theo các nhà khoa học, có gì đó đặc biệt trên mặt người hấp dẫn Demodex spp. Ngay cả khi đã diệt trừ chúng, con người sẽ lại bị nhiễm, bởi vì chúng có mặt ở khắp nơi và thích sống trên mặt người. Con người có thể nhiễm Demodex spp. từ sớm. Đã có nghiên cứu phát hiện Demodex spp. trên mô vú người, nên loài Demodex spp. có thể lây từ mẹ sang trẻ khi bú hoặc trẻ nhiễm từ bộ phận sinh dục của mẹ lúc sinh.

Hình 9
Tác giả Theommes suy đoán có lẽ Demodex spp. xuất hiện từ 20.000 năm trước, cùng lúc với tổ tiên loài người. Từ lâu, con người đã có mối quan hệ gần gũi với chó nhà và chó sói. Tổ tiên con người sống gần gũi với chúng để đi săn và kết quả là bị lây rận từ chúng. D. brevis gần giống với những loài ký sinh trùng trên chó. Demodex spp. cũng giống như những loài động vật khác, có thể tiết lộ rất nhiều mối quan hệ giữa con người với chúng. Bộ gen của chúng chứa những thông tin về lịch sử loài người. Xét nghiệm ADN của Demodex spp. cho thấy dữ liệu bộ gen từ cộng đồng người Hoa khác hẳn với người Bắc và Nam Mỹ. Do đó, nghiên cứu về chúng sẽ giúp con người biết được cách tổ tiên di cư khắp hành tinh. Chúng ta cũng có thể tìm ra những chủng người, mà chúng ta chưa từng biết hoặc nhìn thấy trước đây. Ngoài ra, Demodex spp. còn giúp chúng ta quay ngược lại thời gian, tìm hiểu quá trình tiến hóa loài người. Chúng chắc chắn có ảnh hưởng đến chúng ta và ngược lại, chúng đã sống cùng con người thời gian rất dài, kết quả là thay đổi hệ miễn dịch của chúng ta. Do đó, nghiên cứu về loài rận này còn giúp chúng ta tìm hiểu cách con người phản ứng với bệnh tật.

Hình 10. So sánh hình ảnh dưới kính hiển vi theo kỹ thuật sinh thiết da chuẩn (standardized skin surface biopsy_SSSB)
với kỹ thuật cạo vảy ra (skin-scraping techniques_SST) cho thấy hình Demodex spp. dưới độ phòng đại x 40.
Một lần nữa, có thể hình dung cơ thể chúng ta không chỉ đơn giản là chính mình, mà là “nhà ở” của vô số loài ký sinh trùng khác như ve, bọ chét, vi khuẩn, giun sán. Demodex spp. là các ngoại ký sinh trùng sống hoại sinh ở trong nang lông và tuyến bã.
Đến nay, các nhà khoa học xác định chỉ có hai loại Demodex spp. được tìm thấy gây bệnh ở người gồm D. folliculorum và D. brevis. Vòng đời của chúng ở nang lông tuyến bã và ăn tế bào nang lông và chất bã. D. folliculorum thường gặp hơn D. brevis, chúng thường sống ở cổ nang lông, còn D. brevis sống ở tuyến bã và ống tuyến, nó sống sâu hơn. Cả hai loại Demodex spp. thường thấy ở mặt (rãnh mũi má, mũi, má, trán và mí mắt) và hiếm khi ở ngực và da đầu. D. follicurolum là ngoại ký sinh trùng thường gặp nhất ở người. Mật độ D. folliculorum ở trên da người khỏe mạnh thường < 5 con/cm2. D. folliculorum lây sang trẻ sơ sinh vài ngày sau khi sinh thông qua cho con bú hoặc tiếp xúc gần với mẹ đang nhiễm Demodex spp. Tuy nhiên, mật độ D. follicurolum vẫn thấp ở trẻ em do tuyến bã chưa phát triển và tỷ lệ tăng theo tuổi và có thể đạt 100% ở người già.
Người ta cho rằng sự gia tăng số lượng D. follicurolum hoặc nó xâm nhập vào trung bì gây ra bệnh. Các dạng lâm sàng điển hình nhiễm ký sinh trùng Demodex spp. gồm vảy phấn nang lông, viêm da và viêm da nặng do Demodex spp. giống trứng cá đỏ. Ngoài ra, nhiều dạng lâm sàng khác của nhiễm Demodex spp. đã được trình bày trong y văn gồm viêm nang lông có mủ, sẩn mủ da đầu, viêm da u hạt quanh miệng, viêm mi mắt, u hạt đơn độc, sẩn viêm da Demodex spp. ở mặt, gai nang lông ở mặt, những tổn thương giống viêm da dầu, sẩn ngứa không đặc hiệu ở mặt có hoặc không có ban đỏ, tổn thương dạng trứng cá và u hạt do Demodex spp.
Viêm da dầu là một bệnh viêm da nông mạn tính ở da. Bệnh đặc trưng đỏ da, vảy mỡ vàng, mỏng ở da đầu, mặt, ngực, lưng và nếp gấp, ở đó có nhiều tuyến bã nhờn. Bệnh chiếm 1-3% dân số. Mặc dù nhiều yếu tố nội sinh và ngoại sinh như hoạt động tăng tiết bã nhờn, nhiễm nấm Pityrosporum ovale, do dùng thuốc, bất thường về hệ thống miễn dịch, yếu tố di truyền, bệnh tâm thần kinh, căng thẳng tâm lý, chế độ ăn uống, yếu tố môi trường và lối sống đều có thể liên quan đến bệnh, nguyên nhân chính xác của viêm da dầu chưa rõ. Viêm da dầu biểu hiện tổn thương thường thấy ở da đầu, nếp mũi má, hai tai, lông mày và ngực vì ở đó tuyến bã rất nhiều. D. follicurolum cũng thường thấy ở nang lông ở má, mũi, trán, cằm, nếp mũi má và mí mắt ở đó chất bã nhờn tiết ra nhiều. Nghiên cứu trước đây có xem xét tầm quan trọng của D. follicurolum ở những bệnh nhân có các triệu chứng ở mặt không điển hình và thấy các dấu hiệu lâm sàng nổi bật do ký sinh trùng này gây ra, D. follicurolum cũng có thể gây ra đỏ da giống viêm da dầu tiết bả, tổn thương dạng vảy phấn và gợi ý rằng D. follicurolum có thể là một nguyên nhân viêm da tiết bả. Vì vậy, một số nghiên cứu kiểm tra số lượng và mật độ Demodex spp. ở vùng tổn thương và không tổn thương của bệnh nhân viêm da dầu so sánh kết quả với nhóm chứng.
Về phương pháp, nghiên cứu này bao gồm những bệnh nhân được chẩn đoán trước đó hoặc mới có biểu hiện viêm da tiết bã đến khám tại phòng khám da liễu trường ĐH Inonu năm 2006. Viêm da tiết bã được chẩn đoán lâm sàng. Bệnh nhân có những mảng lớn hoặc nhỏ màu đỏ, hồng, vàng nâu trên phủ vảy da mỏng, màu vàng mỡ ở vị trí da đầu, chân tóc, lông mày, lông mi, giữa hai lông mày, nếp mũi má, tai, ống tai ngoài hoặc kẽ vú như phân loại cổ điển viêm da tiết bã. Tổng số 38 bệnh nhân gồm 8 nữ (21,1%), 30 nam (78,9%), tuổi trung bình 36,71 ± 13,20, tuổi từ 16 đến 73. Viêm da tiết bã ở vị trí da đầu 37 bệnh nhân (97,3%), nếp mũi má 34 (89,4%), lông mày 24 (63,1%), vùng chẩm 20 (52,6%), ngực 19 (50%) và lông mi 7 (18,4%). Viêm da tiết bả có nhiều thương tổn cùng lúc. Các vị trí thường gặp nhất là da đầu và nếp mũi má. Nhóm chứng gồm 38 người khỏe mạnh, gồm 11 nữ (28,9%), 27 nam (71,1%), tuổi trung bình 55 ± 14,65, tuổi từ 20-67 hoặc là sinh viên y khoa hoặc nhân viên bệnh viện, có độ tuổi và giới phù hợp, không mắc bất kỳ bệnh nào khác và không dùng thuốc điều trị tại chỗ và toàn thân. Tiêu chuẩn loại trừ là tổn thương vùng kẽ, dưới 16 tuổi, mang thai hoặc cho con bú, điều trị corticosteroid hay ức chế miễn dịch toàn thân, xạ trị hoặc hóa trị liệu hoặc thuốc diệt ký sinh trùng tại chỗ trong giai đoạn nghiên cứu và sử dụng corticosteroid tại chỗ một tháng trước đó.
Mật độ của ký sinh trùng D. follicurolum được tính theo số lượng Demodex spp. có trong mỗi cm2 da, nếu có ≥ 5/cm2 là coi như bị tổn thương. Ở nhóm bệnh nhân mà mật độ D. follicurolum được kiểm tra cả hai vùng tổn thương (da đầu, lông mày, lông mi, vùng chẩm, nếp mũi má và ngực) và các vùng chuẩn ngẫu nhiên (trán, má, mũi, cằm và ngực). Ở nhóm chứng chỉ lấy mẫu ở vùng chuẩn ngẫu nhiên. Tìm D. follicurolum bằng phương pháp không xâm lấn là sinh thiết chuẩn bề mặt da (SSSB). Phương pháp SSSB là áp một mặt lam kính có gắn keo cyanoacrylate lên tổn thương trong 1 phút, sau đó gỡ ra. Quá trình này lấy đi phần đầu của nang lông tuyến bã, lớp sừng trên bề mặt chứa Demodex spp. Những vùng có lông như lông mi, lông mày và da đầu, nhổ ba sợi lông đặt lên lam kính, phủ glycerine và kiểm tra Demodex spp. dưới kính hiển vi quang học với độ phóng đại x40 và x100 thấy Demodex spp. trưởng thành dài 0,3-04 mm, có 4 đôi chân ngắn và dài ở phần trước cơ thể.

Hình 11
Phương pháp sinh thiết da chuẩn (SSSB) được coi là kỹ thuật chuẩn vàng để đánh giá Demodex spp. chẩn đoán bệnh. Dung dịch potassium hydroxide (KOH) chuẩn bị cho mẫu cạo vảy da là quy trình đơn giản sử dụng để phát hiện tác nhân trên lớp bề mặt nông của da. Mục đích là đánh giá độ tin cậy của xét nghiệm với dung dịch KoH so sánh với kỹ thuật sinh thiết chuẩn trong khả năng phát hiện Demodex spp., và thời gian thực hiện cũng như sự đnahs giá của xét nghiệm viên. Trong nghiên cứu 100 bệnh nhân ngoại trú có ban đỏ da ở mặt không rõ nguyên nhân. Kỹ thuật SSSB và soi tươi với dung dịch KoH với bệnh phẩm cạo vảy ra được thực hiện trên vùng má phải của các bệnh nhân. Kết quả cho thấy tính chính xác của phát hiện Demodex spp. bằng dung dịch KOH so sánh với kỹ thuật SSSB là 82%. Độ nhạy, độ đặc hiệu, giá trị dự kiến âm tính và giá trị dự kiến dương tính lần lượt 75%, 84,2%, 60% và 91,43%. Không có sự khác biệt có ý nghĩa thống kê giữa kỹ thuật chuẩn vàng với phương pháp cạo da (P = 0,238). Thời gian trung bình của kỹ thuật cao da ít hơn 6 lần 6 so với phương pháp SSSB chuẩn vàng.Để phiên giải kết quả, thời gian cho kỹ thuật cao da là mất 3,6 phút ít hơn nhiều so với kỹ thuật SSSB 9,8 phút. Ngoài ra, các kỹ thuật viên xét nghiệm thích làm kỹ thuật soi tươi vảy da hơn là sinh thiết da chuẩn.

Hình 12
Kết quả được so sánh với nhóm đối chứng. Sử dụng Test t để phân tích mẫu độc lập và hệ số Pearson.

Hình 13
Kết quả cho thấy D. folliculorum được tìm thấy trên 19 bệnh nhân (50%) và 5 người ở nhóm chứng (13,1%). Mật độ trung bình (đánh giá tổn thương và các vùng chuẩn ngẫu nhiên) là 8,16 ± 10,10/cm2 (trong khoản 0-40 ) ở nhóm bệnh nhân và 1,03 ± 2,17/cm2 (1-7) ở nhóm chứng. Số bệnh nhân tìm thấy D. folliculorum và mật độ trung bình D. folliculorum ở nhóm bệnh nhân cao hơn đáng kể so với nhóm chứng cả vùng tổn thương và không tổn thương (p = 0,001 cho cả hai). Khi chỉ đánh giá những vùng tổn thương ở nhóm bệnh nhân tìm thấy D. folliculorum 13 bệnh nhân (34,2%) và sự khác biệt giữa nhóm bệnh nhân và chứng một lần nữa có ý nghĩa (p = 0,031). Số lượng và mật độ D. folliculorum ở nhóm bệnh nhân và chứng được trình bày trong bảng.
Số lượng tổn thương tìm thấy D. folliculorum ở da đầu 5 (13,5%) , ở nếp mũi má 12 (31,6%), ở lông mày 2 (5,3%), ở lông mi 2 (5,3%), ở vùng sau tai 3 (7,9%) và ở ngực 0. Sử dụng mẫu ngẫu nhiên chuẩn lấy ở nhóm bệnh nhân, D. folliculorum được tìm thấy ở vùng má 17 (44,7%), ở trán 15 (39,5%), ở mũi 8 (23,7%) và ở cằm 7 (18.4%), ở ngực 0.
Bảng 1. Đếm số lượng D. folliculorum ở bệnh nhân viêm da dầu và nhóm chứng
| D. folliculorum > 5/cm2 n (%) | Mật độ trung bình D. folliculorum/cm2 |
Bệnh nhân cả tổn thương và vùng chuẩn | 19 (50) | 8,16 ± 10,1/cm2 (0-40) |
Bệnh nhân chỉ ở tổn thương | 13 (34,2) | |
Nhóm chứng | 5 (13,1) | 1,03 ± 2,17 (1-7) |
Bảng 2. Mật độ D. folliculorum (> 5/cm2) ở những vùng tổn thương da dầu
Vị trí | Số lượng những vùng tổn thương tìm thấy D. folliculorum tổng số vùng tổn thương (%) |
Đầu | 5/17 9(13,5) |
Nếp mũi má | 12/34 (35,2) |
Lông mày | 2/24 (8,3) |
Sau tai | 3/20 (15) |
Ngực | 0/19 (0) |
Lông mi | 2/7 (28,5) |
Bảng 3. Mật độ D. folliculorum (> 5/cm2) ở những vùng chuẩn ngẫu nhiên mặt và ngực ở bệnh nhân
Vị trí | Số bệnh nhân (%) |
Má | 17 (44,7) |
Trán | 15 (39,5) |
Mũi | 9 (23,7) |
Cằm | 7 (18,4) |
Ngực | 0 (0) |
Viêm da tiết bã do D. folliculorum là một bệnh được biết đến với biến đổi nghiêm trọng và không rõ nguyên nhân. Sự đa dạng của các nguyên nhân cho thấy rằng bệnh này phức tạp hơn “viêm da dầu ở da”. Bệnh thấy ở vùng nhiều tuyến bã đã được quy cho tăng hoạt động của các tuyến này. Hoạt động của tuyến bã ở tuổi dậy thì giải thích lý do tại sao viêm da dầu phổ biến ở thanh thiếu niên và thanh niên. Ngoài ra, các yếu tố nội tiết tố androgen liên quan ảnh hưởng đến thùy tuyến bã giải thích tại sao bệnh này phổ biến hơn ở bệnh nhân nam. Tuy nhiên, Không phải tất cả những người thanh niên có da nhờn đều mắc viêm da tiết bã và tỉ lệ tiết chất bã ở bệnh nhân viêm da tiết bã có thể ở trong giới hạn bình thường. Vì vậy, người ta tin rằng không phải là một nguyên nhân chính viêm da tiết bã, tăng tiết bã nhờn là một yếu tố thuận lợi viêm da và viêm da tiết bã không phải là bệnh của tuyến bã.
Đề nghị rằng viêm da tiết bã là một bệnh nấm nông ở da phát triển ở những vùng nhiều tuyến bã nhờn có mối quan hệ giữa nấm men Malassezia và viêm da tiết bã. Pityrosporum ovale là một loại nấm men ưa mỡ của loài Malassezia. Những nấm men này là thành viên của hệ thực vật tự nhiên của da , được tìm thấy ở những vùng tiết bã nhờn của cơ thể. Do hoạt động của men lipase của chúng, chúng phá vỡ triglyceride thành các axit béo kích thích mà có thể hình thành vảy và tổn thương viêm da tiết bã.
Số lượng loại nấm men này được tăng lên trong viêm da tiết bã và có thể nuôi cấy từ các tổn thương. Mirza và cộng sự cho thấy nấm men Pityrosporum ovale cả soi tươi và nuôi cấy ở bệnh nhân viêm da tiết bã cao hơn so với người bình thường. Thuốc chống nấm có hiệu quả trong điều trị viêm da tiết bã giảm số lượng nấm men. Mặc dù có liên quan giữa mức độ nghiêm trọng viêm da tiết bã và mật độ nấm men đã được báo cáo, nó cũng đã được báo cáo rằng số lượng nấm men Malassezia ở bệnh nhân viêm da tiết bã không cao hơn so với nhóm chứng và các thuốc chống viêm có hiệu quả kháng nấm. Hơn nữa, nó đã được đề xuất rằng viêm da tiết bả có liên quan đến phản ứng bất thường của vật chủ với nấm men, nhưng nồng độ kháng thể không cao hơn nhóm chứng. Tuy nhiên , nó cũng cho rằng tình trạng viêm bắt đầu bằng phản ứng của phản ứng miễn dịch với kháng nguyên do Pityrosporum ovale hoặc các độc tố của chúng và một số cytokine được tiết ra từ tế bào sừng.
Viêm da tiết bã là một loại ký sinh trùng sống hoại sinh ở tuyến bã của người, có thể tìm thấy bất cứ nơi nào trên da, nhưng chủ yếu ở trán, má, mũi, nếp mũi má và mí mắt, nơi đó sản xuất nhiều chất bã nhờn. Nó cũng được tìm thấy ở da đầu, cổ, ngực, núm vú, dương vật, mu, hông và niêm mạc miệng nơi đó có nhiều tuyến bã nhờn. Nó sống trên những người khỏe mạnh có thể khả năng lây truyền qua tiếp xúc. Kiểm tra sinh thiết da có thể thấy Viêm da tiết bã chiếm tỷ lệ cao 20-30%. Trong một nghiên cứu rằng nó chiếm 10% trong 1124 sinh thiết da và 12% trong 1692 nang lông.
Đặc điểm gây bệnh lâm sàng của Demodex spp. vẫn không được biết rõ. Các giả thuyết bao gồm thiếu hụt/ suy giảm miễn dịch hoặc phản ứng miễn dịch bất thường của da với ký sinh trùng. Những giải thích khác nhau cũng được đưa ra cho các cơ chế gây bệnh: (i) Tắc nghẽn nang lông tuyến bã do Demodex spp. có thể dẫn đến tăng sinh biểu mô, phản ứng dày sừng và tắc nghẽn tiết ngoài tăng vi khuẩn ở đó; (ii) Có thể có một phản ứng dị vật với chất chitin ở xương của Demodex spp.; hoặc (iii) Demodex spp. và các chất thải ra của chúng có thể kích thích phản ứng miễn dịch dịch thể và tế bào và tạo nên viêm. Georgala cộng sự chứng minh rằng giả thuyết nhiễm Demodex spp. là một phản ứng quá mẫn chậm loại 4 với một kháng nguyên không rõ Demodex spp. hay nang lông.
Theo Akilov và Mumcuo-Glu cho biết Demodex spp. không thể xâm nhập qua màng đáy, chúng không gặp phải hệ thống miễn dịch của da và do đó bệnh chỉ phát triển ở những người có gen dễ mắc, do đó lý do mà tỷ lệ mắc bệnh này cao hơn ở những bệnh nhân có kháng nguyên bạch cầu người (Human Leucocyte Antigen_HLA) loại HLA-Cw2 và HLA-Cw4. Khi lập kế hoạch nghiên cứu này, các tác giả này không tin rằng xét nghiệm HLA sẽ khả thi mà không cần chứng minh mối quan hệ giữa viêm da tiết bã và D. folliculorum, nhưng kết quả hiện nay cho rằng xét nghiệm HLA có thể là một kỹ thuật hữu ích cho nghiên cứu. Hai dạng lâm sàng của Demodex spp. ở người lần đầu tiên được tác giả Ayres mô tả năm 1930:
+ Vảy phấn nang lông đặc biệt gặp nhiều ở phụ nữ ở độ tuổi trung niên trở lên. Tổn thương đặc trưng là ban đỏ đậm lan tỏa ở mặt, ngứa và cảm giác nóng rát, vảy và sẩn nang lông nhỏ trông giống như giấy nhám;
+ Viêm da do Demodex spp. giống trứng cá đỏ, lâm sàng tương tự như bệnh trứng cá đỏ. Tổn thương đặc trưng là ban đỏ và sẩn mủ vảy ở má, vùng quanh miệng và mũi. Tổn thương nông và có xu hướng hình thành sẩn mụn nước và mụn mủ nhỏ. Ngoài ra, trứng cá đỏ xuất hiện đột ngột và tiến triển nhanh. Không có đỏ da trước, đỏ da dai dẳng, nhạy cảm ánh sáng, loại da nhờn, ngứa như kiến bò hoặc cảm giác nóng rát hoặc giãn mạch. Viêm da do Demodex spp. nặng tương tự như trứng cá đỏ u hạt nặng. Nó là những tổn thương u hạt ở trung bì, hoại tử bã đậu ở trung tâm và thực bào chất thải của Demodex spp. bởi các tế bào khổng lồ dị vật. Nhiều dạng lâm sàng của D. folliculorum như sẩn mủ da đầu, viêm da u hạt quanh miệng, viêm bờ mi, u hạt đơn thuần, sẩn viêm da do Demodex spp. ở mặt, gai nang lông ở mặt, tổn thương giống viêm da tiết bã, sẩn ngứa ở mặt không đặc hiệu có hoặc không có đỏ da, tổn thương dạng trứng cá, u hạt Demodex spp. và viêm da dạng trứng cá đỏ do steroid đã được báo cáo.
Trong nghiên cứu trên, vùng tổn thương và không tổn thương ở nhóm bệnh nhân có số lượng và mật độ D. folliculorum cao hơn đáng kể so với nhóm chứng. Khi chỉ đánh giá vùng tổn thương ở bệnh nhân viêm da tiết bã, số lượng D. folliculorum tìm thấy ở những vùng này vẫn cao hơn đáng kể. Vì vậy, nó giải thích D. folliculorum gây ra viêm da tiết bã như thế nào tương tự như đưa ra cho Malassezia. Phản ứng của hệ thống miễn dịch với kháng nguyên có nguồn gốc từ D. folliculorum hoặc độc tố của nó có thể kích thích tình trạng viêm và tiết các cytokine từ tế bào sừng có thể gây ra hoặc nặng thêm viêm da tiết bả. Có thể viêm da tiết bã là yếu tố thuận lợi nhiễm D. folliculorum. Có thể giải thích số lượng D. folliculorum cao ở những vùng không viêm da tiết bã ở bệnh nhân có thể Demodex spp. di chuyển tại chỗ hoặc lây truyền do tiếp xúc.
Kết luận, phát hiện số lượng D. folliculorum gây bệnh ở những tổn thương dạng vảy phấn giống viêm da tiết bã ở bệnh nhân biểu hiện triệu chứng và dấu hiệu không điển hình ở mặt, như mô tả trong các nghiên cứu trước đây của chúng tôi, có thể thấy D. folliculorum có thể nhiều dạng lâm sàng. Số lượng D. folliculorum ở vùng tổn thương và vùng không tổn thương ở bệnh nhân viêm da tiết bã cao hơn đáng kể so với nhóm chứng. Mặc dù, có nhiều giả thuyết về căn nguyên viêm da tiết bã, nguyên nhân chính xác và mối quan hệ của nó với các bệnh ngoài da khác là chưa rõ ràng. Tuy nhiên, với kết quả nghiên cứu này thấy rằng D. folliculorum có thể đóng một vai trò trực tiếp hoặc gián tiếp là nguyên nhân của viêm da tiết bã ở những bệnh nhân mà nguyên nhân khác không thể xác định. Nghiên cứu sâu hơn về vai trò có thể có của D. folliculorum trong viêm da tiết bã và kết quả đáp ứng với thuốc diệt D. folliculorum ở những bệnh nhân viêm da tiết bã mà tìm thấy D. folliculorum là cần thiết.
Kỹ thuật sinh thiết da bề mặt chuẩn (Standardized skin surface biopsy_SSSB)
Đây được xem là kỹ thuật chuẩn vàng trong phát hiện Demodex spp. trên người hiện nay. Các bệnh nhân nghi ngờ được chỉ định làm xét nghiệm tìm Demodex spp. cần rửa mặt sạch bằng xà phòng và nước sạch trước khi làm xét nghiệm. Sau khi để khô da, nhỏ một giọt (khoảng 0,05 ml) chất kết dính cyanoacrylate để keo dính vào khoảng 1 cm2 da ở một góc slide và dàn đều keo dính này sao cho có độ dày đồng đều và áp vào mặt da vùng định xét nghiệm. Lam được đặt dính trên da khoảng 5 phút đến khi keo cyanoacrylate thay đổi độ dính và tháo ra khỏi mặt da dễ dàng. Sau đó xét nghiệm và soi dưới kính hiển vi.
Cần chú ý, một số bệnh nhân có thể dị ứng với chất keo cyanoacrylate, nên có thể phản ứng sau khi xét nghiệm tiến hành xong.
Kỹ thuật cạo vảy da soi với dung dịch KOH (Skin scraping technique_SST)
So với kỹ thuật SSSB chuẩn vàng thì kỹ thuật này đơn giản và ít tốn thời gian phiên giải kết quả hơn. Bệnh nhân cần rửa sạch mặt trước khi xét nghiệm.Để cho da khô, cùng một dao sắc vô trùng cạo trên một vùng da khoảng 1 cm2 trên vùng da định xét nghiệm. Các mảnh vụng, tế bào chết và vảy ra được gôm lại thu vào trong lam, nhỏ thêm một dung dịch KOH 20% và đậy lamen lên trên. Sau đó đem soi dưới kính hiển vi.
Tài liệu tham khảo
1.Rush, Aisha (2000). "Demodex folliculorum". Animal Diversity Web. University of Michigan. Retrieved 2 April 2015.
2.Thoemmes, Megan S.; Fergus, Daniel J.; Urban, Julie; Trautwein, Michelle; Dunn, Robert R.; Kolokotronis, Sergios-Orestis (2014). "Ubiquity and diversity of human-associated Demodex mites". PLoS onE. 9 (8): e106265.
3.López-Ponce D, Zuazo F, Cartes C, Salinas-Toro D, Pérez-Valenzuela C, Valenzuela F, Traipe-Castro L, López-Solís RO. High prevalence of Demodex spp. infestation among patients with posterior blepharitis: correlation with age and cylindrical dandruff. Arch Soc Esp Oftalmol. 2017 Sep;92(9):412-418.
4.Mongi F, Laconte L, Casero RD. [Demodex genus: colonizing parasites of healthy people or mites associated with ocular pathology?] Rev Argent Microbiol. 2018 Feb 6. pii: S0325-7541(17)30179-7.
5.Kasetsuwan N, Kositphipat K, Busayarat M, Threekhan P, Preativatanyou K, Phumee A, Siriyasatien P. Prevalence of ocular demodicosis among patients at Tertiary Care Center, Bangkok, Thailand. Int J Ophthalmol. 2017 Jan 18;10(1):122-127.
6.Kabataş N, Doğan AŞ, Kabataş EU, Acar M, Biçer T, Gürdal C. The Effect of Demodex Infestation on Blepharitis and the Ocular Symptoms. Eye Contact Lens. 2017 Jan;43(1):64-67.
7.Tarkowski W, Moneta-Wielgoś J, Młocicki D. Do Demodex mites play a role in pterygium development? Med Hypotheses. 2017 Jan;98:6-10.
8.Randon M, Liang H, El Hamdaoui M, Tahiri R, Batellier L, Denoyer A, Labbé A, Baudouin C. In vivo confocal microscopy as a novel and reliable tool for the diagnosis of Demodex eyelid infestation. Br J Ophthalmol. 2015 Mar;99(3):336-41.
9.Nicholls SG, Oakley CL, Tan A, Vote BJ. Demodex species in human ocular disease: new clinicopathological aspects. Int Ophthalmol. 2017 Feb;37(1):303-312.
10.Enginyurt O, Karaman U, Cetin F, Ozer A. The Prevalence of Demodex Species and Its Relationship With the Metabolic Syndrome in Women of Malatya Province, Turkey. Jundishapur J Microbiol. 2015 Oct 28;8(10):e24322.
11.Sędzikowska A, Osęka M, Grytner-Zięcina B. Ocular symptoms reported by patients infested with Demodex mites. Acta Parasitol. 2016 Dec 1;61(4):808-814.
12.Sędzikowska A, Osęka M, Skopiński P. The impact of age, sex, blepharitis, rosacea and rheumatoid arthritis on Demodex mite infection. Arch Med Sci. 2018 Mar;14(2):353-356.
13.Sönmez ÖU, Yalçın ZG, Karakeçe E, Çiftci İH, Erdem T. Associations between Demodex species infestation and various types of cancer. Acta Parasitol. 2013 Dec;58(4):551-5.
14.Salem DA, El-Shazly A, Nabih N, El-Bayoumy Y, Saleh S. Evaluation of the efficacy of oral ivermectin in comparison with ivermectin-metronidazole combined therapy in the treatment of ocular and skin lesions of Demodex folliculorum. Int J Infect Dis. 2013 May;17(5):e343-7.
15.Gunnarsdottir S, Kristmundsson A, Freeman MA, Bjornsson OM, Zoega GM. Demodex folliculorum a hidden cause of blepharitis]. Laeknabladid. 2016 May;102(5):231-5.
16.Humiczewska M. [Demodex folliculorum and Demodex brevis (Acarida) as the factors of chronic marginal blepharitis]. Wiad Parazytol. 1991;37(1):127-30. Polish.
17.Alver O, Kıvanç SA, Akova Budak B, Tüzemen NÜ, Ener B, Özmen AT. A Clinical Scoring System for Diagnosis of Ocular Demodicosis. Med Sci Monit. 2017 Dec 10;23:5862-5869.
18.Murphy O, O'Dwyer V, Lloyd-McKernan A. The efficacy of tea tree face wash, 1, 2-Octanediol and microblepharoexfoliation in treating Demodex folliculorum blepharitis. Cont Lens Anterior Eye. 2018 Feb;41(1):77-82.
19.Litwin D, Chen W, Dzika E, Korycińska J. Human Permanent Ectoparasites; Recent Advances on Biology and Clinical Significance of Demodex Mites: Narrative Review Article. Iran J Parasitol. 2017 Jan-Mar;12(1):12-21. Review.
20.Liang LY, Li J, Liu Y. Diagnostic criteria of demodex blepharitis. Zhonghua Yan Ke Za Zhi. 2017 Sep 11;53(9):648-652. doi: 10.3760/cma.j.issn.0412-4081.2017.09.003. Chinese.
21.Zeytun E, Tilki E, Doğan S, Mumcuoğlu KY. The effect of skin moisture, pH, and temperature on the density of Demodex folliculorum and Demodex brevis (Acari: Demodicidae) in students and staff of the Erzincan University, Turkey. Int J Dermatol. 2017 Jul;56(7):762-766.
22.Mastrota KM. Method to identify Demodex in the eyelash follicle without epilation. Optom Vis Sci. 2013 Jun;90(6):e172-4. doi: 10.1097/OPX.0b013e318294c2c0.
23.Emre S, Aycan OM, Atambay M, Bilak S, Daldal N, Karincaoglu Y. What is the importance of Demodex folliculorum in Behçet's disease? Turkiye Parazitol Derg. 2009;33(2):158-61.
24.Zhao YE, Guo N, Xun M, Xu JR, Wang M, Wang DL. Sociodemographic characteristics and risk factor analysis of Demodex infestation (Acari: Demodicidae). J Zhejiang Univ Sci B. 2011 Dec;12(12):998-1007. doi: 10.1631/jzus.B1100079.
25.Clifford CW, Fulk GW. Association of diabetes, lash loss, and Staphylococcus aureus with infestation of eyelids by Demodex folliculorum (Acari: Demodicidae). J Med Entomol. 1990 Jul;27(4):467-70.
26.Kaya S, Selimoglu MA, Kaya OA, Ozgen U.
27.Murphy O, O'Dwyer V, Lloyd-McKernan A. Ocular Demodex folliculorum: prevalence and associated symptoms in an Irish population. Int Ophthalmol. 2018 Jan 29.
28.Norn MS. Incidence of Demodex folliculorum on skin of lids and nose. Acta Ophthalmol (Copenh). 1982 Aug;60(4):575-83.
29.Zhao YE, Wu LP, Hu L, Xu JR. Association of blepharitis with Demodex: a meta-analysis. Ophthalmic Epidemiol. 2012 Apr;19(2):95-102.
30.Demmler M, de Kaspar HM, Möhring C, Klauss V. [Blepharitis. Demodex folliculorum, associated pathogen spectrum and specific therapy. Ophthalmologe. 1997 Mar;94(3):191-6. German.
31.Zhao YE, Peng Y, Wang XL, Wu LP, Wang M, Yan HL, Xiao SX. Facial dermatosis associated with Demodex: a case-control study. J Zhejiang Univ Sci B. 2011 Dec;12(12):1008-15.
32.Zhao YE, Guo N, Wu LP. The effect of temperature on the viability of Demodex folliculorum and Demodex brevis. Parasitol Res. 2009 Nov;105(6):1623-8.
33.Uyttebroeck W, Nijs I, Maudgal PC, Missotten L. Incidence of Demodex folliculorum on the eyelash follicle in normal people and in blepharitis patients. Bull Soc Belge Ophtalmol. 1982;201:83-7.
34.Gerkowicz M, Baltaziak L, Puacz E. Chronic blepharitis caused by mite Demodex folliculorum]. Klin Oczna. 2005;107(4-6):376-8. Polish.
35.Chen W, Plewig G. Human demodicosis: revisit and a proposed classification. Br J Dermatol. 2014 Jun;170(6):1219-25. doi: 10.1111/bjd.12850. Review.
36.Madeira NG, Sogayar MI. The prevalence of Demodex folliculorum and Demodex brevis in a population sample from Botucatu, São Paulo, Brazil]. Rev Soc Bras Med Trop. 1993 Oct-Dec;26(4):221-4. Portuguese.
37.English FP, Nutting WB. Demodicosis of ophthalmic concern. Am J Ophthalmol. 1981 Mar;91(3):362-72.
38.Akilov OE, Kazanceva SV, Vlasova IA. Particular Features of Immune Response after Invasion of Different Species of Human Demodex Mites. Russ J Immunol. 2001 Dec;6(4):399-404.
39.Garbacewicz A, Jaworski J, Grytner-Zięcina B. Demodex mite infestation in patients with and without rheumatoid arthritis. Acta Parasitol. 2012 Mar;57(1):99-100.
40.Anane S, Mokni M, Beltaief O. Rosacea-like demodicidosis and chronic blepharitis]. Ann Dermatol Venereol. 2011 Jan;138(1):30-4.
41.English FP, Zhang GW, McManus DP, Horne FA. The presence of the parasite Demodex folliculorum on the skin surface of the eyelid. Aust N Z J Ophthalmol. 1991 Aug;19(3):229-34.
42.Bilal N, Kirişci Ö, Özkaya E. Demodex Species Infestation in Patients with Ear Itching and Its Relationship to Itch Severity. Turkiye Parazitol Derg. 2017 Jun;41(2):87-91.
43.Six RH, Becskei C, Mazaleski MM, Fourie JJ, Mahabir SP, Myers MR, Slootmans N. Efficacy of sarolaner, a novel oral isoxazoline, against two common mite infestations in dogs: Demodex spp. and Otodectes cynotis. Vet Parasitol. 2016 May 30;222:62-6.
44.Anane S, Anane Touzri R, Malouche N, El Aich F, Beltaief O, Zhioua R, Kaouech E, Belhaj S, Kallel K, Jeddi A, Meddeb Ouertani A, Chaker E. Which is the role of parasites and yeasts in the genesis of chronic blepharitis?. Pathol Biol (Paris). 2007 Sep;55(7):323-7. Epub 2007 May 29. French.
45.Tarkowski W, Owczyńska M, Błaszczyk-Tyszka A, Młocicki D. Demodex mites as potential etiological factor in chalazion - a study in Poland. Acta Parasitol. 2015 Dec;60(4):777-83.
46.Georgala S, Katoulis AC, Kylafis GD, Koumantaki-Mathioudaki E, Georgala C, Aroni K. Increased density of Demodex folliculorum and evidence of delayed hypersensitivity reaction in subjects with papulopustular rosacea. J Eur Acad Dermatol Venereol. 2001 Sep;15(5):441-4.
47.Hellerich U, Metzelder M. Incidence of scalp involvement by Demodex folliculorum Simon ectoparasites in a pathologic-anatomic and forensic medicine autopsy sample]. Arch Kriminol. 1994 Sep-Oct;194(3-4):111-8. German.
48.Lacey N, Kavanagh K, Tseng SC. Under the lash: Demodex mites in human diseases. Biochem (Lond). 2009 Aug 1;31(4):2-6.
49.Fulk GW, Murphy B, Robins MD. Pilocarpine gel for the treatment of demodicosis--a case series. Optom Vis Sci. 1996 Dec;73(12):742-5.
50.Gökçe C, Aycan-Kaya Ö, Yula E, Üstün I, Yengil E, Sefil F, Rizaoglu H, Gultepe B, Bayram F. The effect of blood glucose regulation on the presence of opportunistic Demodex folliculorum mites in patients with type 2 diabetes mellitus. J Int Med Res. 2013 Oct;41(5):1752-8.
51.Firat PY, Geçıt İ, Depecık F, Karadan M, Karci E, Karaman Ü, Çalik S. Demodex spp. positivity among laboratory staff, kitchen staff, cleaning workers and nurses working in a state hospital. Turkiye Parazitol Derg. 2010;34(4):164-7.
52.Wacker T, Lang GK. Demodex folliculorum: diagnosis and therapy today. Klin Monbl Augenheilkd. 2014 Mar;231(3):241-5.
53.Roihu T, Kariniemi AL. Demodex mites in acne rosacea. J Cutan Pathol. 1998 Nov;25(10):550-2.
54.Hirsch-Hoffmann S, Kaufmann C, Bänninger PB, Thiel MA. Treatment options for demodex blepharitis: patient choice and efficacy. Klin Monbl Augenheilkd. 2015 Apr;232(4):384-7.
55.Kosik-Bogacka DI, Lanocha N, Lanocha A, Czepita D, Grobelny A, Zdziarska B, Kalisinska E.
56.Role of Demodex folliculorum in the pathogenesis of blepharitis. Acta Ophthalmol. 2012 Nov;90(7):e579.
57.Vashisht D, Singh J, Baveja S, Tiwari R, Bhatnagar A. Unilateral Demodicidosis of Face Mimicking Hansens Disease. Dermatol Reports. 2016 Dec 20;8(1):6891.
58.Holzchuh FG, Hida RY, Moscovici BK, Villa Albers MB, Santo RM, Kara-José N, Holzchuh R.
59.Clinical treatment of ocular Demodex folliculorum by systemic ivermectin. Am J Ophthalmol. 2011 Jun;151(6):1030-1034.e1.
60.Ru-Juan Z, Xue-Rong Y, Ying Z, Yi-Ning P, Wen-Ting X, Ting-Ting H, Yan Y, Jin-Hong Z.
61.Investigation on Demodex infection status and influencing factors in medical students in Wuhu City. Zhongguo Xue Xi Chong Bing Fang Zhi Za Zhi. 2017 Apr 28;29(3):358-362.
62.Guerrero-González GA, Herz-Ruelas ME, Gómez-Flores M, Ocampo-Candiani J. Crusted demodicosis in an immunocompetent pediatric patient. Case Rep Dermatol Med. 2014;2014:458046.
63.Zhao YE, Guo N, Wu LP. Influence of temperature and medium on viability of Demodex folliculorum and Demodex brevis (Acari: Demodicidae). Exp Appl Acarol. 2011 Aug;54(4):421-5.
64.Aksu Arıca D, Ozturk Topcu T, Baykal Selçuk L, Yaylı S, Seyman U, Fidan E, Bahadır S, Kavgacı H. Assessment of demodex presence in acne-like rash associated with cetuximab. Cutan Ocul Toxicol. 2017 Sep;36(3):220-223.
65.Nashat MA, Luchins KR, Lepherd ML, Riedel ER, Izdebska JN, Lipman NS. Characterization of Demodex musculi Infestation, Associated Comorbidities, and Topographic Distribution in a Mouse Strain with Defective Adaptive Immunity. Comp Med. 2017 Aug 1;67(4):315-329.
66.Daneshparvar A, Mowlavi G, Mirjalali H, Hajjaran H, Mobedi I, Naddaf SR, Shidfar M, Sadat Makki M. Molecular Characterization and Analysis of 16S Ribosomal DNA in Some Isolates of Demodex folicullorum. Iran J Parasitol. 2017 Apr-Jun;12(2):224-229.
67.Pelletier JS, Capriotti K, Stewart KS, Capriotti JA. Demodex Blepharitis Treated with a Novel Dilute Povidone-Iodine and DMSO System: A Case Report. Ophthalmol Ther. 2017 Dec;6(2):361-366.
68.Kumari P, Nigam R, Singh A, Nakade UP, Sharma A, Garg SK, Singh SK. Demodex canis regulates cholinergic system mediated immunosuppressive pathways in canine demodicosis. Parasitology. 2017 Sep;144(10):1412-1416.
69.Grandi F, Pasternak A, Beserra HE. Digit loss due to Demodex spp. infestation in a dog: clinical and pathological features. Open Vet J. 2013;3(1):53-5. Epub 2013 May 20.
70.Abah ER, Oladigbolu KK, Rafindadi AL, Audu O. Eyelash extension use among female students in a Tertiary Institution in Nigeria: A study of kaduna polytechnic, Kaduna. Niger J Clin Pract. 2017 Dec;20(12):1639-1643.
71.Ngo W, Jones L, Bitton E. Short-Term Comfort Responses Associated With the Use of Eyelid Cleansing Products to Manage Demodex folliculorum. Eye Contact Lens. 2017 Sep 21.
72.Nashat MA, Ricart Arbona RJ, Riedel ER, Francino O, Ferrer L, Luchins KR, Lipman NS. Comparison of Diagnostic Methods and Sampling Sites for the Detection of Demodex musculi. J Am Assoc Lab Anim Sci. 2018 Mar 1;57(2):173-185.
73.Tatu AL, Cristea VC. Pityriasis Folliculorum of the Back Thoracic Area: Pityrosporum, Keratin Plugs, or Demodex Involved? J Cutan Med Surg. 2017 Sep/Oct;21(5):441.
74.Zewe CM, Graham J, Lam ATH, Ferrer L. Demodicosis in a ferret caused by Demodex canis. Vet Dermatol. 2017 Oct;28(5):528-529.
75.Favier C. Demodex Clusters. Ophthalmology. 2017 Oct;124(10):1474.
76.Dowlut MS, Ahmed Y, Knox A. Ocular Inflammation Associated With Fibers From Eyelash Extensions. JAMA Ophthalmol. 2018 Jan 11;136(1):e175723.
77.Ormerod E, Stone N. Contact allergy and electronic cigarettes (and eyelash curlers). Clin Exp Dermatol. 2017 Aug;42(6):682-683.
78.Harrison R. Diagnosing health facility pest activity. How ES professionals can discover and prevent infestation problems. Health Facil Manage. 2017 Apr;30(4):41-3.
79.Drutchas A. Eyelash: Caring Between the Lines. Fam Med. 2017 Sep;49(8):646-647.