Hiện nay người ta đã phát hiện được virút viêm não Nhật Bản ở 30 loài muỗi khác nhau thuộc 5 họ Culex, Anopheles, Aedes, Mansoni va Amergeres, trong đó có 2 loại Culex Tritaeniorhynchus (C. Tritae) và Culex. vishnui là vật chủ trung gian có khả năng truyền bệnh cao. Nhiều nghiên cứu đã khẳng định muỗi C. Tritae là vật chủ trung gian chính lan truyền virút viêm não Nhật Bản tại Việt Nam. C. Tritae sinh sản tại mương nước, máng chứa nước, đồng ruộng ngập nước, vào ban đêm muỗi cái ưa hút máu động vật có xương sống như gia súc, chim và cả người, sau đó phân tán ra các vùng lân cận. Muỗi hút máu động vật là heo, chim trong thời kỳ nhiễm virút huyết, virút nhân lên trong muỗi với hiệu giá cao, sau đó có khả năng truyền bệnh suốt đời và có thể truyền virút sang thế hệ sau thông qua trứng.
+ Định nghĩa:
Viêm não Nhật Bản là một bệnh nhiễm trùng cấp tính gây ra bởi một loại siêu vi trùng thuộc nhóm Arbovirus có ái tính với tế bào thần kinh, có tên là virút viêm não Nhật Bản. Virút lây truyền qua người nhờ trung gian truyền bệnh là muỗi. Bệnh có thể xảy ra rải rác hoặc có khi phát triển thành dịch.
Tùy theo mức độ và vị trí bị tổn thương tại hệ thần kinh trung ương, lâm sàng sẽ có biểu hiện triệu chứng của nơi bị xâm nhập như: viêm não, viêm màng não, viêm sừng trước tủy sống hoặc bệnh cảnh phối hợp: viêm não màng não, viêm não màng não tủy sống.
+ Tại sao lại gọi là bệnh viêm não Nhật Bản?
Bệnh được phát hiện lần đầu tiên tại Nhật Bản với biểu hiện viêm não – màng não tuỷ, nhiều người mắc, tử vong rất cao. Năm 1935 các nhà khoa học Nhật Bản đã tìm ra căn nguyên bệnh là một loài vi rút từ đó đặt tên là vi rút viêm não Nhật Bản. Năm 1938 cũng các nhà khoa học Nhật Bản đã tìm ra vai trò truyền bệnh của loài muỗi Culex tritaeniorhynchus, và sau đó vào tìm ra vai trò vật chủ và ổ chứa chính của vi rút viêm não Nhật Bản là loài lợn và chim.
|
| Bản đồ phân bố toàn cầu của viêm não Nhật Bản. |
Ghi chú: Các khu vực bóng mờ màu vàng là khu vực có nguy cơ viêm não Nhật Bản. Các khu vực vòng tròn màu đỏ, chẳng hạn như Karachi (Pakistan) và đảo Torres Strait (Australia) và các bộ phận của lục địa Úc phía Bắc là những vùng mới bị ảnh hưởng bởi viêm não Nhật Bản.
Ở Việt Nam, bệnh viêm não Nhật Bản được ghi nhận đầu tiên vào năm 1952. Năm 1959 dịch Viêm não mùa hè được xác định là do vi rút viêm não Nhật Bản bằng chẩn đoán huyết thanh học tại Viện Vệ sinh Dịch tễ Hà Nội.Năm 1964, lần đầu tiên vi rút viêm não Nhật Bản được phân lập tại Viện Vệ sinh Dịch tễ Hà Nội, có ký hiệu HN-60. Bệnh viêm não Nhật Bản lưu hành trong cả nước, nhiều nhất ở các tỉnh đồng bằng và trung du miền Bắc. Các ổ dịch phần lớn tập trung ở những vùng trồnglúa nước hoặc vùng bán sơn địa. Bệnh viêm não Nhật Bản lưu hành tản phát theo mùa, thường từ tháng 4 đến tháng 10 là mùa mưa ở Miền Bắc, đỉnh cao vào các tháng 6, 7. Hàng nămcó khoảng từ 2000 đến 3000 người mắc bệnh. Từ năm 1997 sau khi có vắc xin viêm não Nhật Bản của chương trình Tiêm chủng mở rộng (TCMR) sốmắc và chết do bệnh viêm não Nhật Bản có chiều hướng giảm đi.
+ Tác nhân gây bệnh:
Virút viêm não Nhật Bản thuộc họ Togaviridae trong nhóm B của các Flavivirus. Virút này có hình thái là hình cầu, nhân chứa ribonucleic acid (RNA), kích thước 45 - 50nm, bao quanh bởi cấu trúc hình khối gọi là capsid, phần vỏ giàu chất lipid. Virút viêm não Nhật Bản dễ mất hoạt lực ở nhiệt độ 560C trong nửa giờ hoặc formalin 0,2%, ether, Na deoxycholate, bị bất hoạt nhanh bởi tia tử ngoại. Có thể nuôi cấy virút trên tế bào thận heo, thận chuột đất vàng Hamster, trên não chuột bạch sơ sinh, não chuột bạch trưởng thành hoặc trên tế bào của tổ chức côn trùng như muỗi.
Virút viêm não Nhật Bản có ba loại protein kháng nguyên: protein màng M, protein lõi C, protein vỏ E. Kháng nguyên vỏ E đóng vai trò quan trọng nhất trong bước đầu tiên của phản ứng virút với tế bào ký chủ và tạo ra kháng thể miễn dịch bảo vệ cơ thể.
+ Dịch tễ học:
Viêm não Nhật Bản lưu hành rộng rãi ở các nước trong vùng Đông á, Nam Á, và Đông Nam Á trong đó có Việt Nam. Hàng năm vào khoảng 50.000 trường hợp mới mắc trên thế giới với con số tử vong ước chừng 10.000 (1988). Bệnh đã được nói tới vào đầu thập niên 1870 tại Nhật Bản mãi đến năm 1924 mới biết rõ về lâm sàng qua trận dịch lớn với 6.000 trường hợp, và tỷ lệ tử vong vào khoảng 60%, bệnh được gọi là "viêm não mùa hè". Năm 1935 người ta phân lập được virút từ não của một bệnh nhân tử vong tại Tokyo, và cung cấp được chủng Nakayama nguyên mẫu. Virút này được gọi là virút viêm não Nhật Bản B có liên quan đến dịch viêm não mùa hè tại Nhật Bản, để phân biệt với virút gây bệnh viêm não ngủ Von Economo có bệnh cảnh lâm sàng và đặc điểm dịch tễ khắc hẳn, được gọi là týp A. Năm 1952, virút viêm não Nhật Bản đầu tiên được phân lập từ một lính viễn chinh Pháp tại miền Bắc Việt Nam, tiếp theo đó năm 1953 có 98 trường hợp viêm não Nhật Bản trong quân đội viễn chinh Pháp. Trong thập kỷ 1960 có nhiều trận dịch viêm não siêu vi được gọi là hội chứng viêm não cấp tính gọi tắt là hội chứng não cấp, xảy ra tại hầu hết các địa phương ở miền Bắc, nhất là ở miền trung du và vùng đồng bằng châu thổ sông Hồng, có nơi tỷ lệ mắc bệnh hằng năm lên tới 6 - 10/100.000 dân với tỷ lệ tử vong từ 5,7% - 28,5% và siêu vi VNNB là tác nhân gây ra 50% - 70% hội chứng não cấp.
Tại miền Nam viêm não siêu vi xảy ra rải rác quanh năm, số mắc cao nhất vào năm 1980 với tỷ lệ 4,95/100.000 dân và tỷ lệ tử vong 27,46%, thưòng tập trung nhiều ở đồng bằng sông Cửu Long vựa lúa của miền Nam, nơi có thói quen nuôi heo gần nhà. Chưa tiến hành nghiên cứu có hệ thống tại đây, nhưng qua kết quả báo cáo sơ bộ của bệnh viện lớn tại TP. HCM, từ 64% - 69% hội chứng não cấp nhập viện có tác nhân gây bệnh là virút viêm não Nhật Bản, với tỷ lệ tử vong vào khoảng 16%.
+ Nguồn lây viêm não Nhật Bản:
Chim là vật chủ quan trọng chứa virút viêm não Nhật Bản. Người ta phân lập được virút viêm não Nhật Bản từnội tạng của chim hoang dã (chim liếu điếu, và một số loại chim khác), chim mang virút huyết kéo dài nhưng lại không biểu hiện bệnh, và nguồn lây nhiễm cho các loài muỗi trong thiên nhiên. Loài chim thiên di có thể lây truyền virút từ vùng này qua vùng khác.
|
Vòng đời của virút viêm não Nhật Bản |
Qua điều tra giám sát về huyết thanh, hầu hết gia súc gần người như trâu bò, dê, cừu, chó, đều có thể nhiễm virút viêm não Nhật Bản, nhưng chỉ có heo, ngựa có biểu hiện bệnh, như viêm não ở ngựa, virút có thể qua nhau, nhiễm bào thai ở heo nái và gây thai chết, hoặc xẩy thai. Tuy nhiên chỉ có heo là nguồn nhiễm virút huyết quan trọng truyền cho muỗi vì: Heo đẻ được nhiều lứa, tạo ra số lượng một quần thể heo cảm nhiễm mới. Luân chuyển thường xuyên mỗi 6 - 8 tháng. Chỉ số heo nhiễm virút trong tự nhiên cao hơn tất cá gia súc khác. Nhiễm virút máu ở heo thường cao nên dễ truyền virút qua muỗi.
+ Trung gian truyền bệnh:
Sau khi hút máu động vật có nhiễm vi rút, muỗi tìm nơi trú ẩn tiêu máu. Vi rút nhân lên trong cơ thể muỗi trong vài ngày(tối đa 14 ngày) thì đủ khả năng truyền bệnh, nếu muỗi đốt hút máu người. Muỗi cái bị nhiễm virut Viêm não Nhật Bản có khả năng truyền bệnh suốt đời, và có thể truyền virut sang thế hệ sau quatrứng. Virut thường phát triển nhanh trong cơ thể muỗi ở 270C–300C. Nếu dưới 200C thì sự phát triển của virut dừng lại. Đócũng là lý do tại sao bệnh thường xảy ra từ tháng 4 đến tháng 9 và đỉnh cao là vào tháng 6, tháng 7.
 |
Muỗi Culex Tritaeniorhynchus – trung gian truyền bệnh viêm não Nhật Bản |
Ngày nay người ta đã phát hiện được virút viêm não Nhật Bản ở 30 loài muỗi khác nhau thuộc 5 họ Culex, Anopheles, Aedes, Mansoni va Amergeres, trong đó có 2 loại C. Tritae, C. vishnui và vật chủ trung gian có khả năng truyền bệnh cao. Nhiều nghiên cứu đã khẳng định muỗi Culex Tritaeniorhynchus là vật chủ trung gian chính lan truyền virút viêm não Nhật Bản tại Việt Nam. C. Tritae sinh sản tại mương máng, đồng ruộng ngập nước, về đêm muỗi cái ưa hút máu động vật có xương sống như gia súc, chim và cả người, sau đó bay tản phát đi xa. Muỗi hút máu động vật là heo, chim trong thời kỳ nhiễm virút huyết, virút nhân lên trong muỗi với hiệu giá cao, sau đó có khả năng truyền bệnh suốt đời và có thể truyền virút sang thế hệ sau qua trứng.
Virút viêm não Nhật Bản được bảo tồn trong thiên nhiên do truyền sinh học từ động vật có xương sống này sang động vật có xương sống khác qua trung gian của côn trùng tiết túc hút máu là muỗi. Chim là vật chủ cơ bản của chu trình Chim - Muỗi trong việc duy trì virút viêm não Nhật Bản trong tự nhiên, nhưng chưa có nghiên cứu rõ về vai trò quan trọng của chim trong việc truyền virút viêm não Nhật Bản qua muỗi đến người. Heo là vật chủ quan trọng nhất có khả năng làm lan rộng virút viêm não Nhật Bản, và chu trình Heo - Muỗi tồn tại quanh năm. Người sống gần chu trình sinh thái tự nhiên này, có thể mắc bệnh khi bị muỗi đốt. Người được coi là vật chủ cuối cùng đối với virút viêm não Nhật Bản viêm não Nhật Bản vì virút trong máu người tồn tạo trong thời gian ngắn với nồng độ thấp, nên không thể lây bệnh từ người này sang người khác qua muỗi đốt.
Khí hậu với những yếu tố nhiệt độ và mưa cũng có ảnh hưởng đến tình hình bệnh. Vào mùa mưa, ruộng lúa đầy nước tạo điều kiện tốt cho muỗi sinh sản và phát triển mạnh trong thiên nhiên, trùng hợp với thời điểm bệnh xảy ra nhiều. Vào mùa hè thời tiết nóng, ở nhiệt độ từ 270C - 300C, virút thường phát triển tốt trong cơ thể muỗi. Nếu dưới 200C thì sự phát triển của virút dừng lại. Đó là lý do tại sao mô hình dịch tễ học lại khác nhau giữa hai miền Nam, Bắc Việt Nam. Tại Miền Bắc bệnh giảm nhiều vào những tháng lạnh, tăng vào những tháng hè và đỉnh cao vào tháng 5 - 6 - 7. Tại miền Nam, thời tiết nóng bệnh rải rác quanh năm. Tất cả mọi lứa tuổi chưa có miễn dịch đều có thể mắc bệnh. Ở những vùng có bệnh viêm não Nhật Bản lưu hành, trẻ em sớm tiếp xúc với tác nhân gây bệnh nên tỷ lệ mắc bệnh ở trẻ cao thường từ 2 - 10 tuổi, phần đông ở thể không triệu chứng lâm sàng, số lượng trẻ có kháng thể đặc hiệu tăng theo tuổi nên tỷ lệ mắc bệnh giảm ở trẻ lớn và người lớn. Người nước ngoài không phân biệt tuổi tác nếu chưa có miễn dịch đặc biệu đều có thể mắc bệnh khi đến vùng có viêm não Nhật Bản lưu hành. Bệnh không liên quan tới giới tính tuy nhiên trong thực tế số bệnh liên quan đến giới tính nam thường nhiều hơn giới tính nữ. Tuy chu trình sinh thái của virút viêm não Nhật Bản trong thiên nhiên không thay đổi, nhưng tình hình dịch tễ có biến đổi trước tác động của con người, như thay đổi lề lối canh tác và chăn nuôi, đô thị hóa, điều kiện kinh tế xã hội được nâng cao, sử dụng thuốc diệt trừ côn trùng trong canh nông, và cuối cùng là thuốc chủng ngừa VNNB đã được sử dụng.
+ Sinh bệnh học:
Virút viêm não Nhật Bản từ nước bọt của muỗi đốt, qua da. Giai đoạn đầu virút nhân lên tại chỗ và ở hạch lympho vùng, đây là nguồn dẫn đến virút huyết đầu tiên. Từ máu virút đi đến các tổ chức và nội tạng khác như tổ chức lympho, mô liên kết, cơ vân, cơ tim, tuyến nội và ngoại tiết. virút tiếp tục nhân lên tại tổ chức ngoài thần kinh đưa đến virút huyết lần nữa kéo dài 3 - 5 ngày, thường với nồng độ thấp ở người. Nếu kháng thể trung hòa tăng kịp thời hiện tượng virút huyết ngưng. Chưa biết rõ cơ chế xâm nhập hệ thần kinh trung ương của virút. Tuy nhiên, não bộ bị nhiễm lan tỏa chứng tỏ virút xâm nhập qua đường mạch máu. Mặt khác khi hàng rào mạch máu não bị tổn thương trong giai đoạn tiềm ẩn dễ tạo cơ hội cho virút xâm nhập thần kinh, như mắc bệnh viêm não Nhật Bản trong trường hợp có sẵn bệnh cysticercosis não, hoặc sau chấn thương sọ não. Những biến đổi bệnh lý trong quá trình phát triển của virút trong hệ thần kinh trung ương như sau: Virút viêm não Nhật Bản nhân lên trong tế bào thần kinh với nồng độ trong não gấp triệu lần so với ở vị trí khác ngoài thần kinh. Trong giai đoạn cấp tính, nói chung màng não bình thường hoặc thoáng mờ, não bị xung huyết, phù nề, xuất hiện điểm xuất huyết hoặc chảy máu tại chất xám, hoại tử ở đồi thị, nhân xám nền sọ, não giữa, tiểu não, nhân xám thân não, chất xám của vỏ não, không thấy tổn thương của chất trắng. Sừng trước tủy sống bị tổn thương giống như trong sốt bại liệt. Về mặt vi thể, hiện tượng tế bào thần kinh đệm thực bào tế bào thần kinh chết tạo ra những nốt điển hình do quá sản tế bào thần kinh đệm, khi bệnh kéo dài tế bào viêm bao quanh huyết quản tạo thành những hình ảnh vỏ ngoại quản, cuối cùng xuất hiện những ổ hoại tử khan hiếm tế bào do những tế bào thần kinh bị thoái hóa, tiêu hủy tạo ra, đôi khi có chất vôi ứ đọng bên trong.
+ Lâm sàng bệnh:
Đa số người bị nhiễm virút viêm não Nhật Bản ở thể ẩn, chỉ rất ít có triệu chứng lâm sàng, với thể hiện rất đa dạng, thay đổi từ nhẹ như cảm cúm đến nặng gây tử vong. Dù ở bất cứ thể nào cơ thể vẫn tạo kháng thể đặc hiệu. Thể ẩn chiếm đa số, không có triệu chứng lâm sàng, cứ một trường hợp điển hình thì có vào khoảng 200 đến 300 thể ẩn. Theo Tổ chức Y tế Thế giới con số này dao động từ 20 - 1000 trường hợp thể ẩn/ một điển hình. Thể nhẹ có thể gây ra sốt, nhức đầu, nôn. Không có triệu chứng đặc hiệu. Thể màng não ngoài hội chứng nhiễm trùng, xất hiệu màng não, đôi khi có rối loạn ý thức nhẹ, dịch não tủy thay đổi như trong viêm màng não siêu vi khác, bệnh không khỏi không để lại di chứng. Thể tủy sống: khởi bệnh với sốt, sau đó liệt mềm cấp giống như sốt bại liệt, liệt không đồng đều, ưu thế ở chân nhiều hơn tay, dịch não tủy biến đổi như trong thể điển hình. Chụp hình ảnh cộng hưởng từ tủy sống, đo điện cơ và dẫn truyền thần kinh thấy có tổn thương sừng trước tủy sống. Khoảng 30% của thể này có rối loạn tri giác và xuất hiện hội chứng viêm não sau đó. Thể điển hình có thời gian ủ bệnh trung bình một tuần, tối thiểu 5 ngày tối đa 15 ngày. Giai đoạn tiền triệu: Trung bình từ 1 - 4 ngày, ngắn nhất 12 giờ, với các hội chứng nhiễm trùng không điển hình: sốt, kèm rối loạn tiêu hóa, nôn, đau bụng, tiêu chảy, viêm long đường hô hấp, ho, chảy máu cam. Giai đoạn toàn phát: Có thể kéo dài từ 1 đến 2 tuần. Thường xảy ra đột ngột không qua giai đoạn tiền triệu, với các hội chứng nhiễm trùng xen kẽ với hội chứng thần kinh: sốt, lợm giọng, buồn nôn, và nhức đầu ở trẻ lớn. Nhiệt độ tăng lên 390 - 400C hay hơn nữa, và cơn co giật toàn thân, đôi khi cục bộ, xuất hiện. Rối loạn tri giác thay đổi từ nhẹ như li bì, lơ mơ đến kích động, hôn mê, kèm những rối loạn thần kinh thực vật. Khi thăm khám sẽ phát hiện dấu hiệu màng não, động tác tự động, phản xạ bệnh lý, liệt chi, liệt thần kinh sọ não. Sau đó dấu hiệu tháp, ngoại tháp xuất hiện rõ hơn. Hình ảnh lâm sàng trên phát triển khá nhanh, có thể biến đổi hàng ngày và khác nhau tùy theo trường hợp, nhiều khi bệnh có thể diễn biến một cách dao động. Những thiếu sót vận động thể hiện trên nhiều mặt như liệt nửa người, một chi hoặc tứ chi, biến đổi phản xạ gân xương, mất vận động ngôn ngữ. Dấu hiệu ngoại tháp: xuất hiện những cơn gật đầu, quay đầu, cơn quay mắt, co cứng, co vặn cơ, run, ngón tay mân mê như vấn thuốc, múa vờn múa giật, mặt nhăn nhó, chép môi. Những cơn động kinh kín đáo đôi khi chỉ có xác định được nhờ đo điện não đồ: như giật nhẹ ngón tay, hoặc miệng, rung giật nhãn cầu, nhịp thở không đều. Tổn thương thần kinh sọ não thể hiện bằng liệt vận động nhãn cầu, khoảng (space) liệt mặt, rối loạn nuốt. Các triệu chứng thần kinh thực vật rất đa dạng và nghiêm trọng. Nhiệt độ dao động khoảng 38 - 400C và nhiều khi sốt quá cao, xanh tái, rối loạn hô hấp, tăng tiết đờm dãi, chướng bụng, bí đại tiểu tiện, đầu nóng chân tay lạnh, ngoài ra có thể nôn ra máu. Biến chứng: Ngoài những trường hợp nặng gây tử vong, một số biến chứng trong quá trình nằm viện có thể làm cho bệnh nặng thêm, kéo dài thời gian điều trị. Bội nhiễm phổi ở bệnh nhân hôn mê sâu do ứ đọng đàm nhớt, mất phản xạ ho, sặc hoặc liệt hầu họng dễ đưa đến viêm phổi hít, đặt nội khí quản không săn sóc tích cực dễ làm nhiễm trùng thêm. Nhiễm trùng tiểu sau rối loạn cơ vòng, hoặc sau thông tiểu thiếu vô trùng. Phù não do hạ natri máu, nặng hơn nếu lượng dịch bù dư thừa. Những cơn động kinh ác tính xảy ra nếu không tích cực chống động kinh, chống phù não, và cung cấp đủ oxy. Biến chứng tại đường tiêu hóa: xuất huyết tiêu hóa. Suy dinh dưỡng và loét giường, thường xảy ra ở bệnh nhân nằm lâu nếu không được dinh dưỡng và săn sóc tích cực.
 |
Bệnh nhân viêm não Nhật Bản.Ảnh: P. Nagabhushana Rao |
Tử vong thường xảy ra vào ngày thứ ba đến thứ tám của giai đoạn cấp. Trong thể tối cấp, trẻ đột ngột sốt cao, kèm tiêu chảy, nôn ói, co giật, kém đáp ứng với thuốc hạ sốt và thuốc chống co giật. Sau đó nhiệt độ giảm đột ngột, trụy mạch, diễn tiến nhanh đến suy hô hấp, ngưng thở, tử vong. Có trường hợp sốt cao kèm các rối loạn thần kinh thực vật nặng nề, rối loạn hô hấp trầm trọng, tăng tiết đờm dãi, co giật liên tục, nôn ói ra máu nâu, và đột nhiên ngưng thở. Một số dấu hiệu có tiên lượng xấu: gồng ưỡn người, cứng đờ kiều mất não, phản ứng co cứng người khi kích thích, rối loạn nhịp thở, phản xạ mắt búp bê, co giật động kinh liên tục. Diễn biến thuận lợi: có liên quan một phần nhờ điều trị tích cực. Co giật ngừng sau 24 -48 giờ. Rối loạn ý thức giảm dần trong 3 đến 5 ngày. Nhiệt độ có xu hướng trở về mức độ tương đối bình thường từ tuần thứ hai trở đi. Các rối loạn khác cũng thoái giảm, sau 10 - 14 ngày. Ở một số cơ cở y tế có trang bị phương tiện hồi sức cấp cứu hiện đại tỷ lệ tử vong giảm nhưng cùng lúc tỷ lệ di chứng tăng lên, một nửa số sóng sót để lại di chứng thần kinh nặng nề. Vào khoảng 30% số sống sót có rối loạn vận động, cùng với các triệu chứng tháp sẽ nổi lên các triệu chứng ngoại tháp, hoặc hội chứng tiểu não. Khoảng 20% có rối loạn nhận thức và ngôn ngữ, 20% xuất hiện động kinh muộn. Một nửa số bệnh nhân được đánh giá phục hồi hoàn toàn, nếu kiểm tra lại bệnh nhân sau nhiều năm có khi vẫn thấy còn lại một số dấu hiệu thiếu sót kín đáo. Về mặt tâm thần, có thể thấy chậm phát triển tâm trí, rối loạn cảm xúc rối loạn hành vi tác phong sau này. Di chứng ở trẻ con thường chiếm tỷ lệ cao hơn người lớn.
+ Chẩn đoán cận lâm sàng:
Bạch cầu tăng cao, đa nhân trung tính chiếm ưu thế lúc đầu, tiếp theo sau đó là đơn nhân. Natri huyết giảm có thể xảy ra do hội chứng tiết hormone chống lợi tiểu không thích hợp. Áp lực dịch não tủy trong giới hạn bình thường hoặc tăng nhẹ. Dịch não tủy trong không màu, đạm bình thường hay tăng nhẹ, đường bình thường, tế bào tăng từ 5 đến 1000 bạch cầu/mm3 với đa nhân chiếm ưu thế lúc đầu, sau đó chuyển qua đơn nhân, có trường hợp tế bào vẫn bình thường. Phân lập được virút viêm não Nhật Bản được xem như là chẩn đoán chính xác nhất. Bệnh phẩm thường lấy là: máu, Dịch não tủy, mẫu não và tủy sống trong trường hợp tử vong. Tỷ lệ thấp vì thời gian virút huyết ngắn và nồng độ siêu vi trong máu rất thấp. Dịch não tủy có kết quả phân lập thấp. Mẫu não hoặc tủy sống của bệnh nhân tử vong trong thời kỳ cấp tính của bệnh và bệnh phẩm không được để quá 3 giờ sau khi chết, kết quả phân lập cao.
Phản ứng kết hợp bổ thể dương tính sau một tuần và tồn tại 6 - 9 tháng. Kháng thể TH có khi tồn tại suốt đời mặc dù hiệu giá xuống thấp hơn thời kỳ đầu. Phản ứng ức chế ngưng kết hồng cầu: kháng thể tồn tại 5 -10 năm. Phải có mẫu máu kép, mẫu I vào ngày 4 - 5 của bệnh, mẫu II vào tuần thứ 3 của bệnh. Chẩn đoán dương tính khi hiệu giá kháng thể lần II cao gấp 4 lần I. Hai mẫu phải được tập trung làm xét nghiệm cùng lúc trong cùng điều kiện phòng xét nghiệm.
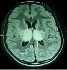
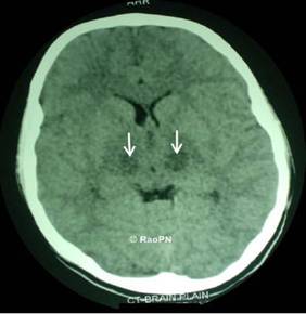
Nếu chỉ có một mẫu huyết thanh, thì hiệu giá kháng thể cao hơn 1/320 mới được xem là dương tính. Hiện nay phản ứng thường được dùng là phản ứng MAC ELISA. Phản ứng MAC ELISA: (IgM antibody capture enzyme linked immunosorbent assay): tìm kháng thể IgM, là kháng thể nói lên một nhiễm trùng mới mắc. Phản ứng này giữ vai trò quan trọng trong chẩn đoán và nghiên cứu dịch tễ học các bệnh nhiễm trùng vì kỹ thuật đơn giản và ít tốn kém. Nói chung các phản ứng huyết thanh đều có độ nhạy cao, nhưng độ đặc hiệu lại kém vì có phản ứng chéo với các giòng Flavivirus, nhất là tại những nơi có bệnh sốt Dengue, sốt xuất huyết hoặc Flavi khác lưu hành. Ngoài biện pháp phân lập virút trên các bệnh phẩm, hiện nay kỹ thuật MAC ELISA được sử dụng tìm IgM đặc hiệu trong dịch não tủy để xác định bệnh viêm não Nhật Bản trên các bệnh phẩm, hiện nay kỹ thuật MAC ELISA được sử dụng tìm IgM đặc hiệu trong dịch não tủy để xác định bệnh viêm não Nhật Bản. Phản ứng này có độ nhạy 75% trong giai đoạn cấp, trên 95% trong giai đoạn đang hồi phục, với độ chính xác > 95%. Kỹ thuật khuyếch đại gien (Polymerase Chain Reaction - PCR) là phương pháp nhân RNA của virút trong các bệnh phẩm như dịch não tủy, máu, mẫu não và tủy sống. Có thể là công cụ chẩn đoán nhiều hứa hẹn trong tương lai. Trong giai đoạn cấp thường thấy điện não đồ hoạt động sóng nhọn, gai chậm hoặc nhiều gai xen lẫn với những hoạt động chậm. Trong giai đoạn bán cấp hầu hết các trường hợp đều có sóng chậm lan tỏa ở cả hai bán cầu và có xu hướng ưu thế ở một bên. | Hình ảnh chụp CT scan não bệnh nhân viêm não Nhật Bản |
Chụp cắt lớp điện toán (CT scan - computerized tomography), cộng hưởng từ (MRI - magnetic resonnance imaging). Kết quả 50% chụp cắt lớp điện toán ở bệnh VNNB có hình ảnh giảm tỷ trọng ở một hay nhiều chỗ ở những vùng đồi thị, nhân xám nền sọ, não giữa, cầu não, hành tủy. Hình ảnh cộng hưởng từ thường rõ và nhạy hơn, cho thấy có tổn thương lan tỏa, ở hai bán cầu não, tiểu não, và có hình ảnh của xuất huyết tại đồi thị.
Chẩn đoán lâm sàng viêm não Nhật Bản theo Tổ chức y tế thế giới (1988) cho thấy có sốt trên 38 độ. Rối loạn tri giác. Dịch não tủy có đường bình thường, đạm bình thường hay tăng nhẹ. Tế bào 5 - 1000/mm3 đa số đơn nhân MAC ELISA dịch não tủy (+).
Chẩn đoán phân biệt với các bệnh sốt kèm rối loạn tri giác, có hoặc không co giật, dấu hiệu màng não.
Sốt rét thể não, rối loạn chuyển hóa: tăng hạ đường huyết, tăng hạ Natri máu... Xuất huyết não màng não ở trẻ 1 - 3 tháng tuổi. Làm xét nghiệm thường quy: công thức máu, dung tích, hồng cầu, ký sinh trùng sốt rét, đường huyết, ion đồ. Sau đó có thể làm thêm các xét nghiệm chuyên sâu hơn. Cần thăm khám, khai thác kỹ bệnh sử để không bỏ sót: chấn thương, động kinh, ngộ độc, bệnh não do cao huyết áp và có hướng làm xét nghiệm và kỹ thuật chẩn đoán cận lâm sàng cần thiết.
Viêm màng não mủ, lao, nấm: chọc dò tủy sống, xét nghiệm sinh hóa, tế bào, soi cấy vi trùng, nấm.
Viêm não do siêu vi Herpes simplex, điều trị bằng Acyclovir trong giai đoạn sớm lúc chưa hôn mê có kết quả tốt. Leptospira, sốt ve mò, áp xe não, toxoplasma não, viêm mạch máu não.
Viêm não do siêu vi khác: Sốt xuất huyết, siêu vi đường ruột, dại...
Viêm não hậu nhiễu trùng: Sởi, thủy đậu, quai bị, rubella, cúm, á cúm.
Viêm não do phản ứng tiêm ngừa: Dại, sởi.
Bệnh não không do nhiễm trùng khác: U não, hội chứng Reye's...
+ Điều trị viêm não Nhật Bản:
Hiện nay không có thuốc điều trị đặc hiệu. Điều trị chủ yếu là hồi sức cấp cứu và điều trị triệu chứng trong giai đoạn cấp. Chống sốt cao có thể dùng thuốc hạ sốt, lau bằng nước ấm. Chống phù não bằng cách hạn chế lượng nước đưa vào khoảng 50ml/kg/24 giờ, kèm thở oxy. Mannitol 20% liều 0,5g - 1g/kg/liều, truyền tĩnh mạch nhanh trong 30 - 60 phút mỗi lần, có thể lập lại mỗi 8 giờ. Chống co giật dùng Diazepam: 0,2 mg/ kg tiêm mạch, nếu cần có thể lập lại sau 15 phút, ở trẻ quá nhỏ trong cơn động kinh khó tiêm mạch có thể bơm hậu môn diazepam 0,2mg/kg đến 0,5mg/ kg một lần. Phenobarbital disodique đúng sớm hoặc trước để ngăn ngừa cơn co giật, liều tấn công 15 mg/ kg tiêm mạch chậm, sau uống liều duy trì 5 mg/ kg/ ngày.
+ Phòng bệnh:
- Phòng chống trung gian truyền bệnh:
Đối với các thủy vực lớn (ao, hồ, đầm, khúc sông...): nên thường xuyên làm sạch rong rêu (vật thể bám và trú ẩncủa ấu trùng muỗi), nuôi thả các loại cá ăn nổi, duy trì có mật độ cao đặc biệt vào mùa xuân –hè và mùa hè. Đối với các nguồn nước nhỏ hơn: như vũng nước, rãnh thoát nước, bể nước lớn hoặc bể cảnh lớn trong nhà...nếukhông lấp bỏ được thì cần làm cạn, làm vệ sinh khơi thông dòng chảy thường xuyên hoặc thả cá có thể ăn bọ gậy các loài muỗi. Những vật chứa nước phế thải nhỏ quanh khu dân cư cũng có thể là nơi sinh sản của muỗi truyền bệnh VNNB, vìvậy cũng cần được thu gom, lật úp, tiêu huỷ hàng ngày hoặc bằng các chiến dịch vệ sinh môi trường. Đối với khu ruộng lúa nước, nhất là các chân ruộng lúa nước sát khu dân cư nên chú ý khâu điều tiết tưới tiêu, kết hợp nuôi thả cá có khả năng chống chịu hạn cao để ăn bọ gậy.
Xử dụng hóa chất diệt muỗi tuy có hiệu quả nhưng chỉ giới hạn trong một không gian và thời gian nhất định, và giá thành rất cao. Sử dụng vắc xin sống giảm độc lực. Được áp dụng tại Nhật năm 1967 để ngăn chặn sự lây truyền VNNB VNNB trong tự nhiên, kết quả là số người mắc bệnh VNNB đã giảm rõ rệt tại địa phương. Việc gây miễn dịch cho heo còn nhiều khó khăn vì quần thể heo dưới 6 tháng khi còn kháng thể của heo mẹ.
- Gây miễn dịch cho người:
Vắcxin VNNB bất hoạt chế từ não chuột:
Độ tinh khiết cao, hiện nay đang được sản xuất tại Việt Nam. Miễn dịch cơ bản: 2 liều cách nhau 1 - 2 tuần, tiêm dưới da tại cơ delta. Nhắc lại 1 liều bổ sung 1 năm sau, 3 - 4 năm tiêm nhắc lại một liều. Dưới 3 tuổi tiêm 0,5ml, trên 3 tuổi tiêm 1ml. Chống chỉ định: sốt cao hoặc bệnh nhiễm trùng đang tiến triển. Bệnh tim, thận, gan. bệnh riểu đường hoặc suy dinh dưỡng. Bệnh ung thư máu và các bệnh ác tính nói chung. Bệnh quá mẫn. Phụ nữ có thai. Phản ứng phụ: tại chỗ, đỏ vùng tiêm, sưng tấy vùng tiêm. Toàn thân, sốt, ớn lạnh, nhức đầu.
Vắcxin bất hoạt chế từ nuôi cấy tế bào:
Năm 1967 Trung Quốc đã sản xuất vắc xin viêm não Nhật Bản bất hoạt bằng formalin từ tổ chức nuôi cấy tế bào thân chuột đất vàng bị nhiễm virút.
Vắcxin sống giảm độc lực:
Trung Quốc đã phát triển chủng virút viêm não Nhật Bản sống giảm độc lực bằng cấy truyền nhiều lần trên tổ chức nuôi cấy tế bào thận chuột đất vàng và tinh khiết các đám mảng hoại tử.
|
Sơ đồ bộ gen của virus viêm não Nhật Bản. Hệ gen của chúng là một sợi, phân tử RNA có chứa một khung đọc mở (ORF) mã hóa các polyprotein của virus với 5 'và 3' khu vực không được phiên dịch (UTRs). Các protein được mã hóa sau đó tự lắp ráp thành viêm não Nhật Bản hoàn tất vi-rút hạt. |
Sự phát triển của vắcxin thế hệ thứ 2: Sử dụng công nghệ tái tổ hợp ADN từ protein kháng nguyên E, tạo ra vắcxin có hiệu lực an toàn và hiệu quả kinh tế cao.
Ở Việt Nam chúng ta, bệnh viêm não Nhật Bản chiếm một tỉ lệ lớn (46%) trong bệnh viêm não cấp nhập Bệnh viện Nhi Ðồng I. Các trường hợp bệnh phân bố rải rác ở các tỉnh và các huyện ngoại thành, TP Hồ Chí Minh. Việc chủng ngừa bệnh viêm não Nhật Bản đã giảm tỉ lệ mắc bệnh tại các nước Trung Quốc, Nhật Bản, Hàn Quốc, Ðài Loan và ở miền bắc nước ta. Loại vaccin bất hoạt hóa có nguồn gốc từ não chuột được sản xuất tại Nhật Bản, Hàn Quốc, Ðài Loan, Thái lan và Việt nam, được sử dụng cho các trẻ nhỏ hai liều đầu tiên và sau đó nhắc lại từ 4 đến 6 lần cho đến lúc 15 tuổi. Hiệu quả của loại vaccin này là 91%. Việc kiểm soát vectơ truyền bệnh và chủng ngừa cho heo cũng được tổ chức y tế thế giới khuyến cáo nhằm giảm tỉ lệ mắc bệnh viêm não Nhật Bản ở người. Biểu hiện lâm sàng nổi bật nhất trong bệnh viêm não Nhật Bản ở trẻ em tại BV Nhi Ðồng I là sốt và rối loạn tri giác, co giật, gồng chi. Ðây là một nguyên nhân quan trọng trong bệnh viêm não cấp ở trẻ em. Tỉ lệ tử vong còn cao và di chứng thần kinh còn nặng nề. Nên đưa chủng ngừa viêm não Nhật Bản vào chương trình tiêm chủng bắt buộc cho những trẻ có nguy cơ cao mắc bệnh.