Bệnh Chagas theo phân loại khoa học của ICD-10 là B57 và theo Medline là Emed001372, tên bệnh được đặt tên theo tên của thầy thuốc người Brazil tên là Carlos Chagas, đồng thời là người khám phá ra bệnh lần đầu tiên năm 1909. Bệnh gây ra do loài ký sinh trùng Trypanosoma cruzi, lây truyền sang các động vật và người do các vector côn trùng, các vector này chỉ được tìm thấy từ châu Mỹ (chủ yếu các vùng nông thôn của châu Mỹ La tinh-nơi mà đói nghèo diễn raphổ biến). Bệnh Chagas còn gọi là nhiễm trùng T. cruzi, hoặc bệnh do ký sinh trùng trypanosoma châu Mỹ (American trypanosomiasis), xảy ra ở châu Mỹ, đặc biệt là Nam Mỹ. quá trình lan truyền do tác nhân đơn bào hình roi tên là Trypanosoma cruzi, truyền sang người và một số động vật khác thông qua các con bọ xít thuộc họ phụ (subfamily) Triatominae (họ Reduviidae). Các côn trùng này được biết với nhiều tên gọi khác nhau tùy theo từng quốc gia như tên “benchuca, vinchuca, kissing bug, chipo và barbeiro”. Hầu hết các loài côn trùng thuộc vào giống (genera) Triatoma, Rhodnius, và Panstrongylus. Các hình thức lan truyền khác như tiêu hóa các thức ăn bị nhiễm ký sinh trùng, truyền máu và lây truyền từ mẹ sang con.
Bệnh Chagas là một bệnh nhiễm trùng gây bởi đơn bào Trypanosoma cruzi. Lan truyền từ người sang người do vết đốt của một loại côn trùng gọi là bọ xít “reduviid bug” (hay “kissing bug”, “assassin bug”, hoặc triatomine). Các côn trùng này tìm thấy chỉ ở châu Mỹ, nơi điển hình mà những người đang sống trong các vùng nông thôn tại châu Mỹ La tinh.
Bệnh Chagas là một bệnh ký sinh trùng ở người tại vùng nhiệt đới, và các nhà khoa học xem nó như một căn bệnh nhiệt đới bị lãng quên ("Neglected Tropical Disease_NTDs") được nghiên cứu rất ít so với 3 căn bệnh truyền nhiễm lớn khác làAIDS, lao và sốt rét.
Lịch sử bệnh Chagas
Dù bệnh đã được ghi nhận và đặt tên đầu tiên theo tên thầy thuốc và là nhà truyền nhiễm người Brazil tên là Carlos Chagas lần đầu vào năm 1909, nhưng khi đó chưa được xem là vấn đề y tế công cộng quan trọng ở người cho đến những năm 1960. tác giả này đã khám phá ra loài đơn bào hình roi có ái tính với bọ Triatomidae, một loài mới của giống Trypanosoma, và đã chứng minh có thể lây truyền trong điều kiện thực nghiệm trên khỉ đuôi sóc của châu Mỹ sau khi cho đốt bởi các con bọ nhiễm bệnh.
Tên ký sinh trùng ban đầu của bệnh Chagas là Schizotrypanum cruzi (sau đó đổi tên là Trypanosoma cruzi), sau khi Oswaldo Cruz, cũng thầy thuốc người Brazil và nhà dịch tễ học đã từng thành công đến các vụ dịch sốt vàng, đậu mùa, dịch hạch thể hạch tại Rio de Janeiro và một số thành phố khác vào đầu thế kỷ 20. Công trình nghiên cứu bệnh Chagas’ là độc nhất trong lịch sử y học, vì không những nghiên cứu mô tả một bệnh truyền nhiễm mới: về cả bệnh học, vector, vật chủ, đặc điểm lâm sàng và dịch tễ học một cách hoàn hảo. Tuy nhiên, ông ta ít nhất đã sai lầm đến năm 1925, là con đường lây truyền chính là do côn trùng hoặc bởi phân của chúng và được đề nghị bởi đồng nghiệp Emile Brumpt năm 1915 và bảo đảm chỉnh sưar bởi Silveira Dias năm 1932, Cardoso năm 1938 và chính Brumpt năm 1939.
Một khía cạnh lịch sử khác rất thú vị bởi một nhà bác học gắn với căn bệnh này đã đặt ra giải thuyết rằng Charles Darwin (1809-1882)-một trong những nhà phát minh ra thuyết tiến hóa có thể đã mắc phải căn bênh này do vết đốt của bọ khi đó gọi là bọt xít đen khổng lồ “Great Black Bug” của Pampas (vinchuca). Bệnh sử đã được báo cáo trong nhật ký của Darwin trên chuyến du lịch Beagle vào tháng 3 năm 1835 đến miền đông của dãy Andes gần Mendoza. Darwin còn nhỏ và nói chung sức khỏe tốt dù 6 tháng trước đó anh ta bị bệnh trong 1 tháng gần Valparaiso, nhưng năm 1837, gần một năm sau ông trở về Anh, bắt đầu chịu các triệu chứng chóng mặt, nhức đầu, chuột rút, suy mòn, nôn mửa, nổi các mụn nước trên da, mất ngủ, trầm cảm và nhiều biến chứng khác hành hạ từng đợt và khiến cho anh ta mất nhiều khả năng sống trong quãng đời còn lại hơn 40 năm,bác sĩ Saul Adler chuyên khoa về y học nhiệt đới người Israeli, lần đầu tiên đưa ý kiến là bản thân Darwin mắc bệnh này. Thêm vào đó, Darwin bị đốt do bọ xít trong lúc ông đang đi du lịch. Song giả thuyết cho bệnh của Darwin hiện vẫn đang còn tranh luận. Các cố gắng kiểm tra về bệnh cho Darwin tạiWestminster Abbey vẫn còn đó nhờ vào sử dụng các kỹ thuật PCR hiện đại song bị chối từ bởi nhà quản lý bảo tàng Abbey.
Đặc điểm dịch tễ học của bệnh & một số yếu tố nguy cơ
Bệnh Chagas hay bệnh American trypanosomiasis, gây nên do ký sinh trùng Trypanosoma cruzi. Hầu hết nhiễm thường do mắc phải hoặc phơi nhiễm với phân của các con bọ xít (triatomine bug hoặc kissing bug), một loại côn trùng hút máu ở người và động vật. Bệnh lưu hành khắp các vùng Mexico, Trung Mỹ và Nam Mỹ, ước tính đến 8-11 triệu người nhiễm. Bọ triatomine phát triển mạnh trong điều kiện sống thấp (tường ẩm thấp, mái tranh hay rạ), vì thế tại các quốc gia lưu hành bệnh, những người sống tại các vùng nông thôn có nguy cơ cao nhất để nhiễm bệnh. Các nỗ lực của y tế công cộng nhằm mục đích ngăn lan truyềnbệnh để giảm số ca mắc mới và ngăn chặn quá trình lan truyền do vector tại một số vùng Nhiễm ký sinh trùng này mắc phải do các chế phẩm máu được truyền từ người cho, cấy ghép cơ quan, lan truyền bẩm sinh vẫn tiếp tục đe dọa tính mạng cộng đồng. Hầu hết bệnh nhân mắc Chagas tại Mỹ mắc phải tại các quốc gia lưu hành bệnh. Mặc dù có nhiều bọ xít triatomine tại Mỹ, song bọ lây bệnh Chagas thì được báo cáo rất hạn hữu.
Về phân bố địa lý của bệnh, châu Mỹ từ phía nam nước Mỹ đến phía nam Argentina. Hầu hết các vùng nông thôn, nghèo khổ của Mexico, Trung Mỹ và Nam Mỹ. Bệnh Chagas mạn tính là một vấn đề y tế công cộng tại nhiều quốc gia thuộc châu Mỹ Latin. Bệnh hiện đã giết chết khoảng 50.000 người và ảnh hưởng đến 16-18 triệu người mỗi năm và khoảng 60 triệu người có nguy cơ mắc bệnh. Bệnh Chagas mạn tính vãn còn là một vấn đề y tế cộng cộng quan trọng tại nhiều quốc gia châu Mỹ Latin, dù hiệu quả của một số biện pháp vệ sinh và dự phòng đã triển khai như là loại trừ lan truyền của con trùng, giảm đến zero số ca mắc mới tại ít nhất 2 quốc gia trong vùng. Tuy nhiên, với sự gia tăng di dân của quần thể, khả năng lan truyền bệnh do truyền máu trở nên là vấn đề đáng chú ý tại các quốc gia như Mỹ. T. cruzi cũng được tìm thấy nhiễm trên các loại thú có túi và gấu trúc của phía bắc Carolina.
Bệnh phân bố tại châu Mỹ, chủ yếu từ nam của Mỹ sang phía nam Argentina, hầu hết tại các vùng nông thôn nghèo của Trung Mỹ và Nam Mỹ. Bệnh có vẻ dành riêng cho các vùng nông thôn, những nơi có mặt của bọ xít Triatominae sinh sôi và hút máu các loài động vật trong tự nhiên (nhất là thú có túi và đông vật có vú) của T.cruzi. Tùy thuộc vào tương tác cục bộ đặc biệt của các vector và vật chủ của chúng, người và vật nuôi nhiễm bệnh như mèo, chó, heo và các động vật hoang dại như các loài gặm nhấm, khỉ, sóc (Spermophilus beecheyi) và nhiều loài khác cũng đóng vai trò như ổ chứa ký sinh trùng quan trọng. Dù các bọ xít Triatominae hút máu trên các loài chim, điều này dường như có miễn dịch chống lại nhiễm trùng và do vậy không phải là ổ chứa của ký sinh trùng T. cruzi; nhưng vẫn còn những nghi ngờ về nguồn chúng lấy thức ăn đối với các vector sống gần người.
Theo Cơ quan y tế thế giới tại châu Mỹ (Pan American Health Organization_PAHO)ước tính khoảng 7.7 triệu người bị nhiễm T. cruzi gần đây tại 21 quốc gia lưu hành bệnh trên tổng dân số quần thể là 532. PAHO cũng ước tính xấp xỉ 41.200 ca mới nhiễm T. cruzi gia tăng lên mỗi năm và 14.000 trẻ em nhỏ sinh ra có bệnh lý Chagas bẩm sinh hàng năm. Theo ước tính của PAHO, các quốc gia bị ảnh hưởng do bệnh Chagas nhiều nhất là: Bolivia (6.8% số ca báo cáo); Argentina (4.1%); El Salvador (3.4%); Honduras (3.1%); Paraguay (2.5%); Guatemala (2%); Ecuador (1.7%); French Guyana, Guyana và Surinam (1.2%); Venezuela (1.2%); Nicaragua (1.1%); Brazil (1%); Mexico (1%). Những năm gần đây, dịch tễ học của nhiễm trùng T. cruzi được cải thiện đáng kể tại nhiều quốc gia, ngan hàng máu và chương trình phòng chống vector đã được thiết lập. Vì các thành công của chương trình định hướng vào công tác phòng chống vector,tỷ lệ mắc bệnh trên nhóm tuổi nhỏ đã và đang giảm tại nhiều vùng. Tất cả quốc gia lưu hành bệnh có luật pháp quy định và điều luật cho sàng lọc máu để phát hiện T. cruzi và một số quy tắ ngoại lệ, các chương trình sàng lọc toàn cầu đã được xác lập có hiệu quả.
Một chương trình hợp tác quốc tế về phòng chóng vector tại các quốc gia "Southern Cone" của Nam Mỹ (Bolivia, Argentina, Paraguay, Brazil, Chile, Uruguay), điều hành bởi WHO và PAHO, cung cấp mạng lưới và chương trình hoạt động này. Như trên đã biết, Uruguay và Chile đã đươc cấp chứng nhận không còn lan truyền T. cruzi năm 1997 và 1999, Brazil vào năm 2006. Argentina đang tiến dần đến đạt chứng nhận này và một tiến trình quan trọng để đạt mục tiêu này chính tại cả Paraguay và Bolivia. Điều quan trọng là các chương trình phòng chống tương tự nhau đã được thiết lập tại các quốc gia vùng Andean và Trung Mỹ. Tại Mexico, xây dựng luật sàng lọc phạm vi toàn quốc theo khuyến cáo và làm thế nào để tăng hiểu biết vè bệnh do nhiễm T. cruzi và xem đó như một vấn đề y tế công cộng quan trọng của các quốc gia. Hiện nay, chỉ khoảng 13% số người cho máu tại Mexico được sàng lọc tìm T. cruzi. Theo quan điểm của các tác giả, tiến trình không lồ phòng chóng bệnh Chagas trong vài thập niên gần đây chỉ rõ các trở ngại trong quy trình loại trừ bệnh lan truyền bệnh T. cruzi sang con người, làm ảnh hưởng đến nền kinh tế và chính trị. Trong bối cảnh đó, không hoặc chưa có một tiến bộ nào hơn, bằng cách hiểu sâu hơn về cơ chế bệnh sinh bệnh Chagas, phân tích về mặt di truyền, kỹ thuật chẩn đoán mới, và phát triển vaccine là những vấn đề cần thiết để hoàn tất phòng chống bệnh Chagas tốt hơn. Các điều tra khác cũng đang tiếp cận các công nghệ cao để hỗ trợ khóng chế bệnh Chagas.
Tên thông dụng của côn trùng vector ở Brazil, barbeiro ("thợ cạo”), vì thế có tên gọi bởi nó hút máu ban đêm do đốt vào mặt các nạn nhân, biểu hiện tập tính của nó. Các loài côn trùng thì chúng có ái tính ngay tại chỗ nhà và có ái tính với người nên dễ gây nhiễm, thường chúng ẩn trong các khe kẻ hoặc các lỗ của tường vách và mái nhà có cấu trúc đơn sơ bằng tranh, gỗ mục. Hiếm hơn, các ngôi nhà có kiến trúc tốt hơn sẽ không phải là nơi ẩn chứa của vector, do người ta không sử dụng một số vật liệu làm mái như tre, tranh. Màn chống muỗi, drap trải nệm sẽ bảo vệ khỏi các tình trạng bọ xít vào, khi các côn trùng trưởng thành có thể đi từ trên xuống dưới. Ngay cả khi các bầy côn trùng bị loại khỏi nhà và các động vật quanh nhà, chúng cũng có thể, quay vào trở lại (bay vào nhà) từ các cây cối hoặc động vật khác, xem đó như một chu trình nhiễm trong rừng cổ xưa, tự nhiên. Điều này đặc biệt có thể xảy ra trong các vùng lai tạo giữa savannah mở, nhiều bụi cây,…gần nơi ở với con người.
Thảm thực vật dày đặc hay rậm rạp như các khu rừng mưa nhiệt đới và các nơi ở đô thị sẽ không phải là nơi lý tưởng để thiết lập chu kỳ lan truyền cho bệnh. Tuy nhiên, các vùng mà tập quán sống rừng núi và quần thể động vật thưa thớt do mục đích phát triển kinh tế và nơi ở của con người, như các vùng phá rừng mới đây của vùng Amazon, khi đó côn trùng sẽ đi tìm nơi có con mồi mới.
Cơ hội để phát triển bệnh Chagas
Tỷ lệ mắc bệnh Chagas dao động lớn. Hầu như bệnh Chagas xảy ra ở Trung và Nam Mỹ.Ngoài các vùng lưu hành này thì bệnh còn lại các vùng khác rất hiếm. Tại một số vùng của Mỹ Latin, các chương trình phòng chống vector nhằm giết các bọ reduviid thành công trong việc làm dừng lan rộng bệnh.
Bệnh Chagas không lưu hành tại vùng Caribbe (chẳng hạn không tìm thấy ở Puerto Rico hay Cuba). Các bệnh Chagas lây truyền do côn trùng đã được báo cáo tại phía nam nước Mỹ. Người ta ước tính khoảng 8-10 triệu người tại Mexico, Trung Mỹ và Nam Mỹ có bệnh Chagas, hầu hết họ không biết mình bị nhiễm, nếu không điều trị thì mầm bệnh có thể tồn tại trong cơ thể một thời gian dài và có thể đe dọa đến tính mạng bệnh nhân, điều này cho thấy những người dân di cư từ các vùng lưu hành bệnh có nguy cơ lâu dài và phát triển các biến chứng nặng do bệnh.
Tác động và ảnh hưởng của bệnh Chagas không giới hạn tại các vùng nông thôn của Mỹ Latin, nơi mà các bọ xít reduviid lan rộng bệnh. Sự di dân quy mô lớn từ nông thôn lên thành phố của các vùng Mỹ Latin và các vùng khác của thế giới đã gia tăng theo phân bố địa lý toàn cầu và thay đổi hình ảnh dịch tễ học của bệnh Chagas. Tại Mỹ và một số vùng khác nơi mà có bệnh Chagas nhưng bệnh không lưu hành, nên các chiến lược phòng chống tập trung vào ngăn ngừa lan truyền bệnh theo con đường truyền máu, ghép tạng, từ mẹ sang con. Trong những vùng nhiễm bệnh xảy ra thường xuyên thì vấn đề mắc phải ở trẻ xảy ra nhiều hơn.
Làm thế nào bệnh Chagas lại lan rộng?
Con người bị nhiễm bệnh Chagas theo một số hình thức khác nhau, con đường lây chính là do bọ xít đốt, nên hay gọi là bệnh lây truyền qua vector (vector-borne transmission). Các con bọ xít hút máu này bị nhiễm là do khi chúng hút máu các động vật và người nhiễm mầm bệnh sẵn có. Một khi bị nhiễm, bọ xít sẽ đẩy ký sinh trùng T. cruzi ra theo phân. Các bọ này tìm thấy trong các ngôi nhà làm bằng các chất liệu như bùn, đất sét, gạch sống, rơm, rạ. Trong các nhà đó, bọ ẩn mình trong các vết nứt kẻ của tường vách và mái tranh.
Vào ban đếm, khi mọi người đang ngủ, bọ xít lại xuất hiện. Bọ Reduviid cũng được xem là “kissing bugs” bì chúng thường ăn trên mặt người. Các con bọ thải phân trên da sau khi đốt và tiêu máu. Người bị đốt bị nhiễm nếu có ký sinh trùng T. cruzi trong phân của bọ xít vào cơ thể qua đường màng nhầy hoặc vết thương trên da. Khi đó, nhưng ai đang ngủ tình cờ chà xát hoặc gãi nhẹ phân bọ lên các vết thương hoặc mắt hoặc miệng thì sẽ bị bệnh.
Người bị nhiễm theo một số con đường khác nhau:
·Ăn các thực phẩm chưa nẫu chín có dính phân của bọ xít nhiễm bệnh;
·Truyền bệnh từ phụ nữ mang thai sang con của họ (# 1-5% số bà mẹ mang thai);
·Truyền máu (# 20% số người nhận bị từ các mẫu máu nhiễm bệnh);
·Ghép tạng và cơ quan;
·Phơi nhiễm tình cờ với các chế phẩm dính mầm bệnh tại phòng thí nghiệm.
Nói chung cân nhắc thận trọng về vấn đề an toàn khi cho trẻ bú mẹ nếu mẹ bị nhiễm bệnh Chagas. Song, nếu mẹ có núm vú rạn nứt hoặc chảy máu ra theo sữa, người mẹ nên bơm và chữa lành núm vú trước khi tiến hành cho bú. Bệnh Chagas không truyền từ người sang người thông qua con đường tự nhiên tình cờ như cúm hay cảm.
Tác nhân gây bệnh và đặc điểm hình thái học của ký sinh trùng Trypanosoma spp.
Ký sinh trùng có tên gọi là Trypanosoma cruzi, một thành viên của họ Trypanosomatidae trong bộ Kinetoplastida và thuộc một nhóm đặc biệt gọi là Stercoraria. Bên trong chứa một flagellum và mitochondrion định vị tại Kinetoplast, cơ quan tế bào chứa DNA, về mặt định hình thái học của Trypanosoma cruzi cần gián biệt với Trypanosoma rangeli (loại không gây bệnh) tại mọt số vùng ở Trung và Nam Mỹ. Thể nhiễm của T. cruzi chứa trong phân của vector côn trùng và đi vào lại các vật chủ đọng vật có vú thông qua nhiều con đường lây nhiễm. Cơ chế này khác biệt với 2 phụ loài (subspecies) của African trypanosomes (gây bệnh cho người), Trypanosoma brucei gambiense và Trypanosoma brucei rhodesiense, truyền qua nước bọt của các vector và với cơ chế này thì trypanosome không gây bệnh tìm thấy ở châu Mỹ, Trypanosoma rangeli, lây truyền đến các vật chủ động vật có vú. Ký sinh trùng này gây bệnh Chagas, là một bệnh truyền từ động vật sang người qua các loại bọ xít triatomine hút máu. Ký sinh trùng này liên quan chặt chẽ với bệnh ngủ châu Phi và bệnh Leishmaniasis ở Nam Mỹ.
Chu kỳ phát triển của ký sinh trùng Trypanosoma spp.
Dựa vào hình ảnh trên, có thể minh họa toàn bộ chu kỳ của loài đơn bào này.
-Các vector côn trùng triatoine nhiễm bệnh (hoặc “kissing” bug) ăn máu và ly giải ra các trypomastigotes trong phân của chúng gần vị trí vết đốt. Những trypomastigotes đi vào cơ thể qua vết thương hoặc qua các màng nhầy, như kết mạc conjunctiva (1).
-Các loài vector triatomine thường gặp đối với bệnh trypanosomiasis lệ thuộc vào giống Triatoma, Rhodinius, và Panstrongylus. Bên trong vật chủ, các trypomastigotes xâm nhập vào các tế bào ở gần vị trí bọ xít, nơi mà ký sinh trùng trưởng thành nên amastigotes nội bào(2)
-Các amastigotes nhân lên bằng cách phân chia và nhân đôi (3) và biệt hóa thành trypomastigotes, tiếp đến trypomastigotes ly giải vào trong tuần hoàn theo dòng máu máu (4).
-Trypomastigotes nhiễm vào các tế bào của các mô và chuyển dạng thành dạng amastigotes nội bào bên trong các vị trí nhiễm trùng mới. Các đặc điểm lâm sàng có thể hình thành từ chu kỳ nhiễm này mà sinh ra. Các trypomastigotes trong dòng máu không nhân lên (khác với African trypanosomes). Quá trình sao chép chỉ tiếp tục khi ký sinh trùng đi vào các tế bào khác hoặc bị nuốt bởi một vector khác. Các bọ xít này bị nhiễm do quá trình ăn máu của động vật hoặc người có chứa sẵn ký sinh trùng trong máu (5).
-Các trypomastigotes được tiêu hóa vào chuyển dạng thành epimastigotes bên trong ruột của các vector (6).
-Các ký sinh trùng nhân lên (7) và biệt hóa thành thể metacyclic trypomastigotes gây nhiễm trong ruột hindgut (8).
-Trypanosoma cruzi cũng có thể truyền qua đường truyền máu, ghép tạng, qua nhau thai và các tai nạn trong phòng thí nghiệm.
Trong chu kỳ sinh bệnh cần lưu ý một số điểm: các côn trùng bọ xít triatomine hút máu và ly giải các trypomastigotes theo phân ra ngoài dính tại vết thương (da, mắt, kết mạc, vết thương hở vốn có sẵn trên da). Sau khi đi vào cơ thể thì các trypomastigotes xâm nhập vào các tế bào biệt hóa thành amastigote nội bào. Các amastigotes nhân lên và chuyển thành trypomastigote rồi kế đó lý giải vào trong tuần hoàn máu các trypomastigotes. Các đặc điểm lâm sàng từ chu kỳ nhiễm này và sự chết tế bào ở mô đích. Chẳng hạn, kết quả phân tích từ các nhà bệnh học người Úc-Brazil tên là Fritz Köberle vào những năm 1959 tại đại học y khoa São Paulo tại Ribeirão Preto, Brazil, cho thấy các amastigote nội bào đã phá hủy các neuron trong vách ucar hệ thần kinh tự chủ trong ruột và tim, dẫn đến các hiện tượng phì đại ruột (megaintestine) và phình các mạch máu tim (heart aneurysms).
Các trypomastigote trong dòng máu không sao chép (điều này khác với bệnh do ký sinh trùng African trypanosomes). Sự sao chép tiếp tục chỉ khi nào ký sinh trùng đi vào trong những tế bào khác hoặc bị một vector nào khác ăn phải. Các bọ xít “kissing bug” nhiễm bệnh do hút phải máu người và động vật có sẵn mầm bệnh lưu hành trong máu. Các bọ xít có lan rộng nhiễm sang vật chủ khác thông qua hành vi vốn dĩ có. Các trypomastigotes bị tiêu hóa chuyển thành epimastigotes trong ruột của vector. Các đơn bào nhân lên và biệt hóa thành thể gây nhiễm gọi là metacyclic trypomastigote tại ruột.
Trypanosoma cruzi cũng có thể truyền qua con đường truyền máu, ghép tạng, qua nhau thai hoặc sữa cho con bú, thậm chí các tai nạn trong phòng thí nghiệm. Theo WHO thì tỷ lệ nhiễm bệnh trong ngân hàng máu tại châu Mỹ Latin dao động 3-53%, một con số cao hơn nhiễm HIV, virus viêm gan siêu vi B và C.
Cơ chế nhiễm trùng khác
Các nhà nghiên cứu nghi ngờ từ năm 1991 quá trình lan truyền của trypanosome qua đường ăn uống có thể chắc chắn xảy ra, do một số vụ dịch nhỏ (micro-epidemics) giới hạn trong phạm vi vùng và thời gina đặc biệt (như các nông trang hoặc chỗ ở trong gia đình), đặc biệt tại các vùng không có lưu hành bệnh như vùng Amazon (17 đợt dịch như thế đã được báo cáo từ năm 1968 -1997). Năm 1991, các nông dân ở bang Paraíba, Brazil, hình như bị nhiễm do thức ăn nhiễm mầm bệnh với phân động vật thú có túi và vào năm 1997, tại Macapá, bang Amapá, 17 thành viên của 2 gia đình bị nhiễm bởi các lòng bàn tay nhiễm mầm bệnh có dính phân của các côn trùng có phân triatomine. Đầu năm 2005, một vụ dịch khác với 27 ca được phát hiện tại Amapá.
Gần đây, một vụ dịch xảy ra ghi nhận tại bang Santa Catarina, Brazil có xác định thêm cơ chế lan truyền bệnh khác. Một số người tại Santa Catarina dã dùng đường, nước đóng chai ("garapa", tại Bồ Đào Nha) bởi một kiosk ven đường bán ra nhiễm phải bệnh Chagas. Đến năm 2005, tổng số 49 ca đã được xác định ở Santa Catarina, gồm 6 ca tử vong. Cơ chế giả thuyết đưa ra từ lâu là các côn trùng mang đơn bào trypanosome đã được ghi nhận trong các thực phẩm chế biến sống. Các nhà nghiên cứu của Brazil tại Viện Oswaldo Cruz, Rio de Janeiro, qua thực nghiệm cho biết có thể gây nhiễm cho chuột thông qua một ống đưa vào đường tiêu hóa bởi các chế phẩm thực phẩm nhiễm đơn bào trypanosome.
Các chức trách y tế ở bang Santa Catarina ước tính 60.000 người có thể tiếp xác với các thực phảm nhiễm bẩn ở Santa Catarina và cảnh báo tất cả mọi người trong tình huống này phải thử máu. Họ cũng đã bị ngăn chặn bán các loại nước trái cây đóng chai cho đến khi tình trạng bệnh này được hiệu chỉnh. Mức độ trầm trọng của bệnh khác thường từ vụ dịch đã quy kết trách nhiệm thuộc về mật độ ký sinh trùng là mầm bệnh lây nhiễm chính.
Dấu chứng, triệu chứng và hội chứng bệnh Chagas
Nhiều triệu chứng của bệnh mà đến này vẫn chưa biết, các triệu chứng đã biết của bệnh Chagas chủ yếu do kinh nghiệm với các người lớn nhiễm bệnh cũng như trẻ em sau khi bị đốt bởi bọ xít reduviid. Bệnh có thể hoạt động và biểu hiện khác nhau trong các thời điểm khác nhau của cuộc đời; mặt khác, chúng còn lệ thuộc vào các chủng khác nhau của ký sinh trùng T. cruzi. Bệnh diễn tiến với 2 giai đoạn, cả hai giai đoạn đều có triệu chứng thay đổi từ không biểu hiện đến biểu hiện đe dọa tính mạng bệnh nhân.
 | |
Đứa trẻ có u Chagas bên mi mắt phải. Nguồn Wikimedia Commons | Hình thái học Trypanosoma cruzi trên lam máu soi dưới KHV Nguồn: CDC và NIH |
Theo như trên, bệnh có cả giai đoạn cấp tính và mạn tính, pha cấp tính có thể kéo dài vài tháng trong khi đó các bệnh nhân biểu hiện sốt, suy nhược, đau toàn thân và các triệu chứng khác. Pha mạn tính có thể kéo dài cả đời, nhưng các triệu chứng có thể hoặc không thể xảy ra và nhiều người nhiễm mạn tính không nhận ra là mình bị nhiễm đơn bào này. Trong một số trường hợp, bệnh mạn tính dẫn đến các biến chứng tiêu hóa và tim mạch.
Giai đoạn cấp tính
Bệnh Chagas cấp xảy ra ngay sau khi nhiễm trùng, có thể kéo dài vài tuần (4-8 tuần) đến vài tháng, có thể không được chú ý, hoặc/ và ký sinh trùng có thể tìm thấy trong máu lưu thông. Diễn tiến có nhẹ hoặc hoàn toàn mang trùng mà không có triệu chứng. Dấu chứng có thể trùng lắp do nhiều bệnh khác (sốt, suy nhược, đau mình mầy, nhức đầu, chán ăn, nôn mửa, tiêu chảy, phát ban). Tuy nhiên, dấu chứng sốt và sưng phồng lên tại vùng bị bọ đốt (nơi mà ký sinh trùng đi vào da hoặc niêm mạc nhầy) có thể điển hình. Hiếm khi, nhiễm trùng cấp có thể dẫn đến sự viêm nhiễm nghiêm trọng đến cơ tim hoặc nhiễm trùng ở não và lớp màng não.
|
Tổn thương tim do bệnh Chagas. Nguồn CDC |
Trong pha cấp, vị trí node trên da gọi là các chagoma có thể xuất hiện tại vị trí bọ xít đốt. Khi vị trí đốt này là kết mạc thì bệnh nhân có thể bị phù quanh ổ mắt một bên mắt, viêm kết mạc và viêm hạch lympho. Chùm thử nghiệm cận lâm sàng hướng đến dấu hiệu đặc trưng trên lâm sàng là dấu Romaña. Một số trường hợp (10-20%)chuyển sang giai đoạn mạn tính và tái xuất hiện vài năm sau đó.
Các dấu chứng qua thăm khám thực thể có thể gồm gan lách lớn, các tuyến sưng phồng hoặc sưng phồng tại chỗ của vết đốt gọi là “chagoma” và cũng là nơi ký sinh trùng đi vào cơ thể. Dấu hiệu nhận ra thường nhất của giai đoạn cấp của bệnh Chagas gọi là dấu Romaña, dấu Romaña là dấu hiệu sưng phồng ở bên mi mắt phải cũng là dấu chỉ điểm của bệnh lý Chagas cấp tính, dấusưng phồng này do phân của bọ xít rơi nhiễm tình cờ do chà sát tay dính phân lên trên mắt hoặc vì vết đốt của bọ xít đốt làm vết thương tại vị trí này làm sưng cả mắt và mặt. Bệnh Chagas là một bệnh cấp tính và có gia định mạn tính.
Nếu không điều trị có thể diễn ra quá trình nhiễm trùng lâu dài. Thậm chí nếu các triệu chứng phát triển trong pha cấp, bệnh nhân thường gầy đi trong vòng một vài tuần đến vài tháng. Nhiễm trùng tồn tại nếu không điều trị, thậm chí khi triệu chứng mất đi. Hiếm hơn, các trẻ em nhỏ trong pha cấp của bệnh Chagas có thể tử vong do nhiễm trùng nặng lên cơ tim (viêm cơ tim) hoặc viêm não màng não. Pha cấp cũng có thể nghiêm trọng trên các bệnh nhân suy yếu hệ miễn dịch, như người già hoặc nhiễm HIV/AIDS.
Giai đoạn mạn tính
Tiếp sau pha cấp tính, hầu hết các người bị nhiễm đi vào thể bệnh không triệu chứng kéo dài (gọi là "chronic indeterminate") trong thời gian này thường không phát hiện ký sinh trùng hoặc chỉ phát hiện một vài con tìm thấy trong máu và đặc biệt bệnh nhân không hề biết mình bị nhiễm trùng này. Nhiều người vẫn không có xuất hiện triệu chứng trong cả đời sống của họ và cũng không bao giờ phát triển hay hình thành nên các triệu chứng của bệnh Chagas. Tuy nhiên, ước tính 20-30% số người nhiễm sẽ phát triển thành bệnh và đôi khi có các vấn đề đe dọa tính mạng bệnh nhân.
Triệu chứng có thể không xảy ra sau vài năm đén hàng thập kỷ. Tác động của bệnh lên trên hệ thần kinh, hệ tiêu hóa và tim mạch. Nhiễm trùng mạn tính dẫn đến nhiều rối loạn thần kinh, gồm chứng mất trí, tổn thương cơ tim (bệnh cơ tim và là triệu chứng nghiêm trọng nhất). Đôi khi dãn đường ống tiêu hóa (phình đại tràng và phình thực quản) cũng như sụt cân. Khó nuốt có thể là triệu chứng ban đầu của các rối loạn tiêu hóa và có thể dẫn đến suy dinh dưỡng. Sau vài năm bệnh không có triệu chứng, 27% số này hình thành nên các tổn thương tim mạch, 6% phát triển thành tổn thương ống tiêu hóa và 3% có dấu hiệu thần kinh ngoại vi liên quan.
Thông thường pha mạn tính không có triệu chứng, nhiễm trùng có thể vẫn âm thầm trong vài chục năm hoặc thậm chí cả đời, đây gọi là dạng bệnh mập mờ, không rõ ràng ("indeterminate form") của bệnh và khoảng ¾ số người nhiễm ở trong giai đoạn này và chưa bao giờ trở nên tình trạng xấu lên. Tuy nhiên, khoảng ¼ số bệnh nhân bị mắc Chagas mạn tính xuất hiện nhiều biến chứng.
Nói tóm lại, khi bệnh diễn tiến có thể theo các khung chẩn đoán sau:
·Thời kỳ ủ bệnh: thời gian này của bệnh Chagas khoảng 7-14 ngày, nhưng dữ liệu xác định không sẵn có vì người sống trong các vùng lưu hành bệnh nói chung thường có nguy cơ liên tục phơi nhiễm với vector. Mặc dù nhiều người nhiễm mới có thể biết không gian sống của học đang ở bị nhiễm phải rất nhiều bọ xít triatomine, hầu hết bị đốt trong lúc ngủ, vì vậy họ không thể nhớ lại lúc bị đốt là khi nào. Thời gian ủ bệnh của nhiễm trùng cấp T cruzi do truyền máu có thể kéo dài hơn, nhwung chính xác thì chưa biết là bao nhiêu ngày.
·Thời kỳ bệnh diễn biến cấp
-Trong hầu hết các trường hợp cấp tính của nhiễm T. cruzi, một chẩn đoán đặc biệt thiết lập vì bản chất của triệu chứng và dấu chứng không đặc hiệu cho bệnh và vì xảy ra trên các bệnh nhân nghèo ít có điều kiện tiếp cận với chăm sóc y tế;
-Bệnh Chagas cấp có tỷ lệ tử vong < 5%. Tuy nhiên, điều này có ước tính một tỷ lệ cao hơn vì bệnh cấp hiếm khi chẩn đoán; do vậy, đặc điểm chung hoặc mẫu số để tính toán tỷ lệ tử vong là chưa biết. Theo trên, con số tử vong thường điển hình gây ra do viêm cơ tim và ít gặp hơn là viêm não màng não.
-Phần đông những người mắc bệnh Chagas cấp, đặc điểm biểu hiện và được tự khỏi trong vòng 3-8 tuần. Điều này theo sau là mọt giai đoạn tiềm tàng (chronic latent hoặcindeterminate - asymptomatic phase) của bệnh.
·Thời kỳ vô định, diễn biến âm thầm tiềm tàng
-Theo định nghĩa, thời kỳ này của bệnh Chagas không gây ra bất kỳ triệu chứng nào;
-Hầu hết người lớn nhiễm T. cruzi không biết họ nhiễm ký sinh trùng và tiền sử bị bệnh Chagas cấp vẫn còn đó từ nhiều năm qua;
-Những ca được chẩn đoán là thời kỳ tiềm tàng của bệnh Chagas được xác định điển hình nhờ vào các thời điểm mà có chương trình sàng lọc máu hoặc trước khi thử huyết thanh.
·Thời kỳ bệnh Chagas mạn tính
-10-30% bệnh nhân bị bệnh Chagas mạn tính có đặc điểm lâm sàng của bệnh. Các vấn đề hay gặp và nghiêm trọng nhất là tim mạch gây ra bởi bệnh lý viêm cơ tim do tồn tích đơn bào trong cơ tim nhiều năm liền;
+Các rối loạn dẫn truyền nhĩ thất, gồm có block nhánh phải, hemiblock nhánh trái và block nhĩ thất cấp III, hồi hộp đánh trống ngực, chóng mặt, ngất, và thậm chí tử vong đột ngột.
+Bệnh lý cơ tim và hậu quả là suy tim sung huyết có thể dẫn đến khó thở, giảm vận động, dễ mệt mỏi, phù chi dưới, tiểu tiện đêm cũng như các dấu chứng và triệu chứng khác;
+Thuyên tắc mạch có thể dẫn đến đột quỵ cũng như thuyên tắc động mạch phổi, thuyên tắc động mạch khác.
-Các triệu chứng về tiêu hóa liên quan đến các nhiễm trùng mạn tính T cruzi dẫn đến các hiện tượng bóc tách và đứt các dây thần kinh (denervation) và rối loạn chức năng.
+Phì đại thực quản (megaesophagus) là một hình ảnh hay gặp nhất về mặt giải phẩu dẫn đến các triệu chứng tương tự như trạng thái không dãn được (achalasia), như khó nuốt (dysphagia), odynophagia, đau sau xương ức và cảm giác ăn thức ăn ngay cả thức ăn lỏng cũng không bình thường;
+Phì đại đại tràng (megacolon) thường dẫn đến táo bón và đau, ảnh hưởng đến một số bệnh nhân trong một thời gian dài về vấn đề nhu động ruột. Một số ca khác có dấu hiệu tắc ruột hoặc xoắn ruột đòi hỏi phải phẩu thuật;
+Dãn dạ dày trên các bệnh nhân bị Chagas đã được mô tả;
+Một số khác có phì đại đường niệu nhưng hiếm.
Khám thực thể
-Thời kỳ cấp tính của bệnh
+Các triệu chứng cấp của bệnh Chagas có thể gồm suy nhược, chán ăn, đau cơ, nhức đầu, nhưng gần đây có một số trường hợp không triệu chứng;
+Sốt từng cơn xảy ra, nhưng tần số thì không biết;
+Một số bệnh nhân có tổn thương ở đường vào của vector đốt. Dấu hiệu Romaña(một bên mắt và phù ổ mắt) xảy ra khi ký sinh trùng nhiễm vào trong kết mạc. Các dấu hiệu Romaña xem như là dấu kinh điển của pha cấp của bệnh Chagas nhưng gần đây chỉ còn trên một số ca nhiễm mới. Một săng (chagoma), do tổn thương da viêm nhiễm có thể phát triển khi ký sinh trùng đi vào da. Dấu Romaña và chagoma có thể tồn tại nhiều tuần. Các hạch lymph được dẫn lưu hoặc có thể tạo các thương tổn to hơn.
+Gan lớn và lách lớn có thể xảy ra trên các trẻ em bị nhiễm cấp bệnh Chagas và thường đi kèm bệnh lý hạch lympho toàn thân;
+Phù toàn thân ở nhiều mức độ khác khác nhau có thể xảy ra trong pha cấp và đặc biệt là trẻ em;
+Một số bệnh nhân nhiễm cấp T.cruzi phát triển thành các ban đỏ morbilliform không ngứa gọi là “schizotrypanides”;
+Dấu hiệu nhịp tim tăng có thể tồn tại lâu;
+Các dấu hiệu của viêm cơ tim cấp dẫn đến suy tim trên một số bệnh nhân bị Chagas cấp;
+Rối loạn chức năng thần kinh có thể phát triển trên các trẻ em nhiễm trùng cấp ở viêm não màng não;
+Bất kỳ một rối loạn sinh lý nào trong pha cấp của nhiễm đơn bào T.cruzi có thể xảy ra trên người nhiễm mạn tính (đợt cấp của giai đoạn mạn) do hiện tượng tái hoạt tự nhiên (nhiễm HIV) hoặc dùng thuốc ức chế miễn dịch do điều trị gây ra.
-Bệnh lý cơ tim do bệnh Chagas mạn tính (Chronic chagasic cardiomyopathy)
+Các triệu chứng sung huyết do suy tim bên trái xuất hiện giai đoạn sớm của bệnh lý cơ tim do Chagas mạn tính (chronic chagasic cardiomyopathy). Suy tâm thất vơi biểu hiện phù ngoại vi, gan lớn, bụng báng, sung huyết phổi thường gặp ở giai đoạn muộn hơn.
+Các dấu chứng thuyên tắc mật có thể xảy ra, phần lớn thuyên tắc mạch não, phổi và các chi.
-Phình thực quản do bệnh Chagas mạn tính (Chronic chagasic megaesophagus)
+Sụt cân và dãn tiêu hóa (nặng);
+Phì đại các tuyến nước bọt;
+Viêm phổi liên quan đến hít phải các chất dịchcủa đường tiêu hóa (đặc biệt trong khi ngủ);
+Viêm thực quản do loét, tăng nguy cơ ung thư thực quản.
-Phình đại tràng do bệnh Chagas mạn tính (Chronic chagasic megacolon)
+Đau bụng co thắt
+Tạo các u phân trong khung đại tràng (fecaloma)
+Các dấu hiệu tắc hoặc xoắn ruột và đai tràng sigma.
Phương pháp và kỹ thuật chẩn đoán
Chẩn đoán bệnh Chagas có thể tiến hành và nhìn thấy được ký sinh trùng trong lam máu qua soi kính hiển vi. Làm các lam máu giọt mỏng và giọt dày, sau đó đem đi nhuộm rồi soi dưới kính hiển vi. Tuy nhiên, một lam máu tốt (để phát hiện đơn bào) nhìn thấy rõ chỉ trong pha cấp của bệnh vì khi đó ký sinh trùng nhìn thấy trong tuần hoàn máu. Chẩn đoán giai đoạn mạn tính của bệnh Chagas tiến hành sau khi khám các triệu chứng lâm sàng trên bệnh nhân, cũng như các yếu tố khai thác trong tiền sử bệnh, như là bệnh nhân đang sống trong vùng lưu hành bệnh. Nhìn chung, chẩn đoán huyết thanh học hiện nay có ít nhất hai thử nghiệm (ELISA).
Về mặt xét nghiệm tìm ký sinh trùng:
T cruzi là một thành viên của họ Trypanosomatidae trong bộ Kinetoplastida và thuộc một nhóm đặc biệt gọi là Stercoraria. Thể nhiễm của T. cruzi chứa trong phân của vector côn trùng và đi vào lại các vật chủ đọng vật có vú thông qua nhiều con đường lây nhiễm. Cơ chế này khác biệt với 2 phụ loài (subspecies) của African trypanosomes (gây bệnh cho người), Trypanosoma brucei gambiense và Trypanosoma brucei rhodesiense, truyền qua nước bọt của các vector và với cơ chế này thì trypanosome không gây bệnh tìm thấy ở châu Mỹ, Trypanosoma rangeli, lây truyền đến các vật chủ động vật có vú.
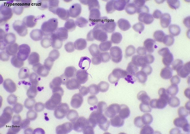
1. Thể epimastigote ở giai đoạn nhân lên trong vector côn trùng và trong môi trường nuôi cấy. 2. Thể trypomastigote là thể nhiễm hình roi, tìm thấy trong máu của các vật chủ động vật có vú và trong ruột của vector (metacyclic trypomastigote). Ảnh: Peter Darben. |
Khi các tế bào vậtchủ vở ra, các trypomastigotes bị ly giải vào trong dòng máu và hệ thống hạch bạch huyết, thông qua đó chúng sẽ lan rộng đến các vị trí xa và xâm nhập vào các tế bào vật chủ mới. Tiến trình này tiếp tục đồng bộ hóa cho cuộc đời của vật chủ. Một số nhỏ trypomastigote có thể bị tiêu hóa trong bữa ăn máu của các con bọ nhiễm. Các trypomastigotes chuyển dạng thành epimastigotes trong ruột của vector, do đó hoàn thành chu kỳ của T cruzi cũng có thể lây truyền khi các vật chủ của động vật có vú ăn phải các côn trùng bị nhiễm và cơ chế này có thể đóng một vai trò quan trọng duy trì chu kỳ hoang dại. Nhiều nghiên cứu về sinh học, sinh hóa và sinh học phân tử chỉ ra quần thể T. cruzi là không đồng nhất. Mặc dù T. cruzi là vi sinh vật nhị bội với hình thức trao đổi di truyền có thể xảy ra bên trong các vector côn trùng. Sự đa dạng về mặt kiểu hình và di truyền cho sự sao chép dòng của thể epimastigote và amastigote. Sự thống nhất hiện nay rằng T. cruzi có thể phân chia thành 2 nhóm chính: T cruzi I và T. cruzi II. Sau đó, nhiều vấn đề còn liên quan đến chu kỳ tại chỗ, ngược lại T. cruzi I lại thường liên quan hơn với chu kỳ sylvatic.
Ngoài ra, một số thủ thuật cận lâm sàng khác cũng có ích trong bệnh Chagas: đo điện tâm đồ (ECG) holter 24 giờ để phát hiện và chẩn đoán các tổn thương tim (cơ tim, tăng nhịp tim, rối loạn nhịp, tràn dịch màng tim,…), chụp x quang tiêu hóa và nội soi tiêu hóa phát hiện các ca phình đại tràng và thực quản,…
Tuần tự thăm khám ban đầu nên bao gồm:
·Hỏi bệnh sử một cách hoàn chỉnh và thấu đáo, gồm khả năng phơi nhiễm với các vector trong vùng lưu hành bệnh, tiền sử truyền máu và khám toàn thân;
·Khám thực thể toàn thân, đầy đủ;
·Thực hiện điện tâm đồ (ECG) gồm 12 chuyển đạo với khoảng chuyển đạo II-30cm. Việc phát hiện các biến chứng đe dọa tính mạng của bệnh Chagas như là block trên tim thông qua ECG, có thể thấy hình ảnh block nhánh phải. Đây là một trong những dạng block thường gặp ở bệnh, nó chỉ ra đã có tổn thương cơ tim.
Tổng hợp một cách hệ thống và nên tập trung vào triệu chứng trong bệnh Chagas, bao gồm:
·Các triệu chứng liên quan đến hệ thống dẫn truyền hoặc loạn nhịp tim, ngất, đánh trống ngực, giả ngất hoặc chóng mặt;
·Các triệu chứng hoặc dấu chứng suy tim sung huyết như khó thở, giảm sức chịu đừng và phù ngoại vi;
·Các triệu chứng tương thích với hiện tựơng thuyên tắc mạch;
·Các triệu chứng hệ tiêu hóa như khó nuốt, sụt cân và táo bón kéo dài do dãn hệ tiêu hóa.
Khám thêm về cận lâm sàng (điện tâm đồ holter 24 giờ, nghiên cứu chụp thực quản và đại tràng) có thể thực hiện theo chỉ định của thầy thuốc chuyên khoa theo các triệu chứng vốn có trên bệnh nhân. Các bệnh nhân nên tham vấn vấn đề cho máu. Nếu bệnh nhân có các thành viên trong gia đình có tièn sử phơi nhiễm tương tự với ký sinh trùng tại vùng lưu hành cũng nên đặt ra vấn đề xét nghiệm. Con của những bà mẹ bị nhiễm bệnh cũng nên đặt ra vấn đề xét nghiệm kiểm tra.
Trong giai đoạn cấp, việc chẩn đoán dễ thông qua xét nghiệm máu. Ký sinh trùng hay dơn bào trypanosomes có thể nhìn thấy trong máu soi dưới kính hiển vi và có thể phát triển trong điều kiện nuôi cấy. Trong giai đoạn muộn, chẩn đoán khó khăn hơn rất nhiều. Các xét nghiệm gần đây liên quan đến nuôi cấy mẫu máu trong một thời gian dài (long-term blood culture) và kiểm tra xem trong cơ thể có sinh ra kháng thể chống lại T. cruzi hay không.
Chẩn đoán tại la bô
Chỉ ra tác nhân gây bệnh trong giai đoạn cấp của bệnh Chagas. Hầu như luôn luôn cho kết quả dương tính và có thể đạt được kết quả bằng cách:
·Soi dưới kính hiển vi:
a)Lấy máu có chống đông sạch hoặc có buffy coat, để xem ký sinh trùng di động;
b)Lấy lam máu giọt đặc và giọt đàn nhuộm Giemsa, xem ký sinh trùng dưới kính hiển vi, có thể nhầm lẫn hoặc không phân biệt rõ ràng với Trypanosoma rangeli dài hơn (50%), song đơn bào này lại không hề gây bệnh cho người.
·Phân lập các tác nhân gây bệnh bằng cách:
a)Tiêm vào chuột;
b)Nuôi cấy trong môi trường đặc biệt (như NNN, LIT);
c)Chẩn đoán dựa trên côn trùng (xenodiagnosis), ở đó các bọ xít Reduviidae không nhiễm sẽ được cho ăn máu có ký sinh trùng, và rồi xét nghiệm xem thành phần trong ruột chúng có ký sinh trùng không sau 4 tuần.
·Các xét nghiệm huyết thanh miễn dịch khác; (phân biệt các chủng (zymodemes) của T.cruzi với các bệnh sinh khác nhau).
a)Phản ứng cố định bổ thể (CF);
b)Phản ứng ngưng kết hồng cầu gián tiếp (IHA)
c)Thử nghiệm huỳnh quang gián tiếp (IFA_Indirect fluorescent assay)
d)Thử nghiệm miễn dịch phóng xạ (RIA_Radio-immunoassay
e)Thử nghiệm miễn dịch hấp phụ enzyme (ELISA_Enzyme-Linked Immunosorbent Assay)
f)Và phản ứng chuỗi trung hợp PCR, một trong những xét nghiệm đầy tiềm năng.
Biến chứng và nguy cơ tử vong
Các biến chứng của bệnh Chagas mạn tính gồm có:
·Các bất thường phì đại tim, bệnh lý cơ tim, suy tim, rối loạn nhịp tim, ngừng tim, thậm chí đột tử. Dãn cơ tim nên tim không thể bơm máu tốt được;
·Các biến chứng do hệ tiêu hóa, gồm phì đại thực quản (megaesophagus) hoặc phì đại đại tràng (megacolon) và có thể dẫn đến khó ăn uống và đại tiện;
·Nguy cơ thời gian–sống trung bình lệ thuộc một hay nhiều biến chứng, trung bình 30%.
Trên các đối tượng suy giảm miễn dịch (chẳng hạn HIV/AIDS và đang dùng thuốc điều trị ung thư,…), bệnh Chagas có thể tái hoạt động và khi đó có thể phát hiện ký sinh trùng trong tuần hoàn máu. Điều này khi xảy ra có thể dẫn đến bệnh nghiêm trọng. Khoảng 20.000 ca tử vong quy kết cho bệnh Chagas mỗi năm, lý do chết do viêm cơ tim, hoặc viêm não màng não. Trên những người mắc T. cruzi mạn tính, tỷ lệ tử vong ban đầu do rối loạn nhịp và suy tim sung huyết (congestive heart failure) là do phản ứng viêm mạn tính hoặc bệnh lý cơ tim do tồn tại ký sinh tùng dai dẳng trong nhu mô cơ tim. Sự thuyên tắc mạch bên trong tâm thất do huyết khối đi đến não và phổi cũng có thể góp phần gây tử vong. Các bệnh nhân bị chứng to phình thực quản nặng có thể chết vì suy dưỡng hoặc viêm phổi hít mạn tính (chronic aspiration pneumonitis). Megacolon cũng có thể dẫn đến tử vong thường là khi có chứng xoắn ruột (volvulus) mà không giải quyết đúng.
Tiên lượng và một số yếu tố nguy cơ dẫn đến tử vong
Một phiên bản đăng trên tạp chí New England Journal of Medicine 2006 có phân loại bệnh nhân mắc bệnh Chagas. Dựa trên hơn 500 bệnh nhân gồm các khía cạnh lâm sàng cũng như x quang và điện tâm đồ, họ đã đưa ra các yếu tố nguy cơ bệnh và nguy cơ tử vong trong vòng 10 năm:
Các yếu tố nguy cơ của bệnh Chagas | Nguy cơ tử vong trong 10 năm |
Yếu tố nguy cơ | Tổng điểm | Tổng điểm | Nguy cơ tử vong |
Phân độ tim mạch NYHAIII hay IV | 5 | 0 - 6 | 10% |
Tim lớn (Cardiomegaly) | 5 |
Bất thường hoạt động của vách | 3 | 7 - 11 | 40% |
Không duy trì yếu tố bền vững | 3 |
ECG điện thế thấp | 2 | 12 – 20 | 85% |
Giới nam | 2 |
Điều trị
Điều trị bệnh Chagas được khuyên cho tất cả những người đã đựợc chẩn đoán là nhiễm trùng cấp, nhiễm trùng bẩm sinh và có suy giảm hệ thống miễn dịch và tất cả trẻ em nhiễm trùng mạn tính. Người lớn với nhiễm trùng mạn tính đặt ra vấn đề điều trị cũng có thể có lợi. Đối với các vấn đề tim mạch và tiêu hóa do bệnh Chagas, điều trị một cách hệ thống có thể giúp cho bệnh nhân nhiều. Bệnh nhân nên tham vấn với các cán bộ y tế. một số bệnh nhân có thể tìm đến các chuyên gia như các bác sĩ chuyên khoa tim mạch, tiêu hóa và bệnh truyền nhiễm.
Điều trị bệnh với 2 tiếp cận có khả năng cứu sống bệnh nhân. Dùng thuốc chống lại ký sinh trùng và dùng thuốc điều trị triệu chứng nhiễm trùng.
Thuốc điều trị bệnh ký sinh trùng
Thuốc điều trị bệnh ký sinh trùng có hiệu quả sớm trong khi mới nhiễm nhưng chỉ cho hiệu quả trong pha cấp của bệnh. Tại Mỹ, hình thức điều trị này hiện đang sẵn có. Điều trị bằng một trong 2 thuốc, hoặc là benznidazole (Radanil) trong 60 ngày hoặc là nifurtimox (Lampit) trong 90 ngày. Tại Mỹ, phải lấy thuốc từ trung tâm CDC. Các thuốc này được giới thiệu cách nay nhiều thập niên, có thể gặp phải tác dụng phụ đáng kể, gồm tổn thương thần kinh gây cảm giác ngứa ran, nhạy cảm da với ánh sáng mặt trời, chóng mặt, buồn nôn, nôn mửa và một số khác. Các bệnh nhân phải được giám sát trong khi điều trị để phát hiện các tác dụng phụ nghiêm trọng.
Lựa chọn thuốc là nhóm -azole hoặc các dẫn suất nitro- như benzonidazole hoặc nifurtimox (theo danh mục thuốc mới từ CDC), nhưng vấn đề kháng thuốc này cũng đã được báo cáo. Ngoài ra, các thuốc này rất độc và nhiều tác dụng phụ nghiêm trọng, và không thể dùng mà không óc sự giám sát y tế.
Thuốc kháng nấm Amphotericin b đã được lên danh mục là thuốc thay thế (second-line drug), nhưng chi phí và độc tính của thuốc này đã khiến cho thuốc sử dụng hạn chế. Bên cạnh đó, một nghiên cứu 10 năm tại Brazil đã cho thấy liệu pháp hiện tại không loại khỏi ký sinh tùng hoàn toàn. Do đó, quyết định dùng thuốc diệt ký sinh trùng hay không nên tư vấn của ý kiến chuyên gia và bác sĩ chuyên khoa.
Trong giai đoan mạn tính, điều trị liên qan đến việc quản lý các triệu chứng lâm sàng của bệnh và vấn đề thuốc và đặt máy tạo nhịp cho các trường hợp suy tim và rối loạn nhịp tim; phảu thuật các trường hợp phình ruột,…nhưng bản chất bệnh không thể chữa được trong pha này. Bệnh lý tim mạn tính do bệnh Chagas giờ đây trở thành một nguyên do thường gặp và phải cáy ghép tim. Tuy nhiên, mãi đến gần đây, bệnh Chagas chống chỉ định cho thủ thuật vì tổn thương tim có thể tái hồi do ký sinh trùng nắm bắt cơ hội suy yếu miễn dịch sau khi phẩu thuật.
Các nghiên cứu đã thay đổi chỉ định quy trình cấy ghép trên bệnh nhân Chagas được tiến hành bởi nhóm bác sĩ Adib Jatene tại Viện tim mạch đại học São Paulo, Brazil. Nghiên cữu chú ý đến tỷ lệ sống còn của bệnh nhân Chagas có thể cải thiện đáng kể do dùng liều thấp thuốc ức chế miễn dịch cyclosporine.
Gần đây, liệu phá tế bào gốc sử dụng thay thế trong bệnh lý ocw tim sử dụng ghép tế bào tủy xương đã làm giảm nguy cơ đáng kể cho tình trạng suy tim trên các bệnh nhân mắc bệnh Chagas. Các bệnh nhân cũng cho thấy lợi điểm từ việc ngăn ngừa tái nhiễm, song cơ chế này vẫn chưa được hiểu biết thấu đáo.
Điều trị triệu chứng
Điều trị triệu chứng giúp giảm đi các rối loạn về tim mạch và tiêu hóa. Chẳng hạn, đặt máy tạo nhịp và thuốc điều hòa nhịp tim có thể cứu sống một số bệnh nhân bị bệnh tim mạn tính. Amiodarone (Cordarone) thường dùng để điều trị rối loạn nhịp tim. Phẩu thuật có thể cần thiết để điều trị các rối loạn tiêu hóa.
Một số thử nghiệm tiến bộ can thiệp gần đây:
·Sử dụng các chất ức chế Oxidosqualene cyclase và cysteine protease chữa khỏi các động vật nhiễm bệnh trong thực nghiệm;
·Dermaseptins chiết từ loài ếch Phyllomedusa oreades và P. distincta. Hoạt tính chống lại Trypanosoma cruzi không có độc tính tế bào trên các tế bào động vật có vú;
·Các sesquiterpene lactone dehydroleucodine (DhL) ảnh hưởng lên sự phát triển của các thể epimastigotes trong nuôi cấy của đơn bào Trypanosoma cruzi;
·Bộ gen của bệnh đã được giải trình tự;
·Các protein sinh ra từ bệnh nhưng không phải do người đã được xác định ngay khi đihcs của thuốc đánh bại bệnh này (El-Sayed và cs.,2005).
Biện pháp phòng bệnh
Các vùng lưu hành bệnh tại Mexico, Trung Mỹ và Nam Mỹ cần nâng cao về nhà cửa và phu thuốc diệt côn trùng trong nhà để loại trừ các bọ xít sẽ giảm lan tràn bệnh Chagas. Ngoài ra, nên sàng lọc các nguồn cho máu có bệnh Chagas là một công cụ y tế công cộng quan trọng để giúp ngăn chặn bệnh truyền bệnh Chagas mắc phải do truyền máu. Phát hiện sớm và điều trị kịp thời các trường hợp mới cũng sẽ giúp làm giảm gánh nặng bệnh tật. Chiến lược phòng chống hiện nay tập trung vào ngăn chặn lan truyền bệnh lây qua đường truyền máu, cấp ghép tạng và từ mẹ sang con, nhất là những vùng lan truyền đã giảm thấp hoặc không còn nữa.
Một vaccine hữu hiệu đã được phát triển tại Ribeirão Preto năm 1970, sử dụng các phân tử tế bào và các phần phụ tế bào, nhưng kết quả cho thấy không khả thi về mặt kinh tế. Gần đây hơn, một loại vaccine DNA dùng như một liệu pháp miễn dịch cho bệnh Chagas cấp tính và mạn tính và đã thử nghiệm trên một số nhóm.
Phòng bệnh chủ yếu tập trùng chống vector (Triatoma) thông qua dùng phun và sơn có chứa thuốc diệt côn trùng (pyrethroids tổng hợp), và cải thiện nhà nhà cửa và hệ thống vệ sinh tại các vùng nông thôn. Cư dân vùng đô thị, các cuộc dã ngoại và cắm trại thường hay ngủ laii trong các ngôi nhà hoặc khu ở nghèo nàn ẩm thấp tại các vùng lưu hành bệnh có thể nguy hiểm, màn chống muỗi được khuyến cáo sử dụng trường hợp này. Nếu các dân du lịch có hướng đến các vùng có lưu hành bệnh thì nên tham vấn thông tin về vùng lưu hành bệnh Chagas như lấy thông tin từ CDC.
Tại hầu hết các quốc gia nơi mà bệnh Chagas lưu hành, xét nghiệm máu cho người cho máu là công việc cần làm thường quy bắt buộc, vì điều này là cách quan trọng lan truyền bệnh. Trước đây, người cho máu trộn với 0,25 g/L dung dịch tím gentian sẽ diệt thành công ký sinh trùng. Với các biện pháp này, một số giới hạn để chống lại bệnh Chagas tại Mỹ Latin: giảm 72% tỷ lệ mắc bệnh ở người trên trẻ em và người trẻ trong các quốc gia theo sáng kiến của Southern Cone, và tại ít nhất 2 quốc gia (Uruguay, năm 1997, và Chile năm 1999), được chứng nhận lan truyền qua máu tự do. Tại Brazil, với quần thể nguy cơ lớn nhất thì 10/12 bang lưu hành bệnh cũng có chứng nhận không còn.
Một số thành quả trong phòng chống vector:
·Một cái bẫy men đã đươc đưa vào thử nghiệm để giám sát nhiễm một số loài bọ xít: “thực hiện bẫy mồi nhử với bọ Triatoma sordida, Triatoma brasiliensis, Triatoma pseudomaculata, Panstrongylus megistus trong các thử nghiệm tại la bô;
·Các kết quả hứa hẹn thu thập được từ xử lý các vector bằng nấm Beauveria bassiana):"hoạt tính của Beauveria bassiana có dầu chống lại Triatoma sordida trên các vùng chủ yếu là các vùng nội địa ở miền Trung Brazil”.
·Tác động vào đích cộng sinh của bọ Triatominae
Bệnh Chagas không thể ngăn ngừa được bằng thuốc hoặc vaccine. Những người du lịch ngủ trong nhà có cấu trúc nhà cửa tốt (có điều hòa hoặc có lưới chống) thì có nguy cơ thấp nhiễm phải bọ đốt. Các con bọ này thường nhiễm tại các vùng có cấu trúc nàh cửa và nơi ở thấp và hầu hết là vào ban đêm. Các cách để phòng bệnh cả cho người đi du lịch và cư dân là phun thuốc diệt tồn lưu, sử dụng màn có tẩm hóa chất tồn lưu kéo dài (long-lasting insecticides), mặc các quần áo bảo vệ và dùng các thuốc xua côn trùng trên da. Ngoài ra, người có nguy cơ nên biết rằng bệnh có thể lan rông theo nhiều cách khác nhau, kể cả thực phẩm nấu chưa chín hoặc con đường truyền máu.
Các nghiên cứu khác đang tiếp tục
Các nghiên cứu hiện nay tiếp tục vào sinh học của loài ký sinh trùng T. cruzi và tìm ra các đích tác dụng thuốc. Các enzyme đích của thuốc này và các protein chỉ sinh ra bởi ký sinh trùng mà không sinh ra bởi vật chủ người. Các thuốc thường chỉ tác động lên các protein của ký sinh trùng, có thể giảm thiểu nguy cơ lên con người. Nhiều loại thuốc hứa hẹn chứa thành phần chì.
Trypanosoma cruzi là một thành viên của giống tác nhân của bệnh ngủ châu Phi, nhưng đặc điểm lâm sàng, phân bố địa lý, chu kỳ sinh học và vector côn trùng hoàn toàn khác nhau.
Tài liệu tham khảo
1.Adler D (1989). "Darwin's illness.". Isr J Med Sci 25 (4): 218-21. PMID 2496051.
2.Kirchhoff L (1993). "American trypanosomiasis (Chagas' disease)--a tropical disease now in the United States.". N Engl J Med 329 (9): 639-44. PMID 8341339.
3.Garcia S, Ramos C, Senra J, Vilas-Boas F, Rodrigues M, Campos-de-Carvalho A, Ribeiro-Dos-Santos R, Soares M (2005). "Treatment with benznidazole during the chronic phase of experimental Chagas' disease decreases cardiac alterations.". Antimicrob Agents Chemother 49 (4): 1521-8. PMID 15793134.
4.Buckner F, Wilson A, White T, Van Voorhis W (1998). "Induction of resistance to azole drugs in Trypanosoma cruzi.". Antimicrob Agents Chemother 42 (12): 3245-50. PMID 9835521.
5.Engel J, Doyle P, Hsieh I, McKerrow J (1998). "Cysteine protease inhibitors cure an experimental Trypanosoma cruzi infection.". J Exp Med 188 (4): 725-34. PMID 9705954.
6.Bocchi E, Bellotti G, Mocelin A, Uip D, Bacal F, Higuchi M, Amato-Neto V, Fiorelli A, Stolf N, Jatene A, Pileggi F (1996). "Heart transplantation for chronic Chagas' heart disease.". Ann Thorac Surg 61 (6): 1727-33. PMID 8651775.
7.Dumonteil E, Escobedo-Ortegon J, Reyes-Rodriguez N, Arjona-Torres A, Ramirez-Sierra M (2004). "Immunotherapy of Trypanosoma cruzi infection with DNA vaccines in mice.". Infect Immun 72 (1): 46-53. PMID 14688079.
8.Vilas-Boas F, Feitosa G, Soares M, Pinho-Filho J, Mota A, Almeida A, Carvalho C, de Carvalho H, de Oliveira A, dos Santos R (2004). "Bone marrow cell transplantation to the myocardium of a patient with heart failure due to Chagas' disease.". Arq Bras Cardiol 82 (2): 185-7, 181-4. PMID 15042255.
9.da Silva Valente S, de Costa Valente V, Neto H. "Considerations on the epidemiology and transmission of Chagas disease in the Brazilian Amazon.". Mem Inst Oswaldo Cruz 94 Suppl 1: 395-8. PMID 10677763.
10.Shikanai-Yasuda M, Marcondes C, Guedes L, Siqueira G, Barone A, Dias J, Amato Neto V, Tolezano J, Peres B, Arruda Júnior E. "Possible oral transmission of acute Chagas' disease in Brazil.". Rev Inst Med Trop Sao Paulo 33 (5): 351-7. PMID 1844961.
11.El-Sayed NM, Myler PJ, Bartholomeu DC et al., (2005). "The genome sequence of Trypanosoma cruzi, etiologic agent of Chagas disease". Science 309 (5733): 409-15.
12.Coutinho M (1999). "Ninety years of Chagas disease: a success story at the periphery.". Soc Stud Sci 29 (4): 519-49. PMID 11623933.
13.Dias J, Silveira A, Schofield C (2002). "The impact of Chagas disease control in Latin America: a review.". Mem Inst Oswaldo Cruz 97 (5): 603-12. PMID 12219120.
14.Kropf S, Azevedo N, Ferreira L (2003). "Biomedical research and public health in Brazil: the case of Chagas' disease (1909-50).". Soc Hist Med 16 (1): 111-29. PMID 14598820.
15.(1999). "International Symposium to commemorate the 90th anniversary of the discovery of Chagas disease (Rio de Janeiro, April 11-16, 1999)". Memorias do Instituto Oswaldo Cruz 94 (Suppl. I).
16.Moncayo A. "Progress towards interruption of transmission of Chagas disease.". Mem Inst Oswaldo Cruz 94 Suppl 1: 401-4. PMID 10677765.
17.Prata A. "Evolution of the clinical and epidemiological knowledge about Chagas disease 90 years after its discovery.". Mem Inst Oswaldo Cruz 94 Suppl 1: 81-8. PMID 10677694.
18.[November 30, 2002] Kevin M. Tyler & Michael A. Miles World Class Parasites. Volume 7: American Trypanosomiasis. Kluwer Academic Publishers. ISBN 1-4020-7323-2. Amazon review
19.Bern C, Montgomery SP, Herwaldt BL. Evaluation and treatment of Chagas disease in the United States: a systematic review. JAMA. 2007 Nov 14;298(18):2171-81. Abstract | Full Text
20.Rassi A Jr, Rassi SG, Rassi A. Sudden death in Chagas' disease. Arq Bras Cardiol. 2001 Jan;76(1):75-96. Abstract | Full Text
21.Torrico F, Alonso-Vega C, Suarez E, et al. Maternal Trypanosoma cruzi infection, pregnancy outcome, morbidity, and mortality of congenitally infected and non-infected newborns in Bolivia. Am J Trop Med Hyg. 2004;70(2):201-209. Abstract | Full Text
22.Schmunis GA, Cruz JR. Safety of the blood supply in Latin America. Clin Microbiol Rev. 2005 Jan;18(1):12-29. Erratum in: Clin Microbiol Rev. 2005 Jul;18(3):582. Abstract | Full Text
23.Barsoum RS. Parasitic infections in organ transplantation. Exp Clin Transplant. 2004 Dec;2(2):258-67. Abstract | Full Text
24.Duschak VG, Couto AS. An insight on targets and patented drugs for chemotherapy of Chagas disease. Recent Patents Anti-Infect Drug Disc. 2007;2:19-51. Abstract
25.Wendel S and Brener Z. Historical aspects. In: Chagas Disease-American Trypanosomiasis: its impact on transfusion and clinical medicine. S. Wendel, Z. Brener, M.E. Camargo, A. Rassi, eds. ISBT 1992, Sao Paolo, Brazil.
26.Centers for Disease Control and Prevention (CDC). Blood donor screening for chagas disease--United States, 2006-2007. MMWR Morb Mortal Wkly Rep. 2007 Feb 23;56(7):141-3. Abstract | Full Text
27.Adler S. Darwin's illness. Br Med J. 1965 May 8;1(5444):1249-50. Abstract | Full Text
28.Balasegaram M, Balasegaram S, Malvy D, Millet P. Neglected diseases in the news: a content analysis of recent international media coverage focussing on leishmaniasis and trypanosomiasis. PLoS Negl Trop Dis. 2008 May 14;2(5):e234. Abstract | Full Text
29.Emerging Chagas Disease: Trophic Network and Cycle of Transmission of Trypanosoma cruzi from Palm Trees in the Amazon http://www.cdc.gov/ncidod/EiD/vol7no1/pdfs/teixeira.pdf )
30.http://www.cdc.gov/chagas/disease.html
31.African trypanosomiasis (sleeping sickness). http://www.who.int/factsheets/fs259/en/
32.African Trypanosomiasis (Sleeping Sickness). http://emedicine.medscape.com/article/228613-overview.
33.Quinn TC. African trypanosomiasis (sleeping sickness). In: Goldman L, Ausiello D, eds. Cecil Medicine. 23rd ed. Philadelphia, Pa: Saunders Elsevier; 2007: chap 367.
34.Engel JC, Dvorak JA, Segura EL, et al. Trypanosoma cruzi: biological characterization of 19 clones derived from two chronic chagasic patients. I. Growth kinetics in liquid medium. J Protozool. Nov 1982;29(4):555-60. [Medline].
35.Avila H, Goncalves AM, Nehme NS, et al. Schizodeme analysis of Trypanosoma cruzi stocks from South and Central America by analysis of PCR-amplified minicircle variable region sequences. Mol Biochem Parasitol. Sep-Oct 1990;42(2):175-87. [Medline].
36.Tibayrenc M, Ayala FJ. [High correlation between isoenzyme classification and kinetoplast DNA variability in Trypanosoma cruzi]. C R Acad Sci III. 1987;304(4):89-92. [Medline].
37.Gibson W, Stevens J. Genetic exchange in the trypanosomatidae. Adv Parasitol. 1999;43:1-46. [Medline].
38.Zafra G, Mantilla JC, Valadares HM, et al. Evidence of Trypanosoma cruzi II infection in Colombian chagasic patients. Parasitol Res. Jun 4 2008;[Medline].
39.Lent H, Wygodzinsky P. Revision of the Triatominae (Hemiptera, Reduviidae), and their significance as vectors of Chagas' disease. Bull Am Museum Natural History. 1979;163:123-520.
40.Schofield CJ, Jannin J, Salvatella R. The future of Chagas disease control. Trends Parasitol. Dec 2006;22(12):583-8. [Medline].
41.Bradley KK, Bergman DK, Woods JP, et al. Prevalence of American trypanosomiasis (Chagas disease) among dogs in Oklahoma. J Am Vet Med Assoc. Dec 15 2000;217(12):1853-7. [Medline].
42.Cohen JE, Gürtler RE. Modeling household transmission of American trypanosomiasis. Science. Jul 27 2001;293(5530):694-8. [Medline].
43.Schofield CJ, Dujardin JP. Chagas disease vector control in Central America. Parasitol Today. Apr 1997;13(4):141-4. [Medline].
44.Schofield CJ, Dias JC. The Southern Cone Initiative against Chagas disease. Adv Parasitol. 1999;42:1-27. [Medline].
45.Schmunis GA, Cruz JR. Safety of the blood supply in Latin America. Clin Microbiol Rev. Jan 2005;18(1):12-29. [Medline].
46.Barcan L, Luna C, Lunao C, et al. Transmission of T. cruzi infection via liver transplantation to a nonreactive recipient for Chagas' disease. Liver Transpl. Sep 2005;11(9):1112-6. [Medline].
47.Riarte A, Luna C, Sabatiello R, et al. Chagas' disease in patients with kidney transplants: 7 years of experience 1989-1996. Clin Infect Dis. Sep 1999;29(3):561-7. [Medline].
48.Centers for Disease Control and Prevention. Chagas disease after organ transplantation--United States, 2001. MMWR Morb Mortal Wkly Rep. Mar 15 2002;51(10):210-2. [Medline].
49.Centers for Disease Control and Prevention. Chagas disease after organ transplantation--Los Angeles, California, 2006. MMWR Morb Mortal Wkly Rep. Jul 28 2006;55(29):798-800. [Medline].
50.Gürtler RE, Segura EL, Cohen JE. Congenital transmission of Trypanosoma cruzi infection in Argentina. Emerg Infect Dis. Jan 2003;9(1):29-32. [Medline].
51.Schijman AG, Altcheh J, Burgos JM, et al. Aetiological treatment of congenital Chagas' disease diagnosed and monitored by the polymerase chain reaction. J Antimicrob Chemother. Sep 2003;52(3):441-9. [Medline].
52.Santos FC, Amato N, V, Gakiya E, et al. Microwave treatment of human milk to prevent transmission of Chagas disease. Rev Inst Med Trop Sao Paulo. 2003;45:41-42.
53.Di Primio, R. An outbreak of illness in Teutonia. Trop.Dis.Bull. Ref Type: Abstract. 1968;65(4):400-401.
54.Shikanai-Yasuda MA, Marcondes CB, Guedes LA, et al. Possible oral transmission of acute Chagas' disease in Brazil. Rev Inst Med Trop Sao Paulo. Sep-Oct 1991;33(5):351-7. [Medline].
55.Steindel M, Kramer Pacheco L, Scholl D, et al. Characterization of Trypanosoma cruzi isolated from humans, vectors, and animal reservoirs following an outbreak of acute human Chagas disease in Santa Catarina State, Brazil. Diagn Microbiol Infect Dis. Jan 2008;60(1):25-32. [Medline].
56.Herwaldt BL. Protozoa and helminths. In: Fleming DO, Hunt DL, eds. Biological Safety: Principles and Practice. 4 ed. Washington, DC: American Society for Microbiology; 2006:115-61.
57.Andrade ZA. Patologia da doença de Chagas [Portuguese]. In: Brener Z, Andrade ZA, Barral-Netto M, eds. Trypanosoma cruzi e Doença de Chagas. 2 ed. Rio de Janeiro: Guanabara Koogan; 2000:201-30.
58.Ochs DE, Hnilica VS, Moser DR, et al. Postmortem diagnosis of autochthonous acute chagasic myocarditis by polymerase chain reaction amplification of a species-specific DNA sequence of Trypanosoma cruzi. Am J Trop Med Hyg. May 1996;54(5):526-9. [Medline].
59.Parada H, Carrasco HA, Anez N, et al. Cardiac involvement is a constant finding in acute Chagas' disease: a clinical, parasitological and histopathological study. Int J Cardiol. Jun 27 1997;60(1):49-54. [Medline].
60.Hoff R, Teixeira RS, Carvalho JS, et al. Trypanosoma cruzi in the cerebrospinal fluid during the acute stage of Chagas' disease. N Engl J Med. Mar 16 1978;298(11):604-6. [Medline].
61.Jones EM, Colley DG, Tostes S, et al. Amplification of a Trypanosoma cruzi DNA sequence from inflammatory lesions in human chagasic cardiomyopathy. Am J Trop Med Hyg. Mar 1993;48(3):348-57. [Medline].
62.Bellotti G, Bocchi EA, de Moraes AV, et al. In vivo detection of Trypanosoma cruzi antigens in hearts of patients with chronic Chagas' heart disease. Am Heart J. Feb 1996;131(2):301-7. [Medline].
63.Zhang L, Tarleton RL. Parasite persistence correlates with disease severity and localization in chronic Chagas' disease. J Infect Dis. Aug 1999;180(2):480-6. [Medline].
64.Basquiera AL, Sembaj A, Aguerri AM, et al. Risk progression to chronic Chagas cardiomyopathy: influence of male sex and of parasitaemia detected by polymerase chain reaction. Heart. Oct 2003;89(10):1186-90. [Medline].
65.Andrade ZA, Andrade SG, Oliveira GB, et al. Histopathology of the conducting tissue of the heart in Chagas' myocarditis. Am Heart J. Mar 1978;95(3):316-24. [Medline].
66.Kirchhoff LV. American trypanosomiasis (Chagas' disease). Gastroenterol Clin North Am. Sep 1996;25(3):517-33. [Medline].
67.Rezende JM, Moreira H. Forma digestiva da doença de Chagas [Portuguese]. In: Brener Z, Andrade ZA, Barral-Netto M, eds. Trypanosoma cruzi e Doença de Chagas. 2 ed. Rio de Janeiro: Guanabara Koogan; 2000:297-343.
68.Tarleton RL. Chagas disease: a role for autoimmunity?. Trends Parasitol. Oct 2003;19(10):447-51. [Medline].
69.Tarleton RL, Zhang L, Downs MO. "Autoimmune rejection" of neonatal heart transplants in experimental Chagas disease is a parasite-specific response to infected host tissue. Proc Natl Acad Sci U S A. Apr 15 1997;94(8):3932-7. [Medline].
70.Hyland KV, Engman DM. Further thoughts on where we stand on the autoimmunity hypothesis of Chagas disease. Trends Parasitol. Mar 2006;22(3):101-2; author reply 103. [Medline].
71.Añez N, Carrasco H, Parada H, et al. Myocardial parasite persistence in chronic chagasic patients. Am J Trop Med Hyg. May 1999;60(5):726-32. [Medline].
72.Dorn PL, Perniciaro L, Yabsley MJ, et al. Autochthonous transmission of Trypanosoma cruzi, Louisiana. Emerg Infect Dis. Apr 2007;13(4):605-7. [Medline].
73.Kirchhoff LV, Paredes P, Lomelí-Guerrero A, et al. Transfusion-associated Chagas disease (American trypanosomiasis) in Mexico: implications for transfusion medicine in the United States. Transfusion. Feb 2006;46(2):298-304. [Medline].
74.Young C, Losikoff P, Chawla A, et al. Transfusion-acquired Trypanosoma cruzi infection. Transfusion. Mar 2007;47(3):540-4. [Medline].
75.Trypanosoma cruzi (T. cruzi), Whole Cell Lysate Antigen, ORTHO® T. cruzi ELISA Test System (Package insert). Ortho-Clinical Diagnostics, Inc. 2006.
76.Tobler LH, Contestable P, Pitina L, et al. Evaluation of a new enzyme-linked immunosorbent assay for detection of Chagas antibody in US blood donors. Transfusion. Jan 2007;47(1):90-6. [Medline].
77.Gorlin J, Rossmann S, Robertson G, et al. Evaluation of a new Trypanosoma cruzi antibody assay for blood donor screening. Transfusion. Mar 2008;48(3):531-40. [Medline].
78.Centers for Disease Control and Prevention. Blood donor screening for chagas disease--United States, 2006-2007. MMWR Morb Mortal Wkly Rep. Feb 23 2007;56(7):141-3. [Medline].
79.Frank M, Hegenscheid B, Janitschke K, et al. Prevalence and epidemiological significance of Trypanosoma cruzi infection among Latin American immigrants in Berlin, Germany. Infection. Nov-Dec 1997;25(6):355-8. [Medline].
80.Nishimura A, Ueno Y, Fujiwara S, et al. [An autopsy case of sudden death due to Chagas' disease]. Nihon Hoigaku Zasshi. Feb 1997;51(1):39-43. [Medline].
81.Piron M, Verges M, Munoz J, et al. Seroprevalence of Trypanosoma cruzi infection in at-risk blood donors in Catalonia (Spain). Transfusion. Sep 2008;48(9):1862-8. [Medline].
82.Schmunis GA. Epidemiology of Chagas disease in non-endemic countries: the role of international migration. Mem Inst Oswaldo Cruz. Oct 30 2007;102 Suppl 1:75-85. [Medline].
83.Lescure FX, Canestri A, Melliez H, et al. Chagas disease, France. Emerg Infect Dis. Apr 2008;14(4):644-6. [Medline].
84.Estimación cuantitativa de la enfermedad de Chagas en las Américas. Geneva, Organización Panamericana de Salud. Ref Type: Pamphlet. Department of Control of Neglected Tropical Diseases (NTD). 2006.
85.Dias JC, Silveira AC, Schofield CJ. The impact of Chagas disease control in Latin America: a review. Mem Inst Oswaldo Cruz. Jul 2002;97(5):603-12. [Medline].
86.Sabino EC, Goncalez TT, Salles NA, et al. Trends in the prevalence of Chagas' disease among first-time blood donors in São Paulo, Brazil. Transfusion. Jul 2003;43(7):853-6. [Medline].
87.Segura EL, Cura EN, Estani SA, et al. Long-term effects of a nationwide control program on the seropositivity for Trypanosoma cruzi infection in young men from Argentina. Am J Trop Med Hyg. Mar 2000;62(3):353-62. [Medline].
88.Becerril-Flores MA, Rangel-Flores E, Imbert-Palafox JL, et al. Human infection and risk of transmission of Chagas disease in Hidalgo State, Mexico. Am J Trop Med Hyg. Feb 2007;76(2):318-23. [Medline].
89.Mukherjee S, Nagajyothi F, Mukhopadhyay A, et al. Alterations in myocardial gene expression associated with experimental Trypanosoma cruzi infection. Genomics. May 2008;91(5):423-32. [Medline].
90.El-Sayed NM, Myler PJ, Bartholomeu DC, et al. The genome sequence of Trypanosoma cruzi, etiologic agent of Chagas disease. Science. Jul 15 2005;309(5733):409-15. [Medline].
91.Fontanella GH, De Vusser K, Laroy W, et al. Immunization with an engineered mutant trans-sialidase highly protects mice from experimental Trypanosoma cruzi infection: a vaccine candidate. Vaccine. May 2 2008;26(19):2322-34. [Medline].
92.Stuart K, Brun R, Croft S, et al. Kinetoplastids: related protozoan pathogens, different diseases. J Clin Invest. Apr 2008;118(4):1301-10. [Medline].
93.Kirchhoff LV. Trypanosomiasis of the central nervous system. In: Scheld WM, Marra CM, Whitely RJ, eds. Infections of the Central Nervous System. 3 ed. 2004:777-89.
94.Kirchhoff LV, Weiss LM, Wittner M, et al. Parasitic diseases of the heart. Front Biosci. Jan 1 2004;9:706-23. [Medline].
95.Dias E, Laranja FS, Miranda A, et al. Chagas' disease; a clinical, epidemiologic, and pathologic study. Circulation. Dec 1956;14(6):1035-60. [Medline].
96.Jorg ME, Freire RS, Orlando AS, et al. Disfunción cerebral mínima como secuela de meningoencefalitis aguda por Trypanosoma cruzi. Prensa Med Argentina. 1972;59:1658-69.
97.Sartori AM, Ibrahim KY, Nunes Westphalen EV, et al. Manifestations of Chagas disease (American trypanosomiasis) in patients with HIV/AIDS. Ann Trop Med Parasitol. Jan 2007;101(1):31-50. [Medline].
98.Kirchhoff LV, Votava JR, Ochs DE, et al. Comparison of PCR and microscopic methods for detecting Trypanosoma cruzi. J Clin Microbiol. May 1996;34(5):1171-5. [Medline].
99.Freilij H, Altcheh J. Congenital Chagas' disease: diagnostic and clinical aspects. Clin Infect Dis. Sep 1995;21(3):551-5. [Medline].
100.Kirchhoff LV, Gam AA, Gusmao RA, et al. Increased specificity of serodiagnosis of Chagas' disease by detection of antibody to the 72- and 90-kilodalton glycoproteins of Trypanosoma cruzi. J Infect Dis. Mar 1987;155(3):561-4. [Medline].
101.Virreira M, Torrico F, Truyens C, et al. Comparison of polymerase chain reaction methods for reliable and easy detection of congenital Trypanosoma cruzi infection. Am J Trop Med Hyg. May 2003;68(5):574-82. [Medline].
102.Moser DR, Kirchhoff LV, Donelson JE. Detection of Trypanosoma cruzi by DNA amplification using the polymerase chain reaction. J Clin Microbiol. Jul 1989;27(7):1477-82. [Medline].
103.Sturm NR, Degrave W, Morel C, et al. Sensitive detection and schizodeme classification of Trypanosoma cruzi cells by amplification of kinetoplast minicircle DNA sequences: use in diagnosis of Chagas' disease. Mol Biochem Parasitol. Mar 15 1989;33(3):205-14. [Medline].
104.Shikanai-Yasuda MA, Ochs DE, Tolezano JE, et al. Use of the polymerase chain reaction for detecting Trypanosoma cruzi in triatomine vectors. Trans R Soc Trop Med Hyg. Nov-Dec 1996;90(6):649-51. [Medline].
105.Mora MC, Sanchez Negrette O, Marco D, et al. Early diagnosis of congenital Trypanosoma cruzi infection using PCR, hemoculture, and capillary concentration, as compared with delayed serology. J Parasitol. Dec 2005;91(6):1468-73. [Medline].
106.Diez CN, Manattini S, Zanuttini JC, et al. The value of molecular studies for the diagnosis of congenital Chagas disease in northeastern Argentina. Am J Trop Med Hyg. Apr 2008;78(4):624-7. [Medline].
107.[Best Evidence] Bern C, Montgomery SP, Herwaldt BL, et al. Evaluation and treatment of chagas disease in the United States: a systematic review. JAMA. Nov 14 2007;298(18):2171-81. [Medline].
108.Altcheh J, Biancardi M, Lapena A, et al. [Congenital Chagas disease: experience in the Hospital de Niños, Ricardo Gutiérrez, Buenos Aires, Argentina]. Rev Soc Bras Med Trop. 2005;38 Suppl 2:41-5. [Medline].
109.Sosa-Estani S, Segura EL. Etiological treatment in patients infected by Trypanosoma cruzi: experiences in Argentina. Curr Opin Infect Dis. Dec 2006;19(6):583-7. [Medline].
110.Braga MS, Lauria-Pires L, Arganaraz ER, et al. Persistent infections in chronic Chagas' disease patients treated with anti-Trypanosoma cruzi nitroderivatives. Rev Inst Med Trop Sao Paulo. May-Jun 2000;42(3):157-61. [Medline].
111.Lauria-Pires L, Braga MS, Vexenat AC, et al. Progressive chronic Chagas heart disease ten years after treatment with anti-Trypanosoma cruzi nitroderivatives. Am J Trop Med Hyg. Sep-Oct 2000;63(3-4):111-8. [Medline].
112.Lauria-Pires L, Nitz N, Vexenat AC, et al. The treatment of Chagas disease patients with nitroderivative is unsatisfactory. Rev Inst Med Trop Sao Paulo. 2001;43:175-81.
113.Fiorelli AI, Stolf NA, Honorato R, et al. Later evolution after cardiac transplantation in Chagas' disease. Transplant Proc. Jul-Aug 2005;37(6):2793-8. [Medline].
114.Bocchi EA, Bellotti G, Mocelin AO, et al. Heart transplantation for chronic Chagas' heart disease. Ann Thorac Surg. Jun 1996;61(6):1727-33. [Medline].
115.Campos SV, Strabelli TM, Amato Neto V, et al. Risk factors for Chagas' disease reactivation after heart transplantation. J Heart Lung Transplant. Jun 2008;27(6):597-602. [Medline].
116.Haddad J, Raia A, Netto AC. [Colonic retro-rectal depression by perineal colostomy in the treatment of acquired megacolon. Modified Duhamel's operation]. Rev Assoc Med Bras. Mar 1965;11(3):83-8. [Medline].
117.Teixeira AR, Silva R, Cunha Neto E, et al. Malignant, non-Hodgkin's lymphomas in Trypanosoma cruzi-infected rabbits treated with nitroarenes. J Comp Pathol. Jul 1990;103(1):37-48. [Medline].
118.Teixeira AR, Cordoba JC, Souto Maior I, et al. Chagas' disease: lymphoma growth in rabbits treated with Benznidazole. Am J Trop Med Hyg. Aug 1990;43(2):146-58. [Medline].
119.Bocchi EA, Higuchi ML, Vieira ML, et al. Higher incidence of malignant neoplasms after heart transplantation for treatment of chronic Chagas' heart disease. J Heart Lung Transplant. Apr 1998;17(4):399-405. [Medline].
120.Carlier Y. [Congenital Chagas disease: from the laboratory to public health]. Bull Mem Acad R Med Belg. 2007;162(7-9):409-16; discussion 416-7. [Medline].
121.Jackson Y, Myers C, Diana A, Marti HP, Wolff H, Chappuis F, et al. Congenital transmission of Chagas disease in Latin American immigrants in Switzerland. Emerg Infect Dis. Apr 2009;15(4):601-3. [Medline].
122.Marin-Neto JA, Rassi A Jr, Morillo CA, Avezum A, Connolly SJ, Sosa-Estani S, et al. Rationale and design of a randomized placebo-controlled trial assessing the effects of etiologic treatment in Chagas' cardiomyopathy: the BENznidazole Evaluation For Interrupting Trypanosomiasis (BENEFIT). Am Heart J. Jul 2008;156(1):37-43. [Medline].
123.Tanowitz HB, Machado FS, Jelicks LA, Shirani J, de Carvalho AC, Spray DC, et al. Perspectives on Trypanosoma cruzi-induced heart disease (Chagas disease). Prog Cardiovasc Dis. May-Jun 2009;51(6):524-39. [Medline].
124.Yacoub S, Mocumbi AO, Yacoub MH. Neglected tropical cardiomyopathies: I. Chagas disease: myocardial disease. Heart. Feb 2008;94(2):244-8. [Medline].
Liên kết với các thông tin ngoài
125.All About Chagas Disease , Chagas Information & Prevention, Identification, also in Spanish.
126.Chagaspace , also in Spanish.
127.ChagMex: Database on-line. UNAM-Instituto de Biología.
128.Chagas: the disease. World Health Organization.
129.Chagas Disease. PanAmerican Health Organization.
130.Chagas disease. The UNDP-Unicef-WHO-World Bank Special Programme of Research (TDR).
131.Disease Information. American Trypanosomiasis or Chagas Disease. Travel Medicine Program. Health Canada.
132.Links to Chagas Disease pictures (Hardin MD/Univ of Iowa)
133.Link to "The Kiss of Death". An antropological view of Chagas disease (Joseph Bastien/Univ of Texas at Arlington).
134.Chagas Control in the Southern Cone Countries: History of an International Initiative, 1991/2001, PAH
135.Genome Sequencing Project
136.Parasites' genetic code 'cracked' From BBC
137.Housing project in Bolivia
138.2006: Nature.com / Scott M. Landfear: Flagella are whip-like structures that power the movement of certain cells. Analysis of a single-cell parasite, the African trypanosome, reveals that flagella are also essential for viability in this organism.
139.American Trypanosomyasis. CDC Disease Information (US Federal Government public domain).
Một số thử nghiệm lâm sàng đang tiến hành
1.Population Pharmacokinetics of Benznidazole in Children With Chagas Disease
2.Prevalence of Chagas Disease in Immigrant Patients With Conduction Abnormalities on Electrocardiogram
3.Cell Therapy in Chagas Cardiomyopathy
4.The BENEFIT Trial: Evaluation of the Use of an Antiparasital Drug (Benznidazole) in the Treatment of Chronic Chagas' Disease
5.Evaluation, Treatment and Monitoring of Patients With a Known or Suspected Parasitic Infection