Bệnh Chagas có tên gọi sau khi một thầy thuốc lâm sàng người Brazil là Carlos Chagas khám phát và nghiên cứu ra bệnh vào năm 1909. Tại Mỹ, bệnh Chagas được coi như là một trong những bệnh ký sinh trùng bị lãng quên (Neglected parasitic infections_NPI), một nhóm 5 loại bệnh ký sinh trùng được quan tâm và ưu tiên nghiên cứu bởi chương trình hành động vì y tế công cộng của CDC.
Bệnh lây truyền qua loài ký sinh trùng Trypanosoma cruzi, điều này lây truyền từ các động vật sang người qua vector côn trùng và tìm thấy chỉ ở châu Mỹ (chủ yếu các vùng nông thôn của châu Mỹ latin – nơi mà đói nghèo lan rộng. do đó, bệnh Chagas còn có tên gọi khác là bệnh American trypanosomiasis (CDC, 2013).
Nhóm tác giả gồm Kazuo Imai, Takuya Maeda, Yusuke Sayama, Kei Mikita, Yuji Fujikura, Kazuhisa Misawa, Morichika Nagumo, Osamu Iwata, Takeshi ono, Ichiro Kurane, Yasushi Miyahira, Akihiko Kawana, and Sachio Miura đang công tác tại National Defense Medical College, Saitama, Nhật Bản, Japanese Red Cross Society, Tokyo, Nhật Bản; Tokai University Oiso Hospital, Kanagawa, Nhật Bản; National Institute of Infectious Diseases, Tokyo, Nhật Bản. Các nhà khoa học Nhật Bản này vừa có một báo cáo chi tiết về bệnh Chagas lan truyền từ mẹ sang con tại Nhật Bản và được đăng trên tạp chí các bệnh truyền nhiễm, Trung tâm Kiểm soát và Phòng chống bệnh Hòa kỳ (CDC), xuất bản số 1 năm 2014. Báo cáo cho biết, đây là ca bệnh đầu tiên được ghi nhận tại Nhật Bản và cũng là một vấn đề nghiêm trọng cần tăng cường cảnh giác nhằm phát hiện bệnh Chagas ở các nước không lưu hành bệnh.
Bệnh Chagaslây truyền do tác nhân ký sinh trùng Trypanosoma cruzi, trước đây loài ký sinh trùng này phân bố duy nhất ở khu vực Trung và Nam Mỹ nhưng bây giờ nó phân bố ở nhiều nơi trên thế giới, với ước tính có khoảng 10 triệu người trên thế giới bị ảnh hưởng. Xu hướng gần đây chưa từng có đó là quá trình toàn cầu hóa đã đi kèm với sự di dân khoảng 14 triệu người từ các nước lưu hành bệnh đến các quốc gia thuộc khu vực Bắc Mỹ, châu Âu, Nhật Bản và Úc. Do vậy, có nhiều báo cáo bệnh Chagas mạn tính thỉnh thoảng đã được xuất hiện, các ca bệnh ghi nhận có lẽ nguyên nhân là do những người bị bệnh mạn tính nhập cư từ các quốc gia lưu hành bệnh.
Một vài con số về căn bệnh này ghi nhận, có lẽ chưa đầy đủ với số liệu thống kê:
Mặc dù bệnh Chagas lan lan rộng ra nhiều khu vực địa lý khác nhau trên thế giới, các trường hợp lan truyền bẩm sinh (lây truyền từ mẹ sang con) ở các nước không lưu hành bệnh cũng đã được ghi nhận (bảng 1).
Bảng 1. Số bệnh nhân mắc bệnh Chagas
lan truyền từ mẹ sang con ở các quốc gia không đặc hữu
Quốc gia | Số bệnh nhân | Nguồn gốc của người mẹ | Tuổi, thời gian chẩn đoán | Triệu chứng lúc sinh |
Thụy Điển | 1 | Chile | 5 | Không có triệu chứng |
Tây Ban Nha | 7 | Argentina (2), Bolivia (5) | Lúc sinh (5), 2 (1), sau khi tử vong (1) | Không có biểu hiện lâm sàng (5), có biểu hiện lâm sàng (2) |
Thụy Sĩ | 2 | Bolivia (2) | Lúc sinh (2) | Không có biểu hiện lâm sàng (2) |
Mỹ | 1 | Bolivia | Lúc sinh | Có biểu hiện lâm sàng |
Nhật Bản | 1 | Bolivia | 13 | Không có triệu chứng |
Ước tính có khoảng 300.000 người nhập cư từ châu Mỹ La tinh, đây là khu vực mà bệnh Chagas lưu hành, hiện đang sống và làm việc tại Nhật Bản và khoảng 34.000 trẻ em được sinh ra từ những người nhập cư trong vòng 10 năm qua. Tuy nhiên, lan truyền theo chiều dọc từ mẹ sang con của bệnh ở Nhật Bản chưa được phát hiện, có lẽ vì thiếu các chương trình giám sát đối với phụ nữ mang thai có nguy cơ và sự xem thường những biểu hiện lâm sàng tiềm ẩn của bệnh Chagas bẩm sinh.
Tổ chức Y tế thế giới (TCYTTG) khuyến cáo rằng mỗi quốc gia nên tăng cường năng lực quốc gia và khu vực để ngăn chặn và kiểm soát bệnh lan truyền từ mẹ sang con của tác nhân gây bệnh Trypanosoma cruzi, trong khi đó cần phải cải thiện hệ thống quản lý ca bệnh. Chúng tôi báo cáo một bệnh nhân bị bệnh Chagas lan truyền từ mẹ sang con (bệnh Chagas bẩm sinh) ở Nhật Bản. Nhấn mạnh sự cần thiết phải nâng cao nhận thức tầm quan trọng của bệnh lan truyền bẩm sinh, đôn đốc thành lập một hệ thống chẩn đoán và điều trị thích hợp đối với bệnh Chagas ở các nước không lưu hành bệnh.
Thông tin bệnh nhân
Tháng 10 năm 2012, một cậu bé 13 tuổi ở Nhật Bản đã được nhập viện tại Bệnh viện quân y Đại học Y ở Saitama, Nhật Bản nguyên nhân do táo bón mạn tính. Cha mẹ và ông bà của cậu bé là công dân Nhật Bản có nguồn gốc Bolivia, đã từng sống trong khu vực bệnh Chagas lưu hành ở Bolivia cho đến năm 1992. Năm 1999, cậu bé đã được sinh ra sau khi thai của người mẹ không bị biến chứng nhưng trọng lượng cậu bé lúc sinh ra thấp. Thời gian sau đó, sức khỏe cậu bé luôn ở tình trạng tốt và không có dấu hiệu của bệnh Chagas, mãi cho đến thời gian 2 năm trước khi nhập viện, cậu bé đã bắt đầu bị bệnh táo bón mạn tính. Vào thời điểm đó, cậu bé đã có một cuộc kiểm tra y tế tại một nhà thờ Công giáo bởi vì hầu hết các bệnh viện ở Nhật Bản không thể thực hiện chẩn đoán xác định bệnh Chagas. Cậu bé đã trải qua sàng lọc bằng chẩn đoán huyết thanh kết quả cậu bé dương tính với ký sinh trùng T. cruzi. Cậu bé và mẹ cậu bé đã được chẩn đoán dương tính với ký sinh trùng T. cruzi.
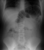
Sau khi nhập viện, cậu bé đã biểu hiện táo bón nặng và giải thích rằng cậu bé mỗi tuần chỉ đại tiện một lần. Kết quả xét nghiệm lúc nhập viện, kể cả huyết thanh natriuretic peptide não và nhìn chung các chỉ số đều trong phạm vi cho phép. Tuy nhiên khi chụp X quang ở phần bụng cho thấy sự căng phồng ở đại tràng chính và kéo dài 65 mm.
Chẩn đoán xác định, bao gồm cả hiệu quả điều trị ký sinh trùng, được xác định bằng cách sử dụng phương pháp huyết thanh học, di truyền, và ký sinh trùng (bảng 2). Phương pháp ELISA (Hệ thống kiểm tra ELISA Ortho T. cruzi; chẩn đoán lâm sàng Ortho, Raritan, NJ, Mỹ) được thực hiện theo chỉ dẫn của nhà sản xuất.
Phương pháp PCR lồng nhằm khuếch đại một đoạn DNA của một chuỗi TCZ lặp đi lặp lại được thực hiện như mô tả. Ký sinh trùng cũng đã được phân lập bằng cách nuôi cấy tế bào máu trên môi trường Novy, McNea, và Nicolle thạch và kiểm tra bằng kính hiển vi quang học và real-time PCR.
Tất cả các thử nghiệm cho thấy kết quả dương tính với ký sinh trùng T. cruzi. Sau đó các xét nghiệm được kiểm tra ở mẹ cậu bé cũng có thấy kết quả dương tính với bệnh Chagas. Kết quả cuối cùng, cậu bé được đưa ra một chẩn đoán là Bệnh Chagas bẩm sinh và phình đại tràng (Congenital Chagas disease accompanied by megacolon).
Bảng 2: Biểu hiện lâm sàng của bệnh nhân 13 tuổi mắc bệnh Chagas bẩm sinh lan truyền từ mẹ sang con tại Nhật Bản sau khi điều trị với benzinidazole
Đặc tính | Trước điều trị | Số ngày theo dõisau khi bắt đầu điều trị |
30 | 60 | 180 |
Hiệu giá kháng thể | 160 | 160 | 160 | 160 |
Kết quả Nested PCR | + | + | – | – |
Kết quả cấy máu | + | – | – | – |
Bệnh nhân được điều trị bằng uống benznidazole (liều 5 mg/kg/ngày trong vòng 60 ngày) và cho thấy không có tác dụng phụ. Ký sinh trùng và ADN của T. cruzi trong máu ngoại vi không thể phát hiện được sau khi kết thúc điều trị. Để đảm bảo điều trị thành công và chăm sóc bệnh nhân, chúng tôi dự định theo dõi lâm sàng bệnh nhân trong nhiều thập kỷ cho đến khi kết quả huyết thanhcuối cùng thật sự âm tính với ký sinh trùng T. cruzi.
Kết luận
Bệnh Chagas thường được xem là một trong những vấn đề sức khỏe nghiêm trọng nhất ở những khu vực nông thôn thuộc Trung và Nam Mỹ. Tuy nhiên, các chương trình kiểm soát véc tơ thành công gần đây đã làm giảm lan truyền thông qua véc tơ truyền bệnh, điều này đã làm thay đổi đáng kể về dịch tễ học bệnh Chagas.
Di dân hàng loạt của người bị nhiễm bệnh mạn tính và những người nhiễm bệnh không có triệu chứng đã gây ra toàn cầu hóa bệnh Chagas nghĩa là thông qua sự di cư bệnh đã mở rộng vùng phân bố mà trước đây chưa hề bị bệnh và đã lây nhiễm không thông qua véc tơ truyền bệnh, bao gồm cả lan truyền theo chiều dọc từ mẹ sang con và lan truyền bệnh qua đường truyền máu, đây là mối đe dọa đối với cộng đồng nhiều hơn các trường hợp nhiễm do véc tơ truyền.Trên cơ sở dựa vào cư dân địa phương và chưa đầy đủ điều tra huyết thanh, hiện nay số lượng bệnh nhân Chagas sống ở Nhật Bản vào khoảng 4.500 người, so với Mỹ là hơn 100.000 và Tây Ban Nha hơn 6.000 bệnh nhân. Trong thập kỷ qua, các ca bệnh nhập khẩu rãi rác đã được ghi nhận và báo cáo tại Nhật Bản, nhưng tỉ lệ mắc bệnh chính xác là không rõ. Hầu hết các ca bệnh được chẩn đoán chỉ sau khi bệnh nhân có biến chứng nghiêm trọng, trong đó có sự liên quan đến bệnh tim nặng. Có thể hiểu rằng bệnh nhân có các triệu chứng liên quan đến tim ít nghiêm trọng hoặc liên quan đến hệ tiêu hóa đã được điều trị tại bệnh viện địa phương ở Nhật Bản, nơi mà thiếu khả năng phát hiện hoặc chẩn đoán sai bệnh là rất cao. Tại Nhật Bản, những khó khăn trong việc đưa ra mộtchẩn đoán chính xác bệnh Chagas là rất phức tạp, bởi hiểu biết và xác định bệnh của nhân viên y tế còn hạn chế; khan hiếm nguồn dữ liệu về dịch tễ học hoặc thống kê và thiếu các công cụ chẩn đoán, nguồn lực và phương tiện sẵn có để giúp chẩn đoán phân biệt với các bệnh khác.
Hiện tại không có hệ thống giám sát ở các phòng xét nghiệm kiểm tra đối với việc hiến máu nhằm phát hiện bệnh Chagas ở Nhật Bản. Thay vào đó, một bộ câu hỏi được sử dụng để xác định nếu người hiến máu có bất kỳ liên hệ với các khu vực bệnh lưu hành. Kể từ tháng 10 năm 2012, để tránh lây truyền qua con đường truyền máu, Trung tâm huyết học Hội chữ thập đỏ Nhật Bản (Japanese Red Cross Blood Centers) không còn sử dụng máu được hiến tặng cho truyền máu hoặc sản xuất các sản phẩm máu nếu người hiến máu hoặc mẹ của người hiến máu trước đó có hơn 4 tuần sống ở Mỹ La tinh. Do vậy, trước năm 2012, rất khó để ước tính có bao nhiêu lượng máu hiến tặng đã bị nhiễm bệnh đã bị bỏ qua tại Nhật Bản. Ước tính tỷ lệ lan truyền theo chiều dọc từ mẹ sang con là khoảng 5% ở Bolivia. Nếu ước tính trong 34.000 trẻ em được sinh ra từ những phụ nữ Mỹ Latinh sống ở Nhật trong thập kỷ qua và tỷ lệ huyết thanh dương tính với T. cruzi được ước tính là 1,8%, thì số trẻ sơ sinh bị nhiễm bệnh trong thập kỷ qua là khoảng 30. Tuy nhiên, hiện tại không có chương trình sàng lọc đối với bệnh Chagas ở Nhật Bản nhằm phát hiện người mắc bệnh mạn tính, bao gồm cả phụ nữ mang thai và trẻ sơ sinh.
Bệnh nhân trong nghiên cứu này đã lây nhiễm bệnh bẩm sinh, kèm theo phát triển biếnchứng đường tiêu hóa. Sự chậm trễ trong chẩn đoán đối với trường hợp bệnh nhân này là do sự vắng mặt của một chương trình kiểm tra ở Nhật Bản, một vấn đề mà điều này cũng làm cho nó không thể xác định số lượng chính xác phụ nữ mang thai và trẻ sơ sinh nhiễm T. cruzi nhiễm trùng ở đất nước này. Tại Tây Ban Nha, đất nước bị ảnh hưởng nặng nề nhất ở châu Âu, một chương trình cụ thể được phát triển nhằm tập trung vào những người di cư từ những người phụ nữ Mỹ Latinh đang ở trong độ tuổi sinh đẻ. Kể từ khi ra đời, chương trình đã góp phần không chỉ để chẩn đoán sớm bệnh Chagas mà còn để cải thiện chất lượng cuộc sống và tiên lượng cho bệnh nhân.
Bởi vì liệu pháp điều trị bệnh hiệu quả, bao gồm cả benzinidazole, đối với các trường hợp nhiễm T. cruzi là trên 90% ở trẻ sơ sinh bị nhiễm bệnh Chagas bẩm sinh lây truyền qua đường từ mẹ sang con nếu được điều trị trong năm đầu tiên của cuộc sống, nó sẽ là lý tưởng cho tất cả phụ nữ mang thai vào Nhật Bản từ các nước bệnh lưu hành bệnh được kiểm tra đối với sự có mặt kháng thể trong huyết thanh đối với ký sinh trùng T. cruzi. Báo cáo này chỉ ra nhu cầu cấp thiết đối với việc thực hiện các biện pháp thích hợp với mục đích ngăn chặn sự lây truyền dọc từ mẹ sang con của ký sinh trùng T. Cruzi ở các quốc gia bệnh Chagas không đặc hữu, trong đó có Nhật Bản.