TRANH LUẬN VỀ KHUNG CHẨN ĐOÁN
·Chẩn đoán cần kết hợp tiền sử lâm sàng, khám lâm sàng, nội soi, chẩn đoán cận lâm sàng và chản đoán hình ảnh để xác định ca bệnh (Gut 1990;31:54):
oTriệu chứng trên dạ dày ruột !important;
oSinh thiết mô dạ dày ruột biểu hiện tăng BCAT !important;
oLoại trừ các nguyên nhân đã biết trước đó có tăng BCAT.
·Nội soi tiêu hóa:
oHình ảnh có thể biểu hiện từ bình thường đến đỏ niêm mạc, phù nền, sinh u hạt, loét, dày niêm mạc và tạo các mảng trắng dễ vỡ vụn (Clin Rev Allergy Immunol 2016;50:175) !important;
TRANH LUẬN VỀ CẬN LÂM SÀNG
·Không có một loại xét nghiệm hay thủ tuật nào giúp chẩn đoán đầy đủ bệnh EGIDs !important;
·Duy trì một nghi ngờ cao khi khám lâm sàng là cần thiết để chẩn đoán cuối cùng !important;
·Dù không đặc hiệu, nhưng các test cận lâm sàng sau có thể giúp chẩn đoán (Clin Rev Allergy Immunol 2016;50:175):
o Test dị ứng để đánh giá dị nguyên nào có thể thúc đẩy làm nặng hơn bệnh lý và các triệu chứng có thể xảy ra !important; Nó hiện nay vẫn còn đang tranh luận (J Gastroenterol Hepatol 2013;28:1306) !important;
oTăng số BCAT trong mau ngoại vi (20 - 80% số ca) !important;
oTăng tốc độ máu lắng !important; Tăng IgE trong huyết thanh;
oThiếu máu thiếu sắt !important; Giảm albumin máu; 
oHàm lượng protein eosinophilic cationic trong phân !important;
oEosinophilic cationic protein và độc tố thần kinh chiết xuất từ BCAT (Scand J Gastroenterol 2011;46:1074) !important;
oTăng 2-macroglobulin (Scand J Gastroenterol 2011;46:1074) !important;
oXét nghiệm phân loại bỏ ký sinh trùng.
Chẩn đoán hình ảnh học
·Nó hữu ích nhưng hạn chế
oSiêu âm:
§Phát hiện sự có mặt dày thành ruột, dịch ổ bụng hay các nốt trong phúc mạc !important;
§Đông thời giúp theo dõi và xác định đáp ứng điều trị (Ultraschall Med 2011;32:E57) !important;
oChụp CT-scan:
§Có thể biêu hiện rõ các nốt, các nếp gấp bất thường và dày thành niê mạc dạ dày và ruột non (J Comput Assist Tomogr 1999;23:417) !important;
oChụp cản quang Barium:
§Xác định các mức độ khác nhau của hẹp đường tiêu hóa, các bất thừơng niêm mạcvà độ dày các nếp gấp trong dạ dày (J Clin Pathol 1986;39:1)
oChụp nhấp nháy bạch cầu Tc-99m hexamethyl propylene amine oxime (HMPAO):
§Vùng viêm hoạt động có tăng BCAT !important;
§Hữu ích sử dụng để xác định lan rộng của bệnh và đánh giá đáp ứng diều trị (Clin Nucl Med 1997;22:536,  !important;Ann Nucl Med 2003;17:601).

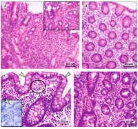
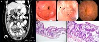
Hình 3. Kết quả CT-scan và mô bệnh học hệ tiêu hóa biểu hiện thâm nhiễm tăng BCAT
CÁC YẾU TỐ TIÊN LƯỢNG
·  Không biết do độ hiếm của bệnh nhưng đã được quan sát lệ thuộc vào đáp ứng điều trị và phân loại bệnh của Klein (Clin Gastroenterol Hepatol 2011;9:950) !important;
·Các bệnh nhân có 3 giai đoạn bệnh khác nhau (Clin Gastroenterol Hepatol 2011;9:950):
oBùng phát đơn thuần: Liên quan nhiều đến mô hình thể thanh mạc !important;
oTái phát: Liên quan nhiều đến thể cơ !important;
oLiên tục: Liên quan nhiều đến thể niêm mạc.
CHẨN ĐOÁN PHÂN BIỆT
·Nhiễm vi khuẩn hay ký sinh trùng
oGiun kim, giun móc, giun tóc và sán máng;
oToxocara canis  !important;cũng có thể là một nguyên nhân gây dịch ổ bụng tăng BCAT.
·Nhiễm trùng H. pylori
oSinh thiết và nhuộm bạc để loại trừ nhiễm trùng H. pylori;
oCác ca báo cáo đã được điều trị thành công của EGIDS với tiêu diệt vi khuẩn  !important;H. pylori (Gut 2005;54:1822,  !important;J Clin Gastroenterol 2008;42:1063) !important;
·Bệnh viêm ruột kích thích  !important;(Mayo Clin Proc 1997;72:117):
oCó thể viêm ruột có tăng BCAT máu ngoại vi !important;
oThiếu dữ liệu tăng BCAT lan tỏa.
·Hội chứng tăng nhiễm BCAT
oTình trạng mô căn và hiếm gặp !important;
oTồn tài (> !important;6 tháng) vấn đề tăng BCAT trong máu ngoại vi đáng kể (thường vượt >1.500 BCAT/microliter);
oCùng với sự hiện diện của tổn thương cơ quan hay rối loạn chức năng cơ quan liên quan thâm nhiễm BCAT và ly giải các chất trung gian !important;
oHầu hết đặc điểm lâm sàng biểu hiện gồm ở da và phổi (J Allergy Clin Immunol 2009;124:1319)
·Rối loạn viêm mạch (Hội chứng Churg-Straussvà viêm đa động mạch nút):
oThâm nhiễm BCAT vào mạch máu nhỏ !important;
oTăng BCAT máu ngoại vi !important;
oTăng các chỉ điểm viêm và tự kháng thể.
·Rối loạn mô liên kết  !important;(xơ cứng bì và viêm cơ da):
oTăng BCAT từng đợt và thâm nhiễm dưỡng bào và BCAT giống các band trong lớp niêm mạc. 
·Mẫn cảm với thuốc:
oTăng BCAT dạ dày ruột có liên quan một danh mục thuốc rất dài, như carbamazepine, rifampicin, naproxen, NSAIDs, interferon, azathioprine, enalapril hay hợp chất vàng.
·Hội chứng bệnh tế bào mast (Mastocytosis) và Hội chứng mô bào Langerhans:
oTăng BCAT dạ dày ruột thường gặp liên quan ở hệ tiêu hóa bởi Hội chứng bệnh tế bào mast (Mastocytosis) và Hội chứng mô bào Langerhans;
oBên cạnh BCAT, thâm nhiễm tế bào đơn nhân nổi trội và xuất hiện các nốt và u hạt !important; 
oCác tế bào đơn nhân có thể có đặc điểm hình thái hoặc là các tế bào mast hoặc là tế bào Langerhans khi nhuộm hóa mô miễn dịch có thể xác định.
TRANH LUẬN VỀ THÁI ĐỘ XỬ TRÍ VÀ ĐIỀU TRỊ LÂU DÀI
·Hiện tại không có một hướng dẫn điều trị chuẩn nào được công bố chính thức do thiếu các nghiên cứu theo dõi dọc mở rộng. Các phương thức điều trị hiện tại dựa trên các báo ca bệnh riêng lẻ hoặc chùm ca bệnh !important;

Hình 4. Lược đồ xử trí và quản lý bệnh viêm dạ dày ruột tăng BCAT
§Điều trị nhiều thay đổi khác nhau và dựa trên độ trầm trọng của đặc điểm lâm sàng !important; 
oTránh các chất dị nguyên hoặc yếu tố thúc đầy ca bệnh !important; 
§Vấn đề thường gặp: Sự tái phát các triệu chứng đi kèm với sử dụng lại các chất dị nguyên như một loại thực phẩm nào đó !important;
oChế độ ăn lỏng (J Pediatr Gastroenterol Nutr 1996;23:81) !important;
oThuốc chống viêm !important;
oThuốc steroids đường toàn thân và tại chỗ được coi là các liệu pháp chính điều trị (Curr Allergy Asthma Rep 2005;5:259) !important;
§Một số ca bệnh diễn tiến nặng vẫn tiếp tục hoặc hạn chế trong chế độ ăn uống thất bại !important;
§EGIDS thanh mạc thường đáp ứng điều trị tốt hơn với steroids (Dig Dis Sci 2003;48:1013).
oCác phương thuốc điều trị dùng steroid khác: Các chất làm ổn định dưỡng bào (cromolyn sodium), ức chế tiết dưỡng bào (ketotifen), chất đối vận thụ thể leukotriene (montelukast), chất ức chế chọn lọc Th2, cytokine IL4 và IL5 (subplatast tosilate) !important;
oCác lựa chọn điều trị đích đặc hiệu khác: Kháng thể đơn dòng kháng IgE (omalizumab), kháng thể kháng IL5 (reslizumab và mepolizumab) và chất chống lại yếu tố hoạt tử mô alpha (infliximab) !important;
oCấy vi sinh phân hay liệu pháp FMT (Fecal Microbiota Transplantation !important; World J Gastroenterol 2014;20:16368)
·Điều trị bao gồm định hình các dị nguyên có thể và loại bỏ chúng khỏi chế độ ăn của bệnh nhân, thuốc  !important;montelukast kháng đối vận với leukotriene, hay chất làm ổn định tế bào mast là  !important;ketotifen,  !important;thuốc corticosteroids đường toàn thân,  !important;azathioprine và chế độ ăn lỏng. Thật là kho khăn để phân phối thuốc topic steroid cho niêm mạc dạ dày. Chế phẩm cromoglycate  !important;chưa từng xác định hiệu quả. Trong một nghiên cứu của Travis Piester và cộng sự (2021) về viêm dạ dày và bệnh lý loét cho thấy bệnh viêm dạ dày ruột tăng BCAT thường liên quan đến dị ứng và bệnh cơ địa. Viêm dạ dày tăng BCAT thường biểu hiện như một bệnh lý độc lập trong viêm đường tiêu hóa tăng BCAT hơn là một bệnh tách rời. Viêm dạ dày tang BCAT đừng đầu trong thập kỷ kỷ thứ 3 của đời sống, dù 20% số ca có thể biểu hiện trước tuổi 20;
·Viêm dạ dày tăng BCAT cũng liên quan đến với các bệnh lý khác như viêm đại tràng kích thích,  !important;bệnh mạch máu collagen, nhiễm vi khuẩn và ký sinh trùng(gồm cả  !important;H. pylori),  !important;tổn thương do thuốc và mẫn cảm với thuốc. Mặc dù, BCAT có thể nhìn thấy trong nhiều tình trạng bệnh khác nhau, BCAT có thể nổi trội trong các bệnh lý dị ứng và cơ địa. Trên các bệnh nhân viêm dạ dày tăng BCAT, tiền sử y khoa có thể gồm dị ứng theo mùa, nhạy cảm thực phẩm, chàm và cơ địa. Đặc điểm lâm sàng dạ dày ruột điển hình thứ phát sau khi có sự phối hợp các phản ứng dị ứng phối hợp IgE và non-IgE từ hậu quả của tăng interleukin 3  !important;(IL-3), IL-5 và yếu tố kích thích tạo cụm bạch cầu hạt và bạch cầu mono, tất cả đều là các cytokine tiền viêm;
·Viêm dạ dày tăng BCAT có thể thể niêm mạc (là loại subtype phô biến nhất), thể cơ, thể thanh mạc và thể phối hợp các thể này. Triệu chứng viêm dạ dày tăng BCAT tương tự các thể khác của viêm dạ dày. Sữa bò, sữa đậu nành, trứng và lúa mì là các dị nguyên hay gặp nhất trên trẻ em có bệnh lý viêm dạ dày tăng BCAT dị ứng (allergic eosinophilic gastrointestinal disease) và tiền sử biểu hiện một mối liên hệ giữa tiêu hóa thức ăn và triệu chứng nôn, nôn ra máu, kích thích và khó tăng cân.  !important;Các trẻ em nhỏ có thể chán ăn và hay từ chối ăn. Trong một số ca hiếm, viêm dạ dày ruột tăng BCAT có thể hiện tắc nghẽn khoang dạ dày do nếp gấp niêm mạc sưng phồng khi dạ dày trống rỗng. Thiếu máu do mất máu ẩn và giảm albumin trong máu xảy ra thường xuyên. Nếu liên quan đến cơ hoặc thanh mạc, triệu chứng đau bụng và dịch ổ bụng tăng BCAT có thể xuất hiện;
·Hình ảnh nội soi cũng thấy thay đổi khác nhau và không đặc hiệu. Hình ảnh sung huyết đỏ dễ mụn nát, khuyết lỗ, loét, nếp gấp niêm mạc dạ dày sưng phồng và nhiều thương tổn dạng nốt ở niêm mạc rải rác, đặc biệt ở vùng hang vị. Các phát hiện không đặc hiệu này nhấn mạnh nhu cầu cân phải sinh thiết niêm mạc, trong đó cho thấy thâm nhiễm BCAT trong lớp niêm mạc dạ dày và thâm nhiễm cả bạch cầu lympho, dưỡng bào và bạch cầu đa nhân trung tính. Tiêu chuẩn mô học để chẩn đoán là > !important; 50 BCAT/vi trường độ phóng đại cao trong ít nhất 5 vi trường, không kèm theo các rối loạn khác có tăng BCAT đã biết trước đó. Trong thân vị, thương tổn lan tỏa, trong khi ở hang vị các thương tổn khu trú nhỏ hơn là ưu thế.  Nếu lớp sâu hơn bị liên đới, nội soi sinh thiết có thể không chẩn đoán ra và siêu âm nội soi hay MRI có thể thấy hình ảnh dày thành dạ dày;
·Mặc dù chẩn đoán xác định dị ứng thức ăn đòi hỏi phải xét nghiệm dị nguyên, song chẩn đoán nghi ngờ dựa trên đáp ứng với việc loại bỏ dị nguyên và cải thiện hình ảnh mô học trên nội soi.  !important;Khi biểu hiện lâm sàng trên trẻ em nhỏ, trình diện kháng nguyên có thể xuất hiện trong vòng 24 tháng đầu đầu đời, dù các dị ứng với đậu phụng, cây có hạt và hải sản có thể có. Viêm dạ dày ruột tăng BCAT được chẩn đoán dựa trên tiêu chuẩn đề xuất của Klein và cộng sự, trong đó bao hàm phải có triệu chứng dạ dày ruột, sinh thiết mô có thâm nhiễm BCAT một hoặc nhiều vùng rên đường tiêu hóa, từ thực quản đến đại tràng, hoặc có hình ảnh học kèm theo tăng BCAT trong máu ngoại vi, và không có bằng chứng bệnh KST và bệnh lý ngoài ruột. Chỉ có 50% số bệnh nhân có bệnh viêm dạ dày ruột tăng BCAT sẽ có kèm theo tăng BCAT trong máu ngoại vi, điều này có thể liên quan đến bệnh cơ địa đang song song tồn tại nhưng không biểu hiện lâm sàng tiêu hóa;
·Điều trị hướng vào đích là loại bỏ các dị nguyên nghi ngờ hoặc xác định, dùng thuốc kháng đối vận thụ thể leukotriene (montelukast),  !important;thuốc làm ổn định dưỡng bào (ketotifen), dùng corticosteroid đường toàn thân,  !important;azathioprine hoặc chế độ ăn thay đổi. Thuốc steroids dạng tráng niêm mạc dạ dày cũng là một thách thức. Điều trị giảm triệu chứng có thể dùng các thuốc ức chế tiết acid. Một số trường hợp báo cáo đáp ứng một phần do sự sống còn của BCAT kéo dài, một phần do tăng nồng độ IL-5 !important;
·Trong một số ca nặng, thuốc azathioprine và mycophenolate  !important;mofetil có thể sử dụng và thấy có hiệu quả cần cân nhắc, nhất là các ca tái phát, lệ thuộc steroid. Trên trẻ em nhỏ, đều trị bao gồm công thức chế độ ăn thay đổi và protein hòa tan trong nước để giải quyết triệu chứng cũng như làm bình thường lại các chỉ điểm sinh hóa (thiếu máu và albumin máu) và hình ảnh trên nội soi.
(Hết)