Viêm dạ dày ruột non tăng bạch cầu ái toan là một rối loạn bệnh lý dạ dày ruột có tăng bạch cầu ái toan (Eosinophilic gastrointestinal disorders_EGIDs) gồm có viêm thực quản tăng BCAT, viêm dạ dày tăng BCAT, viêm ruột non tăng BCAT và viêm đại tràng tăng BCAT (eosinophilic esophagitis, eosinophilic gastritis, eosinophilic gastroenteritis, eosinophilic enteritis, eosinophilic colitis) theo tiêu chí đăng tải trên J Allergy Clin Immunol 2004.
Tuy nhiên, viêm thực quản tăng BCAT khác với viêm dạ dày ruột đại tràng tăng BCAT (eosinophilic gastroenterocolitis_EGEC) trên tất cả khía cạnh và nên xem xét toàn bộ khi chẩn đoán.Viêm dạ dày ruột đại tràng tăng BCAT (Eosinophilic gastroenterocolitis) là một rối loạn viêm đặc trưng bởi quá trình thâm nhiễm BCAT cao và ưu thế so với toàn bộ đường tiêu hóa mà không đi kèm với một nguyên nhân nào hay mô nào có thâm nhiễm BCAT.
MỘT SỐ ĐIỂM QUAN TRỌNG
·Tiến trình viêm đặc trưng bởi sự thâm nhiễm bất thường BCAT vào trong những đoạn hác nhau của đường tiêu hóa, không có mặt của nguyên nhân tăng BCAT biết trước (phản ứng thuốc, nhiễm ký sinh trùng và khối ác tính) !important;
·Có thể xảy ra khắp đường tiêu hóa, hầu hết ghi nhận trong dạ dày, sau đó là ruột và đại tràng, có thể có một phần bị hoạc hai hay nhiều đoạn của hệ tiêu hóa bị ảnh hưởng. Hiếm gặp ở hệ đường mật (Gut 1990;31:54) !important;
·Chẩn đoán đòi hỏi có mặt: Triệu chứng hệ tiêu hóa, sinh thiết mô thấy tăng BCAT ở đường tiêu hóa !important; Loại bỏ các nguyên nhân khác của các mô tăng BCAT.
·Nguyên nhân chưa được biết thấu đáo. Một số nghiên cứu chỉ ra rối loạn điều hòa miễn dịch hoặc dị ứng vì nhiều bệnh nhân có rối loạn vì nhiều bệnh nhân có rối loạn viêm dạ dày ruột tăng BCAT (EGIDs) cũng liên quan đến cơ địa (Pediatr Neonatol 2011;52:272) !important;
·EGIDs có thể phân loại thành tiên phát khác thứ phát (Clin Rev Allergy Immunol 2016;50:175):
oEGIDs tiên phát được xác định như một tiến trình viêm đặc trưng bởi thâm nhiễm BCAT của các đoạn tiêu hóa khác nhau của hệ tiêu hóa, vắng mặt các nguyên nhân tăng BCAT trước đó như phản ứng thuốc, nhiễm ký sinh trùng, khối ác tính (J Allergy Clin Immunol 2004;113:11) !important;
oEGIDs thứ phát do pản ứng thuốc, nhiễm ký sinh trùng, nhiễm vi khuẩn, hội chứng tăng nhiễm BCAT, hội chứng Churg-Strauss, bệnh Celiac, viêm ruột, viêm đa động mạch nút và rối loạn mô liên kết khác.
TRANH LUẬN VỀ LÂM SÀNG
·Triệu chứng dạ dày ruột không đặc hiệu bệnh: Đau bụng, buồn nôn, nôn mửa và tiêu chảy, suy dinh dưỡng, chậm phát triển và sút cân; 
·Một số triệu chứng có thể thường gặp, lệ thuộc vào độ sâu của đường tiêu hóa đang bị ảnh hưởng (J Allergy Clin Immunol 2004;113:11):
oThể niêm mạc: Đau bụng, buồn nôn, nôn mửa, tiêu chảy, xuất huyết, kém hấp thu, sụt cân;
oThể cơ: Tắc ruột và tắc dạ dày;
oThể thanh mạc: Dịch ổ bụng xét nghiệm có tăng BCAT.
·Thường có trên nền bệnh nhân có tiền sử bệnh cơ địa hen suyễn, chàm, viêm mũi dị ứng đồng thời và tăng IgE huyết thanh;
·Một số bệnh nhân biểu hiện phân có máu tươi đại thể hoặc vi thể(hematochezia), điều này dẫn đến thiếu máu quan trọng (Pediatr Neonatol 2011;52:272)
·Một số ca hiếm của EGIDs liên quan đến viêm tụy và loét hoặc thủng tá tràng (World J Gastroenterol 2009;15:2156, Endoscopy 2011;43:E358).
CẬP NHẬT VỀ HÌNH ẢNH MÔ BỆNH HỌC VIÊM HỆ TIÊU HÓA TĂNG BCAT
Đại thể
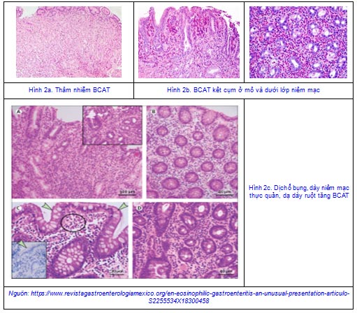
·Hình ảnh không đặc hiệu trên bề mặt niêm mạc, gồm niêm mạc dày lên, sung huyết đỏ, loét xói khuyết và loét tiêu hóa, hình thành các mảng trắng, phù nề, giãn các mạch máu hoặc hình thành nốt dưới niêm mạc.
Vi thể
·Chẩn đán đòi hỏi xác định bằng phân tích mô bệnh học dạ dày, ruột non, ruột già hoặc sinh thiết (Adv Anat Pathol 2011;18:335) !important;
oPhân bố các BCAT cso thể thành mảng (thu nhận nhiều mẫu sinh thiết để củng cố chẩn đoán) !important; 
·BCAT có thể nhìn thấy trong toàn bộ ống tiêu hóa, ngoại trừ trong thực quản trong tình trạng sinh lý bình thường !important; chúng là phần quan trọng của hệ miễn dịch bẩm sinh của hệ tiêu hóa;
oKhoảng số BCAT bình thường tại các vị trí trên đường tiêu hóa cũng khác nhau và khác nhau có ý nghĩa giữa các bệnh nhân khác nhau (J Allergy Clin Immunol 2004;113:11);
oNồng độ BCAT tìm thấy cao nhất ở manh tràng và ruột thừa (lên đến 30/vi trường độ phóng đại cao (Mod Pathol 1996;9:110,  !important;J Gastroenterol 2008;43:741) !important;
oThiếu đồng thuận về các hình ảnh mô học của EGEC do mức độ hiếm gặp của bệnh và sự khác nhau thay đổi về số lượng BCAT, nhưng điểm đặc trưng bởi qua trình thâm nhiễm BCAT nổi trội trên thành tiêu hóa (chủ yếu các vùng bị ảnh hưởng là dạ dày và ruột non (Case Rep Gastroenterol 2013;7:293) !important;

Hình 1. Sự tham gia các tế bào vào bệnh lý viêm dạ dày ruột tăng BCAT. 
Nguồn: https://mednexus.org/doi/10.1097/CM9.0000000000002511
·Hiện chưa có ngưỡng cắt về số lượng BCAT/vi tường độ phóng đại cao để chẩn đoán EGECs !important;
·Các nhà bệnh học nên thảo luận về các kết quả nếu BCAT co hơn mong đợi !important;
·Ngưỡng số lượng BCAT được đề nghị gần đây đưa ra đây nhưng không phải là tiêu chuẩn chẩn đoán chính thống (Gastroenterol Clin North Am 2014;43:257):
oDạ dày: ≥ 30 BCAT/vi trường trên 5 vi trường có độ phóng đại cao !important;
oTá tràng: > !important; 52 BCAT/vi trường độ phóng đại cao;
oHồi tràng: > !important; 56 BCAT/ vi trường độ phóng đại cao;
oĐại tràng phải: > !important; 100 BCAT/ vi trường độ phóng đại cao;
oĐại tràng ngang và đại tràng xuống: > !important; 84 BCAT/ vi trường độ phóng đại cao;
oĐại tràng sigma: > !important; 64 BCAT/ vi trường độ phóng đại cao.
·Phân bố BCAT cũng là bằng chứng quan trọng đối với EGEC bất luận số BCAT !important;
oSự hiện diện BCAT trong các khoang, hầm (BCAT trong biểu mô và abces ngấn đường tiêu hóa thâm nhiễm BCAT), các cụm BCAT tong lớp niêm mạc và BCAT trong cơ là bất thường !important;
·Trong các mẫu cắt ra từ bệnh phẩm, thâm nhiễm BCAT tòan bộ có thể nhìn thấy !important;
·Có thể đi kèm các tế bào viêm khác, đặc biệt dưỡng bào !important;
·Các thay đổi không đặc hiệu khác gồm phù nề, mất mucin, khuyết, thay đổi biểu mô tái hoạt (tăng sản tế bào nhầy bề mặt và phì đại nhung mao) và rối loạn sắp xếp cấu trúc nhẹ !important;
·Vùng viêm tăng BCAT có thể thấy lắng đọng BCAT ngoại bào (Gastroenterology 1992;103:137) !important;
·Klein và cộng sự phân loại bệnh dựa trên vị trí thâm nhiễm BCAT ở các lớp khác nhau của thành ruột (độ sâu của thâm nhiễm BCAT) vào trong niêm mạc, cơ và thanh mạc của bệnh (Medicine (Baltimore) 1970;49:299):
Niêm mạc:
§Hầu hết ở các báo cáo ghi nhận ở lớp này với 57-100% số ca (Gut 1990;31:54,  !important;Clin Gastroenterol Hepatol 2010;8:669) !important;
§Thâm nhiễm niêm mạc mà không liên quan đến lớp cơ hay thanh mạc.
Cơ:
§Đây là lớp bị ảnh hưởng thứ hai phổ biến !important;
§Thâm nhiễm BCAT chiếm ưu thế trong lớp cơ !important;
§Gây nên dày lớp cơ, dẫn đến tắc nghẽn hẹp dạ dày, ruột non hoặc lồng ruột mà không có dịch ổ bụng tăng BCAT (World J Gastroenterol 2007;13:1758,  !important;Am Surg 1997;63:741)
Dưới thanh mạc:
§Thể này là không phổ biến !important; ước tính chiếm chỉ 9% ở Nhật Bản và 13% ở Mỹ (Intern Med 1996;35:779) !important;
§Thâm nhiễm BCAT ở lớp thanh mạc !important;
§Điểm chính của thể loại này là dịch ổ bụng tăng BCAT !important;
§Thường kèm theo BCAT máu ngoại vi, viêm phúc mạc (Medicine (Baltimore) 1970;49:299)
§Có thể co dịch ổ bụng phân lập khu trú hoặc dịch ổ bụng kèm triệu chứng đặc trưng của thể EGIDSs niêm mạc và cơ !important;
§Chang và cộng sự nhìn thấy trong thể cơ và thanh mạc có viêm dạ dày ruột tăng BCAT đồng thời, điều này cho thấy diễn tiến bệnh từ thể niêm mạc sang thể thanh mạc (Clin Gastroenterol Hepatol 2010;8:669).
Nhuộm mẫu bệnh phẩm (Major basic protein-MBP;Allergy 2000;55:985)
·Sinh thiết ruột non và dạ dày:
oThâm nhiễm BCAT đáng kể được xác định trê cả niêm mạc ruột non và dạ dày !important; 
oSinh thiết thấy thâm nhiễm BCAT lan tỏa (> !important; 50/vi trường độ phóng đại cao) liên quan đến lớp niêm mạc, lớp dưới niêm mack với BCAT bên trong lớp biểu mô. Không có sự xuất hiện vi khuẩn hay ký sinh trùng, BCĐNTT, viêm mạch hay tạo u hạt cũng đươc xác định. Trên cơ sở lâm sàng phù hợp, các kết quả chỉ ra viêm dạ dày ruột tăng BCAT. 
oMối liên quan bệnh học và lâm sàng và khảo sát thêm có thể loại trừ nguyên nhân thứ phát của tăng BCAT.

(còn nữa)