Bệnh nhiễm giun sán là vấn đề nghiêm trọng cho sức khỏe cộng đồng, bệnh chiếm khoảng một phần tư dân số thế giới, tập trung chủ yếu ở các nước vùng nhiệt đới và cận nhiệt đới. Hiện nay, người ta đã xác định được trên 100 loại giun tròn và 140 loại sản có khả năng gây bệnh cho người.
Nhiễm giun sán đường tiêu hóa là một vấn đề của những nước đang phát triển đặc biệt là ở vùng có khí hậu nhiệt đới ẩm nóng như ở nước ta. Theo tổ chức y tế thế giới, ước tính trên thế giới có hơn 1.000.000.000 người nhiễm một hay nhiều loại giun sán đường ruột, và có khoảng 2.000.000.000 người có nguy cơ bị lây nhiễm. Hằng năm có khoảng 3,5 triệu trường hợp có triệu chứng liên quan đến các bệnh giun tròn. Tình trạng nhiễm ký sinh trùng tại Việt Nam nói riêng và nhiều nước trên thế giới nói chung đã trở thành vấn đề sức khỏe cộng đồng cần được quan tâm đúng mức.
Ở Việt Nam, có khí hậu nhiệt đới gió mùa nắng nóng ẩm mưa nhiều là điều kiện thuận lợi cho giun sán đường tiêu hóa phát triển và lây lan. Tỷ lệ nhiễm giun sán cũng rất cao nhiều trường hợp gây biến chứng nguy hiểm có thể tử vong như: thiếu máu nặng do giun móc, giun chui ống mật, tắc ruột do giun, viêm tắc đường mật do sán lá gan nhỏ, ho ra máu do sản lá phổi, áp xe gan do sán lá gan lớn, viêm não, màng não có bạch cầu ái toàn tăng do giun tròn. Hầu hết giun sán không gây được miễn dịch bảo vệ, nên sau khi khỏi người bệnh vẫn bị tái nhiễm.
Tỷ lệ nhiễm giun, sán đường tiêu hóa phụ thuộc vào rất nhiều yếu tố như: vệ sinh môi trường, vệ sinh ăn uống, tập quán ăn uống, cũng như vào điều kiện kinh tế xã hội. Ngoài ra, nhiễm giun sán đường tiêu hóa thường ít có triệu chứng điển hình và chương trình tẩy giun định kỳ bằng Mebendazone 500mg đơn liều ở Việt Nam chỉ được dành cho trẻ em tuổi học đường nên thật sự hiệu quả chưa cao. Bên cạnh đó, nhiễm giun móc, giun tóc thường gây thiếu máu và khó điều trị với Mebendazone liều duy nhất thông dụng. Nhiễm sán lá gan bé thường gây viêm đường mật không điển hình và dễ dàng dẫn đến ung thư đường mật. Chính vì vậy Tổ chức y tế thế giới xếp nhóm bệnh nhiễm giun sán đường tiêu hóa, sán lá truyền qua thực phẩm, sán dây là những bệnh nhiệt đới bị lãng quên. Do đó việc đánh giá thay đổi sự chỉ số vào công thức máu ở những bệnh nhân này thường giúp chẩn đoán và điều trị đúng góp phần vào việc dự phòng nhiễm giun sán.

Hình 1. Chu kỳ diễn phát triển của giun-sán (nguồn từ internet)
Theo các điều tra cho thấy tỷ lệ nhiễm giun chuyển qua đất trong cộng đồng vẫn còn cao và do không có diễn biến rầm rộ nên chưa được người dân quan tâm đúng mức. Cùng với đó là điều kiện kinh tế tập quán vệ sinh ăn uống, vệ sinh cá nhân và vệ sinh môi trường trong nhà trường cũng là cũng như trong cộng đồng, nhất là vùng nông thôn và miền núi nói chung còn yếu kém đây là điều kiện thuận lợi cho việc tồn tại lây nhiễm các bệnh giun sán và trở thành vấn đề sức khỏe của cộng đồng.
Khu vực miền Trung Tây Nguyên cũng được triển khai các hoạt động phòng chống bệnh giun truyền qua đất giống như các khu vực khác trong cả nước. Từ năm 2006 đến nay được sự hỗ trợ của Tổ chức y tế thế giới dự án phòng chống bệnh truyền nhiễm khu vực tiểu vùng sông Mekong, chương trình dinh dưỡng kết hợp uống VitaminA và tẩy giun đã triển khai phòng chống các bệnh giun truyền qua đất bằng truyền thông giáo dục, tẩy giun định kỳ cho các đối tượng như trẻ em học sinh tiểu học trẻ từ 24 đến 60 tháng tuổi, phụ nữ tuổi sinh đẻ.
Đánh giá thuận lợi trong công tác phòng chống chống giun sán
Được sự quan tâm của các cấp chính quyền, bộ y tế, chính quyền địa phương, công tác phòng chống bệnh giun sán đã thu được hiệu quả nhất định. Đội ngũ cán bộ từ trung ương đến tỉnh làm công tác chuyên môn đã có một số kinh nghiệm trong công tác chỉ đạo chương trình phòng chống các hoạt động điều tra đánh giá và đào tạo tập huấn về chuyên môn nghiệp vụ trần đoán, điều trị và phòng chống bệnh ký sinh trùng.
Kinh tế xã hội nước ngày càng phát triển nhu cầu về chăm sóc sức khỏe ngày càng tăng. Do đó nhu cầu cần được khám và phát hiện bệnh sớm các bệnh nhiễm trùng của người dân cũng là những thuận lợi cho công tác phòng chống bệnh bệnh ký sinh trùng. Các hoạt động phòng chống giun sán đã được lồng ghép vào các hoạt động của mạng lưới y tế trong toàn hệ thống. Sự tham gia của các bộ, ban, ngành, đoàn thể cũng góp phần làm tăng cường hiệu quả công tác phòng chống bệnh nhiễm trùng. Có sự hợp tác giúp đỡ của tổ chức quốc tế như ADB và tổ chức y tế thế giới và tổ chức quốc tế khác trong hoạt động phòng chống nghiên cứu về bệnh giun sán.
Một số khó khăn thách thức và tồn tại
Bệnh giun sán phân bố rộng rãi có tính chất đa dạng phức tạp phân bố không đồng đều phụ thuộc vào tính chất xã hội điều kiện khí hậu các vùng sinh thái khác nhau. Tỷ lệ nhiễm các bệnh giun sán trong cộng đồng rất cao, tác hại của bệnh đối với sức khỏe và đời sống nhân dân, nhất là trẻ em và phụ nữ tuổi sinh sản, những triệu chứng bệnh âm thầm và bị che lấp bởi nhiều bệnh cấp tỉnh và các nguy cơ khác chưa được mọi người quan tâm đúng mức.
Điều kiện kinh tế tập quán vệ sinh ăn uống vệ sinh cá nhân và vệ sinh môi trường, trong nhà trường cũng như ở trong cộng đồng nhất là vùng nông thôn và vùng miền núi nhìn chung còn rất yếu đã làm tăng các nguy cơ lây nhiễm và hạn chế hiệu quả của các biện pháp phòng chống.
Các thói quen của người dân liên quan đến ăn uống các thức ăn chưa được nấu chín kỹ, dẫn đến việc nhiễm các bệnh nhiễm trùng tại các điểm dịch tễ bệnh ký sinh trùng truyền qua động vật đã tồn tại từ rất lâu này đòi hỏi hoạt động truyền thông tuyên truyền phòng chống các bệnh này phải có kế hoạch lâu dài bên bỉ để cộng đồng có thể thay đổi các thói quen này
Hệ thống phòng chống giun sán còn thiếu và yếu, trình độ chuyên môn và trang bị kĩ thuật phục vụ công tác phòng chống giun sán còn hạn chế, không những trong hệ thống chuyên khoa Sốt rét – Ký sinh trùng - Côn trùng mà còn cả trong hệ thống y tế chung. Các điều tra cơ bản, các kỹ thuật chuẩn đoán, điều trị và mô hình phòng chống cũng chưa được nghiên cứu đầy đủ.
Kinh phí dành cho công tác phòng chống bệnh giun sán còn quá khiêm tốn, việc cung cấp các loại thuốc điều trị giun sán cũng chưa được tổ chức chỉ đạo một cách có hệ thống, chủ yếu còn dựa vào sự viện trợ và sự chi phối của thị trường tự do.
Người dân cũng như cán bộ làm công tác phòng chống sáng chưa nhận thức được sự liên quan chặt chẽ của các nguồn bệnh từ động vật hoang dã, vật nuôi và người.
Chưa có chương trình phòng chống giun sán quốc gia nên việc triển khai tại các địa phương còn gặp khó khăn, đặc biệt là vấn đề kinh phí. Việc phòng chống bệnh giun sán chỉ do ngành y tế đảm nhiệm chính đã hạn chế hiệu quả ngăn ngừa và hạn chế tác hại của bệnh. Chưa có sự tác hợp chặt chẽ giữa các ngành liên quan như y tế, giáo dục, thú y, môi trường sinh thái trong công tác phòng chống bệnh giun sán.


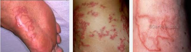
Hình 2. Dị ứng (phát ban, nổi mề đay) là dấu hiệu thường gặp khi nhiễm giun sán
Dấu hiệu chung của bệnh giun sán
Thông thường, người bệnh nhiễm bệnh giun sán có những biểu hiện như:
– Đau bụng, có khi nhầm lẫn với đau dạ dày
– Táo bón hoặc tiêu chảy, có thể tiêu chảy kèm máu
– Đầy bụng khó tiêu
– Buồn nôn, nôn
– Chán ăn; tắc ruột ở trẻ nhỏ do lòng ruột bị tắc vì chứa quá nhiều giun
– Đau bụng dưới, đau thượng vị, đau quanh rốn.
– Dị ứng (phát ban, nổi mề đay)
– Thiếu máu (xanh xao, mệt mỏi)
– Ảnh hưởng thần kinh (kém tập trung, giảm trí nhớ, lo âu)
– Trẻ em có một số triệu chứng như: nghiến răng, quấy khóc vào ban đêm, suy dinh dưỡng, bụng to, chậm lớn, ngứa hậu môn, học kém.
Cách phòng bệnh giun sán
– Tẩy giun định kỳ 6 tháng/lần ở trẻ em và người lớn. Sử dụng các loại thuốc tẩy giun theo hướng dẫn của bác sĩ.
– Rửa tay trước khi ăn và sau khi đi vệ sinh.
– Giữ vệ sinh cá nhân như: cắt móng tay, móng chân ngắn, sạch.
– Thực hiện ăn chín, uống sôi, rau sống cần rửa sạch trước khi ăn.
– Đi giày, dép, găng tay khi tiếp xúc với đất ẩm.
– Vệ sinh môi trường xung quanh. Không phóng uế bừa bãi.
Hậu quả khi nhiễm bệnh giun sán
Nếu như không được chữa kịp thời sẽ dẫn tới một số bệnh lý khác như: viêm phúc mạc, viêm ruột thừa, gây chứng thiếu máu nhược sắc, giảm protein máu kèm theo rối loạn tim mạch… Trường hợp nặng có thể dẫn đến tử vong.
Cách điều trị bệnh giun sán
Có nhiều thuốc điều trị bệnh giun sán, tuy nhiên người bệnh cần phân biệt thuốc điều trị giun và thuốc điều trị sán.
– Thuốc điều trị giun: gồm có các loại như: thuốc piperazin (diethylen diamin) với tên biệt dược là piperazin citrat, piperal, antepar, piperol …; thuốc levamisol với tên biệt dược là levaris, decaris, solaskil…; thuốc mebendazole với biệt dược: fugacar, vermox, soltric…; thuốc albendazole với: zenben, zentel, alzental…; thuốc pyrantel với: antiminth, combantrin, panatel…; thuốc thiabendazole (mintezol); thuốc diethylcarbamazin với: banocid, DEC, notezin…
– Thuốc điều trị sán: gồm có các loại như: thuốc niclosamid với tên biệt dược là niclocide, yomesal, tamox…; thuốc praziquantel với: bilcitrid, pratez, cesol…
Hình 3. Một số thuốc điều trị giun sán
Cách phòng chống bệnh giun sán
- Tiến hành phòng chống trên qui mô rộng: Nhiễm các loại giun truyền qua đất phổ biến và mang tính xã hội, vì vậy công tác phòng chống phải mang tính chất cộng đồng, phải lồng ghép với các chương trình y tế xã hội khác như chương trình dinh dưỡng Quốc Gia, chương trình chăm sóc sức khoẻ bà mẹ trẻ em, chương trình nước sạch và môi trường xanh sạch đẹp…
- Cần tiến hành thường xuyên và lâu dài: Nhiễm các loài giun truyền qua đất có nguy cơ tái nhiễm rất cao nên công tác phòng chống phải thường xuyên và liên tục trong thời gian dài mới đạt hiệu quả.
- Phải có trọng tâm trọng điểm: Các loại giun truyền qua đất tập trung cao ở một quần thể dân cư, trong đó số đông người chỉ nhiễm ít giun trong khi một tỷ lệ ít hơn bị nhiễm rất nhiều giun, do vậy công tác phòng chống tập trung vào vùng có tỷ lệ nhiễm cao hoặc các đối tượng có nguy cơ nhiễm cao.
- Xã hội hoá công tác phòng chống các bệnh giun sán nói chung

Hình 4. Thói quen không đi giày dép là nguyên nhân gây nhiễm giun sán
Giải pháp phòng chống bệnh giun sán
+ Biện pháp trước mắt:
Muốn phòng chống các bệnh giun sán nói chung và giun truyền qua đất nói riêng phải giải quyết đồng thời 3 yếu tố như:
(1) Cắt nguồn bệnh:
Chủ động phát hiện và điều trị cho người bệnh, điều trị hàng loạt ở những vùng có tỷ lệ nhiễm cao nhằm:
- Làm giảm cường độ nhiễm giun, giảm tỷ lệ nhiễm.
- Ngăn cản mầm bệnh đào thải ra môi trường.
- Giảm tỷ lệ bệnh, tỷ lệ tử vong ở trẻ em trước tuổi đi học, nâng cao sức khoẻ cho phụ nữ có thai.
(2) Chống sự phát tán mầm bệnh trong môi trường:
- Quản lý nguồn phân: Mỗi gia đình phải có hố xí hợp vệ sinh chỉ đại tiện vào hố xí, không phóng uế bừa bãi, không dùng phân chưa ủ kỹ bón ruộng, không bón cho cây bằng phân tươi…
- Vệ sinh môi trường, quản lý rác, nước thải, diệt ruồi nhặng.
(3) Bảo vệ người lành, chống lây nhiễm:
- Vệ sinh cá nhân
- Vệ sinh ăn uống
- Phát động phong trào môi trường xanh sạch đẹp
- Giáo dục y tế về nguyên nhân lây nhiễm, tác hại và biện pháp phòng chống bệnh đến từng người dân và trẻ em trong nhà trường…để cộng đồng dân cư có kiến thức, thái độ, hành vi tự bảo vệ mình tự giác phòng chống bệnh hiệu quả.
+ Biện pháp lâu dài
Với mục tiêu chung:Loại trừ các bệnh do giun truyền qua đất ở trẻ em vào năm 2020; tiếp tục duy trì và mở rộng mô hình phòng chống giun truyền qua đất; làm giảm tỷ lệ nhiễm và cường độ nhiễm hạn tác hại và gánh nặng của bệnh trong cộng đồng.
Và mục tiêu cụ thể: (1). Trên 90% người dân toàn tỉnh từ 24 tháng tuổi trở lên được uống thuốc tẩy giun định kỳ 2 lần một năm tại cộng đồng; (2). Nâng cao ý thức phòng chống bệnh giun đường ruột nói riêng và giun sán nói chung thông qua các đợt tẩy giun kết hợp với tuyên truyền giáo dục phòng chống các bệnh.
Đòi hỏi cần có sự tham gia của cả hệ thống chính trị, chính quyền các cấp từ tỉnh đến cơ sở. Đặc biệt là sự nhiệt tình tham gia hưởng ứng của người dân, và có sự phân công cụ thể rõ ràng về trách nhiệm của các cấp, các ngành.
+ Sở Y tế: Là cơ quan chủ trì, chịu trách nhiệm triển khai thực hiện kế hoạch tẩy giun cho cộng đồng trong toàn tỉnh.Mặc khác, cần phối hợp với các Sở, Ban, Ngành, Đoàn thể liên quan trong việc xây dựng, triển khai thực hiện kế hoạch, đồng thời chỉ đạo, điều phối, hướng dẫn kiểm tra, giám sát và tổng hợp tình hình thực hiện kế hoạch hàng năm để báo cáo UBND tỉnh và trung ương. Hơn nữa, chỉ đạo các đơn vị trong ngành Y tế triển khai thực hiện tốt hiện tốt hoạt động tẩy giun cho cộng đồng và một số dự án khác có liên quan đến tẩy giun và tổ chức sơ kết và tổng kết hằng năm.
+ Sở Kế hoạch và Đầu tư:Đưa mục tiêu thực hiện việc tẩy giun cho cộng đồng vào kế hoạch phát triển kinh tế xã hội của tỉnh; Có kế hoạch phân bổ kinh phí hàng năm cho hoạt động tẩy giun.
+ Sở Giáo dục và Đào tạo: Đưa nội dung chương trình giáo dục phòng chống bệnh giun sán vào các cấp học từ mầm non trở lên; Củng cố và nâng cao chất lượng hệ thống nhà trẻ mẫu giáo (đặc biệt là khu vực nông thôn) và các nhà ăn tập thể ở trường học; Chỉ đạo các Trường mầm non phối hợp tốt với ngành y tế để triển khai thực hiện tốt việc tẩy giun cho đối tượng trẻ dưới 5 tuổi.
+ Sở Tài chính: Cân đối đảm bảo tài chính cho hoạt động tẩy giun định kỳ cho cộng đồng khi được phê duyệt; Theo dõi giám sát việc sử dụng kinh phí được cấp theo đúng chế độ hiện hành.
+ Sở Văn hoá-Thông tin: Tổ chức các hoạt động thông tin, truyền thông một cách phong phú, sinh động, hấp dẫn để truyền bá kiến thức phòng chống giun sán, ưu tiên các thông tin quảng cáo về chiến dịch tẩy giun định kỳ tại cộng đồng; Chỉ đạo xây dựng các chuyên đề về phòng chống giun sán để đăng tải trên các phương tiện thông tin đại chúng từ tỉnh đến cơ sở.
+ Hội Liên hiệp Phụ nữ: Phổ biến các kiến thưc về phòng chống giun sán cho các hội viên và các bà mẹ, vận động cộng đồng cùng tham gia; Phối hợp chặt chẽ với ngành y tế triển khai các hoạt động chăm sóc sức khoẻ và phòng chống giun sán.
+ Mặt trận Tổ quốc tỉnh, Liên đoàn Lao động, Hội Nông dân, Hội Cựu chiến binh, Đoàn Thanh niên cộng sản Hồ Chí Minh …: Phổ biến các kiến thức về phòng chống giun sán cho các thành viên, hội viên. Phối hợp chặt chẽ với ngành Y tế trong việc thực hiện xã hội hoá công tác phòng chống giun sán và tẩy giun định kỳ tại cộng đồng.
+ Trách nhiệm của các địa phương:
- Chủ tịch UBND các huyện, thành phố và Chủ tịch UBND xã, phường, thị trấn có trách nhiệm tổ chức thực hiện kế hoạch phòng chống giun sán trong phạm vi địa phương.
- Đưa mục tiêu phòng chống giun sán và tẩy giun định kỳ tại cộng đồng vào kế hoạch phát triển kinh tế - xã hội của địa phương hàng năm.
+ Cơ chế phối hợp:
- Trên cơ sở mục tiêu chung: các ban, ngành, đoàn thể xã hội căn cứ vào chức năng nhiệm vụ của mình để xây dựng kế hoạch triển khai hoạt động phòng chống giun sán và tẩy giun định kỳ tại cộng đồng cụ thể của đơn vị, đáp ứng với nhiệm vụ thường xuyên.
- Định kỳ 6 tháng 1 lần, các địa phương có trách nhiệm báo cáo kết quả thực hiện với Sở Y tế để tổng hợp báo cáo UBND tỉnh về tiến độ và kết quả thực hiện.
Với các biện pháp trên được thực hiện đồng bộ và có hiệu quả, góp phần ngăn chặn và đẩy lùi bệnh giun sán tại cộng đồng trên địa bàn toàn tỉnh trong thời gian tới, nhằm nâng cao sức khoẻ của đồng bào các dân tộc trên địa bàn ngày càng tốt hơn./.