Trong vòng 10 trở lại đây, Việt Nam cũng như nhiều quốc gia trên thế giới đã rất thành công trong việc giảm sốt rét kể cả số ca mắc và số tử vong do sốt rét tại hầu hết các tỉnh thành, đặc biệt các điểm nóng “hot spot” ở khu vực miền Trung-Tây Nguyên nhưng lại đang đối mặt với các thách thức mới trong tiến trình tiến tới loại trừ sốt rét (Malaria Elimination Roadmap).
Những thách thức sốt rét này tập trung ở các đối tượng giao lưu biên giới, dân di biến động, muỗi sốt rét Anopheles spp. kháng hoặc giảm nhạy với nhiều loại hóa chất hiện dùng, cơ cấu ký sinh trùng sốt rét (KSTSR) đảo nghịch giữa P. vivax và P. falciparum làm cho việc điều trị tiệt căn khó khăn hơn và khó đạt được sự chấp thuận của cộng đồng khi dùng thuốc primaquine phosphate dài ngày (14 ngày), đặc biệt các chủng P. falciparum đa kháng thuốc lan rộng trong khu vực ng (GMS) trong đó có Việt Nam, kể cả loại thuốc có hiệu lực cao artemisinin và dẫn suất hay thuốc phối hợp dihydroartemisinin-piperaquin phosohate (DHA-PPQ) cũng đã được xác định kháng thuốc rồi.
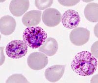
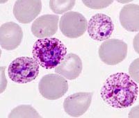
Tại Việt Nam, đến nay có ít nhất 6 tỉnh (Bình Phước, Quảng Nam, Đăk Nông, Gia Lai, Khánh Hòa, Ninh Thuận) đã được Tổ chức Y tế thế giới (TCYTTG) xác nhận có chủng P. falciparum kháng hoặc nghi ngờ kháng artemisinin và dẫn suất/ DHA-PPQ thông qua xác định có bằng chứng tồn tại KSTSR thể vô tính ngày D3 (hay sau 72 giờ trên 10% và có đột biến K13 xác định (cornfirmed) hay liên quan đến kháng thuốc do P. falciparum và tình trạng kháng này có nguy cơ lan sang các tỉnh thành phố khác, nhất là các khu vực lân cận láng giềng giáp biên với vùng kháng thuốc (Tier 2) như Kon Tum, Đăk Lăk, Phú Yên, Bình Thuận,…nên việc nghiên cứu đánh giá sớm diễn biến kháng thuốc như thế nào ở quy mô nào là việc làm rất cần thiết để đánh giá dịch tễ học di truyền kháng thuốc do ký sinh trùng sốt rét P. falciparum và P. vivax.

Hình 1
Trước đây, hầu hết các nghiên cứu liên quan đến đánh giá tình nhạy kháng thuốc sốt rét dựa trên các thử nghiệm in vivo, in vitro và sinh học phân tử ở mức độ nào đó, song hiện nay do tình hình số ca bệnh giảm thấp nói chung và số ca đủ cỡ mẫu nghiên cứu đánh giá hiệu lực thuốc theo yêu cầu tìm kiếm và theo dõi hết liệu trình là rất khó khăn, thậm chí có thời điểm thất bại trong lấy mẫuđủ tiêu chuẩn. Do vậy, việc nghiên cứu dịch tễ học di truyền P. falciparum kháng thuốc rất cần thiết, nhằm đánh giá mức độ lan rộng, biết được ký sinh trùng sốt rét kháng này xuất phát từ đâu và ngăn chặn chúng như thế nào, đồng thời cung cấp dữ liệu góp phần vào xây dựng bản đồ phân tử và chính sách thuốc sốt rét mới tại các quốc gia trong khu vực tiểu vùng sông Mê Kông, trong đó có Việt Nam theo từng giai đoạn.

Hình 2
Gần đây nhóm nghiên cứu phối hợp giữa Đơn vị nghiên cứu lâm sàng ĐH Oxford (Anh), Trung tâm nghiên cứu Genomics và Sức khỏe toàn cầu (Anh), Mạng lưới nghiên cứu kháng thuốc sốt rét toàn cầu (WWARN) kết hợp Đơn vị Nghiên cứu lâm sàng ĐH Oxford (MORU-Thái Lan) và tại Việt Nam (OUCRU-Việt Nam) tại thành phố Hồ Chí Minh và các đối tác nghiên cứu khác thực hiện các nghiên cứu tại Campuchia, Việt Nam và trong thời gian đến ở một số điểm nữa tại châu Á.

Hình 3
Bước đầu, một số nghiên cứu đã ấn bản trên các tạp chí y học chuyên ngành nổi tiếng thế giới có giá trị. Nếu trong thời gian đến các nghiên cứu này tiến hành tại Việt Nam, như nghiên cứu dịch tễ học di truyền kháng thuốc sẽ là cơ hội để các nhà khoa học, giảng viên, học viên quan tâm, trao đổi về lĩnh vực KSTSR kháng thuốc, chia sẻ kinh nghiệm, nâng cao chất lượng nghiên cứu qua các quy trình thực hiện cũng như thời gian triển khai nghiên cứu, kết nối bền vững giữa các đơn vị y tế nghiên cứu với nhau.