Trong thời gian thực hành lâm sàng tại các bệnh viện chuyên khoa về da liễu và các bệnh ký sinh trùng-côn trùng truyền gây tổn thương trên da, chúng ta thường gặp nhiều người già biểu hiện ngứa da toàn thân mà truy tìm nguyên nhân dường như không phát hiện ra loại gì cả, kể cả tầm soát các bệnh lý như bệnh nền của suy giảm miễn dịch, đái tháo đường, HIV/AIDS hoặc lao.
Tuy nhiên, qua khai thác bệnh sử và thói quen có trội lên một số yếu tố làm dễ như các bênh nhân đó thường xuyên tắm nước nóng, ấm có nhiệt độ tương đối cao, thoa dầu nóng trên da hàng ngày, sử dụng loại xà phòng tắm có chất tẩy rửa đậm độ, làm việc trong điều kiện nóng bức và ngoài trời (kể cả nam giới và nữ giới). Điều trịtheo nhiều hướng chẩn đoán khác nhau trước đó bằng các bài thuốc đông y, nam hay tây y đều chỉ giảm nhẹ và sau đó tái phát.
Nhân đây, chúng tôi xin chia sẻ một số thông tin liên quan đến bệnh lý da người già mà các đồng nghiệp da liễu và vi-ký nhiễm đều cần đặt ra khi chẩn đoán phân biệt ở các bệnh nhân lớn tuổi.
Trích dẫn các tư liệu của các đồng nghiệp trong chuyên ngành da liễu cho thấy rằng trong suốt cuộc đời chúng ta, cấu trúc và chức năng da sẽ thay đổi theo chiều hướng phát triển mạnh mẽ trong tuổi thơ ấu cho đến khi trưởng thành và sau đó dần bị lão hóa cho đến khi tuổi già. Tuổi già là sự suy giảm năng lực, tăng nguy cơ mắc bệnh và tử vong. Lão hóa thực chất xảy ra ngay khi con người mới được sinh ra, với những tế bào chết đi và tế bào mới được sinh ra thay thế chúng ở ngay tổ chức da.

H1
Các yếu tố tác động bên ngoài môi trường đến cơ thể và da của chúng ta về vật lý, hóa học, vi sinh vật, các sang chấn (stress) sang chấn hay căng thẳng thần kinh, chế độ dinh dưỡng và bệnh tật tác động lên quá trình lão hóa của con người, trong đó có da. Các chất oxy hóa làm tổn hại tế bào (các gốc tự do, tia xạ, hóa chất, thuốc, môi trường làm việc), tác động đến các enzym làm hủy hoại các protein của tế bào, cũng là nguyên nhân gây lão hóa.
Các biểu hiện của lão hóa da có thể nhận biết là da khô, khi sờ thấy thô giáp, da bị nhăn nheo, da nhẽo, da trùng xuống, da bị teo, da có màu vàng nhạt không còn hồng hào như trước, xuất hiện các tổ chức tân sinh lành tính, vết sắc tố và nám da, tóc muối tiêu rồi bạc. Cấu tạo vi thể có những thay đổi ở thượng bì da và ở trung bì nông, các nhú bì có chức năng nuôi dưỡng thượng bì trở nên mỏng và do vậy da không được nuôi dưỡng đầy đủ như trước nữa. Sự tổng hợp vitamin D cũng suy giảm. Trung bì cũng bị teo mỏng, giảm số lượng tế bào và mạch máu, thậm chí có nơi mất tế bào và mạch máu. Các sợi tạo keo như sợi chun elastin, sợi keo collagen và các chất cơ bản của trung bì cũng giảm mạnh về số lượng và thay đổi về chất lượng, từ tuổi 30 trung bình mỗi năm giảm 1%. Do những thay đổi này mà da trở nên lỏng lẻo, độ đàn hồi kém và bị nhăn nheo, bị trùng xuống, khả năng giữ nước của lớp sừng kém do vậy da không còn căng mọng như tuổi đôi mươi nữa. Các mạch máu, tuyến mồ hôi, tuyến bã, các đầu mút thần kinh ở da cũng giảm về số lượng và teo nhỏ về kích thước.

H2
Nuôi dưỡng da vì vậy mà kém đi. Khả năng tái tạo và đổi mới tổ chức tế bào bị chậm lại. Một biểu hiện của lão hóa da là giảm số lượng tế bào hắc tố. chúng ta có thể thấy được bằng biểu hiện của tóc bị bạc, theo các khảo sát thì có trên 50% số người trên 50 tuổi bị bạc một nửa tóc. Hơn nữa, sợi tóc cũng nhỏ hơn và tóc mọc cũng chậm hơn.

H3
Các biểu hiện khác của lão hóa da là da khô, mất độ bóng do các tuyến mồ hôi, tuyến bã giảm tiết, tuyến tiết mùi ở nách cũng giảm. Nghiên cứu cho thấy ở nam giới cứ 10 năm tuyến bã giảm 23%, trong khi nữ là 32%. Móng tay cũng mất dần độ bóng và màu hồng tươi, móng bị khô, xuất hiện các vết rãnh. Các đầu mút thần kinh cũng giảm: mật độ 30/mm2 khi trẻ và chỉ còn 12/mm2 lúc 70 tuổi. Khả na8ngg miễn dịch chống đỡ của da với các tác nhân bên ngoài cũng suy giảm.
Biểu hiện bệnh lý thường gặp ở người già
Các chức năng và trùng nhẽo da đồng thời xuất hiện với mái tóc muối tiêu”
Các vết nhăn của tuổi tác xuât hiện và ngày càng rõ theo năm tháng ở đuôi mắt, khóe miệng và các chỗ da trùng nhẽo ở cổ, thân mình...
Các thay đổi trên ngày nay đã được quan tâm rất nhiều của chính những người lớn tuổi và các bác sĩ da liễu, các nhà phẫu thuật thẩm mỹ. Các phương pháp như lột da bằng hóa chất, bằng các tia laser, phẩu thuật radiosurgery, tiêm cấy collagen, tạo hình căng da mặt... Sử dụng thuốc bôi retinoid điều trị và phòng lão hóa da...
Chứng ngứa da:
Là một biểu hiện hay gặp ở người có tuổi, ảnh hưởng đến chất lượng cuộc sống người có tuổi. Chứng ngứa này hay gặp vào mùa hanh khô, mùa đông khi thời tiết khô lạnh, ít có điều kiện tắm thường xuyên. Ngứa có thể khư trú hoặc lan rộng, có thể thương tổn da hay chỉ có ngứa đơn thuần mà không có thương tổn da. Đó là chứng ngứa do da bị khô mà không có bệnh da. Trong trường hợp này cần uống nhiều nước, ăn hoa quả, rau và bôi các kem dưỡng ẩm hàng ngày sau khi tắm rửa. trong trường hợp khó bôi thuốc, có thể sử dụng các loại sữa tắm hoặc xà phòng có độ pH như của da và trong đó có kẽm dưỡng ẩm như xà phòng hay sữa tắn Dove.
Các bệnh da có ngứa:
Trong lâm sàng cần được khám xét lâm sàng thận trọng để phát hiện là ghẻ, bọng nước dạng pemphigus, các thương tổn ngứa vùng sinh dục hậu môn do nấm Candida spp. ở người tiểu đường, liken xơ teo. Các biểu hiện ngứa của bệnh lý phủ tạng và toàn thân như bệnh thận, bệnh gan, bệnh tuyến giáp, bệnh máu ác tính hoặc các bệnh lý ung thư.
Điều trị chứng ngứa da này là khá khó khăn và hiệu quả không cao. Bôi các kem dưỡng ẩm da, các kem có methol và có thể phải dùng kem corticoid. Cần phải phối hợp thuốc chống ngứa và an thần. Nếu có bệnh lý nội tạng thì cần phải điều trị. Các thuốc tiêu độc, nhuận tràng như astiso cũng rất tốt cho các bệnh này;

H4
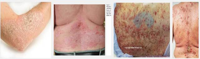
Sẩn ngứa ở người già và viêm da, khô nứt da người già:
Lớp thượng bì da của người già giữ nước kém đi và cảm giác của da là sờ vào vật gì cũng khô ráp. Biểu hiện rõ vào mùa đông nên được gọi là viêm da mùa đông, da bị nứt nẻ, đôi khi gãi chảy nước bội nhiễm vì rất ngứa làm người bệnh gãi bất kỳ thời gian nào và bất kể nơi đâu. Bệnh nặng hơn khi trời rét dùng bếp hoặc máy sưởi ấm.
Do vậy, cần tránh các tác động làm da bị khô hơn. Bôi các kem dưỡng ẩm da, tránh sử dụng các chất tẩy rửa, nước nóng quá, khi ngâm tắm có thể cho các chất làm ẩm da vào nước. Trường hợp nặng, lâu khỏi và ảnh hưởng đến sức khỏe thì cần phải đi khám các bác sĩ da liễu;
Eczema hay chàm da:
Là các biểu hiện bệnh lý hay gặp khi có tuổi. Các biểu hiện viêm da cơ địa, viêm da tiết bã nhờn, eczema dạng đồng tiền hay dạng đĩa. Tuy nhiên, viêm da tiếp xúc ít gặp hơn do không phải tiếp xúc với các dị nguyên khi làm việc, đồng thời phản ứng của da cũng giảm đi. Trái lại, người co tuổi có thế bị viêm da tiếp xúc với các dị nguyên khác hay gặp trong sinh hoạt như thuốc men, các vật dụng giày dép, găng cao su, tai nghe cao su nhựa, thuốc nhuộm tóc...Các bệnh da mạn tính gây ngứa làm người có tuổi gãi nhiều gây liken hóa, dày sừng và bội nhiễm. Các bệnh lý này nếu phát hiện sớm và có phương pháp điều trị đúng sẽ tránh được tái phát và bệnh không bị nặng hơn.
Nếu không điều trị kịp thời bệnh sẽ tiến triển nặng gây dày sừng và bội nhiễm. Các bệnh lý này nếu phát hiện sớm và có phương pháp điều trị đúng sẽ tránh được tái phát và bệnh sẽ không bị nặng hơn. Nếu không điều trị kịp thời bệnh sẽ tiến triển nặng gây dày sừng, liken hóa và làm người bệnh gây ngứa nhều hơn, một số người do ngứa nhiều quá gấy mất ngủ dẫn đến suy nhược thần kinh, trầm cảm làm giảm chất lượng cuộc sống;
Các bệnh da khác ở người có tuổi:
Các bệnh lý như vẩy nến có những đặc điểm khác biệt với người trẻ và có những chọn lựa điều trị phù hợp. Trong đó cần phải bôi các loại kem dưỡng ẩm, bạt sừng để da đỡ bị quá dầy, thô ráp. Các vùng loét mãn tính ở cẳng chân do lưu thông máu kém cũng như nuôi dưỡng kém đi, do vậy loét lâu lành;
Bệnh zona (Herpes zoster):
Chứng đau sau zona là biểu hiện hay gặp ở người già hơn người trẻ. Ước tính 4/1.000 người tuổi 55 bị bệnh này, tỷ lệ tăng lên khi ở lứa tuổi cao hơn. Những người trên 60 tuổi khi bị zona có tới 50% bị đau sau zona và tỉ lệ này ở người 70 là 75%. Đau sau zona là biểu hiện làm cho người bệnh lo lắng nhiều.
Đau có thể khỏi sau vài tuần nhưng cũng có khi kéo dài vài tháng, một số người có thể bị đau lâu hơn. Một nguyên tắc quan trọng để hạn chế đau sau zona là điều trị sớm bằng thuốc chống vi rút phối hợp với giảm đau và có thể dùng corticoid khi cần thiết nấu không có chống chỉ định;

H5

Các u da:
U lành tính như dày sừng da mỡ (các vết đồi mồi), dày sừng do ánh sáng, các nốt sắc tố, các u mềm treo...u ác tính như ung thư tế bào vẩy, ung thư tế bào đáy, ung thư tế bài hắc tố. Các u lành tính ảnh hưởng đến thẩm mỹ và là các dấu hiệu về da báo hiệu của tuổi già. Các thương tổn này có thể xử trí bằng nhiều phương pháp để làm cho da dẻ trở lại trẻ trung hơn. Các u ác tính cần được phát hiện và điều trị sớm để tránh di căn.
Nói chung, các ung thư da nếu được phát hiện và điều trị sớm sẽ hạn chế được tái phát. Hiện nay, ở bệnh việc da liễu trung ương đã thực hiện phương pháp phẫu thuật Mohs rất hiệu quả trong các ung thư da. Bằng phương pháp này, hằng năm Viện đã phẫu thuật cho hàng chục trường hợp ung thư da với kết quả rất cao, giúp cho người bệnh điều trị tốt ung thư và thẩm mỹ sau phẫu thuật;
Các bệnh da nhiễm khuẩn, nhiễm nấm và ký sinh vật:
Khi người ta già, các chức năng miễn dịch bị suy giảm, vì vậy khả năng chống lại các tác nhân vi sinh vật cũng kém đi nên dễ mắc một số bệnh nhiễm trùng da. Phát hiện và điều trị đúng không những giúp người bệnh mau khỏi, tránh được các biến chứng mà còn làm cho chất lượng cuộc sống của người có tuổi tốt hơn lên.