Bệnh thủy đậu là một bệnh truyền nhiễm cấp tính do một loại virus có tên khoa học vius Varicella zoster gây ra và thường bùng phát thành dịch vào mùa xuân-hè, nhất là trên đối tượng trẻ em. Virus này gây bệnh thủy đậu lây chủ yếu qua đường hô hấp hoặc lây qua các chất tiết có màm bệnh qua không khí. Người lành dễ bị nhiễm bệnh nếu hít phải những giọt nước bọt bắn ra khi bệnh nhân thủy đậu ho, hắt hơi hoặc nhảy mũi. Ngoài ra, khi tiếp xúc với bệnh nhân thủy đậu, bệnh có thể lây từ bóng nước khi bị vỡ ra, lây từ vùng da bị tổn thương hoặc lở loét từ người mắc bệnh. Đặc biệt, phụ nữ mang thai (PNMT) không may bị nhiễm bệnh sẽ rất dễ lây cho thai nhi thông qua nhau thai.
Một số cách lây nhiễm khác có thể xảy ra nếu không cẩn thận khi tiếp xúc với bệnh nhân thủy đậu như: bệnh có thể lây từ bóng nước khi bị vỡ ra, lây từ vùng da bị tổn thương hoặc lở loét từ người mắc bệnh. Đặc biệt, PNMT không may bị nhiễm bệnh sẽ rất dễ lây cho thai nhi thông qua nhau thai. Varicella-zoster virus gây bệnh thủy đậu và Herpes zoster. Thủy đậu thường sau phơi nhiễm ban đầu với virus và ca bệnh điển hình thường biểu hiện nhẹ, tự giới hạn, nhưng có thê bệnh lan rộng trên các cơ địa trẻ em suy giảm miễn dịch. Sự tái hoạt của các virus ngủ dẫn đến ban đỏ ở da đau và thường liên quan đến đau thần kinh (postherpetic neuralgia).
Triệu chứng lâm sàng
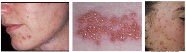
Thủy đậu khi khởi phát, người bệnh có thể có biểu hiện sốt, đau đầu, đau cơ, một số trường hợp có thể không có triệu chứng báo trước, nhất là trẻ em. Khoảng 10 - 14 ngày sau khi xâm nhập vào cơ thể, người bệnh bắt đầu biểu hiện triệu chứng nhiễm thủy đậu. Trẻ nhỏ thường sốt nhẹ, biếng ăn còn người lớn bị sốt cao, đau đầu, đau cơ, nôn ói. Sau đó cơ thể sẽ bắt đầu nổi mụn nước ở vùng đầu mặt, chi và thân. Mụn nước có đường kính vài milimet.

Hình 1
Sau khi nốt đậu mọc thì thường người bệnh giảm sốt và tổn thương bóng nước khô dần rồi tự bong vẩy vài ngày sau đó nhưng để lại sẹo mờ trên da sau vài tuần mới hết hẳn. Thông thường bệnh diễn biến kéo dài khoảng 2 tuần. Nếu bị nặng, mụn nước sẽ to hơn hay khi nhiễm thêm vi trùng mụn nước sẽ có màu đục do chứa mủ. Sau 1-2 ngày mới xuất hiện nốt đậu. Nốt đậu nổi nhiều là dấu hiệu cảnh báo bệnh có thể diễn tiến nặng.
Khi mắc, cơ thể người bệnh sẽ xuất hiện những thương tổn trên da thường gọi là “nốt rạ”. Đây là những nốt tròn nhỏ xuất hiện nhanh trong vòng 12-24 giờ, các nốt này sẽ tiến triển thành những mụn nước, bóng nước. Nốt rạ có thể mọc khắp toàn thân hay mọc rải rác trên cơ thể, số lượng trung bình khoảng 100-500 nốt trên cơ thể.

Hình 2
Bình thường, những mụn nước này khô đi, trở thành vảy và tự khỏi hoàn toàn trong 4-5 ngày. Ở trẻ em, thủy đậu thường kéo dài khoảng 5-10 ngày dẫn đến trẻ ốm phải nghỉ học hoặc nghỉ đến nơi giữ trẻ, hội chứng nhiễm trùng có thể bội nhiễm bởi các vi khuẩn.
Chẩn đoán phân biệt
Đau và dị cảm da là các triệu chứng điển hình đầu tiên của nhiễm trùng virus VZV. Đến khi các đặc điểm ban đỏ trên da vỡ ra, thì chẩn đoán khó hơn. Các triệu chứng đau thường gặp khoảng 41% số bệnh nhân, ngứa trên 27% số bệnh nhân và 12% số ca có biểu hiện dị cảm trên da thương tổn (http://emedicine.medscape.com). Trong giai đoạn cấp, bệnh nhân có thể đau (90%), tình trạng không tự lo cho thân thể được và trầm cảm (20%) và hội chứng giống cúm (12%).

Hình 3
Trong thực hành lâm sàng cần lưu ý một số bệnh do các virus khác có biểu hiện thương tổn dễ nhầm lẫn:
Herpes zoster (gây bệnh zona-shingles)
·Các thương tổn hay gặp nhất là các ban đỏ bọng nước zona (shingles vesicular rash) ảnh hưởng trên các vùng da ở vùng ngực;
·Sau khi có các triệu chứng tiền triệu báo trước đau và dị cảm, các vết và sẩn đỏ hình thành và tiến triển dần thành mụn nước trong vòng 24 giờ;
·Các mụn nước này dẫn dần dẫn đến bong lớp vảy ngoài và giải quyết;
·Đau và mất cảm giác cũng là các triệu chứng thường gặp;
·Giảm vận động cũng có thể xảy ra và thường thăm khám thiếu sót trên lâm sàng;
·Một số trường hợp có liệt đơn thuần 1 chi do virus VZV từ hậu quả viêm đám rối thần kinh cánh tay (brachial plexus neuritis) đã được báo cáo.
Zoster multiplex
·Các thương tổn shingle dường như xuất hiện trên nhiều vùng da, cả giáp nhau và không giáp nhau trên các vùng của cơ thể;
·Các cá nhân suy giảm miễn dịch thường dễ nhiễm loại virus này;
·Về mặt thuật ngữ lệ thuộc vào số vùng damột bên hay 2 bên của cơ thể (ví dụ viêm một bên do virus “zoster duplex unilateralis” ám chỉ đến liên quan hai vùng đơn thuần trên da);
·Có những ca bệnh đồng thời có 7 vùng da không giáp biên đã được báo cáo.
Zoster sine herpete
Nhiễm trùng VZV có thể tái hoạt mà không hề gây ra các tổn thương túi nước trên da. Các bệnh nhân có biểu hiện trên lâm sàng là đau trên vùng da nghiêm trọng, yếu vận động và giảm cảm giác, nhưng có thể không có thương tổn mụn nước và ban đỏ. Nhiễm trùng VZV có thể cho thấy các triệu chứng liệt mặt ngoại biên cấp tính trong số 8-25% số ca không có kèm theo tổn thương mụn nước trên da. Dấu hiệu này thường gặp hơn trên các bệnh nhân suy giảm miễn dịch suer dụng acyclovir hay thuốc khác để dự phòng zoster.

Hình 4
Các khiếm khuyết trên hệ thần kinh trung ương (Central nervous system deficits)
·Trên các cá nhân suy giảm miễn dịch hay gặp hơn so với các nhóm bệnh nhân khác;
·Liên đới đến hệ thần kinh trung ương có thể xuất hiện sau 3 tuần kể từ khi khởi phát triệu chứng ban đỏ;
·Các triệu chứng thường xảy ra đồng thời hai bên cơ thể và thăm khám thực thể sẽ phát hiện thêm cho bệnh nhân và quản lý ca bệnh đầy đủ hơn;
·Về mặt bệnh học tiến triển điển hình trong trong 3 tuần trở lên;
·Tiến triển bệnh đến 6 tháng trên các bệnh nhân suy giảm miễn dịch đã được ghi nhận;
·Tình trạng tái phát hiếm nhưng cũng đã ghi nhận;
·Viêm não do Zoster virus cũng hiếm gặp nhưng cũng đã được báo cáo trên cá nhân khỏe mạnh (rất hiếm).
Hội chứng Ramsay-Hunt: Hội chứng này xảy ra khi có liên quan đến hạch vùng cong gập. Các triệu chứng lâm sàng:
·Liệt mặt ngoại biên;
·Đau trong tai và mặt;
·Các thương tổn mụn nước trong óng tai ngoài (không phải luôn có);
·Các triệu chứng khác liên quan đến ốc tai tiền đình cũng đã ghi nhận trên một số ca.

Hình 5
Viêm giác mạc (herpes ophthalmicus)
·Gây ra bởi sự tái hoạt bởi virus VZV trong mắt của dây thần kinh sinh ba ;
·Biểu hiện lâm sàng có thể gồm viêm kết mạc và loét giác mạc;
·Biến chứng có cả mù;
·Viêm mụn nước không nhìn thấy;
·Hiếm khi virus di chuyển dọc theo nhánh dây thần kinh sinh ba trong sọ não, dẫn đến bệnh lý mạch não tắc nghẽn kèm theo triệu chứng đau đầu trầm trọng và liệt 1 bên.
·Một số nghiên cứu xem xét các tình trạng bệnh gồm có:
·Nếu chẩn đoán nghi ngờ, có thể làm thêm xét nghiệm Tzanck hay nuôi cấy dịch thương tổn mụn nước;
·Đối với ca zoster sine herpete, phân tích DNA bằng phương pháp PCR;
·Đối với trường hợp VZV kháng acyclovir, phát hiện đọt biến trong thymidine kinase thông qua PCR và giải trình tự ;
·MRI có thể có ích nếu nghi ngờ viêm tủy hay viêm não;
·Chọc dò tủy sống có thể có ích nếu nghi ngờ có triệu chứng của viêm tủy và viêm não.

Hình 6
Biến chứng do thủy đậu
Thủy đậu là bệnh lành tính, nhưng bệnh cũng có thể gây biến chứng nguy hiểm nếu không chăm sóc cân thận và tùy thuộc vào từng cơ địa, thể trạng bệnh nhân như viêm màng não, xuất huyết, nhiễm trùng huyết, nhiễm trùng nốt rạ, viêm mô tế bào, viêm gan do virus thủy đậu. Một số trường hợp có thể gây tử vong nếu người bệnh không được điều trị kịp thời.
-Nhiễm trùng tại các nốt đậu: Khi nốt đậu bị vỡ hoặc trầy xước, có thể gây viêm tấy, nhiễm khuẩn da gây viêm mủ da, chốc lở thậm chí gây viêm cầu thận cấp... Nếu không chữa trị kịp thời, tổn thương sẽ ăn sâu, lan rộng, để lại nốt sẹo rỗ gây mất thẩm mỹ, nặng hơn còn dẫn đến viêm mô tế bào, nhiễm trùng máu.
-Viêm phổi: Biến chứng thường gặp ở người lớn hơn là trẻ em và thường xuất hiện vào ngày thứ 3-5 của bệnh. Biểu hiện sốt cao, thở nhanh, khó thở, tím tái, đau ngực, ho ra máu, đây là biến chứng rất nguy hiểm, bệnh nhân có thể tử vong.
-Viêm não: Bệnh thủy đậu có thể gây biến chứng viêm màng não vô khuẩn đến viêm não, thường gặp ở người lớn. Viêm não do thủy đậu cũng xảy ra, không hiếm sau thủy đậu trẻ bỗng trở nên vật vã, kích thích, nhiều khi kèm theo co giật, hôn mê. Những trường hợp này có thể mang di chứng thần kinh lâu dài: bị điếc, chậm phát triển, động kinh. Gặp biến chứng này, tỉ lệ tử vong chiếm 5-20%. Ngay cả khi được cứu sống vẫn có thể để lại di chứng nặng nề hoặc phải sống đời thực vật.
-Biến chứng với phụ nữ mang thai: Nếu mẹ mắc thủy đậu từ 5 ngày trước đến 2 ngày sau khi sinh, trẻ sinh ra dễ mắc bệnh thủy đậu chu sinh và có tỷ lệ tử vong cao (khoảng 30%). Nếu mẹ mắc thủy đậu trước sinh trên 1 tuần diễn biến lành tính, khi sinh trẻ có kháng thể nên không nguy hiểm lắm. Mẹ mắc bệnh thủy đậu khi PNMT dưới 20 tuần sinh con ra sẽ có một tỉ lệ nhỏ (khoảng 2%) bị hội chứng thủy đậu bẩm sinh với các biểu hiện: sẹo da, nhẹ cân, các bệnh về mắt (đục thủy tinh thể, tổn thương võng mạc...), tay chân ngắn, đầu bé, chậm phát triển tâm thần...

Hình 7
Điều trị bệnh thủy đậu
Hiện chưa có thuốc đặc trị bệnh mà cách điều trị bệnh thủy đậu tùy thuộc vào sự phát hiện bệnh sớm trong 24 giờ đầu. Cần cho người bệnh đi khám bệnh ngay. Căn cứ vào tình trạng bệnh, bác sĩ sẽ cho điều trị nội trú hoặc điều trị tại nhà. Lựa chọn điều trị dựa trên các yếu tố sau: tuổi bệnh nhân, tình trạng miễn dịch bệnh nhân, thời gian có triệu chứng và biểu hiện lâm sàng.
Thuốc chống virus làm giảm thời gian tồn tại triệu chứng và các triệu chứng đau thần kinh sau nhiễm virus, đặc biệt khi khởi bệnh trong vòng hai tuần kể từ khi phát ban. Thuốc acyclovir đường uống có thể được kê đơn trên một số ca khỏe mạnh có triệu chứng điển hình. So với thuốc acyclovir đường uống, các thuốc khác như valacyclovir, penciclovir, famciclovir có thể làm giảm thời gian đau của bệnh nhân.
Hình 7
Các biến chứng do virus Varicella zoster gây nên trên các trẻ em, nhất là trẻ sơ sinh
Varicella zoster immune globulin (VariZIG) được chỉ định trên các đối tượng có nguy cơ cao trong vòng 10 ngày (lý tửơng nhất trong vòng 4 ngày) khi phơi nhiễm bệnh thủy đậu. Các nhóm nguy cơ gồm:
·Trẻ em và người lớn suy giảm miễn dịch;
·Trẻ sơ sinh của các bà mẹ bị varicella trong thời gian ngắn trước hoặc sau sinh;
·Trẻ sơ sinh;
·Trẻ em nhỏ hơn 1 tuổi;
·Người lớn không có miễn dịch;
·Phụ nữ mang thai.

Hình 8
Chăm sóc người bệnh bị thủy đậu
·Vì thủy đậu là một bệnh nhiễm trùng lây truyền qua đường hô hấp và tiếp xúc trực tiếp với dịch trong nốt phỏng/ nốt ra nên khi trẻ bị thủy đậu, việc đầu tiên là các bậc cha mẹ nên cách ly trẻ tại nhà (không cho đến trường hoặc nhà trẻ) cho tới khi khỏi hẳn;
·Bổ sung thêm vitamin C, vệ sinh mũi họng hàng ngày bằng dung dịch nước muối sinh lý 0,9%, nhỏ mũi 2 lần/ngày cho trẻ;
·Nên mặc quần áo rộng, nhẹ, mỏng; quần áo vải mềm, thấm hút mồ hôi và đặc biệt chú ý tới việc đảm bảo vệ sinh da cho trẻ để tránh xảy ra biến chứng;
·Giữ bàn tay cho trẻ thật sạch. Thay quần áo và tắm rửa hàng ngày bằng nước ấm sạch;
·Tắm rửa bằng các dung dịch sát khuẩn, tránh cọ xát làm các bóng nước bị vỡ vì dễ gây bội nhiễm và có thể tạo thành sẹo tồn tại lâu dài;
·Khi cần tiếp xúc người bệnh thủy đậu thì phải đeo khẩu trang;
·Sau khi tiếp xúc phải rửa tay ngay bằng xà phòng;
·Đặc biệt những PNMT cần tuyệt đối tránh tiếp xúc với người bệnh;
·Nằm trong phòng riêng, thoáng khí, có ánh sáng mặt trời, thời gian cách ly là khoảng 7-10 ngày từ lúc bắt đầu phát hiện bệnh (phát nốt rạ) cho đến khi các nốt phỏng nước khô vảy hoàn toàn;
·Sử dụng các vật dụng sinh hoạt cá nhân riêng: khăn mặt, cốc, chén, bát, đũa;
·Nên cắt móng tay cho trẻ, giữ móng tay trẻ sạch hoặc có thể dùng bao tay vải để bọc tay trẻ nhằm tránh biến chứng nhiễm trùng da thứ phát do trẻ gãi gây trầy xước các nốt phỏng nước;
·Ăn các thức ăn mềm, lỏng, dễ tiêu, uống nhiều nước, nhất là nước hoa quả;
·Dùng dung dịch xanh milian hay xanh methylene để chấm lên các nốt phỏng nước đã vỡ. Không bôi các dạng mỡ tetracycline, mỡ peniciline hay thuốc đỏ;
·Trường hợp sốt cao, có thể dùng các thuốc hạ sốt giảm đau thông thường nhưng phải theo hướng dẫn của thầy thuốc;
·Nếu bệnh nhân cảm thấy khó chịu, mệt mỏi, co giật, hôn mê hoặc có xuất huyết trên nốt rạ nên đưa đến ngay các cơ sở y tế để được theo dõi và điều trị;
·Trong vòng 24 giờ đầu khi xuất hiện nốt đậu dùng chống virus loại acyclovir để giúp rút ngắn thời gian và mức độ nghiêm trọng của bệnh. Liều lượng phụ thuộc lứa tuổi hoặc cân nặng.Trường hợp nặng hơn hoặc có biến chứng như viêm màng não, trẻ suy giảm miễn dịch, có thể dùng acyclovir đường tĩnh mạch;
·Có thể dùng kháng sinh trong trường hợp nốt rạ bị nhiễm trùng (có mủ, tấy đỏ vùng da);
·Dùng thuốc chống ngứa, nếu bệnh nhân ngứa loại kháng histamine (loratidin hay cetirizine);
·Tuân thủ chỉ định dùng thuốc của bác sĩ. Không tự ý dùng thuốc hoặc nghe lời mách bảo mà dùng thuốc sai lầm, dẫn đến thủy đậu bội nhiễm nặng;
·Giai đoạn vừa mới lành bệnh, cần phải tuyệt đối chống nắng và tránh cào gãi gây trầy xước. Bổ sung đầy đủ các vitamin và yếu tố vi lượng cho da thông qua chế độ ăn hoặc thuốc uống. Giữ vệ sinh cơ thể sạch sẽ và nghỉ ngơi nhiều.

Hình 8
Phòng bệnh thủy đậu
Mặc dù bệnh có thể lây lan nhanh chóng trong cộng đồng, nhưng hiện tại đã có biện pháp chủ động để phòng ngừa bệnh thủy đậu, đó là chủng ngừa bằng vaccine:
·Đối với trẻ từ 12 tháng tuổi tới 12 tuổi, tiêm 1 liều và liều thứ 2 nên tiêm thêm cách liều thứ nhất 6 tuần trở đi hoặc trong khoảng 4-6 tuổi để gia tăng hiệu quả phòng bệnh và giảm việc mắc bệnh thuỷ đậu trở lại mặc dù trước đó đã tiêm phòng;
·Đối với trẻ trên 13 tuổi, thanh niên và người lớn, tiêm 2 liều cách nhau tốt nhất là sau 6 tuần. Không tiêm hai mũi tiêm cách nhau 4 tuần;
·Không tiêm vaccine thuỷ đậu cho phụ nữ đang mang thai. Phụ nữ trong độ tuổi sinh đẻ (15-49 tuổi) nên tiêm vaccine thủy đậu trước khi mang thai 3 tháng;
·Hiệu quả bảo vệ của vaccine thủy đậu có tác dụng lâu bền.
·Nếu đã được chủng ngừa vaccine thủy đậu thì đại đa số từ 80-90% có khả năng phòng bệnh tuyệt đối. Tuy nhiên, cũng còn khoảng 10% còn lại là có thể bị thủy đậu sau khi tiêm chủng, nhưng các trường hợp này cũng chỉ bị nhẹ, với rất ít nốt đậu, khoảng dưới 50 nốt, và thường là không bị biến chứng;
·Thời gian ủ bệnh của thuỷ đậu là từ 1-2 tuần sau khi tiếp xúc với bệnh nhân, do đó, nếu một người chưa được tiêm phòng vaccine thuỷ đậu mà có tiếp xúc với bệnh nhân thuỷ đậu, trong vòng 3 ngày ta có thể tiêm ngừa thì vaccine có thể phát huy tác dụng bảo vệ ngay sau đó giúp phòng ngừa thủy đậu.