Hệ thần kinh trung ương vốn đã phức tạp thì nhiễm trùng hệ thân kinh trung ương (CNS) do virus, vi khuẩn, nấm và ký sinh trùng lại càng phức tạp hơn. Với thực trạng giao lưu quốc tế phổ biến giữa vùng không lưu hành bệnh với vùng có lưu hành bệnh tạo nên diện nhiễm bệnh lan tỏa và gánh nặng bệnh tật ở hầu khắp mọi nơi. Trong đó, nhiễm ký sinh trùng ở hệ thần kinh trung ương có nguy cơ biến chứng nặng và tử vong cao nhất là Gnathostoma spinigerum, Angiostrongylus cantonnensis, Naegleria fowleri.
Từ thực trạng này, chúng tôi xin trình bày một số trường hợp ca bệnh lâm sàng chia sẻ kinh nghiệm với các đồng nghiêp và cảnh báo cộng đồng về các căn bệnh quan trọng này.
Ca bệnh thứ nhất
Một phụ nữ 26 tuổi, người châu Á, định cư ở Hồng Kông được đưa đến bệnh viện do chuyển viện từ thầy thuốc đa khoa; bệnh nhân có triệu chứng ngứa và nổi cục từng đợt trên các chi thân mình. 9 tháng trước đó, các cục sẩn xuất hiện đầu tiên trên tay phải, rồi từ đó xuất hiện nhiều sẩn cục trên tay trái và chân trái, mỗi đợt như vậy, kéo dài vài ngày và tự khỏi một cách tự phát không để lại di chứng gì.
Về tiền sử, 9 năm trước đó, cô ta có nổi lên một cục gần phía gối trái, theo dõi tiếp 4 ngày sau lại xuất hiện một cục tương tự bên đùi phải; cả hai cục này tự mất đi không cần điều trị. Tất cả các cục nằm dưới da và có đường kính chừng 3-6cm.

H1
Xét nghiệm yếu tố thấp (RF_rheumatoid factor) dương tính và khángthể kháng nhân (ANA_anti-nuclear antibody) dương tính với hiệu giá kháng thể > 1/12.800, đáng chú ý là trong chế độ ăn của cô ta thường có cá nước ngọt sống/ hoặc ăn tái gỏi.

H2
Ca bệnh thứ hai
Một phụ nữ 37 tuổi từ Bangladesh cho biết có tiền tử trong 3 năm qua xuất hiện dấu sưng phồng từng đợt ở cánh tay (P) đến phần giữa của cơ nhị đầu, kèm theo có ngứa, đau cơ và đau khớp. Triệu chứng khởi đầu xảy ra khi cô ta đi thăm quan khăp Bangladesh, ăn thịt cừu, cá và gà. Đếm bạch cầu ái toan là4.37 x 109/L và bệnh nhân được chuyển từ khoa khớp đến khoa nhiệt đới. Sau 21 ngày điều trị albendazole, bạch cầu eosin giảm xuống còn 1.12 x 109/L; triệu chứng tái phát vài tháng sau đó, sau khi điều trị liệu trình thứ 2 bằng albendazole (400 mg hai lần mỗi ngày x 21 ngày), triệu chứng bệnh được giải quyết và BCAT trở về trị số bình thường (0,5 x 109/L).

H3
Ca bệnh thứ ba
Một phụ nữ 49 tuổi người Capcavới bệnh sử đau bụng và có triệu chứng trào ngược dạ dày thực quản 12 tháng nay (gastroesophageal reflux syndrome).
Bệnh nhân đã đi du lịch nhiều nơi ở Đông Nam Á với thời gian dài 18 tháng trước khi nhập viện nhưng không ăn các loài nhuyễn thể hoặc những món thịt chưa chế biến kỹ. Sinh thiết dạ dày thông qua nội soi đường tiêu hóa trên cho kết quả viêm dạ dày tăng bạch cầu ái toan (eosinophilic gastritis), lượng BCAT là 0,95 x 109/L, xét nghiệm huyết thanh học với Gnathostoma sp. dương tính.
Triệu chứng bệnh thuyên giảm dần và khỏi hẳn sau khi điều trị phác đồ albendazole liệu trình 14 ngày.

H4
Ca bệnh thứ tư
Một phụ nữ 30 tuổi có triệu chứng đau bên đùi trái trong khi cô ta tham gia vào một cuộc chạy đua EcoChallenge 2000 ở Borneo, xuất hiện một nốt, cục kích thước 4 x 3 cm ở vùng đùi trái đã góp phần làm đau xé cơ của bệnh nhân; cục này tồn tại 12 tháng và sau đó cô ta phải nhập viện bệnh viện nhiệt đới Luân Đôn.
Chụp cộng hưởng từ (MRI) ở đùi cho thấy một tổn thương phân thùy (lobulated lesion) bên trong bó cơ lớn, xung quanh có phù. Kết quả chẩn đoán huyết thanh học với Gnathostoma dương tính.
Điều trị liệu trình 21 ngày bằng albendazole cho thấy có giảm dần kích thước tổn thương nhưng không hết hẳn hoàn toàn.

H5
Ca bệnh thứ năm
Một phụ nữ 42 tuổi, sống tại thành phố Quy Nhơn, cán bộ viên chức nhà nước, nhập viện do tự đến, khi vào viện khám bệnh nhân có triệu chứng ngứa, dị ứng và nổi cục nhiều nơi, nhiều nhất là vùng đùi, cằng chân, cẳng tay và cánh tay, trên ngực, bụng, lưng.
Khoảng 3-4 tháng trước khi nhập viện, bệnh nhân xuất hiện 2 nốt sẩn cục tại cánh tay (vùng gần khuỷu), sau đó biến mất không cần điều trị gì, tiếp đó 2 tháng sau kể từ khi biến mất cục sẩn, bệnh nhân lại thấy xuất hiện nhiều sẩn cục trên cả 2 tay, hai đùi và cuối cùng có vài nốt khoeo chân, vài chỗ tự khỏi, vài chỗ tồn tại đến khi vào viện, không để lại di chứng mà không cần can thiệp y tế gì cả.

H6
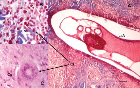
Đường kính các nốt sẩn hay sẩn cục chừng 2 x 3 cm, hoặc 4 - 5 cm.
Sinh thiết các nốt sẩn cho thấy thâm nhiễm nhiều bạch cầu eosin, tiết dịch trong, hồng nhạt, các cục sẩn nằm bên dưới da, có thể bóp lấy và kéo lên trên được, không đau.
Bệnh nhân được chẩn đoán và điều trị nhiều nơi với các bệnh lý khác nhau như viêm đa khớp dạng thấp mạn tính, viêm nút động mạch, bệnh lý tự miễn, không thuyên giảm.
Xét nghiệm công thức máu cho thấy tăng bạch cầu chung và tỷ lệ BCAT tăng cao, ELISA với G. spinigerum dương tính với hiệu giá kháng thể 1/12.800 hoặc OD (+) 3,66.
Thói quen ăn uống của cô ta là ăn sống các loại cá, tôm với mù tạt với xì dầu. Bệnh nhân sau đó được điểu trị bằng thuốc thiabendazole (TCBZ) và khỏi bệnh hoàn toàn.

H7
Ca bệnh thứ sáu
Nam giới 45 tuổi, chồng của bệnh nhân ca bệnh thứ 5 ở trên, sống và làm việc tại Quy Nhơn, Phú Yên, Gia Lai và Vũng Tàu, thường tiếp khách tại các nhà hàng có đồ hải sản với món ăn khoái khẩu là lẩu tái thịt, cá hoặc thập cẩm, đôi khi ăn sống các lát cá thái mỏng, vắt chanh, mù tạt, xì dầu, tiền sử hút thuốc lá 1gói/ ngày, loại có đầu lọc.
Trước khi nhập viện, bệnh nhân thường có cảm giác mỏi cơ cánh tay và cẳng tay, thi thoảng xuất hiện nốt tròn kích thước 2-4 cm tại vùng khuỷu và cơ sấp vuông bên (T) và (P) kèm theo có nổi mẩn ngứa, đau mỏi cơ, đau khớp gối và cổ tay, không sốt, không đỏ.
Đi khám tổng quát và xét nghiệm tổng quát hướng đến bệnh lý ký sinh trùng và cho làm các xét nghiệm ELISA về Fasciola sp. E. histolytica, Strongyloides stercoralis, Toxocara canis, Gnathostoma spinigerum, Trichinella spiralis.

H8
Kết quả dương tính với Gnathostoma spinigerum với hiệu giá kháng thể rất cao và OD là 2.14 (tại Trung tâm MEDIC Hòa Hảo thành phố Hồ Chính Minh), công thức máu toàn phần có bạch cầu ái toan 56%, bênh nhân được chuyển vào Viện Sốt rét-Ký sinh trùng-Côn trùng Quy Nhơn điều trị bằng phác đồ albendazole với liều 800 mg/ ngày chia 2 lần, trong 21 ngày, chia làm 3 đợt, mỗi đợt 7 ngày.
Sau khi điều trị bênh nhân giảm các thông số cận lâm sàng và lâm sàng dần dần biến mất sau đó 4 tháng.
Ca bệnh thứ bảy
Hội Dược sĩ Việt Nam tại Mỹ cũng có báo cáo một ca nhiễm giun đầu gai ở một Việt kiều lúc về thăm quê hương. Trong thời gian ở Việt Nam, bệnh nhân có ăn uống cùng bạn bè món thịt rắn hổ mang, đặc biệt là anh ta ăn nguyên tim rắn Khi trở qua Mỹ, bênh nhân bắt đầu ngã bệnh và có dấu hiệu mệt mỏi, sốt, nổi mày đay ở chân, đau ở vùng gan, ớn lạnh về chiều. Kết quả xét nghiệm máu, cho thấy số bạch cầu ái toan trong máu tăng cao 13.000. Các bác sĩ bên Mỹ chữa trị bằng kháng sinh, nhưng bệnh vẫn không thuyên giảm. Cuối cùng qua sự cố vấn của một nhà ký sinh trùng học, bác sĩ Nagami, thuộc trung tâm CDC, Mỹ bệnh nhân đã được chẩn đoán chính xác nhiễm giun đầu gai Gnathostoma spinigerum. Thuốc Albenza (Albendazole) đã được sử dụng để điều trị bệnh khỏi.
Ca bệnh thứ bảy
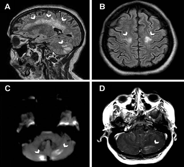
Bệnh nhân Tống T.S.,nam, 52 tuổi làm nghề thuốc bắc, vào viện với triệu chứng liệt nhẹ 2 chi dưới trong vòng 2 ngày trước khi nhập viện vì có dấu hiệu xuất huyết não không rõ nguyên nhân. Tiền sử du lịch đến nhiều quốc gia Trung Quốc, Thái Lan, Singapore, Pháp, Đức, Bỉ, Tây Ban Nha, Hà Lan và đặc biệt không có cao huyết áp. Lâm sàng không biểu hiện rối loạn ý thức, không sốt.
Các thông số cận lâm sàng không có gì đặc biệt ngoại trừ tăng chỉ số bạch cầu ái toan lên đến 22,6%, xét nghiệm dịch não tủy có giảm nhẹ đường và tăng bạch cầu ái toan 17,5% à nên được chẩn đoán sơ bộ ban đầu là bệnh do ký sinh trùng ở hệ thần kinh.

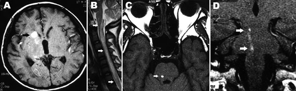
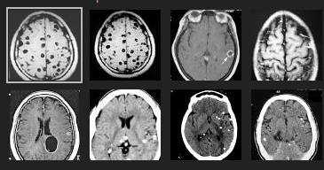
H9
Chụp MRI và CT cho hình ảnh vệt di chuyển và nhiều búi phình mạch nội sọ, chuyển bệnh nhân vào tuyến trên, xác định tác nhân qua ELISA với G. spinigerum dương tính với OD = 2,34, nồng độ IgE tăng gấp 5 lần trị số bình thường. Thuốc lựa chọn albendazol plus dexamethason], bệnh nhân hồi phục hoàn toàn sau 78 ngày điều trị.
Ca bệnh thứ chín
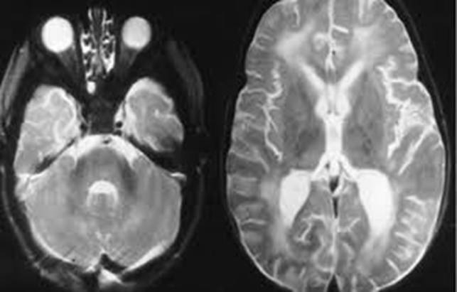
Bệnh nhân nữ, 26 tuổi làm nghề tóc, sống tại Quy Nhơn, có triệu chứng một vết phù nhẹ từng đợt mi mắt (T) khoảng 3cm, đau nhưng không ngứa, không đỏ trong 6 tháng trước khi nhập viện. Thói quen hay ăn các loại hải sản sống cùng với mù tạt, kể cả ốc. Hai ngày trước khi nhập viện có nhức đầu nhiều, mờ mắt, song thị, buồn nôn, đại tiện phân thường, sau 24 giờ có biểu hiện rối loạn ý thức, yếu tê tay (P).
Khám lâm sàng cho thấy tri giác u ám, sụp mi (P), yếu nhẹ chi trên (P), không cứng cổ, buồn nôn, huyết áp 100/55 mmHg, mạch quay rõ 70 lần/ phút, sốt nhẹ 380C.
+ Chẩn đoán sơ bộ: Theo dõi Viêm não màng não do virus.
+ Xét nghiệm cận lâm sàng:
·Công thức máu toàn phần có tăng bạch cầu chung lên đến 14.000, trong đó BCAT chiếm ưu thế 35,6%, glucose và protein máu máu bình thường, bilan gan mật, lipid trong giới hạn;
·X-quang phổi và siêu âm bụng không bất thường, ngoại trừ có sỏi nhỏ thận (P);
·Dịch não tủy cho dịch trong suốt, hơi vàng, không thấy vi khuẩn và chỉ số bạch cầu tăng cao 27.9%.
·Tuy nhiên, sau 38 giờ kể từ khi nhập viện bệnh nhân mất ý thức à chuyển sang chẩn đoán bệnh do ký sinh trùng, xét nghiệm 6 loại giun sán, kết quả dương tính với G. spinigerum 1/3200
à Chuyển điều trị hồi sức tích cực, chụp CT-scanner cho hình ảnh phù não nhẹ, hình ảnh di chuyển và giống calci hóa tại hai bán cầu. Phác đồ thuốc lựa chọn [albendazole + dexamethason + hydrocortison + kháng sinh phổ rộng], bệnh nhân tỉnh táo sau 14 ngày và hồi phục hoàn toàn sau 5 tháng kể từ khi điều trị.

H10
Liên quan đến các ca bệnh giun đầu gai này đã được ghi nhận một cách chi tiết, song cũng cần có luận bàn để trước khi đưa ra tiêu chuẩn chẩn đoán nhằm điều trị hiệu quả là quan trọng:
-Loạt bệnh nhân nhiễm G. spinigerum được báo cáo phần lớn bệnh nhân có liên quan đến yếu tố dịch tễ là du lịch hoặc thăm gia đình hoặc di dân vì lý do nào khác tại các vùng lưu hành và chế độ ăn ít nhiều có yếu tố dịch tễ bệnh ký sinh trùng này. Các hình thái du lịch quốc tế cho thấy rằng tình trạng này thường xảy ra cho các đối tượng đi du lịch và di dân đến các vùng bệnh lưu hành. Ngoài ra, sự phân bố về mặt địa lý của nhiễm bệnh cũng như gia tăng thói quen ăn uống của các du khách ở các vùng như thế đã góp phần vào tỷ lệ mắc bệnh giun đầu gai này;
-Trong số bệnh nhân mô tả ở trên, cho chúng ta thấy thời gian trung bình từ khi xuất hiện triệu chứng bệnh đầu tiên đến khi được chẩn đoán là 12 tháng (ít nhất là 3 tuần nhiều nhất là 5 năm), điều này phản ánh rằng cả tính tự nhiên xuất hiện triệu chứng từng đợt lẫn các chẩn đoán không rõ ràng cần đặc biệt rút kinh nghiệm lâm sàng và lưu ý khi phác đồ điều trị cho các bệnh khác nghi ngờ không đáp ứng thì nên ít ra cũng nên nghĩ đến bệnh ký sinh trùng. Chúng ta không có đủ số liệu về thời gian chẩn đoán sau khi được nghĩ đến bệnh này, hầu hết đã khá muộn;

H11
-Điểm chính trong chẩn đoán bệnh giun đầu gai là sự nhận ra trong quá trình điều tra bệnh sử chi tiết, đã và đang sốngl mà việc tại các vùng lưu hành. Một khi bệnh được chẩn đoán, việc quản lý theo dõi bệnh và điều trị bệnh không còn phức tạp nữa, nhưng hiếm khi tình trạng cũng như tình hình dịch tễ vùng lưu hành bệnh lại cho phép chúng ta nghĩ đến; do vậy, sẽ dẫn đến hậu quả chẩn đoán “quá tầm” hoặc bỏ sót.
-Các triệu chứng không thường gặp đi kèm vắng mặt thường xuyên của các triệu chứng cơ năng giữa các giai đoạn bệnh có thể dẫn đến bỏ sót hoặc “lãng quên” bệnh của bệnh nhân và một lỗi nữa là thầy thuốc hiếm khi đối mặt với bệnh này thì lại không nghĩ đến hoặc hướng đến chẩn đoán, nhất là tại các quốc gia tiên tiến như Canada, Mỹ, Newzealand;
-Các bệnh nhân trước khi được chẩn đoán xác định thường được giới thiệu hoặc đã khám và điều trị tại các khoa thấp khớp, da liễu hoặc phòng khám bệnh nhiệt đới, bác sĩ chuyên khoa nội tổng quát, bác sĩ tiêu hóa; sự vắng mặt của dấu chứng tăng bạch cầu eosin cũng có thể che lấp chẩn đoán do tác nhân ký sinh trùng.
-Tăng bạch cầu eosin chỉ có 9/18 bệnh nhân; vì thế, không thể dựa vào thông số này như một chỉ điểm hay marker sàng lọc bệnh. Tuy nhiên, đáp ứng với phác đồ điều trị trên các trường hợp có eosin tăng lúc chưa điều trị, thì thông số này lại chứng minh được là rất có ích;

H12
-Trong số các bệnh nhân ở trên, có 4 người cần thiết phải điều trị liều 2 với albendazole, tăng bạch cầu eosin còn lại nghĩ đến các triệu chứng đó là tái phát;
-Một số test huyết thanh chẩn đoán hiện có sẵn trên thị trường để chẩn đoán bệnh giun đầu gai, song nó có rất nhiều thương hiệu và ngưỡng phát hiện dương tính cũng khác nhau tùy thuộc nhà sản xuất pha chế nồng độ có sẵn. Các xét nghiệm ở đây phần lớn thực hiện tại trường đại học Mahidol, Thái Lan và sử dụng Immunoblot để phát hiện band đặc hiệu 24-kDa cho loài Gnathostoma sp., hoặc chẩn đoán dựa trên kit của Bộ môn Ký sinh học, trường Đại học Y dược thành phố Hồ Chí Minh, Việt Nam. Tại các la-bô đó số ca xác định phần lớn nhiễm Gnathostoma, độ nhạy của Immuno blot là 100%, chưa thấy phản ứng dương tính chéo ở kit cho immunoblot và test của Việt Nam chúng ta chưa có số liệu cụ thể về nghiên cứu phản ứng chéo này;.
-Đến nay, thuốc để điều trị đặc hiệu cho loài giun này chưa có, chỉ dùng loại albendazole điều trị như các loại giun tròn khác ở người; may thay, kết quả điều trị hiệu quả lên đến > 90%, tương tự kết quả về hiệu lực thuốc Ivermectin. Trong số đó, 4 bệnh nhân cần thiết phải điều trị liều 2. Các tình huống bệnh như vậy khó xác định được đâu là thất bại điều trị (treatment failure) và đâu là tái nhiễm (reinfection) sau điều trị, dù sao đi nữa sự giảm tỷ lệ bạch cầu eosin và không xuất hiện lại triệu chứng bệnh trong vòng 12 tháng theo dõi cũng được xem là hiệu quả rồi và là chỉ điểm điều trị khỏi đáng tin cậy. Mặc dù phải điều trị lại lần 2 và thuốc Ivermectin cũng như thế, nhưng chúng ta cũng nên đặt ra công tác giám sát tương tác và độc tính thuốc khi dùng liệu trình liều cao và dài ngày;

H13
Một chẩn đoán hướng đến bệnh ký sinh trùng giun đầu gai G. spinigerum nên được đặt ra cho bệnh nhân khi có bệnh sử với triệu chứng sưng phồng, ban trườn, ấu trùng di chuyển dưới da, triệu chứng tiêu hóa không đặc hiệu xuất hiện thoáng qua, kèm với yếu tố dịch tễ của bệnh nhân.
Quản lý bệnh thường đưa ra lời khuyên hợp lý về chế độ và vệ sinh an toàn thực phẩm. Ý thức và chế độ ăn uống của bệnh nhân hợp lý hay chưa vì hiện nay xu hướng ăn uống các trung gian truyền bệnh của các tác nhân ký sinh trùng này tương đối phổ biến trong cộng đồng dân, kể cả tại Việt Nam.