Viêm màng não tăng bạch cầu ái toan (Eosinophilic meningitis_EM) là một bệnh rất hiếm gặp nhưng rất quan trọng về mặt lâm sàng học tổng quát. Chỉ có một vài bệnh truyền nhiễm và không truyền nhiễm có liên quan đến EM. Do đó, chúng sẽ rất hữu ích giúp thu gọn các bước chẩn đoán phân biệt với viêm màng não.
Các nguyên nhân hay gặp mà có xâm nhập vào hệ thần kinh trung ương có thể là giun sán. Nhân đây, chúng tôi báo cáo một trường hợp bệnh nhi mắc EM ở Pakistan cùng với tổng hợp y văn. Đó là ca bệnh do nhóm tác giả Imran Asad, Nazar Ullah Raja, Ejaz A. Khan thuộc khoa nhi và khoa vi trùng học tại bệnh viện quốc tế Shifa, Islamabad ghi nhận và trình bày.
Tóm tắt ca bệnh
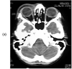
Một bệnh nhi nam 9 tuổi nhập viện vào phòng cấp cứu với biểu hiện sốt, nôn mửa liên tục, nhức đầu dữ dội trong 2 ngày qua. Sốt thường từng cơn có thể lên đến 101oF. Nhức đầu liên tục , chủ yếu nhức đầu vùng trán và thái dương và ho rất nghiêm trọng. Bệnh nhi bị sưng mắt phải lan tỏa chủ yếu vùng mi mắt với dấu hiệu chảy nước mắt và sợ ánh sáng nhưng không đỏ mắt. Bệnh nhân có tiền sử sốt viêm ruột cách đây 2 tháng và được cho dùng kháng sinh điều trị trong 2 tuần. Trước đó bệnh nhi hoàn toàn khỏe mạnh, không đi du lịch ra khỏi Pakistan hoặc ăn phải một loại hải sản nào khác. Nhà có nuôi 5 con mèo và trẻ này thình thoảng hay chơi đùa với chúng. Khám tổng quá chung bệnh nhi cho thấy trẻ lo âu và dễ bị kích thích với sưng mắt rõ ràng. Thân nhiệt lúc này 102oF, mạch 90/phút, nhịp thở 21/phút và huyết áp 110/70 mmHg. Khám mắt cho thấy sưng mi mắt trên bên (P), đỏ nhẹ và cử động mắt có phần giới hạn, đặc biệt nhìn chằm chằm phía trên. Soi đáy mắt kết quả bình thường. Khám chuyên khoa thần kinh cho thấy dấu cứng cổ nhưng không có dấu hiệu thần kinh cục bộ. Khám các cơ quan khác còn lại bình thường. Các xét nghiệm cận lâm sàng lúc nhập viện cho thấy: bạch cầu chung 33.400/øL với tỷ lệ bạch cầu đa nhân trung tính 13%, lymphocyte 8%, monocytes 2%, eosinophils 77%; tiểu cầu 318.000/øL; tốc độ máu lắng 24 mm/giờ. Dịch não tủy (CSF) cho biết số lượng bạch cầu chung 360/øL với 10% đa nhân trung tính và 90% eosin, glucose 83 mg/dl, protein 14 mg/dl. Nhuộm dịch não tủy cho kết quả âm tính. Cấy máu và dịch não tủy vô trùng với các tác nhân gây bệnh. Chụp cắt lớp (CT) não cho thấy có tăng màng não, phù não và sưng phồng quanh ổ mắt bên (P) (Hình 1).
Hình 1: Kết quả CT scan cho thấy mô mềm sưng phồng vị trí phía bên phải (a). không có tổn thương dạng khối nhưng có phù não và tăng âm vùng màng não-tủy mềm (leptomeninges) trên phim chụp cản quang sau cho thấy hình ảnh viêm màng não-tủy mềm (leptomeningitis). Các kết quả khác như xét nghiệm máu ngoại vi cho thấy tăng bạch cầu eosin với hình thể bình thường, xét nghiệm phân, kể cả phương pháp tập trung trứng và ký sinh trùng đều âm tính trên 4 mẫu phân. Toxoplasma IgM (-) và nồng độ IgE trong huyết thanh toàn phần trong giới hạn bình thường. Chọc hút tủy xương cho thấy tăng bạch cầu giai đoạn tiền eosin tăng nhưng hình thể bạch cầu bình thường.
Trình bày ca bệnh
Một chẩn đoán EM được thiết lập và bệnh nhi bắt đầu được chỉ định truyền tĩnh mạch dexamethasone và cho albendazole đường uống (400 mg 2 lần mỗi ngày). Dấu chứng sưng mắt được giải quyết trong vòng 3 ngày cùng với các triệu chứng nôn, nhức đầu, sốt cải thiện đáng kể. Bệnh nhân được xuất viện sau 4 ngày cho uống prednisolone liều 2mg/kg/ngày và Albendazole. Trong quá trình theo dõi, 7 ngày sau, số bạch cầu xuống còn 12.400/øL với tỷ lệ 21% eosin. Sau 3 tuần, trẻ vẫn không có triệu chứng lại với bạch cầu chung 10.200/øL và 14% eosin. Cho dù đáp ứng lâm sàng ngay từ ban đầu rất ngoạn mục, song bệnh nhi vẫn tiếp tục đau toàn thân từng đợt một cách kín đáo và sưng phồng một cách khó thấy trên toàn cơ thể, hầu như liên quan đến các chi. Tăng bạch cầu ái toan ngoại vi từ nhẹ đến trung bình (15-35%) vẫn tồn tại và vì thế vẫn tiếp tục cho liều steroides giảm dần rồi dừng lại (tapering doses) với liều (0.5-2 mg/kg/ngày) tiếp tục kéo dài đến 4 tháng. Albendazole 400mg cũng tiếp tục đến 3 tháng. Bạch cầu ái toan giảm dần dần trong 4 tháng, bệnh nhi hiện không còn triệu chứng và vẫn khỏe mạnh.
Một số bàn luận liên quan đến ca bệnh
Viêm màng não tăng bạch cầu eosin (EM) được định nghĩa và xác định khi có sự hiện diện ≥ 10% số bạch cầu eosin trong công thức bạch cầu hoặc mức độ bạch cầu ái toan trong dịch não tủy ít nhất 10%. Thực tế lâm sàng thì điều này rất hiếm xảy ra do sự xâm nhập của ký sinh tùng hoặc nấm vào hệ thần kinh trung ương (bảng 1). Tác nhân gây bệnh có thể lúc này là giun mạch (Angiostrongylus cantonensis), giun đũa chó (Toxocara canis), giun đầu gai (Gnathostoma spinigerum), bệnh do Baylisascaris procyonis, ấu trùng sán lợn (cysticercosis) và nấm như Coccidioides immitis. Trong số này, ký sinh trùng giun mạch (Angiostrongylus cantonensis) hoặc giun ở phổi chuột là nguyên nhân hay gặp nhất của EM, đặc biệt ở khu vực Đông Nam Á, châu Phi và Đài Loan. Giun trưởng thành Angiostrongylus cantonensis nằm trong phổi chuột, đây là vật chủ chính. Trong phổi, trứng đẻ thành ấu trùng, áu trùng được nuốt vào và phát triển thành ấu trùng giai đoạn 3 gây nhiễm. Chúng đào thải qua phân, đi đến các vật chủ trung gian như ốc, tôm, sên, cua, cá và ếch. Người là vật chủ tình cờ và là vật chủ cuối nhiễm phải do do ăn sống hoặc chế biến chưa chín các vật chủ trung gian hoặc rau nhiễm ấu trùng giai đoạn 3. Các ấu trùng này di chuyển từ hệ tuần hoàn đến cơ quan chọn lọc là thần kinh trung ương. Trong não, tủy sống và rễ thần kinh, chúng gây ra hình ảnh bệnh học của viêm màng não tủy mền (leptomeningitis). Điều này chỉ ra có sự tồn tại cả tế bào plasma và bạch cầu ái toan. Một hình ảnh đặc trưng bệnh thường là tăng bạch cầu ái toan đáng kể cả trong dịch não tủy và trong máu ngoại vi. Hầu hết các bệnh nhân có khởi đầu triệu chứng nhưng ít khi thấy dạng biến chứng.
Ca bệnh trình bày ở đây điển hình gồm có nhức đầu, sốt, suy nhược, khó chịu, chán ăn, ban đỏ, ngứa, đau bụng, buồn nôn, nôn mửa. Các dấu hiệu thần kinh gồm có nhức đầu dữ dội, cứng cổ, dị cảm, yếu, cơn co giật và hôn mêm và các dấu hiệu thần kinh khu trú như nhìn mờ và liệt cơ vận nhãn.
-Một loạt lớn gồm 484 bệnh nhân mắc viêm màng não tăng eosin (EM) báo cáo từ Thái Lan cách nay 30 năm. Điển hình cũng là nhức đầu dữ dội, suy giảm thị lực và liên quan đến các dây thần kinh sọ não.
-Loạt ca bệnh gồm 54 bệnh nhân từ Tahiti cũng có nhức đầu, cứng cổ, đau chi, liệt mặt và tăng bạch cầu ái toan trong dịch não tủy hơn 50%.
-Loạt ca bệnh khác báo cáo trên người lao động Đài Loan đến tại Thái Lan gồm 17 bệnh nhân cũng cho thấy hầu hết bệnh nhân có nhức đầu nghiêm trọng và tăng bạch cầu ái toan trong 4-23 ngày sau khi ăn ốc sống. 12 (71%) số đó bị EM. Đặc điểm của hệ thần kinh trưng ương gồm nhức đầu 17 (100%), sốt 11 (65%), dấu kích thích màng não 11 (65%) và tăng dị cảm 3 (18%).
-Một vụ dịch liên quan đến EM trên 23 người trưởng thành du lịch được báo cáo tại Mỹ gần đây, cho biết triệu chứng bênh nhân phàn nàn cũng là nhức đầu (100%), nhìn mờ (92%), cứng gáy (83%) và dị cảm (75%). Bạch cầu eosin máu ngoại vi tăng trong 88% tổng số bệnh nhân. Tăng cả lympho và bạch cấu ái toan trong dịch não tủy phát hiện trong 70- 100%. Tăng lympho bào trong dịch não tủy thường là 100-5000 cell/øL. Protein trong dịch não tủy tăng nhẹ (50-200 mg/dl) nhưng glucose dịch não tủy thường trong giới hạn bình thường. Nồng độ IgE trong huyết thanh tăng đến 100% số bệnh nhân.
Các kháng thể đặc hiệu với Angiostrongylus cantonensis có thể phát hiện trong huyết thanh và trong dịch não tủy trên 25% số bệnh nhân. Mặc dù chẩn đoán các liên quan đến hệ thần kinh đã được thiết lập trên lâm sàng, các phương pháp xét nghiệm huyết thanh học như ELISA, nơi mà sẵn có các bộ thử - có thể giúp cho việc củng cố chẩn đoán. Đôi khi, ấu trùng đang sống có thể phát hiện trên kính hiển vi thông qua xét nghiệm dịch não tủy, sinh thiết mắt và các mô khác. CT scan não có thể bình thường hoặc có thể biểu hiện các hình ảnh không đặc hiệu, gồm phù não, dãn não thất hoặc tăng vòng tổn thương. Tương tự, chụp cộng hưởng từ (MRI) có thể cho các hình ảnh không đặc hiệu từ bình thường đến viêm màng não tủy mềm leptomeningeal tăng sinh, phì đại não thất (ventriculomegaly), tăng nhiều vùng có đốm nhỏ bát thường ở hạch nền. Điều này liên quan đến độ trầm trọng của nhức đầu, xuất hiện giun trong dịch não tủy, tăng lympho bào và bạch cầu ái toan trong dịch não tủy và cả máu ngoại vi. Bệnh ung thư bạch cầu thể tăng bạch cầu eosin nên loại trừ nhờ vào xét nghiệm tủy xương. Một tỷ lệ bất thường giữa các tế bào tiền tủy của bạch cấu ái toan (eosinophilic promyelocytes) với bạch cấu ái toan phân đoạn (segmented eosinophils) là hữu ích cho chúng ta trong việc phân biệt giữa ca bệnh ung thư bạch cầu dòng bạch cấu ái toan (eosinophilic leukemia) và tăng bạch cầu eosin phản ứng (reactive eosinophilia). Đến 30% số bênh nhân bị viêm màng não do nấm coccidioid có thể có kết quả xét nghiệm dịch não tủy gần giống như của EM. Một số chẩn đoán phân biệt khác gồm u lymphoma, hội chứng tăng nhiễm bạch cầu eosin, dùng thuốc ibuprofen và ung thư bạch cầu nguyên bào lympho cấp. Các nguyên nhân khác thường gặp và hiếm gặp theo bảng 1.
Bảng 1: chẩn đoán phân biệt với bệnh viêm màng não tăng bạch cầu ái toan (EM)
Nguyên nhân bệnh truyền nhiễm | Nguyên nhân không phải truyền nhiễm |
Thường gặp Nhiễm giun mạch ở não Angiostrongylus cantonensis Giun đầu gai (Gnathostoma spinigerum) Giun đũa chó (Toxocara canis) Giun đũa mèo (Toxocara cati) Bệnh ấu trùng sán lợn (Cysticercosis) Bệnh Bayliscaris procyonis Nhiễm nấm dạng Coccidiodes immitis | Hiếm gặp Bệnh ung thư hạch (Hodgkin's disease) Hội chứng tăng nhiễm bạch cầu ái toan (Hypereosinophilic syndrome) Do điều trị kéo dài thuốc Ibuprofen (Ibuprofen therapy) Ung thư máu thể nguyên bào lympho cấp (Acute lymphoblastic leukemia) Thuốc nhiễm vào trong khoảng nhện (Intrathecal drugs) Do quy trình phẩu thuật thần kinh (Neurosurgical procedures_tubing) Tiêm vaccine phòng dại (Rabies vaccination) |
Hiếm hặp Bệnh sán máng (Schistosoma spp) Bệnh sán lá phổi (Paragonimus westermanii) Bệnh do sán dải (Echinococcus) Bệnh do giun xoắn (Trichinella spiralis) Bệnh thàn kinh do gian mai (Neurosyphilis) Bệnh lao (Tuberculosis) Bệnh sốt núi đá (Rocky Mountain Spotted Fever) Viêm màng não-màng nhện tăng lympho bào (Lymphocytic choriomeningitis) |
Các xét nghiệm cận lâm sàng chẩn đoán EM do Angiostrongylus cantonensis liên quan đến việc phân lập các ký sinh tùng trong dịch não tủy, không phải lúc nào cũng làm được. Hầu hết chẩn đoán dựa trên lâm sàng trên những ca bệnh đang sống trong vùng lưu hành và được hỗ trợ chẩn đoán bằng xét nghiệm huyết thanh học. Angiostrongylus cantonensis là một nguyên nhân thường gặp nhất được báo cáo trong nhiều loạt ca bệnh như là nguyên nhân điển hình của EM. Các nguyên nhân hiếm gặp hơn gây EM là giun đầu gai Gnathostoma spinigerum dẫn đến viêm não màng não ( meningoencephalitis) và gây ra triệu chứng đau rễ thần kinh cấp tính cùng với các triệu chứng của tủy sống và não bộ, với sự xuất hiện máu hoặc thể xanthochromic trong dịch não tủy. Tuy nhiên, nó cũng gây những đợt sưng phồng cơ thể bởi quá trình di chuyển ấu trùng trong mô và dưới da mà bệnh nhân vẫn thấy khỏe. Các bệnh nhiễm ký sinh trùng khác như giun đũa chó, ấu trùng sán lợn, giun xoắn, sán máng, sán lá phổi, sán dải chó ít gặp hơn và có trường hợp không đau (Bảng 1). Bệnh điển hình bởi dấu hiệu tăng bạch cầu ái toan trong máu ngoại vi nhưng thường thiếu dấu chứng tăng lympho và eosin trong dịch não tủy. Tại Pakistan, mặc dù nhiễm ký sinh trùng và lao thường gặp, EM chưa được mô tả. Vì thử nghiệm một ký sinh tùng trong dịch não tủy rất khó và xét nghiệm huyết thanh học không sẵn có, chẩn đoán bệnh nguyên chính xác là không thể trên bệnh nhân này. Tuy nhiên, việc bệnh nhi đáp ứng với liệu pháp phối hợp Albendazole và thuốc steroids nhanh cho thấy bệnh nguyên giun sán là có thể nhất trong ca này.
Hiệu lực điều trị của các thuốc khác nhau như Albendazole, Mebendazole, Thiabendazole, Levamisole, Ivermectin đã được thử nghiệm trên mô hình động vật. Mặc dù điều trị tối ưu cho EM vẫn còn nhiều tranh luận, song cũng óc nhiều báo cáo cho biết sử dụng Albendazole, Levamisole hoặc Mebendazole phối hợp với glucocorticoids dường như là chọn lựa. Corticosteroids đã tỏ ra hữu ích trên những ca bệnh người lớn bị nặng, giảm áp lực sọ não cũng như cải thiện các triệu chứng thần kinh do đáp ứng viêm trong quá trình giun chết cải thiện nhanh. Hầu hết các bênh nhân đều hồi phục hoàn toàn và bạch cầu ái toan đã được giải quyết trong vòng 3 tháng. Tuy nhiên, nhiễm nặng có thể dẫn đến giai đoan mạn tính, di chứng tàn tật và thậm chí tử vong. Tỷ lệ tử vong hiếm khi xảy ra trên các bệnh nhân EM chưa biến chứng trong một loạt ca bệnh < 1%.
Vấn đề chế biến vệ sinh thực phẩm, kiểm soát các nhuyễn thể là thực phẩm và loại trừ các các laoif gặm nhấm là những biện pháp quan trọng để phòng chống EM gây ra do nhiều tác nhân ký sinh trùng, đặc biệt tại các vùng lưu hành. Nhìn chung, viêm màng não tăng bạch cầu eosin nên được nghĩ đến trong chẩn đoán khi bệnh nhân có tăng bạch cầu eosin và dấu chứng thần kinh có hiện diện, các bệnh nhân như thế nên nhập viện, đánh giá và quản lý ca bệnh chặt chẽ.
Tài liệu tham khảo
1.Lo Re V 3rd, and Gluckman SJ. Eosinophilic meningitis. Am J Med. 2003 ;114:217-223.
2.Pien FD, and Pien BC. Angiostrongylus cantonensis eosinophilic meningitis: Int J Infectious diseases 1999; 3: 161-163.
3.Koo J, Pien F, and Kliks MM. Angiostrongylus eosinophilic meningitis: Rev Infect Dis. 1988;10:
4.1155-1162.
5.Bronstein JA, Thevenot J, and Tourneux M. Eosinophilic meningitis in Tahiti: clinical study of 54 patients. N Z Med J. 1978; 88: 491-493.
6.Sato Y, and Otsuru M. Studies on Eosinophlic meningitis and meningoencephalitis caused by
7.Angiostrongylus cantonensis in Japan. Southeast Asian J Trop Med Public Health. 1983; 14: 515-524.
8.Matschke HJ, Flentje B, Lippmann P, Hackebeil C, and Abel W. Acute meningitis with cerebrospinal fluid eosinophilia: neurocysticercosis. Psychiatr Neurol Med Psychol (Leipz). 1989;41: 545-549.
9.Ragland AS, Arsura E, Ismail Y, and Johnson R. Eosinophilic pleocytosis in coccidioidal meningitis: frequency and significance. Am J Med. 1993 ;95:254- 257.
10.Punyagupta S, Juttijudata P, and Bunnag T. Eosinophilic meningitis in Thailand. Clinical studies of 484 typical cases probably caused by Angiostrongylus cantonensis. Am J Trop Med Hyg. 1975; 24: 921-31.
11.Huang CK, Yen MY, and Yen CM. Eosinophlic meningitis: report of 17 cases. Am J Med. 2001; 111: 109-14.
12.Slom TJ, Cortese MM, Gerber SI, Jones RC, and Holtz TH et al. An outbreak of eosinophilic meningitis caused by Angiostrongylus cantonensis in travelers returning from the Caribbean. N Engl J Med. 2002;346:668-75.
13.Tsai HC, Liu YC, Kunin CM, Lai PH, and Lee SS et al. Eosinophilic meningitis: correlation
14.between brain MRI scans and clinical findings: American JournalTrop Med Hyg. 2003; 68: 281-5.
15.Brandt L, Mitelman R, Beckman G, Laurell H, and Nordenson I. Different composition of eosinophilic bone marrow pool in reactive eosinophilia and eosinophilic leukemia: Acta Med Scand. 1977; 201: 177-80.
16.Strayer DR, and Bender RA. Eosinophilic meningitis complicating Hodgkin's disease. A report of a case and review of the literature. Cancer. 1977; 40: 406-9.
17.Weingarten JS, O'Sheal SF, and Margolis WS. Eosinophlic meningitis and the hypereosinophilic syndrome. Case report and review of the literature. Am J Med. 1985; 78: 674-6.
18.Quinn JP, Weinstein RA, and Caplan LR. Eosinophilic meningitis and ibuprofen therapy. Neurology. 1984; 34: 108-9.
19.Behrendt H, de Korte D, van Gennip AH, and van Leeuwen EF. Eosinophilic meningitis proceeding meningeal relapse in a child with acute lymphoblastic leukemia: abnormal nucleotide content of eosinophils. Pediatr Hematol oncol. 1987;4:261-7.
20.Punyagupta S, Bunnag T, and Juttijudata P. Eosinophilic meningitis in Thailand. Clinical and epidemiological characteristics of 162 patients with myeloencephalitis probably caused by Gnathostoma spinigerum. J Neurol Sci. 1990;96:241-56.
21.Hwang KP, Chen ER. Larvicidal effect of albendazole against Angiostrongylus cantonensis in mice. Am J Trop Med Hyg. 1988; 39:191-5.
22.Du WY, Liao JW, Fan CK, Su KE. Combined treatment with interleukin-12 and mebendazole lessens the severity of experimental eosinophilic meningitis caused by Angiostrongylus cantonensis in ICR mice. Infect Immun. 2003;71:3947-53.
23.Slom T, and Johnson S. Eosinophilic meningitis. Curr Infect Dis Rep. 2003;5:322-328.
24.Reid IR, and Wallis WE. The chronic and severe forms of Eosinophilic meningitis. Aust N Z J Med. 1984;14:163-5.