Giới thiệu
Viêm đường tiêu hóa tăng bạch cầu ái toan là một tình trạng hiếm gặp và dị thường, đặc trưng bởi sự thâm nhiễm bạch cầu ái toan từng mảng (patchy) hoặc lan toả khắp mô đường tiêu hóa, bệnh lần đầu tiên được mô tả bởi tác giả Kaijser vào năm 1937. Mỗi ca bệnh là một điểm riêng với các tổn thuowng đặc thù, tùy thuộc vào vị trí cũng như độ nông sâu, lan tỏa diện rộng của ruột và có diễn tiến tái phát mạn tính (chronic relapsing course). Thể bệnh có thể phân loại thành thể niêm mạc (mucosal), thể ở cơ (muscular) và thể thanh mạc (serosal types) dựa vào độ sâu của thương tổn. Các báo cáo đều có đủ và tổn thương đến hầu hết các cơ quan tiêu hóa từ thực quản đến đại tràng, trong đó dạ dày là cơ quan bị ảnh hưởng nhiều nhất, tiếp đến là ruột non rồi đại tràng.
Viêm dạ dày ruột tăng bạch cầu ái toan (tiếng Anh dùng từ Eosinophilic gastroenteritis_EG) là một dạng bệnh nằm trong nhóm bệnh lý sau: viêm thực quản tăng bạch cầu eosin (eosinophilic esophagitis), viêm dạ dày, viêm ruột, viêm đại tràng tăng bạch cầu ái toan (eosinophil gastritis, enteritis, and colitis), và chính các thành viên trọng “họ bệnh” được gọi chung là các rối loạndạ dày ruột có tăng eosin (eosinophilic gastrointestinal disorders_EGIDs). Mặc dù hiếm gặp, nhưng viêm dạ dày ruột tăng eosin cần phải nhận định ra do các nhà lâm sàng càng sớm càng tốt bởi lẽ bệnh biểu hiện với các dấu chứng, triệu chứng và hội chứng “na ná” với một số bệnh lý tiêu hóa khác, đặc biệt là loét tiêu hóa song điều trị bài bản vẫn không khỏi bệnh. Vả lại bệnh viêm dạ dày ruột tăng bạch cầu ái toan có thể điều trị được, đôi lúc biểu hiện giả trang giống như hội chứng ruột kích thích (masquerade as the irritable bowel syndrome). Việc chẩn đoán bệnh EG được xác định thông qua sinh thiết hoặc lấy dịch báng có tăng eosin trong sự vắng mặt của các tác nhân gây bệnh khác, kể cả ký sinh trùng đường ruột. Viêm thực quản tăng eosin (EE_Eosinophilic esophagitis) cũng nên chẩn đoán phân biệt và thảo luận. Điểm cần lưu ý nữa là bệnh thường biểu hiện trên một hoặc nhiều thành viên trong một gia đình của bệnh nhân.
ĐẶC ĐIỂM CỦA VIÊM THỰC QUẢN TĂNG EOSIN
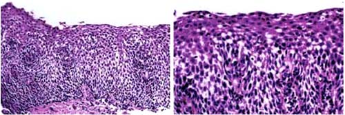
Thế nào là bệnh viêm thực quả tăng eosin (EE_Eosinophilic Esophagitis)? EE là một tình trạng viêm trong đó thành của thực quản bị thâm nhiễm một lượng lớn bạch cầu eosin, được công nhận đầu tiên vào năm 1978. Thực quản là một ống cơ (muscular tube) để giúp cơ thể đẩy và nuốt thức ăn từ miệng vào trong dạ dày. Viêm thực quản có một số nguyên nhân: nguyên nhân hay gặp nhất là trào ngược acide (acide reflux) dẫn đến cảm giác nóng tại vùng họng, mặc dù trào ngược acide có thể gây ra loét trên lớp trong của thực quản. Các nguyên nhân khác hiếm gặp hơn là do virus (herpes simplex), nấm (candida), thuốc (tetracycline), chạy tia xạ (điều trị ung thư phổi). Các thầy thuốc tin rằng viêm thực quản tăng eosin là một loại viêm thực quản gây ra do dị ứng giống hen phế quản, hoặc sốt, viêm mũi dị ứng và viêm da cơ địa (atopic dermatitis) thậm chí một số dị nguyên khác. Dấu chứng xác nhận của viêm thực quản tăng eosin là sự có mặt một lượng lớn bạch cầu eosin trong mô bên dưới lớp niêm mạc của thực quản. EE tác động trên cả người lớn và trẻ em. Lý do như thế nào vẫn chưa thấu đáo, đàn ông thường mắc bệnh nhiều hơn nữ giới và bệnh cũng thường gặp gặp trên các cậu con trai. Một trong những biến chứng khó chịu và nghiêm trọng nhất của EE chính là vấn đề khó nuốt và thông tin tiếp theo đề cập đến vấn đề này.
Eosinophils là một trong những thành phần của bạch cầu được sản sinh từ tủy xương và là một trong những tế bào có vai trò thúc đẩy tiến trình viêm, đặc biệt các phản ứng viêm dị ứng. Do vậy, một số lượng lớn eosin có thể tích tụ trong các mô như là thực quản, dạ dày, ruột non và đôi khi trong máu khi những cá nhân đó phơi nhiễm với yếu tố dị nguyên. Các dị nguyên mà gây nên viêm thực quản EE này vẫn chưa biết rõ, chỉ biết các dị nguyên ấy đi vào do việc hít hoặc nuốt vào.
Ngoài ra, EE là một tình trạng biểu hiện sự sưng phồng của thực quản, triệu chứng biểu hiện có thể từ nhẹ đến nặng như cảm giác nóng ở sau xương ức, khó nuốt, sự niêm chặt thức ăn vào trong thực quản, buồn nôn, nôn mửa, sụt cân. Triệu chứng xuất hiện dường như khác biệt liên quan đến tuổi mắc bệnh, với trẻ em thì triệu chứng sụt cân nhiều hơn, nếu trẻ lớn hơn và người trưởng thành thì dấu chứng niêm chặt thức ăn và khó nuốt đặc trưng hơn. Dường như chưa có một nguyên nhân chính xác nào cho rằng gây ra bệnh viêm thực quản tăng bạch cầu eosin, mặc dù bệnh lý này có liên quan đến nhiều bệnh dị ứng, đặc biệt hen phế quản. Người mắc bệnh EE thường có tiền sử cá nhân hay gia đình bị dị ứng như sốt, dị ứng thức ăn, hen. Gần đây, có nhiều nghiên cứu chỉ ra có mối liên quan giữa dị ứng thức ăn với EE.
Phải chăng dị ứng là yếu tố khởi sự viêm thực quản tăng eosin?
Nhiều nghiên cứu khác nhau cho thấy các bệnh nhân bị EE thì có test dị ứng với các thực phẩm khác nhau dương tính và nếu như tránh các thức ăn này sẽ giúp giải quyết triệu chứng của EE. Các thức ăn đã được báo cáo có liên quan đến EE bao gồm sữa, trứng, đậu, con trai, sò, vẹm, cua tôm, đậu hà lan, thịt bò, thịt gà, cá, lúa mạch đen, bắp, cà chua, khoai tây, đậu nành, yến mạch, lúa mì. Trong số này, thực phẩm đáng chú ý gây EE nhất là sữa, trứng, lúa mì, thịt bò. Dị nguyên trong môi trường như phấn hoa, chó, mèo, bụi nhà, mạt, lông, ,,,cũng có thể liên quan đến bệnh lý EE.
Trong tình huống này, bạch cầu ái toan làm đầy trong thực quản. Eosin là những tế bào bạch cầu thường cư ngụ trong máu với số lượng nhỏ và đóng vai trò quan trọng trong hệ miễn dịch của người. số lượng bạch cầu ái toan có thể tăng trong một số bệnh dị ứng như dị ứng thời tiết hoặc hen phế quản. Bản thân bạch cầu eosin này không tìm thấy trên những thực quản của người bình thường. Eosin có thể tích tụ với số lượng lớn trọng thực quản khi có phản ứng dị ứng xảy ra với thực phẩm hoặc dị nguyên, trào ngược acide, bụi từ không khí. Khi điều này xảy ra, chúng có thể “đốt” hoặc làm tổn thương mô học của thực quản, tương tự một phản ứng dị ứng.
Làm thế nào chẩn đoán bệnh viêm thực quản tăng bạch cấu ái toan?
Chẩn đoán bệnh lý EE nhìn chung là phải dựa trên kết quả sinh thiết thực quản, có sự thâm nhiễm bạch cầu ái toan trong mô thực quản. Sinh thiết thông qua quá trình nội soi tiêu hóa (đưa một camera nhỏ vào trong thực quản rồi cần bấm sinh thiết điểm nào), thường được thực hiện bởi các nhà tiêu hóa. Có nhiều bệnh khác cũng gây ra tăng eosin trong mô thực quản, bao gồm bệnh lý trào ngược dạ dày thực quản (GERD_gastroesopheal reflux disease), nhiễm ký sinh trùng, nhiễm nấm, viêm ruột, ung thư, nhiều đợt nôn tái đi tái lại và một số bệnh khác. Các bệnh lý như thế cần phải loại trừ trước khi nghĩ đến và chẩn đoán EE.
Việc đánh giá EE bắt đầu với các khám và xét nghiệm do thầy thuốc chuyên khoa tiến hành, kết hợp với tiền sử gia đình và cá nhân bệnh nhân. Triệu chứng hay gặp nhất là khó nuốt với các thức ăn đặc, có cảm giác dính thức ăn đặc trong thực quản trong một vài phút. Trẻ em có các triệu chứng khác như cảm giác nóng sau xương ức, đau ngực, nôn mửa, tiêu chảy. Khoảng ½ bệnh nhân có dị ứng theo mùa hoặc bệnh hen đi kèm. Một vài test chẩn đoán sẵn có để kiểm tra thực quản và xét nghiệm eosin. Khi có sự thâm nhiễm và lắng đọng bạch cầu eosin được xem là một chỉ điểm của EE.
Một khi EE được chẩn đoán, một nhà dị ứng học sẽ thực hiện một loạt test dị ứng điển hình, gồm có dị ứng thực phẩm, dị nguyên từ môi trường như danh mục liệt kê ở trên. Theo các thầy thuốc và các nhà nghiên cứu ở bệnh viện Mayo-nơi đây là một trong những bệnh viện đầu tiên của Mỹ nhận ra bệnh lý viêm thực quản có tăng bạch cầu eosin. Tiếp đó, các chuyên gia nhân rộng và chia sẻ kinh nghiệm với các đồng nghiệp về tình trạng bệnh này và một số bệnh lý khác trên thực quản. Một nhóm chuyên gia điều trị chuyên biệt cho bệnh lý này bao gồm nhà tiêu hóa, miễn dịch và chuyên khoa dị ứng. Bệnh viện Mayo cũng đã điều trị trên 100 bệnh nhân mới mỗi năm và họ đã xứng đã được mệnh danh là những nhà nghiên cứu đầu tiên trên thế giới trong lĩnh vực bệnh lý này.
Một vài trường hợp có tình trạng viêm thực quản tăng bạch cầu eosin
Bệnh giun đầu gai-một bệnh đang nổi có liên quan đến loài Gnathostoma spinigerum liên đới đến viêm nhiễm vùng thực quản. Dưới đây là một số trường hợp bệnh nhân bị giun đầu gai được chẩn đoán tại Bệnh viện nhiệt đới sau khi hồi cứu các triệu chứng lâm sàng và xác định bằng chẩn đoán huyết thanh học dữ liệu lâm sàng và cận lâm sàng được mô tả:
Kết quả huyết thanh chẩn đoán Gnathostoma dương tính được xác định khi có sự hiện diện immunoblot của vạch dương tính 24-kDa đặc hiệu để chẩn đoán nhiễm Gnathostoma. Tất cả thử nghiệm huyết thanh đối với bệnh Gnathostoma spp. được thực hiện tại khoa giun sán của đại học Mahidol, Bangkok, Thái Lan. Đối với các bệnh nhân có nguy cơ nhiễm giun chỉ Loa loa (vì tiền sử có đi du lịch trước đó đến các vùng Trung và Tây Phi-nơi có bệnh giun chỉ này lưu hành), xét nghiệm lấy máu ban ngày (mẫu máu được lấy từ 12:00–2:00 p.m) được tiến hành để kiểm tra ấu trùng giun chỉ và thử nghiệm ELISA cho giun trưởng thành để loại trừ chẩn đoán (dấu hiệu sưng phồng Calabar, chỉ ra nhiễm giun chỉ Loa loa có thể na ná giống bệnh giun đầu gai).
Trong suốt thời gian nghiên cứu 12 tháng, xác định có 16 bệnh nhân có triệu chứng lâm sàng cùng tồn tại trên bệnh nhân nhiễm Gnathostoma, các nguy cơ về dịch tễ học hợp lý và huyết thành chẩn đoán dương tính. 9/18 bệnh nhân được nghĩ đến bệnh này do các bác sĩ đa khoa và 4/18 bệnh nhân được phát hiện đó đây ở các bác sĩ của London. Thời gian trung bình từ khi bắt đầu có triệu chứng đến lúc được chẩn đoán là 12 tháng (từ 3 tuần-5 năm). Tiền sử ăn uống được ghi nhận ở 3 bệnh nhân có ăn rau cải xoong và cá sống (bệnh nhân 1); cá, gà và cừu ở Bangladesh (bệnh nhân 3); ăn cá và một số loài nhuyễn thể mua từ các sạp hàng ở chợ tại Đông Nam Á (bệnh nhân 13). Tăng bạch cầu ái toan được lưu ý trong số 7 bệnh nhân và đặc biệt giảm dần sau điều trị. Tốc độ lắng máu trung bình là 10 (từ 1–62). Các quốc gia đến du lịch, thăm quan của 16 bệnh nhân là Ấn Độ ( n = 4), Bangladesh (n = 3), Trung Quốc (n = 2) và Thái Lan (n = 2), Việt Nam (n = 2). Điều trị liệu trình chuẩn trong suốt quá trình nghiên cứu là albendazole (400 mg, 2 lần mỗi ngày, tương đương 800mg, trong 21 ngày). 3/18 bệnh nhân cần điều trị thêm đợt thứ 2 do tái phát triệu chứng và phác đồ chưa giải quyết hoàn toàn được triệu chứng tăng bạch cầu eosin. Tiền sử và bệnh sử những ca bệnh: Bệnh sử và tiền sử được báo cáo chi tiết trong bảng dưới đây, tất cả bệnh nhân đều có huyết thanh chẩn đoán dương tính với Gnathostoma và đáp ứng tốt với liệu pháp điều trị bằng albendazole với nhiều biệt dược khác nhau (Zentel, Vidoca, Alzental).
Trường hợp thứ nhất
Một phụ nữ 26 tuổi, người châu Á, định cư ở Hồng Kông được đưa đến bệnh viện do chuyển viện từ thầy thuốc đa khoa; bệnh nhân có triệu chứng ngứa và nổi cục từng đợt trên các chi thân mình. Chín tháng trước đó, các cục sẩn xuất hiện đầu tiên trên tay phải, rồi từ đó xuất hiện nhiều sẩn cục trên tay trái và chân trái, mỗi đợt như vậy, kéo dài vài ngày và tự khỏi một cách tự phát không để lại di chứng gì. Chín năm trước đó, cô ta có nổi lên một cục gần phía gối trái, theo dõi tiếp 4 ngày sau lại xuất hiện một cục tương tự bên đùi phải; cả hai cục này tự mất đi không cần điều trị. Tất cả các cục nằm dưới da và có đường kính chừng 3–6cm. Xét nghiệm yếu tố thấp (RF_rheumatoid factor) dương tính và kháng thể kháng nhân (ANA_anti-nuclear antibody) dương tính với hiệu giá kháng thể >1/12.800, đáng chú ý là trong chế độ ăn của cô ta thường có cá sống.
Trường hợp thứ hai
Một phụ nữ 37 tuổi từ Bangladesh cho biết có tiền tử trong 3 năm qua xuất hiện dấu sưng phồng từng đợt ở cánh tay (P) đến phần giữa của cơ nhị đầu, kèm theo có ngứa, đau cơ và đau khớp. Triệu chứng khởi đầu xảy ra khi cô ta đi thăm quan Bangladesh, ăn thịt cừu, cá và gà. Đếm bạch cầu ái toan là4.37 x 109/L và bệnh nhân được chuyển từ khoa khớp đến khoa nhiệt đới. Sau 21 ngày điều trị Albendazole, bạch cầu eosin giảm xuống còn 1.12 x 109/L; triệu chứng tái phát vài tháng sau đó, sau khi điều trị liệu trình thứ 2 bằng Albendazole (400mg hai lần mỗi ngày x 21 ngày), triệu chứng bệnh được giải quyết và eosin trở về trị số bình thường (0.25 x 109/L).
Trường hợp thứ ba
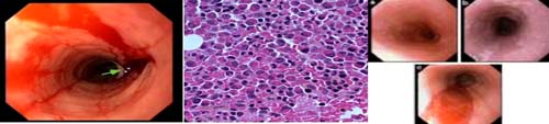
Một phụ nữ 49 tuổi người Cáp-ca với bệnh sử đau bụng và có triệu chứng trào ngược dạ dày thực quản 12 tháng nay. Bệnh nhân đã đi du lịch nhiều nơi ở Đông Nam Á với thời gian dài 18 tháng trước khi nhập viện nhưng không ăn các loài nhuyễn thể hoặc những món thịt chưa chế biến kỹ. Sinh thiết dạ dày thông qua nội soi đường tiêu hóa trên cho kết quả viêm dạ dày tăng bạch cầu eosin, lượng bạch cầu ái toan là 0.95 x 109/L, xét nghiệm huyết thanh học với Gnathostoma dương tính. Triệu chứng bệnh thuyên giảm dần và khỏi hẳn sau khi điều trị phác đồ Albendazole.
Trường hợp thứ tư
Một phụ nữ 30 tuổi có triệu chứng đau bên đùi trái trong khi cô ta tham gia vào một cuộc chay đua Eco-Challenge 2000 ở Borneo, xuất hiện một nốt, cục kích thước 4 x 3cm ở vùng đùi trái đã góp phần làm đau xé cơ của bệnh nhân; cục này tồn tại 12 tháng và sau đó cô ta phải nhập viện bệnh viện nhiệt đới London. Chụp cộng hưởng từ ở đùi cho thấy một tổn thương phân thùy bên trong bó cơ lớn, xung quanh có phù. Kết quả chẩn đoán huyết thanh học với Gnathostoma dương tính. Điều trị liệu trình 21 ngày bằng Albendazole cho thấy có giảm dần kích thước tổn thương nhưng không hết hẳn hoàn toàn.
Trường hợp thứ 5
Một phụ nữ 42 tuổi, sống tại thành phố Quy Nhơn, cán bộ viên chức nhà nước, nhập viện do tự đến, khi vào viện khám bệnh nhân có triệu chứng ngứa, dị ứng và nổi cục nhiều nơi, nhiều nhất là vùng đùi, cằng chân, cẳng tay và cánh tay, trên ngực, bụng, lưng. Khoảng 3-4 tháng trước khi nhập viện, bệnh nhân xuất hiện 2 nốt sẩn, cục tại cánh tay (vùng gần khuỷu), sau đó biến mất không cần điều trị gì, tiếp đó 2 tháng sau kể từ khi biến mất cục sẩn, bệnh nhân lại thấy xuất hiện nhiều sẩn cục trên cả 2 tay, hai đùi và cuối cùng có vài nốt khoeo chân, vài chỗ tự khỏi, vài chỗ tồn tại đến khi vào viện, không để lại di chứng mà không cần can thiệp y tế gì cả. Đường kính các nốt sẩn hay sẩn cục chừng 2x3cm, hoặc 4-5 cm. Sinh thiết các nốt sẩn cho thấy thâm nhiễm nhiều bạch cầu eosin, tiết dịch trong, hồng nhạt, các cục sẩn nằm bên dưới da, có thể bóp lấy và kéo lên trên được, không đau. Được chẩn đoán và điều trị nhiều nơi với các bệnh lý khác nhau như viêm đa khớp dạng thấp mạn tính, viêm nút động mạch, bệnh lý tự miễn, …không thuyên giảm. Xét nghiệm công thức máu cho thấy tăng bạch cầu chung và tỷ lệ eosin tăng cao, ELISA với Gnathostoma spinigerum dương tính với hiệu giá kháng thể 1/12.800 hoặc OD (+) 3.66. Thói quen ăn uống của cô ta là ăn sống các loại cá, tôm với mù tạt + xì dầu.
Trường hợp thứ 6
Nam giới 45 tuổi (chồng của bệnh nhân ca bệnh thứ 5), sống và làm việc tại Quy Nhơn, Phú Yên, Gia Lai và Vũng Tàu, thường tiếp khách tại các nhà hàng có đồ hải sản với món ăn khoái khẩu là lẩu tái thịt, cá hoặc thập cẩm, đôi khi ăn sống các lát cá mỏng, vắt chanh, mù tạt, xì dầu. hút thuốc lá 1gói/ ngày, loại có đầu lọc. Trước khi nhập viện, bệnh nhân thường có cảm giác mỏi cơ cánh tay và cẳng tay, thi thoảng xuất hiện nốt tròn kích thước 2-4 cm tại vùng khuỷu và cơ sấp vuông bên (T) và (P) kèm theo có nổi mẩn ngứa, đau mỏi cơ, đau khớp gối và cổ tay, không sốt, không đỏ. Đi khám tổng quát và xét nghiệm tổng quát hướng đến bệnh lý ký sinh trùng và cho làm các xét nghiệm ELISA về Fasciola, E.histolytica, Strongyloides stercoralis, Toxocara canis, Gnathostoma spinigerum, Trichinella spiralis, kết quả dương tính với Gnathostoma spinigerum với hiệu giá kháng thể 1/6400 và OD là 2.14, công thức máu toàn phần có bạch cầu ái toan 56%, bênh nhân được chuyển vào Viện Sốt rét KST-CT Quy Nhơn điều trị bằng phác đồ Albendazole với liều 800mg / ngày chia lần, trong 21 ngày, chia làm 3 đợt, mỗi đợt 7 ngày. Sau khi điều trị bênh nhân giảm các thông số cận lâm sàng và lâm sàng dần biến mất sau đó 4 tháng.
Thái độ xử trí trường hợp viêm thực quản tăng bạch cầu ái toan ?
Một thử nghiệm nhằm tránh các thức ăn được xem là dị nguyên mà người bệnh nhân có test dị ứng dương tính, tiếp đó tiến hành cho một liệu trình điều trị EE. Tuy nhiên, nếu một người có nhiều test với nhiều chất dị ứng dương tính, thì quan trọng nhất là phải thay đổi chế độ ăn.
Corticosteroids thường xuyên dùng để điều trị EE khi khó tránh các dị nguyên đã làm giảm triệu chứng đôi khi. Steroids có thể sử dụng là dạng viên như prednisone, dạng thoa ngoài hoặc dạng hít (Flovent) cho hen phế quản. Kết quả này cho biết thuốc sẽ đi vào thực quản và giúp cải thiện triệu chứng của GERD cũng như EE. Để có thêm thông tin về các thức ăn có khả năng gây ra triệu chứng viêm ruột như thế, chúng ta có thể tham khảo trang web có đề cập hội chứng viêm ruột do thực phẩm protein (Food Protein-Induced Enterocolitis Syndrome).
Nói tóm lại, viêm thực quản tăng eosin có thể liên quan với dị ứng thức ăn và thường điều trị thành công bằng cách thay đổi chế độ ăn. Thuốc steroid cũng giúp cho nhiều bệnh nhân cải thiện triệu chứng, đặc biệt người lớn.
ĐẶC ĐIỂM CỦA VIÊM DẠ DÀY RUỘT TĂNG EOSIN
Đặc điểm lâm sàng của EG có liên đới đến nhiều lớp và thường lan rộng đường tiêu hóa kèm theo sự thâm nhiễm bạch cầu eosin: lớp niêm mạc, lớp cơ và / hoặc lớp thanh mạc (subserosa). Tỷ lệ của mỗi subtype không được biết rõ bởi vì rất nhiều báo cáo với sai số rất lớn. Một loạt các báo cáo liên quan đến ngoại khoa, phẩu thuật cho thấy bệnh biểu hiện xu hướng lên lớp cơ là chủ yếu, có sự tắc nghẽn,trong khi đó các nhà nội khoa báo cáo một loạt bệnh nhân mắc bệnh này liên quan đến lớp niêm mạc. Bệnh có thể ảnh hưởng lên bệnh nhân ở bất kỳ lứa tuổi nào nhưng điển hình nam giới mắc bệnh nhiều hơn nữ giới.
Bệnh lý liên quan đến lớp niêm mạc: sự thâm nhiễm bạch cầu eosin trên lớp niêm mạc gây ra các triệu chứng không đặc hiệu và điều này còn lệ thuộc vào cơ quan nào liên quan. Toàn bộ đường ống tiêu hóa, từ thực quản đến đại tràng , bao gồm cả đường mật cũng bị ảnh hưởng. Những nghiên cứu trước đây cho rằng EG gây bệnh có một sự thiên vị cho các phần xa của hang vị (distal antrum) và đoạn ruột non ở gần đó (proximal small bowel) có thể bị ảnh hưởng một sai số nhỏ vì đã so sánh với kết quả sinh thiết tại các vùng này.
Trong một nghiên cứu hồi cứu trên 40 bệnh nhân gồm các triệu chứng bệnh thường gặp nhất là đau bụng, buồn nôn, nôn mửa, tiêu chảy, nên từ đó các thầy thuốc cho hướng chẩn đoán là hội chứng ruột kích thích chứ không hề nghĩ đến bệnh lý EG. Chỉ có 1/3 số bệnh nhân sụt cân từ 2.4kg trở lên, bệnh lan tỏa có thể dẫn đến kém hấp thu.
Xét nghiệm cận lâm sàng
Nhiều xét nghiệm có thể cho kết quả bình thường ở trên các bệnh nhân bị EG thể niêm mạc:
- Đếm bạch cầu eosin ngoại vi thường tăng cao, dao động từ 5-35% kèm theo chỉ số bạch cầu ái toan trung bình tuyệt đối chứng 2.000 tế bào/uL, nhưng thường trong khoảng 20% ở các bệnh nhân. Chỉ số bạch cầu ái toan tuyệt đối cao hơn số % bạch cầu ái toan là một chỉ số tốt nhất để đánh giá tăng bạch cầu ái toan;
- Những bệnh nhân có tình trạng kém hấp thu có thể kết quả xét nghiệm điển hình cho tình trạng rối loạn này: Thử nghiệm D-xylose bất thường, tăng bài tiết chất mỡ trong phân, thời gian prothrombin kéo dài và giảm nồng độ sắt trong huyết thanh;
- Hạ albumin máu và thiếu máu có thể do bệnh lý kém hấp thu và mất protein theo đường ruột, giảm hấp thu chất sắt và chảy máu ẩn trong đường ruột (occult gastrointestinal bleeding);
- Tốc độ máu lắng thường trong giới hạn bình thường, nhưng có thể tăng trong số ¼ số bệnh nhân;
- Nồng độ IgE huyết thanh có thể tăng, đặc biệt ở trẻ em và có thể ngoại lệ lên đến 50% với những đối tượng có tiền sử bất dung nạp hoặc dị ứng với một vài thức ăn.
Thái độ xử trí trường hợp viêm dạ dày ruột tăng bạch cầu ái toan
Tương tự như điều trị viêm thực quản tăng bạch cầu ái toan: trước hết, chúng ta nên đánh giá một loạt dị nguyên nghi ngờ là tác nhân gây ra bệnh như thức ăn dị nguyên từ môi trường, không khí, nếu dương tính chúng ta có thể chế độ kiêng hoặc tránh các chất đó và tiếp đó tiến hành cho một liệu trình điều trị bài bản; Corticosteroids và các loại steroides khác tuy có giúp cải thiện hoặc giảm triệu chứng của bệnh song cũng nên cân nhắc trước khi dùng chúng, cần tham khảo thêm danh mục đề cập hội chứng viêm ruột do thực phẩm protein (Food Protein-Induced Enterocolitis Syndrome).
Nhìn chung, viêm tiêu hóa tăng bạch cầu ái toan nói chung và viêm dạ dày ruột tăng eosin nói riêng thường cải thiện sau khi điều trị bằng thay đổi chế độ ăn và điều trị tác nhân gây bệnh nếu có (điều trị giun đầu gai chẳng hạn).
Tài liệu tham khảo
1. Norvell JM, Venarske D, Hummell DS. Eosinophilic Esophagitis: An Allergist’s Approach. Ann Allergy Asthma Immunol. 2007; 98:207-215.
2. Rothenberg ME. Eosinophilic Gastointestinal Disorders. J Allergy Clin Immunol. 2004; 113:11-28.