Hiện nay, trong cơ cấu bệnh tật ở cộng đồng cho thấy một số bệnh do ký sinh trùng và vi nấm đang có xu hướng nổi trội và xuất hiện ngày càng nhiều, đặc biệt tại các vùng dịch tễ vốn lâu nay được thông báo nay lại xuất hiện thêm trên các vùng khác-mô hình dịch tễ học đã thay đổi, đặc biệt gần đây các nhà khoa học, chuyên gia về ký sinh trùng từng ngày lại phát hiện thêm một số điểm xuất hiện ký sinh trùng và họ đã xem đó như “bệnh của quá khứ nhưng rất thời sự”, “bệnh của động vật nay lại ở trên người”, “tác nhân gây bệnh đã biến thể và có thể truyền từ người sang người” hoặc “không chỉ xem đó là một bệnh nhiễm tình cờ mà là bệnh ký sinh trùng nghiêm trọng ở người”,...Một trong số đó thuộc nhóm bệnh sán lá gan lớn, sán lá gan nhỏ, sán dây bò, sán dây lợn, giun đầu gai, giun đũa chó, giun lươn, giun mạch, giun xoắn, sán lá phổi...
Cộng đồng có thể mắc hoặc nhiễm ký sinh trùng rồi gây bệnh lý thật sự hoặc chỉ là “dương tính giả/ thật trên xét nghiệm” khiến người bệnh lẫn thầy thuốc đều “bất ngờ” rồi đưa ra quyết định điều trị không cần thiết (?) Thực tế lâm sàng, con số nhiễm rồi gây thành bệnh thật sự là rất thấp, thậm chí thấp hơn đến 12 lần so với tỷ lệ dương tính trên xét nghiệm huyết thanh miễn dịch (đặc biệt ELISA). Một trong những ví dụ điển hình là tỷ lệ nhiễm giun đũa chó (Toxocara canis) qua xét nghiệm hàng loạt có thể dương tính lên đến 41-52%, thậm chí có thời điểm lên trên 60%....Thế nhưng thực tế các đối tượng dương tính như thế hoàn toàn không có một triệu chứng lâm sàng nào, hoặc nếu có chỉ chiếm 5-7% trên tổng số dương tính huyết thanh; bệnh giun lươn và một số loài giun tròn khác cũng không nằm ngoài tình trạng trên song tỷ lệ dương tính trên huyết thanh ít hơn so với giun đũa chó. Lý do tại sao thì việc lý giải còn tùy thuộc vào nhiều yếu tố, điều quan trọng là khi nào đưa ra quyết định chẩn đoán và điều trị trước một ca bệnh.
Để tiến đến một quy trình chẩn đoán và điều trị hoàn hảo như thế, hẳn việc kết hợp các dấu chứng trên lâm sàng và kết quả thông số cận lâm sàng song song là hợp lý nhất. Về khía cạnh bệnh do ký sinh trùng thường kết hợp triệu chứng lâm sàng với thông số bạch cầu eosin, huyết thanh chẩn đoán (thường làm ELISA hoặc Western blot), nồng độ IgE, ...nhưng trong một số ca đặc biệt hoặc đã điều trị (thuốc không đặc hiệu trước đó) khiến cho kết quả xét nghiệm có thể thay đổi, một trong những thông số thường thay đổi nhất là bạch cầu eosin.
Nhằm tìm hiểu thông số eosin có giá trị như thế nào trong phát hiện, chẩn đoán và theo dõi điều trị bệnh ký sinh trùng, chung tôi xin đề cập một số khía cạnh liên quan dưới đây:
Nhận định và phiên giải kết quả của công thức máu có trị số bạch cầu eosin
Thông thường người ta có thể xác định và đếm số lượng và tính tỷ lệ bạch cầu eosin dựa trên công thức máu toàn phần (hoặc theo phương pháp thủ công, hoặc theo chỉ số kết quả tự động ở các máu huyết học tự động); điều cần lưu ý là một số máy huyết học tự động hiện nay mặc dù có đủ các thông số cơ bản nhưng không nêu rõ chỉ số bạch cầu ái toan (eosinophile) mà chỉ nằm chung trong thông số Mid., của công thức máu toàn phần (CBC_Complete Blood Count).
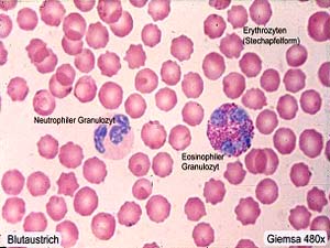
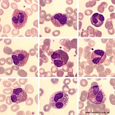
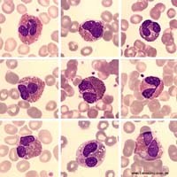
Bạch cầu ái toan là những tế bào bạch cầu, dạng bạch cầu hạt có nhân, thường có hai thùy nối liền với nahu bởi một sợi chromatin nhỏ, thanh mảnh, bào tương không mịn, hơi thô, bao quanh bởi các hạt, đồng nhất về kích thước và nhuộm đồng nhất với thuốc nhuộm eosin.
1.Đặc điểm của bạch cầu eosin
­ !important;Bạch cầu eosin co chức năng là đáp ứng lại với các bệnh lý nhiễm ký sinh trùng và tình trạng dị ứng. Đáp ứng với các dưỡng bào (mast cell) và là yếu tố hóa hướng động bạch cầu ưa base (BCF_Basophil chemotactic factor);
­ !important;Hình thái học trên lam máu nhuộm là hình ảnh bạch cầu bắt thuốc nhuộm eosin sáng.
­ !important;Một số khái niệm liên quan đến tình trạng tăng bạch cầu eosin trong máu:
+Rối loạn bạch cầu (Leukocyte Disorders) [C0023510],
+Quá mẫn (Hypersensitivity) [C0020517],
+Tăng bạch cầu hạt (Granulocytes increased) [C0549534],
+Kết quả kiểm tra huyết học bất thường (Abnormal Hematology Test Result) [C1332130],
+Kết quả xét nghiệm bạch cầu (White blood cell count laboratory result) [C0427512],
+Cét nghiệm huyết học tăng thông số (Raised hematology findings) [C0586730],
+Yếu tố tế bào máu gia tăng bất thường (Abnormally increased cellular element of blood) [C1263974],
+Khái niệm mơ hồ, chưa rõ ràng (Ambiguous concept) [C1274012],
+Các rối loạn đặc trưng bởi tăng bạch cầu eosin trong máu (Disorder characterized by eosinophilia) [C1636667]
2.Giá trị thông số bạch cầu eosine
­ !important;Giới hạn bình thường từ 1- 4%
­ !important;Tăng bạch cầu ái toan có thể do các nguyên nhân sau:
§Do dị ứng
­ !important;Viêm mũi dị ứng
­ !important;Bệnh dị ứng cơ địa
­ !important;Hen phế quản
§Các rối loạn ở các bệnh da
­ !important;Bệnh Pemphigus
­ !important;Dạng nốt như Pemphigus
­ !important;Viêm nút động mạch (Polyarteritis Nodosa)
§Nhiễm trùng các bệnh nhiệt đới, đặc biệt ký sinh trùng
­ !important;Bệnh giun xoắn (Trichinosis)
­ !important;Bệnh do nấm Aspergillus
­ !important;Bệnh Hydatidosis
­ !important;Bệnh giun mạch Angiostrongylus
­ !important;Bệnh do giun đũa A.lumbricoides
­ !important;Bệnh do giun Capillaria spp.
­ !important;Ấu trùng sán lớn (Cysticercosis)
­ !important;Bệnh do sán dải Echinococcus
­ !important;Bệnh sán lá gan lớn (Fascioliasis)
­ !important;Bệnh giun chỉ (Filariasis)
­ !important;Bệnh giun đầu gai (Gnathostomiasis)
­ !important;Bệnh sán lá phổi (Paragonimiasis)
­ !important;Bệnh sán máng (Schistosomiasis)
­ !important;Bệnh giun lươn (Strongyloidiasis)
­ !important;Bệnh giun đũa chó (Toxocara canis)
­ !important;Bệnh giun tócTrichuris trichiura
§Do nhiễm vi khuẩn
­ !important;Sốt hồng ban (Scarlet Fever)
­ !important;Bệnh phong (Leprosy)
§Rối loạn tăng sinh tủy và các bệnh ác tính khác
­ !important;Bệnh tăng bạch cầu tủy bào mạn tính (CML)
­ !important;U lympho Hodgkin
­ !important;U lympho Non-Hodgkin
­ !important;Bệnh đa hồng cầu
­ !important;Bệnh xơ hóa tủy xương (Myelofibrosis)
§Các bệnh lý mạch máu hoặc liên quan đến sợi collagen
­ !important;Viêm khớp dạng thấp (RA_Rheumatoid Arthritis)
­ !important;Viêm quanh động mạch (Periarteritis)
­ !important;Bệnh lupus ban đỏ hệ thống (SLE_Systemic Lupus Erythematosus)
­ !important;Hội chứng đau cơ tăng eosin (EMS_Eosinophilia-Myalgia Syndrome)
§Do thuốc hoặc tia xạ
­ !important;Liệu pháp tia xạ
­ !important;Acetylsalicylic acid (Aspirin)
­ !important;Chlorpropamide
­ !important;Erythromycin
­ !important;Imipramine
­ !important;Methotrexate
­ !important;Nitrofurantoin
­ !important;Procarbazine
­ !important;Sulfonamides
§Nguyên nhân khác
­ !important;Viêm dạ dày ruột tăng bạch cầu ái toan (EG_Eosinophilic Gastroenteritis)
­ !important;Bệnh Sarcoidosis
­ !important;Bệnh Addison
­ !important;Hội chứng Loffler
Một số định nghĩa hoặc khái niệm liên quan đến tăng bạch cầu ái toan
­ !important;Có thể là một sự tăng bất bình thường bạch cầu eosin trong máu, trong mô hoặc một số tạng;
­ !important;Quá trình hình thành bạch cầu eosin bị rối loạn hoặc tích tụ bất thường hoặc thiếu hụt loại bạch cầu nào đó;
­ !important;Một tình trạng mà số lượng bạch cầu eosin tăng trong máu đáng kể. khi loại bạch cầu này tăng thường liên quan đến đáp ứng với phản ứng viêm, dị ứng hoặc nhiễm ký sinh trùng;
Với các nguyên nhân có thể bệnh lý cũng có thể chỉ là cơ địa dị ứng khi tiếp xúc với dị nguyên, hoặc bệnh lý mạn tính hoặc cấp tính, hoặc bệnh lành tính và ác tính,...hoặc tăng bạch cầu ái toan xảy ra trong quá trình điều trị (chẳng hạn ung thư),...đều có thể dẫn đến một kết quả xét nghiemẹ có bạch cầu eosin tăng cao trong máu, trong mô hoặc trong các phủ tạng (phổi hoặc gan). Vấn đề đặt ra cho chúng ta ở đây là phối hợp những tiêu chuẩn lâm sàng và cận lâm sàng khi đối mặt với một bệnh nhân. Tuyệt đối không nên tin tưởng vào duy chỉ xét nghiệm bạch cầu eosin mà đề ra quyết định bệnh. Bởi lẽ chỉ số bạch cầu eosin tăng cao không chỉ do một nguyên nhân mà có thể cùng lúc đa yếu tố và đa bệnh lý tác động (ví dụ, bệnh về da và nhiễm ký sinh trùng hoặc nấm trên bệnh nhân suy giảm miễn dịch). Phân tích hướng đến bệnh theo mô hình đa biến là một trong những kinh nghiệm lâm sàng của các bậc tiền bối đi trước, dẫu có cổ điển song vẫn còn giá trị đến ngày hôm nay.