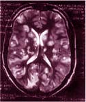
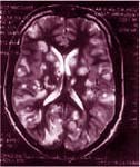
Gia tăng đột biến bệnh nhiễm ký sinh trùng não
Theo bác sĩ Đào Tiến Xuân, chủ nhiệm khoa nội thần kinh của bệnh viện đa khoa tỉnh Kiên Giang cho biết bệnh ký sinh trùng hay ký sinh tại não trong tỉnh đang có dấu hiệu tăng. Đây là một loại bệnh có nguồn gốc lây nhiễm từ vật nuôi qua đường tiêu hóa và cũng rất khó nhận biết kịp thời, nên biện pháp phòng chống tốt nhất vẫn là chú ý tới nguồn gốc thực phẩm và nên ăn chín, uống nước đã đun sôi. Chỉ trong năm 2007, khoa nội thần kinh BVĐK tỉnh Kiên Giang đã tiếp nhận và điều trị 40 bệnh nhân nhiễm ký sinh trùng ở não (26 nam, 14 nữ), độ tuổi từ 16 đến 71, trong đó có 3 trường hợp bỏ điều trị giữa chừng, còn lại 37 bệnh nhân được điều trị triệt để, phổ biến là bị nhiễm giun đũa chó Toxocara canis, kế đến là ấu trùng sán lợn hoặc nhiễm Taenia solium.
Tuy nhiên, đây là loại bệnh mà triệu chứng lâm sàng rất khó nhận biết, phải dùng đến các phương pháp chẩn đoán hình ảnh hiện đại như chụp cắt lớp (CT scanner), chụp cộng hưởng từ (MRI) mới phát hiện được bệnh. Do bệnh thường nhiễm trùng không triệu chứng một thời gian dài, nên đa số bệnh nhân đều nhập viện muộn, bệnh trạng nặng nên điều trị vừa tốn kém mà tỷ lệ khỏi bệnh không cao (khó đạt được 100% mà đôi khi lại để lại di chứng thần kinh). Trong số những bệnh nhân được điều trị, kết quả có 27 người khỏi hoàn toàn, 6 trường hợp khỏi bệnh nhưng để lại di chứng; có 4 trường hợp bệnh rất nặng do ký sinh trùng khu trú tại vùng não quá nhiều, dẫn đến tử vong.
Ốc sên - vị thuốc trong y học
Ốc sên là một loại động vật thân mềm (nhuyễn thể), vỏ to, dày. Đầu có 2 xúc tu (râu), toàn thân liền trong vỏ bao bọc bởi một lớp nhày. Ốc sên ưa thích sống nơi gốc cây ẩm ướt. Bò chậm chạp, kỷ lục nhanh nhất thuộc về một con ốc sên vườn, ở Pháp, trong 2 phút bò được 60cm. Trong môi trường tự nhiên vào mùa khô, chúng có thể ngủ trong nhiều tháng, nhưng chỉ cần một trận mưa rào (thường vào mùa xuân), chúng bừng tỉnh và hoạt động bình thường. Ốc sên cảm nhận bằng mùi, có 2 mắt ở 2 đỉnh râu... Họ ốc sên (Achatinidae) có nhiều loại, phổ biến là ốc sên hoa (Achatinafulica). Loại này, khoảng 2 năm tuổi, trọng lượng trung bình một con có thể đạt từ 50-60g, cá biệt: 140g. Ốc sên lớn nhất là loài Achatine Achatina, có ở châu Phi, con lớn nhất có chiều dài từ râu đến đuôi: 39cm, nặng 900g..
Điểm đặc biệt về sinh sản: thời gian “yêu đương” kéo rất dài (khoảng từ 10-12 giờ). Từ trong vỏ ló mình ra, chúng quấn quýt cặp đôi lấy nhau, rời ra rồi lại xoắn chặt trong cuộc ái ân triền miên, không biết mệt mỏi. Về tính lưỡng tính, mỗi con đều có hai bộ phận sinh dục đực và cái. Khi giao phối cả hai bộ phận đều hoạt động tương thích. Do đó, sau 15 ngày, cả hai đều cùng đẻ, mỗi con từ 120-150 trứng. Trong lĩnh vực thực phẩm thì thịt ốc sên rất giàu đạm 11%, đường 6,2%, canxi 150mg%, phospho 71mg%g, các loại acid amin leucin, alanin, valin, acid glutamic, acid aspartic,....chế biến ốc sên hoa có thể theo quy mô công nghiệp hay phạm vi gia đình. Ngoài ra, từ thịt ốc sên hoa, thủy phân bằng acid chlohydric hoặc xút, thu được một dịch lỏng có mùi vị thơm ngon, dùng làm nước chấm, giàu đạm. Pháp, quốc gia giữ kỷ lục về mức tiêu thụ ốc sên hoa, khoảng 50.000-60.000 tấn một năm, trong đó thường phải nhập từ nước ngoài khoảng 2 vạn tấn. Món ốc sên hoa được ưa chuộng ở Pháp là món ốc sên chiên bơ với tỏi và mùi tây.
Trong y học cổ truyền: bộ phận dùng làm thuốc là thịt và nhớt của ốc sên hoa. Thuốc từ ốc sên có tên là oa ngưu, vị mặn, tính hàn, trơn nhày, có tác dụng: bổ dưỡng, giải độc, tiêu viêm, lợi tiểu, chống co thắt. Trong Nam dược thần hiệu có bài thuốc: giã nát 1-2 con ốc sên hoa, thêm ít nước, phết lên giấy, để chừa một lỗ nhỏ, đắp chữa mụn, lở mọc ở da mặt. Dùng thịt ốc sên hoa (2 con), nướng vàng, thái nhỏ, nấu lấy nước đặc, trộn với măng tre (50g) đã giã nát, ép lấy nước cốt. Uống 1-2 lần/ngày để chữa hen suyễn, thấp khớp. Có thể làm dạng viên ngậm: gồm thịt ốc sên hoa + ô mai, lượng hai thứ bằng nhau, dùng trong cổ họng sưng đau, khó nuốt. Dùng nhớt ốc sên hoa (đó là lớp chất nhày bao bọc toàn thân ốc sên trong vỏ cứng) để chữa vết cắn, do chất nhày này có tính kiềm nên trung hòa chất acid của nọc rết, làm dễ chịu, giảm đau nhức.
Trong y học hiện đại: dùng nọc độc của loại ốc lợi bông (Coues striatus), loại này có nhiều ở quần đảo Polinesie, có chiều dài từ 6-18cm. Nọc này đã được chú ý từ 1803 do tính đa dạng của chúng. Phòng thí nghiệm tổng hợp và nghiên cứu các chất tự nhiên có hoạt tính sinh học (Sesnab) thuộc Trường đại học La Rochelle đã phân tích nọc này, thấy chúng giống với nọc độc của bọ cạp, nhện và rắn. Xác định có 25 conopeptid (phân tử có độc tính), tác động đa dạng lên hệ thần kinh hay cơ bắp. Qua nghiên cứu tác động của nọc này thấy chúng ức chế calci rất hiệu quả, thích hợp với những bệnh phát sinh do quá thừa calci trong hệ thần kinh, cho những người mắc bệnh về cơ hay suy giảm trí nhớ (Alzheimer). Khó khăn hiện nay là khi đưa những conopeptid này vào cơ thể bệnh nhân sẽ dẫn đến hệ thần kinh không tiếp nhận một chút calci nào nữa, hậu quả dẫn đến tử vong. Hiện nay, một số cơ sở nghiên cứu khoa học đang phân đoạn 5 conopeptid của ốc và sau đó xác định những bộ phận thụ cảm sinh lý có thể tiếp nhận những độc tố này, hy vọng từ đó có thể chế được các loại thuốc có hiệu quả.
- Từ loại ốc sên biển (Conus textile), nhà thần kinh học George Milijianich (Mỹ) đã chế ra một loại thuốc giảm đau có tên là zinocotiden, được giới thiệu là công hiệu hơn morphin hàng chục lần;
- Nghiên cứu phản xạ của não người thông qua ốc sên: do não người có cấu tạo quá phức tạp, tạo thành một mê hồn trận các mạng neuron làm cho việc giải mã các cơ chế hoạt động của nó tốn rất nhiều thời gian, công sức, nên các nhà khoa học muốn thông qua cấu trúc não của các động vật đơn giản hơn để tìm hiểu và từ đó suy luận ra não của người;
- Nhiều nhóm nghiên cứu như nhóm của GS. Paul Benjamin tại Đại học Lussex (Anh), nhóm GS. Eric kendel, Đại học tổng hợp Columbia (New York - Mỹ) đã nghiên cứu hệ thần kinh trung ương của ốc sên Aplysia, chúng chỉ bao gồm có 20.000 neuron (của người hàng trăm tỷ...) và kích thước neuron này lớn gấp 1.000 lần neuron của người, hơn nữa các tế bào lại được tụ họp thành các nhóm 10 phân tử. Qua luyện tập cho ốc sên những phản xạ có điều kiện khác nhau, chứng tỏ sự tồn tại và hoạt động của trí nhớ ở chúng;
- Với kính hiển vi và máy móc, các nhà khoa học thu lượm được những thông tin cần thiết về những quá trình sinh hóa xảy ra trong từng tế bào ốc sên khi chúng phản ứng với các vuốt ve hay kích thích điện. Từ đó, giúp cho sự hiểu biết về hoạt động của não các sinh vật như trí nhớ là gì, hoạt động ra sao? Được xây dựng như thế nào? Kỷ niệm được lưu giữ ở đâu? Gợi lại bằng cách nào? Và yếu tố nào làm suy giảm trí nhớ? Liên hệ với người, để tìm ra biện pháp điều trị chứng suy giảm trên khi căn bệnh Alzheimer ngày càng phổ biến do tuổi thọ của người gia tăng;
- Con tàu vũ trụ Colombia của Mỹ bay vòng quanh trái đất 16 ngày đêm vào tháng 4/1998 đã mang theo 135 con ốc sên (cùng với một số con vật khác) nhằm nghiên cứu sự biến đổi của não và hệ thần kinh trong điều kiện không trọng lực.
Một số loài sinh vật ngoại lai xâm nhập và gây hại đến chúng ta
Sự khiếm khuyết đa dạng sinh học đã và đang là mối lo chung của nhân loại. Trong nhiều nguyên nhân gây tổn thất đa dạng sinh học, các loài sinh vật ngoại lai xâm hại được coi là một trong những mối đe doạ nguy hiểm nhất. Nhận ra được điều này, Công ước “Đa dạng sinh học” đã dành hẳn một khoản trong điều 8 (khoản 8(h)) để kêu gọi các bên tham gia công ước: "Ngăn chặn sự du nhập, kiểm soát hoặc diệt trừ các loài ngoại lai gây hại cho các hệ sinh thái, nơi sống hoặc các loài sinh vật bản địa". Sinh vật ngoại lai xâm hại trước hết là những loài không có nguồn gốc bản địa. Khi được đưa đến một môi trường mới, một loài ngoại lai có thể không thích nghi được với điều kiện sống và do đó không tồn tại được. Tuy nhiên, trong nhiều trường hợp khác, do thiếu vắng các đối thủ cạnh tranh và thiên địch như ở quê nhà cùng với điều kiện sống thuận lợi, các loài này có điều kiện sinh sôi nảy nở rất nhanh và đến một lúc nào đó phá vỡ cân bằng sinh thái bản địa và vượt khỏi tầm kiểm soát của con người. Lúc này nó trở thành loài ngoại lai xâm hại.
Sinh vật ngoại lai có thể xâm nhập vào một môi trường sống mới bằng nhiều cách. Nó có thể đi theo con đường tự nhiên như theo gió, dòng biển và bám theo các loài di cư, nhưng quan trọng hơn cả là do hoạt động của con người. Cùng với sự phát triển của giao thông vận tải và hoạt động thông thương, con người đã mang theo, một cách vô tình hay hữu ý, các loài sinh vật từ nơi này đến nơi khác thậm chí đến những vùng rất xa quê hương của chúng. Việc kiểm soát sự du nhập của chúng là rất khó, đặc biệt là đối với các trường hợp du nhập một cách vô thức. Các loài này có thể trà trộn trong hàng hoá, sống trong nước dằn tàu, bám vào các phương tiện vận tải như tàu thuyền và nhờ đó được mang đến đến môi trường sống mới. Nhiều loài được du nhập một cách có chủ ý cho các mục đích kinh tế, giải trí, khoa học nhưng do không được kiểm tra và kiểm soát tốt đã bùng phát và gây ra nhiều tác hại nặng nề. Chúng ta vẫn chưa quên được trường hợp ốc bươu vàng (Pomacea sp.). Được nhập khẩu vào nước ta khoảng 10 năm trước đây, loài ốc này đã nhanh chóng lan tràn từ Đồng bằng Sông Cửu Long ra các tỉnh miền Trung và miền Bắc, phá hại nghiêm trọng lúa và hoa màu của các địa phương này. Hàng năm, nhà nước phải bỏ ra hàng trăm triệu đồng cho công tác tiêu diệt ốc bươu vàng nhưng vẫn chưa đem lại hiệu quả mong muốn.
Tác động mà các loài sinh vật xâm hại gây ra đối với môi trường sống rất đa dạng nhưng có thể chung thành 4 nhóm:
§ Cạnh tranh với các loài bản địa về thức ăn, nơi sống.v.v.;
§ Ăn thịt các loài khác;
§ Phá huỷ hoặc làm thoái hoá môi trường sống;
§ Truyền bệnh và kí sinh trùng.
Kinh nghiệm cho thấy nhiều loài ngoại lai xâm hại không biểu hiện tác hại của chúng ngay sau khi xâm nhập vào một môi trường sống mới mà thường trải qua một giai đoạn “ủ bệnh”. Giai đoạn này dài hay ngắn tuỳ thuộc vào từng loài cũng như vào đặc điểm môi trường mà chúng xâm nhập vào. Mặc dù đã có nhiều nghiên cứu nhưng nguyên nhân của hiện tượng này vẫn chưa được sáng tỏ. Tuy nhiên, người ta cũng thấy rằng các hệ sinh thái đã bị biến đổi thường dễ bị tác động hơn các hệ sinh thái còn nguyên vẹn. Đây là một khó khăn lớn cho công tác kiểm soát và phòng ngừa tác hại của loại sinh vật này.
Các tác động mà loại sinh vật này gây ra rất phức tạp. Ví dụ như trường hợp của cá vượt sông Nile (Lates niloticus). Sau khi được du nhập vào hồ Victoria (châu Phi) năm 1954 nhằm phục hồi sản lượng cá đang suy giảm trong hồ do đánh bắt quá mức, loài cá này đã gây ra sự tuyệt chủng cho hơn 200 loài cá bản địa khác trong hồ do cạnh tranh và ăn thịt các loài cá đó. Chưa hết, vì thịt của cá vược sông Nile có nhiều mỡ hơn các loại cá bản địa, cư dân ở hồ đã phải chặt nhiều củi hơn để sấy cá dẫn đến hiện tượng phá rừng nghiêm trọng. Đến lượt mình, việc này gây ra sự xói mòn và rửa trôi đất trong vùng lưu vực làm tăng hàm lượng chất dinh dưỡng trong hồ tạo điều kiện cho sự phát triển của tảo và bèo Nhật Bản (Eichhornia crassipes). Sự bùng nổ của các loài thực vật này làm giảm lượng oxy trong hồ và làm chết nhiều cá hơn. Ngoài ra việc khai thác mang tính thương mại loài cá này đã làm làm cư dân ở đây mất đi nghề đánh bắt và chế biến cá truyền thống của mình. Lợi nhuận thu được từ cá vược sông Nile chỉ rơi vào túi một số người trong khi đó cư dân và môi trường ở đây hầu như không những không có lợi mà còn nghèo đói hơn.
Một tác động khác, tuy không kém phần nghiêm trọng nhưng cho đến nay vẫn chưa được quan tâm đúng mức, là các loài ngoại lai xâm hại góp phần làm xuất hiện các bệnh dịch mới hoặc tái xuất hiện các bệnh dịch cũ ảnh hưởng đến sức khoẻ của con người. Sốt rét là một bệnh dịch nguy hiểm được truyền qua véc tơ truyền bệnh là muỗi Anopheles. Năm 1930, loài muỗi Anophelesgambiae được du nhập một cách vô tình vào vùng tây bắc Barazil theo các đoàn tàu biển đến từ châu Phi. Chưa đến một năm sau, trong một diện tích khoảng 6 mile vuông với số dân khoảng 12.000 người đã xuất hiện 10.000 ca nhiễm bệnh sốt rét. Vào cuối những thập niên 30, người ta đã phải tốn hàng triệu đô la và hàng nghìn nhân công để tiêu diệt muỗi Anopheles gambiae tại vùng này.
Rõ ràng, các tác động của sinh vật ngoại lai xâm hại, không những chỉ làm suy giảm đa dạng sinh học, mà còn ảnh hưởng đến nhiều khía cạnh khác về sức khoẻ, kinh tế, xã hội của con người. Để giải quyết vấn đề này, biện pháp phòng ngừa được ưu tiên hàng đầu vì một khi sinh vật ngoại lai xâm hại đã thích nghi và phát triển thì chi phí để tiêu diệt chúng là rất lớn và hầu như rất khó tiêu diệt hoàn toàn. Nhằm góp phần vào công tác ngăn chặn và giảm thiểu tác động của sinh vật ngoại lai xâm hại, IUCN - Tổ chức Bảo tồn thiên nhiên Quốc tế đã đưa ra một tài liệu hướng dẫn (IUCN Guidelines for the prevention of biodiversity loss caused by invasive alien species) với các vấn đề cần ưu tiên bao gồm:
1. Nâng cao nhận thức về tác hại của sinh vật ngoại lai xâm hại đối với đa dạng sinh học, sức khoẻ con người và kinh tế xã hội ở cả các nước phát triển và đang phát triển;
2. Ưu tiên cho công tác ngăn chặn sự du nhập của các loài sinh vật ngoại lai ở qui mô quốc gia cũng như trên toàn thế giới;
3. Giảm thiểu sự du nhập vô tình hoặc nhập lậu sinh vật ngoại lai;
4. Xem xét kỹ lưỡng các tác động một loài sinh vật có thể gây ra trước khi quyết định nhập chúng;
5. Khuyến khích và thực hiện các biện pháp kiểm soát và tiêu diệt các loài sinh vật ngoại lai xâm hại cũng như từng bước nâng cao hiệu quả của các biện pháp đã có;
6. Tăng cường khung luật pháp cũng như hợp tác quốc tế trong việc phòng ngừa việc du nhập, kiểm soát và tiêu diệt các loài ngoại lai xâm hại.
Xét nghiệm máu có thể báo trước ung thư đại tràng
Một số nghiên cứu cho thấy xét nghiệm máu có thể phát hiện ung thư kịp thời, để cắt bỏ khối u càng sớm càng tốt ngay khi đang ở giai đoạn lành tính. Một loại xét nghiệm máu mới hứa hẹn khả năng báo trước ung thư đại tràng đủ sớm để dư thời gian phát hiện và cắt bỏ khối u trong giai đoạn tiền ung thư; xét nghiệm này nhằm phát hiện hai loại chỉ điểm khối u (tumor markers) có mặt với hàm lượng cao trong ung thư đại tràng, các chỉ thị này được gán tên gọi là CCSA-3 và CCSA-4 (Colon Cancer Specific Antigen), xuất hiện trong quá trình phát triển thành ung thư mà các chỉ điểm này hầu như không có ở các u lành tính hoặc các mô khác. Trưởng nhóm nghiên cứu đã tìm ra hai chỉ điểm và phương pháp xét nghiệm mới này là GS Getzenberg ở ĐH Johns Hopkins. Qua một nghiên cứu sơ bộ, Getzenberg và cs đã làm xét nghiệm này cho 107 bệnh nhân phải thường xuyên đi nội soi đại tràng, 28 bệnh nhân đã chắc chắn xác định là có ung thư đại tràng và 125 bệnh nhân mắc các chứng uđại tràng và các bệnh ung thư khác. Kết quả cho thấy xét nghiệm có mức độ chính xác tới 100% đối với ung thư đại tràng, nghĩa là độ đặc hiệu gần 100% và sẽ không bỏ sót ai đã bị ung thư. Nó có mức độ chính xác là 90% đối với nhóm hoặc có ung thư đại tràng hoặc đang trong quá trình hình thành ung thư. Độ đặc hiệu có thể dao động 82-91%. Tuy nhiên, theo lời của GS Getzenberg thì "mục đích của xét nghiệm này là để xác định những bệnh nhân cần nội soi đại tràng."
Kết quả nghiên cứu 'khá thú vị nhưng còn hơi sớm. Theo tác giả Durado Brooks, chủ tịch hiệp hội ung thư tiền đình và đại trực tràng, thuộc Hiệp hội ung thư Mỹ không đồng tình với cách xét nghiệm ở trên. Brooks lưu ý rằng đối với nhóm có kết quả (+) cần phải tiến hành nội soi, nhưng thế còn nhóm có kết quả (-) thì sao? Họ có nên đi nội soi tại một thời điểm nào đó trong thời gian sắp đến hay phải lặp lại xét nghiệm máu một lần nữa? thế thì liệu xét nghiệm này một mình nó có đủ để dùng cho xét nghiệm sàng lọc hay không ? Do đó, xét nghiệm này cần phải được kiểm chứng trên một số lượng lớn đối tượng ngẫu nhiên. Trong thực tế Getzenberg cho biết họ đang tiến hành một nghiên cứu như vậy với số lượng người tham gia là 500 tại đa trung tâm. Họ cũng hơi quan ngại một chút về kết quả của nhóm Hopkins ở chổ có tới 16% những người mắc ung thư nhưng không phải là ung thư đại tràng có kết quả (+) giả. Điều này có nghĩa là bất kỳ ai có kết quả (+) nhưng không phát hiện ra ung thư đại tràng bằng nội soi sẽ phải chịu sự khổ nhọc của hành trình tìm kiếm khối u, điều đósẽ khiến tiền viện phí tăng lên và làm người bệnh lo lắng thêm.
Đoán bệnh qua chất đờm
Đờm là chất nhầy do niêm mạc của đường hô hấp tiết ra, trong trường hợp bình thường,niêm mạc đường hô hấp tiết ra ít chất nhầy, làm đường hô hấp không bị khô, luôn được ẩm ướt. Ngoài ra, chất nhầy còn có thể giữ lại vi khuẩn gây bệnh, giữ lại dị vật chui vào đường hô hấp,... Trong chất nhầy đường hô hấp có chứa lysozyme có khả năng giết chết được vi khuẩn gây bệnh. Bình thường, người ta không ho ra đờm, nếu có đờm thì phần nhiều là ho khạc ra vào buổi sáng sớm, số lượng ít, có màu trong, bóng nhẫy, chứng tỏ sự trao đổi chất của tổ chức phổi và tổ chức niêm mạc khí quản bình thường; khi đường hô hấp có bệnh hoặc vào các giai đoạn khác nhau của bệnh thì đờm thay đổi cả về số lượng, màu sắc, độ đặc, loãng, mùi vị,... Vì thế, nếu ta để ý quan sát kỹ sự thay đổi của đờm bằng mắt thường thì có thể phân biệt được.
Với màu sắc của đờm và một số bệnh lý có thể:
- Màu trắng: bệnh viêm nhánh phế quản hoặc viêm phổi thường do cầu khuẩn;
- Màu vàng hoặc màu vàng lục: viêm phế quản phổi đã có bội nhiễm;
- Màu xanh lục: bệnh vàng da, vàng mắt, viêm phổi do casein, trực khuẩn mủ xanh ở phổi;
- Màu đỏ hoặc màu nâu: trong đờm có máu hoặc có chất hemoglobin (Hb).
- Màu hồng: thường gặp trong phù phổi cấp (bệnh tim mạch, tăng huyết áp, truyền lượng dịch quá tải, bệnh nhân thường ho ra nhiều đờm, nhiều bọt màu hồng);
- Màu gỉ sắt: bệnh viêm phổi sán lá phổi (có sốt, đau ngực, ho có đờm màu gỉ sắt do huyết tương và hồng cầu trong phổi ngấm qua thành khí phế quản, sẽ biến thành có mủ sánh);
- Màu lá cọ: bệnh tim nên phổi bị sung huyết, mạn tính hoặc sau khi phổi xuất huyết;
- Màu sôcôla: bệnh do amíp, nguyên nhân là amíp chui vào gan gây áp-xe gan, sau đó ổ áp-xe vỡ mủ thông với các nhánh khí phế quản phổi nên bệnh nhân sẽ khạc đờm màu sôcôla và nó có thể sẽ gây áp-xe phổi do amíp;
- Màu đen, màu xám: bệnh phổi nghề nghiệp của công nhân các ngành than, cơ khí, lò hơi.
Tính chất và trạng thái của đờm
- Đờm có chất nhầy không màu hoặc trong suốt, màu trắng nhạt: viêm nhiễm cấp đường hô hấp, viêm nhánh khí quản cấp, viêm phổi thời kỳ đầu, viêm khí quản mạn tính (đờm thường nhiều tương đối dính và có sủi bọt);
- Đờm có mủ nhầy dưới dạng cục nhỏ có màu vàng: bệnh cảm cúm, viêm khí quản phổi vào thời kỳ bắt đầu hồi phục;
- Đờm ở dạng nước sền sệt, sủi bọt, trong suốt, loãng: dãn nhánh khí quản, lượng đờm nhiều và long đờm;
- Đờm có mủ dạng nước sền sệt, nếu để quan sát ta thấy lắng thành 3 lớp: trên là khối mủ sủi bọt, giữa là lớp sền sệt, dưới là bả mủ đục và chất hoại tử (bệnh dãn khí phế quản có kèm bội nhiễm, đờm thường có nhiều vào buổi sáng sớm);
- Đờm có mủ ở dạng cục, có màu vàng hoặc đặc quánh có màu vàng lục hoặc ở dạng nước mủ, không trong suốt: viêm phổi có mủ, lao phổi, ung thư phổi có nhiễm khuẩn;
- Đờm có mủ và máu, tia máu: có thể thấy triệu chứng trên trong các trường hợp sau:
+ Nếu dính tia máu tươi gặp trong lao phổi, dãn phế quản hoặc viêm họng ho khan;
+ Đờm có máu màu đen thường thấy trong các bệnh lý tắc nghẽn ở phổi;
+ Đờm dạng bọt lẫn máu gặp trong phù phổi cấp do các nguyên nhân;
+ Đờm lẫn máu, kèm đau ngực, mệt mỏi, sụt cân cần cảnh giác với ung thư khí quản;
+ Đờm có sợi máu hoặc cục máu nhỏ (sáng sớm vừa ngủ dậy) cảnh giác K vòm họng.
Số lượng đờm
- Dịch đờm nhiều hơn bình thường: viêm đường hô hấp cấp, viêm phổi thời kỳ đầu;
- Dịch đờm số lượng lớn: viêm phổi mủ, lao phổi hang dãn nhánh, khí quản phế;
- Dịch đờm từ ít đến nhiều: chứng tỏ bệnh nặng lên và có thể kèm theo cả bội nhiễm;
- Dịch đờm từ nhiều mà ít đi: chứng tỏ bệnh biến chuyển theo chiều hướng tốt;
- Dịch đờm từ nhiều bỗng nhiên giảm đi nhưng tình trạng cơ thể xấu đi như sốt cao hơn, mệt mỏi hơn, khó chịu hơn: có thể do tắc nghẽn nhánh khí phế quản làm đờm không dẫn lưu được ra ngoài, lúc đó ta phải kiểm tra, làm rõ nguyên nhân, tăng cường dẫn lưu đờm ra chứ không nên cho uống kháng sinh bừa bãi hoặc vội thay thế kháng sinh khác, có thể dẫn đến tình trạng kháng thuốc và việc điều trị sẽ gặp rất nhiều khó khăn.
Dùng tỏi trị bệnh đường tiêu hóa
Chất kháng sinh alixin trong tỏi có tác dụng diệt khuẩn rất mạnh đối với lỵ, vi khuẩn tả, amíp, tụ cầu, vi khuẩn thương hàn, ….Mùa hè là mùa của các bệnh đường tiêu hoá; Do vậy, việc dự trữ tỏi là cần thiết. Các nghiên cứu cho thấy, nước tỏi 5% có thể ức chế hoạt động của đơn bàoamíp. Amíp khi gặp nước tỏi sẽ co tròn lại và không sinh sản nữa.
Ở Trung Quốc, tỏi chữa khỏi 80% số trường hợp mắc bệnh lỵ do amíp. Nó cũng cho kết quả tương tự đối với bệnh lỵ trực trùng. So với sulfaguanidine (thuốc đặc trị lỵ trực trùng), tỏi cho kết quả chữa trị tương đương. Để điều trị lỵ amíp và lỵ trực trùng, cần giã nát tỏi, cho vào nước đun sôi để nguội với tỷ lệ 5% và 10%, ngâm trong vòng 2 giờ rồi đem lọc qua gạc, thụt trong 2 ngày đầu với dung dịch 5% (100 ml). Sau đó dùng dung dịch 10%, ngày thụt 1 lần, kết hợp uống 6 g tỏi chia làm 3 lần trong ngày. Mỗi đợt điều trị kéo dài 5-7 ngày.