Không ngoài mục đích chia sẻ lâm sàng và nghiên cứu khoa học, với ý tưởng chia sẻ đến quý bạn đọc cũng như các anh chị đồng nghiệp chúng tôi xin tổng hợp một số bệnh lý hoặc hội chứng hiếm gặp trên thế giới cũng như đã từng gặp ở Việt Nam.
Những căn bệnh kỳ quái khiến y học "bó tay"
Bất chấp các thành tựu và đột phá trong lĩnh vực nghiên cứu và phát triển công nghệ, cho đến nay vẫn có một số trường hợp người mắc bệnh cực lạ và hiếm gặp khiến y học phải "bó tay".
Cậu bé "người cá"
Cậu bé Pan Xianhang, 8 tuổi được cư dân ở tỉnh Ôn Lĩnh, phía đông Trung Quốc đặt biệt danh là "người cá" do từ đầu tới chân em phủ đầy các vảy dày và ngứa. Được chẩn đoán mắc hội chứng "vảy cá" (Ichtyosis) bẩm sinh - một rối loạn hiếm gặp về gen, Pan phải sống toàn bộ cuộc đời với sự đau đớn khôn cùng, thường đi kèm với việc quá nóng và ngứa cực điểm. Các bất thường nghiêm trọng về da đã ảnh hưởng tới hình dạng mí mắt, mũi, miệng và hai tai của Pan, cũng như hạn chế cử động của các tay và chân của em. Mẹ của Pan cho biết, cậu bé chỉ mơ ước được đi học mà không bị ngứa ngáy khó chịu. Các chuyên gia ước tính, mỗi năm có hơn 16.000 đứa trẻ chào đời bị mắc một dạng bệnh "vảy cá" nào đó với các triệu chứng có mức độ nghiêm trọng khác nhau.
Mặc dù chưa có một cách chữa trị hữu hiệu bệnh "vảy cá" nhưng nước lạnh có thể làm dịu bớt các triệu chứng quá nóng, còn một lớp kem thoa dày có thể giúp ngăn chặn da nứt, chảy máu. Các bác sĩ hiện cũng đang nghiên cứu những cách chữa trị khác cho cậu bé "người cá" Trung Quốc.
Người phụ nữ nhìn thế giới lộn ngược
Bojana Danilovic có một thế giới quan độc nhất vô nhị. Do mắc một chứng bệnh hiếm gặp, cô nhìn luôn nhìn mọi thứ lộn ngược từ trên xuống. Nữ công chức 28 tuổi người Serbia này luôn sử dụng một màn hình máy tính lắp lộn ngược ở nơi làm việc và thư giãn ở nhà trước một màn hình tivi treo dốc ngược từ trên xuống, đặt phía trên một chiếc tivi bình thường dành cho những thành viên còn lại trong gia đình. Các chuyên gia đến từ Đại học Harvard và Viện công nghệ Massachusetts (Mỹ) đã được mời tham vấn, sau khi các bác sĩ địa phương đều tỏ ra bối rối trước chứng bệnh vô cùng lạ thường này. Theo họ, Danilovic bị mắc một căn bệnh thần kinh có tên gọi là "hội chứng rối loạn định hướng không gian". Hiện khoa học vẫn chưa có lời giải cho hiện tượng đặc biệt hiếm này của cô.
Người phụ nữ có 2 màng trinh
Hazel Jones luôn tự hỏi tại sao cô bị chuột rút nghiêm trọng và thường có kỳ kinh nặng nề trong suốt giai đoạn dậy thì. Tuy nhiên, mãi tới năm 18 tuổi, cô mới đi thăm khám bác sĩ và được chẩn đoán có tới ... 2 âm đạo. Cô gái tóc vàng, 27 tuổi, đến từ High Wycombe, Buckinghamshire (Anh) này mắc một chứng bệnh rất hiếm gặp, với tỷ lệ xuất hiện 1/1 triệu người. Việc mắc hội chứng "tử cung kép" đồng nghĩa Jones có 2 tử cung và 2 cổ tử cung riêng rẽ. Jones chỉ tới khám bác sĩ sau khi người bạn trai lâu năm nói, cô có "điểm lạ" ở vùng sinh dục. Một chuyên gia sản, phụ khoa lý giải: "Khi phát triển trong bào thai, các thai nhi gái bắt đầu với hai đoạn ống tử cung. Tuy nhiên, các vách ngăn sẽ bị phá vỡ và hình thành một tử cung. Cứ khoảng 3.000 ca thì có 1 trường hợp, vách ngăn vẫn còn tồn tại bên trong tử cung, nhưng trường hợp có 2 tử cung riêng rẽ thực sự hiếm xảy ra hơn nhiều".
Jones nói, cô cảm thấy thoải mái với "chứng bệnh" của mình dù có tới 2 màng trinh và mất trinh tiết tới 2 lần. Các bác sĩ khuyên Jones phải cẩn thận khi mang bầu, vì cô có thể có thai ở một tử cung nhưng tử cung bên kia "gây rối", làm tăng nguy cơ đẻ ngược và băng huyết. Jones đã từ chối làm phẫu thuật để cải thiện tình hình vì cuộc phẫu thuật sẽ tương tự như ở những người chuyển đổi giới tính, phải cắt bỏ một bộ phận ở vị trí mà các mô rất khó liền. Các chuyên gia cũng sẽ phải lặp đi lặp lại nhiều phẫu thuật, điều này rất khó chịu và có thể gây ra những mô sẹo.
Người lùn đột biến thành người khổng lồ
Adam Rainer chào đời Graz, Áo năm 1899. Khi đi khám tuyển sức khỏe để gia nhập quân đội trong Chiến tranh thế giới lần thứ nhất lúc 18 tuổi, chàng trai trẻ mới cao 1,38m và bị đánh trượt. Đến năm 19 tuổi, Rainer có cao hơn một chút, đạt 1,43m. Mặc dù khá thấp nhưng anh lại có kích thước bàn chân to bất thường so với chiều cao, với cỡ giày 43 của châu Âu. Theo tiết lộ của Rainier, đến năm 21 tuổi, anh vẫn được xếp vào loại lùn nhưng cỡ giày đã nhảy vọt tới cỡ 53. Lúc này, dù chân tiếp tục phát triển với tốc độ "khủng", chiều cao của Rainier vẫn quanh quẩn ở mức "thấp còi". Tuy nhiên, điều kỳ lạ đã xảy ra ngay sau đó. Vì một lí do bí ẩn nào đó, Rainer bắt đầu lớn nhanh "như thổi". Từ sinh nhật lần thứ 21 tới năm 32 tuổi, anh đã phát triển chiều cao thần tốc từ 1,47m lên 2,18m. Sau một cuộc kiểm tra y tế, các bác sĩ phát hiện một khối u trên tuyến yên của anh - "thủ phạm" không chỉ gây ra sự tăng trưởng nhanh chóng mà còn khiến Rainer bị mù một phần. Khối u đã dẫn tới hội chứng bệnh kinh niên ở người lớn do tuyến yên tiết quá nhiều hoóc môn tăng trưởng trong giai đoạn trưởng thành. Năm 1930, các bác sĩ đã cố gắng chữa trị cho Rainer bằng cách loại bỏ khối u, nhưng anh vẫn tiếp tục cao lớn hơn, dù với tốc độ chậm hơn nhiều. Trong 19 năm cuối đời, cột sống của Rainer tiếp tục phát triển dài ra và anh cao thêm 15,2cm nữa. Năm 1950, Rainer qua đời ở tuổi 51 với chiều cao 2,34m, trở thành người duy nhất trên thế giới từng được chính thức xếp hạng là người lùn và cả người khổng lồ khi còn sống.
Người phụ nữ mọc móng tay thay thế tóc
Đến nay đã gần 3 năm nhưng các bác sĩ vẫn bất lực, không thể chẩn đoán nổi chứng bệnh lạ của một cô gái người Mỹ. Cơn ác mộng xảy ra với Shanyna Isom vào tháng tháng 9/2009, khi cô có phản ứng dị ứng với các thuốc steroid được kê dùng chữa trị bệnh hen suyễn. Chỉ trong vòng vài tháng, cô đã bị một hội chứng da liễu gây suy yếu tấn công.
Tháng 8/2011, Isom được đưa vào bệnh viện Johns Hopkins ở Baltimore, Mỹ. Các bác sĩ xác định, cơ thể cô đang sản sinh lượng tế bào da trên mỗi nang lông nhiều gấp 12 lần bình thường. Điều này khiến da của cô bị "chết ngạt". Thay vì tóc, các nang da của Isom bắt đầu sản sinh ra móng. Chứng bệnh kỳ lạ cũng khiến cô suy kiệt, buộc phải nhờ cậy người khác đưa ra khỏi giường hoặc ghế sofa mỗi ngày.
Các bác sĩ hiện có thể kiểm soát các triệu chứng của Isom. Tuy nhiên, vấn đề sức khỏe bí ẩn đã khiến cô lâm vào khủng hoảng kinh tế. Isom đã kêu gọi thành lập quỹ S.A.I quyên tiền tài trợ cho việc chữa trị của cô cũng như giúp đỡ những người mắc các căn bệnh lạ khác.
Mắc bệnh lạ, người đàn ông lớn mãi không ngừng
Một thiếu niên đến từ Anh đã gây ngạc nhiên lớn cho mọi người, khi cơ thể anh phát triển không ngừng do mắc phải một căn bệnh chưa từng thấy trên thế giới.
Josh Gott (18 tuổi) với biệt danh là Lanky Legs, đã phải chiến đấu với căn bệnh kỳ lạ trên từ khi còn nhỏ. Năm 11 tuổi Josh đã cao 1m73, đến năm 15 tuổi là 1m83. Bà Sharon, mẹ “người khổng lồ Josh” lo sợ rằng con trai mình đang trên đường trở thành người đàn ông cao nhất nước Anh, bởi hiện nay Josh đã cao hơn 2m và vẫn không ngừng phát triển, trong khi các bác sĩ cho biết, chưa có bất kì ai trên thế giới mắc căn bệnh tương tự Josh. “Tôi nhận ra điều khác biệt khi Josh 11 tuổi. Thật là một cơn ác mộng khi không có loại quần áo nào vừa với nó. Tôi phải xem hàng trực tuyến và đang suy nghĩ về việc đặt mua quần áo từ bên Mỹ… Tôi không biết khi nào Josh ngừng lớn, nó cao thêm 5cm chỉ trong vòng 2 tuần. Josh luôn bị cụng đầu vào khung cửa và gặp khó khăn khi lên xuống cầu thang”, bà Shara chia sẻ. Được biết, ngoài căn bệnh kì lạ trên, Josh còn mắc các vấn đề khác về sức khỏe như bệnh động kinh, chứng tự kỉ và bệnh vẹo cột sống. Sau khi nghiên cứu, các bác sĩ đã đưa ra một kết luận rằng chiều cao “đột biến” của Josh là do rối loạn nhiễm sắc thể gây ra và không có phương thức chữa trị. Tuy nhiên, năm ngoái trường hợp của Josh đã được giới thiệu đến các nhà khoa học tại Trung tâm “Centre for Life” ở Newcastle để nghiên cứu.
Bệnh lạ: Mạch máu nổi cuồn cuộn như rắn dưới da
Một căn bệnh lạ, hiếm gặp đã khiến các mạch máu từ ngực trở xuống của một cụ ông Nhật Bản phình to và nổi lên cuồn cuộn như rắn ở dưới da. Cụ ông 68 tuổi đã đến gặp bác sĩ để phàn nàn vềchứng sưng phồng do tích tụ dịch ở hai chân và hơi thở ngắn. Ông cũng bị chứng hồng ban nút - một căn bệnh làm hình thành các cục u tròn màu đỏ dưới da, và loét ở miệng cũng như dương vật suốt 30 năm qua. Khi các bác sĩ ở Bệnh viện Cao đẳng y quốc phòng Nhật ở Saitama thăm khám, họ phát hiện các tĩnh mạch bị giãn, gồ ghề ở ngực và thành bụng của bệnh nhân cao tuổi. Hiện tượng này bắt nguồn từ việc tắc nghẽn tĩnh mạch chủ trên (SVC) - một tĩnh mạch lớn mang máu từ cơ thể thẳng tới tim, nằm ở giữa ngực, sau xương ức. Việc tắc nghẽn tĩnh mạch SVC xảy ra khi có thứ gì đó chặn đường lưu thông của máu bên trong nó. Các thành của tĩnh mạch SVC mỏng, đồng nghĩa với việc chúng dễ dàng bị vỡ. Kết quả chụp cắt lớp lồng ngực hé lộ, cụ ông còn bị giãn tĩnh mạch chủ dưới, vốn mang máu từ phía dưới cơ thể tới tim, đồng thời mắc chứng bệnh khiến tim bị hạn chế giãn nở và nhận đầy máu như bình thường.
Các bác sĩ rốt cuộc chẩn đoán bệnh nhân mắc chứng Behçet, một căn bệnh gây viêm sưng mạch máu hiếm gặp và hiện vẫn chưa được hiểu rõ. Tình trạng viêm sưng thường xảy ra ở miệng và cơ quan sinh dục, dẫn đến 2 triệu chứng phổ biến nhất của bệnh, như đã thấy ở cụ ông Nhật Bản: lở loét ở miệng và dương vật. Giới nghiên cứu hiện vẫn mù mờ về nguyên nhân gây bệnh Behçet, mặc dù hầu hết các chuyên gia đều tin đây là một hội chứng tự miễn dịch, trong đó hệ miễn dịch đã tấn công nhầm các mô khỏe mạnh. Theo thống kê, bệnh dường phổ biến hơn ở khu vực Viễn Đông, Trung Đông và Địa Trung Hải, chẳng hạn như Thổ Nhĩ Kỳ, Iran và Israel. Trong đó, Thổ Nhĩ Kỳ có số ca nhiễm bệnh cao nhất.
Bé 4 tuổi mang thai trong dạ dày
Các bác sĩ Trung Quốc đã vô cùng kinh ngạc khi phát hiện một bào thai không phát triển bên trong dạ dày của một cậu bé 4 tuổi, bị sưng phồng bụng từ khi mới sinh. Điều dị thường mãi tới gần đây mới được phát hiện khi cậu bé ở tỉnh Tứ Xuyên này gặp trục trặc về hô hấp. Tại bệnh viện, sau khi phát hiện dị vật trong dạ dày bệnh nhi, các bác sĩ đã phẫu thuật lấy bào thai ra
Giới truyền thông địa phương đưa tin, bào thai có kích thước chiều dài và chiều rộng khoảng 20cm. Nó đã có xương sống hình thành rõ ràng với 4 chi có các ngón tay và ngón chân. Bào thai cũng đã có ruột và toàn bộ cấu trúc của nó chiếm khoảng 2/3 diện tích dạ dày của bé trai nói trên. Theo các bác sĩ, đây là trường hợp mắc hội chứng Cryptodidymus hiếm gặp, trong đó cặp song sinh dính liền nhau trong quá trình mang thai của mẹ. Trong các ca cryptodidymus, một trong hai bào thai thường nhỏ, kém phát triển và ký sinh trong cơ thể anh/chị em song sinh của nó. Sau ca phẫu thuật loại bỏ bào thai ký sinh, cậu bé Trung Quốc hiện trong tình trạng sức khỏe ổn định.ngoài.
Bệnh lạ: Cụ ông say xỉn vì thức ăn
Việc nhiễm trùng ruột hiếm gặp đã khiến một cụ ông 61 tuổi ở Texas, Mỹ đột ngột tự say xỉn, dù không uống bất kỳ ngụm rượu cồn nào. Các bác sĩ đã không tin khi cụ ông được đưa vào phòng cấp cứu trong tình trạng say bí tỉ, sau đó thú nhận không hề uống một ngụm rượu cồn nào. Tuy nhiên, đó hoàn toàn là sự thật. Trang NPR đưa tin, bệnh nhân nam cao tuổi trên làm nghề ủ bia tại nhà. Kết quả kiểm tra tại bệnh viện cho thấy, nồng độ cồn trong máu của ông là 0,37%, cao gần gấp 5 lần ngưỡng cho phép đối với người điều khiển phương tiện giao thông tại bang Texas. Bất chấp những tuyên bố rằng cụ ông không hề nếm bất kỳ ngụm rượu cồn nào cả ngày, các bác sĩ vẫn kết luận ông là một kẻ nghiện rượu ngấm ngầm. Tuy nhiên, họ rốt cuộc phát hiện, cơ thể của bệnh nhân tự sản sinh ra chất gây say túy lúy. "Ông ấy thường đột ngột say bí tỉ, có thể vào một buổi sáng Chủ nhật sau khi đi lễ nhà thờ hoặc bất kỳ lúc nào", Barabara Cordell, trưởng khoa điều dưỡng tại trường Cao đẳng Panola (Mỹ). Bà Cordell và đồng nghiệp - tiến sĩ Justin McCarthy đã quyết định theo dõi trường hợp kỳ lạ trên. Họ đã cô lập cụ ông vào một phòng bệnh viện trong 24 tiếng đồng hồ liên tục. Trong thời gian này, cụ ông đã ăn các thực phẩm giàu cácbon hyđrat và sau đó có nồng độ cồn trong máu của ông tăng lên 0,12%, vượt ngưỡng được cho là tỉnh táo.
Nhóm nghiên cứu khám phá ra rằng, bụng của cụ ông đã biến thành cỗ máy sinh học ủ rượu cồn do sự tích tụ của một loại nấm men phổ biến có tên gọi Saccharomyces cerevisiae. Khi ông ăn hoặc nhấm nháp các thực phẩm và đồ uống chứa lượng lớn tinh bột, kể cả bánh mỳ, mỳ sợi và nước giải khát soda, nấm sẽ lên men đường thành cồn (ethanol). Theo các chuyên gia, việc tích tụ Saccharomyces cerevisiae hiếm gặp có thể xảy ra sau khi bệnh nhân uống thuốc kháng sinh. Lí do là, việc tiêu diệt tất cả các vi khuẩn trong đường ruột của một người sẽ mở đường cho loại nấm men này sinh sôi, phát triển. Một yếu tố khác có thể là do công việc ủ bia tại nhà của cụ ông, vốn đòi hỏi ông luôn giữ vô số nấm men sống quanh mình. Nhóm nghiên cứu mới đây đã cho công bố trường hợp kỳ lạ này trên tạp chí International Journal of Clinical Medicine. Liệu pháp chữa trị cho cụ ông được tiết lộ gồm nhiều loại thuốc kháng nấm và một chế độ ăn chứa hàm lượng tinh bột thấp.
Cô gái mắc bệnh kỳ lạ: Không bao giờ biết đau
Một cô gái không thể cảm nhận sự đau đớn, đã thôi thúc các nhà khoa học tìm hiểu về một đột biến gene ảnh hưởng đến cách chúng ta nhận biết về cơn đau.Các nhà nghiên cứu Đức đã so sánh chuỗi gene của cô gái mắc chứng"vô cảm bẩm sinh với sự đau đớn" với các chuỗi gen của bố mẹ cô, những người không hề bị bệnh này. Do mắc bệnh hiếm gặp, nữ bệnh nhân (hiện vẫn được giữ kín danh tính) có thể cảm nhận những đụng chạm, nhưng không nhận biết được sự đau đớn. Vì vậy, cô dễ tự làm bỏng mình, do không nhận biết thứ gì quá nóng, không nên chạm vào và thường xuyên bị tổn thương. Theo báo New Scientist, việc so sánh chuỗi gene đã giúp tiến sĩ Ingo Kurth thuộc Bệnh viện Đại học Jena (Đức) phát hiện một đột biến ở gene SCN11A, vốn có ảnh hưởng đến việc xây dựng các kênh truyền dẫn tín hiệu trên những tế bào thần kinh cảm nhận sự đau đớn. Đột biến ở gene SCN11A đồng nghĩa, phương tiện truyền tải xung điện cần thiết của các tế bào thần kinh không thể hình thành, khiến cơ thể không thể phát hiện ra sự đau đớn. Để đảm bảo những hoài nghi của mình là chính xác, ông Kurth và các cộng sự đã gây giống chuột bị đột biến gene SCN11A và thử nghiệm khả năng phát hiện cơn đau của chúng. Họ nhận thấy, những con chuột này nhiều khả năng bị thương hơn các cá thể cùng loài bình thường. Chúng cũng có phản ứng chậm hơn nhiều với cơn đau khi đuôi bị cho tiếp xúc với nguồn sáng nóng bỏng. Tất cả ám chỉ, những con vật này không có khả năng nhận biết sự đau đớn. Các nhà khoa học hy vọng, khám phá trên có thể dẫn tới sự ra đời của những loại thuộc giảm đau mới, phát huy tác dụng bằng cách ngăn chặn mọi tín hiệu của sự đau đớn. Họ hiện đã bắt đầu nghiên cứu về một loại dược phẩm vô hiệu hóa đột biến gene SCN11A. Chứng "vô cảm bẩm sinh với sự đau đớn" (CIP) là một căn bệnh vô cùng hiếm gặp, cho đến nay y học thế giới mới ghi nhận khoảng 20 trường hợp người mắc bệnh này. CIP khiến người mắc phải không thể cảm nhận được sự đau đớn, dù vẫn nhận biết được các đụng chạm. Điều này trên thực tế rất nguy hiểm, do đôi khi bệnh nhân tự làm tổn thương bản thân như cắn vào lợi, dao cứa vào tay hay bị sốt quá nóng mà không cảm thấy gì. Họ có thể không phát hiện bản thân bị các viêm nhiễm hoặc thương tổn, khiến tình trạng trở nên nghiêm trọng nếu không được chữa trị kịp thời. Bệnh CIP có thể do một đột biến gene gây ra, nhưng cũng có thể bắt nguồn từ việc bộ não sản sinh quá nhiều hoóc môn gây hưng phấn endorphin.
Bệnh lạ biến thiếu nữ thành "tượng sống"
Một chứng bệnh hiếm gặp về gene đang dần dần làm tê liệt toàn bộ cơ thể của một thiếu nữ xinh đẹp người Anh và rốt cuộc sẽ biến cô thành một pho tượng sống. Seanie Nammock, 17 tuổi, đến từ vùng Tây London, Anh đang phải chống chọi với căn bệnh FOP thường gọi nôm na là hội chứng "người hóa đá". Đây là dạng rối loạn đang biến các cơ và dây chằng của cô thành xương.
Cho tới này, bệnh đã tiến triển tới mức khiến các cánh tay của Nammock bị "khóa chặt" trong tư thế gập ngang eo, khiến chúng không thể cử động được. Việc phát triển thêm xương ở trên vai cũng khiến cô không thể nào với qua thắt lưng và luôn phải chật vật đánh răng, gội đầu hoặc mặc quần áo nếu không có sự trợ giúp. Tình trạng của Nammock được dự đoán có thể trở nên nghiêm trọng hơn. Bất kỳ va chạm nhỏ nhất nào cũng gây bùng nổ đau đớn, kích thích sự phát triển xương cột chặt các khớp của cô. Nammock hiện cũng không thể tiêm hay làm sinh thiết vì chúng có thể khiến xương hình thành ngoài ý muốn. Căn bệnh lạ còn khiến thiếu nữ xinh đẹp này dễ bị tai nạn hơn do khó túm vịn lan can cầu thang khi lên xuống và các cánh tay bất động ảnh hưởng tới khả năng thăng bằng của cơ thể. Thống kê cho thấy, hiện chỉ có khoảng 600 người trên thế giới được chẩn đoán mắc hội chứng FOP. Căn bệnh này hiện cũng vô phương cứu chữa. Bất chấp việc mắc chứng bệnh nan y, Nammock vẫn vui vẻ theo đuổi các đam mê của mình. Cô thích nấu ăn, đi mua sắm và vui chơi cùng bạn bè. Gia đình của Nammock đang cố gắng quyên góp gần 200.000 USD tiền ủng hộ để tài trợ cho một nhóm nghiên cứu về bệnh FOP ở Anh, với hy vọng họ sẽ tìm ra cách cứu mạng cô.
Giải mã hiện tượng "bàn tay bọt biển" kỳ lạ
Các nhà nghiên cứu đã nhận diện được thủ phạm gen gây một căn bệnh da hiếm gặp, biến bàn tay thành màu trắng và rỗ như miếng bọt biển.Thống kê cho thấy, tỉ lệ người bị mắc bệnh "bàn tay bọt biển" hiện nay trên thế giới là 1/40.000. Căn bệnh này sẽ khiến da ở lòng bàn tay và lòng bàn chân bị dày lên. Nghiên cứu đối với các gia đình mắc căn bệnh da liễu hiếm gặp trên ở Anh và Thụy Điển đã hé lộ sự thay đổi gene ở một chất hóa học chủ chốt, nắm quyền kiểm soát sự mất nước khỏi cơ thể. Các nhà khoa học nhận định, phát hiện này sẽ giúp chúng ta hiểu hơn về cơ chế tự làm ẩm của da. Theo David Kelsell - giáo sư chuyên ngành di truyền học phân tử của người đến từ Đại học London (Anh) và là chuyên gia đứng đầu nghiên cứu, người bình thường khi ngâm mình trong nước khoảng một giờ đồng hồ thì da bắt đầu trở nên trắng bệch và nhăn nheo. Hiện tượng này cũng xảy ra ở người mắc chứng "bàn tay bọt biển" nhưng xuất hiện với tốc độ nhanh hơn. Tên gọi chính thức của căn bệnh "bàn tay bọt biển" là dày sừng bàn tay - bàn chân không ly thượng bì lan tỏa (bệnh Unna - Thost). Căn nguyên gây bệnh là do lỗi ở một chất hóa học có tên gọi là aquaporin 5, vốn giữ vai trò quyết định về sự sản sinh nước bọt, nước mắt và những dịch bài tiết khác. Nghiên cứu cũng cho thấy, aquaporin 5 cũng hiện diện ở da với hàm lượng tập trung cao hơn ở bàn tay và bàn chân. Sự thay đổi về gene liên quan đến chất hóa học này dường như khiến da xốp và rỗ hơn, cho phép nước thấm qua da nhanh hơn.
Bé gái 6 tuổi đối mặt chứng bệnh “người hóa đá”
Một cô bé 6 tuổi sống tại thành phố Bellevue (bang Ohio, Mỹ) đang tìm cách chống chọi với một căn bệnh cực kỳ hiếm gặp vốn có khả năng biến cô bé trở thành một “bức tượng sống”. Gia đình McKean (sống tại bang Ohio, Mỹ) đang phải tìm mọi cách để giúp cô con gái Ali McKean chống lại căn bệnh cực kỳ hiếm gặp về cơ và xương, khiến cho cơ thể của cô bé căng cứng và không thể di chuyển hay cử động được, tương tự như một bức tượng. Chứng bệnh này sẽ càng diễn tiến nhanh hơn khi cô bé Ali chuyển động nhiều. Theo thời gian, với chứng bệnh của mình, cô bé Ali McKean sẽ không thể di chuyển hay thực hiện một động tác nhỏ nào, ngoại trừ miệng của mình.
Căn bệnh mà cô bé Ali McKean mắc phải được gọi là chức bệnh FOP (Fibrodysplasia ossificans progressiva) hay còn gọi là hội chứng người hóa đá và chưa có cách để chữa. Hiện mới chỉ có 750 người trên thế giới được chuẩn đoán mắc chứng bệnh này. “Ali đang dần trở nên đông cứng và một ngày, cơ thể của con bé sẽ "đóng băng" hoàn toàn”, mẹ của cô bé, Angela cho biết. “Càng chuyển động nhiều, Ali sẽ càng bị đau đớn”.Với chứng bệnh của mình, cô bé Ali phải được dạy học tại nhà để tránh cho chứng bệnh tiếp diễn nhanh hơn khi cô bé hoạt động quá mạnh tại trường. Dù chuyển động khó khăn, nhưng bé Ali vẫn thích thú với những hoạt động ngoài trời với gia đình. “Thật khó để quyết định xem có nên cho phép con bé làm điều mà nó muốn hay không vì điều này sẽ khiến cho chứng bệnh diễn ra nhanh hơn. Chúng tôi luôn tự hỏi bản thân rằng liệu con bé có ghét chúng tôi hay không vì luôn cấm đoán làm những điều mà nó muốn khi nó vẫn còn có thể cử động được”, Angela cho biết thêm. Tuy nhiên, Angela và chồng mình, Gabe, cho biết cô con gái 6 tuổi của mình đã thể hiện một lòng dũng cảm và sự quyết tâm đương đầu với chứng bệnh một cách kinh ngạc. Chúng tôi rất kinh ngạc với sức mạnh, long can đảm và thái độ về cuộc sống của Ali khi bé mới chỉ 6 tuổi, ngay cả với những gì mà bé đang phải trải qua. Nước mắt đã rơi rất nhiều, nhưng chúng tôi vẫn biết cách để chia sẻ những ngày vui vẻ bên nhau”, Angela cho biết thêm. Dù không thể vận động mạnh, nhưng cô bé Ali vẫn thích thú với các hoạt động ngoài trời hay đi bơi cùng gia đình, dĩ nhiên luôn có sự giám sát kỹ càng của những người xung quanh. Gia đình McKean hy vọng sự tiến bộ của y học sẽ giúp chữa được cho căn bệnh của cô bé. Hàng ngày, cha mẹ của bé Ali vẫn phải kiểm tra xem tình trạng bệnh của con mình để đảm bảo bé vẫn có thể cử động được các chi của mình hay không. Hiện cha mẹ cô bé vẫn tin vào một ngày khoa học có thể tìm ra được cách chữa trị cho chứng bệnh của con gái mình.
Người có khả năng "bóc da" cổ dán lên mặt.
Anh Garry Turner sống ở thị trấn Caistor, thành phố Lincolnshire nước Anh được biết đến là người sở hữu lớp da có khả năng siêu đàn hồi, co giãn rất đặc biệt và có thể kéo giãn với mọi hình thức mà không bị đau. Người đàn ông 41 tuổi này có thể kéo lớp da dưới cằm lên… che miệng và mũi của mình. Garry có thể kéo da từ vùng cổ qua miệng mình lên tận vùng mặt mà da không hề bị xây xước hay rách. Không chỉ ở cằm, toàn bộ lớp da trên người Garry cũng dễ dàng kéo dài dưới mọi hình thức. Phần da ở ngực của Garry có thể kéo dài tới… 15,8cm. Thậm chí, anh có thể biến phần da ở bụng thành một chiếc bàn con đủ để đặt vừa ba lon bia lên đó. Với việc sở hữu “làn da” đặc biệt này, Garry từng tham gia cuộc thi Britain’s Got Talent (Tài năng nước Anh) và đã khiến Ban giám khảo hết sức kinh ngạc. Theo lý giải của các chuyên gia, Garry Turner mắc phải hội chứng rất hiếm gặp có tên gọi Elhers-Danlos Syndrome, một căn bệnh di truyền làm giảm số collagen khiến làn da của anh Turner trở nên bị suy yếu. Cơ thể của người bị bệnh có khả năng uốn dẻo và đàn hồi một cách thái quá do hiện tượng rối loạn các mô liên kết ở mạch máu cũng như lớp da khiến da của Garry trở nên cực kỳ mỏng và co dãn. Chứng bệnh này có thể làm cho các bộ phận trên cơ thể không thể liên kết với nhau, trong đó, dạ dày và các cơ quan nội tạng khác bị ảnh hưởng nhiều nhất. Mặc dù đây là một căn bệnh nhưng Garry lấy làm tự hào bởi theo anh thì nhờ căn bệnh này mà anh trở nên nổi tiếng toàn thế giới và có nhiều bạn bè. Không những thế, năm 1999, Garry Turner đã được ghi tên vào sách Kỷ lục Guinness với danh hiệu người có làn da co giãn, đàn hồi tốt nhất thế giới. Khi trưởng thành, Turner từng làm việc cho hội Circus of Horrors, một nhóm xiếc từng thi thố trong cuộc thi Britain's Got Talent. Còn hiện tại, anh là nghệ sĩ của nhóm Royal Family of Strange People, một nhóm nghệ sĩ có những biệt tài rất độc đáo thường xuyên biểu diễn ở London về khả năng uốn dẻo và hội chứng người dẻo.
Bệnh lạ: Cậu bé có gương mặt "hóa đá"
Một cậu bé 5 tuổi người người không thể cười vì mắc một hội chứng hiếm gặp khiến các cơ mặt của cậu bé bị liệt. Isaac Hughes, 5 tuổi, không thể bày tỏ cảm xúc vui hay buồn qua nét mặt bởi vì cơ mặt của cậu bé đã bilt hoàn toàn, do mặc một hội chứng hiếm gặp có tên là Moebius Syndrome. Hiện tại, chỉ 200 người ở Anh mắc hội chứng tương tự như cậu bé Isaac.
Hội chứng hiếm gặp Moebius Syndrome khiến Isaac Hughes không thể cười như những đứa trẻ khác. Isaac, đang sống cùng bố mẹ tại Mold (Xứ Wales), được phát hiện mắc hội chứng Moebius Syndrome khi được 8 tháng tuổi. Hội chứng khiến cậu bé không thể cử động cơ mặt cũng như gặp khó khăn về khả năng nghe và nhìn. Isaac không thể phản xạ bằng cách chớp mắt và chỉ biết chạy khi lên 3 tuổi. “Hội chứng Moebius Syndrome cũng ảnh hưởng tới khả năng nói cũng như cười của Isaac, nhưng con trai tôi là một cậu bé luôn vui vẻ và có ý chí”, cô Ceridwen Hughes, mẹ của Isaac, cho biết. Hội chứng Moebius Syndrome xuất hiện lúc khi sinh và ảnh hưởng tới một số dây thần kinh sọ não, khiến những người mắc phải không thể cử động cơ mặt. Một số triệu chứng của bệnh này có thể được điều trị khỏi bằng phẫu thuật hoăc liệu pháp thích hợp. Tuy nhiên, hiên chưa có bất cứ nghiên cứu nào được tiến hành để xác định nguyên nhân gây ra hội chứng Moebius Syndrome mà Isaac mắc phải. Vì thế, không có cách nào để giúp mọi người phòng tránh hội chứng này.
Cô gái mắc hội chứng “người khổng lồ” đột tử
Một cô gái người Mỹ mắc hội chứng “người khổng lồ” hiếm gặp trên thế giới vừa đột ngột qua đời ở tuổi 34 sau khi không ngừng phát triển suốt hơn chục năm qua.
Theo hãng thông tấn AP, vào thời điểm qua đời hôm 13/1 vừa qua, Tanya Angus, 34 tuổi, đến từ Las Vegas đã cao tới 2,18 mét và nặng khoảng 181,4kg. Cô là nạn nhân của một rối loạn hiếm gặp có tên gọi nôm na là “hội chứng người khổng lồ”, khiến cơ thể không ngừng phát triển.
Karen Strutynski - mẹ của Tanya kể, con gái bà từng thốt lên rằng: “Mẹ, con không hiểu tại sao con lại bị thế này. Nhưng con đoán là Chúa đã định đoạt rằng con có thể đối phó được nó”. Tanya đã nỗ lực không ngừng để chống chọi với căn bệnh hiếm gặp, bằng cách xuất hiện trên các chương trình truyền hình đặc biệt, các bản tin để thảo luận về hội chứng khiến khuôn mặt của cô bị biến dạng thành xấu xí và làm cô phải hứng chịu những cơn đau tăng tiến mãn tính. Tình trạng của Tanya là hậu quả của việc sản sinh quá nhiều hoóc môn tăng trưởng do một khối u ung thư tuyến yên của cô gây ra. Rối loạn này ảnh hưởng tới mọi mặt cuộc sống của cô. Từ quần áo tới giày dép, đồ trang sức, Tanya phải đặt làm riêng mới có những món đồ kích thước “khủng” vừa với mình. Rối loạn hiếm gặp khiến khuôn mặt Tanya bị biến dạng thành xấu xí. Cách đây hơn 12 năm, khi mới hơn 21 tuổi, Tanya vẫn được coi là bình thường với chiều cao 1,7 mét và nặng 59kg. Cô từng có người yêu và làm giám sát tại cửa hàng Walmart. Tuy nhiên, hội chứng “người khổng lồ” khởi phát ở dạng nặng nhất từng được ghi nhận không lâu sau đó đã khiến cuộc sống của Tanya phải gắn với xe lăn, rồi bị mất việc và cả người yêu.
Mẹ Tanya tiết lộ, nhiều người nhìn bên ngoài cứ tưởng con bà phải dùng xe lăn vì không biết cách kìm hãm cân nặng. Tuy nhiên, điều mà họ không biết là, Tanya chỉ ăn một bữa mỗi ngày và các thuốc điều trị khiến mặt của cô sưng phồng lên. Đến khi qua đời, Tanya đã cao tới 2,18 mét và nặng khoảng 181,4kg. Suốt 12 năm qua, Tanya đã làm mọi cách chống chọi với căn bệnh “phát triển không ngừng” cho tới hơi thở cuối cùng. Cô đã trải qua 3 cuộc phẫu thuật nhằm loại bỏ khối u ung thư nhưng tất cả đều thất bại. Các chuyên gia nhận định, áp lực cực điểm từ việc kích thước cơ thể bị “thổi phồng” tới mức khổng lồ đã khiến trái tim của cô ngừng đập.
Người phụ nữ mọc râu như đàn ông
Một phụ nữ người Anh mắc bệnh u buồng trứng, khiến cô mọc râu quanh miệng như một người đàn ông. Siobhain Fletcher, 36 tuổi, đang sống tại Leek, Staffordshire (Anh), vẫn phải hàng ngày cạo râu sau khi phát hiện râu mọc quanh miệng cô từ năm 17 tuổi. Đã có rất nhiều lần người ngoài nhầm tưởng cô là đàn ông. Với khuôn mặt mọc đầy râu, Siobhain thường xuyên gặp phải những lời chế nhạo từ những người xung quanh. Cô đã phải qua quãng thời gian dài đầy đau khổ và đấu tranh với tình trạng dị thường trên. Có những thời điểm cô cảm thấy vô cùng tự ti và không dám gặp mọi người. Da của Siobhain khá nhạy cảm nên việc tẩy râu bằng phương pháp waxing là hầu như không thể. Dùng các phương tiện khác cũng không hiệu quả bởi vì theo cách đó mỗi lần cũng chỉ bỏ được từ 10- 15 sợi lông, trong khi râu của cô lại quá dày. Một phương pháp tẩy lông hiệu quả hiện nay sử dụng công nghệ laser, nhưng Siobhain cũng không đủ khả năng tẩy lông bằng phương pháp này vì quá tốn kém. Ban đầu, Siobhain không biết nguyên nhân khiến cô mọc râu cho đến năm 2000 - khi các bác sĩ chẩn đoán cô bị mắc bệnh u nang buồng trứng - một hiện tượng có thể khiến cho con người ta phát triển râu tóc nhiều, chu kỳ kinh nguyện không đều, tăng cân và khó thụ thai. Tình trạng mọc râu của cô là do sự phát triển vượt trội của nồng độ testosterone, nên có thể điều trị bằng liệu pháp hormone nhằm loại bỏ testosterone dư thừa, nhưng phương pháp này có thể khiến người phụ nữ khó thụ thai. Vì thế, Siobhain đã quyết định không sử dụng các phương pháp tẩy lông và chấp nhận sống chung với râu rậm ở trên mặt. Thậm chí, cô còn để nguyên bộ râu để đi quyên góp cho các bệnh nhân ung thư tuyến tiền liệt. Cô đã kêu gọi quyên góp được hơn 700 bảng Anh
Kỳ lạ cô gái "hươu cao cổ"
Lyudmila Titchenkova, năm nay 16 tuổi, sống ở thành phố Nikolaev (Ukraina) khiến tất cả những ai gặp cô đều ngạc nhiên vì chiều cao tới hơn 2 mét và chiếc cổ dài như những chú hươu. Sau khi qua tuổi lên 10, cha mẹ của Lyudmila bắt đầu nhận thấy dáng vóc con gái mình phát triển vượt trội so với bạn bè cùng lứa. Cô bé cao hơn nhiều, cánh tay cũng dài hơn những trẻ khác, nhưng đáng chú ý là độ dài của cổ và độ cong bất thường của cột sống. Với hình dáng bên ngoài không giống những người khác, khi đó cô bé xinh xắn Lyudmila cảm thấy rất xấu hố và ngại ngùng khi đi ra ngoài. Khi được cha mẹ đưa đi khám, cô bé được chẩn đoán mắc một hội chứng có tên là Marfan - một rối loạn di truyền hiếm gặp của mô liên kết, có thể ảnh hưởng tới nhiều phần của cơ thể, thường gặp nhất là ở tim, mạch máu, xương, khớp và mắt. Ở trường hợp của Lyudmila, rối loạn này ảnh hưởng đến các mô liên kết trong xương sống, gây ra một đường cong 30 độ. Sau khi trải qua cuộc phẫu thuật chỉnh sửa, phục hồi chức năng để nắn thẳng cột sống, hiện giờ Lyudmila đã có thể sống một cuộc sống bình thường, cô muốn tiếp tục đi học và sẽ cố gắng để bệnh tật không ảnh hưởng đến mọi việc hàng ngày. Được biết, trên thế giới, cứ 5000 người thì có 1 người mắc hội chứng Marfan. Các biến chứng liên quan đến tim có thể làm giảm tuổi thọ của người bị bệnh. Hiện giờ chưa có thuốc chữa hội chứng này, tuy nhiên người bị mắc có thể kéo dài tuổi thọ nếu được phát hiện sớm và có hướng điều trị thích hợp.
Bệnh lạ: Cô bé có má khổng lồ
Bé gái Katie Renfroe, 4 tuổi, bị mắc hội chứng phì đại não bẩm sinh hiếm gặp, khiến một số bộ phận trên mặt của cô bé to bất thường.
Katie Renfroe, 4 tuổi, là đứa con thứ 6 trong 8 đứa con của ông bà Angie và Danial Renfroe ở Paxton (Anh). Nhưng Katie không may mắn bị mắc hội chứng mắc hội chứng phì đại não bẩm sinh do đột biến gene, khiến một số bộ phân trên mặt của cô bé to bất thường. Hội chứng cũng khiến Katie phải tham gia phẫu thuật cắt bỏ một phần não khi còn sơ sinh để tránh não phình to thêm bởi vì não của cô bé phát triển nhanh gấp 50 lần so với bình thường.
Katie được phát hiện có những dấu hiệu không bình thường từ khi còn trong bụng mẹ. Trong lần kiểm tra siêu âm đầu tiên, các bác sĩ phát hiện thấy thai nhi trong bụng bà Angie có hình dạng đầu không bình thường. Tại thời điểm 3,5 tháng tuổi trong bụng mẹ, các bác sĩ tại bệnh viện Sacred Heart ở Pensacola nhận thấy đầu của Katie lớn gấp 3 lần so với bình thường. Sau đó, các bác sĩ đã xác định cô bé bị mắc hội chứng đột biến gene phì đại não.
Katie chào đời bằng phương pháp sinh mổ tại bênh viện Sacred Heart vào tháng 1/2008. Angie không nhớ nhiều lắm về thời điểm cô sinh Katie trừ đặc điểm cô bé có má rất lớn và đáng yêu, trong khi, ông bố Danial tưởng tượng cặp má của con gái như 2 chùm nho. Khi Katie càng lớn, má của cô bé càng phình to. Tai cũng bị biến dạng khiến thính giác của cô bé bị suy giảm. Lưỡi của Katie cũng to hơn bình thường nhưng vẫn có thể di chuyển linh hoạt trong miệng.
Bệnh lạ: Cậu bé không thể nhịn cười
Tất cả các bậc cha mẹ đều mong muốn nhìn thấy con mình lớn lên với nụ cười trên môi, nhưng đối với vợ chồng anh chị Gale and Craig Eland, nụ cười trên môi của cậu con trai lại khiến họ phiền lòng. Cậu bé 2 tuổi Elliot, đang sống cùng với bố mẹ ở Preston, Lancashire (Anh), chào đời với hội chứng Angelman - một loại đột biến nhiễm sắc thể, khiến cậu bé gặp khó khăn trong việc học. Đây là hội chứng rất hiếm gặp với chỉ khoảng hơn 1.000 trường hợp tại Anh.
Hội chứng Angelman cũng gây ra ảnh hưởng phụ khiến Elliot có xu hướng dễ bị kích thích và thường cười trong một thời gian rất dài. Ngoài ra, do ảnh hưởng của hội chứng này, cậu bé 2 tuổi cũng chỉ ngủ được khoảng vài giờ mỗi đêm. “Elliot có thể ngủ rất dễ dàng, nhưng cậu bé thường thức dậy vào lúc nửa đêm và không thể ngủ lại” Gale Eland, mẹ của Elliot, cho biết. “Chúng tôi ước tình rằng con trai của mình chỉ ngủ được khoảng 4 giờ mỗi đêm”.
Vợ chồng anh chị Gale and Craig Eland phát hiện thấy con trai của họ có những dấu hiệu lạ khi cậu bé gặp khó ăn trong việc bú sữa mẹ. “Khi được 6 tuần tuổi, các bác sĩ cảm thấy Elliot trông rất gầy và giới thiệu chúng tôi đưa con trai đến bệnh viện Hoàng gia Preston. Sau khi được tiến hành thử máu, chụp MRI và X-quang, các bác sĩ chuyên khoa nhi của bệnh viện đã xác định con trai chúng tôi bị mắc hội chứng Angelman”, Gale Eland cho biết.
Tuy nhiên, hiện tại hội chứng này chưa có biện pháp chữa trị hữu hiệu, nên các bác sĩ khuyên bố mẹ của Elliot tìm hiểu về hội chứng này trên mạng internet để có phương pháp chăm sóc tốt nhất cho cậu bé. Hiện tại, Elliot và gia đình đang tham gia tổ chức ASSERT - một nhóm từ thiện chuyên giúp đỡ những gia đình có người mắc hội chứng Angelman.
Những trường hợp biến đổi gene kì lạ trên thế giới
Trên thế giới hiện này đã chứng kiến rất nhiều trường hợp đột biến gene mà những thông tin và hình ảnh về chúng luôn khiến cho tất cả chúng ta phải kinh ngạc.
Gia đình người sói
Ba chị em Savita, 23 tuổi, Monish, 19 tuổi, Savitri, 15 tuổi- và mẹ của các em, chị Anita Sambhaji Raut (Ấn Độ) mắc phải một loại đột biến gene cực kỳ hiếm gặp, với tỉ lệ tác động 1/1 tỉ người, khiến cho toàn bộ thân thể và khuôn mặt của họ bị phủ đầy lông lá và chúng vẫn tiếp tục phát triển từng ngày. Tình trạng trên có tên là Werewolf Syndrome - làm cho các tế bào tại những khu vực vốn ít khi lông phát triển - vẫn mở rộng và tạo điều kiện cho chúng phát triển xum xuê. Có khi nó chỉ ảnh hưởng tới một số khu vực đặc biệt, có khi nó tác động đến toàn thân. Đáng tiếc là hiện tại vẫn chưa có phương pháp nào để chữa trị hội chứng trên, và họ chỉ còn biết trông cậy vào sự trợ giúp của một loại kem tẩy lông đặc biệt.
Lực sĩ 3 tuổi
Nhìn vào bức ảnh trên, ai có thể ngờ được rằng đó chỉ là một cậu nhóc lên 3. Một loại đột biến gene hiếm gặp có tên là Myostatin-Related Muscle Hypertrophy, đã khiến cho cậu nhóc Liam Hoekstra (Michigan- Mỹ) ăn như hạm (6 bữa lớn 1 ngày). Sự khiếm khuyết trong mã di truyền đã khiến cho các khối cơ của em phát triển một cách vượt mức và cậu bé có thể nhấc bổng các đồ đạc nặng trong gia đình mà đến người lớn cũng phải lắc đầu. Sự khác thường của em được thể hiện từ rất sớm khi 2 ngày tuổi em đã có thể bước đi. Em còn tham gia cuộc thi Iron Cross - nơi mà mọi người thể hiện khả năng tự nâng đỡ thân mình chỉ bằng tay. Được biết hiện nay trên thế giới chỉ có khoảng 100 trường hợp như thế, và nó không có những tác động tiêu cực đến sức khỏe.
Hai chị em sinh đôi với 2 màu da trái ngược
Chưa đầy 1 tuổi nhưng Kian và Remee- 2 cô bé người Anh đã gây ngạc nhiên trên toàn thế giới khi lần đầu tiên bố mẹ của các em chia sẻ hình ảnh của chúng trên báo. Họ không thể tin được rằng đó là 2 đứa trẻ sinh đôi bởi một bé có nước da ngăm đen, còn bé kia trắng toát. Đã có rất nhiều người hỏi mẹ em rằng tại sao lại mặc đồ cho bọn trẻ giống nhau, và họ đều trố mắc kinh ngạc khi được bà mẹ trẻ giải thích đó là 2 bé sinh đôi. Được biết đôi vợ chồng trẻ này đều có mẹ là người da trắng và bố là người da đen. Theo giải thích của các nhà khoa học thì màu da được quyết định bởi 7 loại gene khác nhau cùng hoạt động. Nếu cả bố mẹ đều là những chủng tộc lai thì trứng và tinh trùng của họ sẽ chứa cả tổ hợp của mã di truyền cho cả màu da đen lẫn trắng. Tỉ lệ của trường hợp trên là 1/1 triệu ca. Còn nếu trứng và tinh trùng chỉ chứa gene màu da trắng thì đứa bé chỉ thể hiện màu da trắng mà thôi.
Gia đình không có dấu vân tay
Một loại đột biến gene có liên quan đến da mang tên là SMARCAD1, đã khiến cho một gia đình của Thụy Sĩ không hề có dấu vân tay. Phát hiện được đăng tải trên tờ American Journal of Human Genetics cho biết: dấu vân tay của con người được hình thành đầy đủ trước 24 tuần sau khi thụ tinh và nó sẽ không có bất cứ sự thay đổi nào trong suốt cuộc đời. Tuy nhiên, các yếu tố ảnh hưởng đến sự hình thành của dấu vân tay trong quá trình phát triển của phôi thai- thì cho đến nay vẫn còn là một điều bí ẩn. Các nhà khoa học cho rằng phát hiện trên không chỉ nghiên cứu về sự hình thành của dấu vân tay, mà còn giúp chúng ta hiểu nhiều hơn về những phương diện còn đầy bí ẩn trong sự phát triển của con người và sinh giới.
Cô gái phải ăn mỗi 15 phút để sinh tồn
Nếu người một người bình thường chỉ cần ăn một ngày ba bữa thì cô gái 21 tuổi Lizzie Velasquez với hội chứng Neonatal Progeroid lại không thể sống được nếu không ăn ít nhất 60 bữa ăn một ngày. Bạn sẽ tự hỏi tại sao Lizzie lại phải ăn nhiều tới vậy, nguyên nhân sâu xa đến từ việc hội chứng khiến cho Lizzie không thể tăng cân cho dù có ăn nhiều tới mức nào đi chăng nữa. Không chỉ có vậy, các quá trình lão hóa trên cơ thể cô gái cũng diễn biến nhanh hơn một cách bất thường bên cạnh việc chất béo liên tục bị đào thải trên mặt và cơ thể. Cách chống chọi duy nhất mà các bác sĩ có thể dành cho Lizzie lúc này là ăn “càng nhiều càng ít” vì gần như cô không thể hấp thụ dù chỉ là một phần nhỏ lượng thức ăn khổng lồ mỗi ngày.
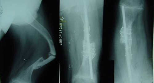
Cậu bé "búp bê sứ" có đôi chân biến dạng nghiêm trọng
 |
Do mắc hội chứng "búp bê sứ" hiếm gặp mà cậu bé Tiểu Lưu thường xuyên bị gãy xương, điều này đã dẫn tới tình trạng đôi chân cậu bị cong vênh. Hội chứng xương giòn là loại bệnh khiến người bệnh thường bị gãy xương, vì vậy, mọi người ví những bệnh nhân này là “búp bê sứ”. Cậu bé 11 tuổi tên là Tiểu Lưu sống tại Hà Bắc, Trung Quốc cũng là một trong số những người bị mắc bệnh này. Từ khi còn nhỏ, xương chân của Tiểu Lưu đã bị gãy không biết bao nhiêu lần. Đôi chân của em cũng vì thế mà chịu nhiều di chứng và biến dạng nghiêm trọng theo. “Búp bê sứ” là kết quả của sự xuất hiện các gen bất thường, gây ảnh hưởng đến tổng hợp mô liên kết. Dù chỉ có một vết thương nhỏ, bệnh nhân cũng có thể bị gãy xương. Biểu hiện của bệnh là xuất hiện nhiều vết nứt gãy ở xương, đặc biệt là với những người mắc bệnh bẩm sinh. Nhiều lần bị gãy xương như vậy sẽ khiến chiều cao của bệnh nhân tụt giảm, tuy nhiên, qua tuổi dậy thì bệnh cũng có xu hướng giảm dần. Ngày nay, trong điều kiện trình độ y học còn giới hạn, vẫn chưa có dụng cụ chuyên môn để chữa bệnh cho Tiểu Lưu. Vì vậy, đội ngũ bác sĩ đã thiết kế ra một thiết bị chuyên dụng để điều trị riêng cho Tiểu Lưu.
Quá trình phẫu thuật chủ yếu là để làm thẳng phần xương bị biến dạng, sau đó là cấy một ống nẹp chuyên dụng vào chân để cố định. Cách làm này tuy có thể giữ vững được vùng xương gãy nhưng cũng không thể đảm bảo cho vùng xương bên dưới hay bên trên nẹp không bị gãy. Mặc dù hiện nay y học thế giới vẫn chưa tìm ra phương hướng điều trị triệt để căn bệnh kỳ lạ này tuy nhiên tình trạng của cậu bé Tiểu Lưu cũng đã có chiều hướng tích cực hơn sau đợt điều trị kéo dài. Vậy là sau 3 năm, cậu bé Tiểu Lưu 14 đã có thể đi lại bình thường và tham gia các hoạt động nhẹ. Ngoài ra, gia đình Tiểu Lưu còn cho biết, thành tích học tập của em rất tốt, em đã đạt được giải nhất cấp quận.
 |
 |
Tình trạng của Tiểu Lưu sau 3 năm điều trị. |
Người đàn ông được chẩn đoán mắc Hội chứng muộn giờ mãn tính
Thật khó có thể tin nổi thói quen xấu tưởng chừng chẳng liên quan gì tới sức khỏe này lại là một chứng bệnh nan y khó chữa. Thói quen thường xuyên muộn giờ không chỉ khiến người khác cảm thấy khó chịu mà còn gây ảnh hưởng ít nhiều tới công việc và sinh hoạt đời sống hằng ngày của những khổ chủ bất đắc dĩ như ông Jim Dunbar 57 tuổi, sống tại thị trấn Forfar, hạt Angus, Scotland. Ông Dunbar cho biết, thói quen muộn giờ không phải do lỗi của ông mà là do Hội chứng Muộn giờ mãn tính ông đang mắc phải.
 |
Ông Jim Dunbar được chẩn đoán mắc Hội chứng Muộn giờ mãn tính. |
Ông Dunbar luôn có thói quen muộn giờ trong tất cả mọi việc mặc dù ông đã cố gắng hết sức để khắc phục tật xấu này. Trong phòng khách, ông Dunbarcòn sắm hẳn một chiếc đồng hồ đặc biệt, sử dụng tần số radio làm công cụ chỉnh giờ chính xác tuyệt đối đến từng giây nhưng nó chưa bao giờ đem lại hiệu quả với ông. Thậm chí, để đảm bảo giờ giấc, ông Dunbarcòn chỉnh đồng hồ nhanh lên nhưng kết quả vẫn là con số 0. Được biết, từ khi còn là cậu học sinh 5 tuổi, ông Dunbar đã luôn muộn giờ, từ muộn học, đi dự đám tang, gặp bạn bè cho đến muộn buổi nhạc kịch yêu thích... Mặc dù đã nói với gia đình về chứng bệnh nan y này nhưng bố mẹ ông Dunbar đều không tin và chỉ nghĩ đó là lời ngụy biện của con trai mình mà thôi. Trên thực tế, hội chứng mà ông Dunbarmắc phải gây ảnh hưởng tới một phần não bộ. Nó tác động tới người bệnh như Hội chứng Tăng động giảm chú ý (Attention Deficit Hyperactivity Disorder - ADHD) thường thấy ở trẻ em quá hiếu động. Hội chứng Muộn giờ mãn tính khiến ông Dunbar không thể ước lượng được khoảng thời gian. Cũng chính vì căn bệnh lạ này mà người đàn ông đã mất việc rất nhiều lần. "Tôi tự hỏi vì sao mình không thể đúng giờ. Tôi có thể hiểu được phản ứng của người khác và hiểu được vì sao họ không tin tôi. Thi thoảng, căn bệnh làm tôi cảm thấy rất vô cùng chán nản.", ông Dunbarbộc bạch.
 |
Ông đã sử dụng mọi biện pháp để khắc phục thói quen xấu nhưng tất cả đều vô ích. |
Sự thật về các hội chứng ăn uống "khác thường" của con người
Hội chứng ăn đêm, ăn tất cả mọi thứ, chán ăn tâm thần... là những chứng bệnh quái đản. Con người muốn duy trì sự sống thì cần phải nạp các chất dinh dưỡng, năng lượng vào cơ thể bằng cách ăn uống. Để có một sức khỏe tốt thì cần phải kết hợp chế độ ăn uống và vận động hợp lý. Hiện nay, các nhà khoa học đã phát hiện ra ngày càng nhiều chứng bệnh rối loạn gây nên sự đảo lộn trong việc ăn uống, làm cho quá trình này trở nên bất thường và ảnh hưởng nghiêm trọng đến sức khỏe…
Hội chứng ăn đêm
Hội chứng ăn uống vào ban đêm (Night Eating Syndrome) là một rối loạn mới được phát hiện và nghiên cứu trong những năm gần đây. Ban ngày, những người mắc rối loạn ăn ít hơn so với bình thường, biểu hiện nổi bật là họ thường bỏ bữa sáng hoặc ăn rất ít trong nửa ngày đầu tiên. Vào ban đêm, những người này hay bị mất ngủ và… đi tìm đồ ăn cho vào bụng. Nhưng sau khi no bụng, họ vẫn khó tìm lại giấc ngủ, có khi lại thức trắng đêm. Theo điều tra của các nhà khoa học, vì hơn một nửa nguồn năng lượng lấy vào cơ thể trong một ngày được tiêu thụ sau 8h tối nên có đến 33% người mắc hội chứng ăn đêm này bị béo phì. Nghiên cứu còn cho thấy nguyên nhân của hội chứng ăn đêm thường liên quan đến trầm cảm, stress, căng thẳng thần kinh và nó tiềm ẩn một nguy cơ cao gây bệnh về chuyển hóa, đặc biệt là bệnh tiểu đường.
Chứng bệnh chán ăn tâm thần
Bệnh chán ăn tâm thần (Anorexia Nervosa) là căn bệnh thường gặp ở nhóm phụ nữ trẻ với tỷ lệ 1%, có các triệu chứng nổi trội như là nhẹ cân, thường có cảm giác không hài lòng về hình dáng cơ thể, bị ám ảnh, sợ hãi tăng cân. Người mắc chứng chán ăn luôn tìm cách để giảm cân bằng mọi giá, kể cả phương pháp tiêu cực. Họ chủ động nhịn ăn thường xuyên, thuốc làm ăn mất ngon, ăn kiêng… chủ động làm nôn mửa hoặc tập thể dục rất nặng để tiêu hao năng lượng. Nguyên nhân gây chán ăn tâm thần bắt nguồn từ các yếu tố thần kinh, tâm lý, khác với bệnh chán ăn sinh lý do các bệnh thực thể gây ra. Những người này nhận thức về trọng lượng cũng như sắc đẹp cơ thể hết sức sai lệch, dẫn đến việc coi thường ăn uống. Chán ăn tâm thần có thể làm ảnh hưởng nghiêm trọng đến các cơ quan và hoạt động sinh lý, đặc biệt là cấu trúc và chức năng của tim và hệ thống tim mạch, suy yếu cơ bắp và giảm khả năng miễn dịch. Có đến 6% trường hợp mắc bệnh tử vong, cao nhất trong các chứng rối loạn tâm lý.
Các chuyên gia phát hiện ra rằng, bệnh chán ăn cũng giống như nghiện heroin hay nghiện rượu, khi cai xong vẫn rất dễ tái phát. Hiện nay căn bệnh này khá phổ biến trên thế giới, đặc biệt trong giới người mẫu. Năm 2006, một trường hợp nổi tiếng mắc chứng bệnh này đã vĩnh viễn ra đi, đó là siêu mẫu người Brazil - Ana Carolina Reston, 21 tuổi với cân nặng chỉ gần 40kg trong khi cao đến 1m73.
 |
Ana Carolina Reston trước và sau khi mắc chứng bệnh chán ăn. |
Rối loạn ăn uống lành mạnh Orthorexia
Orthorexia hay còn gọi là “rối loạn ăn uống lành mạnh”. Đây là một thuật ngữ được đặt bởi bác sĩ Steven Bratman dùng để mô tả một rối loạn tâm thần mà người mắc phải luôn bị ám ảnh bởi chất lượng thực phẩm mà họ nạp vào cơ thể, tức là ăn uống một cách lành mạnh quá mức theo tiêu chuẩn của cá nhân.
Nỗi ám ảnh với thực phẩm mà người bệnh cho là không lành mạnh có thể được hình thành trong thói quen gia đình, xu hướng xã hội, các vấn đề kinh tế hay thậm chí chỉ cần nghe một tin tiêu cực về một thực phẩm, họ sẽ loại bỏ ngay nó ra khỏi chế độ dinh dưỡng mãi mãi. Biểu hiện rõ nét ở loại bệnh này là người bệnh tránh hoặc hạn chế đến tối đa các chất béo hay đường, muối, cà phê, rượu, chất bảo quản…
Vì kiêng cữ quá nhiều nên chế độ ăn uống của họ trở nên khó khăn và có thể thiếu dinh dưỡng, nhiều trường hợp dẫn đến tử vong. Họ rất khắt khe với bản thân về việc ăn thức ăn lành mạnh và cảm thấy vô cùng khó chịu khi không tuân theo “luật ăn uống” đó. Hiện nay, ở phương Tây, số lượng người mắc chứng rối loạn này khá nhiều, tuy nhiên, nó vẫn chưa được giới khoa học thực sự công nhận.
Chứng bệnh Pica
Bệnh Pica có nguồn gốc từ tiếng Latin "magpie" - chim ác là. Đây là loài chim có hành vi ăn uống khác thường, nó ăn gần như tất cả những thứ có thể ăn. Tương tự vậy, Pica là chứng rối loạn mà người mắc phải sẽ có cảm giác ngon miệng đối với những thứ không phải là thực phẩm bình thường. Họ có thể ăn ngon lành những thứ như phân động vật, đất sét, bụi bẩn, sơn, cát, giấy, than đá… Những nghiên cứu về căn bệnh ăn uống lạ đời này đã tìm ra nguyên nhân chủ yếu là thiếu hụt khoáng chất gây ra cảm giác thèm ăn. Hiện nay Pica đang được công nhận là một rối loạn tâm thần. Căn bệnh này thường thấy ở trẻ nhỏ và phụ nữ, đặc biệt là phụ nữ mang thai và người bị mắc chứng tự kỷ. Hẳn các bạn đã nghe nhiều người già kể chuyện thèm thuốc lá, ngửi và ăn bùn từ vách đất khi mang thai, đó là triệu chứng của bệnh Pica diễn ra trong giai đoạn thai kỳ ở phụ nữ. Đây là một rối loạn khá nguy hiểm khi người bệnh ăn những dạng phi thực phẩm - có rất ít hoặc hoàn toàn không có giá trị dinh dưỡng. Đôi khi, chúng còn chứa chất độc khiến người "thưởng thức" gặp một số biến chứng như nhiễm trùng, tắc ruột, nhiễm độc chì, suy dinh dưỡng… dẫn đến tử vong.
Em bé có làn da tự phát ra khí gas gây cháy
Trường hợp bệnh tình của bé trai 3 tháng tuổi người Ấn Độ này được xem là một trong những căn bệnh vô cùng hiếm có trên thế giới. Niềm vui chào đón thành viên mới chợt đến chưa lâu, thì chỉ 9 ngày sau khi con trai chào đời, gia đình chị Rajeswari bỗng phát hiện những vết bỏng tự nổi lên trên làn da non nớt của cậu bé. Cách đây khoảng 3 tháng, chị Rajeswari đến từ làng Nedimoliyur, thành phố Villupuram, bang Tamil Nadu, Ấn Độ hạ sinh một bé trai khỏe mạnh được đặt tên là Rahul. Nhưng chỉ sau đó hơn 1 tuần lễ, da của bé Rahul bắt đầu có biểu hiện như vừa lướt qua biển lửa. Được biết, cậu bé 3 tháng tuổi này đã trải qua tổng cộng 4 lần phát bỏng như vậy. Đợt đầu tiên xảy ra sau khi bé chào đời khoảng 9 ngày và đợt gần nhất là cách đây 3 tuần.
 |
Bé Rahul với những vết bỏng tự phát trên cơ thể. |
Điều khiến người mẹ đau lòng hơn cả là mọi người đều hiểu nhầm chị cố tình châm lửa đốt con. Cũng chỉ vì căn bệnh lạ quái ác này mà chị Rajeswari và cả gia đình bị dân làng tẩy chay và xa lánh. Tuy nhiên, qua tìm hiểu và xét nghiệm, cậu bé Rahul thực chất bị mắc căn bệnh Bỏng tự phát (Spontaneous Human Combustion - SHC). Đây được coi là một căn bệnh hiếm gặp trên thế giới, thậm chí còn được coi là hiếm trong những loại bệnh hiếm. Trong khoảng 300 năm đổ lại đây, thế giới mới ghi nhận được 200 trường hợp. Ca mới nhất được ghi nhận là xuất hiện tại Mỹ năm 2010. Thứ sáu vừa qua, bé Rahul đã được nhập viện điều trị tại Nhi khoa chăm sóc đặc biệt thuộc Bệnh viện Đại học Y tế Kilpauk (KMC), thị trấn Chennai. Bác sỹ R. Narayana Babu - Trưởng Khoa Nhi cho biết, nguyên nhân dẫn tới hiện tượng bỏng rát da này là các khí gây cháy phát ra từ cơ thể bệnh nhân mà không tới bất cứ tác động nào từ phía bên ngoài cơ thể. Bác sĩ Babu cũng cảnh giác, quần áo và những đồ đạc dễ cháy cũng có khả năng bắt lửa cao. Vì vậy, người nhà phải túc trực bên cạnh Rahul ngày đêm, tránh cho bé tiếp xúc với ánh nắng mặt trời và chỉ cho bé mặc loại quần áo thích hợp khi đủ tuổi. Để đề phòng trường hợp khẩn cấp, các bác sĩ luôn đặt cạnh giường của Rahul một bình nước và bình cứu hỏa. Phương pháp điều trị hiện thời đối với bé là bôi thuốc mỡ lên bề mặt da bị bỏng.