Tóm tắt
Strongyloides stercoralis là một loại giun tròn, đặc biệt lưu hành ở một vài vùng như Đông Nam Á. Do khả năng đặc biệt của giun trong chu kỳ là có tính tự nhiễm, nên cơ thể người sẽ là nơi cư trú rất tốt cho loài ký sinh trùng này. Trong chu kỳ gây bệnh, pha di chuyển trong phổi có thể khiến nhầm lẫn với bệnh hen trên lâm sàng và làm cho chẩn đoán sai. Trên bệnh nhân bị suy giảm miễn dịch, sự nhiễm trùng strongyloides stercoralis có thể dẫn đến bệnh toàn thân và suy hô hấp. Trong khi sử dụng corticoides đường toàn thân rất có ích trong một số bệnh lý, song nó lại là điểm làm suy yếu miễn dịch, tạo điều kiện cho giun lươn xâm nhập lan tràn, thấy thuốc lâm sàng khó nghĩ đến. Hai ca bệnh sau đây minh họa cho quan điểm này với 2 mức độ khác nhau. Ca bệnh đầu tiên liên quan đến tình trạng hen mạn tính vì có bất thường về hô hấp và bệnh giun lươn được biểu hiện trên nền đó. Ca thứ 2 liên quan đến một phụ nữ mắc bệnh lupus ban đỏ hệ thống (SLE) phải lệ thuộc corticoides và người này cũng không được chẩn đoán giun lươn nên đã suy hô hấp và tử vong. Trong khi, hiện khó khăn chẩn đoán và dấu hiệu lâm sàng chưa rõ ràng, nên chăng chúng ta phải thường xuyên nghi ngờ những du khách hoặc người di cư từng những vùng lưu hành. Việc can thiệp điều trị bệnh sớm sẽ cứu được tính mạng bệnh nhân, bằng chứng nhiễm giun lươn đối khi phải được xem xét nhất là các bệnh nhân có nguy cơ cao đang trong tình trạng suy giảm miễn dịch, đặc biệt có biến chứng nghiêm trọng về hô hấp.
Giới thiệu
Mặc dù loại ký sinh trùng giun lươn có mặt khắp mọi nơi, người ta nhìn nhận nó có mặt tại một số vùng trên thế giới, nhất là vùng Đông Nam Á, vùng đông nam của Mỹ và vùng Caribbe. Các báo cáo trong y văn trước đây, pha di chuyển trong phổi của giun lươn có thể là đặc trưng cho một cơn hen cấp tính. Bệnh giun lươn không triệu chứng có thể rất nghiêm trọng trên những bệnh nhân mắc bệnh phổi hoặc bệnh tự miễn đã được điều trị bằng corticoides toàn thân, dẫn đến hội chứng tăng nhiễm và suy hô hấp. Khi mắc phải, việc điều trị nhằm mục đích làm giảm tình trạng viêm cấp tính có thể hoặc làm giảm sinh sản hoặc cho phép tình trạng nhiễm trùng nặng nề hơn.Với lý luận này, các bệnh nhân bị suy giảm miễn dịch hoặc suy hô hấp có phơi nhiễm với vùng lưu hành giun lươn thì nên nghĩ đến bệnh giun lươn và ở đây chúng tôi trình bày 2 ca bệnh như thế.
Ca bệnh thứ 1
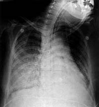
Ca bệnh đầu tiên là một đàn ông 75 tuổi, người Việt Nam với tiền sử 5 năm bị hen được kiểm soát bằng corticoides liên tục, nên điều này buộc ông ta phải nhập viện nhiều lần. Vào tháng 6 năm 1998, bệnh nhân nhập viện vào khoa cấp cứu của bệnh viện Pomona Valley Hospitalvì suy hô hấp hai ngày sau khi ông ta điều trị hen phế quản mạn tính tại đây 10 ngày. Ông ta cũng đã có kinh nghiệm trong điều trị bệnh của mình theo những cơn khó thở không còn đáp ứng với beta-agonist. Ông ta không thừa nhận có sốt, nhưng khai bệnh có các vết ngứa và dị ứng trên da vùng bụng. Thuốc được cho vào thời điểm nhập viện bao gồm prednisone (40 mg mỗi ngày), theophylline, zafirlukast, albuterol, và ipratropium/ triamcinolone acetonide cho liều có kiểm soát. Bệnh nhân có tiền sử nghiện thuốc lá 50 gói/năm nhưng không hút thuốc lá trong vài năm gần đây. Khám thực thể cho thấy bệnh nhân suy hô hấp cấp, huyết áp 190/94, có tiếng khò khè 2 bên phổi và nổi các ban đỏ dạng herpes (serpiginous erythematous rash) lên phần bụng dưới và phần trên đùi, sau khi thông khí tại cấp cứu ICU, khí máu cho trị số pH 7.17, pCO2 là 102 và pO2 là 131 trên 100% O2 không (non-rebreather mask). X-quang phổi biểu hiện tăng thâm nhiễm khoảng kẻ hai bên (hình 1,2). Giá trị xét nghiệm cho biết công thức bạch cầu 24,000 với 5% eosin, glucose máu 216. nhuộm Gram dờmthì dương tính với nhiều bạch cầu và ấu trùng giun lươn Strongyloides stercoralis (hình 3). Xét nghiệm phân âm tính với ấu trùng giun lươn, nhưng phát hiện thấy trứng của giun móc hoặc giun mỏ Necator americanus hoặc Ancyclostoma duodenale.
Bệnh nhân được điều trị methylprednisolone, aminophylline và piperacillin/tazobactam đường tĩnh mạch để khống chế tình trạng viêm phổi. Một liệu trình 3 ngày với albendazole (400 mg mỗi ngày) được cho điều trị cả giun lươn và giun móc/mỏ, sau đó kiểm tra lại phân thì âm tính. Tiếc thay, nhuộm Gram đờm vẫn dương tính với ấu trùng giun lươn. Tiếo tục dùng liệu trình 2 ngày ivermectin (200 ug/kg mỗi ngày), triệu chứng suy hô hấp của bệnh nhân được cải thiện rõ ở các vùng tổn thương. Mặc dù được cải thiện, song bệnh nhân vẫn còn ấu trùng giun lươn trong đờm. Liệu pháp Ivermectin tiếp tục trong 9 ngày và methyl-prednisolone cho cùng thời gian này, cho đến khi đờm âm tính với ấu trùng. Bệnh nhân được chuyển sang đơn vị chăm sóctiếp theo để phục hồi chức năng truowcs khi xuất viện và vẫn tiếp tục cho prednisone liều thấp mỗi ngày (10 mg mỗi ngày).
Ca bệnh thứ 2
Một phụ nữ người Cambodia 40 tuổi với bệnh sử 4 năm mắc bệnh SLE, biến chứng thứ phát viêm thận và viêm mao mạch và nhiều dấu chứng nghiêm trọng khác phải nhập viện và điều trị liệu pháp corticoides kéo dài. Hai ngày trước khi nhập phòng cấp cứu, bệnh nhân bị buồn nôn và nôn mửa, kèm theo đau bụng và sốt. Chế độ thuốc gần đây bao gồm prednisolone (50 mg mỗi ngày) và plaquenil (200 mg hai lần mỗi ngày).
Khám thực thể, bệnh nhân suy nhược, nhiệt độ 102.2F và mạch 104 lần / phút. Bụng mềm, phản ứng thành bụng nhạy cảm đau, gõ nghe âm đục vùng bụng. Vùng bụng không có hơi (qua chụp Xquang bụng). Siêu âm cho thấy dịch trong ổ bụng có khả năng do ruột thừa vở hoặc u nang buồng trứng vở. Một đau bụng cấp được nêu ra, mổ ổ bụng thăm dò cho thấy dịch không có mủ lượng vừa (mild non-purulent ascites) và hoàn toàn không có bằng chứng là viêm ruột thừa cấp. Nhuộm Gram dịch phúc mạc âm tính nhưng cấy lại dương tính với staphylococcus. Bệnh nhân chịu cuộc mổ ruột thừa không biến chứng và cho kháng sinh sau mổ. Giải phẩu bệnh cho biết có thâm nhiễm eosin nhẹ.
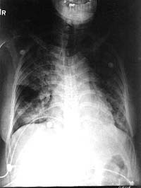
4 ngày sau khi phẩu thuật, bệnh nhân phát sốt và thở nhanh. Nghe phổi có ral nổ (crackles) hai bên toàn phế trường. X quang phổi cho thấy thâm nhiễm phế nang lan tỏa (hình 4). Công thức bạch cầu cho thấy 15.000 với Hb 8.2 và Hct 24.1%; cấy đờm cho kết quả vài cầu khuẩn gram dương và cấy máu âm tính. Bệnh nhân tiến triển suy hô hấp cấp và phải đặt ống cho thở máy. Khí máu cho kết quả pH 7.28, pCO2 là 40, pO2 là 105 trên70% FIO2 phải trợ thông khí. Điều trị kháng sinh phổ rộng diệt vi khuẩn kỵ khí cũng như các loại vi khuẩn không điển hình thương gây nhiễm trùng cơ hội. Mẫu bệnh phẩm đờm được nhuộm và nuôi cấy để đánh giá có khả năng là Pneumocystis, Strongyloides, Cryptococcus, hay nhiễm Mycobacterium. Phân tích huyết thanh học với kháng nguyên Cryptococal và kháng thể coccidioidal antibodies được thực hiện dựa theo quy trình sàng lọc nước tiểu đối với kháng nguyên của chủng Legionella.
Mặc dù kết quả của tất cả đều âm tính qua 3 ngày nuôi cấy và xét nghiệm, bệnh nhân vẫn diễn biến suy hô hấp, đòi hỏi phải xử trí an thần và mức FIO2 lên đến 100% (hình 5). Phế trường hai bên phổi cho thấy tăng thâm nhiễm ở các phế nang. Vì tình trạng của bà ta quá kém, bệnh nhân đã xuất huyết và xuất tiết tự phát và nổi vết ban đỏ trên bụng. Mặc dù tốc độ lắng máu bình thường, sự tiến triển của viêm phổi do lupus ban đỏ với các biểu hiện viêm mao mạch dưới da là có khả năng. Vào lúc này, một mẫu đờm dương tínhvới ấu trùng Strongyloides stercoralis và bệnh nguyên cuối cùng đã rõ (hình 6). Tiếc thay, đã quá muộn và khi cho liệu pháp khởi đầu ivermectin (200 ug/kg mỗi ngày) và thiabendazole (25 mg/kg mỗi ngày), bệnh nhân đã ngừng phổi ngừng tim và không đáp ứng với hồi sức tích cực. Chẩn đoán cuối cùng là Hội chứng tăng nhiễm do giun lươn (Strongyloides hyperinfection syndrome) dẫn đến viêm phúc mạc, suy hô hấp và tử vong.
Sinh bệnh học
Để tiếp cận đến chẩn đoán và điều trị một cách chính xác cho bệnh giun lươn, trước tiên chúng ta cần xem lại chu kỳ của loài giun tròn này. Ấu trùng giai đoạn nhiễm (Filariform larvae) của giun lươn từ phân có nhiễm ấu trùng này xuyên qua da hoặc niêm mạc của người rồi xâm nhập vào vòng tuần tuần hoàn. Tiếp đến ấu trùng chu du đến phổi, nơi đó chúng vở ra và xâm nhập vào các phế nang và đi thẳng lên phế quản, đến khí quản. Sự kích thích của khí quản khiến cho vật chủ ho rồi nuốt ấu trùng, cho phép các ấu trùng nhỏ đi vào tá tràng và phần đầu của hổng tràng tại đó chúng trưởng thành. Giun cái trưởng thành và sinh sản gây ra cơ chế bệnh sinh, đẻ trứng; ngày sau khi trứng được đẻ ra sẽ hình thành dạng ấu trùng hình gậy (rhabditiform larvae).
Hầu hết các ấu trùng hình gậy này được sinh ra trong ruột non rồi thoát khỏi vật chủ và evacuation of feces. Các ấu trùng không gây nhiễm này phát triển thành ấu trùng gây nhiễm (filariform larvae) trong đất, có khả năng nhiễm vào một vật chủ mới. Tuy nhiên,ấu trùng giun lươn cũng có khả năng đặc biệt là tự gây nhiễm (re-infect) vào chính vật chủ đó. Quá trình này gọi là tự nhiễm (autoinfection), một số thể ấu trùng rhabditiform larvae chuyển trực tiếp thành ấu trùng dạng filariform trong ruột non. Các ấu trùng này có thể xuyên qua niêm mạc ruột non hoặc xuyên qua da vào hệ tuần hoàn và cho phép phát triển theo chu kỳ ngoại sinh (exogenous parasite). Giun lươn là giun tròn duy nhất tìm thấy được tại Nam Mỹ với khả năng tăng sinh bên trong cơ thể người mà không cần chu kỳ ngoại sinh.
Trình bày và chẩn đoán
Strongyloides stercoralis có thể tồn tại trong cơ thể người 10 năm sau khi phơi nhiễm, và người ta ước tính khoảng 90% cá nhân nhiễm với mật độ thấp mà không biểu hiện triệu chứng lâm sàng. Khi bệnh nhân có triệu chứng thì biểu hiện đau bụng rất mơ hồ: đại tiện phân lỏng từng đợt, ậm ạch (bloating), đạu bụng hoặc nổi mẩn trên da thoáng qua thường gọi là “larva currens” gây ra bởi ấu trùng thể filariform di chuyển trong da. Sự tăng nhiễmxảy ra khi lượng nhiễm giun lươn rất nhiều trên một vật chủ có nguy cơ gia tăng và nhiễm ký sinh trùng lan tỏa,và số đối tượng này có thể chiếm đến 10% trong số tỷ lệ nhiễm và trước tiên phải kể đến là trẻ em trong vùng lưu hành bệnh giun lươn và có chu kỳ tự nhiễm lặp lại.
Vì các triệu chứng lâm sàng của bệnh giun lươn thường chỉ thoáng qua và không đặc hiệu, nên chẩn đoán bệnh lý ký sinh trùng này rất khó ngay cả khi đã có bằng chứng về cận lâm sàng (ELISA). Nhìn chung nhiễm ký sinh trùng, bạch cầu ái toan như là một chỉ số nhạy song chỉ điểm này không đặc hiệu (sensitive but non-specific marker) cho bệnh giun lươn. Trong khi 75% trường hợp giun lươn không biến chứng có tăng eosin trung bình là 13-18% so với tổng số bạch cầu chung , trong hội chứng tăng nhiễm thì chỉ có 20% bệnh nhân có tăng loại bạch cầu này, ngược lại hạ bạch cầu eosin là một chỉ điểm tiên lượng bệnh xấu. Vì trứng sinh ra ngày trong lòng ruột đã nở ngay thành ấu trùng rhabditiform, nên người ta thật khó phát hiện trứng trong phân. Tương tự, vì giun lươn sống trong nhu mô ruột hơn là thành niêm mạc ruột, điều đó cũng hiếm khi tìm thấy giun trong phân. Để đạt đến độ nhạy 100% phát hiện ký sinh trùng này, một loạt 7 mẫu phân phải được kiểm tra để tìm ấu trùng giun lươn. Đối với nhưng nơi có sẵn chẩn đoán tối ưu cho giun lươn là ELISA sử dụng kháng thể IgG đặc hiệu thì có thể phát hiện bệnh với độ nhạy và độ đặc hiệu đạt đến gần 90%.
Điều trị
Mặc dù hiện có nhiều loại thuốc tỏ ra có hiệu quả chống lại loại giun lươn, song điều trị loại ký sinh trùng này vẫn chưa được thấu đáo, triệt để. Giống như ấu trùng giai đoạn nhiễm của tất cả các loài giun tròn khác, ấu trùng giai đoạn nhiễm của giun lươn kháng với hầu hết các thuốc. Không giống như các loại giun tròn khác, việc điều trị giun lươn phải dự vào việc đã loại bỏ hoàn toàn ký sinh trùng hay chưa, chứ không phải quan tâm đến công việc làm giảm lượng giun trong cơ thể vật chủ. Cho dù thiabendazole, albendazole và ivermectin đều chứng minh có hiệu quả, song albendazole và ivermectin có hiệu quả thấp hơn và ít tác dụng phụ hơn Liệu trình điều trị cho bệnh giun lươn không biến chứng đòi hỏi kéo dài 2-3 ngày, kèm theo dõi xét nghiêm phân để bảo đảm rằng ấu trùng không còn. Đối với hội chứng tăng nhiễm hoặc nhiễm lan tỏa (disseminated infection), thuốc điều trị phải kéo dài ít nhát một tuần hoặc cho đến khi không còn phát hiện ấu trùng. Tuy nhiên, khi ấu trùng vẫn còn trong đờm như hai trường hợp nhiễm giun lươn ở phổi của chúng tôi, hướng dẫn đièu trị không có rõ ràng mà chỉ theo kinh nghiệm lâm sàng. Trong ca tăng nhiễm có abces phổi liên quan đến bệnh hen phế quả, bệnh giun lươn được điều trị thành công với liệu trình chỉ 5 ngày thiabendazole.
Một khía cạnh khác về bệnh giun lươn ở phổi có vai trò của việc dùng corticosteroids để điều trị trên một bệnh có sẵn. Suy giảm miễn dịch do điều trị steroid với bệnh hen có thể dẫn đến hội chứng tăng nhiễm (hyperinfection syndrome). Tuy nhiên, nếu chỉ bằng cách giảm viêm ở phổi do ký sinh trùng gây nên thì liều tối thiểu corticoides có hiệu quả hay không thì việc đáng bàn.
Từ giữa những năm 1990, hơn 300 ca bị giun lươn lan tỏa đã được báo cáo tại Mỹ, phần lớn bệnh nhân do sử dụng corticoides trên bệnh lý có sẵn. Người ta nghĩ rằng có thể corticosteroids làm tăng chu trình nhiễm của Strongyloides stercoralis và thúc đẩy quá trình tự nhiễm nội tại khó kiểm soát được. Liều thấp prednisone 20 mg mỗi ngày cho mỗi đợt 5 tuần đủ để phát sinh hội chứng tăng nhiễm, bản thân steroids cũng có xu hướng làm giảm eosin nên quá trình chẩn đoán càng khó khăn hơn. Những bệnh nhân nhiễm giun lươn không biến chứng có thể viêm nhu mô phổi nhẹ trong suốt quá trình di chuyển của giun, thường có triệu chứng ho, khò khè. ấu trùng giai đoạn nhiễm có thể gây xuất huyết phế nang, phù, và tạo phản ứng viêm trong nhu mô phổi, thường thấy thâm nhiễm khoảng kẻ trên phim chụp X-quang phổi.
Vì ấu trùng có khả năng trưởng thành trong hệ hô hấp cũng như trong hệ tiêu hóa, giun trưởng thành cũng có thể gây nhiễm trùng phổi. Người ta cũng đã chỉ ra những tổn thương mạch máu thông qua cơ chế miễn dịch xảy ra khi có phản ứng với kháng nguyên ký sinh trùng. Những thay đổi phản ứng viêm này do nhiễm giun lươn tương tự như viêm phế quản mạn tính hoặc trong hen. Điều này có thể là viễn cảnh cho bệnh nhân đầu tiên của chúng tôi.
Trên bệnh nhân suy giảm miễn dịch, nhiễm ký sinh trùng không triệu chứng có thể biểu hiện phát triển thành hội chứng tăng nhiễm, với những di chứng nghiêm trọng. Một vài bệnh suy giảm miễn dịch qua trung gian tế bào, như các bệnh lý ác tính về máu, rối loạn tự miễn, hoặc hội chứng tăng nhiễm có liên quan đến sử dụng corticoides. Một số tình trạng khác như suy dinh dưỡng, ure máu cao và hội chứng thận hư cũng phải chú ý đến hội chứng tăng nhiễm có thể xảy ra. Bệnh giun lươn ở phổi thứ phát sau sau hội chứng tăng nhiễm, những bệnh nhân viêm phế quản dạng hen, khó thở, ho ra máu dẫn đến hội chứng suy hô hấp (Respiratory distress syndrome), với hậu quả cuối cùng suy hô hấp. Tiếc thay, ca thứ hai không thể cứu sống được.
Bệnh nhân đầu tiên là một nông dân xa rời Việt Nam cách nay 23 năm. Như bối cảnh của nhiều quốc gia đang phát triển, ông ta xác nhận mình có dùng phân người, trâu, bò và heo để làm phân bón cho nông nghiệp. Trong suốt 20 năm làm nông, ông ta chưa bao giờ mang dép và giày khi làm ruộng. Kể từ khi đến California, ông ta chưa bao giờ quay lại vùng lưu hành và do đó nhiễm giunlươn strongyloides stercoralis ít nhất 23 năm. Ca bệnh giun lươn ở phổi này bị biến chứng vì bệnh hen và bệnh phỏi tắc nghẽn mạn tính của ông ta. Mặc dù đây là lần đầu tiên ấu trùng giun lươn được tìm thấy, có thể ký sinh trùng này đóng một vai trò khonog nhỏ trên bệnh cảnh suy hô hấp cấp. Người ta cho rằng có khả năng bệnh giun lươn của ông ta khi chưa có triệu chứng lâm sàng đã khiến cho thầy thuốc chẩn đoán sai.
Vì nhiễm trùng cơ hội trên một bệnh nhân suy giảm miễn dịch với Strongyloides stercoralis thường liên quan đến phổi. Điều này phù hợp với bệnh nhân từ các vùng lưu hành giun lươn, song cũng thật khó chẩn đoán phân biệt hen nội sinh thể nhẹ dẫn đến suy hô hấp như trên. Trên những bệnh nhân này, có thể vắng mặt chỉ số bạch cầu eosin tăng; mẫu phân và phân tích dịch hút phế quản có thể giúp chúng ta xác định bệnh giun lươn. Tuy nhiên, nếu có chẩn đoán ELISA đặc hiệu cho kháng nguyên sẽ giúp chúng ta tin tương hơn. Một khi chẩn đoán được thiết lập, nên bắt đầu điều trị bằng ivermectin, albendazole hoặc thiabendazole là rất cần thiết để loại bỏ ký sinh trùng và giải quyết các triệu chứng về phổi. Tiếc thay, ca suy hô hấp nặng trên cơ địa suy giảm miễn dịch đã thất bại cho ca thứ 2, dẫn đến tử vong.
Tài liệu tham khảo
1. Liu LX, Weller PF. Strongyloidiasis and other intestinal nematode infections. Infectious Disease Clinics of North America 1993; 7: 655-682
2. Davidson, RA. Infection due to Strongyloides stercoralis in patients with pulmonary disease. Southern Medical Journal 1992; 85: 28-31
3. Sen P, Gil C, Estrellas B, Middleton JR. Corticosteroid-Induced Asthma: A manifestation of limited hyperinfection syndrome due to Strongyloides stercoralis. Southern Medical Journal 1995; 88: 923-927
4. Wehner JH, Kirsch CM, Kagawa FT, Jensen WA, Campagna AC, Wilson M: The prevalence and response to therapy of Strongyloides stercoralis in patients with asthma from endemic areas. Chest 1994; 106: 762-766
5. Mahmoud AAF. Strongyloidiasis. Clinical Infectious Diseases 1996; 23: 949-953 Strongyloides-Induced Respiratory Failure