Nhiễm ký sinh trùng sán lá gan lớn Fasciola hepatica ở cừu là một vấn đề y tế động vật toàn cầu thường song hành với tỷ lệ nhiễm bệnh trên một số loài gia súc khác. Bệnh lưu hành ở Nam và Trung Mỹ, Puerto Rico, vùng Caribbe và nhiều vùng khác ở châu Phi, châu Á, Trung Đông, Úc và Trung Quốc. Nhiều vụ dịch xảy ra lẻ tẻ và khu vực địa phương được báo cáo ở châu Âu (Pháp, vùng Địa Trung Hải). Vì bệnh sán lá gan lớn cấp tính hiếm khi được báo cáo tại Mỹ, các thầy thuốc lâm sàng thường bỏ qua chẩn đoán.
Nhân đây, chúng tôi xin trình bày một ca bệnh SLGL cấp và tổng hợp y văn về cơ chế bệnh sinh, chẩn đoán và điều trị của bệnh lý này trên các đối tượng dân di cư tự do. Nghiên cứu trên được tiến hành do nhóm tác giả Charles M. Noyer, Christina M.Coyle, Craig Werner, Jean Dupouy-Camet, Herbert B. Tanowitz và Murray Wittner tại khoa y và bệnh học, đại học y khoa Albert Einstein, Bronx, New York; La bô vi nấm ký sinh trùng, Bệnh viện Troupe Hospitalier Cochin, Paris, Pháp.
Trình bày ca bệnh:
Bệnh nhân nữ 26 tuổi từ Cộng hòa Dominica đến Mỹ. Một tháng sau đó, cô ta đến nhập viện với triệu chứng trước đó vài giờ là đau rất dữ dội và nghiêm trọng trong vài giờ, đau hạ sườn (P) và lan tỏa sang vai (P) kèm theo sốt, run lạnh. Cô ta phủ nhận rằng không có sỏi mật, vàng da, sử dụng thuốc chống viêm không steroides hay thuốc ngừa thai đường uống, các thay đổi về tiểu tiện hoặc chấn tương gần đây cũng không có. Vào thời điểm nhâp viện, thân nhiệt bình thường, đau nhẹ hạ sườn (P), không kèm theo gan lách to cũng như khối u nào.
Kết quả xét nghiệm:
-  !important; HCG (-)
-  !important; Tỷ lệ bạch cầu ái toan máu ngoại vi tăng 27%.
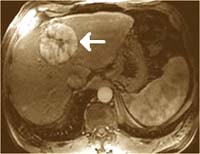
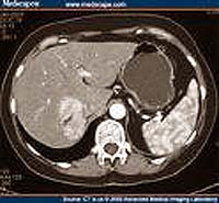
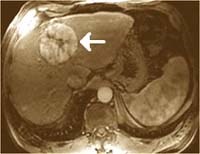
-  !important; Chụp CT scanner bụng có bơm thuốc tĩnh mạch cho thấy khối kích thước 6.0 × 5.0 × 4.0cm, nhiều vùng có tính chất hoại tử, không đồng nhất, giảm âm ở gan (P) lan rộng từ giữa ra ngoại vi, bờ và đến cả vỏ bao gan. Khối tổn thương này phân chia thành ngăn (septation) có xuất huyết nhu mô xung quanh.
-  !important; Kết quả huyết thành miễn dịch kháng thể IgG với ký sinh trùng Echinococcus granulosus dương tính nhẹ.
Tiền sử cô ta không phơi nhiễm với các động vật ở nông trang, chó, nước ngọt nhưng cô ta thừơng ăn trứng cá, trứng tôm nấu chưa chín hoặc cải xoong (Nasturtium officinale). Các thành viên khác trong gia đình đều khỏe mạnh. Thân nhiệt cô ta là 36.9°C, phổi tốt và không có phản ứng đau ở gan hoặc gan lách to. Một tuần sau, bạch cầu tăng lên 16.800/mm3 với 5.200/mm3 là eosin(31%), alkaline phosphatase là 124 U/L, men gan 32 U/L, bilirubin 0.5 mg/dL.
Xem lại hình ảnh CT scan biểu hiện cùng các xét nghiệm trên, gợi ý là bệnh cảnh một nang nước (hydatid cyst) tồn tại bởi vì không có vỏ hoặc hình ảnh calci hóa, xuất hiện hình ảnh xuất huyết trong khoang. Chụp CT lại không thay đổi. Kết quả xét nghiệm huyết thanh cho amíp và Western blot cho Echinococcus đều (-), mẫu phân chứa Blastocystis hominis và Endolimax nana. Xét nghiệm huyết thanh với kháng thể Fasciola hepatica âm tính (FAST-ELISA);
Tuần tiếp theo, đếm eosin tăng lên 7.000/mm3 (46%) và dần dần giảm sau đó. Chụp cộng hưởng từ (MRI) cho thấy hình ảnh một u mạch hoặc u tuyến ở gan vỡ. Tuy nhiên, số lượng hồng cầu đã cho phép loại trừ. Test miễn dịch huỳnh quang gián tiếp (IIF_Indirect immunofluorescence ) kháng thể với Fasciola hepatica 1-2 tuần sau đó cũng âm tính với xét nghiệm FAST-ELISA, chỉ có hiệu giá kháng thể tăng lên 1:80 và 1:160 (1:20 là giới hạn ngưỡng [+]). Kết quả của điện di miễn dịch cũng dương tính, cho thấy 3 dải băng trên mẫu huyết thanh thứ nhất và 4 băng trên dải huyết thanh thứ 2. Bệnh nhân được điều trị bẳng thuốc đặc hiệu triclabendazole, liều duy nhất (10 mg/kg, 700mg), biệt dược Fasinex của hãng Novartis, Basel, Switzerland). Một kết quả chẩn đoánCT-scan 12 tuần sau đó cho thấy hầu như tổn thương đã được giải quyết hoàn toàn. Xét nghiệm phân cũng âm tính với F. hepatica ở tuần thứ 16. Triệu chứng của bệnh nhân không tái phát và đếm bạch cầu eosin cũng như xét nghiệm cận lâm sàng khác đều trở về bình thường. Một năm sau kiểm tra lại tất cả đều bình thường cả lâm sàng, cận lâm sàng và chẩn đoán hình ảnh.
Bàn luận về ca bệnh
Bệnh sán lá gan lớn cấp không phải lúc nào cũng nhận ra tại Mỹ vì chỉ có ít test chẩn đoán sẵn có. Phần lớn các ca bệnh đến quá sớm (cấp) nên không tìm thấy trứng trong phân. Ca bệnh này, tăng bạch cầu eosin trong máu trên một bệnh nhân có tổn thương gan đã hoại tử thường ăn rau xanh-là một trong những nguyên nhân chính hướng đến chẩn đoán. Tiền sử tiêu hóa các thực vật thủy sinh, đặc biệt rau xà lách xoong. Đôi khi nhiễm bệnh xảy ra do uống nước chưa xử lý chín có nhiễm ấu trùng. Nổi mày đay và di ứng thường hay gặp trên bệnh nhân nhiễm SLGL cấp, lại không thấy trên bệnh nhân này. Sán trưởng thành có thói quen thường nằm trong đường mật-nơi đó chúng thải trứng. Các trứng chưa trưởng thành này qua mật vào tá tràng và cuối cùng qua phân ra ngoài môi trường. Sau 9-15 ngày, miracidia sinh ra và xuyên nhiều loài ốc Lymnae (vật chủ trung gian thứ nhất). Sau 4-7 tuần, chúng rời khỏi ốc và bơi tự do trong nước (cercariae) và hóa nang trên các loài thực vật thủy sinh hoặc các giá thể khác nhau, từ đó sinh ra metacercariae. Người nhiễm phải bệnh do uống nước nhiễm bệnh hoặc ăn rau thủy sinh, nhất là rau ngổ, tảo, nơi uốn khúc của các thân rau. Metacercariae thoát nang rồi xuyên qua thành tá tràng.Di chuyển đến khoang phúc mạc, sán non xâm nhập qua bao Glisson và đào hầm trong nhu mô gan, gây ra các ổ abces hoại tử. Chúng lại tiếp tục xâm nhập vào đường mật, trưởng thành ở đó 3-4 tháng và bắt đầu đẻ trứng và quá trình này có thể liên tục nhiều năm. Sự xuất hiện của sán trưởng thành trong đường mật có thể làm tăng sản biểu mô đường mật, dày lên, tróc vảy niêm mạc và dãn đường mật. Nhiễm sán nặng có thể gây xơ hóa quanh đường mật lan tỏa và tạo nên có máu trong mật Nhiễm SLGL cấp có thể tiếp tục vài tuần đến vài tháng và tiếp tục di chuyển và gây tổn thương nhu mô gan. Triệu chứng cấp đến sớm ngay sau khi ấu sán giai đoạn ấu trùng đi vào đường mật. bệnh khi đó biểu hiện có thể từ vừa đến nặng hoặc không có triệu chứng. Điều này có thể liên quan đến số lượng ấu trùng xâm nhập. Đặc điểm nhiễm trùng cấp bao gồm chán ăn, sốt, đau bụng (đặc biệt đau hố chậu phải), gan to, đau, nổi mày đay và tăng bạch cầu eosin; triệu chứng vàng da hiếm gặp hơn.
Bệnh sán lá gan lớn mạn tính, hầu hết bệnh nhân có một vài hoặc không có triệu chứng. Tuy nhiên, một số bệnh nhân đau hạ sườn (P). Nếu sán hoặc trứng gây tắc nghẽn đường mật ngoài gan, triệu chứng của bệnh lý sỏi đường mật có thể xảy ra. Đôi khi, sán có thể xâm nhập vào túi mật và gây triệu chứng. Các vị trí lạc chỗ (aberrant or ectopic sites) của nhiễm trùng là thường thấy, gồm có tim, phổi, não, da, thành ruột và do quá trình ấu trùng di chuyển. Một chẩn đoán xác định bệnh SLGL mạn tính đôi khi thiết lập bằng hình thể trứng trong phân, mặc dù phương pháp này không nhạy để phát hiện (chỉ đặc hiệu). Xét nghiệm phân lặp lại nhiều lần là cần thiết để tìm trứng. Tuy nhiên, sẽ rất khó khăn nếu là giai đoạn cấp vì không đủ thời gian để đẻ trứng. Ngoài ra, khi SLGL lạc chỗ, việc tìm trứng cũng không còn giá trị nữa, khi đó chẩn đoán huyết thành là cần thiết (FAST-ELISA và ELISA, IHA, CF, IIF, khuyếch tán gel kép,…Mặc dù các test này thật sự nhạy nhưng nhưng chúng có thể phản ứng chéo với một số trường hợp nhiễm loài ký sinh trùng khác ( Echinococcus và Paragonimus).
Trong ca bệnh này, bệnh nhân đầu tiên đến Trung tâm y học nhiệt đới để điều trị bệnh lý nang gan (hydatid cyst) khi huyết thanh làm ở một nơi khác cho kết quả dương tính với bệnh Echinococcus. Kết quả của các xét nghiệm cận lâm sàng về sán lá gan lớn, gồm FAST-ELISA (-). Tuy nhiên, huyết thành thu thập 1 và 2 tuần sau đó lại dương tính rất mạnh. Gần đây, chẩn đoán miễn dịch bệnh SLGL ở người sử dụng cysteine proteinases (Fas1 và Fas2) như là những kháng nguyên chỉ ra có độ nhạy và độ đặc hiệu cao. Kháng nguyên Fasciola lưu hành đã được phát hiệntrong cả mẫu huyết thanh và nước tiểu bằng kỹ thuật kháng thể đơn dòng. Độ đặc hiệu của thử nghiệm là 100% và độ nhạy 98% và 97% trong nước tiểu và huyết thanh. Xét nghiệm ELISA vàmicro-ELISA được sử dụng để phát hiện các kháng thể Fasciola ở người có sử dụng kháng nguyên tiết (excretorysecretory antigen). Độ nhạy của mỗi phương pháp đều là 100%, độ đặc hiệu của ELISA là 100% và 97% cho micro-ELISA. Các test chẩn đoán mới này là những công cụ chẩn đoán đầy hứa hẹn cho bệnh SLGL.
Triclabendazole [6-chloro-5- (2,3 - dichlorophenoxy) – 2 - methyl thiobenizimidazole] thành công trong điều trị khỏi 80-100%, điều trị tốt cả bệnh SLGL cấp và mạn tính ở người. Bệnh nhân có đau hạ sườn (p) trong vòng 24-48 giờ sau khi dùng thuốc, điều này có thể sau khi dùng thuốc, sán chết và gây tắc trong gan hoặc đường mật. Các nghiên cứu về dược học ở người cho thấy có tăng hấp thu thuốc triclabendazole tốt (chẳng hạn trong ca này). Gần đây, một loại thuốc mới trích từ cây Commiphora molmol chứng minh có hiệu lực trong điều trị bệnh sán lá gan lớn ở người, chưa thấy tác dụng phụ.
Nói tóm lại, ca bệnh cho thấy một trường hợp tổn thương gan nghĩ nhiều đến 2 bệnh lý ký sinh trùng, song xét nghiệm điển hình lại trái ngược nhau, mãi đến sau 1-2 tuần sau điều trị chúng ta mới giải quyết được nguyên nhân.