Tiêu đề cũng là một câu hỏi mà chúng ta-các nàh thực hành lâm sàng chuyên môn về nội khoa và truyền nhiễm nên cân nhắc và làm sao cho tránh khỏi tối đa các ca mổ bụng thăm dò hay can thiệp thủ thuật voiws mục đích chẩn đoán và điều trị.
Nhân đây, chúng tôi xin trình bày một kết quả nghiên cứu về khía cạnh ngoại khoa được tiến hành bởi nhóm tác giả đang công tác tại khoa Ngoại tổng quát, khoa Ký sinh trùng, khoa giải phẩu bệnh, khoa phẩu thuật nhi, khoa chẩn đoán hình ảnh, đại học y khoa Cukurova tiến hành và đăng tải trên tạp chí The Internet Journal of Gastroenterology. 2007. Volume 5 Number 2. ISSN: 1528-8323 có liên quan đến vấn đề có nên chăng can thiệp ngoại khoa trên những ca sán lá gan có biến chứng.
Fasciola hepatica là một loài sán lá, hiếm ký sinh và gây bệnh trên người. Về mặt thực hành lâm sàng, trên một số ca có biến chứng, việc phẩu thuật và làm các thủ thuật xâm lấn có thể coh phép hoặc chỉ định. Bệnh có thể được chẩn đoán thông qua các thử nghiệm cận lâm sàng như siêu âm và chẩn đoán huyết thanh. Trong nghiên cứu này, chúng tôi quan sát một số ca, một nửa trong số đó có làm thủ thuật xâm lấn do thiếu phương tiện chẩn đoán mặc dù đang ở trong vùng lưu hành In và Cedil; bệnh viện Ukurova, chẩn đoán 10 ca bệnh sán lá gan lớn F.hepatica qua hồi cứu. Thủ thuật xâm lấn can thiệp 5 ca (50%) trong suốt thời gian trước khi phẩu thuật, xét nghiệm huyết thanh thì không được làm. 2 ca được chỉ định cắt bỏ khối lớn trong gan, cắt một phầnlà 1 ca, cắt túi mật/ đường mật 1 ca và dẫn lưu sonde T 1 ca và dẫn lưu mật qua da xuyên nhu mô gan 1 ca. Kết quả cho thấy phương pháp chẩn đoán huyết thanh học phải đựợc làm để tránh những thủ thuật xâm lấn không cần thiết trong một số ca nghi ngờ, đặc biệt họ đang sống trong vùng lưu hành.
Giới thiệu
Fasciola hepatica (F. Hepatica) là một loại sán lá ở gan, đầu tiên nhiễm ở cừu, dê và các gia súc khác. Người chỉ là vật chủ tình cờ của sán lá F. hepatica. Bệnh mắc phải hầu như do tiêu hóa các loại rau thủy sinh như cải xoong hoặc uống nước lã có nhiễm ấu trùng giai đoạn nhiễm của sán metacercariae. Sau khi tiêu hóa, ấu trùng tiến triển và đi xuyên qua thành ruột vào trong khoang phúc mạc từ đó hướng đến gan. Qua thời gian một vài tháng, chúng xuyên qua qua bao gan và di chuyển đến ống mật-ở đó chúng vẫn còn sống. Bệnh có thể xuất hiện dưới nhiều thể lâm sàng khác nhau từ thể không triệu chứng đến thể suy tế bào gan. Bệnh sán lá gan lớn ở người được xác định gồm 2 giai đoạn: Giai đoạn cấp của bệnh là giai đoạn sau khi ấu trùng đi đến gan và vào trong ống mật, giai đoạn này chiếm trung bình khoảng 3-4 tháng. Trong tế bào gan, phản ứng viêm và hoại tử xảy ra. Ngược lại, giai đoạn mạn tínhh đặc trưng bởi phản ứng viêm và quá trình xơ hóa ống mật chính sau khi sán đến đường mật và thời gian này có thể thay đổi do những giai đoạn tiềm tàng nhiễm.
Thổ Nhĩ Kỳ là một quốc gia lưu hành bệnh sán F.hepatica. Cukurova là một khu vực phía nam của Thổ Nhĩ Kỳ , nằm ở vị trí Mediterranean Sea-nơi mà thời tiết nóng và vùng nuôi trồng phát triển. Mục đích của nghiên cứu ở đây là muốn giải thích về 10 trường hợp sán lá gan lớn F.hepatica, trong đó 4 ca được phẩu thuật và 1 ca cần phải can thiệp thủ thuật để chẩn đoán.
Phương pháp nghiên cứu
10 ca sán lá F. hepatica được chẩn đoán qua phân tích hồi cứu tại bệnh viện đại học Cukurova, từ 12.2000 đến 12.2006. Các dữ liệu về nhân chủng học của bệnh nhân (tuổi, giới, triệu chứng, thời gian có triệu chứng, nơi ở của bệnh nhân), kết quả các xét nghiệm cận lâm sàng, huyết thành học và các phương pháp chẩn đoán, phương pháp điều trị và theo dõi thời gian hồi phục dáng chú ý. Các bệnh nhân được phân loại theo gíai đoạn cấp và mạn tính theo thời gian xuất hiện triệu chứng và xác chẩn đoán hình ảnh. Tất cả mẫu huyết thanh được phân tích huyết thanh chẩn đoán sán lá gan và họ sử dụng các phương pháp chẩn đoán khác nhau, lần lượt làm Indirect haemaglobination (IHA), Enzyme Linked Immunosorbent Assay (ELISA) và Western-blot (WB). Các mẫu phân và dịch mật cũng được lấy để phân tích trên các bệnh nhân.
Tổng số 10 ca với 6 nữ và 4 nam, tuổi trung bình là 47 (11-65), 8 trong số đó (80%) sống ở vùng nông thôn của Cukurova và 2 ca giai đoạn cấp (20%) sống ở thành phố. Các ca bệnh được phân loại theo thời gian xuất hiện triện chứng và chẩn đoán hình ảnh. Các cca này với thời gian xuất hiện triệu chứng < 4 tháng và hình ảnh học cho thấy các hình ảnh nghi ngờ hoạt động trong túi mật hay đường mật chính được xem là giai đoạn cấp; ngược lại, các triệu chứng kéo dài ≥ 4 tháng và hình ảnh cho thấy các hình ảnh nghi ngờ không di động trong túi mật hoặc đường mật. 8 bệnh nhân (80%) là giai đoạn cấp và 2 (20%) ở giai đoạn mạn tính. Hầu hết đều có triệu chứng lâm sàng, đau bụng (7 bệnh nhân 70%), sốt (4 bệnh nhân, 40%), ngứa (4 bệnh nhân, 40%), buồn nôn (2 bệnh nhân, 20%), đau hạ sườn phải (2 bệnh nhân, 20%), vàng da (1 bệnh nhân, 10%) và suy nhược 1 bệnh nhân (10%) ở giai đoạn mạn tính. Một số triệu chứng khác không vcó ý nghĩa khác biệt giữa 2 nhóm. Các dữ liệu về dân số học từ các ca cũng như các trieụe chứng, thời gina xuất hiện triệu chứng được tóm tắt trong bảng 1.
Bảng 1. Dữ liệu về bệnh nhân, triệu chứng và phân loại giai đoạn bệnh
Ca bệnh | Tuổi | Triệu chứng | Thời gian mắc bệnh | Nơi cư trú | Phân loại |
Nam | Nữ | Cấp | Mạn |
Ca số 1 | | 60 | Vàng da, đau th.vị, sốt, ngứa | 5 tháng | Nông thôn | | x |
Ca số 2 | | 57 | Đau bụng, sốt, ngứa | 2 tháng | Nông thôn | x | |
Ca số 3 | | 45 | Đau bụng, buồn nôn | 3 tháng | Nông thôn | x | |
Ca số 4 | 11 | | Đau bụng | 3 tháng | Nông thôn | x | |
Ca số 5 | | 65 | Đau HSP, suy nhược | 6 tháng | Nông thôn | | x |
Ca số 6 | | 40 | Đau bụng, ngứa | 2 tháng | Thành thị | x | |
Ca số 7 | 38 | | Đau bụng, buồn nôn | 3 tháng | Nông thôn | x | |
Ca số 8 | 46 | | Đau bụng, ngứa | 1 tháng | Thành thị | x | |
Ca số 9 | | 52 | Đau HSP, sốt | 1 tháng | Nông thôn | x | |
Ca số 10 | 56 | | Đau bụng, sốt | 2 tháng | Nông thôn | x | |
Trong các xét nghiệm cận lâm sàng thấy được ở các ca bệnh, chỉ số trung bình bạch cầu ái toan là 30.5% (18.2- 65%) (BT: 0.9-6%), ALT 3 (30%), Ig E 6 (60%) là cao ở các ca. Vì chỉ số ALT trung bình là 35.8 (21- 85) U/L (BT: < 41), mức IgE trung bình là 354.5 (120- 579) IU/ml (BT :10-180). Về huyết thanh chẩn đoán: IHA cho 3 kết quả âm tính giả nhưng ELISA và WB cho kết quả dương tính ở tất cả các ca. Dữ liệu thông số cận lâm sàng trong bảng 2.
Bảng 2. Thông số cận lâm sàng, huyết thanh chẩn đoán và phương pháp chẩn đoán
Thông số | Giai đoạn cấp (8 ca) | Mạn tính (2 ca) |
Xét nghiệm máu Tăng bạch cầu ái toan Tăng nồng độ ALT Tăng nồng độ IgE | 8 (100%) 2 (25%) 5 (62.5%) | 2 (100%) 1 (50%) 1 (50%) |
Huyết thanh học IHA ELISA Western blott | 5 (62.5%) 8 (100%) 8 (100%) | 2 (100%) 2 (100%) 2 (100%) |
Phương pháp chẩn đoán Dịch tá tràng Lấy dịch qua hướng dẫn PCT Lấy dịch qua sond T Gaita Siêu âm bụng CT scanner bụng Giải phẩu bệnh học Huyết thanh học | 2 (25%) 2 (25%) 5 (62.5%) 5 (62.5%) 3 (37.5%) 8 (100%) | 1 (50%) 1 (50%) 2 (100%) 2 (100%) 2 (100%) 2 (100%) |
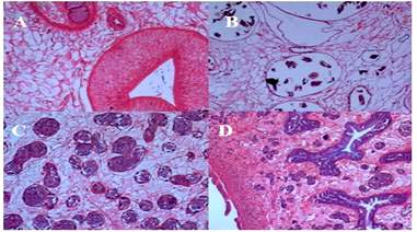
5 ca (62.5%) cấp tính được chẩn đoán huyết thanh học ELISA và WB. Trong số 5 ca này thì có đến 2 ca có tổn thương ở gan phải cũng như đã xét nghiệm huyết thanh học và siêu âm. 3 ca còn lại là giai đoạn cấp được phẩu thuậtsau khi chẩn đoán ban đầu có khối u trong gan và 2 ca đuowjc cắt bỏ khối u khỏi gan, 1 ca được cắt bán phần gan. Với nghi ngờ tổn thương F.hepatica qua phân tích mô bệnh học 3 bệnh nhân này được xét nghiệm huyết thanh học và kết quả cũng dương tính. Chẩn đoán cuối cùng được xác định và liều thuốc đặc hiệu triclabendazol 10 mg/kg được chỉ định.Một trong số ca mạn tính nhậo viện do tắc mật vàng da và xét nghiệm có viêm tụy cấp nhưng phải phẩu thuật vì thiếu chẩn đoán xác định cuối cùng. Trong suốt quá trình phẩu thuật, sán được lấy ra khỏi ống mật chủ (xem hình dưới đây).
 |  |
Sán lá gan F.Hepatica | Sán F. hepatica dưới kính hiển vi: A: miệng B: ruột C: buồng trứng-tinh hoàn D: phổi |
Phẩu thuật kết thúc và đặt một sonde T vào trong ống mật chủ, trứng sán được phát hiện trong dịch mật lấy từ sonde T chảy ra từ ống mật chủ. Phân tích về mặt mô bệnh học và về mặt ký sinh trùng học cho thấy đây là sán F.hepatica. Mặt khác, chụp hệ gan mật qua da (Percutan transhepatic cholangiogram_PTC) và dẫn lưu mật qua da (Percutaneous transhepatic biliary drainage_PTBD) được làm trên bệnh nhân cuối sau khi phân tích hình ảnh. Khi đánh giá về mặt ký sinh trùng học trong mật, vì không có trứng sán F.hepatica tìm thấy nên không thể đi đến kết luận cuối cùng. Kết quả huyết thanh học dương tính trên 2 ca này. Ca đầu tiên được điều trị với liều 20 mg/kg của triclabendazol và 2 liều bằng nhau. 10 mg/kg triclabendazol được kê đơn sau đó 1 tháng kể từ khi trứng phát hiện trong mật, ca thứ 2 được điều trị bằng liều duy nhất của triclabendazol.
Thời gian theo dõi trung bình của các ca 2.5 năm (1- 5 năm). Không thấy tài phát trong quá trình theo dõi. Những thành viên khác trong gia đình sống cùng nhà bệnh nhân được xét nghiemẹ huyết thanh, song kết quả âm tính.
Bàn luận
Fasciola hepatica là một loại sán lá, hiếm khi ký sinh trên người. Nguồn nhiễm là các động vật, người nhiễm gần đây tăng lên do ăn các rau thủy sinh nhiễm metacercaria trong các vùng điều kiện vệ sinh kém. Metacercariae đi vào cơ thể qua hệ tiêu hóa, xuyên thủng thành ruột và di chuyển vào trong khoang phúc mạc, đến nhu mô gan thông qua bao glisson. Sau đó, chúng xâm nhập vào đường mật. Trong đường mật, sán trưởng thành đẻ trứng, đào thải qua phân để hoàn tất chu kỳ.
Nhiễm F. hepatica có 2 giai đoạn có triệu chứng hoàn toàn khác nhau. Giai đoạn trong gan (đầu tiên, cấp hay giai đoạn xâm nhập) của bệnh xảy ra khi sán xuyên thủng vào nhu mô gan rồi xuyên vào đường mật. Khởi đầu của giai đoạn này xảy ra 1-4 tháng sau khi ăn phải metacercariae. Giai đoạn thứ 2 hay giai đoạn mật thường biểu hiện đau hạ sườn phải từng đợt có hay không có viêm đường mật hay sỏi mật. Sán lá gan có mặt dường như khắp thế giới, số luownjg bệnh nhân nhiễm nhiều đáng kể ở đông Âu, châu Âu, Iran, bắc Phi và nam Mỹ. Thỗ Nhĩ Kỳ là một trong những vùng lưu hành nặng nhất. Tỷ lệ mắc bệnh theo xét nghiệm huyết thanh học là 3.01% trong tỉnh Antalya và khoảng 0.9-6.1% tại tỉnh Isparta-phía Mediterranean của Thỗ Nhĩ Kỳ. Çukurova là một vùng giáp ranh giữa 2 vùng này mà chúng tôi nghiên cứu. Tuy nhiên, không có nghiên cứu dịch tễ học được làm về sán F. hepatica tại vùng Çukurova này. Do đó, tỷ lệ dương tính huyết thanh của bệnh chưa được biết. Các ca bệnh báo cáo chỉ là rải rác. Vì bệnh này không được chẩn đoán đúng, kết quả về chẩn đoán bị trì hoãn và có thể phải mổ bụng thăm dò không cần thiết và can thiệp phẩu thuật. Trong 3 (%37.5) trong số 8 ca đang ở giai đoạn cấp, phẩu thuật tiến hành trên khối u gan mà không có một xét nghiệm huyết thanh học cho F. hepatica để chẩn đoán ban đầu, trong 2 ca cắt bỏ khối u và 1 ca cắt gan một phần. F.hepatica được chẩn đoán sau khi phân tích mô bệnh học và xét nghiệm huyết thanh. Một trong 2 ca thuộc giai đoạn mạn tính lại được chẩn đoán là viêm tụy và vàng da tắc mật và phải mổ, sán xuất hiện sau khi đã chẩn đoán cuối cùng. Vì các ca khác không được chẩn đoán, nội soi ổ phúc mạc thực hiện sinh thiết gan và chẩn đoán bằng dẫn lưu gan mật và điều trị qua da (PTC-PTBD treatment) thành công.
Bệnh sán lá gan lớn có thể dẫn đến nhiều biến chứng nghiêm trọng. Có khi tạo các u máu dưới bao gan (subular hematoma), chảy máu trong khoang phúc mạc (hemoperitoneum), chảy máu đừờng mật (hemobilia), viêm đường mật (cholangitis), vàng da tắc mật (obstructive jaundice) và xơ gan (liver fibrosis). Viêm tụy do tắc nghẽn trong ống tụy hiếm khi được báo cáo trên y văn. Tắc và viêm tụy được phát hiện 1 ca và vàng da tắc nghẽn 2 ca được báo cáo trong nghiên cứu nàu trong vòng 6 năm.
Chẩn đoán được thiết lập qua xét nghiệm dịch mật và dịch tá tràng và xét nghiệm phân và sự có mặt của trứng sán. Tăng bạch cầu ái toan (%95), tăng IgE và tăng ALT đã giúp chúng ta chẩn đoán tốt. Về xét nghiệm mô bệnh học, các tinh thể Charcot Leyden, thâm nhiễm bạch cầu eosin, các vùng hoại tử và trứng hiếm khi nhìn thấy. Trong tất cả các ca trong nghiên cứu này đều có tăng bạch cầu ái toan, tăng IgE 6 (60%) và tăng ALT 3 (%30). Trứng sán F. hepatica được phát hiện trong 4 ca qua xét nghiệm dịch mật và 2 ca qua xét nghiệm phân. Các phuơng pháp chẩn đoán huyết thanh học đặc biệt rất có ý nghĩa trong chẩn đoán F.hepatica vào giai đoạn sớm và có ý nghĩa hơn trong phân và xét nghiệm dịch mật. Trong nghiên cứu huyết thanh này kết quả 100% và ngược lại xét nghiệm phân chỉ dương tính có 20%. Tỷ lệ phát hiện được sán trong phân cực kỳ thấp. xét nghiệm Indirect hemaglutination (IHA), Enzyme Linked Immunosorbent Assay (ELISA) và WB có thể sử dụng để nghiên cứu hồi cứu bệnh ký sinh trùng. Thử nghiệm ELISA sẽ rất hữu ích đặc biệt chẩn đoán la bô về bệnh sán lá gan lớn, các bệnh nhân bị nghi ngờ trên lâm sàng nơi mà bệnh nguyên không thể xác định. ELISA được báo cáo là có độ chính xác 98%. Tuy nhiên, nó được đánh giá là độ chính xác đến 100% trong nghiên cứu này.
Các kỹ thuật chẩn đoán hình ảnh đã được sử dụng trong hỗ trợ chẩn đoán bệnh sán lá gan lớn. Siêu âm chẩn đoán không đặc hiệu trong giai đoạn cấp của bệnh (pha gan) trong khi đó nó lại có ích hơn cả CT scanner chỉ ra các hình ảnh dãn ống mật lan tỏa và hoặc dày thành mật trong giai đoạn mạn tính. CT cho thấy hình ảnh giảm âm với các node ở gan và các khối abces hay các khối di căn trong khi dày thành ống mật vẫn là hình ảnh chính trong giai đoạn mạn của bệnh sán lá gan lớn. Các thủ thuật PTC và ERCP có hình ảnh dãn đường mật, các khiếm khuyết làm đầy ống mật do sán kẹt và dính vào thành niêm mạc, tăng sản biểu mô đường mật trong giai đoạn mạn tính của bệnh.
Tuy nhiên, bệnh sán lá gan lớn có thể chữa khỏi một cách tự nhiên boiử chính nó. Song để tránh các biến chứng, điều trị nên tiến hành trên những ca không triệu chứng. Điều trị nội khoa bằng thuốc Triclabendazol, Nitazoxanid, Albendazol, Bithionol và Praziquantel được sử dụng trong điều trị bệnh. Các y văn cho thấy triclabendazol có hiệu quả cao và tác dụng phụ tối thiểu. Bệnh có thể chữa khỏi với liều duy nhất 10 mg/kg triclabendazol thành công. Apt và cộng sự cho biết 79.2% trong số 24 ca nghiên cứu và El-Morshedy cùng cộng sự nghiên cứu trên 134 ca có 79.4% thành công với liều duy nhất triclabendazole. Liều duy nhất triclabendazol được dùng để điều trị tất cả các ca. Trong giai đoạn mạn, sử dụng sonde T (T-tube) và cho thuốc Triclabendazole với liều 20 mg/kg trong 24 giờ, trứng được phân lập trong dịch mật lấy ra. Đáp ứng khi nhận cùng liều điều trị sau 1 tháng điều trị. Trong các trường hợp khác giai đoạn mạn tính, ống mật phải dùng dung dịch povidone iodine để súc rửa sạch với nồng độ 2.5% với sự trợ giúp của PDC và do đó sán chết và dẫn lưu trứng ra ngoài cũng dễ dàng hơn. Trong trường hợp nơi mà ống mật bị can thiệp với ERCP và PTC, sử dụng catheter ngoài có thể hữu dụng để can thiệp thuốc, điều này trong tương lai cần có những nghiên cứu đối chứng làm rõ hơn.
F.hepatica là một ký sinh tùng nhiễm trên người hiếm khi gây các biến chứng, nên vấn đề này cần cân nhắc và nghĩ đến khi đang sống trong vùng lưu hành vì các biến chứng nặng có thể xảy ra. Việc phẩu thuật có thể cần thiết trong những trường hợp ca bệnh có biến chứng như vậy. Tuy nhiên trong hầu hết các ca bệnh, mổ bụng thăm dò và thủ thuật xâm nhập nhằm mục đích chẩn đoán không do các biến chứng. Trên những ca nơi mà mổ bụng thăm dò thực hiện và ngay cả những ca các nổ lực thăm dò cũng được thiết lập, việc sử dụng các catheter bên ngoài cho phép dẫn lưu mật và lấy xác sán cũng như trứng sán một cách dễ dàng như một biện pháp vừa chẩn đoán vừa điều trị. Kết quả cho thấy các phương pháp huyết thanh học phải được sử dụng chẩn đoán để tránh các thủ thuật hay mổ bụng thăm dò trên những ca nghi nghờ, đặc biệt tại các vùng lưu hành bệnh.
Tài liệu tham khảo
1.Carrada Bravo T. Fascioliasis: diagnosis, epidemiology and treatment. Rev Gastroenterol Mex 2003 ; 68(2) :135-42.
2.Mas Coma S. Epidemiology of fascioliasis in human endemic areas. Journal of Helminthology 2005 ; 79 (3) : 207-216.
3.Saba R, Korkmaz M. Human Fascioliasis. Clinical Microbiology Newsletter 2005 ; 27 (4) : 27-34.
4.Yilmaz H, Gödekmerdan A. Human fasciolosis in Van province, Turkey. 15- Acta Tropica 2004 ; 92(2) : 161-162.
5.Saba R, Korkmaz M, Inan D et al. Human Fascioliasis. Clin Microbiol Infect 2004 May ; 10 : 385-387.
6.Arjona R, Riancho JA, Aguado JM, Salesa R, Gonzales MC. Fascioliasis in developed countries: a review of classic and aberrant forms of disease. Medicene (Baltimore) 1995 ; 74 :13-8.
7.Mas Coma MS, Esteban JG, Bargues MD. Epidemiology of human fascioliasis: a review and proposed new classification. Bull World Health Organ 1999 ; 77 : 340-346.
8.Harinasuta T, Pungpak P, Keystone JS. Trematod (schistosoma)e infections. Opisthorchiasis, clonorchiasis, fascioliasis. Infect Dis Clin North Am 1993 ; 7 : 699-716.
9.Elizondo ME, Amondarain J, Carlos LR. Fascioliasis: An Exceptional Cause of Acute Pancreatitis. J Pancreas 2005 ; 6(1) : 36-39.
10.Han JK. Radiological findings of human fascioliasis. Abdom-Imaging 1993 ; 18(3) : 261-7.
11.Inal M, Doran F, Soyupak S, Uguz A, Akgül E, Okur N. Percutaneous biliary drainage: an alternative treatment for biliary fascioliasis. Abdom Imaging 2002 ; 27 : 552-6.
12.D. Y. Aksoy, U. Kerimoglu, A. Oto. Infection with Fasciola hepatica. Clinical Microbiology & Infection 2005 ; 11 : 859-64.
13.Loutan L, Bouvier M, Rojanawisut B, et al. Single treatment of invasive fascioliasis with triclabendazole. Lancet 1989 ; 2 : 383-7.
14.Apt W, Aguilera X, Vega F, et al. Treatment of human chronic fascioliasis with triclabendazol: drug efficacy and serologic responce. Am J Trop Med Hyg 1995 ; 52(6) : 532-5.
15.El-Morshedy E, Farghaly A, Sharaf S et al. Triclabendazol in the treatment of human fascioliasis: a communitiy based study. East Mediterr Health J 1999 ; 5(5) : 888-94.