Nhóm tác giả Ruy J Cruz J, Rodrigo Vincenz và Bernardo M Ketzer đang công tác tại khoa ngoại, Trung tâm y khoa đại họcPittsburgh, Mỹ; khoa ngoại của trường y khoa Santo Amaro,Sao Paulo, Brazil đăng tải trên tạp chí World Journal of Emergency Surgery 2010, 5:23doi:10.1186/1749-7922-5-23.
Giới thiệu: Tắc nghẽn đường ruột là một biến chứng ít được báo cáo và là tiên lượng xấu của bệnh giun lươn. Chúng tôi báo cáo ở đây một trường hợp bất thường, một ca bệnh tắc hoàn toàn tá tràng do S. stercoralis.
Phương pháp:tổng hợp một cách hệ thống y văn thế giới về lâm sàng, phương pháp chẩn đoán và hậu quả của biến chứng hiếm này do giun lươn.
Kêt quả:một phụ nữ 42 tuổi có tiền sử đau bụng khoảng 5 tháng nay, buồn nôn, nôn mửa, sụt cân. Chụp CT bụng cho thấy hình ảnh tắc nghẽn phần thứ 3 của tá tràng. Phẩu thuật ruột một phần được tiến hành và làm giỉa phẩu bệnh lý cho thấy nhiễm giun lươn Strongyloides stercoralis nặng. Tắc tá tràng là một biến chứng hiếm của giun lươn, chỉ có 8 trường hợp được mô tả trên y văn từ năm 1970. Hầu hết bệnh nhân là nam giới, tuổi trung niên, chẩn đoán qua sinh thiết hoặc hút dịch tá tràng hoặc mẫu bệnh phẩm phẩu thuật.
Kết luận:Tắc tá tràng là một dấu bất thường, nguy cơ tử vong do giun lươn. Phhỏ lâm sàng rất đa dạng và thiếu đi các hội chứng kinh điển khiến cho chẩn đoán xác định khó khăn. Một chỉ số nghi ngờ cao, chủ yếu là các bệnh nhân từ vùng lưu hành bệnh, việc đòi hỏi chẩn đoán sớm và đúng những ca này là quan trọng.
Giới thiệu
Bệnh giun lươn là một bệnh của ký sinh trùng, gây ra bởi một loại giun tròn tên là Strongyloides stercoralis (SS). Tỷ lệ hiện mắc thật của giun S. stercoralis khó đánh giá và ước tính vì nhiễm trùng thường không biểu hiện lâm sàng. Hiện nay, ước tính khoảng 100 triệu người nhiễm giun này tại hơn 70 quốc gia trên toàn cầu. Bệnh giun lươn lưu hành ở khu vực Đông Nam Á, châu Mỹ Latin, cận sa mạc Sahara, châu Phi và một phần của đông nam Hoa Kỳ. Điển hình, nhiễm trùng không triệu chứng hoặc biểu hiện rất mơ hồ và nhất là các triệu chứng tiêu hóa không đặc hiệu. Song, nhiễm trùng lan tỏa của ấu trùng giai đoạn nhiễm của giun lươn liên quan đến tỷ lệ tử vong cao trên các bệnh nhân suy giảm miễn dịch. Tắc ruột do giun lươn được xem như biến chứng nặng và tiên lượng xấu. Ở đây, chúng tôi báo cáo một ca bệnh hiếm giun lươn gây tắc hoàn toàn tá tràng. Đồng thời, tổng hợp y văn về lâm sàng, xét nghiệm và hậu quả của ca bệnh hiếm như thế này nhưng nguy cơ tử vong lại rất cao.
Phương pháp nghiên cứu:
Tổng hợp y văn có sử dụng cơ ở dữ liệu của Medline để xác định các bài báo cáo liên quan đến tắc tá tràng do giun lươn Strongyloides stercolaris, gồm những trường hợp báo cáo đăng tải từ những năm 1970, tất cả báo cáo tổng hợp một cách hệ thống và chỉ có một ca tắc tá tràng do giun lươn trong loạt báo cáo này.
Trình bày ca bệnh
Bệnh nhân nữ 42 tuổi có tiền sử đau bụng tái đi tái lại trong 5 tháng qua kèm theo buồn nôn, nôn sau ăn, tiêu chảy từng đợt và sụt cân rất nhiều. Tiền sử y khoa của bệnh nhân không đáng chú ý, ngoại trừ có một lần nhập viện vì viêm phổi năm ngoái. Khám thực thể cho thấy bệnh nhân có tình trạng lâm sàng kém, suy dưỡng, không sốt, huyết áp 100/40 mmHg, mạch 100 lần/ phút, nhịp thở 24 lần/ phút. Không phát hiện hạch lympho. Tim phổi nghe bình thường, khám bụng cho thấy đau vùng thượng vị, không ợ hơi hay phản ứng dội, gan lách không sờ đụng và phù chân nhẹ.
Xét nghiệm phân tìm máu ẩn dương tính, nhưng âm tính với trứng và ký sinh trùng. Đánh giá các xét nghiệm huyết học thấy hematocrite là 39%, bạch cầu 14.9 × 103/L (neutrophils 73%, lynphocyte 12% và eosinophils 0%), tiểu cầu 600 × 103/μL. Lượng protein và albumin huyết thanh lần lượt 2.9 g/dL và 1.2 g/dL. Nồng độ creatinine là 2.5 mg/dL, BUN 118 mg/dL, kali 2.8 mmol/L. chức năng gan, amylase, lipase trong giới hạn bình thường. các xét tác nhân nhiễm trùng khác âm tính. Tiến hành đặt đường truyền và bù dịch thay thế, kháng sinh phổ rộng cho đường tính mạch để chống nhiễm trùng. CT bụng cho hình ảnh căng phồng hay sưng phồng dạ dày và tá tràng, có khả năng có điểm tắc nghẽn ở đoạn tá tràng. Đặt sonde dạ dày để giảm áp trong khoang dạ dày, nội soi tiêu hóa trên không để chẩn đoán do tồn lưu thức ăn trong dạ dày lâu.
 |
Hình ảnh (A) CT bụng cho thấy hình ảnh dãn dạ dày (S) và tá tràng (D). (B) viêm nhiễm nặng, xuất huyết niêm mạc và loét điểm đoạn gần tá tràng và hồi tràng. |
Viêm nặng, xuất huyết niêm mạc và loét điểm vùng gần tá tràng và hồi tràng. Vùng mũi tên chỉ điểm xuất huyết do tắc nghẽn. Tại điểm này, chúng tôi quyết định bắt đầu cho bệnh nhân dinh dưỡng bằng đường ngoài miệng và lặp lại nội soi tiêu hóa trên trong 48 giờ. Cho dù óc hỗ trựo về mặt lâm sàng, 24 giờ sau nhập viện bệnh nhân có những dấu hiệu nặng hơn của đau bụng, sốt, tăng bạch cầu và hạ huyết áp từng đợt đòi hỏi phải truyền dịch tĩnh mạch bổ sung. Dựa vào các kết quả chẩn đoán hình ảnh trên CT scanner, chúng tôi nghi ngờ xuất hiện có khối u tá tràng dưới niêm mạc có biến chứng, như là u lymphoma ở đường ruột tiên phát hoặc khối u đệm ở dạ dày ruột và quyết định cho bệnh nhân phẩu thuật cấp cứu.
Bệnh nhân được mổ bụng thăm dò và cho thấy ruột non đoạn gần phù nề và dày lên lan tỏa khắp đoạn ruột và có chít hẹp nặng đoạn thứ 3 của tá tràng. Cắt đoạn ruột bị hẹp và nối tận-tận tá hỗng tràng (duodenojejunostomy). Đoạn bị cắt ra cho thấy tiến trình viêm nhiễm nặng, liên quan với loét niêm mạc và xuất huyết. Xét nghiệm giỉa phẩu bệnh cho thấy hình ảnh viêm nghiêm trọng của thành ruột với nhiễm trùng giun lươn Strongyloides stercoralis (mật độ cao) và đây là bệnh giun lươn nhiễm lan tỏa với liệu pháp điều trị bệnh giun lươn lan tỏa. Bệnh nhân được chuyển đến khoa hồi sức tích cực, kháng sinh và điều trị bệnh giun lươn lan tỏa với liệu pháp phối hợpIvermectin liều 200mcg/kg mỗi ngày và Albendazole 400mg uống 2 lần/ ngày. Dù hỗ trợ về mặt lâm sàng, bệnh nhân chết vì sốc nhiễm trùng 7 ngày sau khi mổ.
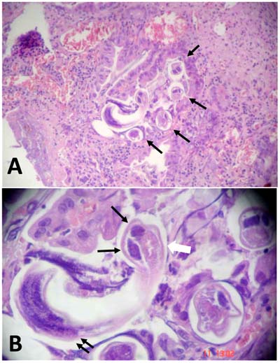
Figure 2. Xét nghiệm mô học của đoạn niêm mạc tá tràng(nhuộm hematoxylin-eosin). (A)cắt ngang có ấu trùngStrongyloides bên trong niêm mạc ruột liên quan thâm nhiễm bạch cầu ái toan và bào tương (B) Phóng đại cho thấy một trứng giunStrongyloides stercolaris và ruột. Cắt dọc ấu trùng giun lươn S. stercolaris cũng có thể quan sát.
Bàn luận
Bệnh giun lươn là một bệnh nhiễm trùng đường ruột hay gặp gây ra bởi 2 loài giun tròn có tên Strongyloides. Loài mắc bênh trên người và là tác nhân sinh bệnh quan trọng về mặt lâm sànglà loài Strongyloides stercoralis. Loài Strongyloides fuelleborni cũng tìm thấy rải rác ở châu Phi và có thể sinh ra có thể nhiễm trùng có hạn chế trong người. Bệnh giun lươn được mô tả lần đầu tiên vào năm 1876, trong quân đội Pháp bị tiêu chảy tại Việt Nam.
Chu kỳ sinh học một cách chi tiết thấu đáo của loài ký sinh trùng này được xác định 50 năm sau đó. Sự thật này có khả năng liên quan đến chu kỳ độc đáo và phức tạp của ký sinh trùng. Ấu trùng Strongyloides stercoralis tồn tại 2 dạng: dạng rhabditiform sống tự do và dạng filariform là ấu trùng nhiễm. Chu kỳ bắt đầu với thể ấu trùng filariform nhiễm đi xuyên qua da và chu du hệ bạch huyết và tuần hoàn đến phổi. Sau khi đi xuyên qua phế nang, ấu trùng tiếp tục di chuyển đến đường khí đạo cho đến khi được nuốt xuống. Trong tá tràng và đoạn gần của hỗng tràng các ấu trùng sẽ trường thành thành con giun cái trưởng thành như sợi chỉ sống trong niêm mạc ruột. Các ấu trùng có thể sinh đến 40 trứng mỗi ngày bằng cách sinh sản mitotic (chẳng hạn, sinh sản vô tính ở đó sự phát triển các phôi thai xảy ra không cần có sự thụ tinh bởi một con đực). Một khi các trứng này đã đẻ, thể ấu trùng rhabditiform bị ly giải. các ấu trùng này có thể hoặc đào thải qua phân, tiếp tục đi vào chu kỳ trong đất hoặc óc thể gây nên chu trình tự nhiễm. Chu trình tự nhiễm xảy ra khi thể ấu trùng dạng rhabditiform đẻ non trở thành thể ấu trùng filariform gây nhiễm trong thành ruột và đi xuyên qua niêm mạc ruột hoặc đi xuyên da (lần lượt chu trình tự nhiễm trong và ngoài). Trong trường hợp ấu trùng nhiễm di chuyển đến phổi và bắt đầu lại chu kỳ như đã mô tả trước đây. Hiện tượng tự nhiễm cho phép S. stercoralis tồn tại và nhân lên trong một vật chủ hàng chục năm, có tác giả báo cáo kéo dài nhất đến 65 năm.
Thuật ngữ bệnh lan tỏa (“disseminated disease") được sử dụng để xác định khi ấu trùng giai đoạn nhiễm di chuyển từ ruột với một số lượng lớn không chỉ đến phổi mà còn đến các cơ quan khác không liên quan đến chu kỳ bình thường. Bệnh giun lươn lan tỏa, tỷ lệ tử vong có thể cao đến 70-90%. Một số yếu tố nguy cơ liên quan đến sự phát triển của bệnh giun lươn lan tỏa, bao gồm:
(1)Suy giảm miễn dịch;
(2)Bệnh ác tính về máu;
(3)Bệnh nhaan đang dùng thuốc steroids;
(4)Bệnh nhân nhiễm HTLV-1;
(5)Nghiện rượu mạn tính;
(6)Suy thận;
(7)Bệnh nhân được cấy ghép cơ quan.
Trong bệnh giun lươn lan tỏa, sự hoán vị của các vi khuẩn đường ruột có thể xảy ra, dẫn đến nhiễm trùng Gram (-)hoặc viêm màng não vi khuẩn. Các vi sinh vật đường ruột có thể hoặc đi vào tuần hoàn thông qua các vết loét tiêu hóa hoặclà nhiễm phải ấu trùng giai đoạn nhiễm.
Khoảng chừng ½ số ca nhiễm giun lươn không có biểu hiện triệu chứng. Biểu hiện lâm sàng rất khác nhau, nói lên một chu kỳ rất phức tạp, khi các triệu chứng hình thành, các dấu hiệu tiêu hóa là hay gặp nhất. Các triệu chứng có thể biểu hiện mơ hồ và không đặc hiệu gồm chán ăn, buồn nôn, nôn mửa, sụt cân, đau bụng, đầy hơi và tiêu lỏng. Ít gặp hơn là là hội chứng suy dưỡng, tắc ruột, xuất huyết tiêu hóa, tắc do ruột liệt (paralytic ileus) có thể xảy ra. Các triệu chứng hiếm gặp trong bệnh giun lươn không biến chứng nhưng có ho, khò khè có thể xảy ra như một tình trạng của hội chứng Löffler's. Trong thể bệnh hô hấp do giun lươn lan tỏa thường biểu hiện ưu thế là khó thở, nhịp tim nhanh, đau màng phổi, tràn dịch màng phổi và ho ra máu. Ấu trùng di chuyển là một dạng bệnh sinh của dưới da niêm của bệnh giun lươn Strongyloidis, thường xảy ra trong suốt quá trình tự nhiễm bên ngoài. Các vệt đỏ mày đay dạng rắn bò gây ra bởi giun Strongyloides stercoralis di chuyển nhanh, khoảng 15cm/giờ trên bề mặt các chi, nhất là vùng đùi.
Tắc tá trang cũng là một biến chứng hiếm của bệnh giun lươn, với 8 ca đã được báo cáo trong y văn (xem bảng), tất cả tắc tá tràng do giun lươn Strongyloides stercolaris kể từ năm 1970. Hai cơ chế gây tắc tá tràng do giun lươn đã được làm rõ, một là sự tắc nghẽn liên quan đến phù nề niêm mạc nặng và phản ứng viêm làm hẹp nhanh thành tá tràng. Thứ 2, cơ chế nén ép bên ngoài vào tá tràng do bó mạch thần kinh mạc treo tràng trước gây ra các triệu chứng tắc nghẽn. Một vài cơ chế được đề nghị để giải thích cơ chế nén ép tắc tá tràng ngoại sinh từ bên ngoài (động mạch mạc treo tràng trên/ hội chứng Wilkie) trên các bệnh nhân bị giun lươn, gồm có sụt cân nặng, tắc tá tràng, dãn hạch lympho mạc treo và tăng đường kính của mạch mạc treo tràng trên.
Tổng hợp y văn về 8 trường hợp tắc tá tràng do S. stercoralis (1970-2010).
Tắc ruột do liệt cũng là một biến chứng tiềm tàng của hội chứng tăng nhiễm trong giun lươn S. stercolaris. Trong một bảng tổng hợp gần đây, Yoshida và cộng sự báo cáo 25 trường hợp tắc ruột liên quan đến giun lươn Strongyloides. Hầu hết các bệnh nhân là nam giới (60%) và tuổi trung niên, các dấu chứng tương tự với tắc tá tràng. Dù các dữ liệu không sẵn có trong y văn, nó dường như có hội chứng tắc nghẽn tiêu hóa biểu hiện hay gặp hơn các nhóm bệnh nhân đặc hiệu, vì nhiễm trùng không có ưu thế cho giới và tuổi.
Bệnh giun lươn thường có liên quan đến thiếu máu và thiếu giảm cholesterol máu và cả albumin. Tăng bạch cầu ái toan là một xét nghiệm không tồn tại, hiện diện đến 35% trong giai đoạn cấp và ít gặp hơn trên các bệnh nhân mắc bệnh mạn tính hoặc bệnh lan tỏa. Hầu hết bệnh nhân nhiễm giun lươn tắc tá tràng có tỷ lệ bạch cầu ái toan thấp chỉ ra nhiễm mạn tính. Tăng bạch cầu ái toan và giảm nồng độ IgE biểu hiện liên quan đến tiên lượng xấu cho bệnh nhân, nhất là các bệnh nhân bị bệnh giun lươn lan tỏa. Tắc tá tràng cũng có thể gây ra do một số nguyên nhân khác, như là lao, u lymphoma đường tiêu hóa tiên phát, bệnh Crohn, viêm dạ dày ruột tăng bạch cầu ái toan (eosinophilic gastroenteritis) và u tế bào nền của tiêu hóa. Mặc dù đã chăm sóc tích cực trước khi phẩu thuật, song 3/9 ca được trình bày trong bảng cũng đã được chẩn đoán sau khi mổ bụng thăm dò. Do đó, các chỉ số nghi ngờ cao là cần thiết để chẩn đoán đúng trong bệnh giun lươn có liên quan đến tắc tá tràng. Chẩn đoán bệnh giun lươn có thể xác định bằng sự hiện diện ấu trùng trong phân . Điều này dễ thực hiện, sẵn có trang thiết bị tại và phương pháp không đắt tiền để phát hiện ký sinh trùng. Tuy nhiên, xét nghiệm phân không phải là tỷ lệ nhạy tuyệt đối và chẩn đoán với chỉ mọt mẫu đơn thuần chỉ khoảng 30%. Độ nhạy của lam phân có thể tăng lên đến 60% nếu xét nghiệm ≥ 5 lam phân.Chú ý rằng S. stercoralis là loại giun duy nhất cho ra ấu trùng trong phân. Do đó, sự có mặt của trứng trong phân là không thể.
Các phương pháp khác như lấy hút dịch tá tràng hoặc sinh thiết là biện pháp xâm lấn hơn nên ít được áp dụng. Tuy nhiên, xét nghiệm dịch tá tràng tìm trứng và ấu trùng là phương pháp chẩn đoán nhạy với tần suất âm tính giả < 10%. Nội soi gồm có phù niêm mạc tá tràng, chấm xuất huyết, ban xuất huyết đỏ, loét và một số trường hợp phình to tá tràng. Các lông vi nhung mao trong tá tràng màu trắng cũng là một trong những hình ảnh nội soi hay gặp và cảnh báo cho thầy thuốc để chẩn đoán bệnh giun lươn. Gần đây, Kishimoto và cộng sự việc xác định ấu trùng giun lươn S. stercoralis trong mẫu sinh thiết tá tràng có thể khả thi đến 71% số ca. Trong 8/9 trường hợp trình bày trong bảng trên, chẩn đoán được thiết lập thông qua sinh thiết hoặc hút dịch tá trànghoặc xét nghiệm mẫu bệnh phẩm cắt ra trong quá trình phẩu thuật. Các xét nghiệm này xác định rất cần đẻ làm rõ trong những tình huống khó chẩn đoán.
Trong các trường hợp nhiễm trùng lan tỏa, ký sinh trùng cũng có thể tìm thấy trong mẫu bệnh phẩm đờm, chất dịch rửa phế quản - phế nang, dịch não tủy, da, nước tiểu và dịch báng. Xét nghiệm chẩn đoán huyết thanh được chỉ định khi nhiễm trùng nghi ngờ và S. stercoralis không thể minh họa bằng các đánh giá chuẩn vàng. Mặc dù các xét nghiệm ngưng kết hồng cầu gián tiếp (indirect hemmagglutination_IHA) và kháng thể huỳnh quan gián tiếp (Indirect fluorescent antibody_IFA) đã được dùng, song xét nghiệm ELISA hiện đang được khuyến cáo vì độ nhạy của chúng cao hơn. Dù độ nhạy và độ đặc hiệu cao, song các test miễn dịch có một số giới hạn, gồm:
(1) Độ tin cậy của các kít thương mại sẵn có khác nhau,
(2) Kết quả âm tính giả trên các bệnh nhân bị suy giảm miễn dịch;đôi khi không lý giải được;
(3) Xuất hiện và tồn tại kháng thể kháng giun lươntrong một thời gian dài thậm chí sau khi điều trị đã thành công;
(4) các kết quả dương tính giả do phản ứng chéo với các loại ký sinh trùng khác như giun chỉ và bệnh sán máng cấp.
Chẩn đoán hình ảnh không đặc hiệu. Tuy nhiên, các bất thường về chụp X quang có giới hạn với đoạn tá tràng và hồi tràng gần, trên CT scans và hệ tiêu hóa trên nên cảnh báo cho các thầy thuốc ngoại khoa có khả năng do giun lươn gây ra. Một đặc điểm của chẩn đoán hình ảnh duy nhất của giun lươn là chụp cản quan có trào ngược chất vào trong đường mật, khả năng do cơ vòng Oddi trít hẹp do viêm nhiễm nặng của thành tá tràng đi cùng.
Điều trị y khoa nên thiết lập và tiến hành ngay, nhất là khi vắng mặt triệu chứng, để tránh bệnh giun lươn lan tỏa và hạn chế tối đa hội chứng tăng nhiễm. Thuốc lựa chọn điều trị bệnh giun lươn là Ivermectin cho liều 200mcg/kg hàng ngày ít nhất trong vòng 2 ngày. Trong trường hợp bệnh giun lươn lan tỏa có thể cần thiết kéo dài liệu trình điều trị hoặc lặp lại quá trình điều trị. Albendazole và Thiabendazole, có hiệu lực điều trị tương đương với Ivermectin. Tuy nhiên, Thiabendazole có tác dụng phụ đáng kể và thậm chí nặng nên không được khuyên dùng lâu dài trên các bệnh nhân có bệnh hệ thống và bệnh nhân nhiễm HIV. Do một tình trạng nghiêm trọng và nặng của bệnh nhân, chúng tôi quyết định sử dụng liệu pháp thuốc phối hợp Albendazole + Ivermectin. Chiến lược điều trị này đã được khuyên dùng trong điều trị bệnh giun lươn lan tỏa cho kết quả tốt.
Trên các bệnh nhân không thể dung nạp với điều trị, dùng thuốc Ivermectin hoặc Thiabendazole đường trực tràng có thể chỉ định. Song, các báo cáo gần đây cho thấy nồng độ thuốc Ivermectin trong huyết thanh rất thấp sau khi dùng đường trực tràng trên các bệnh nhân tắc do liệt ruột còn tồn hoặc tắc ruột. Không có chế phẩm nào ngoài đường uống cho thuốc chống giun sẵn óc sử dụng ở người dù thuốc Ivermectin dưới da trong thú y đã được sử dụng thành công trong điều trị bệnh giun lươn không đáp ứng với liệu trình chuẩn đường uống hoặc khi chỉ định đường ruột không khả thi. Do đó, các nghiên cứu tiếp theo đánh giá tính an toàn, hiệu quả và dược động học của thuốc Ivermectin đường uống là cần thiết để tăng hiệu quả điều trị trên những bệnh nhân có biến chứng hoặc hội chứng tăng nhiễm trong giun lươn S. stercoralis.
Kết luận
Nói tóm lại, tắc tá tràng là rất hiếm nhưng nguy cơ tử vong cao, biến chứng do S. stercoralis. Một bảng mục triệu chứng lâm sàng và thiếu các hội chứng lâm sàng kinh điển khiến cho chẩn đoán xác định về bệnh giun lươn rất khó. Do đó, một chỉ số nghi nghờ, chủ yếu là liên quang đến vùng dịch dịch tễ lưu hành bệnh cần thiết và giúp chẩn đoán đúng và sớm cho các biến chứng hiếm gặp này cho giun lươn S. stercoralis.
Abstract
DUODENAL OBSTRUCTION
AN UNUSUAL PRESENTATION OF STRONGYLOIDES STERCORALIS ENTERITIS
Background: Intestinal obstruction is a poorly recognized and probably underreported complication of strongyloidiasis. We present herein an unusual case, of complete duodenal obstruction caused by S. stercoralis. Methods: A systematic review of the literature examining the clinical course, diagnostic methods, and outcome of this rare complication of strongyloidiasis was performed. Results: A 42-year-old woman presented with a 5-month history of abdominal pain, vomit, and weight loss. An abdominal CT scan showed an obstruction of the third part of the duodenum. Segmental intestinal resection was carried out and histopathology examination revealed heavy Strongyloides stercoralisinfestation. Duodenal obstruction is a rare complication of S. stercoralisinfection, with only 8 cases described in the literature since 1970. Most of the patients are males, middle-aged, and the diagnosis was made by duodenal aspirate/biopsy, or analysis of surgical specimen. Conclusions: Duodenal obstruction is an unusual, but potential fatal, complication of S. stercoralis infection. The large spectrum of clinical manifestation and lack of classic clinical syndrome make the final diagnosis of strongyloidiasis extremely difficult. A high index of suspicion, mainly in patients from endemic areas, is needed for correct and early diagnosis of this uncommon presentation of Strogyloides stercoralisenteritis.
Tài liệu tham khảo
1.Concha R, Harrington W, Rogers AI: Intestinal strongyloidiasis: recognition, management, and determinants of outcomes. J Clin Gastroenterol 2005 , 39:203-211.
2.Mahmoud AA: Strongyloidiasis. Clin Infect Dis 1996 , 23(5):949-952.
3.Segarra-Newnham M: Manifestations, diagnosis, and treatment of Strongyloides stercoralis infection. Ann Pharmacother 2007 , 41(12):1992-2001.
4.Olsen A, van Lieshout L, Marti H, Polderman T, Polman K, Steinmann P, Stothard R, Thybo S, Verweij JJ, Magnussen P: Strongyloidiasis: the most neglected of the neglected tropical diseases? Trans R Soc Trop Med Hyg 2009 , 103(10):967-972.
5.Genta RM: Global prevalence of strongyloidiasis: critical review with epidemiologic insights into the prevention of disseminated disease. Rev Infect Dis 1989 , 11(5):755-767.
6.Chu E, Whitlock WL, Dietrich RA: Pulmonary hyperinfection syndrome with Strongyloides stercoralis. Chest 1990 , 97(6):1475-1477.
7.Ramdial PK, Hlatshwayo NH, Singh B: Strongyloides stercoralis mesenteric lymphadenopathy: clue to the etiopathogenesis of intestinal pseudo-obstruction in HIV-infected patients. Ann Diagn Pathol 2006 , 10(4):209-214.
8.Harish K, Sunilkumar R, Varghese T, Feroze M: Strongyloidiasis presenting as duodenal obstruction. Trop Gastroenterol 2005 , 26(4):201-202.
9.Leighton PM, MacSween HM: Strongyloides stercoralis. The cause of an urticarial-like eruption of 65 years' duration. Arch Intern Med 1990 , 150(8):1747-1748.
10.Yoshida H, Endo H, Tanaka S, Ishikawa A, Kondo H, Nakamura T: Recurrent paralytic ileus associated with strongyloidiasis in a patient with systemic lupus erythematosus. Mod Rheumatol 2006 , 16(1):44-47.
11.Galimberti R, Pontón A, Zaputovich FA, Velasquez L, Galimberti G, Torre A, Kowalczuk A: Disseminated strongyloidiasis in immunocompromised patients--report of three cases. Int J Dermatol 2009 , 48(9):975-978.
12.Cohen J, Spry CJ: Strongyloides stercoralis infection and small intestinal lymphoma. Parasite Immunol 1979 , 1(2):167-178.
Zyngier FR, Lemme A, Pereira EG, Leal BB, Liberal MH: Surgical perpetuation of serious infection with Strongyloides stercoralis. Trans R Soc Trop Med Hyg 1983 , 77(3):425.
13.Lee MG, Terry SI: Arteriomesenteric duodenal occlusion associated with strongyloidiasis. J Trop Med Hyg 1989 , 92(1):41-45.
14.Friedenberg F, Wongpraparut N, Fischer RA, Gubernick J, Zaeri N, Eiger G, Ozden Z: Duodenal obstruction caused by Strongyloides stercoralis enteritis in an HTLV-1-infected host. Dig Dis Sci 1999 , 44(6):1184-1188.
15.Suvarna D, Mehta R, Sadasivan S, Raj VV, Balakrishnan V: Infiltrating Strongyloides stercoralis presenting as duodenal obstruction. Indian J Gastroenterol 2005 , 24(4):173-174. PubMed Abstract
16.Juchems MS, Niess JH, Leder G, Barth TF, Adler G, Brambs HJ, Wagner M: Strongyloides stercoralis: a rare cause of obstructive duodenal stenosis. Digestion 2008 , 77(3-4):141-144.
17.Stemmermann GN: Strongyloidiasis in migrants. Pathological and clinical considerations. Gastroenterology 1967 , 53(1):59-70. PubMed Abstract
Al Maslamani MA, Al Soub HA, Al Khal AL, Al Bozom IA, Abu Khattab MJ, Chacko KC: Strongyloides stercoralis hyperinfection after corticosteroid therapy: a report of two cases. Ann Saudi Med 2009 , 29(5):397-401.
18.Bannon JP, Fater M, Solit R: Intestinal ileus secondary to Strongyloides stercoralis infection: case report and review of the literature. Am Surg 1995 , 61(4):377-380. PubMed Abstract
19.Al-Bahrani ZR, Al-Saleem T, Al-Gailani MA: Sub-acute intestinal obstruction by Strongyloides stercolaris. J Infect 1995 , 30(1):47-50.
20.Nonaka D, Takaki K, Tanaka M, Umeno M, Takeda T, Yoshida M, Haraguch Y, Okada K, Sawae Y: Paralytic ileus due to strongyloidiasis: case report and review of the literature. Am J Trop Med Hyg 1998 , 59(4):535-538.
21.James CA, Abadie SH: Studies in human strongyloides II. A comparison of the efficiency of diagnosis by examination of feces and duodenal fluid. Am J Clin Pathol 1954 , 24:1154-1158. PubMed Abstract
22.Lim S, Katz K, Krajden S, Fuksa M, Keystone JS, Kain KC: Complicated and fatal Strongyloides infection in Canadians: risk factors, diagnosis and management. CMAJ 2004 , 171:479-484.
23.Thompson BF, Fry LC, Wells CD, Olmos M, Lee DH, Lazenby AJ, Mönkemüller KE: The spectrum of GI strongyloidiasis: an endoscopic-pathologic study. Gastrointest Endosc 2004 , 59(7):906-910.
24.Kishimoto K, Hokama A, Hirata T, Ihama Y, Nakamoto M, Kinjo N, Kinjo F, Fujita J: Endoscopic and histopathological study on the duodenum of Strongyloides stercoralis hyperinfection. World J Gastroenterol 2008 , 14(11):1768-1773.
25.Genta RM: Predictive value of an enzyme-linked immunosorbent assay (ELISA) for the serodiagnosis of strongyloidiasis. Am J Clin Pathol 1988 , 89(3):391-394.
26.Lindo JF, Conway DJ, Atkins NS, Bianco AE, Robinson RD, Bundy DA: Prospective evaluation of enzyme-linked immunosorbent assay and immunoblot methods for the diagnosis of endemic Strongyloides stercoralis infection. Am J Trop Med Hyg 1994 , 51(2):175-179.
27.Louisy CL, Barton CJ: The radiological diagnosis of Strongyloides stercoralis enteritis. Radiology 1971 , 98(3):535-541. t
28.Datry A, Hilmarsdottir I, Mayorga-Sagastume R, Lyagoubi M, Gaxotte P, Biligui S, Chodakewitz J, Neu D, Danis M, Gentilini M: Treatment of Strongyloides stercoralis infection with ivermectin compared with albendazole: results of an open study of 60 cases. Trans R Soc Trop Med Hyg 1994 , 88(3):344-345.
29.Boken DJ, Leoni PA, Preheim LC: Treatment of Strongyloides stercoralis hyperinfection syndrome with thiabendazole administered per rectum. Clin Infect Dis 1993 , 16(1):123-126.
30.Tarr PE, Miele PS, Peregoy KS, Smith MA, Neva FA, Lucey DR: Case report: Rectal adminstration of ivermectin to a patient with Strongyloides hyperinfection syndrome. Am J Trop Med Hyg 2003 , 68(4):453-455.
31.Grein JD, Mathisen GE, Donovan S, Fleckenstein L: Serum ivermectin levels after enteral and subcutaneous administration for Strongyloides hyperinfection: a case report. Scand J Infect Dis 2010 , 42:234-236.
32.Chiodini PL, Reid AJ, Wiselka MJ, Firmin R, Foweraker J: Parenteral ivermectin in Strongyloides hyperinfection. Lancet 2000 , 355:43-44.
33.Lichtenberger P, Rosa-Cunha I, Morris M, Nishida S, Akpinar E, Gaitan J, Tzakis A, Doblecki-Lewis S: Hyperinfection strongyloidiasis in a liver transplant recipient treated with parenteral ivermectin. Transpl Infect Dis 2009, 11:137-142.