Ngày 7/3/2016. BBC News. 20 bức ảnh khoa học thú vị nhất năm 2016 (The 20 best science images of the year 2016). Thế giới quanh ta, kể cả những tác nhân gây bệnh dịch nguy hiểm luôn ẩn chứa những điều kỳ bí mà chúng ta không hề được biết như 20 bức ảnh khoa học 3D thú vị nhất trong năm 2016 mà các bạn sẽ được chiêm ngưỡng sau đây.
Hình ảnh sống động của tay người mắc bệnh Raynaud
Từ máy scan màu của các bộ phận cơ thể đến các hình ảnh sống động của các sinh vật tiến đến gần, chung kết Giải thưởng Wellcome Image Awards đã được công bố mà bức ảnh nhiệt nóng dưới đây cho thấy nhiệt độ của hai bàn tay con người, một người khỏe mạnh bên trái và một người mắc bệnh Raynaud (rối loạn mạch máu) bên phải.

Bệnh Raynaud-Matthew Clavey, Thermal Vision Research
Cả hai bàn tay được đặt vào nước lạnh trong 2 phút trước khi được chụp lại ảnh, sau đó bàn tay khỏe mạnh ấm lại với mức độ nhanh đáng kể. Catherine Draycott, lãnh đạo của Wellcome Images và là trưởng ban giám khảo cho biết: “Hình ảnh gây ấn tượng bởi vì nó cho thấy rất sinh động giữa tuần hoàn máu bình thường và tuần hoàn máu kém của người mắc bệnh Raynaud-được kích hoạt bằng nhiệt độ lạnh, căng thẳng và lo lắng”.
Điện não đồ ở người (Wiring the human brain)
Alfred Anwander, Viện Max Planck về khoa học nhận thức và não ở người (Max Planck Institute for Human Cognitive and Brain Sciences). Một kính vạn hoa nhiều màu sắc tiết lộ một bản đồ chuỗi các phản ứng hóa sinh bên trong não của một người lớn khỏe mạnh, các bộ phận khác của não giao tiếp với nhau thông qua các sợi thần kinh là màu sắc được mã hóa tại đây.

Sử dụng một loại hình ảnh cộng hưởng từ (MRI)-hình ảnh được tạo ra từ việc lập bản đồ các lát cắt của não, từ trên xuống dưới, theo dõi hướng và sự chuyển động của các phân tử nước. Catherine Draycott cho biết: “Chúng tôi cảm thấy nó đã nắm bắt kỹ thuật khi chụp một bức ảnh của não đang sống”.
Dị ứng thuốc nhuộm đen (Black henna allergy)
Nicola Kelley, Cardiff and Vale Bệnh viện Đại học NHS Trust (University Hospital NHS Trust). Thuốc nhuộm từ cây lá móng được sử dụng phổ biến để nhuộm tạm thời da hay tóc thành màu cam nâu nhưng thuốc nhuộm có thể được thêm vào để chuyển sang màu đen.

Dirk Pilat, giám đốc y khoa của e-Learning của Trường Đại học Y khoa Hoàng gia: “Tại đây bạn có thể thấy một hình xăm đen trên tay của một phụ nữ trẻ, người này đã phải chịu đựng phản ứng gây dị ứng với thuốc nhuộm, ánh sáng thật tuyệt vời và cho thấy sự mờ ảo dưới da do bị phồng lên vì dộp da nằm bắt giai đoạn đầu của phản ứng”.
Tế bào gốc của người (Human stem cell)
Sílvia A Ferreira, Cristina Lopo and Eileen Gentleman, Đại học King's College London. Các tế bào gốc có thể phân chia để hình thành các tế bào khác được thấy trong cơ thể, tế bào này khoảng 15 micromet (0,015mm) và trước khi bức ảnh này được chụp, nó được làm lạnh ở nhiệt độ đông lạnh (thấp hơn -1500C hay -2380F).

Robin Lovell-Badge, thành viên giám khảo của Wellcome awards và là trưởng khoa sinh học tế bào gốc và di truyền học phát triển của Viện Francis Crick giải thích: “Đây là bức ảnh chụp từ kính hiển vi điện tử của một tế bào gốc lấy từ tủy xương bên trong xương hông của một người khỏe mạnh thực sự nổi bật, chúng ta thấy rằng tính đối xứng tự nhiên cùng với màu sắc rất huyền ảo rất sống động, nó thật thú vị và rõ nét”.
Phân chia tế bào gốc trong não (Dividing stem cell in the brain)
Paula Alexandre, Đại học College London. Mẫu tạo hình xoáy này cho thấy các giai đoạn khác nhau của một tế bào gốc tách đôi thành hai bên trong bộ não của cá ngựa trước khi nó nở, vòng tròn là khoảng 250 micromet (0,25) rộng bao gồm khoảng thời gian là 9 giờ, bắt đầu ở khoảng vị trí 8 giờ tế bào tách ra làm hai tế bào khác nhau được phát hiện trong não.

Anne Deconinck, giám đốc điều hành của Viện Nghiên cứu Ung thư Koch (Koch Institute for Integrative Cancer Research) ở MIT) Mỹ cho biết: “Nó giúp chúng ta hình dung sự phát triển của phôi thai bằng cách hiển thị quá trình sắp xếp tuyệt đẹp của sự phân chia tế bào gốc-sản sinh một tế bào gốc (màu tím) mới và tế bào thần kinh (màu trắng)”
Virus Ebola (Ebola virus)
David S Goodsell, Ngân hàng Dữ liệu Protein RCSB (RCSB Protein Data Bank). Rob Kesseler, giáo sư tại Trung tâm Saint Martins ở Trường Đại học Nghệ thuật London cho biết: “Hình minh họa này cho thấy cấu trúc bên trong của phân tử virus Ebola, với điểm trọng tâm ở hình ảnh 3 chiều vì vậy bạn có thể thấy các cấu trúc bên trong rõ hơn”.

Virus Ebola khoảng 100 nanomet (0,0001mm) chiều rộng-nhỏ hơn 200 lần so với nhiều tế bào khác mà nó lây nhiễm. “Hình minh họa chọn các màu sắc nhạt hơn tương phản âm để thấy các thành phần khác nhau của phân tử nhỏ này, thường là virus gây chết người cho thấy bức ảnh này có thể hiển thị duy nhất nhiều mức độ khác nhau xảy ra đồng thời với hình ảnh tuyệt vời và rõ ràng”.
Trung tâm ngăn ngừa bệnh truyền nhiễm (Infectious disease containment unit)
David Bishop, Bệnh viện Royal Freel, London. Tất cả không khí của trung tâm được làm sạch vì vậy bệnh nhân có thể được điều trị an toàn mà không gây nguy cơ cho các bệnh nhân khác hay nhân viên y tế. Y tá Will Pooley đã hồi phục hoàn toàn.

Thành viên ban giám khảo Rob Kesseler cho biết: “Bức ảnh này cung cấp hình ảnh hiếm hoi bên trong trung tâm cách ly cấp độ cao duy nhất của Anh, chụp vào ngày trước khi một y tá được tiếp nhận sau khi bị nhiễm virus Ebola. Nó hoàn toàn nắm bắt sự im lặng trước cơn bão, các bộ đồ bảo hộ trống rỗng ma quái, chờ đợi bệnh nhân trong vội vã”. Tấm màn có thể nhìn thấy đặc biệt này bao quanh giường bệnh trong bệnh viện Royal Free tại London.
Bướm phượng (Swallowtail butterfly)
Daniel Saftner, Macroscopic Solutions. Các con bướm có đôi mắt to tròn để nhìn thấy các chuyển động nhanh và hai râu để ngửi, chúng cũng có một ống để ăn dài được cuộn tròn như một cái lò xo nhưng khi nó mở ra vì bướm có thể dùng nó như một ống hút để hút mật hoa.

Thành viên giám khảo, Eric Hilaire, biên tập viên hình ảnh online về khoa học, môi trường và phát triển toàn cầu tại Guardian cho biết: “Nó được lựa chọn bởi vì nó cho thấy rõ ràng phần phụ miệng và mắt của con bướm phượng trông như thế nào đã thực sự nổi bật từng chi tiết”.
Những cánh sâu bướm (Moth scales)
Mark R Smith, Macroscopic Solutions. Những cái cánh này là của loài sâu bướm Madagasca chúng lấp lánh với màu sắc trong ánh sáng và thường nhầm lẫn với một con bướm, bức hình này là 750 micromet (0,75mm) chiều rộng.

“Màu sắc ở đây thật sự là một ảo giác”, Eric Hilaire giải thích: “Cánh của chúng không chứa nhiều sắc tố, đó là ánh sáng phát ra của những đường cong mà mang đến cho chúng màu sắc rõ ràng”.
Bên trong mắt người (Inside the human eye)
Peter Maloca, Đại học Basel. Bức hình như này được dùng bởi các bác sĩ để giúp nhận ra các dấu hiệu bệnh ở mắt, các con đường hầm nhỏ này là khoảng 100 micromet (0,1mm) chiều cao.

Robin Lovell-Badge cho biết về bức hình 3D này: “Bức hình này chúng ta đang nhìn thấy bên trong mạch máu ở phần mặt sau của mắt người cũng là võng mạc, máu di chuyển quá nhanh tạo ra một mê cung các đường hầm trông như một cảnh quan dưới lòng đất vẽ ra trong mắt các bạn hướng tới cái gì đó xuất hiện như là ánh sáng ở cuối”.
Mạch máu trong mắt (Blood vessels in the eye)
Kim Baxter, Bệnh viện Đại học Cambridge NHS Foundation Trust. Hình ảnh được tạo ra bằng cách chụp các mạch máu trong võng mạc được nhìn thấy ở đây như các đường ngoằn ngoèo màu trắng như thuốc nhuộm huỳnh quang được đi qua.

Rob Kesseler cho rằng: “Thật là thú vị về bức hình này, khi bạn thấy nó, bạn không nghĩ đến mắt. Nó xuất hiện như một quang cảnh trên không của một thành phố vào buổi tối hay một hình ảnh trên kính thiên văn của một ngân hà xa”.
Phát hiện đột quỵ (Detecting stroke)
Nicholas Evans, Đại học Cambridge. Các mạch máu đưa máu đến não và khi nó bị chặn, các bộ phận của não có thể bị phá hủy và ngừng hoạt động một cách phù hợp.

Dirk Pilat giải thích: “Bức hình này minh họa rõ nét một trong hai centimet gây chết người nhất của phát bệnh trong y học con người và là một công cụ tuyệt tời để giải thích nguyên nhân của tai biến mạch máu não hay đột quỵ đối với bệnh nhân”.
Tim bò (Cow heart)
Michael Frank, Đại học Thú Y Royal (Royal Veterinary College). Các khoang hở bị cắt ở tim bò cho thấy những gì bên trong, nó khoảng 4 lần kích thước của tim người.

Catherine Draycott cho biết: “Bức hình gây ấn tượng ở hình dạng điêu khắc 3 chiều, đặc biệt khi bạn biết rằng trái tim thực sự là mẫu vật trong cái bình, ánh sáng tuyệt vời và chụp một bức ảnh mang lại cho cuộc sống một mẫu vật cũ làm nổi bật cả bề mặt bên ngoài và các cấu trúc bên trong”.
Sắp xếp mô gan ở người (Engineering human liver tissue)
Chelsea Fortin, Kelly Stevens and Sangeeta Bhatia, Viện Koch, MIT. Mảnh nhỏ của gan người được đặt vào một con chuột có gan bị tổn thương, gan người bắt đầu phát triển nhờ vào máu của chuột. Hình ảnh này cho thấy kết quả của sự hợp tác giữa Wellcome Images và Viện Koch tại MIT, cambridge, Hoa Kỳ.

“Nó là công nghệ mô trong hoạt động”, Anne Deconinck của Viện Koch cho biết: “Trong phản ứng đối với tổn thương mô, các tế bào có thể tái sắp xếp và chữa lành, thậm chí phát triển các mạch máu cần thiết. Bức hình này mảnh của các tế bào gan được sắp xếp có dạng hình tim truyền tải một thông điệp hy vọng và điều hứa hẹn của tiến bộ khoa học để vượt qua những thách thức của tình trạng thiếu bộ phận thay thế và bệnh tật gồm bệnh xơ gan và ung thư gan”.
Vi khuẩn trên graphene oxide (Bacteria on graphene oxide)
Izzat Suffian, Kuo-Ching Mei, Houmam Kafa and Khuloud T Al-Jamal, Đại học King's College London. Graphene được thấy có màu tím là một tấm cabon cực mỏng, và là một trong những vật liệu mỏng nhất, mạnh nhất cho đến khi được phát hiện, Các nhà nghiên cứu đang cố gắng kết hộp các loại thuốc khác nhau với nó vì vậy chúng có thể được đưa đến đúng nơi trong cơ thể khi cần thiết. Vi khuẩn khoảng 2 micromet (0,002mm) chiều dài.

Catherine Draycott CHO rằng: “Hình ảnh này thực sự tốt để minh họa thực tế graphene, một vật liệu được khám phá gần đây chỉ dày bằng một nguyên tử, Các chi tiết trên các nếp nhăn của graphene tương phản với vi khuẩn có hình dạng cá đuối khổng lồ mà chúng ta biết là những sinh vật rất nhỏ.”
Trẻ sinh non nhận liệu pháp điều trị ánh sáng (Premature baby receiving light therapy)
David Bishop, Bệnh viện Royal Free, London. Đứa trẻ sinh non và mắc bệnh vàng da, một tình trạng phổ biến là da và mắt bị vàng đang được điều trị tại lồng nuôi trẻ sinh non tại bệnh viện Barnet ở miền bắc London, nằm dưới ánh sáng màu xanh và mắt được bao phủ.

Catherine Draycott cho biết: “Một trong những lý do là bức ảnh này được chọn là gần gũi và thân mật do khung hình và góc ảnh”.
Lồng clathrin (Clathrin cage)
Maria Voigt, Ngân hàng Dữ liệu Protein RCSB ( RCSB Protein Data Bank). Các tế bào có thể có nhiều các lồng nhỏ này bên trong chúng, Cái lồng này khoảng 50 nanomet (0,00005mm) đường chéo. Khi một lồng không được sử dụng nó phá vỡ thành các mảnh nhỏ hơn, cái được tái sử dụng. Cái lồng có thể được hình thành trở lại khi nó được cần tiếp theo.

Eric Hilaire giải thích: “Clathrin là một protein được tìm thấy trong các tế bào và các phân tử tập hợp lại hình thành một cái lồng như cấu trúc giúp di chuyển những thứ xung quanh tế bào, Hình minh họa này và hình dạng của nó mang lại hình ảnh 3 chiều của cấu trúc này”.
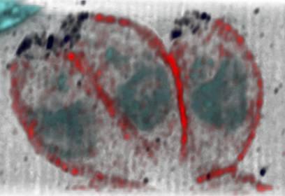
Ký sinh trùng gây bệnh giun sán Toxoplasmosis (Toxoplasmosis-causing parasites)
Leandro Lemgruber, Đại học Glasgow. Trong bức hình này, DNA bên ntrong mỗi ký sinh trùng (xanh dương/xanh lá) được bao phủ bởi lớp màng (đỏ) và protein (đen). Bức hình này được chụp bằng cách sử dụng một loại kính hiển vi siêu phân giải, Mỗi ký sinh trùng đo khoảng 10 micromet (0,01mm) chiều dài.

Robin Lovell-Badge cho biết: “Nó trông khá mờ bởi vì độ phóng đại cực lớn của ký sinh trùng rất nhỏ này gây ra bệnh toxoplasmosis, Sinh vật cực nhỏ này được tìm thấy trong phân mèo bị nhiễm bệnh và thịt sống hoặc nấu chưa chín rất nguy hiểm đối với phụ nữ mang thai và những người có hệ miễn dịch yếu”.
Sự phát triển của xương (Bone development)
Frank Acquaah. Mỗi chu kì cho thấy xương từ một đứa trẻ sơ sinh ở mỗi độ tuổi khác nhau, Nhỏ nhất (3 tháng trước khi sinh) là bên trái và lớn nhất (2,5 tuổi) là bên phải, Các xương này từ những bộ xương của trẻ em đã chết vào thế kỷ 19.

Catherine Draycott nói rằng: “Công nghệ hiện đại được sử dụng trên các dấu tích lịch sử, Hình ảnh này được chụp bằng kỹ thuật chụp cắt lớp-scan sóng xuyên qua cho thấy cấu trúc bên trong của xương tiến hóa khi một đứa trẻ phát triển trong bụng và sau khi sinh”.
Maize leaves
Fernan Federici, Pontificia Universidad Catolica de Chile and University of Cambridge. Anne Deconinck của Viện Koch cho biết: “Bức hình này gợi nhớ đến tác phẩm của Gustav Klimt”. Đây là ảnh chụp từ kính hiển vi cùng tiêu điểm nhìn thấy bên trong các chiến lá từ cây bắp non, Mỗi chiếc lá cuộn lại tạo thànhnhiều tế bào nhỏ (hình vuông màu xanh lá cây nhỏ và hình chữ nhật) và bên trong mỗi tế bào là một nhân (vòng tròn màu cam), phần của tế bào lưu trữ thông tin di truyền.

Người chiến thắng giải thưởng Wellcome Image Awards sẽ được công bố vào thứ Ba ngày 15/3/2016 tại Bảo tàng Khoa học (Science Museum) ở London-tại đây các bức ảnh được trưng bày cho đến ngày 19/6/2016. Tất cả các bức ảnh thuộc bản quyền của Wellcome Images.