Kỹ thuật khuếch đại đẳng nhiệt qua trung gian vòng (Loop-mediated isothermal amplification_LAMP) là một kỹ thuật rất đặc hiệu, hiệu quả và khuếch đại gen nhanh, trong đó các phản ứng có thể chạy trên một diện nhiệt độ tương đương nhau hay hằng định. Trong các nghiên cứu hiện nay đối với bệnh sán lá gan lớn ở người và gia súc, các nhà khoa học đã phát triển thử nghiệm LAMP để chẩn đoán Fasciola spp. trong phân và các loại bệnh phẩm khác ở gia súc và con người.
Loop-mediated isothermal amplification (LAMP) assay for the diagnosis of fasciolosis in sheep and its application under field conditions.
Martínez-Valladares M, Rojo-Vázquez FA.Parasit Vectors. 2016 Feb 5;9:73. doi: 10.1186/s13071-016-1355-2.PMID:26847130Free PMC ArticleSimilar articles Select item 278900842.
Comparison of molecular and conventional methods for the diagnosis of Fasciola hepatica infection in the field.
Arifin MI, Höglund J, Novobilský A.Vet Parasitol. 2016 Dec 15;232:8-11. doi: 10.1016/j.vetpar.2016.11.003. Epub 2016 Nov 6.PMID:27890084Similar articlesSelect item 294264823.
Comparison of early detection of Fasciola hepatica in experimentally infected Merino sheep by real-time PCR, coproantigen ELISA and sedimentation.
Calvani NED, George SD, Windsor PA, Bush RD, Šlapeta J.Vet Parasitol. 2018 Feb 15;251:85-89. doi: 10.1016/j.vetpar.2018.01.004. Epub 2018 Jan 3.PMID:29426482Similar articles Select item 262039874.
Molecular diagnosis of natural fasciolosis by DNA detection in sheep faeces.
Carnevale S, Pantano ML, Kamenetzky L, Malandrini JB, Soria CC, Velásquez JN.Acta Parasitol. 2015 Jun;60(2):211-7. doi: 10.1515/ap-2015-0030.PMID:26203987Similar articlesSelect item 237434205.

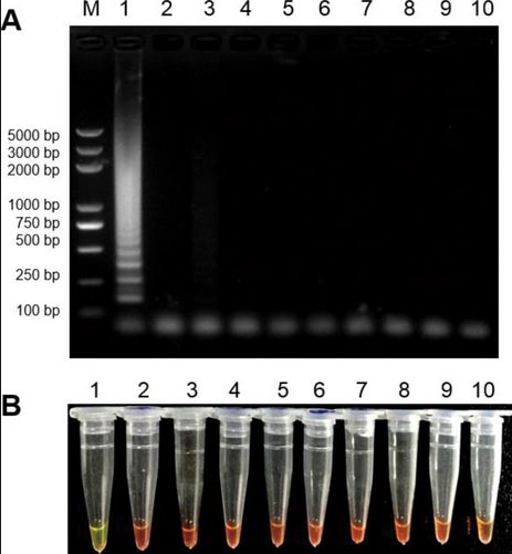
Hình 1
The diagnosis of fasciolosis in feces of sheep by means of a PCR and its application in the detection of anthelmintic resistance in sheep flocks naturally infected.
Robles-Pérez D, Martínez-Pérez JM, Rojo-Vázquez FA, Martínez-Valladares M.Vet Parasitol. 2013 Oct 18;197(1-2):277-82. doi: 10.1016/j.vetpar.2013.05.006. Epub 2013 May 14.PMID:23743420Similar articlesSelect item 289152556.
Scrambled eggs: A highly sensitive molecular diagnostic workflow for Fasciola species specific detection from faecal samples.
Calvani NED, Windsor PA, Bush RD, Šlapeta J.PLoS Negl Trop Dis. 2017 Sep 15;11(9):e0005931. doi: 10.1371/journal.pntd.0005931. eCollection 2017 Sep.PMID:28915255Free PMC ArticleSimilar articles Select item 227493307.
Comparison of three different techniques to diagnose Fasciola hepatica infection in experimentally and naturally infected sheep.
Martínez-Pérez JM, Robles-Pérez D, Rojo-Vázquez FA, Martínez-Valladares M.Vet Parasitol. 2012 Nov 23;190(1-2):80-6. doi: 10.1016/j.vetpar.2012.06.002. Epub 2012 Jun 13.PMID:22749330Similar articlesSelect item 217440228.

Hình 2
Development of a loop-mediated isothermal amplification method for detection of Theileria lestoquardi.
Salih DA, Ali AM, Liu Z, Bakheit MA, Taha KM, El Imam AH, Kullmann B, El Hussein AM, Ahmed JS, Seitzer U.Parasitol Res. 2012 Feb;110(2):533-8. doi: 10.1007/s00436-011-2518-x. Epub 2011 Jul 9.PMID:21744022Similar articlesSelect item 223575049.
Development of a loop-mediated isothermal amplification assay for rapid detection of capripoxviruses.
Das A, Babiuk S, McIntosh MT.J Clin Microbiol. 2012 May;50(5):1613-20. doi: 10.1128/JCM.06796-11. Epub 2012 Feb 22. Erratum in: J Clin Microbiol. 2013 Sep;51(9):3164. PMID:22357504Free PMC ArticleSimilar articles Select item 2443808910.
Development of loop-mediated isothermal amplification assay for specific and rapid detection of differential goat pox virus and sheep pox virus.
Zhao Z, Fan B, Wu G, Yan X, Li Y, Zhou X, Yue H, Dai X, Zhu H, Tian B, Li J, Zhang Q.BMC Microbiol. 2014 Jan 17;14:10. doi: 10.1186/1471-2180-14-10.PMID:24438089Free PMC ArticleSimilar articles Select item 1133675511.

Hình 3
Early immunodiagnosis of fasciolosis in ruminants using recombinant Fasciola hepatica cathepsin L-like protease.
Cornelissen JB, Gaasenbeek CP, Borgsteede FH, Holland WG, Harmsen MM, Boersma WJ.Int J Parasitol. 2001 May 15;31(7):728-37.PMID:11336755Similar articlesSelect item 1048919912.
Kinetics of antibody-based antigen detection in serum and faeces of sheep experimentally infected with Fasciola hepatica.
Duménigo BE, Espino AM, Finlay CM, Mezo M.Vet Parasitol. 1999 Sep 15;86(1):23-31. Corrected and republished in: Vet Parasitol. 2000 Mar 28;89(1-2):153-61. PMID: 10489199Similar articles Select item 1072965513.
Kinetics of antibody-based antigen detection in serum and faeces of sheep experimentally infected with Fasciola hepatica.
Duménigo BE, Espino AM, Finlay CM, Mezo M.Vet Parasitol. 2000 Mar 28;89(1-2):153-61.PMID:10729655Similar articlesSelect item 1641797114.

Hình 4
A 2.9 kDa Fasciola hepatica-recombinant protein based ELISA test for the detection of current-ovine fasciolosis trickle infected.
Arias M, Hillyer GV, Sánchez-Andrade R, Suárez JL, Pedreira J, Lomba C, Díaz P, Morrondo P, Díez-Baños P, Paz-Silva A.Vet Parasitol. 2006 Apr 15;137(1-2):67-73. Epub 2006 Jan 18.PMID:16417971Similar articles Select item 2371009415.
Sensitive and rapid detection of Giardia lamblia infection in pet dogs using loop-mediated isothermal amplification.
Li J, Wang P, Zhang A, Zhang P, Alsarakibi M, Li G.Korean J Parasitol. 2013 Apr;51(2):237-41. doi: 10.3347/kjp.2013.51.2.237. Epub 2013 Apr 25.PMID:23710094Free PMC ArticleSimilar articlesSelect item 984227416.
[Detection and quantification of Fasciola hepatica antigens in sheep].
Duménigo Ripoll BE, Finlay Villalvilla CM.Rev Cubana Med Trop. 1998;50(1):82-4. Spanish. PMID:9842274Similar articlesSelect item 2333307317.
Development and validation of a mtDNA multiplex PCR for identification and discrimination of Calicophoron daubneyi and Fasciola hepatica in the Galba truncatula snail.
Martínez-Ibeas AM, González-Warleta M, Martínez-Valladares M, Castro-Hermida JA, González-Lanza C, Miñambres B, Ferreras C, Mezo M, Manga-González MY.Vet Parasitol. 2013 Jul 1;195(1-2):57-64. doi: 10.1016/j.vetpar.2012.12.048. Epub 2013 Jan 3.PMID:23333073Similar articlesSelect item 1850403918.

Hình 6
The development and evaluation of a loop-mediated isothermal amplification (LAMP) method for detection of Babesia spp. infective to sheep and goats in China.
Guan G, Chauvin A, Luo J, Inoue N, Moreau E, Liu Z, Gao J, Thekisoe OM, Ma M, Liu A, Dang Z, Liu J, Ren Q, Jin Y, Sugimoto C, Yin H.Exp Parasitol. 2008 Sep;120(1):39-44. doi: 10.1016/j.exppara.2008.04.012. Epub 2008 Apr 18.PMID:18504039Similar articlesSelect item 2321992919.
Rapid and sensitive detection of shrimp yellow head virus by loop-mediated isothermal amplification combined with a lateral flow dipstick.
Khunthong S, Jaroenram W, Arunrut N, Suebsing R, Mungsantisuk I, Kiatpathomchai W.J Virol Methods. 2013 Mar;188(1-2):51-6. doi: 10.1016/j.jviromet.2012.11.041. Epub 2012 Dec 7. Review.PMID:23219929Similar articlesSelect item 2363498120.
Comparison of a loop-mediated isothermal amplification for orf virus with quantitative real-time PCR.
Wang G, Shang Y, Wang Y, Tian H, Liu X.Virol J. 2013 May 1;10:138. doi: 10.1186/1743-422X-10-138.PMID:23634981Free PMC ArticleSimilar articles
An ultrasensitive capture ELISA for detection of Fasciola hepatica coproantigens in sheep and cattle using a new monoclonal antibody (MM3).
Mezo M, González-Warleta M, Carro C, Ubeira FM.J Parasitol. 2004 Aug;90(4):845-52.PMID:15357080Similar articlesSelect item 208521022.

Hình 7
[Fasciola hepatica: coprological diagnosis in comparison to the worm burden in sheep and cattle].
Düwel D, Reisenleiter R.Angew Parasitol. 1990 Nov;31(4):211-7. German. PMID:2085210Similar articlesSelect item 1901954823.
MM3-ELISA evaluation of coproantigen release and serum antibody production in sheep experimentally infected with Fasciola hepatica and F. gigantica.
Valero MA, Ubeira FM, Khoubbane M, Artigas P, Muiño L, Mezo M, Pérez-Crespo I, Periago MV, Mas-Coma S.Vet Parasitol. 2009 Jan 22;159(1):77-81. doi: 10.1016/j.vetpar.2008.10.014. Epub 2008 Oct 11.PMID:19019548Similar articlesSelect item 2497236624.
One-step reverse transcription-loop-mediated isothermal amplification assay for sensitive and rapid detection of porcine kobuvirus.
Li X, Zhou Y, Ji H, Xu Z, Zhu L.J Virol Methods. 2014 Oct;207:1-5. doi: 10.1016/j.jviromet.2014.06.012. Epub 2014 Jun 24.PMID:24972366Similar articlesSelect item 2623489825.
Fasciola hepatica: Specificity of a coproantigen ELISA test for diagnosis of fasciolosis in faecal samples from cattle and sheep concurrently infected with gastrointestinal nematodes, coccidians and/or rumen flukes (paramphistomes), under field conditions.
Kajugu PE, Hanna RE, Edgar HW, McMahon C, Cooper M, Gordon A, Barley JP, Malone FE, Brennan GP, Fairweather I.
Vet Parasitol. 2015 Sep 15;212(3-4):181-7. doi: 10.1016/j.vetpar.2015.07.018. Epub 2015 Jul 23.
PMID:26234898Similar articlesSelect item 1592572326.
Evaluation of a commercially available enzyme-linked immunosorbent assay for detecting antibodies to Fasciola hepatica and Fasciola gigantica in cattle, sheep and buffaloes in Australia.
Molloy JB, Anderson GR, Fletcher TI, Landmann J, Knight BC.
Vet Parasitol. 2005 Jun 30;130(3-4):207-12. Epub 2005 Apr 21.
PMID:15925723Similar articlesSelect item 2582869327.
Development and comparative evaluation of loop mediated isothermal amplification (LAMP) assay for simple visual detection of orf virus in sheep and goats.
Venkatesan G, Bhanuprakash V, Balamurugan V.
Mol Cell Probes. 2015 Jun;29(3):193-5. doi: 10.1016/j.mcp.2015.03.006. Epub 2015 Mar 27.
PMID:25828693Similar articlesSelect item 2281819828.
The field evaluation of albendazole and triclabendazole efficacy against Fasciola hepatica by coproantigen ELISA in naturally infected sheep.
Novobilský A, Averpil HB, Höglund J.
Vet Parasitol. 2012 Nov 23;190(1-2):272-6. doi: 10.1016/j.vetpar.2012.06.022. Epub 2012 Jun 26.
PMID:22818198Similar articlesSelect item 2429114829.

Hình 8
Rapid detection of duck hepatitis A virus genotype C using reverse transcription loop-mediated isothermal amplification.
Li C, Chen Z, Meng C, Liu G.
J Virol Methods. 2014 Feb;196:193-8. doi: 10.1016/j.jviromet.2013.11.009. Epub 2013 Nov 26.
PMID:24291148Similar articlesSelect item 2258426930.
Development of a loop-mediated isothermal amplification assay for rapid detection of bovine parvovirus.
Luo JG, Ge JW, Tang LJ, Qiao XY, Jiang YP, Cui W, Liu M, Li YJ.
J Virol Methods. 2013 Aug;191(2):155-61. doi: 10.1016/j.jviromet.2012.05.002. Epub 2012 May 11.
PMID:22584269Similar articlesSelect item 3005697731.
A duplex PCR for the simultaneous detection of Fasciola hepatica and Clonorchis sinensis.
Yang Y, Li M, Pan C, Yang Y, Chen X, Yao C, Du A.
Vet Parasitol. 2018 Aug 15;259:1-5. doi: 10.1016/j.vetpar.2018.06.019. Epub 2018 Jun 25.
PMID:30056977Similar articlesSelect item 1207221432.
Performance characteristics of an enzyme-linked immunosorbent assay for the detection of liver fluke (Fasciola hepatica) infection in sheep and cattle.
Reichel MP.
Vet Parasitol. 2002 Jul 29;107(1-2):65-72.
PMID:12072214Similar articlesSelect item 1875172833.
Development of loop-mediated isothermal amplification (LAMP) assay for rapid diagnosis of ovine theileriosis in China.
Liu Z, Hou J, Bakheit MA, Salih DA, Luo J, Yin H, Ahmed JS, Seitzer U.
Parasitol Res. 2008 Nov;103(6):1407-12. doi: 10.1007/s00436-008-1149-3. Epub 2008 Aug 27.
PMID:18751728Similar articlesSelect item 2305749734.

Hình 9
Rapid, simple, and sensitive detection of the ompB gene of spotted fever group rickettsiae by loop-mediated isothermal amplification.
Pan L, Zhang L, Wang G, Liu Q.
BMC Infect Dis. 2012 Oct 11;12:254. doi: 10.1186/1471-2334-12-254.
PMID:23057497Free PMC ArticleSimilar articles Select item 1242393535.
28 kDa Fasciola gigantica cysteine proteinase in the diagnosis of prepatent ovine fasciolosis.
Dixit AK, Yadav SC, Sharma RL.
Vet Parasitol. 2002 Nov 11;109(3-4):233-47.
PMID:12423935Similar articlesSelect item 1712099736.
[The occurrence of fasciola hepatica in chosen regions of Poland based on molecular and serological methods].
Kozak-Cieszczyk M.
Wiad Parazytol. 2006;52(2):137-9. Polish.
PMID:17120997Similar articlesSelect item 2524114237.
Rapid and sensitive detection of type II porcine reproductive and respiratory syndrome virus by reverse transcription loop-mediated isothermal amplification combined with a vertical flow visualization strip.
Gou H, Deng J, Pei J, Wang J, Liu W, Zhao M, Chen J.
J Virol Methods. 2014 Dec;209:86-94. doi: 10.1016/j.jviromet.2014.09.011. Epub 2014 Sep 18.
PMID:25241142Similar articlesSelect item 2654606938.
Development and evaluation of a Loop Mediated Isothermal Amplification (LAMP) technique for the detection of hookworm (Necator americanus) infection in fecal samples.
Mugambi RM, Agola EL, Mwangi IN, Kinyua J, Shiraho EA, Mkoji GM.
Parasit Vectors. 2015 Nov 6;8:574. doi: 10.1186/s13071-015-1183-9.
PMID:26546069Free PMC ArticleSimilar articles Select item 1735076439.
Immunodiagnosis of current fasciolosis in sheep naturally exposed to Fasciola hepatica by using a 2.9 kDa recombinant protein.
Arias M, Morrondo P, Hillyer GV, Sánchez-Andrade R, Suárez JL, Lomba C, Pedreira J, Díaz P, Díez-Baños P, Paz-Silva A.
Vet Parasitol. 2007 May 15;146(1-2):46-9. Epub 2007 Mar 12.
PMID:17350764Similar articles Select item 2481587840.
Rapid detection of encephalomyocarditis virus by one-step reverse transcription loop-mediated isothermal amplification method.
Yuan W, Wang J, Sun M, Zheng Y, Li L, Zhang X, Sun J.
Virus Res. 2014 Aug 30;189:75-8. doi: 10.1016/j.virusres.2014.04.015. Epub 2014 May 6.
PMID:24815878Similar articles
Development and evaluation of a loop-mediated isothermal amplification method for rapid detection and differentiation of two genotypes of porcine circovirus type 2.
Wang C, Pang VF, Lee F, Liao PC, Huang YL, Lin YL, Lai SS, Jeng CR.
J Microbiol Immunol Infect. 2014 Oct;47(5):363-70. doi: 10.1016/j.jmii.2013.05.003. Epub 2013 Jul 8.
PMID:23845855Free ArticleSimilar articles Select item 2318314242.
Detection of mink enteritis virus by loop-mediated isothermal amplification (LAMP).
Wang J, Cheng S, Yi L, Cheng Y, Yang S, Xu H, Li Z, Shi X, Wu H, Yan X.J Virol Methods. 2013 Feb;187(2):401-5. doi: 10.1016/j.jviromet.2012.11.012. Epub 2012 Nov 23.PMID:23183142Similar articlesSelect item 3070132943.
Loop-mediated isothermal amplification-lateral-flow dipstick (LAMP-LFD) to detect Mycoplasma ovipneumoniae.
Zhang J, Cao J, Zhu M, Xu M, Shi F.World J Microbiol Biotechnol. 2019 Jan 30;35(2):31. doi: 10.1007/s11274-019-2601-5.PMID:30701329Free PMC ArticleSimilar articles Select item 2217297144.

Hình 10
Development of a loop-mediated isothermal amplification method for rapid detection of porcine boca-like virus.
Li B, Ma JJ, Xiao SB, Zhang XH, Wen LB, Mao L, Ni YX, Guo RL, Zhou JM, Lv LX, He KW.J Virol Methods. 2012 Feb;179(2):390-5. doi: 10.1016/j.jviromet.2011.11.027. Epub 2011 Dec 6.PMID:22172971Similar articlesSelect item 2369691545.
Rapid, simple and sensitive detection of Q fever by loop-mediated isothermal amplification of the htpAB gene.
Pan L, Zhang L, Fan D, Zhang X, Liu H, Lu Q, Xu Q.PLoS Negl Trop Dis. 2013 May 16;7(5):e2231. doi: 10.1371/journal.pntd.0002231. Print 2013.PMID:23696915Free PMC ArticleSimilar articles Select item 2338597046.
A tool for diagnosis of Dicrocoelium dendriticum infection: hatching eggs and molecular identification of the miracidium.
Sandoval H, Manga-González MY, Castro JM.Parasitol Res. 2013 Apr;112(4):1589-95. doi: 10.1007/s00436-013-3313-7. Epub 2013 Feb 6.PMID:23385970Similar articlesSelect item 2093333547.
Rapid identification and differentiation of Fasciola hepatica and Fasciola gigantica by a loop-mediated isothermal amplification (LAMP) assay.
Ai L, Li C, Elsheikha HM, Hong SJ, Chen JX, Chen SH, Li X, Cai XQ, Chen MX, Zhu XQ.Vet Parasitol. 2010 Dec 15;174(3-4):228-33. doi: 10.1016/j.vetpar.2010.09.005. Epub 2010 Sep 21.PMID:20933335Similar articlesSelect item 2242149248.
On farm evaluation of the coproantigen ELISA and coproantigen reduction test in Scottish sheep naturally infected with Fasciola hepatica.
Gordon DK, Zadoks RN, Stevenson H, Sargison ND, Skuce PJ.Vet Parasitol. 2012 Jul 6;187(3-4):436-44. doi: 10.1016/j.vetpar.2012.02.009. Epub 2012 Feb 21.PMID:22421492Similar articlesSelect item 2447738549.
Loop-mediated isothermal amplification (LAMP) assays for detection and identification of aquaculture pathogens: current state and perspectives.
Biswas G, Sakai M.Appl Microbiol Biotechnol. 2014 Apr;98(7):2881-95. doi: 10.1007/s00253-014-5531-z. Epub 2014 Jan 30. Review.PMID:24477385Similar articlesSelect item 2568275050.
Rapid detection of equine coronavirus by reverse transcription loop-mediated isothermal amplification.
Nemoto M, Morita Y, Niwa H, Bannai H, Tsujimura K, Yamanaka T, Kondo T.J Virol Methods. 2015 Apr;215-216:13-6. doi: 10.1016/j.jviromet.2015.02.001. Epub 2015 Feb 12.PMID:25682750Similar articles Select item 2385071751.
Development of a loop-mediated isothermal amplification assay for the detection of porcine hokovirus.
Li B, Sun B, Du LP, Mao AH, Wen LB, Ni YX, Zhang XH, He KW.J Virol Methods. 2013 Nov;193(2):415-8. doi: 10.1016/j.jviromet.2013.06.040. Epub 2013 Jul 9.PMID:23850717Similar articles Select item 2430083352.
Development of a loop-mediated isothermal amplification assay combined with a lateral flow dipstick for rapid and simple detection of classical swine fever virus in the field.
Chowdry VK, Luo Y, Widén F, Qiu HJ, Shan H, Belák S, Liu L.J Virol Methods. 2014 Mar;197:14-8. doi: 10.1016/j.jviromet.2013.11.013. Epub 2013 Dec 1.PMID:24300833Similar articlesSelect item 1453370153.
Optimized serodiagnosis of sheep fascioliasis by Fast-D protein liquid chromatography fractionation of Fasciola hepatica excretory-secretory antigens.
Mezo M, González-Warleta M, Ubeira FM.J Parasitol. 2003 Aug;89(4):843-9.PMID:14533701Similar articlesSelect item 2412211054.
Rapid detection of bovine herpesvirus 1 in bovine semen by loop-mediated isothermal amplification (LAMP) assay.
Pawar SS, Meshram CD, Singh NK, Sonwane AA, Saini M, Rautmare SS, Muglikar DM, Mishra BP, Gupta PK.Arch Virol. 2014 Apr;159(4):641-8.PMID:24122110Similar articlesSelect item 2294769255.
A reverse transcription loop-mediated isothermal amplification method for rapid detection of bovine viral diarrhea virus.
Fan Q, Xie Z, Xie L, Liu J, Pang Y, Deng X, Xie Z, Peng Y, Wang X.J Virol Methods. 2012 Dec;186(1-2):43-8. doi: 10.1016/j.jviromet.2012.08.007. Epub 2012 Aug 27.PMID:22947692Similar articlesSelect item 1743694356.
The use of MM3 monoclonal antibodies for the early immunodiagnosis of ovine fascioliasis.
Mezo M, González-Warleta M, Ubeira FM.J Parasitol. 2007 Feb;93(1):65-72.PMID:17436943Similar articlesSelect item 2109315657.
Standardisation of a coproantigen reduction test (CRT) protocol for the diagnosis of resistance to triclabendazole in Fasciola hepatica.
Flanagan AM, Edgar HW, Forster F, Gordon A, Hanna RE, McCoy M, Brennan GP, Fairweather I.Vet Parasitol. 2011 Feb 28;176(1):34-42. doi: 10.1016/j.vetpar.2010.10.037. Epub 2010 Oct 27.PMID:21093156Similar articlesSelect item 2402534358.
Development of a loop-mediated isothermal amplification assay for rapid detection of iridovirus in the Chinese giant salamander.
Meng Y, Zhang H, Liang H, Zeng L, Xiao H, Xie C.J Virol Methods. 2013 Dec;194(1-2):211-6. doi: 10.1016/j.jviromet.2013.08.024. Epub 2013 Sep 8.PMID:24025343Similar articlesSelect item 2835172159.
A rapid, simple and sensitive loop-mediated isothermal amplification method to detect Anaplasma bovis in sheep and goats samples.
Wang J, Zhang Y, Cui Y, Yan Y, Wang X, Wang R, Jian F, Zhang L, Ning C.Parasitol Int. 2018 Feb;67(1):70-73. doi: 10.1016/j.parint.2017.03.005. Epub 2017 Mar 27.PMID:28351721Similar articles Select item 2205107360.
Comparison of loop-mediated isothermal amplification (LAMP) and real-time PCR method targeting a 529-bp repeat element for diagnosis of toxoplasmosis.
Lin Z, Zhang Y, Zhang H, Zhou Y, Cao J, Zhou J.Vet Parasitol. 2012 Apr 30;185(2-4):296-300. doi: 10.1016/j.vetpar.2011.10.016. Epub 2011 Oct 18.PMID:22051073Similar articles
Rapid detection of BoHV-1 genomic DNA by loop-mediated isothermal amplification assay.
El-Kholy AA, Abdelrahman K, Soliman H.J Virol Methods. 2014 Aug;204:81-5. doi: 10.1016/j.jviromet.2014.04.011. Epub 2014 Apr 24.PMID:24769199Similar articlesSelect item 2318383062.
Rapid detection of orf virus by loop-mediated isothermal amplification based on the DNA polymerase gene.
Li J, Song D, He W, Bao Y, Lu R, Su G, Wang G, Lu H, Zhao K, Gao F.Arch Virol. 2013 Apr;158(4):793-8. doi: 10.1007/s00705-012-1526-1. Epub 2012 Nov 27.PMID:23183830Similar articles Select item 2269512363.
Loop-mediated isothermal amplification for the detection of goose circovirus.
Woźniakowski G, Kozdruń W, Samorek-Salamonowicz E.Virol J. 2012 Jun 13;9:110. doi: 10.1186/1743-422X-9-110.PMID:22695123Free PMC ArticleSimilar articles Select item 2335210764.
Resistance of Fasciola hepatica against Triclabendazole in cattle in Cajamarca (Peru): a clinical trial and an in vivo efficacy test in sheep.
Ortiz P, Scarcella S, Cerna C, Rosales C, Cabrera M, Guzmán M, Lamenza P, Solana H.Vet Parasitol. 2013 Jul 1;195(1-2):118-21. doi: 10.1016/j.vetpar.2013.01.001. Epub 2013 Jan 10.PMID:23352107Similar articlesSelect item 2258032365.
Development of a reverse transcription loop-mediated isothermal amplification assay for detecting nervous necrosis virus in olive flounder Paralichthys olivaceus.
Suebsing R, Oh MJ, Kim JH.
J Microbiol Biotechnol. 2012 Jul;22(7):1021-8.
PMID:22580323Free ArticleSimilar articlesSelect item 2257568666.
Development of loop-mediated isothermal amplification assay for specific and rapid detection of camelpox virus in clinical samples.
Venkatesan G, Bhanuprakash V, Balamurugan V, Singh RK, Pandey AB.
J Virol Methods. 2012 Jul;183(1):34-9. doi: 10.1016/j.jviromet.2012.03.019. Epub 2012 Apr 3.
PMID:22575686Similar articles Select item 2341396567.
Rapid and sensitive diagnosis of Acanthamoeba keratitis by loop-mediated isothermal amplification.
Ge Z, Qing Y, Zicheng S, Shiying S.
Clin Microbiol Infect. 2013 Nov;19(11):1042-8. doi: 10.1111/1469-0691.12149. Epub 2013 Feb 15.
PMID:23413965Free ArticleSimilar articles Select item 2244538868.
Comparison of real-time reverse transcription loop-mediated isothermal amplification and real-time reverse transcription polymerase chain reaction for duck Tembusu virus.
Yan L, Peng S, Yan P, Zhou J, Teng Q, Li G, Li X, Li Z.
J Virol Methods. 2012 Jun;182(1-2):50-5. doi: 10.1016/j.jviromet.2012.03.007. Epub 2012 Mar 16.
PMID:22445388Similar articlesSelect item 2428948969.
Prevalence of gastrointestinal nematodes and Fasciola hepatica in sheep in the northwest of Spain: relation to climatic conditions and/or man-made environmental modifications.
Martínez-Valladares M, Robles-Pérez D, Martínez-Pérez JM, Cordero-Pérez C, Famularo Mdel R, Fernández-Pato N, González-Lanza C, Castañón-Ordóñez L, Rojo-Vázquez FA.
Parasit Vectors. 2013 Sep 27;6(1):282. doi: 10.1186/1756-3305-6-282.
PMID:24289489Free PMC ArticleSimilar articles Select item 2125751770.
Faecal egg count reduction test to detect lack of efficacy of triclabendazole.
Daniel R, van Dijk J, Williams D.
Vet Rec. 2010 Nov 6;167(19):759. doi: 10.1136/vr.c6031. No abstract available.
PMID:21257517Similar articlesSelect item 2190724071.
Development and evaluation of a reverse transcription loop-mediated isothermal amplification assay for H3N8 equine influenza virus.
Nemoto M, Yamanaka T, Bannai H, Tsujimura K, Kondo T, Matsumura T.
J Virol Methods. 2011 Dec;178(1-2):239-42. doi: 10.1016/j.jviromet.2011.07.015. Epub 2011 Aug 30.
PMID:21907240Similar articlesSelect item 2134475572.
[Development of rapid detection of infectious hypodermal and hematopoietic necrosis virus by loop-mediated isothermal amplification].
He L, Xu HS, Wang MZ, Rong HN.
Bing Du Xue Bao. 2010 Nov;26(6):490-5. Chinese.
PMID:21344755Similar articlesSelect item 770903073.
[Immunodiagnosis of Fasciola gigantica fascioliasis by ELISA technique in Senegal. Preliminary observations in 2 lambs].
Diaw OT, Seye MM, Seye M, Sarr Y, Vassiliadès G.Rev Elev Med Vet Pays Trop. 1994;47(3):291-4. French. PMID:7709030Similar articlesSelect item 2397276874.
Development and evaluation of a loop-mediated isothermal amplification assay for rapid detection of Leishmania infantum in canine leishmaniasis based on cysteine protease B genes.
Chaouch M, Mhadhbi M, Adams ER, Schoone GJ, Limam S, Gharbi Z, Darghouth MA, Guizani I, BenAbderrazak S.Vet Parasitol. 2013 Nov 15;198(1-2):78-84. doi: 10.1016/j.vetpar.2013.07.038. Epub 2013 Aug 3.PMID:23972768Similar articles Select item 2464224375.
The development of an accelerated reverse-transcription loop mediated isothermal amplification for the serotype specific detection of bluetongue virus 8 in clinical samples.
Mulholland C, Hoffmann B, McMenamy MJ, Korthase C, Earley B, Markey B, Cassidy JP, McKillen J, Allan G, Welsh MD.J Virol Methods. 2014 Jun;202:95-100. doi: 10.1016/j.jviromet.2014.03.004. Epub 2014 Mar 15.PMID:24642243Similar articles Select item 2110786476.
Sensitive and rapid detection of Paragonimus westermani infection in humans and animals by loop-mediated isothermal amplification (LAMP).
Chen MX, Ai L, Zhang RL, Xia JJ, Wang K, Chen SH, Zhang YN, Xu MJ, Li X, Zhu XQ, Chen JX.Parasitol Res. 2011 May;108(5):1193-8. doi: 10.1007/s00436-010-2162-x. Epub 2010 Nov 25.PMID:21107864Similar articlesSelect item 2197675877.
Rapid, simple, and sensitive detection of Anaplasma phagocytophilum by loop-mediated isothermal amplification of the msp2 gene.
Pan L, Zhang L, Wang G, Liu Q, Yu Y, Wang S, Yu H, He J.J Clin Microbiol. 2011 Dec;49(12):4117-20. doi: 10.1128/JCM.01085-11. Epub 2011 Oct 5.PMID:21976758Free PMC ArticleSimilar articles Select item 1894052178.
Sensitive and specific detection of Cryptosporidium species in PCR-negative samples by loop-mediated isothermal DNA amplification and confirmation of generated LAMP products by sequencing.
Bakheit MA, Torra D, Palomino LA, Thekisoe OM, Mbati PA, ongerth J, Karanis P.Vet Parasitol. 2008 Nov 25;158(1-2):11-22. doi: 10.1016/j.vetpar.2008.09.012. Epub 2008 Sep 11.PMID:18940521Similar articles Select item 2401167879.
Efficacy and pharmacokinetics of OZ78 and MT04 against a natural infection with Fasciola hepatica in sheep.
Meister I, Duthaler U, Huwyler J, Rinaldi L, Bosco A, Cringoli G, Keiser J.Vet Parasitol. 2013 Nov 15;198(1-2):102-10. doi: 10.1016/j.vetpar.2013.08.007. Epub 2013 Aug 14.PMID:24011678Similar articles Select item 2104078280.
Loop-mediated isothermal amplification assay targeting the ompA gene for rapid detection of Riemerella anatipestifer.
Zheng F, Lin G, Zhou J, Wang G, Cao X, Gong X, Qiu C.Mol Cell Probes. 2011 Feb;25(1):65-7. doi: 10.1016/j.mcp.2010.10.004. Epub 2010 Oct 30.PMID:21040782Similar articles
Quantitative diagnosis of chronic fasciolosis. 1. Comparative studies on quantitative faecal examinations for chronic Fasciola hepatica infection in sheep.
Happich FA, Boray JC.Aust Vet J. 1969 Jul;45(7):326-8. No abstract available. PMID:5817298Similar articles Select item 716515582.
Diagnosis of Fasciola hepatica infections in sheep by an enzyme-linked immunosorbent assay.
Zimmerman GL, Jen LW, Cerro JE, Farnsworth KL, Wescott RB.Am J Vet Res. 1982 Dec;43(12):2097-100.PMID:7165155Similar articlesSelect item 2735798383.
Development of a Novel Loop-Mediated Isothermal Amplification (LAMP) Assay for the Detection of Rickettsia spp.
Hanaoka N, Matsutani M, Satoh M, Ogawa M, Shirai M, Ando S.Jpn J Infect Dis. 2017 Jan 24;70(1):119-123. doi: 10.7883/yoken.JJID.2015.579. Epub 2016 Jun 30.PMID:27357983Free ArticleSimilar articles Select item 1664768084.
Immuno-diagnosis of bubaline fasciolosis with Fasciola gigantica cathepsin-L and recombinant cathepsin L 1-D proteases.
Raina OK, Yadav SC, Sriveny D, Gupta SC.Acta Trop. 2006 May;98(2):145-51. Epub 2006 May 2.PMID:16647680Similar articles Select item 2382778785.
Multiplex loop-mediated isothermal amplification (M-LAMP) assay for the detection of influenza A/H1, A/H3 and influenza B can provide a specimen-to-result diagnosis in 40 min with single genome copy sensitivity.
Mahony J, Chong S, Bulir D, Ruyter A, Mwawasi K, Waltho D.J Clin Virol. 2013 Sep;58(1):127-31. doi: 10.1016/j.jcv.2013.06.006. Epub 2013 Jul 1.PMID:23827787Similar articlesSelect item 2369701386.
Genetically confirmed Fasciola hepatogigantica n.sp.
Khalifa RM, El-Hady HA, Omran EK, Ahmed NS.J Egypt Soc Parasitol. 2013 Apr;43(1):23-32.PMID:23697013Similar articles Select item 2132075487.
Innate and adaptive resistance of Indonesian Thin Tail sheep to liver fluke: a comparative analysis of Fasciola gigantica and Fasciola hepatica infection.
Pleasance J, Raadsma HW, Estuningsih SE, Widjajanti S, Meeusen E, Piedrafita D.Vet Parasitol. 2011 Jun 10;178(3-4):264-72. doi: 10.1016/j.vetpar.2011.01.037. Epub 2011 Jan 26.PMID:21320754Similar articles Select item 1990140188.
Experimental infection of bighorn sheep with liver flukes (Fasciola hepatica).
Foreyt WJ.J Wildl Dis. 2009 Oct;45(4):1217-20.PMID:19901401Similar articles Select item 2461315589.
A new visually improved and sensitive loop mediated isothermal amplification (LAMP) for diagnosis of symptomatic falciparum malaria.
Mohon AN, Elahi R, Khan WA, Haque R, Sullivan DJ Jr, Alam MS.Acta Trop. 2014 Jun;134:52-7. doi: 10.1016/j.actatropica.2014.02.016. Epub 2014 Mar 5.PMID:24613155Similar articles Select item 1528718890.
Detection of genetic variabiltiy in nonhuman isolates of Fasciola hepatica and Fasciola gigantica by the RAPD-PCR technique.
Ramadan NI, Saber LM.J Egypt Soc Parasitol. 2004 Aug;34(2):679-89.PMID:15287188Similar articles Select item 2862861491.
LAMPhimerus: A novel LAMP assay for detecting Amphimerus sp. DNA in human stool samples.
Cevallos W, Fernández-Soto P, Calvopiña M, Fontecha-Cuenca C, Sugiyama H, Sato M, López Abán J, Vicente B, Muro A.PLoS Negl Trop Dis. 2017 Jun 19;11(6):e0005672. doi: 10.1371/journal.pntd.0005672. eCollection 2017 Jun.PMID:28628614Free PMC ArticleSimilar articles Select item 2782169192.
Recombinase Polymerase Amplification Compared to Real-Time Polymerase Chain Reaction Test for the Detection of Fasciola hepatica in Human Stool.
Cabada MM, Malaga JL, Castellanos-Gonzalez A, Bagwell KA, Naeger PA, Rogers HK, Maharsi S, Mbaka M, White AC Jr.Am J Trop Med Hyg. 2017 Feb 8;96(2):341-346. doi: 10.4269/ajtmh.16-0601. Epub 2016 Nov 7.PMID:27821691Free PMC ArticleSimilar articles Select item 2522397393.
Molecular-based isothermal tests for field diagnosis of malaria and their potential contribution to malaria elimination.
Oriero EC, Jacobs J, Van Geertruyden JP, Nwakanma D, D'Alessandro U.J Antimicrob Chemother. 2015 Jan;70(1):2-13. doi: 10.1093/jac/dku343. Epub 2014 Sep 15. Review.PMID:25223973Similar articlesSelect item 2590036394.
Loop-mediated isothermal amplification for diagnosis of 18 World Organization for Animal Health (OIE) notifiable viral diseases of ruminants, swine and poultry.
Mansour SM, Ali H, Chase CC, Cepica A.Anim Health Res Rev. 2015 Dec;16(2):89-106. doi: 10.1017/S1466252315000018. Epub 2015 Apr 22. Review.PMID:25900363Similar articles Select item 2165828495.
Genetic characterization, species differentiation and detection of Fasciola spp. by molecular approaches.
Ai L, Chen MX, Alasaad S, Elsheikha HM, Li J, Li HL, Lin RQ, Zou FC, Zhu XQ, Chen JX.Parasit Vectors. 2011 Jun 10;4:101. doi: 10.1186/1756-3305-4-101. Review.PMID:21658284Free PMC ArticleSimilar articles Select item 2353945396.
Loop-mediated isothermal amplification (LAMP): recent progress in research and development.
Mori Y, Kanda H, Notomi T.J Infect Chemother. 2013 Jun;19(3):404-11. doi: 10.1007/s10156-013-0590-0. Epub 2013 Mar 29. Review.PMID:23539453Similar articlesSelect item 3074658497.
Unreformed nutritional epidemiology: a lamp post in the dark forest.
Ioannidis JPA.Eur J Epidemiol. 2019 Apr;34(4):327-331. doi: 10.1007/s10654-019-00487-5. No abstract available. PMID:30746584Similar articles