Đây là một ca bệnh được nhóm tác giả Tae Hee Han, Baek-Nam Kim, Hee Kyung Seong đang công tác tại khoa xét nghiệm y học, bệnh viện đại học Inje University Sanggye Paik Hospital, Seoul, Hàn Quốc; Khoa nội, bệnh viện Inje University Sanggye Paik Hospital, Seoul, Hàn Quốc và khoa nghiên cứu y sinh học, đại học khoa học và công nghệ Inje, Seoul, Hàn quốc theo dõi và ghi nhận báo cáo.
Đã có nhiều báo cáo về sốt rét nhập khẩu (imported malaria case) tại Hàn Quốc về cả 4 loài Plasmodium, nhưng chưa có báo cáo về ca sốt rét nhập khẩu Plasmodium ovale mà được xác định bằng các phương pháp sinh học phân tử. Nhân đây, báo cáo một ca bệnh được xác định bằng cả chuẩn vàng giêm sa-Wright trên phiến đồ máu ngoại vi và phương pháp Nested PCR với subunit ribosomal RNA gene. DNA thu được mang giải trình tự và so sánh với một số phân lập khác của P. ovale đã được xác định. Phân lập trong nghiên cứu này là một thành viên của nhóm cổ điển.
Bệnh nhân nam 44 tuổi, làm công việc như một người đốn gỗ trong rừng, vùng nhiệt đới tây Phi Cote d'Ivoire. Anh ta được điều trị khỏi bằng Hydroxychloroquine và Primaquine và ra viện sau khi cải thiện sức khỏe. Nói tóm lại, P. ovale nên được chú ý như một bệnh nguyên trong các ca sốt rét nhập khẩu tại Hàn Quốc vì số người du lịch đến các vùng lưu hành sốt rét có P. ovale gần đây gia tăng.
Giới thiệu
Plasmodium ovale là một nguyên nhân của sốt rét lành tính và hay tái phát và hiếm khi gặp nhiễm ở người nhất trong số 4 loại ký sinh tùng ở người. Nhiễm ký sinh trùng Plasmodium ovale đã đươc báo cáo nhiều nơi trong khu vực châu Phi nhiệt đới, Trung Đông, Papua New Guinea, Đông Nam Á. Theo số liệu thống kê, người ta cho rằng P. ovale thường gặp nhất ở châu Phi và New Guinea với tỷ lệ 100-15% trong số các bệnh nhân sốt rét. Gần đây, nhiễm P. ovale đã được báo ở Đông Nam Á. Tỷ lệ nhiễm ở Đông Nam Á (gồm phía nam Việt Nam (!), biên giới Thái Lan-Myanmar, Lào, Indonesia) chiếm từ 2-9.4%. Tại Hàn Quốc, có vài báo cáo về sốt rét nhập khẩu ở người nhưng chưa có báo cáo nào ghi nhiễm P. ovale được xác định bằng phương pháp sinh học phân tử.
Trình bày ca bệnh
Thăm khám lâm sàng và các xét nghiệm
Một bệnh nhân nam 44 tuổi nhập viện với sốt 3 ngày nay, anh ta làm việc đốn gỗ trong rừng tây Phi nhiệt đới Cote d'Ivoire, anh ta đã bị sốt rét năm 2002 và điều trị khỏi bằng thuốc sốt rét nhưng không biết hồi đó nhiễm loại ký sinh trùng sốt rét gì cũng như liệu pháp điều trị thuốc nào khi đó. Anh ta quay trở về Hàn quốc vào tháng 1.2004 và chưa bao giờ đi ra nước ngoài lần nữa. Thân nhiệt lúc vào viện là 40.40C. khám lâm sàng thực thể cho biết không có gì đáng kể.
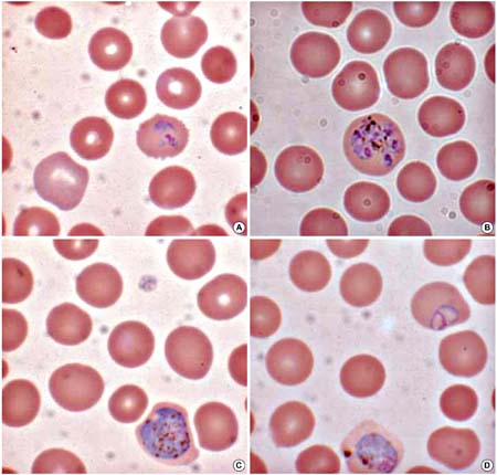
Bệnh nhân được chỉ định làm công thức máu toàn phần, chi biết có tình hình thiếu máu (Hb 12.3 g/dL) và giảm tiểu cầu (44,000/µL). Lactate dehydrogenase (660 IU/L), Alanine aminotransferase (63 IU/L), γ-glutamyl transpeptidase (124 IU/L) tăng. Các thông số sinh hóa và huyết học khác trong giới hạn bình thường. Plasmodium lactate dehydrogenase (OptiMal Rapid Malaria Test, DiaMed, Morat, Switzerland) đều âm tính. Tuy nhiên, lam máu nhuộm Wright-Giemsa cho thấy nhiều giai đoạn khác nhau của ký sinh trùng sốt rét (thể nhẫn, thể phân liệt, giao bào). Các hồng cầu nhiễm Plasmodium trương lớn và cho thấy có lông ở vùng rìa (fimbriated margins) (xem hình bên dưới). Mật độ ký sinh trùng sốt rét là 3.000/µL.
Bệnh nhân được điều trị bằng Hydroxychloroquine trong 3 ngày và xuất viện trong tình trạng sức khỏe ổn định, tiếp đó cho thêm thuốc Primaquine trong 14 ngày đẻ ngăn ngừa tái phát. Sau đó hẹn bệnh nhân tái khám tại khu điều trị ngoại trú sau một tháng điều trị, kết quả cho biết các thông số sinh ohas và huyết học bình thường, không thấy loài ký sinh trùng sốt rét nào có mặt trên lam máu ngoại vi.
Hình 1: lam máu nhuộm Wright-Giemsa (độ phóng đại ×1,000). (A) thể nhẫn trong một hồng cầu có bờ viền nham nhỏ dạng lông, (B) một thể phân liệt với 8 merozoite phân bố trông giống hóa cúc tỏa ra, (C) một microgametocyte với tâm lệch và hạt sắc tố lan tỏa, (D) một macrogametocyte với tâm lệch và nhiều chất chromatin. |
Thực hiện nested PCR đặc hiệu cho sốt rét
Để phân biệt các loài Plasmodium và đánh giá nhiễm phối hợp, các nhà nghiên cứu đã thực hiện phản ứng nested PCR với gen SSU rRNA và đặc hiệu cho P. ovale. DNA được tách chiết từ mẫu máu của bệnh nhân thông qua bộ QIAamp DNA Blood Mini kit (QIAGEN GmbH, Hilden, Germany). Phản ứng nested PCR với gen SSU rRNA thực hiện theo quy trình protocol được mô tả bởi tác giả Snounou và cộng sự. Các cặp mồi đặc hiệu (rPLU5/rPLU6) được sử dụng cho phản ứng PCR vòng 1 và 4 đôi mồi đặc hiệu loài (rFAL1/rFAL3 cho P. falciparum, rVIV1/ rVIV2 cho P. vivax, rMAL1/rMAL2 cho P. malariae và rOVA1/ rOVA2 cho P. ovale) được dùng cho vòng 2. Khuyêch đại được thực hiện trong một phản ứng 20 µL hỗn hợp chứa các thành phần sau: 0.2 µM cho mỗi mồi, 200 µM (mỗi) dATP, dCTP, dTTP, dGTP; 10 mM Tris-HCl (pH 9.0), 1.5 mM MgCl2, 40 mM KCl; 1 đơn vị Taq polymerase (Perkin- Elmer, Cetus, CT, U.S.A.); 1 µL DNA mẫu (hoặc 1 µL của sản phẩm PCR vòng 1 dùng cho vòng 2). Quy trình PCR vòng 1 và 2 thực hiện với điều kiện tương tự, chạy 40 chu kỳ trong máy DNA thermal cycler (iCycler Thermal Cycler, Bio-Rad Laboratories, Hercules, CA, U.S.A.). Kích thước đoạn DNA được khuyêch đại là 1.000 bp, 205 bp, 144 bp, 120 bp, 788 bp cho lần lượt genus Plasmodium, P. falciparum, P. vivax, P. malariae, P. ovale. Chỉ DNS của P. ovale được phát hiện trong máu ngoại vi của bệnh nhân này. (hình dưới).
Phân tích qua giải trình tự
Sản phẩm PCR được giải trình tự tại Solgent (Daejeon, Hàn quốc). Gen SSU rRNA, rPLU5 và RPLU6 được sử dụng để phân tích. Người ta giải trình tự theo hướng dẫn của BigDye Terminator v3.1 Cycle Sequencing kit (Applied Biosystems, Foster City, CA, U.S.A.). Sản phẩm giải trình tự được phân tích bằng máy ABI 3730 XL autoanalyzer (Applied Biosystems). Để so sánh trình tự gen thì người ta phân tích so sánh đồng thời đối với các gen SSU rRNA genes, Nigerian I/CDC strain (L48997), NAG/Cameroon (AJ00157), MAL/MAI (X99790), Papua New Guinea (AF145337). Người ta chọn P. falciparum (AF145334), P. vivax (AF- 145335) và P. malariae (AF145336) như một nhóm chứng ngoài. Trình tự các nucleotide được sắp xếp thẳng hàng thông qua hệ thống BioEdit (North Carolina State University, Raleigh, NC, U.S.A.). Trình tự sắp sếp được phân tích theo phương pháp khả năng có thể sử dụng phần fastDNAmL và PHYLIP (Version 3.63, University of Washington, Seattle, WA, U.S.A.). Sự sắp xếp từng phần của gen SSU rRNA P. ovale cho thấy các phân lập (SM04-119, DQ104413) là tương tự với các phân lập ở Nigerian I/CDC và Papua New Guinea (tương ứng 98.3% và 97.9%) hơn các phân lập khác ở NGA/ Cameroon và MAL/MAI (95.8% và 95.4%).
Bàn luận
Chẩn đoán chính xác loài ký sinh trùng Plasmodium là cần thiết để điều trị đúng ca bệnh. Để xác loài Plasmodium, soi kính hiển vi lam nhuộm Giemsa từ lâu được xem là chuẩn vàng trong chẩn đoán sốt rét. Tuy nhiên, điều này không dể dàng gì chẩn đoán chắc chắn là P. ovale trên lam máu, đặc biệt khi số lượng ký sinh trùng thấp và nhiễm loài phối hợp. Trong vùng lưu hành của P. ovale, tỷ lệ nhiễm đơn thuần P. ovale thì rất thấp, trong khi nhiễm phối hợp liên quan đến P. ovale thì lại rất cao. Trên các vùng này, P. ovale thường phải chẩn đoán bằng PCR (3.8-16.5%) hơn là phương pháp cổ điển nhuộm Giêm sa (0-0.4%). Do đó, điều hợp lý để sử dụng các phương pháp phát hiện sử dụng nucleic acid đồng thời với phương pháp cổ điển nhằm mục đích xác định loài ký sinh trùng sốt rét. Tuy nhiên, trong trường hợp này, không có khó khăn gì để xác định P. ovale trên lam máu vì hình thể điển hình của P. ovale (các giai đoạn khác nhau của Plasmodium trong hồng cầu trương phình với dải bờ nham nhỏ có lông) đã thấy rõ trên lam.
Hình 2: Kỹ thuật nested PCR đặc hiệu loài Plasmodium. Lanes 1 và 5 cho thấy các một DNA ladder marker (Bioneer, Daejeon, Korea). Plasmodium genus có thể xác định từ hình ảnh của sản phẩm PCR vòng 1 (-1,000 bp, lane 2 và 6). Các loài Plasmodium có thể xác địnhqua sản phẩm PCR vòng 2: sản phẩm đặc hiệu cho P. falciparum (205 bp, lane 3), P. vivax (120 bp, lane 4), P. malariae (144 bp), P. ovale (788 bp, lane 10). Chỉ có P. ovale DNA được phát hiện từ mẫu máu bệnh nhân. |
Cote d'Ivoire là một quốc gia thuộc vùng nhiệt đới tây Phi, tỷ lệ ký sinh tùng trong máu ở tây Phi là cao hơn gấp 3 lần so với Đông Phi. Tại Cote d'Ivoire, người ta đã báo cáo tỷ lệ mắc sốt rét có ký sinh tùng là 60% trên trẻ em < 14 tuổi và tỷ lệ P. ovale chiếm 2%.
Ngươc với các loài ký sinh trùng P. falciparum và P. vivax, rất ít biết về mô hình đa dạng di truyền của các phân lập P. ovale. Từ lâu, trình tự gen của SSU rRNA đã được phân tích đối với 8 phân lập: 2 từ Nigerian I/CDC strains, CAG/ Cameroon (AJ001527), MAL/MAI (X99790), 1 loại cổ điển của phân lập Đông Nam Á và 3 biến thể phân lập của Đông Nam Á. Các phân lập của Nigerian I/CDC và Papua New Guinea là các thành viên trong nhóm cổ điển và phân lập CAG/Cameroon và MAL/MAI là thành viên của nhóm biến thể (variant type group). Trình tự từng phần của các phân lập Papua New Guinea có thể so sánh với phân lập trong nghiên cứu này vì chúng được phan tích bằng cách sử dụng đôi mồi rPLU5 và rPLU6. Chúng là các thành viên của nhóm cổ điển (classic type group) (xem hình 3). Đã có một vài báo cáo về P. ovale tại Cote d'Ivoire, nhưng số liệu không thấy đăng ký phân lập P. ovale này ở Cote d'Ivoire. Phân lập trong nghiên cứu này (SM04-119, DQ104413) thuộc nhóm phân lập cổ điển.
Nói chung, P. ovale nên được xem như một bệnh nguyên sốt rét nhập khẩu tại Hàn Quốc vì số lượng người đi du lịch và định cư ở các vùng có lưu hành P. ovale hiện ngày càng tăng lên trong thời gian gần đây.
Tài liệu tham khảo
1.Win TT, Jalloh A, Tantular IS, Tsuboi T, Ferreira MU, Kimura M, Kawamoto F. Molecular analysis of Plasmodium ovale variantsEmerg Infect Dis 2004;10:1235–1240.
2.Win TT, Lin K, Mizuno S, Zhou M, Liu Q, Ferreira MU, Tantular IS, Kojima S, Ishii A, Kawamoto F. Wide distribution of Plasmodium ovale in MyanmarTrop Med Int Health 2002;7:231–239.
3.Kawamoto F, Liu Q, Ferreira MU, Tantular IS. How prevalent are Plasmodium ovale and P.malariae in East Asia?Parasitol Today 1999;15:422–426.
4.Faye FB, Spiegel A, Tall A, Sokhna C, Fontenille D, Rogier C, Trape JF. Diagnostic criteria and risk factors for Plasmodium ovale malariaJ Infect Dis 2002;186:690–695.
5.Mehlotra RK, Lorry K, Kastens W, Miller SM, Alpers MP, Bockarie M, Kazura JW, Zimmerman PA. Random distribution of mixed-species malaria infections in Papua New GuineaAm J Trop Med Hyg 2000;62:225–231.
6.Lee SY, Ko TS, Chi HS, Park YS. Four cases of the imported falciparum malaria in childrenJ Korean Pediatr Soc 1997;40:249–254.
7.Shin KS, Kim JS, Ryu SW, Suh IB, Lim CS. A case of Plasmodium vivax infection diagnosed after treatment of imported falciparum malariaKorean J Clin Pathol 2001;21:360–364.
8.Soh CT, Lee KT, Im KI, Min DY, Ahn MH, Kim JJ, Yong TS. Current status of malaria in KoreaYonsei Rep Trop Med 1985;16:11–18.
9.Snounou G, Viriyakosol S, Zhu XP, Jarra W, Pinheiro L, do Rosario VE, Thaithong S, Brown KN. High sensitivity of detection of human malaria parasites by the use of nested polymerase chain reactionMol Biochem Parasitol 1993;61:315–320.
10.Warhurst DC, Williams JE. Laboratory diagnosis of malariaJ Clin Pathol 1996;49:533–538.
11.Richie TL. Interactions between malaria parasites infecting the same vertebrate hostParasitology 1988;96:607–639.
12.May J, Mockenhaupt FP, Ademowo OG, Falusi AG, Olumese PE, Bienzle U, Meyer CG. High rate of mixed and subpatent malarial infections in southwest NigeriaAm J Trop Med Hyg 1999;61:339–343.
13.Qari SH, Shi YP, Pieniazek NJ, Collins WE, Lal AA. Phylogenetic relationship among the malaria parasites based on small subunit rRNA gene sequences: monophyletic nature of the human malaria parasite, Plasmodium falciparumMol Phylogenet Evol 1996;6:157–165.
14.Nzeyimana I, Henry MC, Dossou-Yovo J, Doannio JM, Diawara L, Carnevale P. The epidemiology of malaria in the southwestern forests of the Ivory Coast (Tai region)Bull Soc Pathol Exot 2002;95:89–94.
15.Rubio JM, Post RJ, van Leeuwen WM, Henry MC, Lindergard G, Hommel M. Alternative polymerase chain reaction method to identify Plasmodium species in human blood samples: the semi-nested multiplex malaria PCR (SnM-PCR)Trans R Soc Trop Med Hyg 2002;96:199–204.