Một số nhà nghiên cứu mới đây đã giải mã được bộ gen của loại ký sinh trùng gây bệnh giun xoắn (Trichinosis), đây là căn bệnh bắt nguồn từ việc ăn thịt lợn hay một số động vật ăn thịt hoang dã khác chưa được nấu chín (một số nơi, người dân địa phương có thể ăn sống hoặc chỉ chế biến thịt với các loại gia vị thường dùng).
Sau khi tiến hành phân tích bộ gen, các nhà nghiên cứu của Khoa Y học thuộc Đại học Washington và các cộng sự cho biết rằng nhiều đặc điểm chưa từng được biết đến của loài ký sinh trùng với tên gọi Trichinella spiralis đã được khám phá, từ đây mở đường cho việc nghiên cứu các phương pháp và loại thuốc mới để điều trị căn bệnh do ký sinh trùng này gây ra. Công trình nghiên cứu này đã được đăng trực tuyến trên Tạp chí Nature Genetics, số ra ngày 20/2 vừa qua.
Từ lâu, bệnh giun xoắn đã không còn là mối lo ngại tại một số quốc gia phát triển, tuy nhiên, tại nhiều nơi khác trên thế giới có ước tính lên tới 11 triệu người bị mắc với căn bệnh này. Hiện tại, kết quả điều trị bệnh nhân phụ thuộc nhiều vào việc phát hiện và điều trị sớm.
Giáo sư Makedonka Mitreva, trưởng nhóm nghiên cứu thuộc Trung tâm Nghiên cứu Gen – Đại học Washington cho biết, ấu trùng của Trichinella spiralis mất khoảng hai tuần để di chuyển từ ruột đến các cơ, nơi chúng tồn tại và phát triển. Ông nói thêm, các loại thuốc điều trị sẽ ít hiệu quả hơn một khi ấu trùng đã xâm nhập vào các hệ cơ. Đây là loại bệnh ít khi gây tử vong cho con người, tuy nhiên, người mắc phải căn bệnh này sẽ thường xuyên bị các cơn đau dai dẳng ở các cơ hay cơ thể rất mệt mỏi…
 |
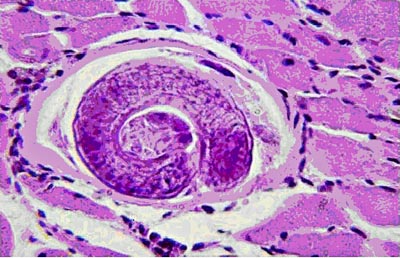
Trichinella spiralis (Ảnh: cnia.inta.gov.ar) |
Theo thống kê, hiện nay bệnh chủ yếu xuất hiện tại một số khu vực thuộc châu Á và Đông Âu, nơi mà còn một tỷ lệ cao người dân ăn thịt lợn sống và công tác kiểm tra an toàn vệ sinh thực phẩm còn lỏng lẻo.
Ngoài ra các nhà khoa học còn cho biết rằng nghiên cứu này cũng đã cho biết thêm nhiều điều mới mẽ khác, rất có giá trị. Trichinella spiralis chỉ là một trong hàng nghìn loại giun sán gây bệnh ở người và động vật, theo Tổ chức Y tế Thế giới (WHO), có khoảng 1/3 dân số trên thế giới bị nhiễm các loại ký sinh trùng gây bệnh và đã có trên 300 triệu người mắc các chứng bệnh nghiêm trọng từ các ký sinh trùng này. Những thiệt hại và ngân sách đầu tư cho các chương trình phòng chống các bệnh ký sinh trùng của thế giới lên đến nhiều tỷ USD mỗi năm.
Trong số nhóm các loại giun tròn gây bệnh, T. spiralis phân nhánh khá sớm, khoảng 6 đến 7 trăm triệu năm, trước cả Caenorhabditis elegans (C. elegans) - một loại sinh vật tương tự được dùng để phục vụ công tác nghiên cứu trong các phòng thí nghiệm. Cho đến nay, đã có khoảng 10 hệ gen của loài giun tròn được giải mã, bao gồm 5 loại giun gây bệnh ở người. Hệ gen của T. spiralis đã thêm vào danh sách này, cho phép các nhà khoa học tiếp tục nghiên cứu các cá thể khác trong nhóm này.
”T. spiralis là một mắc xích quan trọng trong bản đồ tiến hóa của lớp giun tròn, giải mã được hệ gen của T. spiralis giúp chúng ta có thể nắm thêm những kiến thức còn bỏ xót về nhóm này”, giáo sư Richard K. Wilson, giám đốc Trung tâm Nghiên cứu Gen của Đại học Washington, cho biết. “So sánh hệ gen của các loại giun tròn với nhau, chúng tôi nhận thấy có một số đặc điểm chính trong cấu trúc phân tử mà nhờ đây chúng ta sẽ nghiên cứu được một loại thuốc có thể phát huy hiệu quả trong điều trị nhiều loài giun tròn gây bệnh”.
Nhìn chung, bộ gen của T. spiralis có số lượng gen ít hơn của C. elegans. 15.808 gen so với C. elegans là 20.000.
|
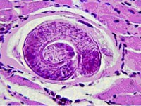
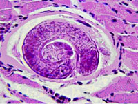
T. spiralis ở thể kén trong hệ cơ, với thể này chúng có thể tồn tại đến 10 năm (Ảnh: healthline.com) |
Ngoài ra, nghiên cứu còn nhận thấy khoảng 45% các gen của T. spiralis được cho chưa từng được biết đến, chúng hoàn toàn mới lạ khi so sánh với các cơ sở dữ liệu về gen. Các nhà nghiên cứu cho rằng sự phân nhánh sớm trong quá trình tiến hóa hay kiểu sống đặc trưng của loài giun này không có khả năng tồn tại bên ngoài cơ thể vật chủ nên có thể nó đã tạo ra các gen mang đầy bí ẩn cho đến ngày nay.
Các nhà nghiên cứu cũng đã phát hiện có đến 274 các loại protein liên quan với nhau có trong hầu hết các loài giun tròn nhưng tuyệt nhiên không tồn tại trong các loài khác, kể cả con người. Ngoài ra, nghiên cứu còn nhận thấy có 64 loại protein chỉ có ở các loài giun tròn gây bệnh.
”Điều này tạo ra các cơ hội tốt cho các nhà khoa học trong nghiên cứu sâu hơn về các đặc trưng của các loại giun tròn gây bệnh để có thể tìm ra các loại thuốc điều trị mới, hiệu quả hơn”, Mitreva nói. “Một khi các loại thuốc điều trị mới này chỉ tác động lên các phần tử đặc trưng của ký sinh trùng gây bệnh thì những tác dụng phụ của thuốc đối với cơ thể người sẽ được giảm bớt, độ độc hại cũng giảm đáng kể”.
 |
Chu kỳ lây bệnh của T. spiralis (Ảnh: vusta.vn) |
Giun xoắn chủ yếu sống trong ruột non. Trong cơ thể người, giun xoắn phát triển theo ba giai đoạn. Thời kỳ đầu, giun xoắn ngự ở ruột làm bệnh nhân bị viêm ruột nặng, đại tiện lỏng như tả, nôn, đau bụng, sốt 40-41oC. Một tuần sau, ấu trùng từ niêm mạc ruột non xâm nhập vào máu, hạch bạch huyết của bệnh nhân, làm cho họ sốt cao, mê man, đau các khớp xương, đau cơ, khó nuốt, khó thở, phù mặt, nhất là ở hai mi mắt. Giữa tuần lễ thứ ba, ấu trùng bắt đầu hình thành kén và thải độc tố vào trong các cơ khiến bệnh nhân đau dữ dội, khó cử động, cơ thể gầy sút, sức khỏe suy sụp nhanh do không ăn được. Với thể trung bình, bệnh kéo dài 3-4 tuần, có khi 2-3 tháng. Bệnh nhân thường tử vong vào tuần thứ hai và tuần thứ bảy tùy mức độ nhiễm. Phần lớn tử vong do suy nhược cực độ, kèm theo biến chứng phổi và loét da. Những người được điều trị qua khỏi vẫn còn thấy đau các cơ và bứt rứt trong nhiều tháng sau đó. Chẩn đoán nhiễm giun xoắn không khó. Song nhiều bệnh nhân bị phát hiện quá muộn, thậm chí bị chẩn đoán nhầm thành bại liệt, thương hàn, nhiễm khuẩn cấp tính không rõ nguồn gốc. Với những biểu hiện trên, bệnh nhân phải được xét nghiệm tìm kháng thể bằng phương pháp Elisa và sinh thiết cơ. Hiện vẫn chưa có thuốc đặc trị giun xoắn, đặc biệt là với các ấu trùng thành kén nằm trong cơ. Cách chữa chủ yếu vẫn là làm giảm triệu chứng và đề phòng biến chứng. Biện pháp phòng ngừa hàng đầu vẫn là dùng thức ăn nấu chín. |