Trichomonas vaginalis là một loại đơn bào thuộc domain Eukarya, ngành Metamonada, lớp Parabasalia, bộ Trichomonadida, giống Trichomonas, loài T. vaginalis . Trong đó, Trichomonas vaginalis, là một đơn bào hình roi, kỵ khí và là tác nhân gây bệnh trung roi âm đạo rất phổ biến tại nhiều quốc gia trên thế giới. Đồng thời nhiễm đơn bào này cũng là một trong những tác nhân gây bệnh đứng hàng đầu tại các quốc gia công nghiệp. Tổ chức y tế thế giới (WHO) ước tính khoảng 180 triệu ca mắc bệnh này mỗi năm trên toàn cầu, chỉ tính riêng khu vực bắc Mỹ là đã chiếm 5-8 triệu trường hợp mắc mới mỗi năm, trong đó số ca nhiễm không triệu chứng caokhoảng 50%.
Đặc điểm hình thái học
Thể tư dưỡng của T. vaginalis có hình oval có roi dính vào. 5 roi mọc gần cytosome; 4 trong số này mở rộng ra về phía ngoài của tế bào, riêng roi thứ 5 cong ngược lại dọc theo bề mặt của trùng roi. Về mặt chức năng của roi thứ 5 vẫn chưa được biết rõ. Ngoài ra, 4 roi còn lại nhô ra và dính vào bề mặt của thuwng tổn và có thể gây tổn thương mô khi bị nhiễm trùng roi này. Trong khi T. vaginalis không có thể bào nang, thì trùng roi vẫn sống sót đến 24 giờ trong nước tiểu, trong tinh dịch, thậm chí trong nước. Phối hợp khả năng này thì chúng có thể sống trên bề mặt ẩm đến 1-2 giờ, T. vaginalis là một trong số tác nhân đơn bào bền vững nhất.
Chức năng Protein
T. vaginalis có nhiều enzyme mà có thể xúc tác cho nhiều phản ứng hóa học khiến cho trùng roi liên quan đến nhiều nghiên cứu chức năng protein. T. vaginalis làm thiếu ty thể và các enzyme cần thiết khác cũng như cytochrome để tiến hành phản ứng oxy hóa phosphoryl. T. vaginalis lấy chất dinh dưỡng bằng cachs vận chuyển qua màng tế bào và bằng phương thức thực bào. Đơn bào này có thể duy trì năng lượng theo yêu cầu bằng cách sử dụng một lượng nhỏ enzyme cung cấp năng lượng qua con đường ly giải glucose thanh glycerol và succinate trong tương bào. Tiếp đó chúng chuyển ngược pyruvate và malate thành hydrogen và acetate trong cơ thể, gọi là quá trình hydrogenosome.
Nghiên cứu về bộ gen của Trichomonas vaginalis
Bộ gan của T. vaginalis có kích thước gần 160 megabases, gấp 10 lần kích cỡ tiên doán trước đây. (bộ gen người khoảng 3.5 gigabases)> khoảng 2/3 bộ gen của T. vaginalis là các đoạn lặp lại và yếu tố sao chép, cho thấy sự tiến hóa qua nhiều nghiên cứu gần đây. Tổng số gen mã hóa cho protein khoảng 98,000, bao gồm 38.000 gen lặp lại. Khoảng 26.000 gen mã hóa cho protein được phân loại như ESTs, trong khi nhiều chức năng vẫn chưa biết hết. Cuối năm 2007, TrichDB.org đã khai trương công bố dữ liệu bộ gen chung của loài này và dựa vào các dữ liệu như thế đã góp phần rất lớn trong nghiên cứu chẩn đoán và điều trị tác nhân này.
Bệnh học của nhiễm trùng âm hộ âm đạo do trùng roi
Viêm âm đạo thường được chia ra làm 3 dạng thường gặp là nhiễm khuẩn âm đạo (bacterial vaginitis), viêm âm đạo do nấm Candida và viêm âm đạo do trùng roi Trichomonas vaginalis. Trong phạm vi bài này, chúng tôi đề cập chủ yếu đến viêm âm đạo do các trùng roi. Trùng roi là một loại ký sinh trùng có tên là Trichomonas vaginalis mà mắt thường không nhìn thấy được. Chúng sống ký sinh ở âm đạo, dịch tiết âm đạo, các nếp nhăn của da ở bộ phận sinh dục gây nên các triệu chứng viêm nhiễm. Trùng roi thích ứng với môi trường khác nhau rất mạnh, có thể sinh sôi trong điều kiện 25-400C và lây truyền chủ yếu qua con đường giao hợp, thế nhưng vấn đề vệ sinh cá nhân, vệ sinh môi trường như nguồn nước, đồ dùng cá nhân... bị nhiễm bẩn, trùng roi có thể xâm nhập vào đường sinh dục rồi gây bệnh.
Nhiễm trùng roi do T. vaginalis (bệnh trichomoniasis) là một trong những bệnh lây truyền qua đường tình dục xảy ra ở nữ giới (nam giới hiếm gặp hơn và hiếm biểu hiện triệu chứng):
§ Nếu độ pH của âm đạo bình thường thay đổi trong những người khỏe mạnh, pH acid chứng 3.8-4.2 thường xuyên hơn là pH trong khoảng 5-6 thì dễ tạo điều kiện cho T. vaginalis phát triển;
§ Lúc mới mắc, người bệnh chỉ cảm thấy ngứa nhiều ở âm đạo, âm hộ, sau đó thì thấy sưng, viêm tấy, âm đạo có nhiều khí hư có mùi, màu vàng, xanh, khi giao hợp bị đau. Nếu không chữa trị dứt điểm và kịp thời, người bệnh có thể gặp các biến chứng như viêm vòi trứng, rong kinh, vô sinh, viêm nhiễm đường tiết niệu.
§ Triệu chứng của bệnh bao gồm sinh non, cân nặng thấp, tăng tỷ lệ tử vong trên những đối tượng nhiễm HIV, ung thư cổ tử cung. Nhiễm trùng T. vaginalis cũng đã được báo cáo ở đường tiết niệu, ống dẫn trứng, vùng chậu hông, có thể gây viêm phổi, viêm phế quản và tổn thương ở vùng miệng;
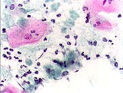
§ Các triệu chứng khác như viêm cùng bội nhiễm các tác nhân khác, tiết dịch âm đạo màu nâu vàng, số lượng nhiều và có bọt, ngứa. (hình ảnh trên là xét nghiệm Pap’s smear, cho thấy nhiễm Trichomonas vaginalis- Nhuộm Papanicolau, 400 x).
Nhiễm khuẩn âm đạo do Gardnerella vaginalis đặc thù của nhiễm trùng âm đạo là một sự gia tăng tiết dịch hơn là một tình trạng viêm nhiễm thực sự.
§ Do sự gia tăng bất thường của các chủng vi khuẩn kỵ khí như G. vaginalis, Prevotella, Mobiluncus, Mycoplasma hominis... trong khi các Lactobacilli bị thiếu hụt;
§ Thường gặp ở phụ nữ có nhiều bạn tình, có thói quen thụt rửa âm đạo;
§ Triệu chứng lâm sàng gồm có huyết trắng nhiều, loãng, đồng nhất, bám vào thành âm đạo, màu trắng xám, Whiff test (+), niêm mạc âm đạo bình thường, không viêm đỏ;
§ Xét nghiệm cận lâm sàng coh thấy pH âm đạo > 4.8, nhuộm Gram hoặc Methylene không có hoặc rất ít Lactobacilli, có sự hiện diện nhiều tế bào Clue (tế bào là tế bào biểu mô lát bị bao phủ bởi rất nhiều vi khuẩn, chủ yếu là Gadnerella vaginalis) đến mức bờ của tế bào không còn được rõ ràng, có giá trị cao trong chẩn đoán nhiễm khuẩn âm đạo);
Chẩn đoán bệnh trùng roi
Chẩn đoán viêm âm hộ âm đạo dù do tác nhân nào cũng phải do bác sĩ chuyên khoa kết luận. Nhân viên y tế sẽ lấy mẫu bệnh phẩm âm đạo (khí hư) để xét nghiệm và quan sát, soi dưới kính hiển vi. Soi tươi dưới KHV sẽ cho kết quả ngay, xét nghiệm cấy vi trùng phải ít nhất qua đêm (sớm nhất) mới có kết quả.
Về kinh điển, xét nghiệm Pap’s smear, những người bị nhiễm có dấu hiệu vòng tròn "halo" trong suốt, quanh có có các nhân tế bào. Người ta hiếm khi phát hiện bằng cách nghiên cứu chất dịch tiết hoặc trên Pap’s smear vì độ nhạy rất thấp, chẩn đoán cổ điển T.vaginalis là lấy bệnh phẩm rồi xem dưới kính hiển vi. Chẩn đoán sẽ khó nếu viêm âm đạo cùng lúcdo nhiều nguyên nhân. Khi nghi ngờ bị viêm âm hộ âm đạo, bệnh nhân cần đi khám bệnh để có chẩn đoán chính xác. 4 dấu hiệu chính của viêm âm đạo do trùng roi là dịch tiết loãng, trắng đục dính vào thành âm đạo, mùi tanh cá, pH âm đạo > 4.5 và sự hiện diện của tế bào biểu mô âm đạo bao phủ bởi vi khuẩn gây bệnh (clue cells).
Whiff test hay Amine test là xét nghiệm nhỏ dung dịch Potasium (KOH) 10% vào dịch âm đạo, kết quả dương tính khi có mùi cá thối bay lên ngay sau khi nhỏ. Hầu hết, người bệnh rất ngại nói chuyện này nên không đi gặp bác sĩ, chỉ khi thấy khí hư ra quá nhiều, có mùi, âm hộ ngứa rát khó chịu mới đi khám khiến việc điều trị gặp nhiều khó khăn. Chẩn đoán Trichomonas thường không được chú ý ở nam giới vì ít gây triệu chứng và vì chưa có xét nghiệm chẩn đoán nào có độ nhạy cao. Gần đây, việc sử dụng xét nghiệm khuếch đại DNA cho thấy tỉ lệ nhiễm Trichomonas ở đàn ông cao hơn rất nhiều so với những hiểu biết trước đây.
Hiện nay, phương pháp chẩn đoán thông dụng nhất là nuôi cấy bệnh phẩm qua đêm (overnight culture) với độ nhạy khoảng 75-95%. Các phương pháp mới hơn như test phát hiện kháng nguyên nhanh (rapid antigen test) như vừa qua Cơ quan FDA đã chấp nhận một test nhanh để chẩn đoán nhiễm Trichomonas, kết quả có trong vòng 10 phút. Phương pháp sinh học phân tử có độ nhạy cao hơn, nhưng chưa được sử dụng rộng rãi (như chẩn đoán bằng kỹ thuật PCR với đôi mồi L23861 Fw vàRev).
Điều trị bệnh nhiễm trùng roi Trichomonas vaginalis
Hiện có rất nhiều phương pháp điều trị bệnh trùng roi âm đạo do Trichomonas vaginalis nhưng một trong những nguyên tắc điều trị đạt kết quả là phải điều trị cho cả vợ lẫn chồng (hoặc bạn tình) và phải kiêng giao hợp khi đang điều trị bệnh. Phải kiên trì chữa bệnh, khi thấy triệu chứng đã hết, phải làm xét nghiệm ít nhất 3 lần âm tính mới được coi là khỏi bệnh. Bên cạnh đó, việc giữ vệ sinh sạch sẽ bộ phận sinh dục, thường xuyên thay giặt quần lót, tránh dùng chung chậu rửa, bồn tắm sẽ làm giảm mức độ viêm nhiễm.
Điều trị viêm âm đạo do trùng roi cũng nên do bác sĩ chuyên khoa quyết định, không nên dùng các thuốc bán không cần toa vì dễ gây kháng thuốc và làm cho chẩn đoán gặp nhiều khó khăn về sau. Trichomonas vaginalis được điều trị bằng metronidazole hoặc tinidazole liều cao uống một lần duy nhất hoặc liều trung bình uống ngày 2 lần, liên tục một tuần. Bạn tình hoặc chồng cũng nên điều trị để tránh lây nhiễm lại.
Điều trị hỗ trợ
Tập trung vào tái tạo, cân bằng về môi trường cũng như vi khuẩn bình thường của âm đạo. Lactobacillus acidophilus và L. bifidus được khuyên dùng. Có thể dùng đường uống hoặc bơm trực tiếp vào âm đạo. Bơm thụt rửa âm đạo bằng acid boric có thể giúp acid hoá pH âm đạo để ngăn chặn sự phát triển của những vi khuẩn gây bệnh. Đối với trường hợp viêm teo niêm mạc âm đạo, đặc biệt ở phụ nữ mãn kinh, dùng kem có chứa progesterone thoa tại chỗ có thể giảm bớt các triệu chứng do niêm mạc âm đạo mỏng đi gây nên.
Thay đổi chế độ ăn và bổ sung thêm chất dinh dưỡng cũng có thể giúp ích cho việc điều trị Các vitamin chống oxy hoá, bao gồm vitamin A, C, E và các vitamin nhóm B, vitamin D, được khuyên dùng, các thực phẩm tránh dùng bao gồm phô mai, rượu, chocolat, nước tương, đường, dấm, thực phẩm lên men. Nên mặc quần lót rộng rãi, bằng vải coton cho âm hộ âm đạo được thoáng mát.
Tiên lượng
Viêm âm đạo do trùng roi có triệu chứng nhẹ, phần lớn bệnh nhân đáp ứng tốt với điều trị thuộc đặc hiệu. Những viêm nhiễm ở âm đạo, nếu không được điều trị đúng mức sẽ dẫn đến những biến chứng như viêm phần phụ, viêm nội mạc tử cung,…
Phòng bệnh
Nhiễm trùng âm hộ - âm đạo hay hệ tiết niệu sinh dục nói chung có thể được phòng tránh bằng những biện pháp sau:
- Không được sử dụng những thuốc điều trị khi chưa có chẩn đoán chính xác;
- Tránh thụt rửa âm đạo nhiều vì sẽ gây rối loạn cân bằng vi sinh vật;
- Lau khô người và tránh mặc quần áo ướt sau khi tắm, bơi lội, nhất là nơi bể bơi công cộng;
- Tránh mặc quần áo quá chật, nên dùng quần lót bằng vải coton hơn là chất liệu nylon;
- Rửa sạch màng ngăn âm đạo, nắp chụp cổ tử cung, các dụng cụ dùng để bơm thuốc diệt tinh trùng sau khi sử dụng. Nên dùng bao cao su để phòng tránh những bịnh lây truyền qua đường tình dục.
- Sau khi đi tiêu nên vệ sinh từ phía trướcà sau để tránh vi trùng từ hậu môn vào âm đạo.
Tài liệu tham khảo
1. Sood S et al (2007). "InPouch TV culture for detection of Trichomonas vaginalis.". Indian J Med Res 125: 567-571. PMID 17598943.
2. Huppert JS; Mortensen JE, Reed JL (2007). "Rapid antigen testing compares favorably with transcription-mediated amplification assay for the detection of Trichomonas vaginalis in young women.". Clinical Infectious Diseases 45 (2): 194-198. doi:10.1086/518851. PMID 17578778.
3. Schirm J, Bos PA, Roozeboom-Roelfsema IK (2007). "Trichomonas vaginalis detection using real-time TaqMan PCR". Journal of microbiological methods 68 (2): 243–7. doi:10.1016/j.mimet.2006.08.002. PMID 17005275.
4. Carlton JM, Hirt RP, Silva JC, et al. (2007). "Draft genome sequence of the sexually transmitted pathogen Trichomonas vaginalis". Science (New York, N.Y.) 315 (5809): 207–12. doi:10.1126/science.1132894. PMID 17218520. PMC: 2080659..
5. Zimmer, C. (2007). "Jurassic Genome.". Science 315: 1358-1359. doi:10.1126/science.315.5817.1358. PMID 17347424.
6. Aurrecoechea C, Brestelli J, Brunk BP, et al. (2008). "GiardiaDB and TrichDB: integrated genomic resources for the eukaryotic protist pathogens Giardia lamblia and Trichomonas vaginalis.". Nucleic Acids Research. PMID 18824479.