Nguy cơ cao bị sỏi mật trong giai đoạn nhiễm SLGL mạn tính-mô hình thực nghiệm
Các tác giả Valero MA, Santana M, Morales M, Hernandez JL, Mas-Coma S tiến hành một nghiên cứu theo dõi trên chuột Wistar cho nhiễm thực nghiệm với sán Fasciola hepatica, liên quan giữa thời gian nhiễm, số lượng sán nhiễm, trọng lượng con chuột và nồng độ lipid trong huyết thanh với nguy cơ hình thành sỏi mật trong các ống dẫn mật chính, sử dụng bộ số liệu theo các ngày 100, 200, 300, 400, và 500 kể từ khi gây nhiễm. Sự xuất hiện sỏi mật tăng theo thời gian. Nguy cơ tương đối của bệnh sỏi mật tăng khi số lượng sán trên mỗi con chuột và trọng lượng con chuột tăng. Sự có mặt của sỏi mật còn liên quan đến thành phần HDL-lipoprotein và triglyceride cao trong huyết thanh của chuột.
Trong một phân tích về lipid huyết thanh có liên quan chặt chẽ với bệnh sinh ra sỏi mật hơn là trọng lượng quá tải của sán. Sự có mặt của sỏi có liên quan chặt với số lượng sán nằm trong đường mật. Nguy cơ cao phát triển sỏi mật có thể trên các bệnh nhân sống trong vùng lưu hành bệnh SLGL F. hepatica cao và có xét nghiệm lượng trứng được phát hiện trong phân cao cũng là một yếu tố nguy cơ cao gây sỏi mật sau này.
Thay đổi bệnh học khi nhiễm sán lá gan Fasciola hepatica
Nhóm các nàh nghiên cứu Gajewska A, Smaga-Kozłowska K, Wiśniewski M tại Warszawa cho biết các thay đổi về mặt bệnh học khi nhiễm sán lá gan lớn Fasciola hepatica. Sán lá gan lớn gây ra bởi Fasciola hepatica là một bệnh lý ký sinh trùng có ảnh hưởng lên một số loài động vật có vú, chủ yếu là các động vật nhai lại ở một số quốc gia châu Âu, châu Á, châu Mỹ.
Tầm quan trọng về kinh tế liên quan đến bệnh sán lá gan lớn chính là thiệt hại sản lượng thịt, sữa và bán các phủ tạng trong đó có gan tại các lò mổ cũng giảm đi đáng kể. Nghiên cứu ở đây trình bày cơ chế tổn thương các gan của vật chủ trong suốt quá trình nhiễm sán Fasciola hepatica. Ký sinh trùng sẽ tiêu hóa các mô của gan, dẫn đến phá hủy cấu trúc nhu mô lan rộng và tổn thương xuất huyết cũng như sinh ra các phản ứng miễn dịch trên cơ thể. Tổn thương về mặt cơ học là do quá trình di chuyển của sán non trong gan. Các tế bào gan bị suy và hoại tử mềm cũng được nhìn thấy trong các khoang hầu và lỗ giác miệng của sán. Ngoài ra, tiến trình loét nhu mô gan cũng phát hiện tại các vùng giáp ranh đến các vỏ sán. Mặt khác, tổn thượng gan có thể do các yếu tố hóa học hoặc do bản thân sán gây nên. Có lẽ thành phần proteases và các enzyme phá hủy mô khác của sán tác động trực tiếp lên nhu mô gan. Không thấy bằng chứng liên quan đến enzyme của sán với sự xuyên thủng nhu mô gan. Hậu quả tổn thương gan chính là do sán non di chuyển trên các gan bị tấn công, rồi làm rối loạn chức năng gan thông qua thay đổi trị số protein trong huyết tượng (albumin, globulin). Ngoài ra, các thay đổi về nồng độ các men gan ly giải vào trong máu do tổn thương gan mà ra và khi giám sát theo dõi quá trình nhiễm sán Fasciola hepatica trên các vật chủ khác nhau cũng nhạy cảm khác nhau.
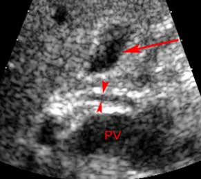
Một số biến chứng và thay đổi bệnh học ở đường mật do sán lá gan lớn và sán lá gan nhỏ
Các nhà nghiên cứu Lim JH, Mairiang E, Ahn GH đang công tác tại khoa chẩn đoán hình ảnh, Trung tâm nghiên cứu y học Samsung Medical Center, đại học y khoa Sungkyunkwan, Seoul, Hàn Quốc, đã tiến hành một nghiên cứu tổng thể về các bệnh ở đường mật do ký sinh trùng: sán lá gan lớn và sán lá gan nhỏ (Clonorchis sinensis, Opisthorchis viverrini). Các sán này nằm trong các đường mật nhỏ ngoại vi của gan và có thể dẫn đến hâuu quả viêm nhiễm mạn tính, dãn đường mật, tắc nghẽn cơ học đường mật và dày thành ống mật. Về hình ảnh học, các đường mật ngoại vi nhỏ bị dãn nhưng các đường mật lớn và ngoài gan không dãn hoặc dãn rất nhẹ. Không thấy tắc nghẽn đường mật. Đôi khi, nhiễm trùng nặng, các sán trưởng thành có thể thấy được qua siêu âm, CT hoặc MRI đường mật và hệ gan mật và có thể thấy các tổn thương nhỏ trong gan mật đi kèm. Những con sán trong túi mật có thể trôi nổi trong túi mật, các vật thể nhỏ này thấy qua siêu âm. Nhiễm mạn tính có thể dẫn đến bệnh lý ung thư biểu mô đường mật trong nhu mô gan và đường mật. Nhiễm sán lá gan lớn ở người loại Fasciola hepatica, có thể xảy ra tình cờ, sán di chuyển trong nhu mô gan (pha cấp) hoặc pha mạn trong đường mật. Chẩn đoán hình ảnh trong pha gan là các hình ảnh ổ áp xe li ti, đa ổ và hoại tử lớn nhỏ khác nhau, dạng đường hầm hoặc khoang, chứng minh có ký sinh trùng di chuyển trong nhu mô gan. Trong pha đường mật (mạn tính), sán có thể nằm trong đường mật trong và ngoài gan hoặc túi mật, dưới dạng các vật thể trôi nổi và dãn đường kính.
Tổn thương bệnh học ở gan và đáp ứng miễn dịch trên mô hình thực nghiệm nhiễm Fasciola hepatica trên dê
Nhóm nghiên cứu gồm Martinez-Moreno A, Jiménez-Luque V, Moreno T, Redondo ES, de las Mulas JM, Pérez J, đang công tác tại khoa ký sinh trùng trên động vật học, đại học thú y của Córdoba, Tây Ban Nha tiến hành và cho biết mối liên quan giữa đáp ứng miễn dịch và cơ chế sinh bệnh được nghiên cứu trên nhiễm trùng thứ phát và tiên phát với sán Fasciola hepatica trên thực nghiệm ở dê. Thiết lập bệnh, đo tỷ lệ phần trăm sán phục hồi khi môt tử thi, tương tự và giống nhau giữa nhiễm trùng tiên phát và thứ phát (19.7% và 24.3%), nhưng tổn thương gan sẽ nghiêm trọng hơn nếu nhiễm trùng thứ phát và biểu hiện bằng nồng độ GGT và LDH trong huyết thanh tăng cao. Nhiễm trùng tiên phát cho thấy khi tiến đến mạn tính không có biểu hiện kháng thuốc mà ngược lại nhạy cảm rất cao với nhiễm trùng thứ phát, chỉ ra tổn thương cấp nghiêm trọng và mạn tính, dẫn đến tử vong trên một số gia súc ở mỗi nhóm.
Đáp ứng miễn dịch với nhiễm ký sinh trùng được chứng minh bởi sự sinh ra các kháng thể IgG đặc hiệu với ESP của sán F. hepatica và liên quan đến các bạch cầu lympho CD3+ và các bào tương IgG trong các gan bị thâm nhiễm. Nhiễm trùng thứ phát không sinh ra bất kỳ một sự khác biệt nào đáp ứng IgG hoặc đáp ứng miễn dịch qua trung gian tế bào, mặc dù nó tổn thương nhiều hơn. Tuy nhiên, không có kháng thể cũng không có miễn dịch qua trung gian tế bào, điều đó cho thấy không mối liên quan giữa mức IgG và lượng sán nhiễm vsà không không có bằng chứng giết chết các sán thông qua cơ chế tế bào. Điều này cho thấy có sự tồn tại của một vài cơ chế miễn dịch trên dê khi nhiễm F. hepatica.
Ký sinh trùng có thể ức chế quá trình viêm tại chỗ và đáp ứng miễn dịch, nghĩa là rất hiếm tế bào T CD3+ trong các đường hầm sán di chuyển gây phản ứng viêm, thâm nhiễm. Ngoài ra, nhiễm thứ phát ở dê có thể xem như một tổn thương qua cơ chế miễn dịch ở gan, vì một thâm nhiễm rất nặng của các tế bào miễn dịch sẽ được thay thế một vùng rộng lớn của nhu mô gan và tổn thương qua trung gian miễn dịch cũng có thể xảy ra.
Thiếu máu liên quan đến nhiễm sán lá gan lớn mạn tính
Đây là một nghiên cứu do nhóm tác giả M.A. Valero, N. Gironès, M.A. García-Bodelón, M.V. Periago, I. Chico-Calero, M. Khoubbane, M. Fresno và S. Mas-Coma tại khoa Dược và Ký sinh trùng, đại học Valencia, Tây Ban Nha và Trung tâm sinh học phân tử Severo Ochoa, CSIC-UAM, Cantoblanco, 28049 Madrid, Tây Ban Nha đồng tiến hành. Kết quả cho thấy mối liên quan giữa thiếu máu sinh ra do sán lá gan lớn và các yếu tố liên quan được xác định trên một mô hình thyực nghiệm chuột. Các thông số huyết học được phân tíchtrên những con chuột Wistar tại thời điểm sau 20 tuần và 60 tuần kể từ khi nhiễm. Các sỏi nhỏ có hạt sỏi pigment và mẫu mật thu thập. Nồng độ IgG1, IgG2a và IgE trong huyết thanh được xác định trong các mẫu máu lấy trên chuột. Nồng độ Cytokine có liên quan với các thông số huyết học.
Sàng lọc cho các trường hợp xuất huyết tiêu hóa cũng được tiến hành, cấy dịch mật tìm vi khuẩn cho biết vi khuẩn còn sống trong 53.8%số mẫu tại thời điểm tuần 60 sau nhiễm. Kết quả chỉ ra rằng loại thiếu máu có thể là một chỉ điểm sinh học trong bệnh sán lá gan mạn tính, thay đổi từ thiếu máu hồng cầu bình thường (normocytic) đến thiếu máu hồng cầu to (macrocytic) ở giai đoạn đầu của mạn tính (thời điểm 20 tuần sau gây nhiễm thực nghiệm) và thiếu máu hồng cầu nhỏ (microcytic) trong giai đoạn mạn tính tiến triển (advanced chronic period), thời điểm 60 tuần sau khi nhiễm.
Tương tự như vậy, thay đổi từ thiếu máu sắt bình thường (normochromic) trong giai đoạn đầu của mạn tính đến thiếu máu nhược sắc (hypochromic) trong giai đoạn muộn của mạn tính. Phân tích đa biến cho thấy mối liên quan giữa thiếu máu và các yếu tố sau: lượng sán, mật độ trứng trên một gam phân (epg), vùng nhiễm ký sinh trùng, xuất hiện máu trong phân, IgG1 và lượng bạch cầu eosin và % trọng lượng lách. Trong số tất cả biến được phân tích, lượng sán là một trong những yếu tố nguy cơ cao nhất gây thiếu máu trong nghiên cứu này, thậm chính vượt qua ngưỡng của thông số máu trong phân.
Diễn tiến thiếu máu dường như phức tạp và có thể liên quan đến nhiều cơ chế. Tuy nhiên, cơ chế thiếu máu do sán lá gan lớn đến nay vẫn chưa thể giải thích được một cách đầy đủ. Tăng bù hồng cầu và liên tục mất lượng sắt dự trữ do hoạt động hút máu cũng như tán huyết do sán lá gan lớn gây ra cũng không rõ ràng (nhiều bệnh nhân có và nhiều bệnh nhân không thấy). Do vậy, vấn đề thiếu máu nên bổ sung thêm các yếu tố sau: tan máu, tan hồng cầu, tác động chung của phản ứng viêm trên cơ chế sinh hồng cầu, đồng nhiễm với loại ký sinh trùng khác hoặc vi khuẩn khác và có thể bất thường về hấp thu chất dinh dưỡng trước khi mắc bệnh hay trước khi nhiễm sán. Các phép toán ngoại suy cũng được bàn luận trong nghiên cứu này.
Kết quả trên mô hình loài gặm nhấm dẫn đến nguy cơ cao thiếu máu trên những đối tượng mà nhiễm sán cao ở người trong các vùng lưu hành nặng sán lá gan lớn.
Ký sinh tại hệ gan mật bởi sán lá gan lớn, sán lá gan nhỏ: nhiều vấn đề còn bỏ ngõ !
Các tác giả Marcos, Luis A; Terashima, Angelica; Gotuzzo, Eduardo vừa nghiên cứu và tổng hợp số liệu về các bệnh sán lá ở đường mật, đăng tải trên tạp chí Current Opinion in Infectious Diseases, tháng 10. 2008. Bài cập nhật cũng nhấn mạnh các vấn đề liên quan đến Fasciola, Opisthorchis, Clonorchis là các vấn đề y tế công cộng tại châu Á, châu Âu, châu Phi và châu Mỹ Latin. Nội dung tập trung vào các kiến thức hiện tại về khía cạnh lâm sàng, chẩn đoán và điều trị các bệnh lý gây ra do các sán lá đường mật tại các vùng lưu hành bệnh.
Các thử nghiệm gần đây cho biết các yếu tố nguy cơ đặc biệt và các vùng địa lý cho các loại sán này cũng đã được ghi nhận nhiễm nặng thời gian gần đây, hàng triệu người trên thế giới bị nhiễm. Các ca ở người trong các vùng không lưu hành bệnh có liên quan đến di dân và du lịch cũng như giao thương trao đổi thực phẩm quốc tế (rau và cá). Chẩn đoán hình ảnh bào gồm các vết do sán di chuyển trong giai đoạn cấp trong pha ở nhu mô gan.
Một số thử nghiệm huyết thanh chẩn đoán trong thời gian gần đây sẵn có đã giúp chúng ta phát hiện sớm và giảm nhiều biến chứng đáng tiếc của sán như viêm đường mật tái phát, viêm túi mật, khối u ở gan, các nang gan, tạo các nốt canxi, tạo sỏi mật, sỏi đường mật, viêm tụy và quan trọng nhất chính là ung thư biểu mô đường mật liên quan đến Opisthorchis viverrini và có thể Clonorchis sinensis, hoặc xơ gan liên quan đến Fasciola hepatica hoặc Fasciola gigantica.
Vấn đề thuốc ngừa thai đường uống (Oral contraception) và bệnh sán lá gan
Các tác giả Chulacharit E, Petchakit V, Rosenfield AG nghiên cứu về liên quan giữa thuốc tránh thai đường uống với các bệnh sán lá tại gan, bài báo được đăng trên tạp chí Sản phụ khoa của Anh. Nghiên cứu nhằm xác định liệu chăng thuốc tránh thai đường uống có bị chống chỉ định trong bệnh sán lá gan hay không, 3 nhóm phụ nữ với 40 người/ mỗi nhóm (tuổi 15-45) được đưa vàonghiên cứu tại bệnh viện tỉnh Udorn, Thái Lan. Nhóm nghiên cứu bao gồm các phụ nữ dùng thuốc tránh thai mắc bệnh sán lá gan (qua xét nghiệm phân). Nhóm chứng thứ nhất cũng bị sán lá gan (XN phân), chọn là IUD, trong khi nhóm chứng 2 (âm tính khi XN phân) và có uống thuốc tránh thai. Ethynodiol diacetate 1 mg với Mestranol 7 mg là viên phối hợp sử dụng, nhưng một số bệnh nhân đã thay đổi thành phần Norgesterol.5mg và Ethinyl estradiol 05mg.
Thời gian theo dõi các đối tượng trong 3 nhóm trong vòng một năm. Các xét nghiệm chức năng gan được tiến hành trước khi dùng thuốc ngừa thai hoặc IUD và rồi làm lại sau 1 năm theo dõi. Trong tất cả 3 nhóm trị số men trung bình trong huyết thanh (SGOT + SGPT) vẫn không có gì thay đổi trước và sau khi điều trị. Các thông số alkaline phosphatase, thymol turbidity, bilirubine, protein toàn phần, tỷ số albumin-globulin, cholesterol cũng không thay đổi trước và sau khi điều trị trong bất kỳ nhóm nào. Nhưng, trên các phụ nữ sử dụng thuốc tránh thai đường uống qua theo dõi một năm, cả có bệnh sán lá gan hoặc không đều có tăng lượng bromsulphthalein tồn lưu. Do vậy, việc sử dụng thuốc ngừa thai đường uống ở phụ nữ bị bệnh sán lá gan là an toàn và không làm tăng thêm tổn thương gan.
Nói tóm lại, tổn thương và thay đổi các cấu trúc bệnh học trên hệ thống gan mật do các loài sán lá gan (cả sán lá gan lớn và sán lá gan nhỏ) thường dẫn đến nhiều hậu quả khác nhau, từ nhẹ đến nặng nhiêm viêm đường mật, viêm túi mật, viêm xơ gan, sỏi mật và đường mật, thậm chí có thể gây ung thư biểu mô đường mật do sán lá gan nhỏ. Xuất huyết, chảy máu đường mật, tắc mật ứ mật do sán kẹt, viêm tụy cấp, viêm xơ đường mật, thủng loét là các biến chứng hiếm gặp hơn trong các bệnh do sán lá gây ra tại các quốc gia nằm trong vùng nhiệt đới và cận nhiệt đới. Thiếu máu là dấu hiệu hay gặp trên lâm sàng, nhất là bệnh diễn tiến mạn tính và kéo dài không đièu trị triệt để và bệnh nhân sống trong vùng lưu hành với tỷ lệ nhiễm và cường độ nhiễm cao.