Viêm não, một tình trạng viêm của nhu mô não, biểu hiện bằng sự rối loạn chức năng thần kinh-tâm thần khu trú hoặc lan tỏa. Trên phương diện dịch tễ học cũng như sinh lý bệnh, viêm não được phân biệt với viêm màng não thông qua khám xét lâm sàng và cận lâm sàng mặc dù hai thể bệnh này điều có những triệu chứng của tình trạng viêm màng não như sợ ánh sáng, nhức đầu hay cứng cổ. Viêm não hiểu theo nghĩa đen thì đó là “tình trạng viêm của não”, nghĩa là có thể do nhiều nguyên nhân khác nhau, tuy nhiên thuật ngữ viêm não thường được hiểu là tình trạng viêm não gâynên do virus. Đây là một tình trạng bệnh lý nặng nề đe dọa tính mạng bệnh nhân.
Trên thực hành lâm sàng và điều trị trong thời gian gần đây, nhiều bệnh nhân nhập viện với hình ảnh chụp trên não bộ (CT-scanner và MRI) cho thấy có thể nhầm lẫn bệnh lý giống viêm não do ký sinh trùng như ấu trùng sán dây lợn, ấu trùng giun đầu gai, ấu trùng giun đũa chó có thể bị chẩn đoán nhầm. Nhân đây chúng tôi xin tổng hợp các thông tin về viêm não gồm cả hình thái lâm sàng và chẩn đoán hình ảnh của viêm não do virus herpes từ các bài viết của các đồng nghiệp.
Viêm não có thể biểu hiện dưới hai thể khác nhau: thể tiên phát và thể thứ phát. Viêm não tiên phát thường nặng nề hơn trong khi viêm não thứ phát thường gặp hơn. Tuy nhiên do thể thứ phát thường nhẹ nhàng hơn nên trong số các trường hợp nhập viện, viêm não tiên phát chiếm đa số. Về nguyên nhân của viêm não, thường gặp nhất là nhiễm virus như herpes virus; do Arbovirus lây truyền do muỗi, bét hoặc các côn trùng khác truyền; bệnh dại gây nên do vết cắn của một số động vật nhiễm bệnh như chó, mèo. Viêm não có hai thể phân theo phương thức virus sử dụng gây nhiễm trùng ở hệ thần kinh trung ương:
·Viêm não tiên phát: Viêm não này xuất hiện khi virus trực tiếp tấn công não và tủy sống (tủy gai). Thể viêm não này có thể xuất hiện vào bất cứ thời gian nào trong năm (sporadic encephalitis) hoặc có thể xuất hiện theo mùa đôi khi thành dịch (epidemic encephalitis).
·Viêm não thứ phát: Viêm não sau nhiễm trùng, hình thức viêm não này xuất hiện khi virus gây bệnh ở một số cơ quan khác bên ngoài hệ TKTU và sau đó mới ảnh hưởng đến hệnày.
Tương tự, các bệnh lý nhiễm khuẩn cũng đôi khi gây nên viêm não như bệnh Lyme hoặc một số nhiễm ký sinh trùng cũng có thể gây viêm não như trong trường hợp Toxoplasma (ở những bệnh nhân suy giảm miễn dịch) và thậm chí cả giun nữa. Sau đây là một số nguyên nhân gây viêm não thường gặp:
Nguyên nhân do các Arbovirus
Virus này được lây truyền thông qua muỗi và bét là những động vật chân đốt (arthropod) nên có tên là arbovirus (Arthropod-borne virus). Các virus này là nguyên nhân thường gặp nhất của viêm não dịch tễ. Trong những năm gần đây, viêm não dịch tễ chiếm số lượng bệnh viêm não cao nhất trong các công trình nghiên cứu đã được công bố. Ở Việt nam, điển hình là viêm não Nhật bản thường xuất hiện vào mùa hè khi mà lượng muỗi trong môi trường sống đạt mật độ cao nhất trong năm.
Các sinh vật truyền bệnh từ một cơ thể vật chủ này sang một vật chủ khác được gọi là vector truyền bệnh. Muỗi là một vector truyền bệnh quan trọng, đặc biệt là tryền virus từ chim và các động vật gặm nhấm sang người. Một điều đáng lưu ý là khi muỗi chích các động vật máu nóng (trong đó có người) thì trước khi hút máu chúng phải bơm nước bọt có chứa chất chống đông máu vào để thuận lợi cho quá trình hút máu. Tuy nhiên nếu muỗi này đã có chứa virus gây bệnh thì virus cũng theo nước bọt bơm vào đó để đi vào hệ tuần hoàn động vật bị hút máu.
Các loài chim sống trong khu vực có nhiều nguồn nước đứng như các ao, hồ, đầm lầy thường dễ nhiễm virus gây viêm não. Khi chim nhiễm virus viêm não, lượng virus trong máu của chúng tồn tại ở mật độ rất cao trước khi chim lành bệnh và xuất hiện miễn dịch chống bệnh. Nếu muỗi hút máu chim trong giai đoạn này thì chúng sẽ trở thành vector mang bệnh suốt đời. Chính muỗi mang virus gây bệnh này khi hút máu một con chim lành khác thì sẽ truyền virus cho chim này và rồi có thể chim này lại chuyển virus gây bệnh cho một con muỗi khác nữa. Chính nhờ quá trình này mà virus được lưu hành rộng rãi trong quần thể các loài chim.
Thông thường thì phương thức truyền virus trên đây không ảnh hưởng gì đến sức khỏe của cả muỗi và chim và cũng không gây nguy hiểm cho con người. Một phần là do muỗi thường chỉ thích hút máu các loài chim và các động vật có vú nhỏ. Người chỉ là một lựa chọn thứ hai. Tuy nhiên trong điều kiện môi trường thay đổi như thời tiết bất thường hay thay đổi khí hậu, lượng chim nhiễm bệnh và lượng muỗi tăng lên rất nhiều. Trong những rường hợp như thế, người sẽ đứng trước nguy cơ nhiễm bệnh cao hơn. Một số các arbovirus gây viêm não được đề cập trong y văn gồm:
·Viêm não ngựa miền Đông (Eastern equine encephalitis): Như tên bệnh cho biết, viêm não này xuất hiện chủ yếu ở ngựa, ít gặp ở người và thường gặp ở khu vực miền Đông Hoa Kỳ. Bệnh có thể xảy ra quanh năm nhưng thường nhất là vào mùa hè. Virus này thường hiện diện ở các laòi chim sống trong các đầm nước ngọt. Viêm não thường nặng nề và gây tử vong. Bệnh thường xảy ra 10 ngày sau khi bị muỗi đốt.
·Viêm não ngựa miền Tây (Western equine encephalitis): Hầu hết các báo cáo về bệnh này xảy ra ở bình nguyên miền Tây Hoa Kỳ. Các loài chim sống trên các cánh đồng có hệ thống thủy lợi hoặc trên các trang tại thường nhiễm virus. Bệnh xảy ra chủ yếu ở ngựa, hiếm gặp ở người. Thường cao điểm vào tháng 6 và 7. Bệnh nhẹ hơn người chị em của nó ở miền Đông tuy nhiên trẻ nhỏ mắc bệnh sẽ biểu hiện nặng nề.
·Viêm não St. Louis (St. Louis encephalitis): Bệnh này cùng từ chim lan sang muỗi. Người già mắc bệnh nặng hơn. Tỷ lệ tử vong khoảng từ 2 đến 20%.
·Viêm não La Crosse (La Crosse encephalitis): La Crosse là nơi phát hiện viêm não này lần đầu tiên vào năm 1963. Bệnh thường gặp ở trẻ em.
·Viêm não Tây sông Nile (West Nile encephalitis). Bệnh lưu hành ở châu Phi, Trung Đông, một phần châu Âu, Nga, Ấn độ và Indonesia. Bệnh phát hiện ở Mỹ lần đầu tiên vào năm 1999. Cũng giống như các arbovirus khác, virus gây viêm não Tây sông Nile có ổ chứa là chim và vector truyền bệnh là muỗi tuy nhiên trong một số hiếm trường hợp, bệnh lây truyền qua truyền máu hay ghép tạng hay cho bú. Bệnh thường nhẹ nhưng cũng có thể trầm trọng nếu bệnh nhân bị suy giảm miễn dịch.
Viêm não do virus Herpes
Một số virus thuộc họ này thường gây bệnh lý thông thường thì cũng có thể gây viêm não:
·Virus herpes simplex: Có hai type herpes simplex virus (HSV) là HSV type 1 và HSV type 2. HSV type 1 thường gây bệnh ở miệng tạo thành các vết loét rất đau hoặc các mụn rộp xung quanh miệng (dân gian hay gọi là chứng nhiệt). HSV type 2 thường gây bệnh ở cơ quan sinh dục. HSV-1 gây viêm não tản phát. Phụ nữ mang thai nhiễm HSV đường sinh dục có thể truyền virus cho con lúc sinh gây nên bệnh cảnh viêm não cực kỳ nặng nề với tỉ lệ tử vong rất cao.
·Virus varicella-zoster: Virus này gây nên bệnh thủy đậu (bệnh xuất hiện trong nhiễm trùng tiên phát) và bệnh dời leo (do sự tái hoạt động của virus trong cơ thể). Virus này có thê gây nên viêm não và có thể đưa đến tử vong.
·Virus Epstein-Barr: Virus này gây nên chứng tăng bạch cầu đơn nhân nhiễm trùng (infectious mononucleosis). Virus có thể gây viêm não và thường nhẹ tuy nhiên trong một số trường hợp có thể đưa đến tử vong.
Viêm não do virut Herpes xảy ra quanh năm nhưng bệnh thường gặp vào mùa xuân - hè, ở người trên 40 tuổi (chiếm 46,7%). Đây là một bệnh có diễn biến nặng nếu không được phát hiện và điều trị đặc hiệu sớm, tỷ lệ tử vong của bệnh có thể lên tới 70% và số sống sót thì di chứng thần kinh khoảng 2,5%.
Trường hợp bệnh nhân điển hình
Trước nhập viện 5 ngày, anh Nguyễn Trần T. (ở Hoàng Mai - Hà Nội) thấy người mệt mỏi, sốt cao kèm theo đau đầu, sau đó xuất hiện co giật toàn thân. Tuy nhiên, anh vẫn tỉnh táo, cơn giật kéo dài khoảng 2 phút, anh được người nhà đưa vào Bệnh viện 103 và được chẩn đoán sốt virut. Sau mấy ngày nằm viện, thấy bệnh tình kéo dài và cho rằng không nguy hiểm nên anh đã xin về nhà. 1 ngày sau đó, anh vẫn sốt cao 39 – 400 và xuất hiện ý thức u ám lơ mơ… Thấy vậy, gia đình đưa anh vào Bệnh viện Bệnh nhiệt đới TƯ. Tại đây, các bác sĩ khám nghi ngờ anh bị viêm não. Anh được chỉ định chụp cộng hưởng từ sọ não, phát hiện có tổn thương thùy đảo - thái dương bên trái, xét nghiệm dịch não tủy có PCR herpes dương tính. Các chuyên gia cho biết, có nhiều người bị chẩn đoán nhầm là cảm sốt nhưng thực tế là bị nhiễm virut gây viêm não…Hơn 1 tháng điều trị tích cực, bệnh nhân đã được xuất viện. Đây là một trong những trường hợp may mắn được Bệnh viện Bệnh Nhiệt đới TU phát hiện sớm và điều trị kịp thời.
Diễn biến âm thầm…
BS. Vũ Minh Điền - Bệnh viện Bệnh nhiệt đới TƯ cho biết: Nhóm virut herpes có đặc tính lây nhiễm một cách âm thầm, tiềm ẩn trong cơ thể người và sau đó phát triển thành bệnh khi cơ thể bị suy giảm sức đề kháng. Sau khi xâm nhập vào cơ thể (dù có biểu hiện lâm sàng hay không), virut vẫn tồn tại trong cơ thể ở dạng tiềm tàng, người nhiễm virut sẽ mang virut suốt đời. Hệ thống miễn dịch của vật chủ được kích thích sẽ hạn chế sự nhân lên và lan truyền của virut. Virut có thể tránh hệ thống miễn dịch bằng cách theo các dây thần kinh đến ẩn nấp ở các hạch thần kinh.
Chẳng hạn virut herpes simplex typ 1 (HVS 1) ẩn nấp ở hạch thần kinh sinh ba và hạch cạnh sống cổ, virut herpes simplex týp 2 (HSV 2) ẩn nấp ở hạch cạnh sống cùng). Khi gặp điều kiện thuận lợi, virut sẽ nhân lên, lan truyền và gây bệnh ở hệ thống da – niêm mạc hoặc ở hệ thống thần kinh trung ương. Thông thường, virut nhân lên bên ngoài hệ thống thần kinh trung ương và đi theo các dây thần kinh như dây thần kinh khứu giác.
Sau đó, virut xâm nhập tế bào thần kinh gây nên rối loạn chức năng tế bào, sung huyết quanh mao mạch, xuất huyết và đáp ứng viêm lan tỏa ảnh hưởng đến chất xám và chất trắng, tuy nhiên, chất xám bị ảnh hưởng nặng nề hơn. Bệnh lý não khu trú là hậu quả của tổn thương một vùng não nào đó do virut có ái tính cao với vùng này.
Dễ chẩn đoán nhầm
BS. Vũ Minh Điền cho biết, do bệnh có các triệu chứng dễ nhầm với các bệnh cảm sốt thông thường và sốt virut (như trường hợp của bệnh nhân Nguyễn Trần T.) nên bệnh thường phát hiện muộn dẫn đến việc điều trị rất tốn kém. Triệu chứng lâm sàng của viêm não do virut herpes có thể diễn biến cấp tính hoặc từ từ tùy giai đoạn. Ở giai đoạn khởi phát, bệnh nhân có biểu hiện sốt là phổ biến, sốt xảy ra đột ngột, liên tục 39 - 40oC nhưng cũng có khi sốt không cao; Nhức đầu, buồn nôn, nôn. Ngoài ra, bệnh nhân có thể có các triệu chứng khác như: ho, chảy nước mũi. Nếu không được phát hiện và điều trị kịp thời, bệnh nhân sẽ có các biểu hiện thần kinh như: Rối loạn tri giác (ngủ gà, li bì, lơ mơ đến hôn mê); Thường có co giật; Các dấu hiệu thần kinh khu trú (liệt nửa người hoặc tứ chi), thậm chí suy hô hấp, phù phổi cấp, suy tim hoặc sốc...
… Nhiều di chứng
Theo các nhà chuyên môn, viêm não herpes có thể do cơ chế nhiễm trùng tiên phát. Người bệnh bị nhiễm HSV 1 khởi đầu từ họng – mũi, rồi xâm nhập đến vùng hành khứu, đến thùy thái dương trong, thùy trán và thùy ổ mắt. Xét nghiệm máu lúc đầu không có kháng thể kháng HSV 1 hoặc có thể do cơ chế nhiễm trùng thứ phát sau tái hoạt hóa, nghĩa là người bệnh nhiễm HSV 1 từ hầu họng rồi lan đến hạch thần kinh sinh ba, hạch cổ hoặc hạch cạnh sống và tiềm ẩn ở đó. Sau đó, virut tái hoạt hóa, lan ra mặt gây herpes môi, lan lên hố sọ giữa và trước gây viêm não herpes. Xét nghiệm lúc đầu có kháng thể kháng HSV 1.
Theo ước tính, trên thế giới có tới 90% người đã từng bị nhiễm virut herpes và gần như tất cả mọi người đều bị nhiễm virut herpes sau 40 tuổi. Virut herpes lây truyền qua tiếp xúc trực tiếp với vùng da hoặc niêm mạc bị tổn thương nhưng cũng có thể lây khi tiếp xúc với người mang virut không có triệu chứng qua dịch tiết (nước mũi, nước bọt, dịch tiết đường sinh dục…), vào máu và đến khu trú ở các hạch thần kinh.
Hiện nay, có 8 loại virut herpes gây bệnh cho người đã được xác định như: virut herpes simplex typ 1 (HSV 1); virut herpes simplex typ 2 (HSV 2); virut varicella-zoster (VZV - HHV 3); cytomegalovirus (CMV); virut human herpes typ 6 (HHV 6), virut human herpes typ 7 (HHV)... trong đó typ 1, 2 dễ gây viêm não nhất.
Tuy nhiên, HSV 1 là nguyên nhân chính gây viêm não herpes (96%) và cũng thường gây tổn thương niêm mạc miệng. Viêm não do HSV 1 thường xảy ra tản phát quanh năm và có thể gặp ở bất kỳ tuổi nào, tuy nhiên, đỉnh cao là dưới 20 và trên 40 tuổi. HSV 2 thường gây tổn thương ở bộ phận sinh dục và viêm não ở trẻ sơ sinh. Viêm não do HSV được xem là nguyên nhân thường gặp nhất của các trường hợp viêm não lẻ tẻ có gây tử vong. Trên 70% bệnh nhân không điều trị đặc hiệu bị tử vong. Ở những trường hợp được cứu sống nhưng sẽ vẫn còn rối loạn tâm thần và tổn thương thần kinh kéo dài. Di chứng thường gặp là có những động tác bất thường, yếu liệt chi, gồng vặn người từng cơn, tăng tiết nước bọt, vã mồ hôi, nói khó hoặc không nói, không viết được, rối loạn chức năng trí tuệ…
Do vậy, BS. Điền khuyến cáo: khi có những dấu hiệu bất thường như: đột ngột sốt cao, nhức đầu, buồn nôn…, người bệnh không được tự điều trị mà cần đến cơ sở y tế để khám và chẩn đoán sớm, điều trị kịp thời, tránh để lại hậu quả đáng tiếc.
Viêm não cấp do Herpes simplex (HSE) ở người lớn
·Đặc trưng bởi viêm não hoại tử khu trú cấp tính với việm và phù mô não.
·Là viêm não đơn phát cấp tính thường gặp nhất ở Mỹ.
·2000 trường hợp VN mỗi năm, khoảng 106 dân (Infectious diseases of the nervous system. Oxford: Butterworth-Heinemann, 2000:445–80).
·Bệnh có thể gặp ở bất kỳ tuổi nào, tuy nhiên đỉnh cao là dưới 20 và trên 40 tuổi. Kiểu phân bố 2 đỉnh theo tuổi này có thể phản ánh nhiễm trùng nguyên phát ở nhóm người trẻ và tái hoạt hoá HSV tiềm ẩn ở nhóm người lớn tuổi.
·Bệnh có thể gặp bất kỳ mùa nào cũng như bất kỳ nơi nào trên thế giới.
·HSE hầu hết là do HSV-1 (96%). Đây cũng là tác nhân thường gây tổn thương niêm mạc miệng. Tuy nhiên hiếm khi HSV-1 gây tổn thương não và niêm mạc miệng cùng lúc.
·Tỉ lệ tử vong lên đến 70% nếu không điều trị đặc hiệu (N Engl J Med 1977; 297:289–94). 97% số người sống có di chứng. Đây là tác nhân gây viêm não có dự hậu rất xấu. Sinh bệnh học theo hai cơ chế
| Nhiễm trùng tiên phát | Nhiễm trùng thứ phát sau tái hoạt hoá |
Tuổi | Trẻ em và người trẻ | lớn |
Tỉ lệ mắc | 1/3 | 2/3 |
Cơ chế (giả thuyết) | Nhiễm HSV-1 khởi đầu từ hầu họng-mũi, rồi xâm nhiễm đến hành khứu, đến thuỳ thái dương trong và thuỳ trán-ổ mắt | Nhiễm HSV-1 từ hầu họng rồi lan đến hạch cảm giác sinh ba và tiềm ẩn ở đó. Sau đó, virus tái hoạt hoá lan ra mặt gây Herpes môi, lan lên hố sọ giữa và trước gây HSE |
Bằng chứng nhiễm HSV trước đó (HSV antibody) | (-) | (+) |
Ý nghĩa lâm sàng, chẩn đoán, điều trị và tiên lượng | Giống nhau |
Lâm sàng
Giống các loại viêm não khác: Tiến triển vài ngày với sốt, đau đầu, co giật, lú lẫn, lơ mơ, hôn mê.
Khởi đầu thường xuất hiện các triệu chứng gợi ý tổn thương phần dưới-trong của thuỳ trán và thuỳ thái dương: Ảo giác khứu giác, vị giác, asomia, động kinh thái dương, rối loạn nhân cách, hành vi, hoặc sảng, mất ngôn ngữ trước khi tiến triển nặng đến mất ý thức.
Đây là đặc điểm gợi ý chứ không đặc hiệu cho HSE. Trong một nghiên cứu, 24% Viêm não khu trú là do HSE, tuy nhiên không có viêm não lan toả nào là do HSE.
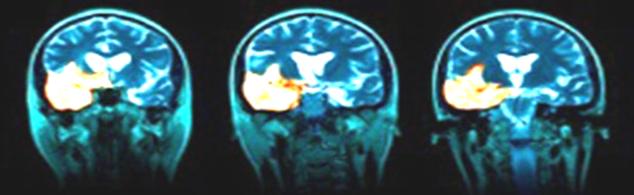
Hình ảnh học
Thực hiện đầu tiên khi nghi ngờ viêm não.
Cung cấp thông tin đánh giá nhiễm trùng hệ thần kinh TW nhưng thường không đặc hiệu. Phát hiện sau khởi phát triệu chứng 2-4 ngày.
MRI nhạy hơn CT trong việc phát hiện sớm những sang thương trên não do HSE (Neurologist 2000;6:145–59.)
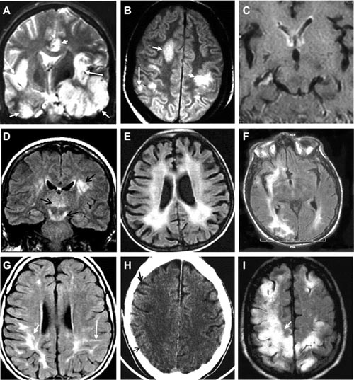
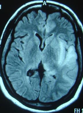
Tổn thương gợi ý chẩn đoán: T1 giảm và T2 tăng ở chất xám thuỳ thái dương trong và thuỳ trán ổ mắt, có thể có xuất huyết kèm theo, thường không đối xứng. Ngoài ra tổn thương có thể lan đến thuỳ đảo và hồi góc, có thể bắt Gado màng não và các hồi não.
MRI bình thường trong khoảng 10% BN HSV-PCR (+). Nhưng số còn lại đều có tổn thương thuỳ thái dương (90%)
Dịch não tủy
Nên luôn luôn thực hiện sau hình ảnh học để loại trừ khả năng phù não có thể gây tụt não.
Giống các loại viêm não khác:
Bạch cầu: tăng (10-200/mm3; hiếm khi >500/mm3), đa số Lymphocyte. Trong giai đoạn sớm có thể Neutrophil ưu thế. 3-5% trường hợp DNT bình thường trong ngày đầu của bệnh, khí đó cần hực hiện lần 2 để xác định chẩn đoán.
Hồng cầu: có thể gặp, kèm tặng billirubin-DNT do tiến triển xuất huyết của tổn thương não, tuy nhiên ít có giá trị để chẩn đoán phân biệt với các loại viêm não khác.
Đạm: tăng, thường 60-700mg% (80%), >800mg% rất hiếm
Đường: bình thường. Đôi khi, Đường-DNT giảm <40mg%, dễ nhầm với viêm màng não lao, nấm.
Điện não đồ
Có ý nghĩa hạn chế.
Gợi ý nhiều HSE khi có sự hiện diện hoạt động sóng chậm không đặc hiệu trong 5-7 ngày đầu của bệnh, tiếp theo sau là sóng nhọn kịch phát hoặc phức hợẳc pha ưu thế ở các điện cực thái dương. Vài BN có biểu hiện phóng điện dạng động kinh bên từng đợt (PLEDs) 2-3Hz ở thuỳ thái dương.
·Gặp khoảng 80% bệnh nhân HSE
·Thường thấy ở ngày thứ 2-14 của bệnh
·Tuy nhiên, EEG không đặc hiệu cho HSE
Xác định trực tiếp HSV
Sinh thiết não (STN)
·Trước những năm 90, STN là tiêu chuẩn vàng cho chẩn đoán vì độ nhạy và đặc hiệu rất cao (lần lượt 95% và 99%)
·Tuy nhiên, hiện ít được sử dụng vì là test xâm lấn và sự có sẳn của kỹ thuật PCR. Ngày nay, sinh thiết não và cấy virus chỉ dành cho những trường hợp khó chẩn đoán hoặc hiếm.
Cấy tìm HSV trong DNT: tỉ lệ (+) thấp (< 5%)
Kỹ thuật xác định HSV-DNA thông qua PCR trong dịch não tủy
Hiện được xem là tiêu chuẩn vàng cho chẩn đoán viêm não
Giúp chẩn đoán viêm não HSV trong vài ngày đầu của bệnh.
·Độ nhạy: 98%
·Độ đặc hiệu: 94-99%
·Giá trị dự đoán (+): 95%
·Giá trị dự đoán (-): 98%.
HSV-PCR có thể âm tính giả khi thử trong vòng 1-3 ngày sau khởi bệnh, hoặc sau điều trị acyclovir 10-14 ngày. Vì thế, PCR (-) cũng chưa loại trừ chẩn đoán mà chỉ làm giảm khả năng chẩn đoán. Do đó cũng cần tìm kháng thể đặc hiệu HSV trong DNT vì hầu hết các trường hợp kháng thể dương tíng sau 2 tuần khởi bệnh.
HSV-PCR định lượng: có ý nghĩa tiên lượng HSE. Tử suất và bệnh xuất cao hơn ở nhóm > 100 HSV-DNA copies/mm3 DNT.
Xác định kháng thể đặc hiệu HSV
·Đây là xét nghiệm cần làm cùng lúc với kỹ thuật PCR.
·Thường sau khởi bệnh >1 tuần mới định lượng được, do đó không có ý nghĩa trong chẩn đoán sớm HSE chỉ có ý nghĩa chẩn đoán hồi cứu hoặc trường hợp bệnh nhân đến trễ và PCR âm tính.
·Có thể có phản ứng chéo với các virus khác nên độ đặc hiệu và độ nhạy thấp (# 80%).
Có 2 cách Xác định kháng thể
·Tính chỉ số HSV-IgG của DNT/Hthanh
·Hiệu giá kháng thể HSV-IgG
Chẩn đoán xác định khi:
·IgM (+) trong DNT (Burke et al., 1985).
·Hoặc tỉ số IgG DNT/HT >20 hoặc hiệu giá kháng thể IgG đặc hiệu trong DNT tăng ≥ 3 lần sau 2 tuần và không có hiện diện của các kháng thể khác.
Chẩn đoán có khả năng khi:
·Có sự chuyển dạng huyết thanh hoặc hiệu giá nồng độ kháng thể IgG đặc hiệu trong huyết thanh tăng ≥ 3lần.
·Hoặc chỉ có HSV-IgM (+) trong huyết thanh mà không có các loại khác.
·Hoặc có sự hiện diện của Herpes da đi kèm triệu chứng thần kinh mà không có bằng chứng của các tác nhân khác.
Ít có giá trị chẩn đoán:
·Phân lập virus trong phân, nước tiểu, họng, máu cũng như huyết thanh học như chuyển dạng huyết thanh cũng như IgM huyết thanh ít có giá trị.
·Đo kháng thể HSV-IgG trong huyết thanh không có giá trị cho chẩn đoán HSE cấp. Tuy nhiên, ở trẻ em và người trẻ, chúng giúp phân biệt nhiễm HSV tiên phát hay tái hoạt. (Herpes 2004)
Chẩn đoán
·Đầu tiên là nghi ngờ trên lâm sàng
·Hỗ trợ chẩn đoán bằng DNT, hình ảnh học, EEG
·Xác định chẩn đoán bằng PCR của HSV-DNA hoặc kháng thể đặc hiệu.
·Nếu HSV-PCR trong DNT (-) và các yếu tố khác (Lâm sàng, DNT, hình ảnh, EEG) đều bình thường hết thì khả năng HSE là rất thấp (<1%)
·Nếu HSV-PCR trong DNT (-) mà các yếu tố khác (Lâm sàng, DNT, hình ảnh, EEG) đều gợi ý HSE thì khả năng HSE là # 5%. Do đó vẫn không loại trừ hoàn toàn HSE.
· Tóm lại, việc chẩn đoán xác định bằng CLS không đủ để làm giảm tử suất do HSV, mà quan trọng nhất là khởi đầu điều trị Acyclovir giúp giảm tử suất từ 70% xuống còn 6-19%. Thật vậy, điều trị sớm acyclovir trong những trường hợp nghi HSE (không đợi chẩn đoán xác định) nhằm cải thiện tiên lượng, nhưng lại tạo ra việc điều trị quá mức những BN viêm não không do HSV, cũng như không quan tâm đúng mức đến những nguyên nhân khác có thể trị được.
Điều trị đặc hiệu
Vì chỉ định sớm thuốc kháng virus ACYCLOVIR làm giảm đáng kể bệnh suất và tử suất ở bệnh nhân HSE nên điều trị kháng HSV được khởi đầu ngay khi nghi ngờ viêm não Herpes dựa vào lâm sàng, DNT và hình ảnh học phù hợp trong khi đợi kết quả huyết thanh học và PCR.
Liều dùng:
Liều chuẩn Acyclovir 10mg/kg IV mỗi 8 giờ x 14-21 ngày. Trong những trường hợp nặng, suy giảm miễn dịch, thời gian điều trị có thể dài hơn 21 ngày.
Vài tác giả đề nghị dung acyclovir IV liều cao cho BN HSE cấp. Liều là 15-20mg/kg mỗi 8 giờ. Chưa có thử nghiệm nào so sánh liều này với liều chuẩn ở người lớn. Chỉ có một nghiên cứu sử dụng liều cao ở sơ sinh và gợi ý là an toàn. Tuy nhiên, tác dụng phụ độc thận sẽ cao hơn khi dung cho người lớn.
Chống chỉ định:
Mối quan tâm hang đầu khi dùng Acyclovir là độc thận, do đó bù dịch trước truyền acyclovir là rất quan trọng. Tốc độ truyền tuỳ từng BN, nhưng không nên truyền quá nhanh < 1giờ. Ở những BN suy thận, cần điều chỉnh liều theo độ lộc cầu thận. Tuỳ trường hợp có thể ngưng tạm thời, tuy nhiên vì bệnh có thể đe doạ tính mạng, việc dùng lại và điều chỉnh liều là cần thiết.
Tránh dùng đồng thời các thuốc độc thận.
Tác dụng phụ:
Suy thận, đặc biệt dễ xảy ra ở BN thiếu nước, suy thận trước đó và truyền tốc độ nhanh.
Viêm tĩnh mạch
Bảng 2: Điều chỉnh liều acyclovir cho BN suy thận
Creatinin clearance(mm/p) | Liều đề nghị (%) | Khoảng cách liều (giờ) |
> 50 25 - 50 10 - 25 0 - 10 | 100 100 100 50 | 8 12 24 24 |
Trong trường hợp nghi ngờ HSE mà PCR/DNT (-) thì vẫn tiếp tục dùng acyclovir và thử lại PCR/DNT lần 2 trong vòng 5 ngày sau điều trị. Việc ngừng Acyclovir được xem xét khi HSV-PCR trong DNT lấy sau khởi bệnh >72giờ âm tính và các đặc điểm lâm sàng và CLS không hỗ trợ cho chẩn đoán.
Điều trị hỗ trợ
·Chống phù não.
·TALNS sớm là 1 tiên lượng xấu.
·Vai trò của Corticoides trong HSE vẫn chưa rõ ràng.
·Kiểm soát co giật.
·Chống bội nhiễm.
Tiên lượng
Theo Franck Raschilas và cs (Clinical Infectious Diseases 2002; 35:254–60), 85 BN người lớn HSE được điều trị với Acyclovir, theo dõi 6 tháng:
13 BN (15%) chết: 7 do chính HSE, 6 do biến chứng nhiễm trùng bệnh viện
17 BN (20%) tàn phế nặng
24 BN (28%) tàn phế vừa
19 BN (23%) tàn phế nhẹ
12 BN (14%) phục hồi hoàn toàn
Các yếu tố dự đoán tàn phế nặng sau điều trị Acyclovir
·Tuổi > 30
·Ý thức giảm GCS ≤ 6
·Trì hoãn điều trị Acyclovir > 4 ngày sau khởi bệnh.
·Số lượng virus trên định lượng HSV-DNA PCR
·Theo Whitley, điều trị sớm trong vòng 4 ngày sau khởi bệnh ở bệnh nhân tỉnh thì tỉ lệ sống > 90%.
Tái phát sau điều trị
·Tỉ lệ tái phát ở người lớn chưa được rõ (trẻ em 5-26%)
·Thời điểm tái phát : 1 tuần – 3 tháng sau điều trị cải thiện đợt đầu (cần chẩn đoán phân biệt với ADEM).
·Thường do dùng không đủ liều hoặc không đủ ngày.
·Điều trị lại liều chuẩn acyclovir, nói chung là có hiệu quả.
Viêm não do virus Herpes tấn công trẻ em
Mùa hè là thời điểm xuất hiện các bệnh viêm não, nhưng nguy hiểm nhất phải kể đến viêm não do virus herpes. Tại Khoa Truyền nhiễm (Bệnh viện Nhi T.Ư) từ đầu mùa hè đến nay đã điều trị cho 14 bệnh nhi nhiễm virus herpes. Một cháu đã tử vong.
Điều trị muộn, di chứng nặng
Tại khu vực cách ly của Khoa Truyền nhiễm, bệnh nhi Nguyễn Việt Nhật (6 tháng tuổi, quê huyện Thanh Liêm, tỉnh Hà Nam) nằm ly bì trên giường, tiếng thở mệt nhọc, nước da trắng xanh, mắt nhắm nghiền. Đôi lúc người mẹ cất tiếng gọi nhưng bé Nhật chỉ mở mắt nhìn vô cảm. Bác sĩ Đỗ Thị Thúy Nga, điều trị trực tiếp cho bé Nhật cho hay, bệnh nhi này là điển hình của viêm não do virus herpes, nhập viện từ 12-4 trong tình trạng sốt cao liên tục, không đáp ứng với thuốc hạ sốt, co giật, hôn mê.
Trước đó khi thấy con sốt cao, chị Hoàng Thị Út, mẹ bệnh nhi đã đưa con lên bệnh viện huyện, rồi bệnh viện tỉnh, sau cùng các bác sĩ tỉnh chuyển bé lên tuyến trung ương vì chẩn đoán viêm não nặng không rõ căn nguyên. Tại Khoa Truyền nhiễm (Bệnh viện Nhi T.Ư) xét nghiệm dịch não tủy cho thấy bệnh nhi Nhật bị viêm não do virus herpes. Sau 5 ngày điều trị tích cực bệnh nhân đã thoát khỏi hôn mê. Đến nay về cơ bản bệnh nhi đã khỏi bệnh viêm não do virus herpes, nhưng di chứng để lại khá nặng nề.
Bác sĩ Nga cho hay bé Việt Nhật mang di chứng tinh thần (có phản xạ đáp ứng với mọi người xung quanh nhưng không linh hoạt, không tương tác với người đối diện, vô cảm) và di chứng vận động với biểu hiện yếu hai chân. Hôm nay bệnh nhi Nhật được chuyển đến Bệnh viện Châm cứu T.Ư để tập phục hồi chức năng trong ít nhất là 6 tháng để có thể cải thiện tình trạng vận động hai chân. Trước đó một bệnh nhi đã tử vong do virus herpes. Nhập Bệnh viện Nhi T.Ư sau khi điều trị 2 ngày tại bệnh viện tỉnh với triệu chứng sốt cao liên tục, dùng thuốc hạ sốt vẫn không đỡ dẫn tới hôn mê, co giật nửa người bên trái. Bệnh nhi này tử vong do đến bệnh viện ở giai đoạn muộn (sau ngày thứ 5 kể từ khi khởi bệnh) của bệnh viêm não do virus herpes.
Trẻ bị viêm não virus herpes trong thời gian qua ở Bệnh viện Nhi T.Ư ở trong độ tuổi từ 6 tháng – 5 tuổi. Năm 2011 có khoảng 50 bệnh nhi bị bệnh này với 3 trường hợp tử vong. Hơn 40 bệnh nhi mặc dù được chữa khỏi bệnh nhưng nhiều trẻ chịu di chứng nặng nề như nằm yên một chỗ không biết gì, người liên tục co giật hoặc co cứng cơ.
Chưa có vaccine phòng
Bác sĩ Đỗ Thiện Hải, Phó trưởng khoa Truyền nhiễm cho biết virus herpes là một trong nhiều tác nhân gây viêm não khá phổ biến. Bệnh xảy ra rải rác, không thành dịch, thường diễn tiến nặng, gây tử vong hoặc để lại nhiều di chứng khiến trẻ khó thích nghi với cuộc sống sau này. Virus xâm nhập cơ thể con người qua đường niêm mạc mũi - hô hấp. Sau đó nó sẽ trực tiếp đến não, gây viêm não, ảnh hưởng đến toàn bộ não nhưng có khuynh hướng gây tổn thương nhiều ở vùng thuỳ trán, đặc biệt là thuỳ thái dương. Bác sĩ Hải khuyến cáo rối loạn tri giác, sốt và co giật khu trú là những dấu hiệu đầu tiên thường được ghi nhận.
Theo bác sĩ Hải, viêm não do virus herpes là bệnh chưa có vaccine phòng bệnh nên biện pháp ngừa bệnh tốt nhất vẫn là ăn uống hợp vệ sinh, giữ sạch mũi họng cho trẻ. Khi thấy trẻ có biểu hiện sốt cao, buồn nôn, nôn khan, co giật một bên tay hoặc chân, co giật nửa người cần đi khám ngay tại cơ sở y tế. Trẻ lớn thường có thêm các triệu chứng nhức đầu, thay đổi tính tình. Ngoài ra trẻ còn có những biểu hiện khác có thể gặp là nôn ói, hay quên. Khoảng 30-60% bệnh nhân không điều trị thuốc đặc hiệu sẽ diễn tiến đến tử vong. Nếu phát hiện sớm, điều trị bằng thuốc đặc hiệu ngay thì có thể cứu sống được trên 60% số trẻ mắc bệnh và tỷ lệ di chứng cũng ít hơn. Ở những trường hợp sống sót, bệnh nhân từ từ tỉnh lại, nhưng vẫn còn rối loạn tâm thần và tổn thương thần kinh kéo dài Di chứng thường gặp là có những động tác bất thường, yếu liệt chi, gồng vặn người từng cơn, tăng tiết nước bọt, vã mồ hôi, nói khó hoặc không nói được, không viết được, rối loạn chức năng trí tuệ nhiều mức độ.
Theo bác sĩ Nga, những di chứng tinh thần, vận động làm cho trẻ khó có được đời sống như những trẻ bình thường, là gánh nặng lớn cho gia đình và xã hội. Bác sĩ Nga cho biết hiện nay, viêm não do virus herpes là bệnh viêm não virus duy nhất có thuốc đặc trị, đó là acyclovir. Ngoài ra, trẻ cần được hạ nhiệt, chống co giật, phù não, điều chỉnh rối loạn nước và điện giải, dinh dưỡng đầy đủ. Vật lý trị liệu cần được tiến hành sớm khi trẻ ổn định lâm sàng hoặc khi phát hiện có di chứng. Bệnh nhân cần được tiếp tục theo dõi sau khi xuất viện để phát hiện di chứng não.
Các yếu tố nguy cơ chung trên các bệnh nhân viêm não
Muỗi không phân biệt đối tượng khác nhau trong quần thể dân cư do vậy mọi người đều có thể mắc bệnh. Tuy nhiên có một số yếu tố gọi là yếu tố nguy cơ làm cho người đó có nhiều khả năng mắc bệnh hơn. Cũng nên nhớ là không phải tất cả mọi người nhiễm virus đều mắc bệnh.
·Tuổi: Một số viêm não thường xuất hiện hơn và/hoặc nặng nề hơn ở trẻ em hoặc người già.
·Suy giảm miễn dịch: Bệnh nhân suy giảm miễn dịch do bệnh hoặc do điều trị hoặc do ghép tạng có nguy cơ cao hơn.
·Vùng địa lý: Vùng nhiệt đới thường có nguy cơ viêm não cao hơn, nhất là viêm não do các loại arbovirus.
·Các hoạt động ngoài trời: Những người có hoạt động ngoài trời nhiều như làm vườn, chăn nuôi lợn, nghiên cứu chim, nghĩa là có nguy cơ tiếp xúc nhiều với muỗi sẽ dễ bị mắc bệnh hơn.
·Mùa trong năm: Các tháng nóng ấm mùa hè là mùa sinh sản của chim và muỗi do đó các bệnh viêm não do arbovirus tăng cao hơn. Vào mùa đông xuân, viêm não do virus ruột có thể gặp nhiều hơn.
Sinh lý bệnh chung trên các bệnh nhân viêm não
Đường xâm nhập thay đổi tùy theo từng loại virus gây bệnh Có nhiều virus có thể lây truyền từ người sang người. Một số trường hợp viêm não lại do sự tái hoạt động của virus trong cơ thể như herpes simplex virus. Muỗi và các côn trùng truyền bệnh thông qua đường vào từ các vết đốt. Bệnh dại có đường vào từ các vết cắn của một số động vật. Với một số virus như varicella-zoster virus (VZV) và virus vùi hạt cự bào (cytomegalovirus: CMV) thì tình trạng suy giảm miễn dịch đóng một vai trò quan trọng trong sự phát sinh bệnh.
Thông thường thì virus nhân lên bên ngoài hệ thống thần kinh trung ương và đi vào hệ thống này hoặc bằng đường máu hoặc đi ngược theo các dây thần kinh (bệnh dại, herpes simplex virus và varicella-zoster virus) và đường khứu giác (herpes simplex virus). Nguyên nhân của các trường hợp viêm não chậm như viêm não xơ hóa bán cấp tiến triển (subacute sclerosing panencephalitis: SSPE) sau sởi, bệnh lý chất trắng đa ổ tiến triển (progressive multifocal leukoencephalopathy: PML) vẫn chưa được hiểu tường tận.
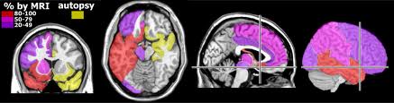
Một khi đã vượt qua được hàng rào máu-não, virus xâm nhập tế bào thần kinh gây nên rối loạn chức năng tế bào, xung huyết quanh mao mạch, xuất huyết, và đáp ứng viêm lan tỏa ảnh hưởng đến chất xám và chất trắng tuy nhiên chất xám bị ảnh hưởng nặng nề hơn. Bệnh lý não khu trú là hậu quả của tổn thương một vùng não nào đó do virus có ái tính cao với vùng này. Ví dụ herpes simplex virus thường ảnh hưởng đến thùy thái dương dưới và giữa.
Mặc dù các đặc điểm mô học là không đặc hiệu, sinh thiết não vẫn là tiêu chuẩn chính để chẩn đoán bệnh dại. Sự hiện diện của các thể Negri (Negri bodies) ở hồi hải mã (hippocampus) và tiểu não (cerebellum) là đấu hiệu chỉ điểm của bệnh. Trong viêm não do herpes simplex virus, các hạt vùi HSV Cowdry type A cùng với hiện tượng hoại tử xuất huyết thùy thái dương và thùy trán là dấu hiệu thường thấy.
Ngược lại với các bệnh lý ảnh hưởng trực tiếp đến chất xám kể trên thì các bệnh lý gây viêm não cấp lan tỏa hoặc viêm não tủy sau nhiễm trùng sau sởi, Epstein-Barr virus (EBV), và virus vùi hạt cự bào (CMV) thường là do đáp ứng miễn dịch gây nên tổn thương hủy hoại myeline đa ổ chất trắng xung quanh mạch máu.
Dấu hiệu và triệu chứng chung trên bệnh nhân viêm não
Trong những trường hợp nặng hơn bệnh nhân có thể có sốt cao và kèm theo các tiệu chứng liên quan đến tổn thương hệ thần kinh trung ương bao gồm:
·Nhức đầu dữ dội
·Buồn nôn và nôn mửa
·Cứng cổ
·Lú lẫn
·Mất định hướng
·Thay đổi nhân cách
·Co giật
·Rối loạn nghe nói
·Ảo giác
·Mất trí nhớ
·Đờ đẫn
·Hôn mê
Ở trẻ nhỏ, các dấu hiệu trên không điển hình và khó phát hiện tuy nhiên vẫn có một số dấu hiệu quan trọng giúp định hướng chẩn đoán. Các dấu hiệu này bao gồm:
·Nôn mửa
·Thóp phồng (nếu còn thóp)
·Khóc không thể dỗ nín hoặc khóc tăng lên khi trẻ được bồng lên hoặc làm thay đổi tư thế
·Gồng cứng người
Vì viêm não có thể xuất hiện sau hoặc đi kèm với các chứng nhiễm virus nên đôi khi có những triệu chứng đặc trưng của các bênh này trước khi có viêm não. Tuy vậy, viêm não thường xuất hiện mà không có triệu chứng báo trước nào cả.
Các công cụ và xét nghiệm chẩn đoán viêm não
Viêm não là một cấp cứu y khoa, do đó khi có bất cứ triệu chứng nghi ngờ nào như nêu trên thì cũng cần làm các xét nghiệm sau:
·Chọc dịch não tủy: lấy dịch não tủy để xét nghiệm tế bào-vi trùng, hóa sinh hay virus học.
·Chẩn đoán hình ảnh: như chụp cắt lớp điện toán (CT scan) hay chụp cộng hưởng từ (MRI) để phát hiện tình trạng phù nề, xuất huyết hay các bất thường khác của não
·Điện não đồ (EEG): khảo sát hoạt động điện của não nhằm phát hiện các sóng bất thường.
·Xét nghiệm máu: như công thức máu, xét nghiệm hóa sinh, xét nghiệm huyết thanh học nhằm phát hiện các kháng thể đặc hiệu chống lại bệnh hay phân lập virus.
Tiên lượng bệnh nhân viêm não
Bệnh nhân có thể hồi phục hoàn toàn không di chứng tuy nhiên trong các trường hợp khác như viêm não do herpes simplex virus, viêm não Nhật bản B, viêm não do virus ruột tình trạng tổn thương tế bào não cũng như phù não gây nên các di chứng nặng nề như suy giảm khả năng học tập, mất trí nhớ, mất khả năng kiểm soát vận động cơ, động kinh, thay đổi nhân cách… Trẻ nhỏ dưới một tuổi thường có nguy cơ bệnh nặng hơn và có thể đưa đến bại não. Trường hợp viêm não tổn thương nặng đến thân não, nơi có trung tâm hô hấp, tuần hoàn, điều nhiệt… bệnh nhân dễ tử vong.