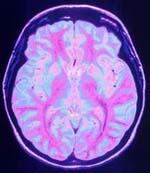
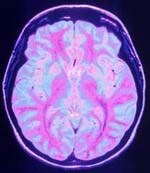
Loài sâu này được phát hiện sau khi các nhà khoa học tại Trung tâm Y Dược Phoenix và các bác sĩ tại Bệnh viện St. Joseph – Mỹ tiến hành điều trị chứng u não cho một bệnh nhân nữ. Thiết bị quét cộng hưởng từ trường MRI đã giúp các bác sĩ phát hiện thấy một vật thể lạ nằm bên trong não của cô Alvares – 37 tuổi sống tại Phoenix – Mỹ. Vật thể này giống như một khối u đang lớn dần lên trong não và gây ra đau đớn cho người bệnh. Trường hợp của Alvares, não của cô được xác định là mất chức năng kiểm soát trạng thái cân bằng của cơ thể, và khiến cho tay trái không thể cử động. Các bác sĩ đã quyết định phẫu thuật nhằm loại bỏ khối u này và bất ngờ khi nhìn thấy đó là một con sâu đã sống ký sinh trong não người bệnh.
Theo nhận định của các nhà khoa học, loại sâu này cũng giống như loài sán sống ký sinh trong đường ruột. Chúng tồn tại bằng cách hút dinh dưỡng từ các mạch máu trong não giống như cách chúng vẫn sống trong đường ruột. Nguyên nhân chúng xuất hiện trong não, được các nhà khoa học làm rõ là do bệnh nhân đã ăn phải các ấu trùng của sâu. Những ấu trùng này lọt được vào trong đường ruột, sau đó vô tình lọt vào các mạch máu và di chuyển đi khắp cơ thể, tới não, các cơ..., khi gặp điều kiện thuận lợi thì nở ra và phát triển thành loài sâu ký sinh. Nhìn chung, chúng rất nguy hiểm đối với cơ thể con người và trong phần lớn các trường hợp thì cần sớm được phẫu thuật loại bỏ.
Các bác sĩ cũng đưa ra lời khuyên để tránh gặp phải trường hợp tương tự, việc ăn thức ăn chín và đảm bảo vệ sinh chính là cách phòng vệ quan trọng nhất.