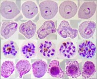
Mặc dù có tất cả bốn loại ký sinh trùng sốt rét trong máu nhưng hiện tại cậu bé vẫn khỏe mạnh. Đó là cậu bé Hunga Ram Kashyap (14 tuổi, ở rừng Darbha, Bastar, Ấn Độ) là trường hợp đầu tiên được ghi nhận ở Ấn Độ, nhiễm tất cả bốn loại ký sinh trùng sốt rét (KSTSR) trong máu - theo tin từ The Indian Express.
Hunga đã trải qua hai lần thập tử nhất sinh do bệnh sốt rét gây nên. Điều này cũng không có gì là bất thường ở vùng đất Bastar này. Vào tháng 7.2015, Viện sức khỏe NIRTH (thuộc Hội đồng Nghiên cứu Y khoa Ấn Độ) đã thành lập một phòng khám chuyên về sốt rét tại Trung tâm y tế ở làng cậu bé. Một tháng sau khi phòng khám hoạt động, cậu bé đã được đưa đến đây để khám. Các bác sĩ lấy máu của cậu làm xét nghiệm và thật bất ngờ khi phát hiện có bốn loại ký sinh trùng sốt rét trong máu. Từ đó, vào đầu tháng 8.2015, hình ảnh về bốn loại KSTSR trong máu của cậu bé đã được đưa đi báo cáo ở khắp nơi trên thế giới.
Tổ chức Y tế Thế giới (TCYTTG) cũng đã thẩm định lại thông tin này. Mặc dù trường hợp của cậu bé đã được phát hiện vào năm 2015 nhưng đến năm 2017 mới được đăng trên tạp chí Ykhoa Public Library of Sciences (PLOS của Mỹ). Trong tháng 7.2017, phóng viên The Indian Express vừa mới đến gặp cậu bé để thẩm định lại các chi tiết. Cậu bé đã khẳng định vào năm 2015 đã bị sốt rét và được phát hiện có bốn loại ký sinh trùng sốt rét trong máu.
Bác sĩ Sanjay Basak, nhân viên y tế phụ trách sốt rét ở Bastar và cũng là tác giả của bài báo đăng trên tạp chí y khoa Public Library of Sciences (PLOS của Mỹ), nói với The Indian Express rằng “Khi phát hiện bệnh nhân có bốn loại ký sinh trùng sốt rét trong máu, chúng tôi đã lập tức cho cậu bé uống thuốc và giữ lại phòng theo dõi. Thật may mắn, cậu bé đã khỏe lại sau một tuần và đã được đưa về khu nhà tập thể dành cho trẻ vô gia cư”. Đến đầu năm 2017, cậu bé lại bị sốt cao và rất yếu. Cậu bé đã được đưa vào bệnh viện ở Jagdalpur, Ấn Độ, cách xa nơi cậu ở 45 km. Khi đó, cũng giống như lần trước, cháu cảm thấy như mình sắp chết - Hunga nói với The Indian Express.
Các bác sĩ ở bệnh viện này cho biết cậu bé bị cả sốt rét và bệnh vàng da. Lần này, cậu bé cũng đã khỏe mạnh trở lại sau một tuần điều trị. M.L.Kacchi, hiệu trưởng của trường cậu đang học, cho biết: “Mỗi tuần, có một học sinh được đưa đến bệnh viện để điều trị sốt rét. Thậm chí, giáo viên ở đây cũng không tránh khỏi bệnh sốt rét”.
R.Prasanna, Giám đốc Ủy ban Sức khỏe Quốc gia ở địa phương, cho biết: Sốt rét là một gánh nặng y tế ở đây. Ngành y tế địa phương cũng đã thực hiện nhiều biện pháp để phòng chống bao gồm diệt muỗi. Hiện tại, họ đang thay đổi cách tiếp cận. Họ tăng cường tầm soát KSTSR trong người dân và tiến hành điều trị ngay cả khi người mang KSTSR này chưa có triệu chứng bệnh.
Các nhà khoa học của Đại học Tulane (Mỹ) đang phát triển một loại thuốc mới có thể “chiến đấu” chống lại những chủng KSTSR kháng thuốc với các loại thuốc đang điều trị hiện tại. Thuốc này (AQ-13) đã được thử nghiệm lâm sàng thành công trên người. Những nhà nghiên cứu đã thử nghiệm trên 66 người đàn ông ở Mali. Một nửa trong 66 người này được điều trị thuốc mới AQ-13 và số còn lại được điều trị thuốc kết hợp artemether và lumefantrine mà đang được dùng để điều trị sốt rét.
Theo những kết quả được đăng tải trên chuyên mục các bệnh truyền nhiễm của Tạp chí Lancet, chủng vi khuẩn sốt rét Plasmodium falciparum đang trở nên kháng thuốc. Thuốc mới này cần để tạo nên một hàng rào phòng thủ thứ cấp chống lại những chủng KSTSR kháng thuốc này. Thuốc này có thể “làm sạch” ký sinh trùng sốt rét trong cơ thể trong một tuần. Giáo sư Donald Krogstad của Đại học Tulane nói với Financial Express: “So với các loại thuốc đang dùng để điều trị sốt rét, thuốc mới này có hiệu quả rất tốt”.
Theo Financial Express, mỗi năm trên thế giới có hơn 200 triệu người bị sốt rét, trong đó hơn 400.000 người chết. Nhiều thập niên qua, thuốc chloroquine đã từng được dùng để điều trị sốt rét cho đến khi chủng ký sinh trùng sốt rét Plasmodium falciparum trở nên kháng thuốc. Bây giờ, một loại thuốc kết hợp giữa artemether và lumefantrine đang được dùng để điều trị sốt rét, mặc dù có một vài nước cũng bắt đầu xuất hiện tình trạng ký sinh trùng sốt rét cũng đã kháng loại thuốc này.