Một loài sán ở ruột “có thể: lan truyền ung thư ở người (Hymenolepis nana)
Một báo cáo y tế gần đây cho thấy một loài sán dây thực sự là một mối nguy hiểm mới với nền y học hiện đại bởi nguy cơ gây ung thư của chúng đã bắt đầu hiển hiện. Tuy nhiên, vẫn còn quá sớm để kết luận về mối quan hệ nhân quả này vì cần phải có nghiên cứu khoa học theo dõi một cách bài bản và số ca đủ lớn, khi đó chúng ta mới có thể kết luận dựa trên y học chứng cứ là chúng gây nên ung thư.
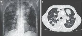
Theo CNN, giới y tế đã bắt đầu quan tâm hơn tới trường hợp ung thư hiếm có gây do bởi loài sán. Trường hợp của một người đàn ông 41 tuổi đã dấy lên những quan ngại mạnh mẽ hơn bao giờ hết về việc liệu nhiễm khuẩn thông thường có thể gây tử vong. Năm 2013, các bác sỹ ở Bệnh viện Medellin, Colombia đã tiếp nhận trường hợp một người đàn ông 41 tuổi bị mắc khối u đường kính 4cm trong phổi, tuyến thượng thận và hạch bạch huyết. Ông cũng dương tính với virus HIV nhưng lại không dùng thuốc chống HIV. Do vậy, hệ miễn dịch của người đàn ông này bị suy giảm nghiêm trọng. Sau quá trình xét nghiệm và đánh giá, các bác sỹ vô cùng ngạc nhiên khi nguyên nhân gây ra khối ung thư trong người bệnh lại không phải do vấn đề nội sinh. Nghiên cứu về chất liệu di truyền DNA tiết lộ, các tế bào gây ung thư đến từ một loài ký sinh trùng vốn dĩ thường ký sinh trong đường ruột của người có tên thường gọi sán dây lùn H. nana. Loại sán dây này thường được tìm thấy chủ yếu ở vùng khí hậu ấm áp và những nơi có điều kiện vệ sinh kém. Bệnh nhân 41 tuổi này không may đã chết sau đó vì suy thận. Tuy nhiên, các bác sỹ nghi ngờ rằng, các tế báo sán dây lùn là nguyên nhân chủ yếu gây ra cái chết cho bệnh nhân. Đây là trường hợp đầu tiên một bệnh nhân ung thư bị tử vong do tế bào đột biến trên ký sinh trùng gây ra. Điều này đặt ra những câu hỏi về hệ thống miễn dịch trong quá trình phòng ngừa và điều trị ung thư.

Các khối ung thư và hạch phát triển trong phổi, tuyến thượng thận và gan của bệnh nhân.
Không chỉ có loài sán dây lùn mới gây ra nguy cơ ung thư. Một số loài ký sinh trùng khác cũng được ghi nhận như trường hợp của loài sán lá gan nhỏ Opisthorchis viverrini có thể gây ung thư ống mật hoặc sán máng Schistosoma hematobium gây ung thư bàng quang như một số bằng chứng nghiên cứu tại Thái Lan và nhiều quốc gia thuộc Đông Nam Á. Trong trường hợp này, ung thư gây ra chủ yếu bởi sự kết hợp giữa chứng viêm nhiễm và các chất sản sinh ra từ ký sinh trùng. Chúng tạo nên những tác động tới tế bào của con người và dần phát triển thành ung thư mãn tính. Tác dụng của hệ miễn dịch với cuộc chiến chống lại ung thư đã không còn là điều quá xa lạ. Các tế bào miễn dịch liên tục "tuần tra" trong cơ thể con người và phá hủy tất cả tế bào lạ, bất thường. Trái ngược lại, một hệ miễn dịch suy yếu sẽ là mầm mống nuôi dưỡng cho nhiều căn bệnh xâm nhập từ bên ngoài, bao gồm cả những loài ký sinh trùng gây hại. Các nghiên cứu đã phát hiện rằng những người có hệ miễn dịch suy yếu, chẳng hạn những người bị nhiễm virus HIV thường có tỷ lệ mắc ung thư cao hơn so với phần lớn mọi người. Tuy vậy, tại các quốc gia đang phát triển, nơi nhiễm trùng HIV và các bệnh ký sinh trùng khá phổ biến, các loài ký sinh trùng bị đột biến. Bài học chính cho các quốc gia đang phát triển đối với nguy cơ sức khỏe mới, đó chính là tăng cường nghiên cứu và y tế công cộng. Bởi lẽ, vấn đề bệnh truyền nhiễm tại các quốc gia này thường bị coi nhẹ hơn so với nhiều căn bệnh nan y khác. Tất nhiên, câu chuyện về loài ký sinh trùng gây ung thư có thể chưa đủ sức lay động sự "cảnh giác" của nhiều người. Nhưng chúng ta hãy nhớ về tới dịch bệnh Ebola tại Tây Phi đã cướp đi mạng sống của 28.000 người vừa qua và thấy rằng, vấn đề chăm sóc sức khỏe, tránh khỏi các căn bệnh truyền nhiễm đơn giản cũng quan trọng không kém sứ mệnh chống lại đại dịch AIDS của toàn nhân loại. Hiện nay, theo thống kê có khoảng 75 triệu người trên thế giới đang nhiễm sán dây lùn H. nana do ăn phải trứng sán có trong thực phẩm bị dính phân người đã nhiễm ký sinh trùng này. Loài sán này sống ký sinh và sinh sản âm thầm trong ruột người.

Tế bào bị đột biến của sán dây lùn H. nana
Tổng quan về loài sán dải H. nana cho biết chúng thuộc giới động vật, ngành sán dẹt, lớp Cestoda, bộ Cyclophyllidea, họ Hymenolepididae, giống Hymenolepis, loài Hymenolepis nana. Kích thước của sán dải này rất nhỏ và thân hình lùn, nên còn gọi là sán dải lùn (dwarf tapeworm), cũng có thể gọi là Vampirolepis nana. Là một trong những loài sán dải ký sinh ở người phổ biến nhất trên phạm vi toàn cầu, đặc biệt trẻ em.
Hình thái học
Đó là một loài ký sinh trùng nhỏ, hiếm khi vượt quá 40mm chiểu dài và 1mm chiều rộng. Một số tài liệu ghi nhận loài ký sinh trùng này chỉ là loài sán rất nhỏ, chỉ dài 10 - 25 mm với khoảng 100 đốt: mỗi đốt trưởng thành có chiều dọc khoảng 0,2 mm, ngang khoảng 0,9 mm. Ký sinh ở người, và con người vừa là vật chủ trung gian vừa là vật chủ vĩnh viễn. Có những loài tương tự ở thỏ, chuột và điều trị tương tự như đối với các loài sán dây khác. Đầu scolex chống đỡ một các đầu có thể thụt vào rostellum vũ trang bởi một móc tròn với 20-30 móc. Các scolex cũng có 4 giác hút hoặc gọi là “tetrad”. Cổ dài và mảnh và các đoạn rộng hơn dài. Các lỗ sinh dục nằm phía bên và mỗi đoạn trưởng thành chứa 3 tinh hoàn. Sau khi apolysis các đoạn có chửa, ly giải ra trứng có đường kính 30-47µm. Các oncosphere được bao phủ bởi một lớp màng bên ngoài, trong suốt, mỏng và một màng bên trong dày với một cực kèm theo các sợi tơ nhỏ. Các túi phôi nặng cho các trứng có hình sọc và điểm này khác với các họ khác của các loài sán dây ký sinh và gây bệnh trên người.

Phát triển & sinh sản
Nhiễm trùng mắc phải hầu hết từ trứng trong phân của các đối tượng khác đã nhiễm bệnh, sau đó chuyển nhiễm sang thức ăn, nhiễm vào trong các móng tay hoặc nguồn nước uống bị nhiễm bởi nguồn nước ngầm có mầm bệnh. Hymenolepis nana không chỉ là một sán dải, mà là một loại sán dải không đòi hỏi vật chủ trung gian để phát triển thành giai đoạn nhiễm. Khi ăn phải bởi một người hoặc các loài gặm nhấm, trứng đẻ ra trong tá tràng, ly giải các oncospheres, xuyên qua niêm mạc và nằm tại các đường dẫn bạch huyết của vi nhung mao. oncosphere phát triển thành một cysticercoid có một đuôi và hình thành nên một đầu scolex hoàn chỉnh. Nó hình thành như một nhóm sợi dọc và hình dáng như cái mai với phần còn lại của sán vẫn còn nằm trong nang. Trong vòng 5-6 ngày, các cysticercoids lồi ra khỏi thành ruột non và ở đó chúng trưởng thành và dính.
Vector truyền bệnh H. diminuta
H. diminuta là một loại ký sinh trùng của các loài gặm nhấm và đòi hỏi một vật chủ trung gian là các côn trùng chân khớp. Các trứng bị tiêu hóa bởi các côn trùng động vật chân khớp sẽ phát triển thành ấu trùng cystercoid. Các loài găm nhấm bị nhiễm khi chúng ăn các động vật chân khớp và người nhiễm là tình cờ khi gặp phải cùng cơ chế.

Các trứng của sán này bị nuốt phải bởi các côn trùng và trưởng thành theo chu kỳ như một "cysticercoid" trong côn trùng. Các loại bọ cánh cứng Tribolium confusum là một loại côn trùng tìm thấy nhiều trong các sản phẩm ngũ cốc, gồm có bột mì và bánh mì trong các nhà bếp của bạn. Các con bọ trưởng thành Tribolium sp., Tenebrio sp., có chiều dài khoảng 4 mm và đóng vai trò như vật chủ trung gian của một số loài Hymenolepis sp.
Chu kỳ trực tiếp là có chắc chắn, và xảy ra theo mô hình có từ nguồn gốc tổ tiên là 2 vật chủ tìm thấy ở các loài hymenolepidid khác, vì cysticercoids của H. nana có thể vẫn phát triển bình thường bên trong các con bọ cánh cứng và các bọ chét. Một lý do để không bắt buộc trong chu kỳ là các cysticercoid của H. nana có thể phát triển ở điều kiện nhiệt độ cao hơn so với các Hymenolepidids khác.

Nhiễm trùng trực tiếp từ trứng là có thể con đường thường hay gặp nhất ở người, nhưng sự tiêu hóa tình cờ của các loại ngũ cốc, bọ cánh cứng, bọ chét là không thể loại trừ. Quá trình nhiễm trực tiếp các trứng tự do qua các vật chủ trung gian là côn trùng, khiến cho quá trình nhiễm nhanh hơn và sư lan rộng từ người - người có thể. Đời sống ngắnvà chu kỳ phát triển nhanh cũng góp phần vào sự lan rộng của bệnh sán này. H. nana, giống như các sán dây khác, chứa cả cơ quan sinh dục đực và cái trên mỗi proglottid. Điều này có nghĩa là sán dải lùn giống các sán dây khác là lưỡng tính (hermaphroditic form). Một đoạn chứa 3 tinh hoàn và một buồng trứng. Khi có một proglottid già và không thể hấp thu thêm chất dinh dưỡng nào nữa, chúng sẽ bị ly giả và đào thải qua đường ống tiêu hóa. Các đoạnproglottid có chửa này chứa các trứng đã thụ tinh, đôi khi bị đuổi ra theo phân. Tuy nhiên, hầu như lúc nào trứng cũng có thểthích nghi với cấu trúc vi nhung mao của ruột non, đẻ trứng và ấu trùng có thể phát triển trưởng thành mà không cần rời vật chủ. Sán dải lùn tương tự các lọai sán dây khác, chúng thiếu hệ tiêu hóa và ăn uống nhờ vào hấp thu chất dinh dưỡng vào trong thành ruột. Chúng có nhu cầucarbohydrate không đặc hiệu và dường như chúng sẽ hấp thu bất cứ cái gì đi qua ruột trong thời gian đó. Khi chúng trưởng thành, chúng sẽ dính vào thành ruột non và dùng các giác hút hoặc mở vòi răng ngoạm và có các segment vào trong các khoảng trống của ruột để hấp thu lấy thức ăn.
Về hình thái, sán H. nana là loài sán dải nhỏ nhất, con trưởng thành có kích thước dài 15-44 mm, gồm có khoảng 200 đốt sán. Đầu sán hình cầu, đường kính 0,25 mm, có 4 đĩa hút hình chén và một vòng móc với 24-30 móc. Đốt sán trưởng thành hình thang, dài 0,2-0,3 mm, rộng 0,8-0,9 mm, có một lỗ sinh dục, ba tinh hoàn tròn và một buồng trứng hai thùy.

Đốt sán mang trứng có một tử cung hình túi, chứa khoảng 80-180 trứng. Đốt sán già thường bị tan rã trong đường tiêu hóa và ít khi hiện diện trong phân. Trứng không màu, gần như trong suốt, hình bầu dục hoặc hình thuẫn, kích thước 40-60 μm x 30-50 μm.


Vỏ trứng dày, gồm hai màng, chứa phôi 6 móc. Mỗi cực của màng trong có một chỏm tròn nhỏ, từ chỏm này xuất phát nhiều sợi treo nhuyễn, khúc khuỷu nằm giữa dịch keo gelatin. Trứng có khả năng gây nhiễm ngay khi theo phân ra ngoài và có thể tồn tại đến 10 ngày ở môi trường bên ngoài. Về mặt dịch tễ học cho thấy bệnh sán này phân bố khắp nơi trên thế giới (khoảng 20 triệu người mắc) nhưng thường phổ biến tại các quốc gia ôn đới. Bệnh thường gặp ở trẻ dưới 15 tuổi. Tỷ lệ nhiễm dao động từ 1% ở phía nam của Mỹ đến 9% ở Argentina và 97,3% ở Nga. Bệnh phổ biến hơn ở các vùng nghèo đói và điều kiện vệ sinh kém, đặc biệt là khi có mặt bọ chét.
Tại Việt Nam cũng đã phát hiện nhiều trường hợp trẻ em bị nhiễm sán. Vật chủ vĩnh viễn của sán là chuột, đôi khi là người. Vật chủ trung gian gồm nhiều loại côn trùng như bọ chét, gián, mọt. Tuy nhiên, vật chủ trung gian không phải lúc nào cũng cần thiết trong chu trình phát triển của sán.

H. nana là một trong những tác nhân quan trọng nhất trong các bệnh nhiễm sán dây và bệnhtìm thấy ở mọi nơi trên thế giới. Trong các vùng nhiệt đới, tỷ lệ mắc bệnh ở trẻ em cao hơn và trở thành nhóm nhạy cảm của bệnh. H. diminuta lại có tỷ lệ mắc bệnh thấp hơn đã được báo cáo ở một số vùng khác nhau trên thế giới. Tại Mỹ, Nhiễm trùng gặp nhiều nhất là khu vực đông nam (1% số trẻ em tuổi đi học) và trong số đó nhóm trẻ em này cũng là nhóm nhạy cảm. Trong số hơn 200.000 mẫu phân xét nghiệm tại la bô năm 1987 để phát hiện trứng và ký sinh trùng, tỷ lệ dương tính là 0.4% với H. nana. Vì phần lớn số ca nhiễm không có triệu chứng, nên tỷ lệ nhiễm thật sự sẽ cao hơn rất nhiều con số phát hiện.

Nhiễm trùng thường gặp trên trẻ em lứa tuổi từ 4 - 10 tuổi, tại các vùng khô và ẩm và các quốc gia đang phát triển. Nhiễm trùng H nana ảnh hưởng đến hàng triệu người, trước tiên là trẻ em, tỷ lệ ước tính nhiễm dao động từ 0,1-58%. Các vùng có tỷ lệ nhiễm cao gồm Sicily (46%), Argentina (34% ở trường học) và vùng phía nam của Nga là 26%. Ngược lại, chỉ có 0,1% số mẫu phân xét nghiệm cho trẻ em tại bệnh viện Calgary dương tính với H. nana. Hầu hết những ca có liên quan đến triệu chứng thần kinh đã được báo cáo tại Nga. Bệnh không có thiên hướng cho giới tính nào cao hơn, hoặc cũng không có thiên hướng cho chủng tộc. Tuổi có thể bất kỳ nhóm tuổi nào. Tuy nhiên, vì gia tăng khả năng phơi nhiễm với phân người nhiễm nên tuổi đi học nhiễm cao nhất với bệnh sán dải lùn. Nhiễm trên người trưởng thành và thanh thiếu niên có cơ may tự khỏi hoàn toàn và đối với người lớn thì bệnh không phải là phổ biến. Tỷ lệ mắc bệnh và tỷ lệ tử vong không phải là thường xuyên, chỉ xảy ra khi gánh nặng ký sinh trùng là rất cao và tử vong thường không liên quan đến nhiễm trùng.
Đường lây truyền và tác nhân sinh bệnh
Rất hiếm, nhiễm ký sinh trùng có thể dẫn đến từ tiêu hóa bởi các các thực phẩm nhiễm bởi sâu bọ, côn trùng có mầm bệnh. Tuy nhiên, nói chung nhiễm trùng qua đường phân miệng là hay gặp hơn, trong đó vệ sinh cá nhân và con người thường xuyên phơi nhiễm với các nguồn nước cống thải không đủ đảm bảo vệ sinh. Bệnh Hymenolepiasis gây ra bởi 2 loài sán dải, H. nana (còn gọi là sán dải lùn, kích thước con trưởng thành đo được dài 15-40mm và loài H. dimnuta (còn gọi là sán dải chuột, con trưởng thành kích thước đo chiều dài khoảng 20-60cm). Loài H. diminuta là một loài sán dải trên các loài gặm nhấm và không thường nhìn thấy nhiễm ở người mà thường tìm thấy trên động vật gặm nhấm. Liên quan đến chu kỳ sinh học và phát triển của sán cho biết có ba kiểu chu trình phát triển: trứng sán theo phân ký chủ vĩnh viễn ra ngoài, được côn trùng nuốt vào. Phôi thoát khỏi vỏ trứng trở thành ấu trùng trong cơ thể côn trùng. Ấu trùng sán tồn tại trong suốt quá trình lột xác của côn trùng:
-Khi côn trùng bị vật chủ vĩnh viễn nuốt phải, đầu sán non sẽ nhô ra bám vào thành ruột non. Sán trưởng thành sau 10 ngày (chu trình gián tiếp);
-Khi vật chủ vĩnh viễn nuốt phải trứng sán, phôi thoát khỏi vỏ, bám trên nhung mao của niêm mạc ruột, biến thành nang sán và trưởng thành sau 5-6 ngày (chu trình trực tiếp);
-Trong chu trình trực tiếp, người hoặc chuột vừa là vật chủ trung gian vừa là vật chủ vĩnh viễn. Trứng theo phân ra ngoài, có thể bị nuốt bởi vật chủ vĩnh viễn, gọi là hiện tượng tái tự nhiễm hay ngoại tự nhiễm.
-Kiểu chu trình phát triển thứ 3 là chu trình tự nhiễm hay chu trình nội tự nhiễm. Trong trường hợp này, trứng không theo phân ra ngoài mà nở ra ngay trong ruột ký chủ, trở thành con trưởng thành, bám vào thành ruột non. Chu trình này gây hậu quả nặng nề cho ký chủ vì số lượng sán trưởng thành gia tăng nhanh chóng trong ruột.
Chu kỳ sinh học
Trứng của H. nana là một thể nhiễm trung gian khi đào thải cùng với phân và có thể sống tồn hơn 10 ngày trong điều kiện môi trường bên ngoài ( 1 ). Khi trứng được tiêu hóa bởi các vật chủ trung gian là các loài động vật chân khớp ( 2 ) (các loài khác nhau của bọ cánh cứng, bọ chét có thể đóng vai trò là vật chủ trung gian và chứa mầm bệnh), chúng phát triển thành cysticercoids, mà dạng này có thể gây nhiễm cho người hoặc loài gặm nhấm dựa vào tiêu hóa ( 3 ) và phát triển thành thể trưởng thành trong ruột non. Các biến thể xác định về mặt hình thái học, H. nana var. fraterna, nhiễm vào các loài gặp nhấm và sử dụng các loài động vật chân khớp như vật chủ trung gian của chúng. Khi trứng bị nuốt vào ( 4 ) (trong thực phẩm bị nhiễm hoặc nước hoặc tay dính phân có mầm bệnh), khi đó các oncosphere chứa bên trong trứng sẽ ly giải ra. Các oncospheres (ấu trùng có sáu gai nhọn) xuyên vào các nhung mao ruột và phát triển thành các ấu trùng cysticercoid ( 5 ). Khi có sự phá cấu trúc vi nhung mao, các cysticercoids trở lại về thành ruột, lộn từ trong ra ngoài scoleces ( 6 ), dính vào trong niêm mạc ruột và phát triển thành thể trưởng thành rồi cư trú trong vùng ruột ở chậu khung, sinh ra các proglottid có chửa ( 7 ). Các trứng đi qua phân khi ly giải từ các proglottid thông qua cửa sinh dục của nó hoặc khi proglottids bị phân hủy trong ruột non ( 8 ). Một mô hình nhiễm khác gồm có là bản thân tự nhiễm trong nội cơ thể bệnh nhân (internal autoinfection), ở đó trứng ly giải các phôi có 6 móc (hexacanth embryo), các phôi này xuyên qua vi nhung mao ruột tiếp tục vào chu kỳ nhiễm mà không hề thông qua môi trường bên ngoài( 9 ). Đời sống của các sán dải trưởng thành khoảng chứng 4-6 tuần, nhưng chu trình tự nhiễm cho phép nhiễm trùng sẽ kéo dài nhiều năm.

H. nana phát triển trong ruột non của chuột (gây nhiễm thực nghiệm
Các trứng của Hymenolepis diminuta đào thải qua phân từ các vật chủ chính (gặm nhấm hoặc người) ( 1 ). Trứng trưởng thành được nuốt vào do các vật chủ trung gian (là các loài động vật chân khớp trưởng thành khác nhau) ( 2 ), và các oncospheres được ly giải từ trứng và đi xuyên qua thành ruột của vật chủ ( 3 ), phát triển thành các ấu trùng cysticercoid. Các loài từ giống Tribolium thường là vật chủ trung gian chính cho con H. diminuta. Các ấu trùng cysticercoid tồn tại từ khi hình thành hình thái của các loài chân khớp đến khi trưởng thành. Nhiễm trùng H. diminuta mắc phải bởi các động vật có vú sau khi nhiễm từ các vật chủ trung gian có mang ấu trùng cysticercoid ( 4 ). Con người có thể nhiễm tình cờ thông qua tiêu hóa hoặc ăn phải các côn trùng trong các loại ngũ cốc chưa nấu chín hoặc các thực phẩm khác, và óc thể nhiễm trực tiếp từ môi trường (trẻ em).Sau khi tiêu hóa, các mô của các động vật chân khớ nhiễm ly giải ra các ấu trùng cysticercoid bên trong dạ dày và ruột non. Sự lộn ngược ra của các scoleces ( 5 ) xảy ra trong một thời gian ngắn sau khi ấu trùng cysticercoid bị ly giải ra ngoài. Sử dụng 4 giác hút trên scolex, các ký sinh tùng sẽ dính vào thành ruột non. Sự trưởng thành của ký sinh trùng xảy ra trong vòng 20 ngày và sán daiur trưởng thành có thể dài 30cm ( 6 ). Các trứng bị ly giải trong ruột non từ các proglottids có chửa ( 7 ) sẽ bị phá hủy sau khi các con sán phân hủy. Các trứng sán bị phóng thích vào trong môi trường qua phân của các vật chủ là các động vật có vú ( 1 ).

Nhiễm bệnh ở người cho thấy ít sán thường không có triệu chứng (chiếm tỷ lệ trên 70% số ca) hoặc rối loạn tiêu hóa nhẹ. Nếu bệnh tự nhiễm, ruột bị tổn thương nhiều do có nhiều nang sán. Từ đó, nhiều đầu sán bám vào thành ruột khiến ruột bị viêm và xuất huyết. Các triệu chứng chỉ xảy ra với nhiễm trùng nặng (khoảng 2.000 con) và rõ ràng nhất là ở trẻ em, bao gồm: rối loạn tiêu hóa, tiêu chảy, mệt mỏi, biếng ăn, đau bụng, nhức đầu. Đôi khi có dấu hiệu thần kinh: mất ngủ, chống mặt, co giật…
Sinh lý bệnh của bệnh do Hymenopepis sp.
Con người trở nên nhiễm với H. nana khi họ ăn phải trứng nhiễm, hay gặp nhất là qua phơi nhiễm con đường phân miệng. Các trứng đi vào phần hồi tràng và rồi đẻ ra thành oncospheres (dạng ấu trùng), ấu trùng đi xuyên qua lớp lamina propria của vi nhung mao. Trong vòng 3-4 ngày, ấu trùng trưởng thành thành dạng cysticercoid, rồi đi vào lòng ruột dính vào thành hay nhung mao.Các con trưởng thành, kích thước 35-45mm dài và bao gồm 150-200 proglottid, sống khoảng 3 tuần. Chúng tự dính với nhau giữa các proglottids liền kề sinh ra hàng trăm trứng, một số đi xuyên qua nhung mao ruột và một số đào thải qua phân.

Đôi khi, các loài gặm nhấm có thể tiêu hóa phải trứng trong phân và đóng vai trò như vật chủ tình cờ và ổ chứa để lan rộng nhiễm bệnh. Mặc dù nhiễm trùng thường không sinh ra nhiễm trùng, chu kỳ tự nhiễm (thường xảy ra) và phơi nhiễm nặng cũng có thể dẫn đến nhiễm trùng không triệu chứng hoặc nặng hơn. Nhiễm trùng với H. diminuta dẫn đến do tiêu hóa tình cờ các côn trùng nhiễm (các con bọ chét chưa trưởng thành, bọ cánh cứng, gián) mà chúng có thể mang ký sinh trùng vào trong khoang cơ thể. Các trứng bị nhiễm được tiêu hóa bởi các côn trùng và đẻ trong ruột của chúng. Sau khi đẻ, chúng xâm nhập vào trong khoang cơ thể và chuyển thành ấu trùng cysticercoid, gây nhiễm cho người. Sau khi các côn trùng bị ăn, ấu trùng bị ly giải trong thành ruột và trưởng thành trong vòng 25 ngày thành thể trưởng thành dài 50cm. Khi các con sán trưởng thành ly giả qua trứng, các vật chủ côn trùng có thể nhiễm. Và đặc biệt các trường hợp nhiễm đều không có triệu chứng.
Đặc điểm lâm sàng và bệnh sử của bệnh
Tiền sử và lịch sử bệnh
Phần lớn ca bệnh nhiễm ký sinh trùng không xuất hiện triệu chứng. Tần suất các triệu chứng dường như có liên quan với gánh nặng hay mật độ sán trong cơ thể. Trong số trẻ em có biểu hiện triệu chứng lâm sàng thì biểu hiện thường không nghỉ yên, khó chịu trong người, kích thích, tiêu lỏng, đau bụng, rối loạn giấc ngủ, ngứa hậu môn và ngứa cả mũi hầu. Các triệu chứng hiếm gặp hơn là chán ăn, tăng thèm ăn (increased appetite), nôn mửa, buồn nôn, tiêu chảy phân máu, mày đay, đau mỏi chi, nhức đầu, chóng mặt, rối loạn hành vi và có thể có co giật. Ngoài các triệu chứng hiếm gặp ở trên, dấu hiệu đau bụng hoặc mày đay, khám thực thể đôi khi không rõ ràng.

Đặc điểm lâm sàng
H. nana tự cư ngụ trong lòng ruột và hấp thu chất dinh dưỡng từ thành ruột. Trên người trưởng thành, các sán sẽ gây khó chịu hơn và cũng là vấn đề sức khỏe, nhưng ở các trẻ em nhỏ, nhiều H. nana có thể gây nguy hiểm. Thông thường ấu trùng của sán gây nhiều vấn đề cho trẻ, ấu trùng sẽ đào hầm trong thành ruột, nếu đủ sán trong thành ruột, sẽ gây nên các tổn thương có thể thành vết thương nặng. Điều này được làm do hấp thu tất cả chất dinh dưỡng từ thức ăn của trẻ. Thường một con sán đơn thuần sẽ không gây bất cứ nguy hiểm nào, nhưng trên các trẻ nhỏ, nhiều sán lại là vấn đề cần lưu ý. H. nana thường sẽ không gây tử vong trừ khi nhiễm quá nặng và trẻ em nhỏ hoặc người suy giảm miễn dịch. Tại một số nơi trên thế giới, các đối tượng nhiễm sán nặng có thể dẫn đến hậu quả là chu trình tự nhiễm tái lập làm cho bệnh nhân luôn luôn nhiễm trùng mạn tính và hậu quả chiếm lấy chất dinh dưỡng của vật chủ. Các triệu chứng do phản ứng dị ứng hoặc nhiễm độc máu toàn thân (allergic responses or systematic toxaemia) gây ra do các sản phẩm thải của sán. Nhiễm nhẹ thường lại không óc triệu chứng gì. Nhiễm hơn 2.000 con sán có thể gây viêm ruột, đau bụng, tiêu lỏng, chán ăn, khó chịu, kích thích, ngứa mũi và ngứa hậu môn. Các triệu chứng hiếm gồm chán ăn, đau chi, tăng thèm ăn, nôn, đi đại tiện phân có máu, mày đay, rối loạn hành vi. Thỉnh thoảng có cơn co giật xảy ra trên các trẻ em.

Chẩn đoán bệnh bằng xét nghiệm xác định trứng sán trong phân. Đôi khi cần thiết phải xét nghiệm phân nhiều lần vì vài tuần sau khi nhiễm, sán H. nana mới bắt đầu đẻ trứng. Ngoài ra, dùng phương pháp nội soi để phát hiện sán trưởng thành.
Thái độ xử trí và dự phòng
Hiện có 3 loại thuốc dùng để điều trị bệnh Hymenolepiasis do Hymenolepis sp. là các loài thuốc thường dùng điều trị cho các loại sán dây khác như praziquantel, niclosamide và paromomycin. Praziquantel, là một thuốc diệt sán với liều duy nhất cho tất cả giai đoạn của sán và là thuốc lựa chọn vì chúng tác động rất nhanh vào cơ thể của sán H. nana. Mặc dù về mặt cấu trúc không óc liên quan đến các loại giun sán khác, song nó giết cả ấu trùng và sán trưởng thành.

Trong thử nghiệm In vitro thuốc sinh ra quá trình “không bào hóa” và làm phá vỡ cấu trúc vi vỏ tegument của phần cổ sán, nhưng không tác động mạnh hơn ở sau của đoạn mầm hay chuỗi đốt sán sinh sản (strobila). Praziquantel hấp thu và dung nạp tốt trong khi dùng đường uống, nó chuyển hóa pha đầu và 80% liều thuốc đào thải như các chất đã bị chuyển hóa vào trong nước tiểu trong vòng 24 giờ. Điều trị hỗ trợ có giá trị đi cùng với điều trị đặc hiệu. Trong một só ca nặng, cần tư vấn và hội chẩn với các chuyên gia hoặc nhà tiêu hóa để điều trị toàn diện, cần óc chế độ ăn uống cân bằng. Riêng đối với nhóm thuốc Nitazoxanide gần đây cũng được nghiên cứu thử nghiệm như một lựa chọn điều trị mới. Con đường chuyển hóa sinh hóa ký sinh trùng khác nhau giữa các vật chủ là người. Do vậy, độc tính tác động lên ký sinh trùng, trứng và ấu trùng khác nhau. Cơ chế tác động khác nhau giữa các nhóm thuốc. Các tác động chống lại ký sinh trùng có thể gồm có:
-Sự ức chế lên cấu trúc vi ống, gây ra tắc nghẽn không hồi phục quá trình hấp thu glucose;
-Ức chế sự tổng hợp cấu trúc vi ống;
-Khử cực block khử cực thần kinh cơ;
-Ức chế enzyme cholinesterase;
-Tăng tính thấm màng tế bào, dẫn đến mất ion calci nội bào;
-Sự không bào trong cấu trúc vi quản của schistosome;
-Tăng tính thấm màng tế bào đối với ion chloride thông qua thay đổi kênh chloride.
Praziquantel (biệt dược Biltricide, Distocide)
Hiệu quả của thuốc Praziquantel đạt 80-100% trên các ca bất kỳ mật độ sán trong cơ thể như thế nào. Mặc dù, FDA chấp nhận và sẵn óc tại Mỹ, song nó cần được giám sát thuốc khi chỉ định.
-Liều dùng người lớn: 25 mg/kg đường uống và là liều duy nhất, thuốc nên uống sau khi ăn và nuốt toàn bộ viên thuốc chứ không được nhai.
-Liều trẻ em: chỉ định như trên người lớn.
-Hydantoins có thể làm giảm nồng độ của thuốc trong huyết thanh, có khả năng dẫn đến thất bại điều trị;
-Đối với phụ nữ mang thai cần thận trọng nguy cơ (B-Fetal risk) dù chưa được xác định trong nghiên cứu ở người nhưng đã chỉ ra trong một số nghiên cứu trên động vật;
-Cần thận trọng một số trường hợp bệnh gan nặng, các bệnh lý khác,…

Niclosamide (biệt dược Niclocide)
Thuốc có hiệu quả nhưng không sẵn có tại Mỹ. Thuốc tác động thông qua cơ chế ức chế quá trình phosphoryl hóa trong hệ ty thể và ngăn cản hấp thu glucose của sán. Liệu trình điều trị 7 ngày vì nó không đạt được đến cysticercoids trong lớp mỏng của thành ruột.
-Liều người lớn: 2 g đường uống và dùng liều duy nhất, theo sau đó là 1g đường uống ngày 4 lần x 6 ngày. Thuốc được nhai tan hoàn toàn và uống trước bữa ăn ít nhất 2 giờ;
-Liều trẻ em: nếu trẻ < 11 kg, không có liều chỉ định cụ thể;
-Nếu từ 11-34 kg: 1g đường uống liều duy nhất, theo sau là dùng 500mg đường uống, 4 lần ngày trong 6 ngày;
-Nếu trẻ > 34 kg: dùng liều 1,5g đường uống liều duy nhất, tiếp sau là 1g đường uống 4 làn ngày x 6 ngày và uống thuốc trước ít nhất 2 giờ trước bữa ăn;
-Trên phụ nữ mang thai cần thận trọng vì nguy cơ (B-Fetal risk) dù chưa có nghiên cứu trên người, song đã chứng minh qua một số nghiên cứu trên động vật;
-Thận trọng có các liên quan đến khó chịu đường tiêu hóa, chóng mặt, buồn ngủ, nhức đầu, phát ban khi dùng thuốc.
Paromomycin (biệt dược Humatin)
Đây là một thuốc thay thế cho praziquantel, nhưng đòi hỏi dùng liệu trình 7 ngày. Đây là một thuốc aminoglycoside diệt amip và diệt khuẩn thu nhận được từ chủng Streptomyces rimosus, có hoạt tính lên các amip đường ruột. Thuốc còn được khuyến cáo dùng cho bệnh sán dải cá Diphyllobothrium latum, sán dây bò Taenia saginata, sán dây lợn Taenia solium, sán dải chó Dipylidium caninum.
-Liều dùng cho người lớn là 45 mg/kg đường uống và chia 4 lần mỗi ngày x 7 ngày;
-Liều trên trẻ em chỉ định như người lớn.

Nhiễm trùng loài sán Hymenolepis nana trên ruột mức độ nặng dính vào thành đại tràng qua hình ảnh nội soi đại tràng
Nitazoxanide (Alinia)
Thuốc ức chế sự phát triển của các sporozoites của đơn bào Cryptosporidium parvum cũng như các nang trứng (oocyst) và điều trị cả thể tư dưỡng của Giardia lamblia. Hoạt tính ucar thuốc tác động nhờ vào can thiệp của phản ứng vận chuyển điện tử pyruvate-ferredoxin oxidoreductase (pyruvate-ferredoxin oxidoreductase (PFOR) enzyme-dependent electron transfer reaction), rất cần thiết cho chuyển hóa tạo năng lượng kỵ khí.
-Thuốc sẵn có dạng 20-mg/mL xiro uống, phần lớn các chế phẩm dùng cho trẻ em;
-Liều dùng cho trẻ em < 1 tuổi: không có chỉ định;
-1-4 tuổi: 100 mg (5 mL) uống mỗi 12 giờ x 3 ngày sau ăn;
-4-11 tuổi: 200 mg (10 mL) dùng đường uống mỗi 12 giờ x 3 ngày;
-11 tuổi chưa có thiết lập liều dùng cụ thể.
Điều trị sán dải lùn chủ yếu bằng thuốc chống ký sinh trùng loại praziquantel (25mg/kg) đường uống, liều duy nhất, hiệu quả 96% hoặc dùng niclosamid hoặc albendazole thay thế ở trên.

Phòng bệnh
Dự phòng lây nhiễm phân qua đường thức ăn và nước uống trong các vùng dân sống đông đúc và khu vực đông dân cư là khâu quan trọng nhất và bước đầu trong phòng bệnh. Vệ sinh chung và phòng chống côn trùng, các loài gặm nhấm (đặc biệt bọ chét và côn trùng ăn ngũ cốc) cũng đóng vai trò cần thiết để phòng bệnh sán dải H. nana.
Một số biện pháp phòng chống nhiễm bệnh loại sán này xoay quanh vấn đề vệ sinh:
+ Bằng cách rửa sạch, gọt vỏ hoặc nấu chín các loại trái cây và rau quả;
+ Rửa tay bằng xà phòng sau khi đi vệ sinh và trước khi chuẩn bị thức ăn hoặc trước khi ăn;
+ Dạy trẻ bỏ thói quen ngậm ngón tay vì trứng sán đôi khi được tìm thấy dưới móng tay.
Phát hiện ký sinh trùng gây mất kiểm soát ở người (Toxoplasma gondii)
Nghiên cứu mới đây của các nhà khoa học Mỹ đã phát hiện việc tiếp xúc với loại ký sinh trùng trên mèo có tên Toxoplasma gondii là nguyên nhân dẫn đến tình trạng nổi nóng mất kiểm soát ở người. TS. Emil Coccaro cùng các đồng nghiệp tại trường Đại học Chicago, Mỹ đã tiến hành phân tích tâm lý học mở rộng trên 358 người lớn và phân loại thành 3 nhóm:
+ Một nhóm với các biểu hiện cơn giận dữ kéo dài và dứt đoạn mang tính tiêu cực;
+ Một nhóm có sức khỏe bình thường;
+ Một nhóm còn lại mắc các bệnh liên quan đến tâm thần khác.

Sử dụng bài kiểm tra máu để đánh giá nhóm nào có biểu hiện với bệnh do T. gondii, một loại ký sinh không gây hại có trong các loại thịt sống, nước ô nhiễm hoặc cơ thể của mèo bị nhiễm khuẩn. Kết quả cho thấy 22% nhóm thứ nhất phát hiện có ký sinh trùng T. gondii trên cơ thể, 16% ở nhóm 3 và 9% ở nhóm khỏe mạnh. Điều này cho thấy những người trải qua những cơn giận dữ không kiểm soát có nguy cơ tiếp xúc với loại ký sinh trùng đơn bào này gấp đôi người bình thường. Theo TS. Emil Coccaro - Trưởng nhóm nghiên cứu cho biết phát hiện này giúp các nhà khoa học tìm ra được nguyên nhân và phương pháp kiềm chế các cơn giận dữ bất thường của người bệnh và xem xét liệu điều trị nhiễm khuẩn T. gondii có thể dẫn tới thuyên giảm triệu chứng giận dữ hay không”. Trên thực tế, không phải đến bây giờ các nhà khoa học mới tìm thấy mối liên quan giữa nhiễm ký sinh trùng đơn bào này với các thay đỏi hành vi và bệnh lý tâm thần kinh đâu mà một số nghiên cứu trước đây đã cho thấy rằng ký sinh trùng T. gondii từ mèo có thể khiến người muốn tự tử! Và họ cho biết một loại ký sinh trùng ở mèo có thể khiến con người giận dữ vô cớ và thậm chí muốn tự tử. Tạp chí sinh lý học lâm sàng (Journal of Clinical psychiatry) cho biết, các nhà khoa học đã tìm thấy một loại ký sinh trùng T. gondii ở mèo có thể khiến con người giận dữ vô cứ và muốn tự tử. T. gondii là một loại ký sinh trùng nội bào thường sống trong ruột của những con mèo nhà. Theo khám phá của các nhà khoa học, T. gondii lại có thể gây ra những tác động đáng sợ trên người. Nghiên cứu từ phòng thí nghiệm cho thấy những con chuột nhiễm ký sinh trùng này có biểu hiện sợ hãi, muốn tự tử và có những hành động mất kiểm soát.

Nhà nghiên cứu Emil Coccaro thuộc Đại học Chicago (Mỹ) và các đồng nghiệp của ông đã phát hiện ra những tác động tiêu cực từ T. gondii đối với con người. Họ đã tiến hành nghiên cứu trên khoảng 360 người Mỹ, một số trong đó bị cái gọi là hội chứng rối loạn kiểm soát từng đợt. Những người này không bị rối loạn tâm thần và các bệnh thoái hóa thần kinh, nhưng định kỳ lại có một cơn giận dữ không có lý do rõ ràng. Theo ước tính, chỉ riêng tại Mỹ có hơn 16 triệu người mắc hội chứng này. Các nghiên cứu cho thấy, bệnh do T. gondii có liên quan tới sự gia tăng gây hấn và xu hướng quyết định vội vàng ở người. Tuy nhiên, các nhà nghiên cứu thận trọng nhấn mạnh rằng vẫn chưa thể đưa ra kết luận cuối cùng về sự ảnh hưởng của loại ký sinh trùng này tới tâm trạng giận dữ và muốn tự tử không rõ nguyên do ở người do vẫn chưa nắm bắt được cơ chế tác động của chúng trên người.

Điều gì xảy ra nếu toàn bộ kí sinh trùng trên Trái đất biến mất?
Có hàng triệu ký sinh trùng khác nhau đang sống trong thế giới của chúng ta. Trong tiếng Hy Lạp “Parasitos” có nghĩa là “kẻ chuyên ăn tại bàn của người khác”.Chúng chuyên sống nhờ và hưởng lợi từ vật chủ đồng thời cũng là nạn nhân của mình. Không chỉ phong phú, phổ biến, đa dạng và quan trọng, 50% sinh vật trên trái đất là các loài ký sinh. Không kể đến những loài phổ biến được chúng ta biết đến như tầm gửi, chấy rận, virus, vi khuẩn. Giả sử toàn bộ ký sinh trùng trên trái đất biến mất trong một đêm. Liệu rằng cuộc sống của chúng ta có trở nên tốt đẹp hơn?

Trong vòng vài giờ, hàng triệu người nghèo trên trái đất sẽ được chữa khỏi bệnh nặng, bệnh mãn tính gây ra bởi kí sinh trùng như sốt rét, sán và giun đũa. Mọi người có thể làm việc chăm chỉ hơn, tận hưởng cuộc sống nhiều hơn. Vật nuôi và cây trồng của họ cũng sẽ được khỏe mạnh”- Nhà Khảo sát địa chất Mỹ Kevin Lafferty nói.
Tuy nhiên niềm vui ấy sẽ không kéo dài lâu bởi ẩn họa những hậu quả khôn lường và tồi tệ nhất có lẽ phải kể đến đó là mất hết cảm hứng về tình dục. Một số bằng chứng cho chúng ta thấy điều đó: Hệ thống miễn dịch của con người luôn tiến hóa và phát triển qua thời gian để đối phó với sự lây nhiễm. Vì vậy, nếu khi còn trẻ, con người không tiếp xúc với ký sinh trùng và các bệnh khác thì hệ thống miễn dịch sẽ không phát triển đúng cách và ngược lại còn quay ra tấn công chính các cơ quan của cơ thể. Những người dù sống trong môi trường sạch sẽ vẫn bị dị ứng và các bệnh tự miễn có thể là một minh chứng cụ thể cho vấn đề này. Nếu không tiếp xúc với ký sinh trùng, thậm chí cơ thể còn mắc phải nhiều bệnh hơn nữa. Không chỉ hệ thống miễn dịch mà các cơ quan khác của cơ thể cũng có thể ngoài tầm kiểm soát.

Hầu như tất cả các loài trên trái đất đều mang trong mình một ký sinh trùng - Levi Morran, Đại học Emory ở Georgia, Mỹ nói. Ký sinh trùng đóng một vai trò quan trong trong việc tiêu hủy, phân hủy các loài. Nếu không có ký sinh trùng, các quần thể chỉ có thể phát nổ. Đó là một trong những điều con người chưa từng đối mặt trước đây và chúng ta sẽ phải giết rất nhiều thứ có nguy cơ phát nổ - ông Levi nói thêm. Những loài động vật khác có thể tăng nhanh về số lượng, thế chỗ cho những ký sinh trùng biến mất, đặc biệt là động vật ăn thịt. Xa hơn nữa, nó có thể kéo theo sự biến đổi của nhiều loài động, thực vật khác trên trái đất.
Thay đổi mạnh mẽ nhất có lẽ sẽ diễn ra nơi đại dương, Luis Zaman ở Đại học Washington, Seattle (Mỹ) cho biết các vùng biển sẽ phủ dày bởi tảo và vi sinh vật khác nhờ năng lượng từ ánh sáng mặt trời. Trực tiếp hoặc gián tiếp, chúng ăn tất cả các loài động vật biển. Tất cả ký sinh trùng trong đại dương biến mất, có thể phá hủy hệ sinh thái biển. Một khoảng thời gian sau đó đại dương của chúng ta có thể trở thành một thảm thực vật hoặc một sa mạc cằn cỗi. Không thể phủ nhận vai trò của ký sinh trùng trong sự tiến hóa của tất cả các loài hiện nay. Chính ký sinh trùng đã làm nên sự đa dạng của sự sống trên trái đất. Đó là vì vật chủ và ký sinh trùng luôn ở trong một cuộc chạy đua tiến hóa liên tục, thúc đẩy cả hai đến cái đích của sự sống sót hoặc ưu thế hơn. Khi máy chủ và ký sinh trùng tương tác, đó là mảnh đất màu mỡ cho đồng tiến hóa. Chính mối quan hệ đó đã làm nên những tiến hóa lịch sử của sự sống trên trái đất.
Mất cảm hứng, hấp dẫn về tình dục - Đuôi của một con công, cái bờm lớn của một con sử tử hay cái sừng lớn của một con ram đều là những đặc tính hấp dẫn tình dục của cá thể đực được cho là phát triển nhờ ký sinh trùng. Ngoài việc thúc đẩy các khả năng khác, ký sinh trùng có thể là yếu tố chính thúc đẩy các quan hệ tình dục. Một bằng chứng thực nghiệm cho thấy tình dục giúp cho các loài sống sót trước ký sinh trùng. Thí nghiệm năm 2011 của Morran cho thấy một loại vi khuẩn truyền nhiễm có thể giết sạch quần thể giun vô tính trong khi những con giun đã có quan hệ tình dục vẫn sống sót.Vì vậy nếu ký sinh trùng giúp duy trì, phát triển các quan hệ tình dục, một khi biến mất vô tính sẽ trở nên phổ biến ở các loài. Thay vì một nỗ lực loại bỏ ký sinh trùng khỏi thế giới của chúng ta, các nhà khoa học ngày nay lại cho rằng chúng ta nên bảo tồn chúng, như cách mà chúng ta đang bảo vệ các loài động vật có giá trị khác. Y học hiện đại đã đang tìm ra các phương pháp chữa những căn bệnh nan y ở người nhờ sử dụng ký sinh trùng. Tuy nhiên, sự sống của ký sinh trùng cũng đang bị đe dọa bởi những yếu tố khác như sự biến đổi khí hậu, ô nghiễm và tàn phá môi trường sống do con người gây nên.
Tài liệu tham khảo
1.Chero JC, Saito M, Bustos JA, Blanco EM, Gonzalvez G, Garcia HH. Hymenolepis nana infection: symptoms and response to nitazoxanide in field conditions. Trans R Soc Trop Med Hyg. Feb 2007;101(2):203-5.
2.Baron S., (1996). Medical Microbiology. (4th edition). The University of Texas Medical Branch at Galveston,ISBN 0-9631172-1-1.
3.Gerald D. Schmidt, John Janovy, Jr and Larry S. Roberts (2009). Foundations of Parasitology (8th ed). McGraw-Hil. ISBN 0073028274
4.R. D. Pearson, R. L. Guerrant (1983). Praziquantel: A major advance in anthelminthic therapy. Ann Intern Med,1983; 99(2): 195 - 198.
5.WHO (1995). WHO model prescribing information: drugs used in parasitic diseases (2nd edition). Published by World Health Organization. ISBN 9241401044
6.Ohio State University, 2001. Hymenolepis nana (Vampirolepsis nana). Parasites and Parasitological Resources. http://www.biosci.ohio-state.edu/~parasite/hymenolepis_nana.html.
7.Hymenolepiasis. http://health.allrefer.com.
8.http://www.stanford.edu/class/humbio103/ParaSites2002/hymenolepsis/transmission.htm
9.http://emedicine.medscape.com/article/998498-overview