Theo thống kê, mỗi năm ở Mỹ có khoảng 1.500 bệnh nhân bị mắc bệnh sốt rét được thông báo; trong đó có khoảng 200 trường hợp nhiễm bệnh mang về từ các nước ở châu Á hoặc Nam Mỹ sau chuyến du lịch. Trung tâm Kiểm soát bệnh tật Mỹ (CDC: Centers forDisease Control and Prevention) đã thông báo cáo một trường hợp sốt rét ở phụ nữ 50 tuổi từ Mỹ đi thăm và du lịch tại Philippines trong thời gian 2 tuần. Bệnh nhân đã được chẩn đoán xác định nhiễm sốt rét khỉ (monkey malaria) bằng kỹ thuật PCR (Polymerase chain reaction).
Bệnh nhân nữ 50 tuổi này là người Mỹ gốc Philippines, sau chuyến du lịch khoảng thời gian 2 tuần về thăm quê hương của mình trở lại Mỹ đã phải vào bệnh viện vì bị sốt, lạnh run, nhức đầu, tụt huyết áp, tiểu cầu giảm thấp... Lam máu xét nghiệm được thực hiện cho bệnh nhân và kết quả chẩn đoán xác định người bệnh bị mắc bệnh Babesiosis, mộtloại bệnh ký sinh trùng tương tự như bệnh sốt rét với mầm bệnh là nguyên bào Babesia. Bệnh Babesiosis thường được lây truyền qua trung gian truyền bệnh của loài ve Ixodid.
Ngay sau đó, Trưởng Phòng xét nghiệm của bệnh viện đã kiểm tra lại và chẩn đoán bệnh nhân bị mắc bệnh sốt rét với khoảng 2,9% tế bào hồng cầu đã bị ký sinh trùng sốt rét ký sinh. Mặc dù không xác định được chủng loại ký sinh trùng Plasmodium gây bệnh nhưng bệnh nhân vẫn được điều trị bằng thuốc sốt rét atovaquone-proguanil và primaquine đã có đáp ứng hiệu lực và đạt kết quả tốt. Phòng Xét nghiệm tham khảo (Reference laboratory) của Bang New York sau đó cũng đã xem xét, chẩn đoán khẳng định người bệnh bị mắc bệnh sốt rét và thực hiện bổ sung bằng kỹ thuật xét nghiệm PCR (Polymerase chain reaction). Kỹ thuật này đã định danh được chủng loại ký sinh trùng gây bệnh là Plasmodium knowlesi.
| 
|
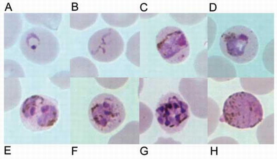
Plasmodium knowlesi |
 |
Plasmodium knowlesi |
Trên thực tế lâm sàng và xét nghiệm, hầu hết tất cả các trường hợp mắc bệnh sốt rét được phát hiện ở người đều do một trong bốn chủng loại ký sinh trùng sốt rét là Plasmodium falciparum, Plasmodium vivax, Plasmodium malariae và Plasmodium ovale gây nên. Sự lây nhiễm ký sinh trùng sốt rét Plasmodium ký sinh ở những động vật khác không phải là loại ký sinh trùng sốt rét thường ký sinh ở trên người rất hiếm gặp.
Luận bàn và khuyến nghị
Đối với bệnh nhân ở trên, trong thời gian ở Philippines có thể người bệnh đã ở gần vùng rừng có các loài khỉ đuôi dài Macaques sinh sống. Loài khỉ này đã được biết có mang mầm bệnh ký sinh trùng sốt rét Plasmodium knowlesi. Ở những vùng này cũng có sự hiện diện của nhiều loài muỗi Anopheles hoạt động, đây là trung gian truyền bệnh có thể truyền ký sinh trùng sốt rét Plasmodium knowlesi cũng như các chủng loại ký sinh trùng sốt rét Plasmodium khác.
Qua các trường hợp bệnh đã được thông báo, việc phân tích phân tử (molecular analysis) đã cho thấy ký sinh trùng Plasmodium knowlesi là nguyên nhân gây nên một số trường hợp sốt rét nặng ở người mà chẩn đoán trước đó có thể xác định nhầm lẫn do nhiễm loại ký sinh trùng Plasmodium malariae.
Trong báo cáo tổng kết công tác phòng chống sốt rét hàng năm ở khu vực miền Trung-Tây Nguyên, tỉnh Khánh Hòa là địa phương đã phát hiện người bệnh bị nhiễm chủng loại ký sinh trùng Plasmodium malariae tập trung nhiều nhất, trong khi đó các địa phương khác không phát hiện được. Hầu hết các trường hợp nhiễm Plasmodium malariae được phát hiện tại khu vực miền Trung-Tây Nguyên nói riêng và cả nước nói chung đều tập trung chủ yếu ở tỉnh Khánh Hòa: năm 2011: 5/5 trường hợp; năm 2010: 24/25 trường hợp và năm 2009 là 4/4 trường hợp. Vấn đề này cần được các nhà khoa học quan tâm và có thể chẩn đoán hồi cứu để xác định lại. Rất có thể trong số các trường hợp bị nhiễm Plasmodium malariae, khi thực hiện kỹ thuật PCR lại có khả năng phát hiện ra một số trường hợp bị nhiễm Plasmodium knowlesi?  |
Khỉ Macaque đuôi dài (số 2) |
Vì vậy, khi xét nghiệm lam máu thấy các ký sinh trùng Plasmodium có hình dạng không điển hình trên kính hiển vi quang học, cần gửi mẫu máu đến một phòng xét nghiệm có kỹ thuật cao hơn để được hỗ trợ, xác định chủng loại ký sinh trùng Plasmodium một cách chính xác bằng phương pháp xét nghiệm phân tử. Xét nghiệm PCR (Polymerase chain reaction) đã cho thấy Plasmodium knowlesi là nguyên nhân gây sốt rét cho một du khách Mỹ trở về từ Philippines sau chuyến du lịch đã nói ở trên cũng như một số các trường hợp được phát hiện khác.
Khánh Hòa là nơi phát hiện hầu hết các trường hợp bị nhiễm Plasmodium malariae. Phú Yên là nơi phát hiện được loài khỉ đuôi dài Macaca fascicularis nhiễm ký sinh trùng sốt rét khỉ. Các nhà khoa học cũng cần quan tâm đến mối quan hệ này của tỉnh Phú Yên và Khánh Hòa mà trước đây là tỉnh Phú Khánh để giải tỏa những thắc mắc cho những người muốn tìm hiểu đến vấn đề này.