Trung tâm Phòng chống bệnh tật ở Mỹ (CDC_Centers for Disease Control and Prevention) đã lên tiếng cảnh báo về các bệnh trong số các người đi du lịch, người nhập cư và người tỵ nạn như là một vấn đề y tế quan trọng và có thể gây ra nhiều gánh nặng bệnh tật lên xã hội và ảnh hưởng lớn đến nền kinh tế. Việc cần thiết là nên chú ý và đưa ra các khuyến cáo cũng như lời khuyên hợp lý để chống lại các căn bệnh truyền nhiễm nguy hiểm của thể kỷ 21 này. Nhiều bệnh tật đã được đề cập liên quan đến vấn đề dân nhập cư, cả tác nhân gây bệnh vi khuẩn, virus và ký sinh trùng. Trong phạm vi bài viết, chúng tôi xin đề cập đến một số bệnh ký sinh trùng liên quan và thường gặp trên đối tượng dân nhập cư.
Vấn đề bệnh di chuyển (Migration Odyssey)
-Hơn 1/3 dân số thế giới chịu đựng phải bệnh lý ký sinh trùng;
-Từ châu Á à châu Âu à châu Phi (dân di cư châu Á, Âu phơi nhiễm sốt rét từ châu Phi,…);
-Các bệnh giun tròn 1.400 triệu, sốt rét 300 triệu, sán máng 200 triệu, giun chỉ bạch huyết 120 triệu, bệnh amíp 40 triệu, bệnh giun tròn truyền qua thực phẩm 40 triệu, bệnh giun chỉ onchocercose 18 triệu, bệnh Chagas khoảng 16 triệu, Leishmania 12 triệu, bệnh ngủ khaongr 0.3 triệu.
Bệnh sán máng (Schistosomiasis)
-Phần lớn hay gặp dân nhập cư từ châu Phi và một số ít ở châu Á, các loại sán máng hay gặp là S.mansoni, S.intercalatum, S.japonicum, S.haematobium.
-Khi sán máng sống hoặc ký sinh trong nhu mô cơ quan gan hoặc ruột sẽ gây nên các triệu chứng tiêu chảy, gan lớn, tăng áp tĩnh mạch cửa, ấu trùng di chuyển lạc chỗ đến hệ thần kinh trưng ương. Nếu sán máng ký sinh và gây bệnh ở đường tiết niệu sẽ gây các triệu chứng tiểu máu, thận ứ nước, dò cơ quan, vô sinh,…
-Chẩn đoán các bệnh này chủ yếu là làm thế nào phát hiện trứng sán trong phân hoặc trong nước tiểu. Xét nghiệm huyết thanh học có giá trị.
-Điều trị với thuốc đặc hiệu là Praziquantel
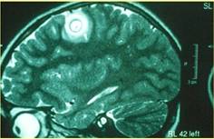
Bệnh ấu trùng sán lợn (Cysticercosis)
-Trên các dân nhập cư từ châu Mỹ La tinh, Ấn Độ, châu Phi, bệnh này óc thể lan truyền qua vật dụng ăn uống và nấu chế biến thức ăn;
-Triệu chứng thần kính trung ương: động kinh là hay gặp nhất, nhức đầu, não úng thủy, ảnh hưởng tủy sống, 25% trường hợp xuất hiện các nốt dưới da có thể sờ thấy được;
-Chẩn đoán thông qua hình ảnh của chụp cộng hưởng từ (MRI)/ CAT scan; chẩn đoán huyết thanh dương tính chỉ trong 60%;
-Điều trị chủ yếu bằng Albendazole + Steroids
Bệnh giun chỉ (filariasis) nói chung
-Trên những dân nhập cư từ châu Phi và lục địa nhỏ của Ấn Độ. Có thể nhiễm lên đến 30-40% ở các quốc gia tây Phi;
-Triệu chứng hay gặp là là viêm mạch bạch huyết, tràn dịch màng tinh hoàn, tràn dịch hoặc viêm tinh hoàn, viem mào tinh hoàn (W. bancrofti, B. malayi) hoặc viêm phổi tăng bạch cầu ái toan (W.bancrofti); dấu hiệu sưng phồng Calabar cũng hay gặp, giun chỉ ở mắt sưng phồng mi trên hay dưới (Loa loa); ngứa da, viêm da móng (O.volvulus);
-Chẩn đoán bằng lấy máu ban ngày hoặc ban đêm (tùy thuộc loại giun chỉ) để tìm ấu trùng giun chỉ (microfilaria), hoặc xét nghiệm phát hiện kháng nguyên qua chẩn đoán huyết thanh học, hoặc test da qua lấy mảnh cắt;
-Điều trị đặc hiệu bằng Ivermectin, DEC, Albendazole.
Bệnh Leishmania (Leishmaniasis)
-Thường gặp trên những người nhập cư từ châu Mỹ La tinh, vịnh Đại Trung Hải, tiểu lục địa của Ấn Độ và Đông Phi;
-Hàu hết các thể bệnh có thể lây truyền chỉ là các bệnh lây truyền từ động vật sang người, nhưng một số có thể lan rộng sang người. Nhiễm trùng ở người gây ra bởi khoảng 21/30 loài nhiễm trên động vật có vú. Gồm có L. donovani complex với 3 loài (L. donovani, L. infantum, L. chagasi); L. mexicana complex với 3 loài chính (L. mexicana, L. amazonensis, L. venezuelensis); L. tropica; L. major; L. aethiopica; và giống phụ Viannia với 4 loài chính (L. (V.) braziliensis, L. (V.) guyanensis, L. (V.) panamensis, L. (V.) peruviana);
-Biểu hiện lâm sàng với nhiều thể bệnh khác nhau: nếu thể da niêm mạc thì bệnh nhân cảm giác đau nhức nhối, rát khó chịu; thể nhiễm ở phủ tạng thường thấy sốt, lách lớn, thiếu máu giảm tiểu cầu. Cần lưu ý một số trường hợp nhiễm trùng cơ hội trên bệnh nhân HIV;
-Chẩn đoán bằng xét nghiệm huyết thanh, sinh thiết và nuôi cấy;
-Điều trị bằng Antimonial, Amphotericin B, Miltefosin
Bệnh Chagas
-Chỉ gặp trên những dân nhâp cư từ Mỹ La tinh;
-Bệnh có thể truyền theo đường truyền máu, ghép tạng, người cho tạng, từ mẹ sang thai nhi;
-Hầu hết các bệnh nhân đều không có triệu chứng;
-Xét nghiệm dương tính khoảng 5% trên các đối tượng dân nhập cư từ các quốc gia; chẩn đoán chính xác bằng xét nghiệm sinh học phân tử;
-Điều trị bằng các thuốc Benznidazole hoặc Nifurtimox.
Bệnh Sốt rét (Malaria)
-Sốt là triệu chứng chính (lách lớn và giảm tiêu cầu), nhưng chỉ 30-50% sẽ bị sốt khi đến khám bác sĩ (vì óc thể miễn dịch hoặc qua cơn sốt do chu kỳ sốt rét);
-Các ca bệnh có biến chứng ít gặp hơn (có thể diễn tiến nghiêm trọng cho mẹ và thai nhi nếu xảy ra trong giai đoạn mang thai);
-Chẩn đoán có thể qua xét nghiệm lam máu, test chẩn đoán nhanh (RDTs) hoặc xét nghiệm PCR rất hữu ích trong ca nhiễm phối hợp và mật độ ngưỡng KSTSR thấp dưới ngưỡng phát hiện của kính hiển vi;
-Điều trị tùy thuộc vào từng loại Plasmodiun spp., mức độ nặng của bệnh và mật đọ KSTSR và vùng có KSTSR kháng thuốc. Liệu trình dùng thuốc sốt rét hiện nay ngắn ngày với các thuốc hiệu lực cao cóa chứa artemisinine (ACTs);
-Dân di biến động hoặc dân nhập cư là nhóm nguy cơ chính cho vấn đề sốt rét nhập khẩu (imported malaria) và có tỷ lệ > 50% (có khi đến 85%)chiếm lớn số ca báo cáo ở các quốc gia. Thường liên quan đến thân nhân thăm viếng người thân tại vùng sốt rét lưu hành trở về;
-Chủ yếu hay gặp là P. falciparum và P.vivax từ châu Phi.
Bệnh ký sinh trùng đường ruột (Intestinal parasites)
-Gặp khoảng 50-75% số ca bệnh dân nhập cư mới đến, nhwung sau đó 3 năm thì không thường gặp. trẻ em thường gặp nhiễm hơn và tỷ lệ nhiễm đa KST là rất cao 35-50%;
-Tương quan giữa cường độ nhiễm hay tình trạng nhiễm và xuất hiện triệu chứng thấp;
-Hay gặp các tác nhân: giun tóc Trichuris trichiura, giun đũa Ascaris lumbricoides, Giardia lamblia, amip Entamoeba histolytica, giun móc, giun lươn Strongyloides stercoralis, sán máng Schistosoma sp.
-Cần lưu ý đặc biệt loại giun lươn Strongyloides stercoralis, vì triệu chứng có và tăng bạch cầu ái toan trong máu (80%), có thể dẫn đến bệnh lý lan tỏa nhiễm trùng, nhất là trên cơ địa suy giảm miễn dịch (HTLV1, đang dùng steroid) và thật khó chẩn đoán (75 - 98% huyết thanh dương tính);
-Xét nghiệm 3 mẫu phân để tìm trứng và ký sinh trùng; phát hiện kháng nguyên của các đơn bào Giardia / Cryptosporidium spp; xét nghiệm phân tìm ấu trùng trong bệnh giun lươn;
-Đặt ra vấn đề sàng lọc rộng rãi với ddieuf trị chủ đích trên cơ sở ? nên chăng?
-Albendazole 400 mg uống 2 lần/ mỗi ngày x 5 ngày
-Ivermectin 12 mg liều duy nhất.
Các bệnh nhiễm trùng quan trọng nhất của dân nhập cư
-Nhiễm virus: virus viêm gan A, B, C, virus HIV, HTLV-1, sởi, rubella, Dengue;
-Nhiễm các vi khuẩn viêm hô hấp, viêm ruột (thương hàn, lỵ, Campylobacter, Hellicobacter pylori), viêm đường tiết niệu, viêm da
-Các tác nhân nhiễm trùng lay truyền qua đường tình dục (giang mai, viêm niệu đạo), sốt thương hàn, brucellose, lysteriose, typhus;
-Các vi khuẩn khác như não mô cầu, lao, phong, loét Buruly hoặc virus HIV/AIDS;
-Các bệnh do KST như sốt rét, giun chỉ, bệnh Chagas, Leishmania, sán máng, ấu trùng sán lợn, sán lá gan, amip,…Phần lớn bệnh KST lộ dần ra sau khi trở về khoảng 3 - 5 năm, nhưng óc thể sống sót nhiều năm. Giun lươn có thể sống đến 40 năm và có thể tái hoạt động sau khi miễn dịch suy giảm. Bệnh sán máng và Chagas có thể đến 30 năm, bệnh Melioidiosis và bệnh nang sán có thể đến 25 năm, bệnh giun tóc, ấu trùng sán lợn và giun chỉ onchocercose tòn tại đến 10 -15 năm và bệnh do amíp đến 5 năm.