Giun thường ký sinh tại ống và túi lệ, kết mạc mắt của vật chủ. Bằng mắt thường, có thể nhìn thấy nó trong giống như một sợi chỉ màu trắng kem, mảnh. Trứng hoặc ấu trùng có thể nhìn thấy khi nước mắt hoặc các chất tiết của mắt được đem soi dưới kính hiển vi. Triệu chứng lâm sàng thường gặp trên bệnh nhân nhiễm loại giun này bao gồm nhiễm trùng kết mạc nhẹ, cảm giác có vật lạ ở mắt, phì đại nang tuyến của kết mạc, chảy nhiều nước mắt và tăng nhạy cảm với ánh sáng. Triệu chứng này có thể trở nên nặng hơn nếu có nhiễm trùng thứ phát với vi khuẩn đi kèm.
Trung gian truyền bệnh: một số loài ruồi đã đươc xác định: như ruồi Amioto okadai, A. magna và A nagatai tìm thấy tại nhật Bản, chúng là các vector của loài T. callipaeda. Musca autumnalis (aka face flies) được phát hiện tại nhiều lục địa, con ruồi cái là một loài côn trùng của gia súc. Chúng ăn protein trong chất tiết của mắt, chất tiết của mũi và nước bọt. Ruồi có bề ngoài xám, xù xì, phần đầu xốp để kích thích làm tăng tiết nước mắt, do vậy nó còn có vai trò thúc đẩy quá trình lan truyền bệnh thành công hơn.
Fannia canicularis (một loại ruồi nhà có kích thước nhỏ), một loại ruồi có tên “face fly” có vai trò thúc đẩy quá trình lan truyền bệnh như ruồi M. autumnalis. Loài này được mô tả chi tiết và cho xác định có lan truyền giun T. californiensis.
Trình bày ca bệnh lâm sàng nhiễm giun T. californiensis ở mắt con người
Viêm kết mạc mắt do Thelazia californiensis là một trường hợp do nhóm tác giả [My paper] R Knierim, M K Jack phát hiện: một bệnh nhân viêm kết mạc mạn tính, được khám và phát hiện nhiễm loại giun tròn ở vùng kết mạc. Ký sinh trùng này được tìm thấy trong cul-de-sac của kết mạc, tất cả đều di động. Điều trị bằng cách loại bỏ ký sinh trùng và theo dõi một thời gian.
Nhiễm trùng ở mắt do loài Thelazia spp. ở Ấn Độ và Mỹ
Nhóm tác giả J Mahanta, J Alger, P Bordoloi thuộc bệnh viện Oil India Hospital, Duliajan, Assam, Ấn Độ và trường Đại học y tế công cộng New Orleans, Mỹ phối hợp nghiên cứu về các chủng của giống Thelazia ký sinh và gây bệnh trên kết mạc và tuyến lệ của nhiều loại động vật có vú trên khắp thế giới. Hầu hết các thành viên của giống Thelazia nằm ở gia súc, cừu, dê, trâu, chó, thỏ và lừa. Tỷ lệ mắc mới ở gia súc dao động từ 5-42% trong các quốc gia khác nhau. Nhiễm bệnh trên người được công bố là do 2 chủng: T.callipaeda và T.californiensis. Về kinh điển, đây chỉ loài ký sinh trùng gây bệnh trên chó, mèo, thỏ tại các quốc gia châu Á, bao gồm Ấn Độ, Trung và Viễn Đông. Giun trưởng thành có màu trắng kem, trông giống sợi chỉ, chiều dài có thể đến 2cm. Sự có mặt của loài giun này trong mắt dẫn đến tăng tiết nước mắt, tăng tiết chất nhầy, gây tác hại đến kết mạc và giác mạc. Giun cái đẻ trứng, trứng được thụ tinh hoặc ấu trùng sẽ nằm lẫn trong nước mắt hoặc các chất tiết, loài ruồi liên quan thuộc giống Fannia và Musca. Một khi ấu trùng phát triển đến giai đoạn gây nhiễm, chúng di chuyển đến phần miệng của ruồi và từ đó lây truyền cho vật chủ khác. Trong nghiên cứu này, các bác sĩ mô tả loài giun tròn này được lấy ra từ thủy tinh thể.
Thông báo 2 ca bệnh nhiễm ký sinh trùng Thelazia callipaeda ở thành phố Hiroshima
Tại Nhật Bản, đến thời điểm này có khoảng 100 trường hợp nhiễm Thelazia ở người, phần lớn ca bệnh đều ở phía tây của Nhật, nhất là Kyusyu. Đây là báo cáo về một số ca bệnh đặc biệt được trích ra do tác giả Imada Masaki, Sugihara Aya và Mizote Hideaki cùng một số cộng sự ghi nhận: Thelazia callipaeda, loài giun tròn phuowng đông, phân bố khắp Đông Nam Á. Tiên khởi, loài giun này ký sinh và gây bệnh liên quan đến kết mạc, giác mạc và thủy tinh thể của chó, khỉ, gấu trúc bắc Mỹ, nhưng thỉnh thoảng lại ký sinh trên người. T. callipaeda nhiễm bệnh ở túi kết mạc (conjunctival sac) gây ra nhiều triệu chứng về mắt. Trong nội dung ở đây, họ nêu ra một trường hợp phụ nữ 87 tuổi và một cậu bé 11 tuổi được phát hiện có nhiễm T. callipaeda ở túi kết mạc. Bệnh nhân tăng nhạy cảm với ánh sáng và các triệu chứng khác, thế như sau khi lấy giun ra khỏi mắt các triệu chứng biến mất.
Báo cáo ca bệnh ở Ấn Độ
Một bệnh nhân nam 70 tuổi, có sức khỏe nhập viện Oil India Hospital, Duliajan, Assam với triệu chứng giảm thị lực tiến triển trong 10 năm trước, này kèm theo tình trạng chảy nước mắt và có dấu hiệu xốn mắt (T). Bệnh nhân không có dấu hiệu đau hoặc có vật bay lơ lửng. Lúc khám, thủy tinh thể hoàn chỉnh (mature cataracts) và áp lực nội nhãn là 17.3 mmHgở cả hai mắt.Độ thị lực là chuyển động tay và hình chiếu chính xác với ánh sáng. Hệ thống ổ mắt, tuyến lệ, giác mạc, kết mạc, mống mắt và tiền phòng xuất hiện đều bình thường khi khám lâm sàng cả 2 mắt. kính mờ qua khám đáy mắt lúc nhập viện. Khi bệnh nhân nhập viện, xét nghiệm thường quy về máu, phân, nước tiểu được tiến hành. Kết quả cho thấy một số vấn đề là số lượng bạch cầu chung là 9300/ ul máu với tỷ lệ bạch cầu ái toan là 11%, tốc độ lắng máu 60mm giờ đầu (theo phương pháp Westergreen). Khám nghiệm về kích thích chảy nước mắt không có biểu hiện bất thường. Các xét nghiệm sinh hóa, huyết học không có gì bất thường. Tách lấy thủy tinh thể (ICCE_Intracapsular cataract extraction) với PBI_peripheral button hole iridectomy ở bên mắt (P). Lúc phẩu thuật, sau khi rạch kết mạc, xuất hiện một con giun màu trắng, hình sợi chỉ. Tuy nhiên, chính xác là con giun nằm trong túi kết mạc. Giai đoạn sau phẩu thuật không có tái phát.
Các ca bệnh Thelaziasis ở một số quốc gia châu Âu
Bệnh do loài ký sinh trùng này hiện được xem là bệnh truyền nhiễm mới nổi (Emerging Infectious Diseases). Gần đây, vào tháng 4/2008 một số tác giả nghiên cứu gồm Domenico Otranto, Moreno Dutto cho biết giun này truyền qua người nhờ trung gian truyền bệnh là loài chân đốt, bệnh gây ra với nhiều mức độ khác nhau, đặc biệt ở các quốc gia đang phát triển. Trong số các loài giun tròn, thì Thelazia callipaeda được ghi nhận là ít được quan tâm. Bệnh gây ra do loài giun này có liên quan đến tổn thương mô ổ mắt, nhất là của động vật như chó, mèo, cáo, chồn và thỏ. Vì sự phân bố của bệnh tại đất nước Liên Xô cũ (former Soviet Union) và các quốc gia ở Viễn Đông, bao gồm Trung Quốc, Hàn Quốc, Indonesia, Nhật Bản, Thái Lan, Ấn Độ được biết rất rõ. Nhiễm T. callipaeda là lưu hành ở các cộng đồng nghèo tại châu Á, đặc biệt Trung Quốc- nơi thường có báo cáo về bệnh này thườn xuyên, với các ca bệnh trên người biểu hiện triệu chứng từ nhẹ đến nặng (các triệu chứng bao gồm chảy nước mắt nhiều, xơ chai và loét giác mạc, viêm kết mạc, sợ ánh sáng).
Loài thứ 2 là T. californiensis (Price, 1930) báo cáo nhiễm trên người tại Mỹ. ấu trùng giun giai đoạn 3 truyền qua trung gian truyền bệnh, đặc biệt là ruồi ăn các chất tiết ở nước mắt từ các động vật và người bị nhiễm Thelazia spp.ấu trùng giai đoạn 1. Trong vector của T. callipaeda, ấu trùng L1 trải qua 3 lần phát triển (với thời gian 14-21 ngày) thành ấu trùng giai đoạn nhiễmL3 có thể truyền bệnh cho một vật chủ mới, phát triển thành con giun trưởng thành trong khoang ổ mắt trong vòng 35 ngày. Ruồi Drosophiliae thuộc giống Phortica đóng vai trò như vector của T. callipaeda.
Nhiễm trùng giun này ở mắt đã được báo cáo ở Pháp, là loài T. callipaeda và nhiễm này cũng hay gặp trên chó và mèo ở Ý. Các động vật nhập khẩu có mang bệnh thelaziasis đã được ghi nhận ở Đức, Hà Lan, Thụy Sĩ. Số ca ở người gần đây cũng tăng lên ở một vài quốc gia châu Á-nơi mà điều kiện sống và kinh tế nghèo, chủ yếu tác động trên người già và trẻ em. Mặc dù số báo cáo liên quan đến T. callipaeda tăng ở các quốc gia khác nhau ở châu Âu, nhưng các thầy thuốc đa khoa và nhãn khoa không hoặc chưa quan tâm. Liên quan đến bài báo là 2 ca bệnh người bản địa nhiễm bệnh Thelazia tại châu Âu. Nhằm mục đích tăng kiến thức cũng như lên tiếng cảnh báo về loài ký sinh trùng này, cũng như trong khâu chẩn đoán phân biệt với các bệnh lý khác.
Từ 2005-2006, tổng số 4 bệnh nhân nhiễm Thelazia, vào khoa Cấp cứu của bệnh viện Croce và Carle ở Cuneo, Italy. 4 bệnh nhân nữ, tuổi từ 37-65, sống tại phía tây bắc Ý (43[độ]bắc và 6[độ]đông) và phía tây nam của Pháp (46[độ]bắc, 9[độ]đông), nơi mà nhiễm trùng trên chó, mèo, cáo nhiều. Tất cả bênh nhân có triệu chứng giống nhau (tiết nước mắt, viêm kết mạc, cảm giác có vật lạ trong mắt) vài ngày trước khi nhập viện. Tất cả bênh nhân đều dùng thuốc vì trước đó có cảm thấy sợi chỉ lơ lửng trong mắt. Bệnh sử chỉ ghi nhận trong số 3 bệnh nhân, bệnh nhân còn lại là một đàn ông không nhà đi đến y tế địa phương ở Nice, Pháp vì rối loạn tâm thần nặng, vệ sinh kém và tiểu đường. Không có bệnh nhân nào có bệnh về mắt hoặc di du lịch ra ngoài khỏi nơi ở, ngoại trùe bệnh nhân số 1 có đi làm gỗ ở Yenda (vùng Piedmont, Ý) khoảng 3 tuần trước khi có xuất hiện triệu chứng. Khám mắt cho thấy có giun nhỏ, mảnh nằm trong vòm kết mạc, giun được lấy ra bằng forceps sau khi gây tê tại chỗ bằng novocaine1%. Giun được bảo quản trong dung dịch ethanol 70% cho đến khi định loại hình thái học. Sau khi ký sinh trùng được loại bỏ khỏi mắt, dùng thuốc chống nhiễm khuẩn nhỏ mắt trong 7 ngày. Triệu chứng ở mắt biến mất trong vòng 2-3 ngày. Loài giun là T. callipaeda có khoang miệng, miệng mở ra với 6 vòng cạp và 6 vòng nổi (festoons). Các con giun cái trưởng thành đặc điểm có vị trí âm hộ nằm phía trước của điểm nối ruột thực quản, ngược lại con đực có 5 đôi nhú sau lỗ thải. Để xác định hình thể học, tiêu bản của 2 bệnh nhân 2 và 4 được phân tích. Phân tích bộ gen DNA từ mỗi con giun, phần giải trình tự của cytochrome c oxidase subunit 1 (cox1, 689 bp) bộ gen ty thể được khuyếch đại bằng kỹ thuật PCR. Amplicons đươc tinh khiết, sử dụng cột Ultrafree-DA columns (Amicon; Millipore, Bedford, MA, USA) và giải trình tự bằng cách sử dụng hệ thông ABI-PRISM 377 và Taq DyeDeoxyTerminator Cycle Sequencing Kit (Applied Biosystems, Foster City, CA, USA). Giải trình tự được xác định ở cả hai hướng và thẳng hàng bằng sử dụngClustalX program. Sự sắp xếp thẳng hàng nhìn có khác biệt, so sánh với trình tự có sẵn trong cox1 gene của T. callipaeda (thuộc GenBank accession nos. AM042549-556).
Báo cáo ca bệnh giun Thelazia spp. ở Đài Loan
Nghiên cứu được tiến hành tại khoa mắt, khoa kỹ thuật y học và khoa ký sinh trùng của bệnh viện Fong-Yuan, Viện khoa học sức khỏe Chung Tai và trường đại học y khoaChung Shan , Đài Loan. Một phụ nữ 62 tuổi có xuất hiện triệu chứng sưng phồng mắt một bên và ngứa. Sau đó đi khám bệnh cho thấy nguyên do là nhiễm giun tròn Thelazia callipaeda ở mắt. con đường lây nhiễm có thể do trung gian ruồi. đây chỉ là một trong những ca bệnh được báo cáo hiếm ở Đài Loan (Yih-JuYang và cs., 2004).
Báo cáo 5 trường hợp nhiễm Thelazia spp. trên người tại châu Á
Một báo cáo liên quan đến 5 ca bệnh nhiễm thelazia, gồm 1 ca hiếm gặp ở bệnh nhân nội trú bệnh viện. Bệnh do Thelazia spp. là do nhiễm loài giun tròn ở mô mắt, tác nhân chính là Thelazia callipaeda, được phát hiện có mặt ở Trung Quốc, Ấn Độ, Thái Lan, Hàn Quốc và Nhật Bản. Loài ký sinh trùng này được xác định trong túi kết mạc, tuyến lệ, ống lệ của chó, mèo, bò, báo, thỏ, cáo, khỉ ở khu vực châu Á. Nhiễm trùng Thelazia do ruồi mang trứng của giun đã được thụ tinh (embryonated eggs) vào trong mô nhãn cầu của vật chủ, phát triển thành ấu trùng và nằm trên kết mack, gây bệnh cho vật chủ. Ruồi trung gian truyền bệnh Drosophilae spp. gồm có Amioto okadai, A magna, A. nagatai.
Theo y văn lúc này, ngoại trừ Nhật Bản ra, thì hiện có khoảng 157 trường hợp báo cáo khắp thế giới (trong đó Trung Quốc có 124; Hàn Quốc 24; Thái Lan 5; Ấn Độ 2; Nga và Indonesia 1). Tại nhật Bản, xấp xỉ 100 trường hợp được báo cáo, hầu hết ở các vùng phía tây, đặc biệt ở vùng Kyushu (66 cas). Đến lúc này, chưa có báo cáo bệnh nhân nào nhập viện.
Triệu chứng lâm sàng của 5 bệnh nhân được tóm tắt (3 nam và 2 nữ; tuổi từ 57 -83) được khám tại bệnh viện Muikaiti và Tuwanokyouzon từ 1989-1999. Bệnh nhân số 1, 2, 3, 4 là bệnh nhân ngoại trú, nhưng bênh nhân số 5 là nội trú, nhập viện hơn 1 năm nay. Tất cả bệnh nhân nhiễm chỉ một bên một mắt (3 trường hợp nhiễm ở mắt phải và và 2 ca còn lại là mắt trái). Triệu chứng chính của bệnh nhân là cảm giác có vật lạ gì trong mắt, rối loạn thị lực và đau mắt (foreign body sensation, visual disorder, and ocular pain). Bệnh nhân thứ 5 có dấu hiệu sa sút trí tuệ, giảm trí nhớ (senile dementia). Khám lâm sàng cho biết sung huyết kết mạc, nang nhầy, có mặt con giun màu trắng trong kết mạc. Bệnh nhân không mô tả có ruồi trong mắt, nhưng cũng không giữ các súc vật như chó mèo, bò. Họ chưa bao giờ đến vùng Kyushu của Nhật Bản. Giun được loại bỏ (số lượng giun trong mắt bệnh nhân từ 2-5 con/ bệnh nhân) bằng forceps sau khi gây tê tại chỗ hoặc gây tê cục bộ và dùng kháng sinh nhỏ mắt. triệu chứng của các bệnh nhân được giải quyết nhanh chóng và không có tái phát. Sự có mặt của giun Thelazia callipaeda là một chẩn đoán xác định sau khi định loại.
Kirschner và cộng sự báo cáo 1 ca bệnh viêm kết mạc do Thelazia californiensis và ruồi đượcxem là vector trung gian truyền bệnh ở vùng Sierra Mountain của California. Mimori và cộng sự cũng báo cáo nhiễm Thelazia callipaeda ở nam tại quận Kumamoto, Nhật Bản. Bệnh viện khám và xác định là ở vùng núi xa của Shimane Prefecture, phía tây Honshu. Bệnh nhân sống ở vùng thị trấn gần bệnh viện, ca này có thể nhiễm tại chỗ và con đường nhiễm không biết rõ. Một vài nông trang gia tăng nuôi bò và gia súc ở nơi gần bệnh viện và có khả năng ruồi từ các nông trang này mang ký sinh trùng đến bệnh viện.
Nhiễm trùng trong mắt do giun Thelazia callipaeda ở An Huy, Trung Quốc
Nhiễm trùng mắt với ký sinh trùng được mô tả kỹ. Tác nhân gây bệnh thường gặp nhất là giun chỉ sống ở mô dưới da hoặc tìm thấy ở mô dưới da hoặc dưới mi mắt. Một số sống tự do trong túi kết mạc, giun này có thể nhìn thấy bằng mắt thường, Thelazia callipaeda gây ra bệnh thelaziasis, chủ yếu phần bên ngoài, một số có gây tác hại bên trong mắt. Sự xuất hiện của giun trong mắt gây ra một số triệu chứng chảy nước mắt, kích thích khi mở mắt, nhìn mờ và giunthường di chuyển từ giác mạc qua kết mạc, cuối cùng gây sẹo giác mạc. Giun cũng gây ra liệt ectropion khi ở trong vòm thấp. Ít nhất 40 trường hợp nhiễm ký sinh trùng này ở mắt được ghi nhận ở Trung Quốc, Nhật Bản, Ấn Độ, Nga, Thái Lan và Hàn Quốc. Tất cả những báo cáo này nằm ngoài nhãn cầu,thì ca bệnh này lại nằm trong nhãn cầu (intraocular).
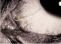
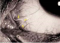
Báo cáo ca bệnh Thelazia callipaeda ở Quảng Đông, Trung Quốc
Một phụ nữ Trung Quốc 21 tuổi đến khoa mắt, bệnh viện trung ương Shantou, Quảng Đông,Trung Quốc phàn nàn về triệu chứng giảm thị lực, mắt (P), có dấu hiệu bong bóng ở thị trường. Cô ta không có dấu hiệu sợ ánh sáng hoặc mất thị trường, không đau, đỏ mắt và tăng tiết nước mắt. Không có tiền sử bệnh về mắt, thị lực rất tốt là đằng khác. Khám mắt cho bệnh nhân các bác sĩ ghi nhận chỉ còn 6/60 ở mắt (P) và 6/6 ở mắt (T). Không có bằng chứng tổn thương nào, nhãn cầu bình thường, kết mạc màu trắng, giác mạc sạch rõ, tiền phòng trước hoàn toàn bình thường. một biểu hiện thủy tinh thể mờ và khi nhìn rõ bên trong khoang thủy tinh thể thấy xuất hiện một con giun màu trắng, nhỏ như sợi chỉ đang di động, không có tổn thương võng mạc. Một tháng sau đến để khám thủy tinh thể và con giun đồng trục như cây kim thẳn đứng và được lấy ra nguyên vẹn bệnh nhân bắt đầu hồi phục dần từ lúc đó, đến tuần thứ 6 sau phẩu thuật , mắt phục hồi thị lực 6/24. Khám chi tiết, con giun được định loại là giun cái có tên gọi Thelazia callipaeda. Điều trị bằng ivermectin, nhưng trước mổ và sau mổ không thấy triệu chứng viêm nên không khuyên được điều trị chống viêm trong trường hợp này.
Gnathostoma spinigerum, một loại ký sinh trùng có liên quan mật thiết với Thelazia, thường được tìm thấy trong mắt và gây ra dạng tổn thương phá hủy cấu trúc mô. Về mặt cấu trúc, một trong những đặc điểm phân biệt quan trọng nhất là sự hiện diện của hàng móc cong và chóp nhọn phía sau cơ thể ôm lấy quanh miệng và khoan các mô. T callipaeda không có phô ra các cơ quan để chúng có thể đào khoan vào trong mô cơ thể.
Nhìn chung, tổn thương do loài giun Thelazia spp. ở người phần lớn có triệu chứng gióng nhau, nhất là biểu hiện bệnh lý tuyến lệ, kết mạc, giác mạc, nhãn cầu, củng mạc đôi khi phá hủy, dẫn đến mù mắt. Nhân ca bệnh đầu tiên phát hiện tại Việt Nam, chúng tôi cập nhật và đưa ra các tình huống lâm sàng tại một số quốc gia trên thế giới với các hình thái lâm sàng khác nhau, với mong muốn rằng các thầy thuốc lâm sàng, nhất là nhà nhãn khoa bổ sung dữ liệu lâm sàng của mình vào chuyên ngành, cũng như đưa ra điểm nóng trong chuyên ngành ký sinh trùng y học hiện vẫn còn nhiều điều thú vị kích thích chúng ta khám phá.